Carla Afonso – Higienista Oral
Centro de Saúde do Barreiro/ 2010
Placa Bacteriana:
Forma-se através de:




Bactérias/ microorganismos   Restos alimentares   saliva
Placa Bacteriana:
  Massa inicialmente invisível, mas
quando em acumulação…

   Acumula-se sobretudo entre os dentes
e junto à gengiva

  Inicia a sua formação logo depois de
comermos
Mais conhecido por “pedra”




É a calcificação / endurecimento da placa bacteriana ao longo do
tempo pelo efeito da saliva




 Já não é removido pela escovagem, mas
 somente por um profissional
 (Higienista oral ou Dentista)
Tempo
2ª fase
 Esmalte                                 Dentina
   1ª fase                              3ª fase




                                      Polpa




                   Cárie na dentina

Cárie no esmalte                       Cárie na polpa
Evitar o consumo excessivo de
alimentos açucarados.

Evitar alimentos pegajosos/moles



Preferencialmente, os doces
devem ser ingeridos às refeições
principais e não nos intervalos
destas.
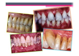
Consequência da acumulação da Placa Bacteriana

Caracteriza-se pela inflamação das gengivas

As gengivas ficam:
    Vermelhas
    Inchadas
    Sagram por vezes
o Destruição do osso e dos tecidos que suportam o dente.

o Causa mobilidade dentária, e pode conduzir à perda de dentes
Periodontite
• Escovar os dentes pelo menos 2x/dia

• Utilizar uma pasta com flúor.
                         flúor.

• Evitar os alimentos
  açucarados/pegajosos
  (snacks)

• Fazer uma alimentação saudável

• Ir ao Dentista ou Higienista de 6/ 6
  meses

• Selantes de Fissura
• Quantas vezes?
  ▫ Pelo menos duas vezes por dia

• Quando?
  ▫ Manhã
  ▫ Noite
  ▫ Depois da ingestão de alimentos açucarados

• Com que idade se deve iniciar a escovagem?
  ▫ Desde do nascimento
Complementa a escovagem

Remoção da placa bacteriana dos espaços interdentários

Iniciar quando a criança aos 8-10 anos idade, ou antes sempre que
os dentes estão em contacto
Reforça o esmalte dos dentes

Previne a cárie e evita a evolução da cárie

A melhor forma de dar flúor aos dentes é através do
dentífrico
Os Selantes são um tratamento preventivo, que funciona como
                        BARREIRA.
                        BARREIRA.

                                          Os selantes são aplicados
                                           nos dentes com fissuras
                                            Molares e pré-molares
                                                      pré-




        NÃO SUBSTITUI A ESCOVAGEM OU QUALQUER
               OUTRO MEIO DE PREVENÇÃO
Folheto sorriso
Folheto sorriso

Folheto sorriso

  • 1.
    Carla Afonso –Higienista Oral Centro de Saúde do Barreiro/ 2010
  • 2.
    Placa Bacteriana: Forma-se atravésde: Bactérias/ microorganismos Restos alimentares saliva
  • 3.
    Placa Bacteriana: Massa inicialmente invisível, mas quando em acumulação… Acumula-se sobretudo entre os dentes e junto à gengiva Inicia a sua formação logo depois de comermos
  • 4.
    Mais conhecido por“pedra” É a calcificação / endurecimento da placa bacteriana ao longo do tempo pelo efeito da saliva Já não é removido pela escovagem, mas somente por um profissional (Higienista oral ou Dentista)
  • 5.
  • 6.
    2ª fase Esmalte Dentina 1ª fase 3ª fase Polpa Cárie na dentina Cárie no esmalte Cárie na polpa
  • 7.
    Evitar o consumoexcessivo de alimentos açucarados. Evitar alimentos pegajosos/moles Preferencialmente, os doces devem ser ingeridos às refeições principais e não nos intervalos destas.
  • 8.
    Consequência da acumulaçãoda Placa Bacteriana Caracteriza-se pela inflamação das gengivas As gengivas ficam: Vermelhas Inchadas Sagram por vezes
  • 9.
    o Destruição doosso e dos tecidos que suportam o dente. o Causa mobilidade dentária, e pode conduzir à perda de dentes
  • 10.
  • 11.
    • Escovar osdentes pelo menos 2x/dia • Utilizar uma pasta com flúor. flúor. • Evitar os alimentos açucarados/pegajosos (snacks) • Fazer uma alimentação saudável • Ir ao Dentista ou Higienista de 6/ 6 meses • Selantes de Fissura
  • 12.
    • Quantas vezes? ▫ Pelo menos duas vezes por dia • Quando? ▫ Manhã ▫ Noite ▫ Depois da ingestão de alimentos açucarados • Com que idade se deve iniciar a escovagem? ▫ Desde do nascimento
  • 14.
    Complementa a escovagem Remoçãoda placa bacteriana dos espaços interdentários Iniciar quando a criança aos 8-10 anos idade, ou antes sempre que os dentes estão em contacto
  • 15.
    Reforça o esmaltedos dentes Previne a cárie e evita a evolução da cárie A melhor forma de dar flúor aos dentes é através do dentífrico
  • 16.
    Os Selantes sãoum tratamento preventivo, que funciona como BARREIRA. BARREIRA. Os selantes são aplicados nos dentes com fissuras Molares e pré-molares pré- NÃO SUBSTITUI A ESCOVAGEM OU QUALQUER OUTRO MEIO DE PREVENÇÃO