Citopatologia
Aula 03 – Constituintes Normais do Esfregaço Cervicovaginal
Feminino
Feminino
Anatomia Trato Genital Feminino
Colo útero
Anatomia Trato Genital Feminino
Colo útero
Feminino
Colo útero
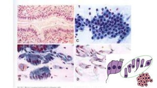
Histologia Trato Genital Feminino
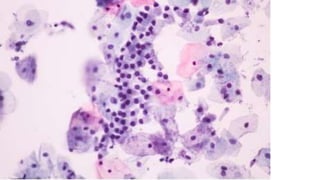
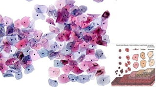
Células Escamosas
Histologia Trato Genital Feminino
Anatomia Trato Genital Feminino
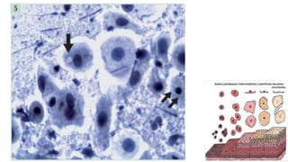
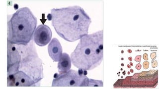
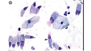
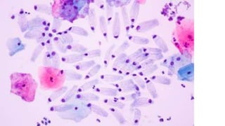
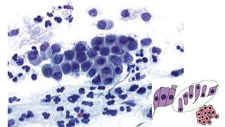
Células Glandulares
Histologia Trato Genital Feminino
Koss, Leopold G., and Myron R. Melamed, eds. Koss' diagnostic cytology and its histopathologic bases. Vol.
1. Lippincott Williams & Wilkins, 2006.
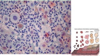
Trofismo do Epitélio
Epitélio Hipertrófico Epitélio HipotróficoEpitélio Normotrófico Epitélio Atrófico
CONSOLARO, Márcia Edilaine Lopes; MARIA-ENGLER, Silvya Stuchi. Citologia clínica cérvico-vaginal:
texto e atlas. Grupo Gen-Editora Roca Ltda., 2000.
Anatomia Trato Genital Feminino
JEC - Junção EscamoColunar
Anatomia Trato Genital Feminino
Colo útero
Feminino
Colo útero
JEC - Junção
EscamoColunar
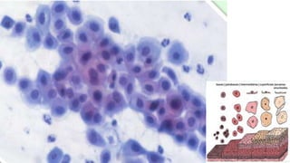
Citoplasma relativamente abundante, delicado,
semitransparente, que cora fracamente em azul, às vezes com
vacúolos.
Os núcleos são redondos ou ovais, com alguma variação do
tamanho, cromatina finamente granular exibindo cromocentros
ou nucléolo.
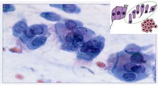
Quando as células são vistas lateralmente, assumem a forma
colunar alta característica, com núcleo oval, localizado na
região basal. Nessa perspectiva, quando em conjuntos,
constituem os arranjos conhecidos como “fila”, ou “paliçada”.
Quando as células são vistas de frente, elas se agrupam em
conjuntos monoestratificados, perdem a sua forma colunar e
apresentam, às vezes, bordas citoplasmáticas bem definidas,
lembrando um “favo de mel”. Os núcleos arredondados
mostram polaridade conservada (a distância entre os núcleos
é relativamente constante, não ocorrendo sobreposição
nuclear).
Constituintes Normais do Esfregaço Cervicovaginal
Constituintes Normais do Esfregaço Cervicovaginal
Constituintes Normais do Esfregaço Cervicovaginal
Constituintes Normais do Esfregaço Cervicovaginal
Constituintes Normais do Esfregaço Cervicovaginal
Constituintes Normais do Esfregaço Cervicovaginal
Constituintes Normais do Esfregaço Cervicovaginal
Constituintes Normais do Esfregaço Cervicovaginal
Constituintes Normais do Esfregaço Cervicovaginal
Constituintes Normais do Esfregaço Cervicovaginal
Constituintes Normais do Esfregaço Cervicovaginal
Constituintes Normais do Esfregaço Cervicovaginal
Constituintes Normais do Esfregaço Cervicovaginal
Constituintes Normais do Esfregaço Cervicovaginal
Constituintes Normais do Esfregaço Cervicovaginal

Constituintes Normais do Esfregaço Cervicovaginal