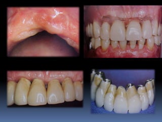
Associação Brasileira de Odontologia seção SP regional Osasco




Planejamento em Implantodontia




     Especialização em Implantodontia , 2012

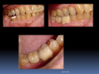
                                                           Mathias MA
Associação Brasileira de Odontologia seção SP regional Osasco




Planejamento em Implantodontia




     Especialização em Implantodontia , 2012

                                                           Mathias MA
Mathias MA
Mathias MA
Planejamento
•Diagnóstico pré-implantar
•Coleta de informações e dados
•Decisão terapêutica adequada


Planejamento
•Fuga do empirismo
                             Mathias MA
Planejamento
      Análise das condições gerais, locais e psicológicas


                           diagnóstico



                   solicitação     aceitação



Opção terapêutica
                                         Mathias MA
Planejamento reverso


•Planejamento cirúrgico inicia-se pelo planejamento
protético


•Obtenção da excelência do binômio estética-função



                                    Mathias MA
Decisão terapêutica:

•Devolução das dimensões dos tecidos perdidos
através de procedimentos cirúrgicos prévios


•Compensação protética da perda tecidual

                       Precisão de                Terapêutica
    Maior
                       Diagnóstico
 informação                                        adequada


                                     Mathias MA
Implantodontia




                 Mathias MA
Ausência ou perda dental x implantes
     Periodonto íntegro               perdas de suporte


              Atrofias ósseas x implantes
Procedimentos reconstrutivos       Compensação protética


                      prognóstico
         favorável                        desfavorável



                                   Mathias MA
Mathias MA
Mathias MA
Avaliação geral de saúde
•Anamnése
•Exame físico
•Exame clínico bucal
•Exames hematológicos
•Exames imaginológicos
•Modelos de estudo articulados
•Enceramento diagnóstico
                                 Mathias MA
Mathias MA
Anamnése e Avaliação clínica
•Preenchimento do questionário médico
•Conhecimento do modo de vida, condições de saúde,
existência ou não de doenças/alterações que possam
interferir na possibilidade de execução de reabilitações
por implantes
•História médica passada e atual
•Uso de medicamentos


                                    Mathias MA
•Hipertensão e Cardiopatias
•Discrasias Sanguíneas
•Diabetes
•Hipertireoidismo/hipotireoidismo
•Problemas Renais e Hepáticos
•Anemias
•Osteoporose

                                Mathias MA
•Lábios, mucosa gengival e inserida, mucosa jugal,
palato duro e mole, língua, freios e bridas,
orofaringe e dentes
•Espaço funcional livre
•Simetria facial e muscular
•Respirador bucal
•Linha de sorriso

                                Mathias MA
Linha do sorriso




                   Mathias MA
Dimensão vertical e perfil facial




                                    Mathias MA
•Oclusão, relações central, dimensão vertical
•Altura inter articular
•Distúrbios articulares
•Hábitos nocivos e para funções
•Respirador bucal

                              Mathias MA
Bruxismo e mordida cruzada profunda




                                Mathias MA
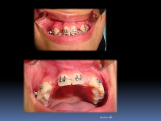
•Necessidades de reabilitações prévias
Dentística, periodontia, cirurgia, prótese, endodontia , ortodontia e DTMs


•Áreas de interesse implantar
Perdas dentárias , tecido ósseo e tecido mucoso




                                                Mathias MA
Mathias MA
Metabolismo do paciente
•Jovem
•Adulto
•Senil


Processos de cicatrização e reparação próprios



                             Mathias MA
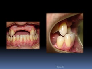
Perdas fisiológicas




                      Novas dimensões de
                      rebordos
Mathias MA
Mathias MA
Atrofias óssea
Redução das dimensões ósseas ideais
•Estabilidade implantar
•Estética
•Função




                            Mathias MA
Mathias MA
Mathias MA
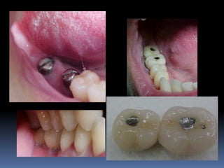
Atrofias ósseas

•Procedimentos de enxertia óssea para
restabelecimento de dimensões perdidas


•Compensações dos tecidos perdidos nas
próteses



                             Mathias MA
Compensando altura reduzida
Mathias MA
Perdas ósseas posteriores – levantamento de seio maxilar




                                                    Mathias MA
Mathias MA
Sinus lift
Perdas de espaço devido perdas dentárias




                                Mathias MA
Mathias MA
Altura interoclusal
Aumento de coroa clínica
Espaço interproximal modificado


Plataformas regulares ou plataformas
largas?




                           Mathias MA
Planejamento em implantodontia

                            número



        Posicionamento
                                          distribuição
         tridimensional




               Emergência
                                     plataforma
                protética




                                          Mathias MA
Mathias MA
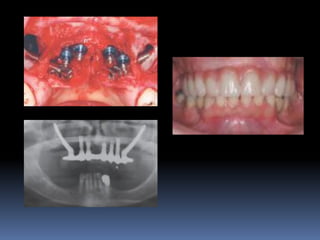
Seleção de plataformas ideais
Distribuição e número dos implantes na arcada




                                 Mathias MA
Mathias MA
Biomecânica

Distribuições de forças mastigatórias

Extensões distais

Posicionamento tridimensional adequado




                             Mathias MA
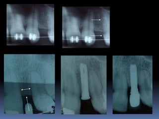
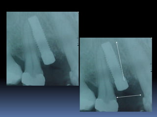
Estética durante seleção de pilares
Má posição do implante

Risco biomecânico

Perdas e fraturas




                         Mathias MA
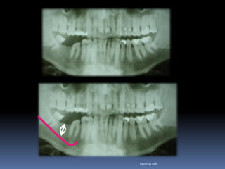
Risco de fratura
Sentido vestibular
vestibularizado
Houve planejamento?
Exames hematológicos
Hemograma completo
• Coagulograma completo
•Glicemia em jejum
•Ca, P, fosfatase alcalina, creatinina, uréia
•Sorológicos ( Hepatite e AIDS)


                                  Mathias MA
Contra-indicações

Doença infecciosa aguda
Quimioterapia
Uso de bifosfanatos (maior que 2 anos)
Osteodistrofia renal
Psicose grave
Depressão
Gravidez
Incompleto crescimento do crânio e ausência de
erupção dentária

                                Mathias MA
tabagismo




            Mathias MA
Sedentarismo e obesidade




                           Mathias MA
Fatores de risco ou falhas dos implantes

Insuficiente higiene oral
Radioterapia cabeça e pescoço
Pós estado de quimioterapia ou esteróides ao longo prazo,
medicações imunossupressoras
História de periodontite agressiva
Tabagismo e álcool e drogas
Parafunções descontroladas
Osteoporose
Diabetes descontrolado



                                           Mathias MA
Exames complementares

Hemogramas
imagens




                        Mathias MA
Exames Imaginológicos

Radiografias periapicais, telerradiografias e
panorâmicas;

Tomografias computadorizadas

Softwares de imagens 3D


                             Mathias MA
Mathias MA
Mathias MA
Mathias MA
Mathias MA
Mathias MA
Mathias MA
Mathias MA
Mathias MA
Mathias MA
Mathias MA
Mathias MA
Mathias MA
Mathias MA
Mathias MA
Mathias MA
Mathias MA
Mathias MA
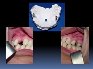
Modelos de estudo
Enceramento diagnóstico
Guia cirúrgica




Visão espacial do planejamento a
executar
Enceramento diagnóstico
Modelos de estudo
•Articulados
•Projetar opções de terapêutica desde incisões,
delimitar áreas de reconstrução óssea,tipo de
prótese,número,distribuição, diâmetro dos implantes
•Compreensão do paciente
•Enceramento diagnóstico
•Guia cirúrgica
Mathias MA
Mathias MA
Mathias MA
Pausa para o intervalo
Transformando sorrisos




                         Mathias MA
em Implantodontia


Mathias MA
Guias em Implantodontia
Planejamento protético-cirúrgico


•Guia diagnóstico
•Guia estético
•Guia radiográfico
•Guia cirúrgico
•Guia funcional
Guia diagnóstico
•Posicionamento tridimensional
Dentes e tecidos do órgão dental em relação ao
processo alveolar e tecidos moles orofaciais
•Posição anatômica ideal
•Enceramento progressivo ou dentes de estoque
Enceramento progressivo
Dentes de estoque
Apoio incisal ou oclusal
e alívio de cera
Guia estético
•Simulação da prótese a ser confeccionada,
informando durante planejamento as
possibilidades protéticas ao paciente
(consentimento e colaboração)
•Com o auxílio de fotografias dão noção exata
de como ficará a prótese
•Suporte de lábio superior visualizado com
enceramento
•Necessidade de cirurgias reconstrutivas tais
como enxertos ósseos, gengivais e distrações
osteogênicas
•Alinhamento, desgastes e plano articular e
oclusal em relação ao rebordo alveolar
Guia Estético
Guia radiográfico
 -posição ótima do implante com marcadores
radiopacos
•Guta percha
•Esferas e tubos metálicos
•Fios e lâminas metálicas
•Lâmina chumbo do RX
•Dentes de sulfato de bário
•Facilita perfuração, paralelismo e distribuição dos
implantes
•Elimina a medição entre implantes
•Permite alternar as possibilidades de instalação
•Vácuo- press ou própria prótese do paciente
duplicada com acrílico transparente
Marcadores radiopacos
Esferas
Tubos
Guia radiológico
Dentes de sulfato de bário
Acetato em vácuo-press
Acrílico com tubos
Acetato com lâmina metálica
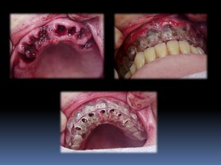
Guia cirúrgico
•Permite o posicionamento ideal da fresagem
através de orifício em guias transparentes
•Utilização de tubos, cones ou somente orifícios
realizados por fresas
•Liberdade controlada da fresa
Guia cirúrgico
Hassem e Valsani
Duplicação de prótese total
Confecção de Guia Cirúrgico
Enceramento
Posicionamento ideal
Tubos com lâmina de vácuo-press
Aplicação prática
Guia Funcional
•Posicionamento das perfurações
•Dimensões verticais e oclusão
•Transferência dos intermediários nas moldagens
•Carga imediata
Duplicação de prótese
Guia funcional para carga imediata
Guia de Maló




Maló, Rangert e Nobre (2003).
Resoluções em 3-D
Guia Virtual
Prototipagem e Estereolitografia
Guias em 3-D




               Futuro ou Presente?
van Steenberghe et al. (2002).
Conclusão
•Guias visualizam o diagnóstico,          definem    o
planejamento ideal e secundário
• Determinam a necessidade ou não de cirurgia pré-
implantar
•Posição ótima e ideal(espacial) cirúrgica e protética
•Minimizam erros e fracassos da forma empírica
operatória
Qualquer semelhança é mera coincidência...
Use guia...
•Aspirações do paciente

•Necessidade estética
•Possibilidade

•Propor plano de tratamento com prognóstico
estético funcional

•previsibilidade
                           Mathias MA
•Grau de aceitação ao tratamento

•Limitações

•Possibilidades de tratamentos
alternativos


                      Mathias MA
•prontuários devem ser descritos de forma
minuciosa, todas as fases e procedimentos do
planejamento a executar e concluídos.

•Valor jurídico

•Anuência ou termo de consentimento

•Evolução da terapêutica

                             Mathias MA
Reabilitação por implantes abre a visão de um
planejamento prévio, melhorando as condições da
área de trabalho antes da fixação por implantes
•Dentística/prótese
•Endodontia/periodontia
•Cirurgia/ortodontia
•Disfunções articulares
mathias

Planejamento2012