BIOMEDICINA
Citopatologia clínica
Cruz Alta, 2021/I
Citologia Hormonal
Prof. Dra. Janice Pavan Zanella
Citologia hormonal
• O que saber:
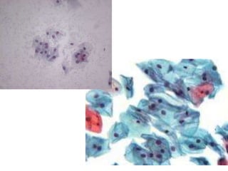
• O grau de maturação do epitélio escamoso do
trato genital feminino é hormônio dependente
• A variação no grau de maturação destas
células, serve com índice para avaliar a situação
endócrina da mulher
• Na tentativa de reproduzir numericamente a
avaliação hormonal dos esfregaços, aplica-se
(quando solicitado) o "índice de Frost", que
expressa a relação percentual entre as células
profundas, intermediarias e superficiais.
Aplicação clínica
• Avaliar alterações do ciclo menstrual;
• Estudar ciclos anovulatórios ou
ovulatórios,
• Acompanhar tratamentos hormonais.
Aspectos citológicos dos
estados hormonais funcionais
• Epitélio Malpighiano: é provido de
receptores hormonais que controlam a
maturação e a diferenciação celular.
• Localização: no núcleo e agem sobre o DNA
que preside à maturação/diferenciação do
núcleo/citoplasma.
• Informação: sobre as taxas dos estrógenos
e dos outros hormônios esteróides.
maturação e
diferenciação celular
Citologia Hormonal
RN-células superficiais e
intermediárias e algumas células
naviculares- 3 a 4 dias
15º dia- o esfregaço assume um
aspecto pré-pubertário do tipo
atrófico
Puberdade-maturação gradual do
epitélio e a instalação de ciclos
regulares.
Menacme- maturação e a
estabilização do ciclo menstrual
Menopausa- corresponde à cessação
das menstruações e à diminuição dos
hormônios esteróides
Período Pré-pubertário e
Puberdade
• Primeiros dias de vida: células
superficiais e intermediárias e
algumas células naviculares.Essa
imagem é temporária.
• 15º dia: do pós parto o esfregaço
assume um aspecto pré-pubertário
do tipo atrófico.
• Na proximidade da puberdade
observa-se maturação gradual do
epitélio e a instalação de ciclos
regulares.
•O ciclo menstrual:regulado
pela hipófise através do
ovário, que culmina com a
expulsão do óvulo, sua
eventual fecundação e sua
nidificação no endométrio.
•Ocorrida a ovulação, a
progesterona induz a fase
secretora, caracterizada por
um endométrio rico em
glicogênio, pronto para
receber uma possível
nidificação.
•Se esta não acontecer a
mucosa endometrial é
expulsa durante a
menstruação e o ciclo
recomeça.
Ciclo Menstrual
VARIAÇÃO HORMONAL DURANTE O CICLO MENSTRUAL-
Mulheres em menacme
Fase Menstrual (1º ao 5 º dia)
• O 1º dia da menstruação é considerado com o 1º dia do
ciclo.
• Aspecto: esfregaços hemorrágicos, células malpighianas
com plicaturas, em sua maioria intermediárias, e detritos
celulares, leucócitos, histiócitos e algumas células
cilíndricas endocervicais e também endometriais
glandulares isoladas e em aglomerado, de tamanhos
diversos.
• Fundo: aspecto “sujo”
• O IP – índice de picnose, habitualmente tem valores
baixos.
http://www.uftm.edu.br/instpub/fmtm/patge/citopatologia.htm
http://www.uftm.edu.br/instpub/fmtm/patge/citopatologia.htm
Fase Estrogênica (6º ao 14º dia)
• Início: (6º ao 12º dia): aglutinados de células
cianófilas intermediárias e superficiais com núcleo
vesiculoso.
• Depois : células superficiais isoladas se tornam
mais numerosas e representam a maioria do
esfregaço por volta da ovulação.
• A eosinofila e a picnose se elevam
progressivamente.
• Os leucócitos e os histiócitos, abundantes no
princípio, ficam raros.
• As hemáceas desaparecem.
• Fase pós-menstrual (6º ao 12º dia)
• Fase pré-ovulatória (12 ao 13º dia)
Fase Ovulatória ( 14º ao 15 º dia )
• Predominio de células superficiais eosinófilas
isoladas, com núcleos picnóticos.
• Leucócitos são raros.
• Fundo: aspecto limpo.
• Muco abundante e assume a disposição de
folha de samambaia. Esse fenômeno chamado Fenômeno da
Cristalização do Muco Cervical, decorre da presença de mucina e cloreto de sódio, cujas
quantidades variam conforme as fases do ciclo menstrual, portanto estão na dependência
das taxas hormonais de estrogênio e progesterona.
• As células endocervicais, incham , ficam
maiores e tem citoplasma abundante.
• Os núcleos podem apresentar excrescências
densas.
• Este aspecto das células endocervicais
persistem até o final do ciclo.
Fase Lútea ou Progestacional
(16º ao 28 º dia)
• O nº de células superficiais eosinófilas com
núcleos picnóticos diminui.
• Células intermediárias cianófilas e plicaturadas
se tornam mais abundantes.
• Há maior quantidade de leucócitos e muco.
• Final do ciclo: predomina aglomerado de
células intermediárias com citoplasma cianófilo
e pregueado.
• Instala-se a degeneração citoplasmática
(aspecto sujo, restos citoplasmaticos).
• A citólise com aparecimento de núcleos nús
resulta da atividade da flora lactobacilar.
Fenômeno da citólise
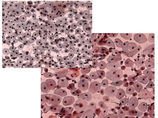
Menopausa e Pós-Menopausa
• A menopausa corresponde à cessação
das menstruações e à diminuição dos
hormônios esteróides.
• Se instala progressivamente e se
manifesta por modificações dos
esfregaços cérvico-vaginais.
• Podemos reconhecer 3 aspectos
citológicos:
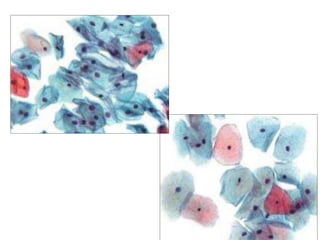
Primeiro aspecto:
(menopausa inicial)
• As imagens lembram as do
ciclo menstrual com atividade
estrogênica menos
pronunciada.
• As células intermediárias ficam
majoritárias e são
acompanhadas eventualmente
por lactobacilos.
• Nas mulheres que mantêm
atividade sexual, esse tipo de
esfregaço pode permanecer
após a menopausa cíclica.
Segundo aspecto:
(menopausa intermediária)
• Regressão marcada da atividade
estrogênica, com predomínio de
células intermediárias e uma
minoria de células parabais.
• O citoplasma das células
intermediárias pode conter
depósitos de glicogênio de
coloração amarelada (células
naviculares).
• Papanicolaou notou a tendência à
descamação em aglomerado nesse
tipo de esfregaço.
Terceiro aspecto:
(menopausa avançada)
• Predominio: células parabasais indicando a
diminuição da atividade hormonal.
• É o esfregaço da atrofia profunda ,
frequentemente acompanhado de fenômenos
inflamatórios.
• A diminuição da secreção de muco provoca a
dessecação das mucosas, que se manifesta
nos esfregaços por um aumento no tamanho
das células, que mostram núcleos volumosos
e pálidos.
Variação Hormonal - Mulheres menopausadas
Atrofia profunda
•Instala-se uma eosinofilia citoplasmática, com
fenômenos de picnose, cariorrexis e de variações de
tamanho e de formas das células, que tomam, ás vezes,
aspectos inquietantes.
•Pode-se observar células alongadas, fusiformes, com
núcleos estirados e pálidos e imagens de picnose que
sugerem a hipercromasia das células displásicas.
•Todos estes fenômenos coexistem em graus diversos e
devem ser reconhecidos como alterações benignas.
Atrofia celular
•A atrofia da mucosa vaginal favorece o
aparecimento de uma vaginite caracterizada
por modificações inflamatórias e
pronunciadas atipias nucleares e
citoplasmáticas.
•Quando existir dúvidas sobre a natureza
dessas atipias, a administração de pequenas
doses tópicas de estrógenos provoca a
regressão das atipias, enquanto as células pré-
cancerosas e cancerosas persistem.
???
Núcleos de células
atróficas
•A atrofia celular pode-se instalar
lentamente ou mesmo nunca aparecer.
•No último caso, os hormônios esteróides
de origem supra-renal e a continuação de
uma vida sexual ativa seriam os
responsáveis pela persistência duma certa
maturação do epitélio malpighiano.
•A castração cirúrgica ou a irradiação dos
ovários provocam , a curto prazo,
modificações similares do epitélio vaginal.
•Formações arredondadas, densas, cianófilas, do
tamanho de um núcleo volumoso: corpos azuis
•Trata-se, para alguns (Koss), de secreções mucosas,
condensadas, ou para outros, de células parabasais,
degeneradas.
•Os corpos azuis não devem ser confundidos com os
núcleos hipercromáticos de natureza neoplásica.
• As células endocervicais são pouco numerosas ou
podem estar completamente ausentes , mesmo nos
esfregaços de boa qualidade. O tamanho é reduzido
devido à diminuição da atividade secretora da
mucosa.
GRAVIDEZ
• Parada das variações cíclicas e pela
acentuação progressiva da estimulação
hormonal tipo progestacional
• 1ªs semanas: esfregaço tipo lúteo
menstrual ou revela uma estimulação
estrogênica moderada.
• Após 3º mês: aglomerado de células
intermediárias (naviculares de gravidez)com
lactobacilos abundantes e citólise.
• Endocervicais: hiperatividade secretora
(citoplasma claro e abundante)
• Esta imagem também é encontrada no
início da menopausa ou em certas
amenorréias
PRIMEIRAS SEMANAS
APÓS 3º MES
QUADRO CITOLÓGICO DO 1º
TRIMESTRE DA GRAVIDEZ:
• Predomina células
intermediárias com pequeno
nº de células em forma
navicular
• Aglutinação celular não
muito intensa, mas
predominante.
• Flora bacteriana exuberante
de Lactobacilos (Bacilos de
Doderlein)
• Poucos leucócitos
• IP - Índice de picnose e IE-
índice de eosinofila baixo
QUADRO CITOLÓGICO APÓS
O 1º TRIMESTRE DA
GRAVIDEZ
• Predomínio de células
naviculares
• Aglutinação celular intensa
• Exacerbação da flora de
bacilos de Doderlein
• Citólise frequente
• IP e IE baixos
• CRISE VAGINAL DO
PRÉ-PARTO
• Há dispersão celular
• Escasseamento da flora
bacteriana vaginal
• Pequeno aumento de IE
e IP
• Células intermediárias
mais arredondadas
poderão surgir
• QUADRO CITOLÓGICO
DO PÓS- PARTO
• Inicialmente esfregaço
hipotrófico
• Após 2 semanas:
• Com lactação:
esfregaço atrófico
• Sem lactação:
esfregaço hipotrófico
que passam a normo e
hipertrófico
• CITOLOGIA VAGINAL NA
GRAVIDEZ PATOLÓGICA
Sinais de alarme:
• Aspectos quantitativos:
aumenta os IE e IP ou da % de
células profundas
• Aspectos qualitativos:
modificações nos aspectos
relacionados com aglutinação
de células e seus
pregueamentos, células
naviculares,e bacilos,
leucócitos, etc. que
caracterizam os distintos
períodos de uma gravidez
normal.
• PROVA COM ESTROGÊNIO
• Esfregaço inicial para
citologia hormonal e após
administração estrogênio.
• Espera 4-5 dias (tempo para
o hormônio reagir) e coleta
outra lâmina para citologia
hormonal
• Compara as duas lâminas
Resultados
• Negativo: unidade feto/
placenta mal: aumento de
células superficiais (IE e IP).
Se a gestação está bem o
hormônio não reflete no
epitélio.
• Positivo: semelhante ao 1º
trimestre, a placenta
metaboliza o hormônio.
PÓS-PARTO
• Após o parto, a imagem do esfregaço se
modifica rapidamente: os aglomerados
de células naviculares e a citólise
desaparecem para dar lugar a um
quadro de atrofia composto por células
basais e intermediárias com bordas
arredondadas ou ovais, acentuada por
uma densificação do citoplasma
periférico.
• Estas células são acompanhadas de
leucócitos, histiócitos e muco, trazendo
um aspecto sujo ao esfregaço.
Emprego da Citologia como
Método de avaliação da
atividade hormonal
• 1847 por Pouchet
Regras:
– Coleta no terço médio da parede vaginal
– **Fenômenos inflamatórios, tratamentos
hormonais, irradiações ou cirurgias
recentes tiram toda a validade da
avaliação hormonal.
•MÉTODO:
Coletas seriadas (mínimo três) devem ser realizadas e
comparadas durante o mesmo ciclo ou no decurso de um
tratamento hormonal.
*material colhido do terço médio da vagina,
(paredes laterais),
*** no 7º dia do ciclo, de 3 em 3 dias
-As coletas deverão ser realizadas nos dias 7, 14, 21 e 28 após o término
de uma menstruação;
-Pausa sexual de 24horas, antes do exame;
-Não fazer uso de cremes, óvulovaginal, ducha, lavagem interna, USG
transvaginal ou toque ginecológico, nas 48 horas que antecedem o exame;
-Não estar menstruada, porém pode ser realizado na vigência de
sangramento não menstrual;
-Caso ocorra menstruação antes do 28° dia do ciclo, comunicar o
laboratório, pois a última coleta não será realizada;
-A coleta não é realizada em clientes virgens ou gestantes; Após cada
coleta um pequeno sangramento poderá ocorrer.
CITOLOGIA HORMONAL
SERIADA:
-Os dados clínicos (idade, dia do ciclo menstrual,
DUM, qquer situação fisiológica ou patológica do
aparelho genital) devem ser comunicados ao
citologista.
-Não há interpretação hormonal válida sem essas
informações.
-Os aspectos citológicos, a tomar em consideração,
na avaliação hormonal são o tipo de célula
malpighiana presentes e o modo de descamação.
- Iniciar a leitura com o aumento pequeno (40x), para se ter uma visão
panorâmica geral a fim de observar aspectos como o trofismo geral e a
presença de eventuais artefatos de técnicas e sobreposição celular.
- Escolher os melhores campos para leitura. Depois passar para um aumento
de 400x, para cálculo da porcentagem dos diferentes tipos celulares.
- *Recomenda-se contar de 400 a 700 células e em seguida efetuar uma
regra de 3 para obter o valor correspondente para 100 células.
Os tipos morfológicos que devem ser identificados são:
 Células superficiais eosinofílicas: células superficiais com núcleo picnótico e
citoplasma rosa
 Células superficiais cianofílicas: células com núcleo picnótico e citoplasma verde
 Células intermediárias cianofílicas: células sem núcleo picnótico e com
citoplasma verde
 Células profundas cianofílicas
Leitura ao microscópio:
ÍNDICES
• Diversos índices foram propostos para
quantificar os tipos celulares face à
atividade hormonal.
• Os índices são calculados contando um
mínimo de 100 células malpighianas em
quatro campos microscópicos diferentes
(*aula prática).
índice de Frost
• O indica, respectivamente da esquerda
para a direita, o percentual de células
profundas, intermediárias e superficiais,
porém é facilmente alterado em infecções
vaginais e/ou citólise.
• Ex:
• P/I/S (00/60/40)
• Índice de Frost
Exemplo:
a) Esfregaço atrófico: 100/00/00.
Células profundas: 100%
Células intermediárias: 0%
Células superficiais: 0%
b) Esfregaço em pico
estrogênico:00/30/70.
Células profundas: 0%
Células intermediárias: 30%
Células superficiais: 70%
Índice Picnótico ( IP)
• Percentagem de células com núcleo
picnótico entre todas as células
superficiais e intermediárias sem
considerar as afinidades tintoriais
citoplasmáticas.
• O valor máximo se situa no período
ovulatório e varia de uma paciente para
outra.
• *** (Desconsiderar afinidades tintoriais citoplasmáticas)
Índice Eosinófilo (IE)
• Percentagem de células maduras
eosinófilas entre todas as células
malpighianas maduras
independentemente do tamanho do
núcleo.
• *** (considerar afinidades tintoriais citoplasmáticas)
VALOR DE MATURAÇÃO (VM)
• VALOR DE MATURAÇÃO: é obtido
multiplicando a percentagem de cada tipo
celular pelo seu coeficiente:
• 10x0 + 30x0,5 + 60x1,0 = 75
A escala de valor vai de 100 a 0
O valor da maturação de 100 indica uma população
homogênea de células superficiais.
Enquanto o valor de maturação 0 aponta uma população
homogênea de células parabasais.
VALOR DE MATURAÇÃO (VM)
“VALOR” DOS ÍNDICES
• Época em que não se
dispunha de métodos
imunológicos.
• Estudos posteriores revelaram
que estes índices mostravam
tantas variações de uma
paciente à outra e, numa
mesma paciente de um ciclo a
outro que os resultados não
permitiam estabelecer um
balanço hormonal preciso.
• Dão uma orientação
diagnóstica com a condição de
colher diversos esfregaços
durante o ciclo ou durante um
tratamento hormonal.
• Os IM se mostraram úteis nos
problemas de fecundação
artificial, para definir o
momento da ovulação.
• Certas imagens citológicas
apresentam um significado,
independentemente do cálculo
de índices.
• Um esfregaço atrófico
testemunha uma ausência de
atividade hormonal,
• Enquanto um esfregaço
constituído de células
superficiais eosinófilas indica
um estímulo estrogênico
endógeno ou exógeno.
EXAME CITOLOGICO HORMONAL
Amostra: raspado vaginal- terço superior do canal vaginal
Metodologia: Citologia Hormonal : ( x ) simples ( ) seriada
Coloração de Papanicolaou
RESULTADO:
Quantidades equivalentes de células superficiais e intermediárias
IM: 00/45/55
PADRÃO CELULAR NORMOTRÓFICO
Obs:
____________________________
Citopatologista Responsável
Paciente/ Lâmina nº ________ ____________________
Data / /
Aluno (a) _____________________________________
PADRÃO P I S
PADRÃO Predomínio das células 00 70 a 100% 00 a 30%
HIPOTRÓFICO intermediárias em relação a superficiais
. . . . . . . . . . . . . . . . . . . . . . . . . . . . . . . . . . . . . . . . . . . . . . . . . . . . . . . . . . . . . . . . . . . . . . . . . . .
PADRÃO Quantidades equivalentes 00 30-70% 30-70%
NORMOTRÓFICO de células superficiais
e intermediárias
. . . . . . . . . . . . . . . . . . . . . . . . . . . . . . . . . . . . . . . . . . . . . . . . . . . . . . . . . . . . . . . . . . . . . . . . . . .
PADRÃO Predomínio de células 00 00 a 30% 70 a 100%
HIPERTRÓFICO superficiais com relação às
intermediárias. Também
denominado padrão
estrogênico.
. . . . . . . . . . . . . . . . . . . . . . . . . . . . . . . . . . . . . . . . . . . . . . . . . . . . . . . . . . . . . . . . . . . . . . . . . . .
PADRÃO Predomínio de células 05 a 30% 70 a 95% 00
ATRÓFICO LEVE intermediárias com
relação às profundas.
. . . . . . . . . . . . . . . . . . . . . . . . . . . . . . . . . . . . . . . . . . . . . . . . . . . . . . . . . . . . . . . . . . . . . . . . . . .
PADRÃO Predomínio ou 30 a 70% 70 a 30% 00
ATRÓFICO equivalência de células
MODERADO intermediárias com
relação às profundas.
. . . . . . . . . . . . . . . . . . . . . . . . . . . . . . . . . . . . . . . . . . . . . . . . . . . . . . . . . . . . . . . . . . . . . . . . . . .
PADRÃO Predomínio de células 70 a 100% 00 a 30% 00
ATRÓFICO profundas com
ACENTUADO relação às intermadiárias.
. . . . . . . . . . . . . . . . . . . . . . . . . . . . . . . . . . . . . . . . . . . . . . . . . . . . . . . . . . . . . . . . . . . . . . . . . . .
P=células profundas I=células intermediárias S= células superficiais
Exames correlatos:
Estradiol, progesterona, FSH, LH.
Fonte: Diagnósticos da America
Avaliação Cito hormonal
P - I – S
100 0 0 atrófico
90 10 0
0 95 5 hipotrófico avançado
0 90 10 discreta ação estrogênica
0 80 20
0 70 30 moderada ação estrogênica
0 60 40 nítida ação estrogênica
0 100 0 hipotrófico mínimo (menopausa)
hipo-estrogênico
10 90 0
50 50 0 hipotrófico moderado
55 45 0
ou + hipotrófico avançado
Cito hormonal
P - I – S (Profundas – Intermediárias – Superficiais)
Efeitos dos Tratamentos hormonais
sobre os esfregaços
•A administração oral ou parenteral de estrógenos
provoca uma maturação no epitélio malpighiano,
caracterizado por uma percentagem elevada de células
superficiais eosinófilas, as vezes de grande tamanho
com núcleos picnóticos.
•Essa maturação do epitélio é independente do tipo de
esfregaço inicial, no momento da administração
hormonal.
•Ela não ocorre (maturação) na vigência de uma
gravidez normal.
1-ESTRÓGENOS
O efeito dos hormônios progestacionais depende da
natureza do esfregaço inicial:
 Num esfregaço estrogênico, aparece uma regressão da
maturação com formação de aglomerado de células
intermediárias
 Num esfregaço atrófico ocorre uma proliferação do
epitélio com a presença de células intermediárias.
 Num esfregaço progestacional, não há modificação
observável.
2- PROGESTERONA:
• A curto prazo, o efeito dos estro-progestativos orais é
intermediário, entre os efeitos de cada hormônio.
•A longo prazo ( 2 ou 3 anos), observa-se às vezes uma
atrofia, dificilmente reversível.
3-ESTRÓGENOS E PROGESTERONA
Os ACOs mais comumente usados no Brasil são os monofásicos, isto é, todos os
comprimidos ativos têm a mesma composição e dose de progesterona e
estrógeno.
A grande maioria contêm 21 comprimidos que devem ser tomados diariamente a
partir do primeiro ao quinto dia do ciclo menstural, com pausa de 7 dias e início
de uma nova cartela após cada pausa. Este esquema imita um ciclo menstrual
de 28 dias, semelhante à média da população.
A ação depende igualmente do esfregaço inicial:
 Um esfregaço estrogênico mostra uma regressão da
maturidade epitelial,
 Um esfregaço lúteo não se modifica,
 E um esfregaço atrófico apresenta uma maturação
moderada.
• Em ginecologia, a utilidade clínica desse hormônio é
muito limitada.
4-ANDRÓGENOS
Efeito de Substâncias Não
Hormonais
•Num único estudo, os digitálicos (cardioglicosideos)
administrados durante mais de dois anos ,pareceu
provocar a maturação do epitélio pavimentoso na mulher
menopausada.
•A estrutura da molécula desse medicamento tem
semelhanças com a dos hormônios esteróides.
•digitálicos / cardioglicosideos: Quinidina, Procainamida, Lidocaína,
Amiodarona (também é antianginoso), Verapamil (também é anti-
hipertensivo). Estes medicamentos são utilizados na Insuficiência
Cardíaca Congestiva (ICC), aumentando a força de contração do
coração. São extraídos de plantas do gênero Digitalis.

citologia hormonal

  • 1.
    BIOMEDICINA Citopatologia clínica Cruz Alta,2021/I Citologia Hormonal Prof. Dra. Janice Pavan Zanella
  • 2.
    Citologia hormonal • Oque saber: • O grau de maturação do epitélio escamoso do trato genital feminino é hormônio dependente • A variação no grau de maturação destas células, serve com índice para avaliar a situação endócrina da mulher • Na tentativa de reproduzir numericamente a avaliação hormonal dos esfregaços, aplica-se (quando solicitado) o "índice de Frost", que expressa a relação percentual entre as células profundas, intermediarias e superficiais.
  • 3.
    Aplicação clínica • Avaliaralterações do ciclo menstrual; • Estudar ciclos anovulatórios ou ovulatórios, • Acompanhar tratamentos hormonais.
  • 4.
    Aspectos citológicos dos estadoshormonais funcionais • Epitélio Malpighiano: é provido de receptores hormonais que controlam a maturação e a diferenciação celular. • Localização: no núcleo e agem sobre o DNA que preside à maturação/diferenciação do núcleo/citoplasma. • Informação: sobre as taxas dos estrógenos e dos outros hormônios esteróides.
  • 5.
  • 6.
    Citologia Hormonal RN-células superficiaise intermediárias e algumas células naviculares- 3 a 4 dias 15º dia- o esfregaço assume um aspecto pré-pubertário do tipo atrófico Puberdade-maturação gradual do epitélio e a instalação de ciclos regulares. Menacme- maturação e a estabilização do ciclo menstrual Menopausa- corresponde à cessação das menstruações e à diminuição dos hormônios esteróides
  • 7.
    Período Pré-pubertário e Puberdade •Primeiros dias de vida: células superficiais e intermediárias e algumas células naviculares.Essa imagem é temporária. • 15º dia: do pós parto o esfregaço assume um aspecto pré-pubertário do tipo atrófico. • Na proximidade da puberdade observa-se maturação gradual do epitélio e a instalação de ciclos regulares.
  • 8.
    •O ciclo menstrual:regulado pelahipófise através do ovário, que culmina com a expulsão do óvulo, sua eventual fecundação e sua nidificação no endométrio. •Ocorrida a ovulação, a progesterona induz a fase secretora, caracterizada por um endométrio rico em glicogênio, pronto para receber uma possível nidificação. •Se esta não acontecer a mucosa endometrial é expulsa durante a menstruação e o ciclo recomeça. Ciclo Menstrual
  • 9.
    VARIAÇÃO HORMONAL DURANTEO CICLO MENSTRUAL- Mulheres em menacme
  • 10.
    Fase Menstrual (1ºao 5 º dia) • O 1º dia da menstruação é considerado com o 1º dia do ciclo. • Aspecto: esfregaços hemorrágicos, células malpighianas com plicaturas, em sua maioria intermediárias, e detritos celulares, leucócitos, histiócitos e algumas células cilíndricas endocervicais e também endometriais glandulares isoladas e em aglomerado, de tamanhos diversos. • Fundo: aspecto “sujo” • O IP – índice de picnose, habitualmente tem valores baixos.
  • 11.
  • 12.
  • 13.
    Fase Estrogênica (6ºao 14º dia) • Início: (6º ao 12º dia): aglutinados de células cianófilas intermediárias e superficiais com núcleo vesiculoso. • Depois : células superficiais isoladas se tornam mais numerosas e representam a maioria do esfregaço por volta da ovulação. • A eosinofila e a picnose se elevam progressivamente. • Os leucócitos e os histiócitos, abundantes no princípio, ficam raros. • As hemáceas desaparecem. • Fase pós-menstrual (6º ao 12º dia) • Fase pré-ovulatória (12 ao 13º dia)
  • 15.
    Fase Ovulatória (14º ao 15 º dia ) • Predominio de células superficiais eosinófilas isoladas, com núcleos picnóticos. • Leucócitos são raros. • Fundo: aspecto limpo. • Muco abundante e assume a disposição de folha de samambaia. Esse fenômeno chamado Fenômeno da Cristalização do Muco Cervical, decorre da presença de mucina e cloreto de sódio, cujas quantidades variam conforme as fases do ciclo menstrual, portanto estão na dependência das taxas hormonais de estrogênio e progesterona. • As células endocervicais, incham , ficam maiores e tem citoplasma abundante. • Os núcleos podem apresentar excrescências densas. • Este aspecto das células endocervicais persistem até o final do ciclo.
  • 17.
    Fase Lútea ouProgestacional (16º ao 28 º dia) • O nº de células superficiais eosinófilas com núcleos picnóticos diminui. • Células intermediárias cianófilas e plicaturadas se tornam mais abundantes. • Há maior quantidade de leucócitos e muco. • Final do ciclo: predomina aglomerado de células intermediárias com citoplasma cianófilo e pregueado. • Instala-se a degeneração citoplasmática (aspecto sujo, restos citoplasmaticos). • A citólise com aparecimento de núcleos nús resulta da atividade da flora lactobacilar.
  • 19.
  • 20.
    Menopausa e Pós-Menopausa •A menopausa corresponde à cessação das menstruações e à diminuição dos hormônios esteróides. • Se instala progressivamente e se manifesta por modificações dos esfregaços cérvico-vaginais. • Podemos reconhecer 3 aspectos citológicos:
  • 21.
    Primeiro aspecto: (menopausa inicial) •As imagens lembram as do ciclo menstrual com atividade estrogênica menos pronunciada. • As células intermediárias ficam majoritárias e são acompanhadas eventualmente por lactobacilos. • Nas mulheres que mantêm atividade sexual, esse tipo de esfregaço pode permanecer após a menopausa cíclica.
  • 22.
    Segundo aspecto: (menopausa intermediária) •Regressão marcada da atividade estrogênica, com predomínio de células intermediárias e uma minoria de células parabais. • O citoplasma das células intermediárias pode conter depósitos de glicogênio de coloração amarelada (células naviculares). • Papanicolaou notou a tendência à descamação em aglomerado nesse tipo de esfregaço.
  • 23.
    Terceiro aspecto: (menopausa avançada) •Predominio: células parabasais indicando a diminuição da atividade hormonal. • É o esfregaço da atrofia profunda , frequentemente acompanhado de fenômenos inflamatórios. • A diminuição da secreção de muco provoca a dessecação das mucosas, que se manifesta nos esfregaços por um aumento no tamanho das células, que mostram núcleos volumosos e pálidos.
  • 24.
    Variação Hormonal -Mulheres menopausadas
  • 25.
  • 26.
    •Instala-se uma eosinofiliacitoplasmática, com fenômenos de picnose, cariorrexis e de variações de tamanho e de formas das células, que tomam, ás vezes, aspectos inquietantes. •Pode-se observar células alongadas, fusiformes, com núcleos estirados e pálidos e imagens de picnose que sugerem a hipercromasia das células displásicas. •Todos estes fenômenos coexistem em graus diversos e devem ser reconhecidos como alterações benignas. Atrofia celular
  • 28.
    •A atrofia damucosa vaginal favorece o aparecimento de uma vaginite caracterizada por modificações inflamatórias e pronunciadas atipias nucleares e citoplasmáticas. •Quando existir dúvidas sobre a natureza dessas atipias, a administração de pequenas doses tópicas de estrógenos provoca a regressão das atipias, enquanto as células pré- cancerosas e cancerosas persistem.
  • 29.
  • 30.
  • 31.
    •A atrofia celularpode-se instalar lentamente ou mesmo nunca aparecer. •No último caso, os hormônios esteróides de origem supra-renal e a continuação de uma vida sexual ativa seriam os responsáveis pela persistência duma certa maturação do epitélio malpighiano. •A castração cirúrgica ou a irradiação dos ovários provocam , a curto prazo, modificações similares do epitélio vaginal.
  • 32.
    •Formações arredondadas, densas,cianófilas, do tamanho de um núcleo volumoso: corpos azuis •Trata-se, para alguns (Koss), de secreções mucosas, condensadas, ou para outros, de células parabasais, degeneradas. •Os corpos azuis não devem ser confundidos com os núcleos hipercromáticos de natureza neoplásica. • As células endocervicais são pouco numerosas ou podem estar completamente ausentes , mesmo nos esfregaços de boa qualidade. O tamanho é reduzido devido à diminuição da atividade secretora da mucosa.
  • 34.
    GRAVIDEZ • Parada dasvariações cíclicas e pela acentuação progressiva da estimulação hormonal tipo progestacional • 1ªs semanas: esfregaço tipo lúteo menstrual ou revela uma estimulação estrogênica moderada. • Após 3º mês: aglomerado de células intermediárias (naviculares de gravidez)com lactobacilos abundantes e citólise. • Endocervicais: hiperatividade secretora (citoplasma claro e abundante) • Esta imagem também é encontrada no início da menopausa ou em certas amenorréias
  • 35.
  • 36.
    QUADRO CITOLÓGICO DO1º TRIMESTRE DA GRAVIDEZ: • Predomina células intermediárias com pequeno nº de células em forma navicular • Aglutinação celular não muito intensa, mas predominante. • Flora bacteriana exuberante de Lactobacilos (Bacilos de Doderlein) • Poucos leucócitos • IP - Índice de picnose e IE- índice de eosinofila baixo QUADRO CITOLÓGICO APÓS O 1º TRIMESTRE DA GRAVIDEZ • Predomínio de células naviculares • Aglutinação celular intensa • Exacerbação da flora de bacilos de Doderlein • Citólise frequente • IP e IE baixos
  • 37.
    • CRISE VAGINALDO PRÉ-PARTO • Há dispersão celular • Escasseamento da flora bacteriana vaginal • Pequeno aumento de IE e IP • Células intermediárias mais arredondadas poderão surgir • QUADRO CITOLÓGICO DO PÓS- PARTO • Inicialmente esfregaço hipotrófico • Após 2 semanas: • Com lactação: esfregaço atrófico • Sem lactação: esfregaço hipotrófico que passam a normo e hipertrófico
  • 38.
    • CITOLOGIA VAGINALNA GRAVIDEZ PATOLÓGICA Sinais de alarme: • Aspectos quantitativos: aumenta os IE e IP ou da % de células profundas • Aspectos qualitativos: modificações nos aspectos relacionados com aglutinação de células e seus pregueamentos, células naviculares,e bacilos, leucócitos, etc. que caracterizam os distintos períodos de uma gravidez normal. • PROVA COM ESTROGÊNIO • Esfregaço inicial para citologia hormonal e após administração estrogênio. • Espera 4-5 dias (tempo para o hormônio reagir) e coleta outra lâmina para citologia hormonal • Compara as duas lâminas Resultados • Negativo: unidade feto/ placenta mal: aumento de células superficiais (IE e IP). Se a gestação está bem o hormônio não reflete no epitélio. • Positivo: semelhante ao 1º trimestre, a placenta metaboliza o hormônio.
  • 39.
    PÓS-PARTO • Após oparto, a imagem do esfregaço se modifica rapidamente: os aglomerados de células naviculares e a citólise desaparecem para dar lugar a um quadro de atrofia composto por células basais e intermediárias com bordas arredondadas ou ovais, acentuada por uma densificação do citoplasma periférico. • Estas células são acompanhadas de leucócitos, histiócitos e muco, trazendo um aspecto sujo ao esfregaço.
  • 41.
    Emprego da Citologiacomo Método de avaliação da atividade hormonal • 1847 por Pouchet Regras: – Coleta no terço médio da parede vaginal – **Fenômenos inflamatórios, tratamentos hormonais, irradiações ou cirurgias recentes tiram toda a validade da avaliação hormonal.
  • 42.
    •MÉTODO: Coletas seriadas (mínimotrês) devem ser realizadas e comparadas durante o mesmo ciclo ou no decurso de um tratamento hormonal. *material colhido do terço médio da vagina, (paredes laterais), *** no 7º dia do ciclo, de 3 em 3 dias
  • 43.
    -As coletas deverãoser realizadas nos dias 7, 14, 21 e 28 após o término de uma menstruação; -Pausa sexual de 24horas, antes do exame; -Não fazer uso de cremes, óvulovaginal, ducha, lavagem interna, USG transvaginal ou toque ginecológico, nas 48 horas que antecedem o exame; -Não estar menstruada, porém pode ser realizado na vigência de sangramento não menstrual; -Caso ocorra menstruação antes do 28° dia do ciclo, comunicar o laboratório, pois a última coleta não será realizada; -A coleta não é realizada em clientes virgens ou gestantes; Após cada coleta um pequeno sangramento poderá ocorrer. CITOLOGIA HORMONAL SERIADA:
  • 44.
    -Os dados clínicos(idade, dia do ciclo menstrual, DUM, qquer situação fisiológica ou patológica do aparelho genital) devem ser comunicados ao citologista. -Não há interpretação hormonal válida sem essas informações. -Os aspectos citológicos, a tomar em consideração, na avaliação hormonal são o tipo de célula malpighiana presentes e o modo de descamação.
  • 45.
    - Iniciar aleitura com o aumento pequeno (40x), para se ter uma visão panorâmica geral a fim de observar aspectos como o trofismo geral e a presença de eventuais artefatos de técnicas e sobreposição celular. - Escolher os melhores campos para leitura. Depois passar para um aumento de 400x, para cálculo da porcentagem dos diferentes tipos celulares. - *Recomenda-se contar de 400 a 700 células e em seguida efetuar uma regra de 3 para obter o valor correspondente para 100 células. Os tipos morfológicos que devem ser identificados são:  Células superficiais eosinofílicas: células superficiais com núcleo picnótico e citoplasma rosa  Células superficiais cianofílicas: células com núcleo picnótico e citoplasma verde  Células intermediárias cianofílicas: células sem núcleo picnótico e com citoplasma verde  Células profundas cianofílicas Leitura ao microscópio:
  • 46.
    ÍNDICES • Diversos índicesforam propostos para quantificar os tipos celulares face à atividade hormonal. • Os índices são calculados contando um mínimo de 100 células malpighianas em quatro campos microscópicos diferentes (*aula prática).
  • 47.
    índice de Frost •O indica, respectivamente da esquerda para a direita, o percentual de células profundas, intermediárias e superficiais, porém é facilmente alterado em infecções vaginais e/ou citólise. • Ex: • P/I/S (00/60/40)
  • 48.
    • Índice deFrost Exemplo: a) Esfregaço atrófico: 100/00/00. Células profundas: 100% Células intermediárias: 0% Células superficiais: 0% b) Esfregaço em pico estrogênico:00/30/70. Células profundas: 0% Células intermediárias: 30% Células superficiais: 70%
  • 49.
    Índice Picnótico (IP) • Percentagem de células com núcleo picnótico entre todas as células superficiais e intermediárias sem considerar as afinidades tintoriais citoplasmáticas. • O valor máximo se situa no período ovulatório e varia de uma paciente para outra. • *** (Desconsiderar afinidades tintoriais citoplasmáticas)
  • 50.
    Índice Eosinófilo (IE) •Percentagem de células maduras eosinófilas entre todas as células malpighianas maduras independentemente do tamanho do núcleo. • *** (considerar afinidades tintoriais citoplasmáticas)
  • 51.
  • 52.
    • VALOR DEMATURAÇÃO: é obtido multiplicando a percentagem de cada tipo celular pelo seu coeficiente: • 10x0 + 30x0,5 + 60x1,0 = 75 A escala de valor vai de 100 a 0 O valor da maturação de 100 indica uma população homogênea de células superficiais. Enquanto o valor de maturação 0 aponta uma população homogênea de células parabasais. VALOR DE MATURAÇÃO (VM)
  • 53.
    “VALOR” DOS ÍNDICES •Época em que não se dispunha de métodos imunológicos. • Estudos posteriores revelaram que estes índices mostravam tantas variações de uma paciente à outra e, numa mesma paciente de um ciclo a outro que os resultados não permitiam estabelecer um balanço hormonal preciso. • Dão uma orientação diagnóstica com a condição de colher diversos esfregaços durante o ciclo ou durante um tratamento hormonal. • Os IM se mostraram úteis nos problemas de fecundação artificial, para definir o momento da ovulação. • Certas imagens citológicas apresentam um significado, independentemente do cálculo de índices. • Um esfregaço atrófico testemunha uma ausência de atividade hormonal, • Enquanto um esfregaço constituído de células superficiais eosinófilas indica um estímulo estrogênico endógeno ou exógeno.
  • 54.
    EXAME CITOLOGICO HORMONAL Amostra:raspado vaginal- terço superior do canal vaginal Metodologia: Citologia Hormonal : ( x ) simples ( ) seriada Coloração de Papanicolaou RESULTADO: Quantidades equivalentes de células superficiais e intermediárias IM: 00/45/55 PADRÃO CELULAR NORMOTRÓFICO Obs: ____________________________ Citopatologista Responsável Paciente/ Lâmina nº ________ ____________________ Data / / Aluno (a) _____________________________________
  • 55.
    PADRÃO P IS PADRÃO Predomínio das células 00 70 a 100% 00 a 30% HIPOTRÓFICO intermediárias em relação a superficiais . . . . . . . . . . . . . . . . . . . . . . . . . . . . . . . . . . . . . . . . . . . . . . . . . . . . . . . . . . . . . . . . . . . . . . . . . . . PADRÃO Quantidades equivalentes 00 30-70% 30-70% NORMOTRÓFICO de células superficiais e intermediárias . . . . . . . . . . . . . . . . . . . . . . . . . . . . . . . . . . . . . . . . . . . . . . . . . . . . . . . . . . . . . . . . . . . . . . . . . . . PADRÃO Predomínio de células 00 00 a 30% 70 a 100% HIPERTRÓFICO superficiais com relação às intermediárias. Também denominado padrão estrogênico. . . . . . . . . . . . . . . . . . . . . . . . . . . . . . . . . . . . . . . . . . . . . . . . . . . . . . . . . . . . . . . . . . . . . . . . . . . . PADRÃO Predomínio de células 05 a 30% 70 a 95% 00 ATRÓFICO LEVE intermediárias com relação às profundas. . . . . . . . . . . . . . . . . . . . . . . . . . . . . . . . . . . . . . . . . . . . . . . . . . . . . . . . . . . . . . . . . . . . . . . . . . . . PADRÃO Predomínio ou 30 a 70% 70 a 30% 00 ATRÓFICO equivalência de células MODERADO intermediárias com relação às profundas. . . . . . . . . . . . . . . . . . . . . . . . . . . . . . . . . . . . . . . . . . . . . . . . . . . . . . . . . . . . . . . . . . . . . . . . . . . . PADRÃO Predomínio de células 70 a 100% 00 a 30% 00 ATRÓFICO profundas com ACENTUADO relação às intermadiárias. . . . . . . . . . . . . . . . . . . . . . . . . . . . . . . . . . . . . . . . . . . . . . . . . . . . . . . . . . . . . . . . . . . . . . . . . . . . P=células profundas I=células intermediárias S= células superficiais Exames correlatos: Estradiol, progesterona, FSH, LH. Fonte: Diagnósticos da America Avaliação Cito hormonal
  • 56.
    P - I– S 100 0 0 atrófico 90 10 0 0 95 5 hipotrófico avançado 0 90 10 discreta ação estrogênica 0 80 20 0 70 30 moderada ação estrogênica 0 60 40 nítida ação estrogênica 0 100 0 hipotrófico mínimo (menopausa) hipo-estrogênico 10 90 0 50 50 0 hipotrófico moderado 55 45 0 ou + hipotrófico avançado Cito hormonal P - I – S (Profundas – Intermediárias – Superficiais)
  • 57.
    Efeitos dos Tratamentoshormonais sobre os esfregaços
  • 58.
    •A administração oralou parenteral de estrógenos provoca uma maturação no epitélio malpighiano, caracterizado por uma percentagem elevada de células superficiais eosinófilas, as vezes de grande tamanho com núcleos picnóticos. •Essa maturação do epitélio é independente do tipo de esfregaço inicial, no momento da administração hormonal. •Ela não ocorre (maturação) na vigência de uma gravidez normal. 1-ESTRÓGENOS
  • 59.
    O efeito doshormônios progestacionais depende da natureza do esfregaço inicial:  Num esfregaço estrogênico, aparece uma regressão da maturação com formação de aglomerado de células intermediárias  Num esfregaço atrófico ocorre uma proliferação do epitélio com a presença de células intermediárias.  Num esfregaço progestacional, não há modificação observável. 2- PROGESTERONA:
  • 60.
    • A curtoprazo, o efeito dos estro-progestativos orais é intermediário, entre os efeitos de cada hormônio. •A longo prazo ( 2 ou 3 anos), observa-se às vezes uma atrofia, dificilmente reversível. 3-ESTRÓGENOS E PROGESTERONA Os ACOs mais comumente usados no Brasil são os monofásicos, isto é, todos os comprimidos ativos têm a mesma composição e dose de progesterona e estrógeno. A grande maioria contêm 21 comprimidos que devem ser tomados diariamente a partir do primeiro ao quinto dia do ciclo menstural, com pausa de 7 dias e início de uma nova cartela após cada pausa. Este esquema imita um ciclo menstrual de 28 dias, semelhante à média da população.
  • 61.
    A ação dependeigualmente do esfregaço inicial:  Um esfregaço estrogênico mostra uma regressão da maturidade epitelial,  Um esfregaço lúteo não se modifica,  E um esfregaço atrófico apresenta uma maturação moderada. • Em ginecologia, a utilidade clínica desse hormônio é muito limitada. 4-ANDRÓGENOS
  • 62.
    Efeito de SubstânciasNão Hormonais •Num único estudo, os digitálicos (cardioglicosideos) administrados durante mais de dois anos ,pareceu provocar a maturação do epitélio pavimentoso na mulher menopausada. •A estrutura da molécula desse medicamento tem semelhanças com a dos hormônios esteróides. •digitálicos / cardioglicosideos: Quinidina, Procainamida, Lidocaína, Amiodarona (também é antianginoso), Verapamil (também é anti- hipertensivo). Estes medicamentos são utilizados na Insuficiência Cardíaca Congestiva (ICC), aumentando a força de contração do coração. São extraídos de plantas do gênero Digitalis.