RISCOS QUÍMICOS
NR 15; anexos 11, 12 e 13 
Substâncias, compostos ou produtos  organismo  inalação, absorção ou ingestão 
Materiais  atividades ocupacionais  ambiente  processo: pulverização, fragmentação, emanações gasosas 
Sólido, líquido ou gasoso 
Exemplos... 
Classificação
Gases  hidrogênio, nitrogênio, oxigênio... 
Vapores  de gasolina, de água... 
Poeiras  sílica, carvão, asbesto... 
Fumos  Pb (solda) 
Névoas e neblinas  de tinta 
Fibras  animal, vegetal, vidros e cerâmica
Forma 
Efeitos 
Gases 
Vapores 
Névoas 
Aerodispersóides 
... 
•Poeiras 
•Fumos metálicos
POEIRAS 
Sílica, carvão, asbesto... 
Toda partícula sólida de qualquer tamanho ou origem, formada por trituração ou outra ruptura mecânica de um material original sólido, capaz de manter-se suspensa no ar 
0,1-25 micrômetros de diâmetro (>7 micrômetros) 
Classificação
POEIRAS 
Animal 
Mineral 
Vegetal
POEIRAS 
Sílica
POEIRAS 
Mineral 
SiO2 
Amorfa ou cristalizada  quartzo, tridimita, cristobalita e trípoli 
Pneumoconiose  silicose 
Sílica
POEIRAS 
Mineral com rigidez 
quantidade na natureza  rochas e areia 
Indústria 
Sílica
POEIRAS 
Mineração 
Explosivos 
Perfuração, corte e retirada de minérios 
Transporte, britagem, moagem, peneiramento e ensacamento 
Sílica
POEIRAS 
Cerâmica e vidro 
Operações de manuseio e preparação da massa 
Rebarbação, perfuração, torneamento e lixamento de pegas secas 
Esmaltação por revolver 
Preparação de formas refratarias, britagem, peneiramento, na carga de fornos, no corte de tijolos... 
Sílica
POEIRAS 
Metalurgia, fundição e siderurgia 
Polimento e jateamento abrasivo com areia 
Operações de modelagem e desmoldagem com areia 
Nas trocas, reparos e cortes de refratários 
Sílica
POEIRAS 
Química 
Fabricação de tintas, cosméticos, produtos farmacêuticos e inseticidas 
Produção polidores e abrasivos domésticos e industriais 
Fabricação de cimentos... 
Sílica
POEIRAS 
Construção civil 
Escavações de túneis e poços 
Operações de corte, furação e polimento de blocos de pedra, granito e quartzo... 
Sílica
POEIRAS 
Medidas de controle 
Sílica
POEIRAS 
Medidas de controle 
Identificação da existência do risco 
Medidas de controle da dispersão 
Ventilação exaustora 
Enclausuramento 
Isolamento 
Sílica
Medidas de controle 
Matéria prima  jateamento abrasivo
Medidas de controle 
Mudança no processo
Medidas de controle 
Umidificação 
perfuratriz 
esponjamento
baias de armazenamento 
esteira transportadora
descarte
Medidas de controle 
Limpeza
Medidas de controle 
Manutenção
Medidas de controle 
Sinalização e rotulagem
Medidas de controle 
Monitoramento ambiental
Medidas de controle 
EPI  proteção respiratória 
•Operações eventuais 
•Existência de risco não controlado
Medidas de controle 
Asseio pessoal
Medidas de controle 
Exames médicos / amostragem química
Medidas de controle 
Limiar o tempo de exposição 
Treinamento
POEIRAS 
Amianto  designação comercial genérica 
Variedade fibrosa de 6 minerais 
Flexibilidade e resistência tênsil, química, elétrica, térmica, tecido... 
Serpentinas (amianto branco) e anfíbolas (amianto marrom, azul e outros) 
Asbesto
POEIRAS 
Crisótilo  mineral +comum  asbesto 
Telhas (85% do uso) 
Revestimento de embreagens 
Revestimentos e coberturas de edifícios 
Gessos 
Revestimentos e roupas à prova de fogo 
Asbesto
POEIRAS 
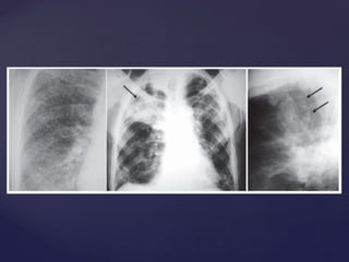
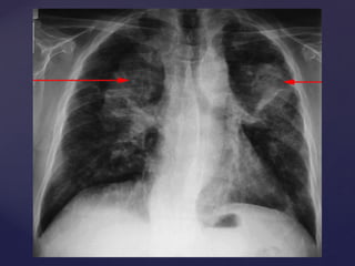
Doenças causadas 
Asbesto
POEIRAS 
Carvão
NÉVOA / NEBLINA 
Partículas líquidas (gotículas - >0,5 micras/2-6 micrômetros) produzidas mecanicamente (processo spray/dispersão) 
Partículas líquidas (gotículas – 0,01-10 m/<0,5 micras) geradas pela condensação de um estado gasoso (vapores), passagem rápida de ar nos líquidos ou desintegração de um estado líquido (ebulição)  > difusão que os fumos
FUMOS METÁLICOS 
Partículas sólidas (0,01-0,5 micrômetros / 0,5 micras / normalmente <1 micrômetro) resultante do uso industrial de metais, da condensação de vapores ou volatização de metais fundidos; acompanhado de reação química
GASES E VAPORES (moléculas no ar) 
Substância no estado gasoso a 25 C e 760 mm/Hg; não se modificam; expansão indefinida; ex. GLP 
Fase gasosa de substância líquida ou sólida a 25 C e 760 mm/Hg; podem se condensar

CIEFF-CEULJI/ULBRA-2014-Parte 4

  • 1.
  • 2.
    NR 15; anexos11, 12 e 13 Substâncias, compostos ou produtos  organismo  inalação, absorção ou ingestão Materiais  atividades ocupacionais  ambiente  processo: pulverização, fragmentação, emanações gasosas Sólido, líquido ou gasoso Exemplos... Classificação
  • 3.
    Gases  hidrogênio,nitrogênio, oxigênio... Vapores  de gasolina, de água... Poeiras  sílica, carvão, asbesto... Fumos  Pb (solda) Névoas e neblinas  de tinta Fibras  animal, vegetal, vidros e cerâmica
  • 4.
    Forma Efeitos Gases Vapores Névoas Aerodispersóides ... •Poeiras •Fumos metálicos
  • 10.
    POEIRAS Sílica, carvão,asbesto... Toda partícula sólida de qualquer tamanho ou origem, formada por trituração ou outra ruptura mecânica de um material original sólido, capaz de manter-se suspensa no ar 0,1-25 micrômetros de diâmetro (>7 micrômetros) Classificação
  • 12.
  • 13.
  • 14.
    POEIRAS Mineral SiO2 Amorfa ou cristalizada  quartzo, tridimita, cristobalita e trípoli Pneumoconiose  silicose Sílica
  • 17.
    POEIRAS Mineral comrigidez quantidade na natureza  rochas e areia Indústria Sílica
  • 18.
    POEIRAS Mineração Explosivos Perfuração, corte e retirada de minérios Transporte, britagem, moagem, peneiramento e ensacamento Sílica
  • 20.
    POEIRAS Cerâmica evidro Operações de manuseio e preparação da massa Rebarbação, perfuração, torneamento e lixamento de pegas secas Esmaltação por revolver Preparação de formas refratarias, britagem, peneiramento, na carga de fornos, no corte de tijolos... Sílica
  • 24.
    POEIRAS Metalurgia, fundiçãoe siderurgia Polimento e jateamento abrasivo com areia Operações de modelagem e desmoldagem com areia Nas trocas, reparos e cortes de refratários Sílica
  • 27.
    POEIRAS Química Fabricaçãode tintas, cosméticos, produtos farmacêuticos e inseticidas Produção polidores e abrasivos domésticos e industriais Fabricação de cimentos... Sílica
  • 29.
    POEIRAS Construção civil Escavações de túneis e poços Operações de corte, furação e polimento de blocos de pedra, granito e quartzo... Sílica
  • 31.
    POEIRAS Medidas decontrole Sílica
  • 32.
    POEIRAS Medidas decontrole Identificação da existência do risco Medidas de controle da dispersão Ventilação exaustora Enclausuramento Isolamento Sílica
  • 39.
    Medidas de controle Matéria prima  jateamento abrasivo
  • 41.
    Medidas de controle Mudança no processo
  • 42.
    Medidas de controle Umidificação perfuratriz esponjamento
  • 43.
    baias de armazenamento esteira transportadora
  • 44.
  • 45.
  • 48.
    Medidas de controle Manutenção
  • 49.
    Medidas de controle Sinalização e rotulagem
  • 50.
    Medidas de controle Monitoramento ambiental
  • 51.
    Medidas de controle EPI  proteção respiratória •Operações eventuais •Existência de risco não controlado
  • 53.
    Medidas de controle Asseio pessoal
  • 55.
    Medidas de controle Exames médicos / amostragem química
  • 56.
    Medidas de controle Limiar o tempo de exposição Treinamento
  • 60.
    POEIRAS Amianto designação comercial genérica Variedade fibrosa de 6 minerais Flexibilidade e resistência tênsil, química, elétrica, térmica, tecido... Serpentinas (amianto branco) e anfíbolas (amianto marrom, azul e outros) Asbesto
  • 61.
    POEIRAS Crisótilo mineral +comum  asbesto Telhas (85% do uso) Revestimento de embreagens Revestimentos e coberturas de edifícios Gessos Revestimentos e roupas à prova de fogo Asbesto
  • 62.
  • 63.
  • 65.
    NÉVOA / NEBLINA Partículas líquidas (gotículas - >0,5 micras/2-6 micrômetros) produzidas mecanicamente (processo spray/dispersão) Partículas líquidas (gotículas – 0,01-10 m/<0,5 micras) geradas pela condensação de um estado gasoso (vapores), passagem rápida de ar nos líquidos ou desintegração de um estado líquido (ebulição)  > difusão que os fumos
  • 66.
    FUMOS METÁLICOS Partículassólidas (0,01-0,5 micrômetros / 0,5 micras / normalmente <1 micrômetro) resultante do uso industrial de metais, da condensação de vapores ou volatização de metais fundidos; acompanhado de reação química
  • 68.
    GASES E VAPORES(moléculas no ar) Substância no estado gasoso a 25 C e 760 mm/Hg; não se modificam; expansão indefinida; ex. GLP Fase gasosa de substância líquida ou sólida a 25 C e 760 mm/Hg; podem se condensar