Artigo Inédito


                 Cerâmicas dentárias
                 Sidney Kina*




                          ReSumo                                                   materiais	 estéticos	 com	 excelen-
                          O	 desenvolvimento	 contínuo	 das	                       tes	 propriedades	 mecânicas.	 Den-
                          cerâmicas	 dentárias	 tem	 trazido,	                     tro	 desta	 perspectiva,	 atualmente	
                          aos	clínicos	e	aos	técnicos	em	pró-                      o	 mercado	 odontológico	 oferece	
                          tese	dentária	(TPD),	um	leque	cada	                      uma	gama	enorme	de	novos	mate-
                          vez	maior	de	opções	para	confecção	                      riais	e	sistemas	livres	de	metal	para	
                          de	próteses	funcionais	e	altamente	                      confecção	 de	 próteses,	 o	 que	 traz	
                          estéticas.	 Basicamente,	 podemos	                       ao	 clínico	 e	 ao	 TPD	 novas	 opções,	
                          observar	uma	grande	evolução	des-                        mas	 também	 novas	 dúvidas	 para	
                          tes	materiais,	onde	historicamente	                      decidir	entre	uma	ou	outra	alterna-
                          sua	 utilização	 estava	 associada	 a	                   tiva.	Para	tanto,	descrevemos	neste	
                          um	 reforço	 metálico,	 devido	 à	 sua	                  artigo	estes	materiais,	suas	indica-
                          baixa	 resistência	 à	 tensão	 e	 alta	                  ções	de	utilização,	bem	como	suas	
                          friabilidade,	 para	 associações	 com	                   limitações	clínicas.

                          PalavRaS-chave:	Cerâmicas	dentárias.	Sistemas	livres	de	metal.	Procera.	In-Ceram.	IPS	Empress.




                          	 *	Prof.	de	Prótese	Dental	e	Odontogeriatria	da	Universidade	Estadual	de	Maringá	–	UEM.	Prof.	de	Prótese		
                          	 	Dental	Fixa	do	Centro	Universitário	de	Maringá	–	CESUMAR




                                                                 R Dental Press Estét - v.2, n.2, p. 112-128, abr./maio/jun. 2005   111
Cerâmicas dentárias




                      IntRodução                                                na	fabricação	de	dentes	para	prótese	total.	Um	
                           A	cerâmica,	cuja	denominação	vinda	do	gre-           século	após,	em	1888,	Charles	Henry	Land,	den-
                      go	Keramiké	significa	“a	arte	do	oleiro”,	é	descri-       tista	em	Detroit,	após	vários	experimentos	com	
                      to	como	um	material	inorgânico,	não	metálico,	            materiais	cerâmicos,	projetou	e	patenteou	uma	
                      fabricado	 a	 partir	 de	 matérias	 primas	 naturais,	    metodologia	de	manuseio	de	inlays	cerâmicos,	
                      cuja	composição	básica	é	a	argila,	feldspato,	síli-       confeccionados	 sobre	 uma	 lâmina	 de	 platina.	
                      ca,	caulim,	quartzo,	filito,	talco,	calcita,	dolomita,	   Embora	tenha	obtido	sucesso,	a	aplicação	des-
                      magnesita,	 cromita,	 bauxito,	 grafita	 e	 zirconi-      tes	 trabalhos	 foi	 limitada,	 pois	 as	 técnicas	 de	
                      ta    .	Esta	composição,	presente	nos	diversos	ti-
                         3,12
                                                                                cocção	 da	 porcelana	 ainda	 não	 estavam	 total-
                      pos	de	cerâmica,	apresenta	de	forma	variada	de	           mente	 dominadas	 e	 esclarecidas,	 e	 as	 técnicas	
                      acordo	com	a	quantidade	de	cada	constituinte	             de	fixação	das	coroas	sobre	seus	preparos	eram	
                      e	agregação	de	outros	produtos	químicos	inor-             apenas	 por	 justaposição	 dos	 cimentos,	 pois	 as	
                      gânicos,	principalmente	óxidos	metálicos	sinté-           técnicas	de	adesão	ainda	estavam	longe	de	se-
                      ticos	 sob	 diferentes	 formas	 (calcinada,	 eletro-      rem	utilizadas.	Com	a	invenção	do	forno	elétri-
                      fundida	e	tabular).	Assim,	uma	grande	variedade	          co	em	1894,	e	da	porcelana	de	baixa	fusão	em	
                      de	 cerâmicas	 pode	 ser	 encontrada,	 indo	 desde	       1898,	 Land	 finalmente	 teve	 a	 oportunidade	 de	
                      simples	 vasos	 de	 barro,	 passando	 por	 azulejos,	     realizar	a	construção	de	coroas	totalmente	cerâ-
                      louças	e	porcelanas,	até	as	cerâmicas	dentárias	          micas	sobre	uma	lâmina	de	platina.	Entretanto,	
                      (Fig.	1-2).	                                              somente	em	1903,	após	o	aperfeiçoamento	das	
                                                                                cerâmicas	fundidas	a	altas	temperaturas,	é	que	
                      PeRSPectIvaS hIStóRIcaS daS ceRâmIcaS de                  foi	possível	a	Charles	Land	a	introdução	das	co-
                      uSo odontológIco                                          roas	de	jaqueta	de	porcelana,	abrindo	de	forma	
                           Desde	 muito,	 o	 homem	 procura	 artefatos	         definitiva	a	entrada	da	cerâmica	na	Odontologia	
                      que	 possam	 lhe	 substituir	 a	 contento	 os	 den-       restauradora12.	Atualmente,	com	o	domínio	tec-
                      tes	e	tecidos	circunvizinhos	perdidos.	A	história	        nológico	da	fabricação	de	cerâmicas	associados	
                      nos	conta	o	jogo	de	tentativas	e	erros	ao	longo	          a	potentes	e	controlados	fornos	de	queima,	as	
                      dos	 anos.	 Fez-se	 através	 dos	 tempos,	 graças	 às	    cerâmicas	 dentais	 apresentam	 características	
                      descobertas	e	aperfeiçoamento	que	uma	série	de	           físicas	 e	 mecânicas	 excelentes,	 representando,	
                      pesquisadores	 e	 autores	 transmitiram,	 um	 con-        dentre	 os	 materiais	 dentários	 com	 finalidade	
                      junto	de	materiais	restauradores	com	qualidades	          restauradora,	a	melhor	opção	na	busca	de	uma	
                      interessantes	para	este	fim,	como	biocompatibi-           cópia	fiel	dos	elementos	dentárias3,12.	
                      lidade,	durabilidade	e	aparência.	Em	tempos	mo-
                      dernos,	 as	 cerâmicas	 dentárias,	 com	 uma	 série	      ceRâmIcaS dentÁRIaS
                      de	 características	 intrínsecas	 desejáveis,	 apre-         	Com	qualidades	físicas	bastante	interessan-
                      sentam-se	como	um	dos	principais	materiais	na	            tes,	 as	 cerâmicas	 dentárias	 convencionais	 são	
                      ciência	 e	 arte	 da	 reconstrução	 dentária.	 Refe-      caracterizadas	 como	 vidros,	 apresentando	 uma	
                      rendado	pela	primeira	vez	como	material	odon-             quantidade	 maior	 de	 feldspato	 em	 comparação	
                      tológico	em	1774,	na	França,	pelo	químico	Alex	           aos	 outros	 elementos.	 Obtidas	 por	 meio	 da	 fu-
                      Duchateou	 e	 pelo	 dentista	 Nicholas	 Dubois	 de	       são	de	óxidos	em	alta	temperatura,	constituem	
                      Chemant,	a	cerâmica	foi	utilizada	com	sucesso	            uma	 estrutura	 complexa,	 com	 núcleos	 cristali-



112     R Dental Press Estét - v.2, n.2, p. 112-128, abr./maio/jun. 2005
Sidney Kina




Figura 1 e 2 - A	variação	na	quantidade	dos	produtos	que	compõe	a	matriz	básica	dos	materiais	cerâmicos,	assim	como	a	agregação	de	produtos	
químicos	diversos	(principalmente	óxidos	metálicos),	juntos	há	diferentes	tempos	e	temperaturas	de	queima,	produz	uma	enorme	variedade	de	pro-
dutos	cerâmicos.	Ex.:	Figura	1	-	Cerâmica	indiana	(barro	queimado).	Figura	2	-	Cerâmica	Dental	(cerâmica	do	sistema	IPS	Empress,	Ivocal	Vivadent).




nos	 não	 incorporados	 à	 matriz	 vítrea	 formada,	              ção	 em	 regiões	 de	 suporte	 de	 carga	 ou	 stress	
que	 atuam	 como	 arcabouço	 de	 reforço,	 torna-                 mastigatório.	Desta	forma,	diferentes	mecanis-
do-as	muito	mais	resistentes	que	os	vidros	co-                    mos	foram	considerados	para	melhorar	suas	ca-
muns.	Devido	à	sua	natureza	vítrea	e	cristalina	                  racterísticas,	reduzindo	seu	potencial	de	falhas	
(núcleos	cristalinos),	elas	apresentam	uma	inte-                  sobre	 stress.	 Tradicionalmente	 estes	 mecanis-
ração	de	reflexão	óptica	mais	elaborada,	muito	                   mos	envolvem	o	fortalecimento	das	estruturas	
semelhante	 às	 estruturas	 dentárias,	 e	 graças	 à	             cerâmicas	 através	 de	 um	 suporte	 interno,	 que	
sua	inércia	química	característica,	suas	proprie-                 apresente	resistência	adequada	e	união	efetiva	
dades	 de	 solubilidade	 e	 corrosão	 são	 bastante	              às	suas	estruturas,	de	modo	a	transmitir	as	ten-
adequadas,	possibilitando	a	construção	de	res-                    sões	de	um	substrato	a	outro.	Um	dos	métodos	
taurações	 com	 boa	 aparência	 e	 tolerância	 ao	                mais	 efetivos	 de	 fortalecimento	 é	 a	 utilização	
meio	bucal.	Outro	atributo	importante	está	no	                    de	 subestruturas	 metálicas	 (coping	 metálico)	
fato	das	cerâmicas	constituírem-se	em	excelen-                    sobre	 as	 quais	 a	 cerâmica	 é	 aplicada.	 Efetivo	 e	
tes	isolantes,	com	baixa	condutividade	e	difusi-                  amplamente	utilizado,	este	sistema	metal	+	ce-
vidade	térmica	e	elétrica .   11
                                                                  râmica	ou	metalo-cerâmica,	parece	ser	o	sistema	
   Suas	qualidades	mecânicas,	entretanto,	apre-                   mais	bem	sucedido	na	construção	de	restaura-
sentam	 comportamento	 pouco	 plástico,	 com	                     ções	estéticas	e	resistentes	ao	estresse	oclusal.	
propriedades	 tensionais	 precárias,	 tornando-as	                O	caso	clínico	número	1	exemplifica	a	utilização	
um	 material	 com	 baixa	 maleabilidade	 e	 sensi-                deste	sistema	metalo-cerâmico	(Fig.	3-7).
velmente	 friável,	 contra-indicando	 sua	 utiliza-                   Embora	comprovado	como	excelente	sistema	



                                                                                     R Dental Press Estét - v.2, n.2, p. 112-128, abr./maio/jun. 2005   113
Cerâmicas dentárias




Figura 3 - Prótese	 parcial	 fixa	 metalo-cerâmica	 (Cerâmica	 IPS	 d.Sign®,	   Figura 4 - Preparos	dentários	nos	elementos	11	e	13.
Ivoclar	Vivadent):	elementos	11	e	13	retentores,	12	e	14	ponticos.




Figura 5 e 6 - Cimentação	da	prótese.




                      restaurador,	as	próteses	metalo-cerâmicas	sem-                       conhecimento	 técnico	 muito	 acurado	 do	 den-
                      pre	se	apresentaram	ao	longo	do	tempo	como	                          tista	 e	 seu	 ceramista.	 Desta	 forma,	 não	 é	 raro	
                      um	desafio	na	obtenção	de	resultados	estéticos	                      observarmos	 situações	 clínicas	 onde	 preparos	
                      satisfatórios.	Construir	próteses	a	partir	de	uma	                   inadequados	e/ou	deficiências	técnicas	na	apli-
                      base	metálica,	que	em	sua	aparência	(opaca	de	                       cação	 da	 cerâmica,	 levam	 a	 uma	 opacificação	
                      cor	 cinza,	 prata	 ou	 dourada)	 não	 se	 assemelha	                exagerada	 do	 trabalho	 protético,	 afastando-
                      em	 nada	 com	 as	 estruturas	 dentárias,	 tecnica-                  o	 em	 muito	 das	 características	 ópticas	 de	 um	
                      mente	não	é	tarefa	fácil.	Escondê-la	ou	mascará-                     dente	natural.	Outro	fato	é	observado	nas	áreas	
                      la	 sob	 finas	 camadas	 de	 cerâmica,	 e	 transmitir	               de	margem	cervical,	onde,	freqüentemente,	um	
                      ao	 observador	 à	 impressão	 de	 sua	 inexistên-                    halo	escurecido	pode	ser	visto	associado	a	estas	
                      cia,	 dando	 à	 prótese	 todas	 as	 características	                 restaurações.	Isto	ocorre	pela	presença	da	bor-
                      de	nuances	de	cor	e	translucidez	de	um	dente	                        da	 metálica	 característica	 da	 metalo-cerâmica	
                      natural,	 exige	 uma	 combinação	 de	 destreza	 e	                   que,	 por	 situações	 diversas,	 pode	 ficar	 posicio-



114     R Dental Press Estét - v.2, n.2, p. 112-128, abr./maio/jun. 2005
Sidney Kina




Figura 7 - Resultado	final.	TPD.	José	Carlos	Romanini,	Londrina,	Pr.




nada	acima	da	margem	gengival,	ou	até	mesmo	                           se	 efetivamente	 seus	 problemas	 mecânicos.	 O	
quando	situada	no	sulco	gengival,	transparecer	                        caso	 clínico	 número	 2	 exemplifica	 a	 utilização	
através	 de	 tecidos	 marginais	 finos	 sombrean-                      de	 cerâmicas	 feldspáticas	 na	 forma	 de	 lamina-
do	 a	 mucosa.	 Desta	 forma,	 ao	 longo	 dos	 anos,	                  dos	cerâmicos	(Fig.	8-20).	
vêm	 se	 estudando	 alternativas	 para	 o	 fortale-
cimento	 das	 estruturas	 cerâmicas	 para	 coroas	                     modIFIcando a ceRâmIca:
e	pontes	com	objetivo	de	minimizar	o	risco	de	                         ReSIStêncIa e eStétIca
fraturas	 e	 outros	 insucessos,	 sem	 a	 necessida-                      Em	 verdade,	 as	 coroas	 de	 cerâmica	 pura,	 li-
de	da	utilização	de	subestruturas	metálicas.	Um	                       vres	 de	 metal,	 são	 utilizadas	 desde	 o	 início	 do	
grande	 avanço	 foi	 o	 surgimento	 das	 técnicas	                     século	XX,	quando	Charles	Henry	Land,	em	1903,	
de	tratamento	e	adesão	de	superfícies	cerâmi-                          introduziu	uma	das	formas	mais	estéticas	para	
cas,	 documentado	 por	 Horn ,	 que	 possibilita-
                                      5
                                                                       reconstrução	dentária,	através	das	famosas	co-
ram	que	cerâmica	vítreas	pudessem	ser	coladas	                         roas	de	jaqueta	cerâmica	(Porcelain-jacket	cro-
efetivamente	a	estruturas	dentárias	através	de	                        wn)13.	 Com	 qualidades	 estéticas	 ótimas,	 estas	
sistemas	 adesivos,	 utilizando	 assim	 o	 próprio	                    coroas	 são	 fabricadas	 com	 porcelanas	 feldspá-
preparo	dentário	como	reforço	de	sua	estrutu-                          ticas,	 que	 infelizmente,	 devido	 à	 sua	 baixa	 re-
ra.	Este	fato	permitiu	a	otimização	na	utilização	                     sistência,	limitam	sua	indicação	apenas	para	co-
de	 técnicas	 como	 laminados	 cerâmicos,	 inlays,                     roas	 unitárias	 em	 situações	 de	 pequeno	 stress	
onlays	e	coroas	unitárias,	embora	não	resolves-                        oclusal.	



                                                                                       R Dental Press Estét - v.2, n.2, p. 112-128, abr./maio/jun. 2005   115
Cerâmicas dentárias




Figura 8 - Caso	inicial.	Dentes	12,	11,	21	e	22,	com	intensa	descoloração	   Figura 9 - Preparos	dentários	para	laminados	cerâmicos.
e	desarmonia	anatômica.




Figura 10 - Laminados	cerâmicos	produzidos	sobre	técnica	de	refratário	      Figura 11 - Laminados	cerâmicos	sob	luz	negra	(luz	de	Wood).	Observe	a	
(Cerâmica	IPS	d.Sign®,	Ivoclar	Vivadent).                                    excelente	fluorescência	da	cerâmica.




                          Certos	da	eficácia	estética	da	cerâmica	pura,	                resistência	à	flexão	contendo	50%	de	óxido	de	
                      o	 desafio	 de	 encontrar	 soluções	 que	 atendes-                alumina,	 proporcionando	 duas	 vezes	 mais	 re-
                      sem	às	correspondentes	exigências	funcionais,	                    sistência	à	fratura	quando	comparadas	às	cerâ-
                      levou	a	pesquisas	buscando	alterar	a	estrutura	                   micas	 feldspáticas	 convencionais.	 Entretanto,	
                      das	cerâmicas	convencionais,	através	da	incor-                    apesar	 da	 melhora,	 observou-se	 uma	 perda	 na	
                      poração	de	substâncias,	principalmente	óxidos,	                   translucidez,	devido	à	transmissão	de	luz	ser	li-
                      no	intuito	de	seu	fortalecimento.                                 mitada	 pelos	 cristais	 de	 alumina,	 além	 de	 uma	
                                                                                        resistência	ainda	insuficiente	para	uso	na	região	
                      ceRâmIcaS alumInIzadaS                                            posterior	 e	 construção	 de	 próteses	 parciais	 fi-
                          Em	 uma	 primeira	 tentativa,	 McLean	 e	 Hu-                 xas4,10.	
                      ghs11	desenvolveram	uma	cerâmica	com	melhor	                          Considerado	um	caminho	promissor,	a	incor-



116     R Dental Press Estét - v.2, n.2, p. 112-128, abr./maio/jun. 2005
Sidney Kina




Figura 12 - Laminado	cerâmico	do	elemento	12.	Observe	no	detalhe	sua	      Figura 13 - Preparo	dentário	do	elemento	12.	Observe	o	término	cervical	
fina	espessura	e	translucidez.                                             supra	gengival.




Figura 14 - Laminado	seco	sobre	o	preparo	dentário.	Observe	a	diferença	   Figura 15 - Prova	do	laminado	através	de	pasta	matizada	(Variolink	II	Try	
de	cor	entre	dente	e	laminado.                                             In,	Ivoclar	Vivadent),	para	correção	da	cor	através	da	cimentação	adesiva.




poração	 de	 óxido	 de	 alumínio	 evidenciava	 me-                 flexão	quatro	vezes	mais	alta	que	uma	cerâmica	
lhora	 significativa	 nas	 propriedades	 mecânicas	                aluminizada	 a	 50%,	 muito	 embora,	 a	 alta	 con-
da	cerâmica.	Sadoun 	começou	a	trabalhar	com	
                         14
                                                                   centração	 de	 alumina	 acarrete	 em	 diminuição	
munhões	 aluminizados	 infiltrados	 por	 vidro,	 à	                significativa	 da	 translucidez	 com	 conseqüente	
base	de	óxido	de	lantânio	(La2O3),	com	cerca	de	                   empobrecimento	das	qualidades	ópticas	da	ce-
97%	de	agregação	de	óxidos	de	alumínio,	crian-                     râmica.	Desta	forma,	este	material	não	deve	ser	
do	 um	 sistema	 cerâmico	 de	 alta	 resistência.	                 usado	 como	 uma	 cerâmica	 de	 cobertura,	 mas,	
Este	sistema,	apresentado	pela	companhia	Vita	                     devido	à	sua	alta	resistência,	ser	aplicado	como	
(Zahnfabrik,	 Bad	 Sackingen,	 Alemanha)	 recebe	                  substituto	das	subestruturas	metálicas.	Esta	si-
o	nome	comercial	de	In-Ceram®	Alumina.	O	In-                       tuação,	permite	a	construção	de	coroas	totais	e	
Ceram®	 Alumina	 apresenta	 uma	 resistência	 à	                   próteses	fixas	de	três	elementos	(até	2o	pré-molar)	



                                                                                     R Dental Press Estét - v.2, n.2, p. 112-128, abr./maio/jun. 2005   117
Cerâmicas dentárias




Figura 16 - Laminados	cerâmicos	sobre	o	modelo	rígido.                              Figura 17 - Laminados	cimentados.




Figura 18, 19, 20 - Caso	 finalizado.	 Observe	 na	 fig.	 21	 o	 close-up	 da	 região	 de	
união	cervical	entre	laminado	cerâmico	e	estrutura	dentária.	TPD.	Paulo	Kano,	
São	Paulo,	SP.




                      livres	de	metal.	O	caso	clínico	número	3	exemplifi-
                      ca	a	utilização	deste	sistema	(Fig.	21	a	24).
                          Baseado	no	mesmo	sistema,	a	Vita	apresen-
                      ta	ainda	no	mercado	duas	variações	do	sistema	
                      In-Ceram®:	 o	 In-Ceram®	 Spinell,	 que	 agrega	
                      além	do	óxido	de	alumínio	o	óxido	de	magné-                              mente	 69%	 de	 óxido	 de	 alumina	 (Al2O3)	 com	
                      sio	 (aluminato	 de	 magnésio,	 MgAl2O4),	 o	 que	                       31%	 de	 óxido	 de	 zircônio	 (ZrO2),	 que	 resulta	
                      lhe	confere	o	dobro	de	translucidez	do	In-Ce-                            em	 um	 aumento	 significativo	 da	 resistência	 à	
                      ram®.	Entretanto,	o	ganho	em	padrões	estéti-                             flexão,	 conferindo	 um	 dos	 maiores	 valores	 de	
                      cos	tem	seu	preço,	com	a	perda	de	resistência	                           tenacidade	entre	os	materiais	cerâmicos.	Nova-
                      na	ordem	de	20%,	limita	suas	indicações	para	                            mente	observamos	aqui	uma	considerável	me-
                      coroas	unitárias	anteriores,	facetas	laminadas,	                         lhora	nas	condições	de	resistência	mecânica	em	
                      inlays	e	onlays .	    1
                                                                                               detrimento	das	qualidades	ópticas,	conduzindo	
                          Por	 outro	 lado,	 o	 sistema	 oferece	 o	 In-Ce-                    a	um	sistema	sensivelmente	opaco.	Suas	indica-
                      ram®	 Zircônia,	 uma	 mistura	 de	 aproximada-                           ções	mais	precisas	limitaram-se,	portanto,	para	



118     R Dental Press Estét - v.2, n.2, p. 112-128, abr./maio/jun. 2005
Sidney Kina




Figura 21 - Caso	 inicial.	 Coroas	 protéticas	 defeituosas	 nos	 elementos,	   Figura 22 - Preparos	dentários.	Observe	a	reconstrução	com	núcleos	me-
12,	11,	21,	22.                                                                 tálicos	e	a	ausência	do	elemento	22.




Figura 23 - Prova	dos	copings	cerâmicos	(Copings	de	In-Ceram®	Alumi-            Figura 24 - Resultado	final	(Cerâmica	de	cobertura:	Vitadur	Alpha,	Vita).	
na,	Vita).	Observe	a	infra-estrutura	do	elemento	22	em	cantilever.              Com	 características	 de	 baixa	 translucidez,	 observe	 que	 o	 emprego	 de	
                                                                                cerâmicas	com	alta	concentração	de	alumina	sobre	núcleos	metálicos	
                                                                                não	 altera	 o	 resultado	 final	 da	 coloração	 das	 restaurações	 protéticas.	
                                                                                (TPD.	João	Salvador,	Arapongas,	Pr.).




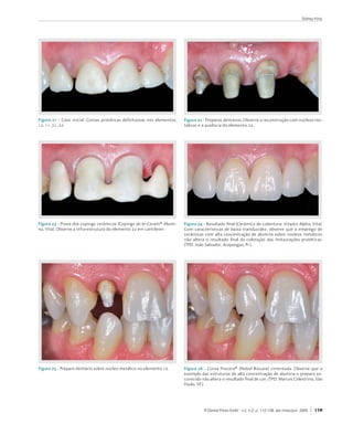
Figura 25 - Preparo	dentário	sobre	núcleo	metálico	no	elemento	12.              Figura 26 - Coroa	 Procera®	 (Nobel	 Biocare)	 cimentada.	 Observe	 que	 a	
                                                                                exemplo	das	estruturas	de	alta	concentração	de	alumina	o	preparo	es-
                                                                                curecido	não	altera	o	resultado	final	de	cor.	(TPD.	Marcos	Celestrino,	São	
                                                                                Paulo,	SP.).




                                                                                           R Dental Press Estét - v.2, n.2, p. 112-128, abr./maio/jun. 2005   119
Cerâmicas dentárias




Figura 27 - Caso	clínico	inicial.	Observe	a	estética	desfavorável,	com	os	    Figura 28 - Preparo	dentário	no	elemento	11	para	laminado	cerâmico	e	no	
incisivos	centrais	descolorados	e	anatomia	desproporcional.	                  21	para	coroa	total.




Figura 29 - Prova	de	infra-estruturas	de	IPS	Empress	II	(Ivoclar	Vivadent).   Figura 30 - Infra-estruturas	de	IPS	Empress	II	sobre	modelo	rígido.




Figura 31 - Coroas	finalizadas	cobertas	de	purpurina	dourada	para	checar	     Figura 32 - Coroas	finalizadas.	Cerâmica	de	cobertura	IPS	Eris	for	E2,	Ivo-
a	textura	final.                                                              clar	Vivadent.




120     R Dental Press Estét - v.2, n.2, p. 112-128, abr./maio/jun. 2005
Sidney Kina




Figura 33 - Condicionamento	ácido:	ácido	fluorídrico	10%	por	20	segundos.   Figura 34 - Silanização:	60	segundos.




Figura 35 - Aplicação	do	sistema	adesivo,	Excite	DSC	(Ivoclar	Vivadent).




                                                                                      R Dental Press Estét - v.2, n.2, p. 112-128, abr./maio/jun. 2005   121
Cerâmicas dentárias




Figura 36 - Condicionamento	ácido:	ácido	fosfórico	37%	por	15	segundos.    Figura 37 - Aplicação	do	sistema	adesivo.




Figura 38 - Fotopolimerização.




122     R Dental Press Estét - v.2, n.2, p. 112-128, abr./maio/jun. 2005
Sidney Kina




Figura 39 - Cimentação	da	coroa	cerâmica.                    Figura 40 - Coroa	cimentada.




regiões	posteriores,	tanto	para	coroas	unitárias	      anterior,	 na	 confecção	 de	 coroas	 unitárias,	
como	para	próteses	fixas	de	três	elementos         .
                                             2,	6,	7
                                                       facetas	 laminadas	 e	 próteses	 parciais	 fixas,	
   Outro	material	baseado	em	alta	concentra-           e	como	diferencial	importante:	na	confecção	
ção	de	óxido	de	alumínio	é	o	Procera®	(Nobel	          de	 abutmants	 personalizados	 para	 implan-
Biocare),	desenvolvido	por	Matts	Andersson .	      7
                                                       tes4,7.	 O	 caso	 clínico	 número	 4	 exemplifica	 a	
Este	sistema,	que	tem	como	um	dos	seus	di-             utilização	deste	sistema	(Fig.	25	e	26).
ferenciais	 o	 processo	 industrial	 computa-             Na	corrida	para	reforço	da	resistência	das	
dorizado,	 utilizando	 tecnologia	 CAD/CAM	            cerâmicas,	 outras	 idéias	 e	 materiais	 foram	
(Computer-Aided	Design/	Computer-Assisted	             desenvolvidos	 e	 introduzidos	 no	 mercado	
Machining),	 foi	 desenvolvido	 para	 criação	 de	     odontológico.	 A	 Ivoclar	 Vivadent	 apresenta	
subestruturas	de	próteses	cerâmicas	utilizan-          uma	cerâmica	feldspática	reforçada	por	cris-
do	óxido	de	alumínio	altamente	purificado	e	           tais	 de	 leucita	 (SiO2-Al2O3-K2O),	 que	 previ-
densamente	 sinterizado	 formado	 por	 mais	           ne	 a	 propagação	 de	 microfraturas	 internas	 à	
de	 99,5%	 de	 alumina	 (Al2O3).	 Este	 material	      matriz	 vítrea.	 Com	 o	 nome	 comercial	 de	 IPS	
é	 compreendido	 como	 a	 cerâmica	 de	 maior	         Empress®,	 este	 sistema	 emprega	 a	 técnica	
resistência	entre	as	cerâmicas	dentárias.	Este	        tradicional	da	cera	perdida,	onde	pastilhas	ce-
sistema,	a	exemplo	do	sistema	In-Ceram®	Alu-           râmicas	do	produto	são	injetadas	sobre	pres-
mina,	apresenta	certo	grau	de	opacificação	e	          são	e	calor	em	fornos	especiais	de	injeção.	Em	
tem	como	recomendação	do	fabricante	a	ce-              geral,	este	sistema	não	trabalha	na	confecção	
râmica	 Dulcera	 All-Ceram	 (Dulcera	 Rosbach	         de	 infra-estruturas	 (embora	 um	 coping	 do	
–	 Alemanha)	 para	 cobertura	 das	 infra-estru-       produto	 possa	 ser	 realizado	 para	 posterior	
turas,	muito	embora,	cerâmicas	como	a	Vita-            estratificação	cerâmica),	mas	na	obtenção	do	
dur	Alfa	(Vita,	Alemanha),	Cerabien	(Noritake,	        contorno	 final	 da	 restauração	 e,	 subseqüen-
Japão)	e	Creation-AV	(Klema,	Áustria)	possam	          temente,	 através	 de	 pintura	 ou	 maquiagem	
ser	utilizadas.	Este	sistema	está	indicado	para	       proporcionar	 suas	 características	 de	 cor	 e	
utilização	 tanto	 nas	 regiões	 posterior	 como	      estética	final.	Com	resultados	estéticos	inte-



                                                                       R Dental Press Estét - v.2, n.2, p. 112-128, abr./maio/jun. 2005   123
Cerâmicas dentárias




Figura 41 - Coroa	e	laminado	cerâmico	cimentados.




Figura 42 - Resultado	final.	TPD.	Victor-Hugo	do	Carmo,	Cugy,	Suíça.	




124     R Dental Press Estét - v.2, n.2, p. 112-128, abr./maio/jun. 2005
Sidney Kina




ressantes	 devido	 à	 sua	 boa	 translucidez,	 sua	                  Empress®	2.	Nesta	cerâmica,	os	cristais	de	dis-
limitação	em	relação	à	resistência	à	flexão	o	                       silicato	de	lítio	ficam	dispersos	em	uma	matriz	
restringe	 a	 trabalhos	 unitários,	 coroas,	 face-                  vítrea	 de	 forma	 interlaçada	 impedindo	 a	 pro-
tas,	inlays	e	onlays7,	8,	9.                                         pagação	 de	 trincas	 em	 seu	 interior.	 Com	 uma	
   Considerando	 as	 limitações	 de	 utilização	                     melhor	resistência	à	flexão	quando	comparado	
devido	 à	 baixa	 resistência	 à	 flexão	 de	 seu	 sis-              ao	sistema	IPS	Empress®,	este	sistema	permi-
tema	 IPS	 Empress®,	 a	 Ivoclar	 Vivadent	 não	                     te	a	confecção	de	coroas	unitárias,	facetas	la-
demorou	 em	 buscar	 novas	 alternativas	 para	                      minadas,	inlays,	onlays	e	próteses	fixas	de	três	
fabricação	 de	 próteses	 totalmente	 cerâmicas	                     elementos,	que	permitem	repor	dentes	até	o	2o	
com	 melhores	 requisitos	 mecânicos.	 Assim,	                       pré-molar.	Há	de	se	ressaltar,	aqui,	dois	pontos	
um	novo	ingrediente:	cristais	de	dissilicato	de	                     importantes	 do	 sistema:	 primeiro	 o	 alto	 pa-
lítio	(SiO2-LiO2)	foram	empregados,	formatan-                        drão	 estético	 possível,	 devido	 à	 matriz	 vítrea	
do	uma	nova	linha	do	sistema	denominado	IPS	                         e	 os	 cristais	 de	 dissilicato	 de	 lítio	 com	 índice	




  nome comercial           Fabricante                classificação                        Função                                  Indicação
                                              Feldspática	com	reforço	de	       Cerâmica	única,	não	requer	          Facetas,	inlays, onlays	e	coroas	
    Optec® HSp           Jeneric/pentrOn
                                                        leucita                    estrutura	de	reforço                         anteriores
                                              Feldspática	com	reforço	de	        Cerâmica	única	ou	como	             Facetas,	inlays, onlays	e	coroas	
    Optec® Opc           Jeneric/pentrOn
                                                        leucita                    estrutura	de	reforço                          unitárias

                                                 Aluminizada	de	alta	                                              Coroas	unitárias,	próteses	fixas	de	
  in-ceram® alumina             Vita                                             Infraestrutura	de	reforço
                                                    concentração                                                         3	elementos	anterior


                                              Aluminizada	com	adição	de	                                               Coroas	unitárias	anteriores,	
  in-ceram® Spinell             Vita                                             Infraestrutura	de	reforço
                                                  óxido	de	magnésia                                                      facetas,	inlays, onlays


                                              Aluminizada	com	adição	de	                                           Coroas	posteriores,	próteses	fixas	
 in-ceram® Zircônia             Vita                                             Infraestrutura	de	reforço
                                                  óxido	de	zircônia                                                 de	até	3	elementos	posteriores


                                                 Aluminizada	de	alta	                                                 Coroas	e	pontes	anteriores	e	
      prOcera®            nObel biOcare                                          Infraestrutura	de	reforço
                                                     densidade                                                            posteriores,	facetas

                                                 Porcelana	feldspática	         Cerâmica	única,	não	requer	         Coroas	unitárias,	facetas,	inlays	e	
    ipS empreSS®         iVOclar ViVadent
                                                 reforçada	por	leucita             estrutura	de	reforço                          onlays

                                                                                                                    Próteses	fixas	de	até	3	elementos	
                                               Cerâmica	com	reforço	de	
   ipS empreSS® 2        iVOclar ViVadent                                        Infraestrutura	de	reforço          até	2o	pré-molar,	coroas	unitárias,	
                                                  dissilicato	de	lítio
                                                                                                                                 facetas


                                                                                                                  Inlays, onlays,	facetas,	coroas	
                                                                                   Cerâmica	única	com	
    ipS empreSS®                              Cerâmica	vítrea	reforçada	                                             anteriores	(glazeadas	ou	
                         iVOclar ViVadent                                     possibilidade	de	estratificação	
       eStHetic                                     com	leucita                                                parcialmente	estratificadas),	coroas	
                                                                                   de	cobertura	parcial
                                                                                                                      posteriores	(glazeadas)


                                                                                Cerâmica	única,	não	requer	
      cerec® ii                SiemenS         Blocos	de	cerâmica	vítrea                                                  Inlays, onlays	e	facetas
                                                                                   estrutura	de	reforço

Quadro 1 - Alguns	exemplos	de	sistemas	cerâmicos	disponíveis	no	mercado	para	restaurações	livres	de	metal	e	suas	características.




                                                                                      R Dental Press Estét - v.2, n.2, p. 112-128, abr./maio/jun. 2005   125
Cerâmicas dentárias




                      claro                                                                                    translucidez


                      escuro                                                                                       opaco




                                                                           espaço

Quadro 2 - A	relação	entre	a	cor	do	substrato,	espaço	conseguido	no	preparo	dentário	e	o	grau	de	translucidez	do	sistema	restaurador,	deve	ser	
considerada	para	o	adequado	planejamento	estético.




                      de	refração	de	luz	semelhante,	sem	interferên-                sistemas	apresentam	qualidades	e	restrições	
                      cia	significativa	da	translucidez,	permitindo	a	              de	uso	semelhante	aos	aqui	citados.	O	quadro	
                      confecção	de	infraestruturas	que	não	interfe-                 1	 resume	 parte	 destes	 sistemas	 e	 suas	 indi-
                      rem	no	resultado	óptico	final	da	restauração.	                cações.
                      Segundo,	 sua	 alta	 adesividade	 aos	 cimentos	
                      adesivos,	 já	 que	 permite	 um	 tratamento	 de	              concluSõeS
                      superfície	através	de	ácidos	fortes	(ex.	Ácido	                   Parece	 claro	 que,	 se	 respeitado	 as	 indica-
                      Fluorídrico	a	10%)	e	silanização	de	sua	matriz	               ções	e	limitações	dos	diversos	sistemas	e	ma-
                      vítrea   7,8,15
                                        .	O	caso	clínico	número	5	exemplifi-        teriais	restauradores	protéticos,	suas	funções	
                      ca	a	utilização	deste	sistema	(Fig.	27-42).                   biomecânicas	 podem	 ser	 seguras	 e	 efetiva-
                          Muitos	 outros	 sistemas	 cerâmicos	 livres	              mente	cumpridas.	Desta	forma,	hoje	podemos	
                      de	 metal	 podem	 ser	 encontrados	 hoje	 no	                 trabalhar	de	forma	tranqüila	na	utilização	de	
                      mercado	 odontológico.	 Certamente,	 estes	                   restaurações	 cerâmicas	 livres	 de	 metal,	 em	



126     R Dental Press Estét - v.2, n.2, p. 112-128, abr./maio/jun. 2005
Sidney Kina




quase	 todas	 as	 situações	 clínicas	 referentes	       para	 confecção	 da	 restauração	 protética.	 Os	
a	 reconstruções	 dentárias	 fixas	 nos	 diversos	       espaços	 do	 preparo	 dentário	 devem	 ser	 ade-
segmentos	do	arco	dentário.	                             quados	para	confecção	da	infraestrutura	e	es-
   Visto	 que	 as	 indicações	 são	 claras,	 e	 todas	   tratificação	da	porcelana	de	cobertura,	dentro	
se	 baseiam	 principalmente	 na	 resistência	 dos	       dos	 padrões	 de	 rigidez	 estrutural,	 e	 de	 acor-
sistemas	 ao	 estresse	 oclusal,	 paira	 ainda	 uma	     do	 com	 a	 relação	 “cor	 do	 substrato	 X	 grau	 de	
dúvida	essencial:	respeitado	suas	(contra)	indi-         translucidez/opacidade	do	sistema”.
cações,	qual	sistema	me	garante	melhor	reso-                3)	 O	 grau	 de	 translucidez	 do	 sistema:	
lução	estética?	Sem	dúvida,	esta	questão	está	           baseado	 na	 cor	 e	 espaço	 do	 preparo	 dentário,	
longe	de	ser	resolvida,	mas	tomamos	a	liberda-           sistemas	 translúcidos	 ou	 opacos	 podem	
de,	 nesse	 momento,	 de	 tecer	 nossos	 próprios	       favorecer	 ou	 não	 a	 obtenção	 de	 um	 melhor	
comentários,	 baseados	 em	 nossa	 experiência	          resultado	estético.	Por	exemplo:	sistemas	com	
clínica	e	conhecimento	literário.                        alta	translucidez	como	o	IPS	Empress®	2	podem	
   A	 introdução	 de	 sistemas	 cerâmicos	 livres	       ser	 indicados	 sobre	 munhões	 metálicos	 que	
de	 metal,	 sem	 dúvida	 favorece	 em	 muito	 a	         oferecem	1,5	mm	de	espaço,	embora	seja	muito	
confecção	 de	 próteses	 mais	 estéticas,	 com	          provável	 que	 por	 transparência	 se	 observe	
resoluções	 ópticas	 muito	 semelhantes	 às	 das	        uma	 sombra	 do	 núcleo	 metálico	 sob	 a	 coroa.	
estruturas	dentais,	principalmente	no	quesito	           Nesta	 situação	 sistemas	 menos	 translúcidos,	
translucidez/luminosidade.	 Isto	 fica	 evidente	        como	 o	 In-Ceram®	 Alumina	 ou	 Procera®,	
quando	 imaginamos	 a	 dificuldade	 do	 TPD	 em	         podem	 alcançar	 melhor	 êxito	 estético.	 Em	
esconder	estruturas	metálicas	sob	finas	cama-            outro	exemplo,	podemos	imaginar	um	preparo	
das	cerâmicas.	No	entanto,	é	preciso	salientar	          dentário	 sobre	 um	 dente	 anterior,	 vital	 e	 de	
que	estes	sistemas	apenas	facilitam	o	trabalho,	         cor	 clara.	 Podemos	 indicar	 coroas	 de	 alumina	
mas	 não	 garantem	 em	 hipótese	 alguma	 o	 re-         semi-opacas,	 mas	 estaríamos	 perdendo	 uma	
sultado	estético.                                        excelente	 oportunidade	 de	 trabalhar	 com	
   Para	tanto,	alguns	fatores	críticos	na	esco-          sistemas	 translúcidos	 como	 o	 IPS	 Empress®	 2	
lha	 do	 melhor	 sistema	 restaurador	 devem	 ser	       ou	o	In-Ceram®	Spinell,	que	poderiam	garantir	
considerados	(Quadro	2):	                                uma	 fantástica	 interação	 de	 luz	 entre	 coroa	 /
   1)	A	cor	do	substrato:	de	suma	importância,	          preparo	dentário	/	tecidos	marginais	trazendo	
a	cor	do	substrato	determina	o	grau	de	opaci-            ao	conjunto	um	excelente	resultado	de	estética	
dade	necessária	para	realização	estética.	Desta	         natural.
forma,	 o	 fato	 de	 estarmos	 trabalhando	 sobre	          Por	 último,	 observamos	 a	 importância	 da	
preparos	vitais	de	cor	clara;	sobre	núcleos	esté-        combinação	harmônica	entre	o	clínico	e	o	TPD,	
ticos;	sobre	preparo	em	dentes	desvitalizados	           lembrando	sempre,	que	o	mais	importante	para	
altamente	escurecidos	ou	ainda	sobre	núcleos	            se	obter	ótimos	resultados	estético/funcionais	
metálicos,	 influi	 diretamente	 na	 indicação	 do	      não	está	na	dependência	da	utilização	deste	ou	
sistema.                                                 aquele	material,	e	sim	no	estudo	profundo	das	
   2)	O	espaço:	coordenado	com	a	cor	do	subs-            técnicas	e	do	manejo	dos	materiais	utilizados	
trato,	a	quantidade	de	desgaste	durante	o	pre-           e,	de	sobremaneira,	do	conhecimento	da	forma	
paro	dentário	determina	o	espaço	de	trabalho	            e	função	dos	componentes	dentários.



                                                                         R Dental Press Estét - v.2, n.2, p. 112-128, abr./maio/jun. 2005   127
Cerâmicas dentárias




                          Dental ceramics
                          The	continuous	development	of	dental	ceramics	                           presenting	 excellent	 mechanical	 properties.	
                          have	provided	the	clinicians	and	the	technicians	                        Under	this	perspective,	the	odontological	market	
                          in	 dental	 prosthesis	 (TDP)	 with	 a	 large	 amount	                   has	 been	 currently	 offering	 a	 large	 amount	 of	
                          of	 options	 for	 manufacturing	 functional	 and	                        new	 metal-free	 materials	 and	 systems	 in	 order	
                          highly	 aesthetic	 prostheses.	 Basically,	 it	 can	 be	                 to	 manufacture	 prostheses,	 what	 provides	 the	
                          observed	that	a	great	evolution	of	such	materials,	                      clinician	and	the	TDP	with	new	options,	but	new	
                          whose	use	was	historically	associated	to	a	metal	                        doubts	as	well	concerning	the	decision	between	
                          reinforcement	due	to	both	their	low	strength	to	                         one	 or	 other	 alternative.	 Therefore,	 the	 present	
                          tension	and	high	friability,	occurred	in	the	sense	                      article	 describes	 these	 materials	 and	 their	 use	
                          of	 associating	 them	 with	 aesthetic	 materials	                       indications,	as	well	as	their	clinical	limitations.	


                          KEY WORDS: Dental ceramics. Metal-free systems. Procera. In-Ceram. IPS Empress.




                      REfERênciaS

                      1.	 CERAMIC	materials.	adept Report,	[S.	l.],	v.	6,	no.	2,	p.1-20,	Spring	   10.	 McLEAN,	J.	W.	The	future	of	dental	porcelain.	In:	
                           1999.                                                                       INTERNATIONAL	SYMPOSIUM	ON	CERAMICS	DENTAL,	1.,	
                      2.	 CHICHE,	G.	J.;	PINAULT,	A.	estética em próteses fixas anteriores.	           Chicago,	1983. Proceedings…	Chicago:	Quintessence,	1983.
                           1.	ed.	São	Paulo:	Ed.	Santos,	1996.                                     11.	 McLEAN,	J.	W.;	HUGHS,	T.	H.	The	reinforcement	of	dental	
                      3.	 CRAIG.	R.	G.;	POWERS,	J.	M.	materiais dentários restauradores.	              porcelain	whith	ceramic	oxides.	Br dent J,	London,	p.119-251,	
                           11.	ed.	São	Paulo:	Ed.	Santos,	2004.                                        1965.
                      4.	 HEGENBARTH,	O.	Procera	aluminium	oxide	ceramics:	a	new	                  12.	 NOORT,	R.	Introdução aos materiais dentários.	2.	ed.	Porto	
                           way	to	archieve	stability,	precision,	and	esthetics	in	all-ceramic	         Alegre:	Artmed,	2004.
                           restorations.	Quintessence dent technol,	Chicago,	p.	21-34,	            13.	 RING,	M.	E.	dentistry:	an	illustrated	history.	New	York:	C.	V.	
                           1996.                                                                       Mosby,	1985.
                      5.	 HORN,	R.	H.	Porcelain	laminate	veneers	bonded	to	etched	                 14.	 SADOUN,	M.	all-ceramics bridges with slip casting technique.	
                           enamel.	dent clin north am,	Philadelphia,	v.	27,	p.	671-684,	               Presented	at	the	7th	International	Symposium	on	Ceramics.	
                           1983.                                                                       Paris,	1988.
                      6.	 HORNBERGER,	H.;	VOLLMANN,	M.;	THIEL,	N.	aspectos técnicos                15.	 SCHWEIGER,	M.;	HOLAND,	W.;	FRANK,	M.;	DERSCHER,	H.;	
                           de la mescla de óxido de aluminio y óxido de circonio desde                 RHEINBERGER,	V.	IPS	Empress	2:	a	new	pressable	high-
                           el punto de vista científico:	vita,	instrucciones	de	uso	e	                 strenght	glass-ceramic	for	esthetic	all-ceramic	restorations.	
                           elaboración	de	la	estructura.	Bad:	Säckingen,	1999.                         Quintessence dent technol,	Chicago,	p.143-151,	1999.
                      7.	 KINA,	S.;	KINA,	V.	V.;	HIRATA,	R.	Limites	das	restaurações	
                           estéticas.	In:	CARDOSO,	R.	J.	A.;	MACHADO,	M.	E.	L.	odontologia
                           arte e conhecimento.	1.	ed.	São	Paulo:	Artes	Médicas,	2003.	
                      	    p.	99-120.
                      8.	 KINA,	S.	et	al.	Laminados	Cerâmicos.	In:	MIYASHITA,	E.;	FONSECA,	
                           A.	S.	odontologia estética:	o	estado	da	arte.	1.	ed.	São	Paulo:	                Endereço para correspondência
                           Artes	Médicas,	2004.	p.	181-202.
                                                                                                    Sidney Kina
                      9.	 MACKERT,	J.	R.;	EVANS,	A.L.	Effect	of	colling	rate	on	leucite	
                                                                                                    Avenida	Paraná,	242	-	Sala	1406	-	14o	andar	
                           volume	fraction	in	dental	porcelain.	J dent Res,	Chicago,	v.	70,		       CEP	87013-070	-	Maringá	-	Paraná
                           p.	137-139,	1991.                                                        e-mail:	kina@wnet.com.br	-	site:	www.kinascopinhirata.com.br




128     R Dental Press Estét - v.2, n.2, p. 112-128, abr./maio/jun. 2005

Ceramicas

  • 1.
    Artigo Inédito Cerâmicas dentárias Sidney Kina* ReSumo materiais estéticos com excelen- O desenvolvimento contínuo das tes propriedades mecânicas. Den- cerâmicas dentárias tem trazido, tro desta perspectiva, atualmente aos clínicos e aos técnicos em pró- o mercado odontológico oferece tese dentária (TPD), um leque cada uma gama enorme de novos mate- vez maior de opções para confecção riais e sistemas livres de metal para de próteses funcionais e altamente confecção de próteses, o que traz estéticas. Basicamente, podemos ao clínico e ao TPD novas opções, observar uma grande evolução des- mas também novas dúvidas para tes materiais, onde historicamente decidir entre uma ou outra alterna- sua utilização estava associada a tiva. Para tanto, descrevemos neste um reforço metálico, devido à sua artigo estes materiais, suas indica- baixa resistência à tensão e alta ções de utilização, bem como suas friabilidade, para associações com limitações clínicas. PalavRaS-chave: Cerâmicas dentárias. Sistemas livres de metal. Procera. In-Ceram. IPS Empress. * Prof. de Prótese Dental e Odontogeriatria da Universidade Estadual de Maringá – UEM. Prof. de Prótese Dental Fixa do Centro Universitário de Maringá – CESUMAR R Dental Press Estét - v.2, n.2, p. 112-128, abr./maio/jun. 2005 111
  • 2.
    Cerâmicas dentárias IntRodução na fabricação de dentes para prótese total. Um A cerâmica, cuja denominação vinda do gre- século após, em 1888, Charles Henry Land, den- go Keramiké significa “a arte do oleiro”, é descri- tista em Detroit, após vários experimentos com to como um material inorgânico, não metálico, materiais cerâmicos, projetou e patenteou uma fabricado a partir de matérias primas naturais, metodologia de manuseio de inlays cerâmicos, cuja composição básica é a argila, feldspato, síli- confeccionados sobre uma lâmina de platina. ca, caulim, quartzo, filito, talco, calcita, dolomita, Embora tenha obtido sucesso, a aplicação des- magnesita, cromita, bauxito, grafita e zirconi- tes trabalhos foi limitada, pois as técnicas de ta . Esta composição, presente nos diversos ti- 3,12 cocção da porcelana ainda não estavam total- pos de cerâmica, apresenta de forma variada de mente dominadas e esclarecidas, e as técnicas acordo com a quantidade de cada constituinte de fixação das coroas sobre seus preparos eram e agregação de outros produtos químicos inor- apenas por justaposição dos cimentos, pois as gânicos, principalmente óxidos metálicos sinté- técnicas de adesão ainda estavam longe de se- ticos sob diferentes formas (calcinada, eletro- rem utilizadas. Com a invenção do forno elétri- fundida e tabular). Assim, uma grande variedade co em 1894, e da porcelana de baixa fusão em de cerâmicas pode ser encontrada, indo desde 1898, Land finalmente teve a oportunidade de simples vasos de barro, passando por azulejos, realizar a construção de coroas totalmente cerâ- louças e porcelanas, até as cerâmicas dentárias micas sobre uma lâmina de platina. Entretanto, (Fig. 1-2). somente em 1903, após o aperfeiçoamento das cerâmicas fundidas a altas temperaturas, é que PeRSPectIvaS hIStóRIcaS daS ceRâmIcaS de foi possível a Charles Land a introdução das co- uSo odontológIco roas de jaqueta de porcelana, abrindo de forma Desde muito, o homem procura artefatos definitiva a entrada da cerâmica na Odontologia que possam lhe substituir a contento os den- restauradora12. Atualmente, com o domínio tec- tes e tecidos circunvizinhos perdidos. A história nológico da fabricação de cerâmicas associados nos conta o jogo de tentativas e erros ao longo a potentes e controlados fornos de queima, as dos anos. Fez-se através dos tempos, graças às cerâmicas dentais apresentam características descobertas e aperfeiçoamento que uma série de físicas e mecânicas excelentes, representando, pesquisadores e autores transmitiram, um con- dentre os materiais dentários com finalidade junto de materiais restauradores com qualidades restauradora, a melhor opção na busca de uma interessantes para este fim, como biocompatibi- cópia fiel dos elementos dentárias3,12. lidade, durabilidade e aparência. Em tempos mo- dernos, as cerâmicas dentárias, com uma série ceRâmIcaS dentÁRIaS de características intrínsecas desejáveis, apre- Com qualidades físicas bastante interessan- sentam-se como um dos principais materiais na tes, as cerâmicas dentárias convencionais são ciência e arte da reconstrução dentária. Refe- caracterizadas como vidros, apresentando uma rendado pela primeira vez como material odon- quantidade maior de feldspato em comparação tológico em 1774, na França, pelo químico Alex aos outros elementos. Obtidas por meio da fu- Duchateou e pelo dentista Nicholas Dubois de são de óxidos em alta temperatura, constituem Chemant, a cerâmica foi utilizada com sucesso uma estrutura complexa, com núcleos cristali- 112 R Dental Press Estét - v.2, n.2, p. 112-128, abr./maio/jun. 2005
  • 3.
    Sidney Kina Figura 1e 2 - A variação na quantidade dos produtos que compõe a matriz básica dos materiais cerâmicos, assim como a agregação de produtos químicos diversos (principalmente óxidos metálicos), juntos há diferentes tempos e temperaturas de queima, produz uma enorme variedade de pro- dutos cerâmicos. Ex.: Figura 1 - Cerâmica indiana (barro queimado). Figura 2 - Cerâmica Dental (cerâmica do sistema IPS Empress, Ivocal Vivadent). nos não incorporados à matriz vítrea formada, ção em regiões de suporte de carga ou stress que atuam como arcabouço de reforço, torna- mastigatório. Desta forma, diferentes mecanis- do-as muito mais resistentes que os vidros co- mos foram considerados para melhorar suas ca- muns. Devido à sua natureza vítrea e cristalina racterísticas, reduzindo seu potencial de falhas (núcleos cristalinos), elas apresentam uma inte- sobre stress. Tradicionalmente estes mecanis- ração de reflexão óptica mais elaborada, muito mos envolvem o fortalecimento das estruturas semelhante às estruturas dentárias, e graças à cerâmicas através de um suporte interno, que sua inércia química característica, suas proprie- apresente resistência adequada e união efetiva dades de solubilidade e corrosão são bastante às suas estruturas, de modo a transmitir as ten- adequadas, possibilitando a construção de res- sões de um substrato a outro. Um dos métodos taurações com boa aparência e tolerância ao mais efetivos de fortalecimento é a utilização meio bucal. Outro atributo importante está no de subestruturas metálicas (coping metálico) fato das cerâmicas constituírem-se em excelen- sobre as quais a cerâmica é aplicada. Efetivo e tes isolantes, com baixa condutividade e difusi- amplamente utilizado, este sistema metal + ce- vidade térmica e elétrica . 11 râmica ou metalo-cerâmica, parece ser o sistema Suas qualidades mecânicas, entretanto, apre- mais bem sucedido na construção de restaura- sentam comportamento pouco plástico, com ções estéticas e resistentes ao estresse oclusal. propriedades tensionais precárias, tornando-as O caso clínico número 1 exemplifica a utilização um material com baixa maleabilidade e sensi- deste sistema metalo-cerâmico (Fig. 3-7). velmente friável, contra-indicando sua utiliza- Embora comprovado como excelente sistema R Dental Press Estét - v.2, n.2, p. 112-128, abr./maio/jun. 2005 113
  • 4.
    Cerâmicas dentárias Figura 3- Prótese parcial fixa metalo-cerâmica (Cerâmica IPS d.Sign®, Figura 4 - Preparos dentários nos elementos 11 e 13. Ivoclar Vivadent): elementos 11 e 13 retentores, 12 e 14 ponticos. Figura 5 e 6 - Cimentação da prótese. restaurador, as próteses metalo-cerâmicas sem- conhecimento técnico muito acurado do den- pre se apresentaram ao longo do tempo como tista e seu ceramista. Desta forma, não é raro um desafio na obtenção de resultados estéticos observarmos situações clínicas onde preparos satisfatórios. Construir próteses a partir de uma inadequados e/ou deficiências técnicas na apli- base metálica, que em sua aparência (opaca de cação da cerâmica, levam a uma opacificação cor cinza, prata ou dourada) não se assemelha exagerada do trabalho protético, afastando- em nada com as estruturas dentárias, tecnica- o em muito das características ópticas de um mente não é tarefa fácil. Escondê-la ou mascará- dente natural. Outro fato é observado nas áreas la sob finas camadas de cerâmica, e transmitir de margem cervical, onde, freqüentemente, um ao observador à impressão de sua inexistên- halo escurecido pode ser visto associado a estas cia, dando à prótese todas as características restaurações. Isto ocorre pela presença da bor- de nuances de cor e translucidez de um dente da metálica característica da metalo-cerâmica natural, exige uma combinação de destreza e que, por situações diversas, pode ficar posicio- 114 R Dental Press Estét - v.2, n.2, p. 112-128, abr./maio/jun. 2005
  • 5.
    Sidney Kina Figura 7- Resultado final. TPD. José Carlos Romanini, Londrina, Pr. nada acima da margem gengival, ou até mesmo se efetivamente seus problemas mecânicos. O quando situada no sulco gengival, transparecer caso clínico número 2 exemplifica a utilização através de tecidos marginais finos sombrean- de cerâmicas feldspáticas na forma de lamina- do a mucosa. Desta forma, ao longo dos anos, dos cerâmicos (Fig. 8-20). vêm se estudando alternativas para o fortale- cimento das estruturas cerâmicas para coroas modIFIcando a ceRâmIca: e pontes com objetivo de minimizar o risco de ReSIStêncIa e eStétIca fraturas e outros insucessos, sem a necessida- Em verdade, as coroas de cerâmica pura, li- de da utilização de subestruturas metálicas. Um vres de metal, são utilizadas desde o início do grande avanço foi o surgimento das técnicas século XX, quando Charles Henry Land, em 1903, de tratamento e adesão de superfícies cerâmi- introduziu uma das formas mais estéticas para cas, documentado por Horn , que possibilita- 5 reconstrução dentária, através das famosas co- ram que cerâmica vítreas pudessem ser coladas roas de jaqueta cerâmica (Porcelain-jacket cro- efetivamente a estruturas dentárias através de wn)13. Com qualidades estéticas ótimas, estas sistemas adesivos, utilizando assim o próprio coroas são fabricadas com porcelanas feldspá- preparo dentário como reforço de sua estrutu- ticas, que infelizmente, devido à sua baixa re- ra. Este fato permitiu a otimização na utilização sistência, limitam sua indicação apenas para co- de técnicas como laminados cerâmicos, inlays, roas unitárias em situações de pequeno stress onlays e coroas unitárias, embora não resolves- oclusal. R Dental Press Estét - v.2, n.2, p. 112-128, abr./maio/jun. 2005 115
  • 6.
    Cerâmicas dentárias Figura 8- Caso inicial. Dentes 12, 11, 21 e 22, com intensa descoloração Figura 9 - Preparos dentários para laminados cerâmicos. e desarmonia anatômica. Figura 10 - Laminados cerâmicos produzidos sobre técnica de refratário Figura 11 - Laminados cerâmicos sob luz negra (luz de Wood). Observe a (Cerâmica IPS d.Sign®, Ivoclar Vivadent). excelente fluorescência da cerâmica. Certos da eficácia estética da cerâmica pura, resistência à flexão contendo 50% de óxido de o desafio de encontrar soluções que atendes- alumina, proporcionando duas vezes mais re- sem às correspondentes exigências funcionais, sistência à fratura quando comparadas às cerâ- levou a pesquisas buscando alterar a estrutura micas feldspáticas convencionais. Entretanto, das cerâmicas convencionais, através da incor- apesar da melhora, observou-se uma perda na poração de substâncias, principalmente óxidos, translucidez, devido à transmissão de luz ser li- no intuito de seu fortalecimento. mitada pelos cristais de alumina, além de uma resistência ainda insuficiente para uso na região ceRâmIcaS alumInIzadaS posterior e construção de próteses parciais fi- Em uma primeira tentativa, McLean e Hu- xas4,10. ghs11 desenvolveram uma cerâmica com melhor Considerado um caminho promissor, a incor- 116 R Dental Press Estét - v.2, n.2, p. 112-128, abr./maio/jun. 2005
  • 7.
    Sidney Kina Figura 12- Laminado cerâmico do elemento 12. Observe no detalhe sua Figura 13 - Preparo dentário do elemento 12. Observe o término cervical fina espessura e translucidez. supra gengival. Figura 14 - Laminado seco sobre o preparo dentário. Observe a diferença Figura 15 - Prova do laminado através de pasta matizada (Variolink II Try de cor entre dente e laminado. In, Ivoclar Vivadent), para correção da cor através da cimentação adesiva. poração de óxido de alumínio evidenciava me- flexão quatro vezes mais alta que uma cerâmica lhora significativa nas propriedades mecânicas aluminizada a 50%, muito embora, a alta con- da cerâmica. Sadoun começou a trabalhar com 14 centração de alumina acarrete em diminuição munhões aluminizados infiltrados por vidro, à significativa da translucidez com conseqüente base de óxido de lantânio (La2O3), com cerca de empobrecimento das qualidades ópticas da ce- 97% de agregação de óxidos de alumínio, crian- râmica. Desta forma, este material não deve ser do um sistema cerâmico de alta resistência. usado como uma cerâmica de cobertura, mas, Este sistema, apresentado pela companhia Vita devido à sua alta resistência, ser aplicado como (Zahnfabrik, Bad Sackingen, Alemanha) recebe substituto das subestruturas metálicas. Esta si- o nome comercial de In-Ceram® Alumina. O In- tuação, permite a construção de coroas totais e Ceram® Alumina apresenta uma resistência à próteses fixas de três elementos (até 2o pré-molar) R Dental Press Estét - v.2, n.2, p. 112-128, abr./maio/jun. 2005 117
  • 8.
    Cerâmicas dentárias Figura 16- Laminados cerâmicos sobre o modelo rígido. Figura 17 - Laminados cimentados. Figura 18, 19, 20 - Caso finalizado. Observe na fig. 21 o close-up da região de união cervical entre laminado cerâmico e estrutura dentária. TPD. Paulo Kano, São Paulo, SP. livres de metal. O caso clínico número 3 exemplifi- ca a utilização deste sistema (Fig. 21 a 24). Baseado no mesmo sistema, a Vita apresen- ta ainda no mercado duas variações do sistema In-Ceram®: o In-Ceram® Spinell, que agrega além do óxido de alumínio o óxido de magné- mente 69% de óxido de alumina (Al2O3) com sio (aluminato de magnésio, MgAl2O4), o que 31% de óxido de zircônio (ZrO2), que resulta lhe confere o dobro de translucidez do In-Ce- em um aumento significativo da resistência à ram®. Entretanto, o ganho em padrões estéti- flexão, conferindo um dos maiores valores de cos tem seu preço, com a perda de resistência tenacidade entre os materiais cerâmicos. Nova- na ordem de 20%, limita suas indicações para mente observamos aqui uma considerável me- coroas unitárias anteriores, facetas laminadas, lhora nas condições de resistência mecânica em inlays e onlays . 1 detrimento das qualidades ópticas, conduzindo Por outro lado, o sistema oferece o In-Ce- a um sistema sensivelmente opaco. Suas indica- ram® Zircônia, uma mistura de aproximada- ções mais precisas limitaram-se, portanto, para 118 R Dental Press Estét - v.2, n.2, p. 112-128, abr./maio/jun. 2005
  • 9.
    Sidney Kina Figura 21- Caso inicial. Coroas protéticas defeituosas nos elementos, Figura 22 - Preparos dentários. Observe a reconstrução com núcleos me- 12, 11, 21, 22. tálicos e a ausência do elemento 22. Figura 23 - Prova dos copings cerâmicos (Copings de In-Ceram® Alumi- Figura 24 - Resultado final (Cerâmica de cobertura: Vitadur Alpha, Vita). na, Vita). Observe a infra-estrutura do elemento 22 em cantilever. Com características de baixa translucidez, observe que o emprego de cerâmicas com alta concentração de alumina sobre núcleos metálicos não altera o resultado final da coloração das restaurações protéticas. (TPD. João Salvador, Arapongas, Pr.). Figura 25 - Preparo dentário sobre núcleo metálico no elemento 12. Figura 26 - Coroa Procera® (Nobel Biocare) cimentada. Observe que a exemplo das estruturas de alta concentração de alumina o preparo es- curecido não altera o resultado final de cor. (TPD. Marcos Celestrino, São Paulo, SP.). R Dental Press Estét - v.2, n.2, p. 112-128, abr./maio/jun. 2005 119
  • 10.
    Cerâmicas dentárias Figura 27- Caso clínico inicial. Observe a estética desfavorável, com os Figura 28 - Preparo dentário no elemento 11 para laminado cerâmico e no incisivos centrais descolorados e anatomia desproporcional. 21 para coroa total. Figura 29 - Prova de infra-estruturas de IPS Empress II (Ivoclar Vivadent). Figura 30 - Infra-estruturas de IPS Empress II sobre modelo rígido. Figura 31 - Coroas finalizadas cobertas de purpurina dourada para checar Figura 32 - Coroas finalizadas. Cerâmica de cobertura IPS Eris for E2, Ivo- a textura final. clar Vivadent. 120 R Dental Press Estét - v.2, n.2, p. 112-128, abr./maio/jun. 2005
  • 11.
    Sidney Kina Figura 33- Condicionamento ácido: ácido fluorídrico 10% por 20 segundos. Figura 34 - Silanização: 60 segundos. Figura 35 - Aplicação do sistema adesivo, Excite DSC (Ivoclar Vivadent). R Dental Press Estét - v.2, n.2, p. 112-128, abr./maio/jun. 2005 121
  • 12.
    Cerâmicas dentárias Figura 36- Condicionamento ácido: ácido fosfórico 37% por 15 segundos. Figura 37 - Aplicação do sistema adesivo. Figura 38 - Fotopolimerização. 122 R Dental Press Estét - v.2, n.2, p. 112-128, abr./maio/jun. 2005
  • 13.
    Sidney Kina Figura 39- Cimentação da coroa cerâmica. Figura 40 - Coroa cimentada. regiões posteriores, tanto para coroas unitárias anterior, na confecção de coroas unitárias, como para próteses fixas de três elementos . 2, 6, 7 facetas laminadas e próteses parciais fixas, Outro material baseado em alta concentra- e como diferencial importante: na confecção ção de óxido de alumínio é o Procera® (Nobel de abutmants personalizados para implan- Biocare), desenvolvido por Matts Andersson . 7 tes4,7. O caso clínico número 4 exemplifica a Este sistema, que tem como um dos seus di- utilização deste sistema (Fig. 25 e 26). ferenciais o processo industrial computa- Na corrida para reforço da resistência das dorizado, utilizando tecnologia CAD/CAM cerâmicas, outras idéias e materiais foram (Computer-Aided Design/ Computer-Assisted desenvolvidos e introduzidos no mercado Machining), foi desenvolvido para criação de odontológico. A Ivoclar Vivadent apresenta subestruturas de próteses cerâmicas utilizan- uma cerâmica feldspática reforçada por cris- do óxido de alumínio altamente purificado e tais de leucita (SiO2-Al2O3-K2O), que previ- densamente sinterizado formado por mais ne a propagação de microfraturas internas à de 99,5% de alumina (Al2O3). Este material matriz vítrea. Com o nome comercial de IPS é compreendido como a cerâmica de maior Empress®, este sistema emprega a técnica resistência entre as cerâmicas dentárias. Este tradicional da cera perdida, onde pastilhas ce- sistema, a exemplo do sistema In-Ceram® Alu- râmicas do produto são injetadas sobre pres- mina, apresenta certo grau de opacificação e são e calor em fornos especiais de injeção. Em tem como recomendação do fabricante a ce- geral, este sistema não trabalha na confecção râmica Dulcera All-Ceram (Dulcera Rosbach de infra-estruturas (embora um coping do – Alemanha) para cobertura das infra-estru- produto possa ser realizado para posterior turas, muito embora, cerâmicas como a Vita- estratificação cerâmica), mas na obtenção do dur Alfa (Vita, Alemanha), Cerabien (Noritake, contorno final da restauração e, subseqüen- Japão) e Creation-AV (Klema, Áustria) possam temente, através de pintura ou maquiagem ser utilizadas. Este sistema está indicado para proporcionar suas características de cor e utilização tanto nas regiões posterior como estética final. Com resultados estéticos inte- R Dental Press Estét - v.2, n.2, p. 112-128, abr./maio/jun. 2005 123
  • 14.
    Cerâmicas dentárias Figura 41- Coroa e laminado cerâmico cimentados. Figura 42 - Resultado final. TPD. Victor-Hugo do Carmo, Cugy, Suíça. 124 R Dental Press Estét - v.2, n.2, p. 112-128, abr./maio/jun. 2005
  • 15.
    Sidney Kina ressantes devido à sua boa translucidez, sua Empress® 2. Nesta cerâmica, os cristais de dis- limitação em relação à resistência à flexão o silicato de lítio ficam dispersos em uma matriz restringe a trabalhos unitários, coroas, face- vítrea de forma interlaçada impedindo a pro- tas, inlays e onlays7, 8, 9. pagação de trincas em seu interior. Com uma Considerando as limitações de utilização melhor resistência à flexão quando comparado devido à baixa resistência à flexão de seu sis- ao sistema IPS Empress®, este sistema permi- tema IPS Empress®, a Ivoclar Vivadent não te a confecção de coroas unitárias, facetas la- demorou em buscar novas alternativas para minadas, inlays, onlays e próteses fixas de três fabricação de próteses totalmente cerâmicas elementos, que permitem repor dentes até o 2o com melhores requisitos mecânicos. Assim, pré-molar. Há de se ressaltar, aqui, dois pontos um novo ingrediente: cristais de dissilicato de importantes do sistema: primeiro o alto pa- lítio (SiO2-LiO2) foram empregados, formatan- drão estético possível, devido à matriz vítrea do uma nova linha do sistema denominado IPS e os cristais de dissilicato de lítio com índice nome comercial Fabricante classificação Função Indicação Feldspática com reforço de Cerâmica única, não requer Facetas, inlays, onlays e coroas Optec® HSp Jeneric/pentrOn leucita estrutura de reforço anteriores Feldspática com reforço de Cerâmica única ou como Facetas, inlays, onlays e coroas Optec® Opc Jeneric/pentrOn leucita estrutura de reforço unitárias Aluminizada de alta Coroas unitárias, próteses fixas de in-ceram® alumina Vita Infraestrutura de reforço concentração 3 elementos anterior Aluminizada com adição de Coroas unitárias anteriores, in-ceram® Spinell Vita Infraestrutura de reforço óxido de magnésia facetas, inlays, onlays Aluminizada com adição de Coroas posteriores, próteses fixas in-ceram® Zircônia Vita Infraestrutura de reforço óxido de zircônia de até 3 elementos posteriores Aluminizada de alta Coroas e pontes anteriores e prOcera® nObel biOcare Infraestrutura de reforço densidade posteriores, facetas Porcelana feldspática Cerâmica única, não requer Coroas unitárias, facetas, inlays e ipS empreSS® iVOclar ViVadent reforçada por leucita estrutura de reforço onlays Próteses fixas de até 3 elementos Cerâmica com reforço de ipS empreSS® 2 iVOclar ViVadent Infraestrutura de reforço até 2o pré-molar, coroas unitárias, dissilicato de lítio facetas Inlays, onlays, facetas, coroas Cerâmica única com ipS empreSS® Cerâmica vítrea reforçada anteriores (glazeadas ou iVOclar ViVadent possibilidade de estratificação eStHetic com leucita parcialmente estratificadas), coroas de cobertura parcial posteriores (glazeadas) Cerâmica única, não requer cerec® ii SiemenS Blocos de cerâmica vítrea Inlays, onlays e facetas estrutura de reforço Quadro 1 - Alguns exemplos de sistemas cerâmicos disponíveis no mercado para restaurações livres de metal e suas características. R Dental Press Estét - v.2, n.2, p. 112-128, abr./maio/jun. 2005 125
  • 16.
    Cerâmicas dentárias claro translucidez escuro opaco espaço Quadro 2 - A relação entre a cor do substrato, espaço conseguido no preparo dentário e o grau de translucidez do sistema restaurador, deve ser considerada para o adequado planejamento estético. de refração de luz semelhante, sem interferên- sistemas apresentam qualidades e restrições cia significativa da translucidez, permitindo a de uso semelhante aos aqui citados. O quadro confecção de infraestruturas que não interfe- 1 resume parte destes sistemas e suas indi- rem no resultado óptico final da restauração. cações. Segundo, sua alta adesividade aos cimentos adesivos, já que permite um tratamento de concluSõeS superfície através de ácidos fortes (ex. Ácido Parece claro que, se respeitado as indica- Fluorídrico a 10%) e silanização de sua matriz ções e limitações dos diversos sistemas e ma- vítrea 7,8,15 . O caso clínico número 5 exemplifi- teriais restauradores protéticos, suas funções ca a utilização deste sistema (Fig. 27-42). biomecânicas podem ser seguras e efetiva- Muitos outros sistemas cerâmicos livres mente cumpridas. Desta forma, hoje podemos de metal podem ser encontrados hoje no trabalhar de forma tranqüila na utilização de mercado odontológico. Certamente, estes restaurações cerâmicas livres de metal, em 126 R Dental Press Estét - v.2, n.2, p. 112-128, abr./maio/jun. 2005
  • 17.
    Sidney Kina quase todas as situações clínicas referentes para confecção da restauração protética. Os a reconstruções dentárias fixas nos diversos espaços do preparo dentário devem ser ade- segmentos do arco dentário. quados para confecção da infraestrutura e es- Visto que as indicações são claras, e todas tratificação da porcelana de cobertura, dentro se baseiam principalmente na resistência dos dos padrões de rigidez estrutural, e de acor- sistemas ao estresse oclusal, paira ainda uma do com a relação “cor do substrato X grau de dúvida essencial: respeitado suas (contra) indi- translucidez/opacidade do sistema”. cações, qual sistema me garante melhor reso- 3) O grau de translucidez do sistema: lução estética? Sem dúvida, esta questão está baseado na cor e espaço do preparo dentário, longe de ser resolvida, mas tomamos a liberda- sistemas translúcidos ou opacos podem de, nesse momento, de tecer nossos próprios favorecer ou não a obtenção de um melhor comentários, baseados em nossa experiência resultado estético. Por exemplo: sistemas com clínica e conhecimento literário. alta translucidez como o IPS Empress® 2 podem A introdução de sistemas cerâmicos livres ser indicados sobre munhões metálicos que de metal, sem dúvida favorece em muito a oferecem 1,5 mm de espaço, embora seja muito confecção de próteses mais estéticas, com provável que por transparência se observe resoluções ópticas muito semelhantes às das uma sombra do núcleo metálico sob a coroa. estruturas dentais, principalmente no quesito Nesta situação sistemas menos translúcidos, translucidez/luminosidade. Isto fica evidente como o In-Ceram® Alumina ou Procera®, quando imaginamos a dificuldade do TPD em podem alcançar melhor êxito estético. Em esconder estruturas metálicas sob finas cama- outro exemplo, podemos imaginar um preparo das cerâmicas. No entanto, é preciso salientar dentário sobre um dente anterior, vital e de que estes sistemas apenas facilitam o trabalho, cor clara. Podemos indicar coroas de alumina mas não garantem em hipótese alguma o re- semi-opacas, mas estaríamos perdendo uma sultado estético. excelente oportunidade de trabalhar com Para tanto, alguns fatores críticos na esco- sistemas translúcidos como o IPS Empress® 2 lha do melhor sistema restaurador devem ser ou o In-Ceram® Spinell, que poderiam garantir considerados (Quadro 2): uma fantástica interação de luz entre coroa / 1) A cor do substrato: de suma importância, preparo dentário / tecidos marginais trazendo a cor do substrato determina o grau de opaci- ao conjunto um excelente resultado de estética dade necessária para realização estética. Desta natural. forma, o fato de estarmos trabalhando sobre Por último, observamos a importância da preparos vitais de cor clara; sobre núcleos esté- combinação harmônica entre o clínico e o TPD, ticos; sobre preparo em dentes desvitalizados lembrando sempre, que o mais importante para altamente escurecidos ou ainda sobre núcleos se obter ótimos resultados estético/funcionais metálicos, influi diretamente na indicação do não está na dependência da utilização deste ou sistema. aquele material, e sim no estudo profundo das 2) O espaço: coordenado com a cor do subs- técnicas e do manejo dos materiais utilizados trato, a quantidade de desgaste durante o pre- e, de sobremaneira, do conhecimento da forma paro dentário determina o espaço de trabalho e função dos componentes dentários. R Dental Press Estét - v.2, n.2, p. 112-128, abr./maio/jun. 2005 127
  • 18.
    Cerâmicas dentárias Dental ceramics The continuous development of dental ceramics presenting excellent mechanical properties. have provided the clinicians and the technicians Under this perspective, the odontological market in dental prosthesis (TDP) with a large amount has been currently offering a large amount of of options for manufacturing functional and new metal-free materials and systems in order highly aesthetic prostheses. Basically, it can be to manufacture prostheses, what provides the observed that a great evolution of such materials, clinician and the TDP with new options, but new whose use was historically associated to a metal doubts as well concerning the decision between reinforcement due to both their low strength to one or other alternative. Therefore, the present tension and high friability, occurred in the sense article describes these materials and their use of associating them with aesthetic materials indications, as well as their clinical limitations. KEY WORDS: Dental ceramics. Metal-free systems. Procera. In-Ceram. IPS Empress. REfERênciaS 1. CERAMIC materials. adept Report, [S. l.], v. 6, no. 2, p.1-20, Spring 10. McLEAN, J. W. The future of dental porcelain. In: 1999. INTERNATIONAL SYMPOSIUM ON CERAMICS DENTAL, 1., 2. CHICHE, G. J.; PINAULT, A. estética em próteses fixas anteriores. Chicago, 1983. Proceedings… Chicago: Quintessence, 1983. 1. ed. São Paulo: Ed. Santos, 1996. 11. McLEAN, J. W.; HUGHS, T. H. The reinforcement of dental 3. CRAIG. R. G.; POWERS, J. M. materiais dentários restauradores. porcelain whith ceramic oxides. Br dent J, London, p.119-251, 11. ed. São Paulo: Ed. Santos, 2004. 1965. 4. HEGENBARTH, O. Procera aluminium oxide ceramics: a new 12. NOORT, R. Introdução aos materiais dentários. 2. ed. Porto way to archieve stability, precision, and esthetics in all-ceramic Alegre: Artmed, 2004. restorations. Quintessence dent technol, Chicago, p. 21-34, 13. RING, M. E. dentistry: an illustrated history. New York: C. V. 1996. Mosby, 1985. 5. HORN, R. H. Porcelain laminate veneers bonded to etched 14. SADOUN, M. all-ceramics bridges with slip casting technique. enamel. dent clin north am, Philadelphia, v. 27, p. 671-684, Presented at the 7th International Symposium on Ceramics. 1983. Paris, 1988. 6. HORNBERGER, H.; VOLLMANN, M.; THIEL, N. aspectos técnicos 15. SCHWEIGER, M.; HOLAND, W.; FRANK, M.; DERSCHER, H.; de la mescla de óxido de aluminio y óxido de circonio desde RHEINBERGER, V. IPS Empress 2: a new pressable high- el punto de vista científico: vita, instrucciones de uso e strenght glass-ceramic for esthetic all-ceramic restorations. elaboración de la estructura. Bad: Säckingen, 1999. Quintessence dent technol, Chicago, p.143-151, 1999. 7. KINA, S.; KINA, V. V.; HIRATA, R. Limites das restaurações estéticas. In: CARDOSO, R. J. A.; MACHADO, M. E. L. odontologia arte e conhecimento. 1. ed. São Paulo: Artes Médicas, 2003. p. 99-120. 8. KINA, S. et al. Laminados Cerâmicos. In: MIYASHITA, E.; FONSECA, A. S. odontologia estética: o estado da arte. 1. ed. São Paulo: Endereço para correspondência Artes Médicas, 2004. p. 181-202. Sidney Kina 9. MACKERT, J. R.; EVANS, A.L. Effect of colling rate on leucite Avenida Paraná, 242 - Sala 1406 - 14o andar volume fraction in dental porcelain. J dent Res, Chicago, v. 70, CEP 87013-070 - Maringá - Paraná p. 137-139, 1991. e-mail: kina@wnet.com.br - site: www.kinascopinhirata.com.br 128 R Dental Press Estét - v.2, n.2, p. 112-128, abr./maio/jun. 2005