DOENÇA DE PAGET
Dr. Marcelo Madureira Ramazotti
História da Doença de Paget
• 1876: James Paget nomeou de osteitis deformans em,
suspeitando de ser um processo inflamatório básico1,2
• Pesquisas mais recentes indicam infecção viral pelo
paramixovírus e fatores genéticos
Epidemiologia:
- Segunda causa mais comum de doença óssea nos
EUA
- Prevalência aumenta com a idade, incomum antes dos
40 anos
- 15% a 30% dos pacientes apresentam história familiar
positiva
- Mais comum em decendentes do Norte Europeu
Descrição
Doença crônica e progressiva do sistema esquelético
Aumento no número e hiperativividade ddos ósteoclastos
Excessiva reabsorção e formação óssea (ósteoblastos).
Lesões novas raramente se desenvolvem em osso não
afetado depois do diagnóstico
Fisiopatologia
Quatro fases:
1. Intensa atividade osteoclástica, onde a medular óssea é
substituida por tecido fibrovascular = tec de granulação
2. Soma-se uma formação óssea excessiva e
desorganizada, com aumento da vascularização e de
tecido conectivo.
3. Redução da atividade osteoclástica, com predomínio de
formação óssea
4. Redução da atividade osteoblástica. Pouca ou nenhuma
atividade de remodelação
Obs.: Podem ser encontradas diferentes fases no mesmo
osso e/ou em múltiplos ossos, cada qual com seu ritmo de
progressão.
Osso
Normal Paget
Quadro Clínico
• Assintomático à sintomas moderados
• Dx geralmente em achados incidentais
• Fosfatase alcalina total ou específica para osso aumentada
• Achados Radiológicos
• Sintomas inespecíficos ou sugerem outras
patologias
• dor, edema e calor local, pior à noite ou ao repouso
• crescimento ósseo
• deformidades (arqueamento, cifose)
• fraturas patológicas
• neuropatias compressivas (coluna e base do
crânio)
• ICC (hiperfluxo ósseo)
Distribuição
Pelve – 30-75%.
Sacro – 30-60%.
Coluna – 30-75%.
Crânio – 25-65%.
Porções proximais dos ossos
longos – fêmur (25~35%)
Incomum nas costelas, fíbula e
pequenos ossos das mãos e pés.
Distribuição
•Monostótica (10 ~ 35%) esq. axial
•Poliostótica (65~90%) assimétrica
• Predomínio no esqueleto axial, MMII e lado direito
• Acometimento de um novo osso anos após o início
da doença é raro
Achados laboratoriais
• Aumento sérico da fosfatase alcalina e hidroxiprolina, e
aumento da hidroxiprolina urinária, por elevado turn-over
ósseo
• Elevação da hidroxiprolina na atividade osteoclástica e FA
na osteoblástica (atividade da doença)
• Hipercalcemia por hiperparatireoidismo secundário em
10% dos indivíduos
• Elevação de ácido úrico (gota secundária)
Evolução
• Fase quente (osteolítica)
• Fase mista (intermediária)
• Fase fria (esclerótica ou osteoblástica)
• Ossos longos
• Áreas subcondrais de radiotransparência
• Bem delimitada
• Sem esclerose
• ”Folha de grama” ou “Chama deVela” ou “
Cunha progressiva”
• Pode estar isolada à diáfise (tíbia) – Raro
Imagem - Rx
Fase Lítica
Tíbia
Tíbia
1976
Progressão em 15 anos em uma paciente sem
tratamento
1991
Fase lítica
• Calota craniana
•Áreas bem delimitadas, geralmente grandes, de radiotransparência
• Frontal e occipital (osteoporose circunscrita)
• Ausência de esclerose na periferia (osteoporose)
•Acomete tábua interna > externa, ≠ da displasia fibrosa que externa > interna
Imagem - Rx
Calota craniana
Calota Craniana
Maioria dos casos vistos por radiologistas
• Espessamento do córtex e trabeculado grosseiro
• Patognomônico – ossos longos
• Início – Ao longo das linhas de força (tb áreas
desorganizadas)
Imagem - Rx
Fase mista
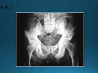
•Pelve:
• Espessamento cortical
• Esclerose das linhas ílio-pectínea e ísquio-púbica
• Asa do ilíaco pode estar envolvida
• Assimétrico (Direita)
• Aumento do ramo púbico e ísquio
Imagem - Rx
Fase mista
Pelve
Pelve
Fêmur
Fêmur
RX Pathologia
• Espessamento cortical nas margens do corpo
vertebral (“vértebra em moldura”)
• Trabeculado grosseiro na direção vertical
(mais grosseiro que nos hemangiomas)
• Achatamento da margem anterior do corpo
vertebral (vértebra quadrada)
Imagem - Rx
Fase mista
Coluna
Coluna
• Pode acometer apenas um, alguns ou todos os níveis
• Esclerose difusa do corpo vertebral (“vértebra em marfim”)
• Elementos posteriores também podem ser afetados
• Aumento da vértebra com ou sem os elementos posteriores
Imagem - Rx
Fase blástica
• Aumento da captação do radiofármaco no osso
anormal nas 3 fases
• Sensível (mais que Rx), porém não específica
• Área de captação é alongada
• Avaliação de doença poliostótica
•Controverso na literatura
Imagem - Cintilografia
Forma Poliostótica
Complicações
• Osteoartrite nos óssos adjacentes, especialmente no quadril
• Fratura (completa, fissura, compressão vertebral)
• Neurológicas
• Cardíacas
• Neoplásicas (Rara) Osteossarcoma
(<1%) Tumores de Céls. Gigantes
(benigno)
Fissura naTíbia
Fratura completa (Chalk-Stick) no Fêmur
Osteosarcoma no Femur
Tratamento
Bifosfonados (padrão ouro)
Calcitonica subcutânea (pouco usada)
Analgésicos
AINES, Inibidores da COX-2, analgésicos comuns,
opióides
Cirurgia
Fraturas, deformidades, osteoartrite

Doença de Paget

  • 1.
    DOENÇA DE PAGET Dr.Marcelo Madureira Ramazotti
  • 2.
    História da Doençade Paget • 1876: James Paget nomeou de osteitis deformans em, suspeitando de ser um processo inflamatório básico1,2 • Pesquisas mais recentes indicam infecção viral pelo paramixovírus e fatores genéticos
  • 3.
    Epidemiologia: - Segunda causamais comum de doença óssea nos EUA - Prevalência aumenta com a idade, incomum antes dos 40 anos - 15% a 30% dos pacientes apresentam história familiar positiva - Mais comum em decendentes do Norte Europeu
  • 4.
    Descrição Doença crônica eprogressiva do sistema esquelético Aumento no número e hiperativividade ddos ósteoclastos Excessiva reabsorção e formação óssea (ósteoblastos). Lesões novas raramente se desenvolvem em osso não afetado depois do diagnóstico
  • 5.
    Fisiopatologia Quatro fases: 1. Intensaatividade osteoclástica, onde a medular óssea é substituida por tecido fibrovascular = tec de granulação 2. Soma-se uma formação óssea excessiva e desorganizada, com aumento da vascularização e de tecido conectivo. 3. Redução da atividade osteoclástica, com predomínio de formação óssea 4. Redução da atividade osteoblástica. Pouca ou nenhuma atividade de remodelação Obs.: Podem ser encontradas diferentes fases no mesmo osso e/ou em múltiplos ossos, cada qual com seu ritmo de progressão.
  • 6.
  • 7.
    Quadro Clínico • Assintomáticoà sintomas moderados • Dx geralmente em achados incidentais • Fosfatase alcalina total ou específica para osso aumentada • Achados Radiológicos • Sintomas inespecíficos ou sugerem outras patologias • dor, edema e calor local, pior à noite ou ao repouso • crescimento ósseo • deformidades (arqueamento, cifose) • fraturas patológicas • neuropatias compressivas (coluna e base do crânio) • ICC (hiperfluxo ósseo)
  • 8.
    Distribuição Pelve – 30-75%. Sacro– 30-60%. Coluna – 30-75%. Crânio – 25-65%. Porções proximais dos ossos longos – fêmur (25~35%) Incomum nas costelas, fíbula e pequenos ossos das mãos e pés.
  • 9.
    Distribuição •Monostótica (10 ~35%) esq. axial •Poliostótica (65~90%) assimétrica • Predomínio no esqueleto axial, MMII e lado direito • Acometimento de um novo osso anos após o início da doença é raro
  • 10.
    Achados laboratoriais • Aumentosérico da fosfatase alcalina e hidroxiprolina, e aumento da hidroxiprolina urinária, por elevado turn-over ósseo • Elevação da hidroxiprolina na atividade osteoclástica e FA na osteoblástica (atividade da doença) • Hipercalcemia por hiperparatireoidismo secundário em 10% dos indivíduos • Elevação de ácido úrico (gota secundária)
  • 11.
    Evolução • Fase quente(osteolítica) • Fase mista (intermediária) • Fase fria (esclerótica ou osteoblástica)
  • 12.
    • Ossos longos •Áreas subcondrais de radiotransparência • Bem delimitada • Sem esclerose • ”Folha de grama” ou “Chama deVela” ou “ Cunha progressiva” • Pode estar isolada à diáfise (tíbia) – Raro Imagem - Rx Fase Lítica
  • 13.
  • 14.
  • 15.
    1976 Progressão em 15anos em uma paciente sem tratamento 1991
  • 16.
    Fase lítica • Calotacraniana •Áreas bem delimitadas, geralmente grandes, de radiotransparência • Frontal e occipital (osteoporose circunscrita) • Ausência de esclerose na periferia (osteoporose) •Acomete tábua interna > externa, ≠ da displasia fibrosa que externa > interna Imagem - Rx
  • 17.
  • 18.
  • 19.
    Maioria dos casosvistos por radiologistas • Espessamento do córtex e trabeculado grosseiro • Patognomônico – ossos longos • Início – Ao longo das linhas de força (tb áreas desorganizadas) Imagem - Rx Fase mista
  • 20.
    •Pelve: • Espessamento cortical •Esclerose das linhas ílio-pectínea e ísquio-púbica • Asa do ilíaco pode estar envolvida • Assimétrico (Direita) • Aumento do ramo púbico e ísquio Imagem - Rx Fase mista
  • 21.
  • 22.
  • 23.
  • 24.
  • 25.
    • Espessamento corticalnas margens do corpo vertebral (“vértebra em moldura”) • Trabeculado grosseiro na direção vertical (mais grosseiro que nos hemangiomas) • Achatamento da margem anterior do corpo vertebral (vértebra quadrada) Imagem - Rx Fase mista
  • 26.
  • 27.
  • 28.
    • Pode acometerapenas um, alguns ou todos os níveis • Esclerose difusa do corpo vertebral (“vértebra em marfim”) • Elementos posteriores também podem ser afetados • Aumento da vértebra com ou sem os elementos posteriores Imagem - Rx Fase blástica
  • 30.
    • Aumento dacaptação do radiofármaco no osso anormal nas 3 fases • Sensível (mais que Rx), porém não específica • Área de captação é alongada • Avaliação de doença poliostótica •Controverso na literatura Imagem - Cintilografia
  • 31.
  • 32.
    Complicações • Osteoartrite nosóssos adjacentes, especialmente no quadril • Fratura (completa, fissura, compressão vertebral) • Neurológicas • Cardíacas • Neoplásicas (Rara) Osteossarcoma (<1%) Tumores de Céls. Gigantes (benigno)
  • 33.
  • 34.
  • 35.
  • 36.
    Tratamento Bifosfonados (padrão ouro) Calcitonicasubcutânea (pouco usada) Analgésicos AINES, Inibidores da COX-2, analgésicos comuns, opióides Cirurgia Fraturas, deformidades, osteoartrite