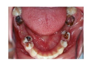
Cárie Dentária

O que é cárie ?
 A cárie é uma doença transmissível. Ela
 acontece quando há associação entre placa
 bacteriana cariogênica,dieta inadequada e
 higiene bucal deficiente. Quando o açúcar entra
 em contato com a placa bacteriana , forma-se
 ácidos que serão responsáveis pela saída de
 minerais do dente.
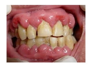
Gengivite

O que é gengivite?
  Uma inflamação da gengiva - é o estágio inicial
 da doença da gengiva e a mais fácil de ser
 tratada. A causa direta da doença é a placa -
 uma película viscosa e sem cor de bactérias
 que se forma, de maneira constante, nos
 dentes e na gengiva.
Como sei que tenho?
Os sintomas clássicos da gengivite incluem
gengivas vermelhas, inchadas e sensíveis que
podem sangrar durante a escovação. Outro
sintoma de doença é o recuo ou retração da
gengiva, conferindo aos dentes uma aparência
alongada. A doença da gengiva pode formar
bolsas entre os dentes e a gengiva, onde se
acumulam restos de comida e placa. Algumas
pessoas têm mau hálito frequente ou sentem
gosto ruim na boca, mesmo se a doença não
estiver em estágio avançado.
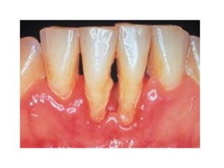
Periodontite
             O que é periodontite?
Periodontite é uma infecção que ataca e, com o
  tempo, destrói as estruturas que envolvem e
 sustentam os dentes. São atingidas a gengiva,
 o suporte ósseo e a camada externa da raiz do
  dente. A principal causa para o aparecimento
    deste mal é o acúmulo de bactérias, mas,
 alterações orgânicas como diabetes, leucemia,
  desnutrição, a Aids e, inclusive, o tabagismo,
        também podem ser responsáveis.
Turma: 1103


Professora: Sônia Nery
  Disciplina: Biologia
Alunos: Bheatriz Rocha
   Camila Monteiro
     Carlos Mateus
    Isabella Santos
  Josielma Rodrigues
    Weverton Vitor

1103 biologia

  • 1.
    Cárie Dentária O queé cárie ? A cárie é uma doença transmissível. Ela acontece quando há associação entre placa bacteriana cariogênica,dieta inadequada e higiene bucal deficiente. Quando o açúcar entra em contato com a placa bacteriana , forma-se ácidos que serão responsáveis pela saída de minerais do dente.
  • 4.
    Gengivite O que égengivite? Uma inflamação da gengiva - é o estágio inicial da doença da gengiva e a mais fácil de ser tratada. A causa direta da doença é a placa - uma película viscosa e sem cor de bactérias que se forma, de maneira constante, nos dentes e na gengiva.
  • 5.
    Como sei quetenho? Os sintomas clássicos da gengivite incluem gengivas vermelhas, inchadas e sensíveis que podem sangrar durante a escovação. Outro sintoma de doença é o recuo ou retração da gengiva, conferindo aos dentes uma aparência alongada. A doença da gengiva pode formar bolsas entre os dentes e a gengiva, onde se acumulam restos de comida e placa. Algumas pessoas têm mau hálito frequente ou sentem gosto ruim na boca, mesmo se a doença não estiver em estágio avançado.
  • 8.
    Periodontite O que é periodontite? Periodontite é uma infecção que ataca e, com o tempo, destrói as estruturas que envolvem e sustentam os dentes. São atingidas a gengiva, o suporte ósseo e a camada externa da raiz do dente. A principal causa para o aparecimento deste mal é o acúmulo de bactérias, mas, alterações orgânicas como diabetes, leucemia, desnutrição, a Aids e, inclusive, o tabagismo, também podem ser responsáveis.
  • 11.
    Turma: 1103 Professora: SôniaNery Disciplina: Biologia Alunos: Bheatriz Rocha Camila Monteiro Carlos Mateus Isabella Santos Josielma Rodrigues Weverton Vitor