FACULDADE DE ODONTOLOGIA
UNIVERSIDADE PAULISTA
FOUNIP
Profa. Claudia Carrara Cotomacio
Patologia Geral
Atividade
Descreva o vídeo de acordo com as etapas do processo inflamatório agudo.
INFLAMAÇÃO
AGUDA
PROFESSORA CLAUDIA COTOMACIO
Conceito
• Mecanismo de defesa local
"... resposta local do tecido vascularizado agredido,
caracterizada por alterações do sistema vascular,
dos componentes líquidos e celulares, bem como
por adaptações do tecido conjuntivo vizinho".
Momentos da Inflamação Aguda
1) Fase irritativa: modificações morfológicas e funcionais dos
tecidos agredidos que promovem a liberação de mediadores
químicos, estes desencadeantes das demais fases
inflamatórias.
Agentes
Nocivos Mediadores
químicos
Agentes
Físicos,
Químicos ou
Biológicos
Momentos da Inflamação Aguda
2) Fase vascular: alterações hemodinâmicas da circulação e de
permeabilidade vascular no local da agressão.
O tecido lesado libera
sinais químicos
(histamina,
prostaglandinas)
Aumentam a
permeabilidade
vascular e a
vasodilatação
Momentos da Inflamação Aguda
3) Fase exsudativa: característica do processo inflamatório,
esse fenômeno compõe-se de exsudato celular e plasmático
oriundo do aumento da permeabilidade vascular.
Ocorre vasodilatação e aumento da
permeabilidade do vaso e
diapedese.
Momentos da Inflamação Aguda
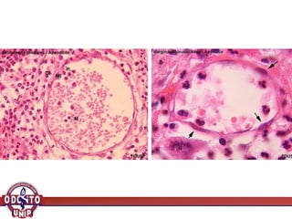
4) Fase degenerativa-necrótica: composta por
células com alterações degenerativas reversíveis ou
não, derivadas da ação direta do agente agressor ou
das modificações funcionais e anatômicas
consequentes das fases anteriores.
Momentos da Inflamação Aguda
Fase degenerativa:
• Reversíveis: complexa desrregulação bioquímica que
acomete a célula.
Tipos de degeneração e infiltração: em A, vemos uma alteração
hídrica; em B, alteração lipídica; em C, uma infiltração de
natureza protéica e em D, uma degeneração protéica.
▪ Irreversíveis: manifestas
pelos processos de necrose
(morte celular “acidental”).
Momentos da Inflamação Aguda
5) Fase produtiva-reparativa: aumentos de quantidade dos
elementos teciduais - principalmente de células -resultado das
fases anteriores. Visa destruir o agente agressor e reparar o
tecido injuriado.
Mediadores químicos sinalizam a
migração de células epiteliais e
fibroblastos para migrarem e
formarem novamente o tecido da
região
Neutrófilos fagocitam
microrganismos e restos de
células mortas
INFLAMAÇÃO
AGUDA
INFLAMAÇÃO
CRÔNICA
RESOLUÇÃO
REPARO TECIDUAL
Agentes
Nocivos
Calor
Rubor
Tumor
Dor
Perda de
Função
Sinais da
CALOR RUBOR TUMOR DOR PERDA DE
FUNÇÃO
Sinais atribuidos à resposta
vascular
• Vasodilatação induz hiperemia
– Rubor
– Calor
• Aumento da permeabilidade
– Edema
• Aumento da pressão tissular
– Dor
• Tensão
• Estimulo de terminações nervosas - pressão e mediadores
• Segue-se perda de função
Mediadores/ Reguladores
• Fenômenos irritativos da inflamação
Mediadores da inflamação
• Os mediadores podem ser produzidos pelas células no local
da inflamação ou circular no plasma (sintetizados pelo
fígado), como precursores inativos que são ativados no
local da inflamação quando necessários
Fenômenos irritativos
• Mediação química: fenômeno em que ocorre a produção
e/ou liberação de substâncias químicas diante da ação do
agente inflamatório.
• Qualquer fase da inflamação observa-se mediadores de
inflamação; em cada uma delas, há liberação de mediadores
químicos diferentes.
Mediadores de ação
rápida
Mediadores de ação
prolongada
Liberados imediatamente após a
ação do estímulo agressor; Ação
sobre os vasos;
AMINAS VASOATIVAS
Liberados tardiamente com persistência do agente
flogístico.
Ação nos vasos e na quimiotaxia celular.
SUBSTÂNCIAS PLASMÁTICAS E LIPÍDIOS ÁCIDOS.
Mediadores de ação rápida
• Aminas vasoativas: originárias do tecido agredido. Atuam
sobre a parede vascular, não exercendo quimiotaxia sobre
os leucócitos, como alguns mediadores de ação
prolongada.
Histamina Serotonina
• Sintetizada nos granulócitos
basófilos, plaquetas e mastócitos
• Contração das células endoteliais
venulares, com consequente
aumento da permeabilidade vascular
e vasodilatação.
• Edema inflamatório.
• Plaquetas, na mucosa intestinal e no
SNC;
• Ação vasodilatadora e de aumento
da permeabilidade vascular.
Mediadores de ação prolongada
• SUBSTÂNCIAS PLASMÁTICAS:
• LIPÍDIOS ÁCIDOS:
Cininas
(Plasmina e
Bradicinina)
Sistema
Complemento
Sistema de
coagulação
Eicosanóides
Mediadores de ação prolongada
• SUBSTÂNCIAS PLASMÁTICAS (CININAS)
Ação vasodilatadora de pequenas
artérias e arteríolas: aumenta a
permeabilidade vascular.
• Por atuar em terminações
nervosas, pode provocar o
surgimento de dor.
Plasminogênio (i)/
Plasmina (a) Bradicinina
Protease que digere proteínas teciduais
(fibrina, protrombina, globulina)
• Ativada por enzimas lisossômicas,
quinases bacterianas, teciduais e
plasmáticas.
• Aumenta a permeabilidade
vascular, provoca o surgimento de
fibrinopéptides, libera cininas e
atua sobre o complemento.
Mediadores de ação prolongada
• SUBSTÂNCIAS PLASMÁTICAS (SISTEMA
COMPLEMENTO)
• Complemento: fragmento proteico originário de uma proteína
plasmática que se rompe (como, por exemplo, nas reações antígeno-
anticorpo).
– Aumenta a permeabilidade vascular por provocar a liberação de
histamina ou por ação direta sobre a parede vascular.
– Quimiotaxia: exsudação celular, principalmente de neutrófilos.
– Inflamação e imunologia
Mediadores de ação prolongada
• SUBSTÂNCIAS PLASMÁTICAS (SISTEMA DE COAGULAÇÃO)
• Fibrinopéptides: produto da transformação do fibrinogênio
em fibrina (no sistema de coagulação).
– Ação quimiotática sobre os leucócitos, evento
observado na fase de exsudação celular, e podem
aumentar a permeabilidade vascular.
Mediadores de ação prolongada:
• LIPÍDIOS ÁCIDOS (EICOSANÓIDES):
Derivados da membrana celular.
Prostaglandina Leucotrienos
• Fases mais tardias da inflamação;
• Contração das células endoteliais e
vasodilatação
• Potencializam as respostas
vasculares vindas da bradicinina.
• Contração do músculo liso
• Desafio antigênico nos intestinos,
pulmões, útero, vasos e coração.
• Vasoconstrição e aumento de
permeabilidade.
• Quimiotaxia: leucócitos (neutrófilos).
Citocinas - Quimiotaxia
• Produzidas pelos linfócitos e macrófagos.
• Comunicação entre leucócitos.
Interleucinas Fonte Alvo
IL-1 Macrófagos Linfócitos
IL-2 Linfócitos Linfócitos (T)
IL-3 Linfócitos Cels hematop.
IL-4 Linfócitos Linfócitos, mastócitos
IL-5 Linfócitos Linfócitos (B)
IL-6 Linf., Macr. Linfócitos
Interferon gama Linfócitos Linfócitos, mastócitos
TNF-α Linf., Macr. -
Fenômenos Vasculares
Fenômenos Vasculares
• Reune todas as transformações ocorridas na
microcirculação do local inflamado;
• Alterações no leito vascular e no fluxo sanguíneo:
– Isquemia, Hiperemia e Edema
Reflexos nervosos locais provocados pelo
agente inflamatório. A hiperemia e o edema
são mantidos por mais tempo devido à ação
da fase irritativa, o que leva à fase exsudativa.
Isquemia transitória
• Devido à constrição arteriolar oriunda de um reflexo local
provocado pelo estímulo agressor; há parada do fluxo
sanguíneo e, consequentemente, o local fica
esbranquiçado.
Hiperemia
Após a isquemia, o fluxo é
restabelecido
Essa reação na microcirculação
resulta em uma vasodilatação na
rede microcirculatória local:
eritema (zona avermelhada);
Dilatação das vênulas mediada
por estimulação farmacológica,
principalmente histamínica, com
posterior exsudação plasmática e
edema.
Edema
• Devido ao aumento da pressão hidrostática e da
permeabilidade venular, provocando perda de
água e eletrólitos e diminuição da velocidade
sanguínea.
“ Gaps” entre células endoteliais
normal Inflamado
Fenômenos Exsudativos
Fenômenos exsudativos
Os fenômenos da exsudação referem-se à migração,
para o foco inflamatório, de líquidos e células,
provenham eles de vasos ou dos tecidos vizinhos.
Exsudação
plasmática
Exsudação
celular
Exsudação Plasmática
• Ocorre principalmente nas vênulas: estrutura histológica
que apresentam menor aderência intercelular na sua
parede em relação às arteríolas, fato esse que facilita o
aumento da permeabilidade.
"Saída de plasma para fora da luz vascular, com quantidades
diversas de água, eletrólitos e proteínas".
Exsudação Plasmática
Exsudação
plasmática
Direto
Agente agressor
atua na parede
vascular
Indireto
Ação de
mediadores
químicos
Exsudação Plasmática
• EDEMA INFLAMATÓRIO
• Composto por macromoléculas como albuminas,
globulinas, fibrinogênio etc., constituindo o exsudato.
• Aumento da permeabilidade vascular (peculiar aos edemas
inflamatórios).
Imediatos e
transitórios
Imediatos e
prolongados
Tardio e
prolongado
15-30 minutos após a agressão e
regredindoapós 3 horas, sendo
oriundos das vênulas.
Imediatamente após a agressão e
regredindodepois 8 horas
(ex.: queimaduras graves)
2-4 horas após o aumento da
permeabilidade inicial, aumentar e
estabiliza após 6 h do início (ex.:
queimadura por exposição ao sol)
Exsudação celular
• Aumento da permeabilidade + Quimiotaxia
• Diminuição da velocidade sanguínea e adesividade das
células do tecido vascular (como hemácias e leucócitos).
• A marginação dessas células e seus movimentos de
diapedese em direção às fendas (“gaps”) previamente
formadas é que caracterizam uma exsudação celular, ou
seja, os fenômenos celulares.
"Passagem de células pela parede vascular em direção ao
interstício, ao local atuante do agente inflamatório."
Fenômenos CELULARES
Fenômenos celulares
• Saída de leucócitos da luz vascular e sua migração
para o local agredido. Esse fenômeno segue duas
fases:
• Ativação: movimentação, de adesão e de
englobamento de partículas
Pavimentação Migração
Pavimentação
• Os leucócitos posicionam-se adjacentes
aos endoteliócitos.
• Marginação leucocitária: os leucócitos
saem da porção central do fluxo
sanguíneo (local onde são comumente
encontrados) e vão para a periferia do
fluxo - rolamento
• Isso é possível graças à diminuição da
velocidade do fluxo (estase sanguínea),
dos fenômenos vasculares.
Migração
• Leucócitos migram pelas fendas
entre os endoteliócitos, graças a
movimentos amebóides que
realizam (diapedese).
• Juntamente com o leucócito,
podem passar passivamente os
eritrócitos (hemácias).
1.Células de alarme
Células endoteliais
Células dendriticas
Macrófagos
Mastócitos
2. Células néo-recrutadas
Neutrófilos
Eosinófilos
Linfócitos
Plaquetas
Células envolvidas
Inflamação aguda - Células
• Neutrófilos: granulócitos típicos de fenômenos agudos da
inflamação, presentes em maior quantidade nesta fase
devido ao seu alto potencial de diapedese e rápida
velocidade de migração. Têm ação fagocítica e, se mortos,
podem provocar necrose tecidual devido a liberação de
suas enzimas lisossômicas para o interstício.
Inflamação aguda - Células
• Eosinófilos: encontrados nas inflamações subagudas ou
relativas a fenômenos alérgicos e em alguns processos
neoplásicos. Também possuem capacidade de fagocitose,
mas menor que os neutrófilos.
Inflamação aguda/crônica -
Células
• Basófilos e mastócitos: granulócitos que aumentam de
número em processos crônicos. Os basófilos contêm
grânulos de heparina e histamina; os mastócitos, de
histamina.
• Lembre-se que os mastócitos são importantes na fase
aguda ao eliminar histamina
Inflamação crônica - Células
• Macrófagos: originados dos monócitos, essas células
mononucleares são os "fagócitos profissionais", tendo ação
sobre ampla variedade de antígenos. Observados mais
comumente em estágios de cronicidade e granulomas.
Inflamação crônica - Células
• Linfócitos e plasmócitos: migram mais lentamente que os
neutrófilos para o foco inflamatório, tendo ação
coadjuvante nas atividades macrofágicas. Reconhecem
antígenos e desenvolvem respostas para eliminá-los,
principalmente em quadros inflamatórios crônicos.
Classificação das inflamações
QUANTO AO TEMPO DE DURAÇÃO
Quanto ao tempo de duração
Inflamação
Aguda
Inflamação
Crônica
Inflamações agudas
"Resposta inflamatória imediata e inespecífica
do organismo diante da agressão".
Inflamação crônica
"Reação tecidual caracterizada pelo
aumento dos graus de celularidade e de
outros elementos teciduais mais próximos
da reparação, diante da permanência do
agente agressor".
Inflamação crônica (tipos)
1. Inespecífica (ou não-específica): esse tipo de inflamação é
composto por linfócitos, plasmócitos e macrófagos em
quantidades variadas. Causadas tanto por agentes físicos e
químicos, quanto pelos biológicos. Exemplos são as gengivites
crônicas, as pulpites crônicas, as mucosites etc.
Inflamação crônica (tipos)
2. Produtiva (ou hiperplásica ou proliferante): grande
quantidade de fibras colágenas e de células, por vezes a
inflamação crônica pode manifestar o sinal cardinal de tumor,
ou aumento de volume local.
• Ex: hiperplasia fibrosa inflamatória, hiperplasia gengival
medicamentosa.
Inflamação crônica (tipos)
3. Exsudativas: presença de pus, principalmente se o tecido
não for adequado para o desenvolvimento de uma
inflamação aguda, como é o caso do tecido ósseo .
Ex.: osteomielites, fístulas.
Inflamação crônica (tipos)
4. Granulomatosa (formação de granulomas): proliferação de
macrófagos, na tentativa de fagocitar o agente na porção
central;
• Na periferia, são observados linfócitos T (modulam a
resposta dos macrófagos).
• Mais na periferia ainda proliferam fibroblastos e vasos
sanguíneos, os primeiros para dar suporte a estrutura
granulomatosa e os segundos, para nutri-la.
Inflamação crônica (tipos)
4. Granulomatosa (formação de
granulomas)
Com o passar do tempo e o
crescimento de granuloma, sua porção
central pode sofrer necrose, devido a
carência nutricional. Forma-se, então,
um centro necrótico. Células gigantes de corpo estranho (seta
longa) (Fusão de macrófagos) originadas
pela inserção de algodão (seta curta) na
região subcutânea da pele
A inflamação crônica evolui para a cura mediante o desaparecimento do
agente desencadeante, surgindo cicatrização ou regeneração.
INFLAMAÇÃO AGUDA INFLAMAÇÃO CRÔNICA
Curta Duração (horas e dias) Longa duração (semana a anos)
Principais características:
-Exsudação de fluídos e
proteínas plasmáticas (edema)
-Migração de neutrófilos
Principais características:
-Presença de linfócitos e
macrófagos
-Reparação tecidual em curso:
angiogênese, fibrose
Resposta principal pela
imunidade inata
Acontece quando há
persistência do agente causador
no tecido
Assim que eliminada células
mortas e agente causador, há
reparo.
Assim que eliminada células
mortas e agente causador, há
reparo.
Inflamação aguda e crônica
• Existem casos em que há um curso agudo da inflamação, mas
morfologicamente não se observam os elementos clássicos de uma
inflamação aguda (intensa exsudação plasmática e presença de
neutrófilos);
• Em outras situações, ainda, pode-se observar que um quadro
inflamatório crônico, que dura semanas, passa a exibir grande
quantidade de neutrófilos e os sinais cardinais típicos da inflamação
aguda; nesse caso, diz-se que a inflamação crônica se agudizou.
Portanto, a relação cronológica e morfológica nem sempre é
constante.
Reparação
• REGENERAÇÃO X CICATRIZAÇÃO
REPARAÇÃO
• Eliminação do agente inflamatório.
• O tecido inflamado e que foi destruído será reposto
(fase produtivo-reparativa).
• Reparação completa: restituição da morfostase e
homeostase
"Processo de reposição do tecido destruído observado após a extinção dos
agentes flogísticos".
A reparação pode acontecer sob dois tipos, dependendo do
estado de destruição do tecido e dos graus de transformação
sofridos por este durante a inflamação. São eles:
• 1. Regeneração: reposição de tecido idêntico ao perdido.
• 2. Cicatrização: Reposição de tecido destruído por tecido
neoformado não especializado (tecido conjuntivo fibroso)
Cicatriz originada após
um abscesso em região
de mandíbula. A
destruição tecidual foi
tão intensa que houve a
substituição do tecido
original por tecido
fibroso.
REGENERAÇÃO
• Restituição da integridade anatômica e funcional do tecido.
• células lábeis ou estáveis (capacidade de se regenerar): por
exemplo, células epiteliais, do tecido hematopoiético etc.);
• Origina-se um tecido idêntico ao original
• Suporte, um tecido de sustentação (como parênquima,
derma da pele etc.) subjacente ao local comprometido
(manutenção da irrigação e nutrição do local)
REGENERAÇÃO
• Diferentes tipos celulares
quanto ao poder de
proliferação:
– célula epitelial de mucosa bucal
(células lábeis);
– glândula salivar (células
estáveis);
– tecido nervoso periférico
(células permanentes);
– tecido muscular (células
permanentes).
REGENERAÇÃO
FISIOLÓGICA COMPENSADORA
Proliferação celular contínua para
manter a estrutura e o
funcionamento dos órgão
Ex.: mucosa bucal
órgãos pares (por exemplo, pulmão,
rins etc.); quando um dos órgãos é
destruído, o outro assume
processos regenerativos mais
intensos para compensar a
destruição do seu par
destruição tecidual e
perda da homeostase e
da morfostase
PATOLÓGICA
REGENERAÇÃO
DIFERENCIAÇÃO
CELULAR
Diferenciação celular
TIPO CELULAR/ ÓRGÃO
CAPACIDADE DE
REGENERAÇÃO/DIFERENCIAÇÃO
FÍGADO REGENERA-SE COMPLETAMENTE
RIM GLOMÉRULO NÃO SE REFAZ; EPITÉLIO DO
DUCTO SIM
CARTILAGEM NÃO REGENERA
ÁCINOS DAS GLÂNDULAS SALIVAES NÃO REGENERA
TECIDO ÓSSEO REGENERAÇÃO COMPLEXA
CÉLULAS NERVOSAS NÃO REGENERA
CÉLULAS MUSCULARES NÃO REGENERA
CICATRIZAÇÃO
• Mais comum
• Reposição tecidual, porém a anatomia e a função do local
comprometido não são restituídas, uma vez que se forma
a cicatriz, tecido conjuntivo fibroso mais primitivo que
substitui o parênquima destruído.
• Eliminação do agente agressor, irrigação, nutrição e
oxigenação.
"Reposição de tecido destruído por conjuntivo neoformado não especializado".
CICATRIZAÇÃO
1. Fase de demolição:
Após 24h da ocorrência da lesão há predomínio de
macrófagos, no local. Estes promovem a digestão do tecido
morto, do agente agressor e do coágulo
Macrófagos em um granuloma
CICATRIZAÇÃO
2. Fase de crescimento do tecido de granulação:
Proliferação de fibroblastos e de células endoteliais dos
capilares vizinhos à zona agredida.
Fibroblastos acompanham o tecido endotelial, migrando para
essa nova matriz tecidual e secretando fibras colágenas.
Lembre-se que o tecido de granulação é
diferente do granuloma; o mesmo deve ser
dito do tecido fibrinoso (que contém muita
fibrina) e do tecido fibroso (que contêm
grande quantidade de fibras colágenas).
Tecido de granulação em cicatrização de abscesso, uma inflamação
supurativa. A seta aponta os pequenos grânulos observados nesse tecido.
CICATRIZAÇÃO
3. Fase de maturação ou fibroplasia:
Proliferação de fibroblastos e deposição de colágeno, que
comprime os capilares neoformados (desvascularização).
A pressão contínua do colágeno e sua retração conduzem à
contração da cicatriz fibrosa.
Fibroplasia em baço com inflamação
crônica.
CICATRIZAÇÃO
• Contração do tecido adjacente: fibras colágenas, ao
amadurecerem, diminuem de tamanho e perdem a
elasticidade.
• Cicatriz seja pouco resistente ao estiramento. Em alguns,
casos, por exemplo, a reparação pode se complicar:
• Novas inflamações, alterações pigmentares, dor e
queloides
AULA 6 - Inflamação II.pdf

AULA 6 - Inflamação II.pdf

  • 1.
    FACULDADE DE ODONTOLOGIA UNIVERSIDADEPAULISTA FOUNIP Profa. Claudia Carrara Cotomacio Patologia Geral
  • 2.
    Atividade Descreva o vídeode acordo com as etapas do processo inflamatório agudo.
  • 3.
  • 4.
    Conceito • Mecanismo dedefesa local "... resposta local do tecido vascularizado agredido, caracterizada por alterações do sistema vascular, dos componentes líquidos e celulares, bem como por adaptações do tecido conjuntivo vizinho".
  • 6.
    Momentos da InflamaçãoAguda 1) Fase irritativa: modificações morfológicas e funcionais dos tecidos agredidos que promovem a liberação de mediadores químicos, estes desencadeantes das demais fases inflamatórias. Agentes Nocivos Mediadores químicos Agentes Físicos, Químicos ou Biológicos
  • 7.
    Momentos da InflamaçãoAguda 2) Fase vascular: alterações hemodinâmicas da circulação e de permeabilidade vascular no local da agressão. O tecido lesado libera sinais químicos (histamina, prostaglandinas) Aumentam a permeabilidade vascular e a vasodilatação
  • 8.
    Momentos da InflamaçãoAguda 3) Fase exsudativa: característica do processo inflamatório, esse fenômeno compõe-se de exsudato celular e plasmático oriundo do aumento da permeabilidade vascular. Ocorre vasodilatação e aumento da permeabilidade do vaso e diapedese.
  • 9.
    Momentos da InflamaçãoAguda 4) Fase degenerativa-necrótica: composta por células com alterações degenerativas reversíveis ou não, derivadas da ação direta do agente agressor ou das modificações funcionais e anatômicas consequentes das fases anteriores.
  • 10.
    Momentos da InflamaçãoAguda Fase degenerativa: • Reversíveis: complexa desrregulação bioquímica que acomete a célula. Tipos de degeneração e infiltração: em A, vemos uma alteração hídrica; em B, alteração lipídica; em C, uma infiltração de natureza protéica e em D, uma degeneração protéica. ▪ Irreversíveis: manifestas pelos processos de necrose (morte celular “acidental”).
  • 11.
    Momentos da InflamaçãoAguda 5) Fase produtiva-reparativa: aumentos de quantidade dos elementos teciduais - principalmente de células -resultado das fases anteriores. Visa destruir o agente agressor e reparar o tecido injuriado. Mediadores químicos sinalizam a migração de células epiteliais e fibroblastos para migrarem e formarem novamente o tecido da região Neutrófilos fagocitam microrganismos e restos de células mortas
  • 12.
  • 13.
    Sinais da CALOR RUBORTUMOR DOR PERDA DE FUNÇÃO
  • 14.
    Sinais atribuidos àresposta vascular • Vasodilatação induz hiperemia – Rubor – Calor • Aumento da permeabilidade – Edema • Aumento da pressão tissular – Dor • Tensão • Estimulo de terminações nervosas - pressão e mediadores • Segue-se perda de função
  • 15.
    Mediadores/ Reguladores • Fenômenosirritativos da inflamação
  • 16.
    Mediadores da inflamação •Os mediadores podem ser produzidos pelas células no local da inflamação ou circular no plasma (sintetizados pelo fígado), como precursores inativos que são ativados no local da inflamação quando necessários
  • 17.
    Fenômenos irritativos • Mediaçãoquímica: fenômeno em que ocorre a produção e/ou liberação de substâncias químicas diante da ação do agente inflamatório. • Qualquer fase da inflamação observa-se mediadores de inflamação; em cada uma delas, há liberação de mediadores químicos diferentes. Mediadores de ação rápida Mediadores de ação prolongada Liberados imediatamente após a ação do estímulo agressor; Ação sobre os vasos; AMINAS VASOATIVAS Liberados tardiamente com persistência do agente flogístico. Ação nos vasos e na quimiotaxia celular. SUBSTÂNCIAS PLASMÁTICAS E LIPÍDIOS ÁCIDOS.
  • 18.
    Mediadores de açãorápida • Aminas vasoativas: originárias do tecido agredido. Atuam sobre a parede vascular, não exercendo quimiotaxia sobre os leucócitos, como alguns mediadores de ação prolongada. Histamina Serotonina • Sintetizada nos granulócitos basófilos, plaquetas e mastócitos • Contração das células endoteliais venulares, com consequente aumento da permeabilidade vascular e vasodilatação. • Edema inflamatório. • Plaquetas, na mucosa intestinal e no SNC; • Ação vasodilatadora e de aumento da permeabilidade vascular.
  • 20.
    Mediadores de açãoprolongada • SUBSTÂNCIAS PLASMÁTICAS: • LIPÍDIOS ÁCIDOS: Cininas (Plasmina e Bradicinina) Sistema Complemento Sistema de coagulação Eicosanóides
  • 21.
    Mediadores de açãoprolongada • SUBSTÂNCIAS PLASMÁTICAS (CININAS) Ação vasodilatadora de pequenas artérias e arteríolas: aumenta a permeabilidade vascular. • Por atuar em terminações nervosas, pode provocar o surgimento de dor. Plasminogênio (i)/ Plasmina (a) Bradicinina Protease que digere proteínas teciduais (fibrina, protrombina, globulina) • Ativada por enzimas lisossômicas, quinases bacterianas, teciduais e plasmáticas. • Aumenta a permeabilidade vascular, provoca o surgimento de fibrinopéptides, libera cininas e atua sobre o complemento.
  • 22.
    Mediadores de açãoprolongada • SUBSTÂNCIAS PLASMÁTICAS (SISTEMA COMPLEMENTO) • Complemento: fragmento proteico originário de uma proteína plasmática que se rompe (como, por exemplo, nas reações antígeno- anticorpo). – Aumenta a permeabilidade vascular por provocar a liberação de histamina ou por ação direta sobre a parede vascular. – Quimiotaxia: exsudação celular, principalmente de neutrófilos. – Inflamação e imunologia
  • 24.
    Mediadores de açãoprolongada • SUBSTÂNCIAS PLASMÁTICAS (SISTEMA DE COAGULAÇÃO) • Fibrinopéptides: produto da transformação do fibrinogênio em fibrina (no sistema de coagulação). – Ação quimiotática sobre os leucócitos, evento observado na fase de exsudação celular, e podem aumentar a permeabilidade vascular.
  • 25.
    Mediadores de açãoprolongada: • LIPÍDIOS ÁCIDOS (EICOSANÓIDES): Derivados da membrana celular. Prostaglandina Leucotrienos • Fases mais tardias da inflamação; • Contração das células endoteliais e vasodilatação • Potencializam as respostas vasculares vindas da bradicinina. • Contração do músculo liso • Desafio antigênico nos intestinos, pulmões, útero, vasos e coração. • Vasoconstrição e aumento de permeabilidade. • Quimiotaxia: leucócitos (neutrófilos).
  • 29.
    Citocinas - Quimiotaxia •Produzidas pelos linfócitos e macrófagos. • Comunicação entre leucócitos. Interleucinas Fonte Alvo IL-1 Macrófagos Linfócitos IL-2 Linfócitos Linfócitos (T) IL-3 Linfócitos Cels hematop. IL-4 Linfócitos Linfócitos, mastócitos IL-5 Linfócitos Linfócitos (B) IL-6 Linf., Macr. Linfócitos Interferon gama Linfócitos Linfócitos, mastócitos TNF-α Linf., Macr. -
  • 30.
  • 31.
    Fenômenos Vasculares • Reunetodas as transformações ocorridas na microcirculação do local inflamado; • Alterações no leito vascular e no fluxo sanguíneo: – Isquemia, Hiperemia e Edema Reflexos nervosos locais provocados pelo agente inflamatório. A hiperemia e o edema são mantidos por mais tempo devido à ação da fase irritativa, o que leva à fase exsudativa.
  • 32.
    Isquemia transitória • Devidoà constrição arteriolar oriunda de um reflexo local provocado pelo estímulo agressor; há parada do fluxo sanguíneo e, consequentemente, o local fica esbranquiçado.
  • 33.
    Hiperemia Após a isquemia,o fluxo é restabelecido Essa reação na microcirculação resulta em uma vasodilatação na rede microcirculatória local: eritema (zona avermelhada); Dilatação das vênulas mediada por estimulação farmacológica, principalmente histamínica, com posterior exsudação plasmática e edema.
  • 34.
    Edema • Devido aoaumento da pressão hidrostática e da permeabilidade venular, provocando perda de água e eletrólitos e diminuição da velocidade sanguínea.
  • 35.
    “ Gaps” entrecélulas endoteliais normal Inflamado
  • 36.
  • 37.
    Fenômenos exsudativos Os fenômenosda exsudação referem-se à migração, para o foco inflamatório, de líquidos e células, provenham eles de vasos ou dos tecidos vizinhos. Exsudação plasmática Exsudação celular
  • 38.
    Exsudação Plasmática • Ocorreprincipalmente nas vênulas: estrutura histológica que apresentam menor aderência intercelular na sua parede em relação às arteríolas, fato esse que facilita o aumento da permeabilidade. "Saída de plasma para fora da luz vascular, com quantidades diversas de água, eletrólitos e proteínas".
  • 39.
    Exsudação Plasmática Exsudação plasmática Direto Agente agressor atuana parede vascular Indireto Ação de mediadores químicos
  • 40.
    Exsudação Plasmática • EDEMAINFLAMATÓRIO • Composto por macromoléculas como albuminas, globulinas, fibrinogênio etc., constituindo o exsudato. • Aumento da permeabilidade vascular (peculiar aos edemas inflamatórios). Imediatos e transitórios Imediatos e prolongados Tardio e prolongado 15-30 minutos após a agressão e regredindoapós 3 horas, sendo oriundos das vênulas. Imediatamente após a agressão e regredindodepois 8 horas (ex.: queimaduras graves) 2-4 horas após o aumento da permeabilidade inicial, aumentar e estabiliza após 6 h do início (ex.: queimadura por exposição ao sol)
  • 41.
    Exsudação celular • Aumentoda permeabilidade + Quimiotaxia • Diminuição da velocidade sanguínea e adesividade das células do tecido vascular (como hemácias e leucócitos). • A marginação dessas células e seus movimentos de diapedese em direção às fendas (“gaps”) previamente formadas é que caracterizam uma exsudação celular, ou seja, os fenômenos celulares. "Passagem de células pela parede vascular em direção ao interstício, ao local atuante do agente inflamatório."
  • 42.
  • 43.
    Fenômenos celulares • Saídade leucócitos da luz vascular e sua migração para o local agredido. Esse fenômeno segue duas fases: • Ativação: movimentação, de adesão e de englobamento de partículas Pavimentação Migração
  • 44.
    Pavimentação • Os leucócitosposicionam-se adjacentes aos endoteliócitos. • Marginação leucocitária: os leucócitos saem da porção central do fluxo sanguíneo (local onde são comumente encontrados) e vão para a periferia do fluxo - rolamento • Isso é possível graças à diminuição da velocidade do fluxo (estase sanguínea), dos fenômenos vasculares.
  • 46.
    Migração • Leucócitos migrampelas fendas entre os endoteliócitos, graças a movimentos amebóides que realizam (diapedese). • Juntamente com o leucócito, podem passar passivamente os eritrócitos (hemácias).
  • 47.
    1.Células de alarme Célulasendoteliais Células dendriticas Macrófagos Mastócitos 2. Células néo-recrutadas Neutrófilos Eosinófilos Linfócitos Plaquetas Células envolvidas
  • 48.
    Inflamação aguda -Células • Neutrófilos: granulócitos típicos de fenômenos agudos da inflamação, presentes em maior quantidade nesta fase devido ao seu alto potencial de diapedese e rápida velocidade de migração. Têm ação fagocítica e, se mortos, podem provocar necrose tecidual devido a liberação de suas enzimas lisossômicas para o interstício.
  • 49.
    Inflamação aguda -Células • Eosinófilos: encontrados nas inflamações subagudas ou relativas a fenômenos alérgicos e em alguns processos neoplásicos. Também possuem capacidade de fagocitose, mas menor que os neutrófilos.
  • 50.
    Inflamação aguda/crônica - Células •Basófilos e mastócitos: granulócitos que aumentam de número em processos crônicos. Os basófilos contêm grânulos de heparina e histamina; os mastócitos, de histamina. • Lembre-se que os mastócitos são importantes na fase aguda ao eliminar histamina
  • 51.
    Inflamação crônica -Células • Macrófagos: originados dos monócitos, essas células mononucleares são os "fagócitos profissionais", tendo ação sobre ampla variedade de antígenos. Observados mais comumente em estágios de cronicidade e granulomas.
  • 52.
    Inflamação crônica -Células • Linfócitos e plasmócitos: migram mais lentamente que os neutrófilos para o foco inflamatório, tendo ação coadjuvante nas atividades macrofágicas. Reconhecem antígenos e desenvolvem respostas para eliminá-los, principalmente em quadros inflamatórios crônicos.
  • 54.
  • 55.
    Quanto ao tempode duração Inflamação Aguda Inflamação Crônica
  • 56.
    Inflamações agudas "Resposta inflamatóriaimediata e inespecífica do organismo diante da agressão".
  • 57.
    Inflamação crônica "Reação tecidualcaracterizada pelo aumento dos graus de celularidade e de outros elementos teciduais mais próximos da reparação, diante da permanência do agente agressor".
  • 58.
    Inflamação crônica (tipos) 1.Inespecífica (ou não-específica): esse tipo de inflamação é composto por linfócitos, plasmócitos e macrófagos em quantidades variadas. Causadas tanto por agentes físicos e químicos, quanto pelos biológicos. Exemplos são as gengivites crônicas, as pulpites crônicas, as mucosites etc.
  • 59.
    Inflamação crônica (tipos) 2.Produtiva (ou hiperplásica ou proliferante): grande quantidade de fibras colágenas e de células, por vezes a inflamação crônica pode manifestar o sinal cardinal de tumor, ou aumento de volume local. • Ex: hiperplasia fibrosa inflamatória, hiperplasia gengival medicamentosa.
  • 60.
    Inflamação crônica (tipos) 3.Exsudativas: presença de pus, principalmente se o tecido não for adequado para o desenvolvimento de uma inflamação aguda, como é o caso do tecido ósseo . Ex.: osteomielites, fístulas.
  • 61.
    Inflamação crônica (tipos) 4.Granulomatosa (formação de granulomas): proliferação de macrófagos, na tentativa de fagocitar o agente na porção central; • Na periferia, são observados linfócitos T (modulam a resposta dos macrófagos). • Mais na periferia ainda proliferam fibroblastos e vasos sanguíneos, os primeiros para dar suporte a estrutura granulomatosa e os segundos, para nutri-la.
  • 62.
    Inflamação crônica (tipos) 4.Granulomatosa (formação de granulomas) Com o passar do tempo e o crescimento de granuloma, sua porção central pode sofrer necrose, devido a carência nutricional. Forma-se, então, um centro necrótico. Células gigantes de corpo estranho (seta longa) (Fusão de macrófagos) originadas pela inserção de algodão (seta curta) na região subcutânea da pele A inflamação crônica evolui para a cura mediante o desaparecimento do agente desencadeante, surgindo cicatrização ou regeneração.
  • 63.
    INFLAMAÇÃO AGUDA INFLAMAÇÃOCRÔNICA Curta Duração (horas e dias) Longa duração (semana a anos) Principais características: -Exsudação de fluídos e proteínas plasmáticas (edema) -Migração de neutrófilos Principais características: -Presença de linfócitos e macrófagos -Reparação tecidual em curso: angiogênese, fibrose Resposta principal pela imunidade inata Acontece quando há persistência do agente causador no tecido Assim que eliminada células mortas e agente causador, há reparo. Assim que eliminada células mortas e agente causador, há reparo.
  • 64.
    Inflamação aguda ecrônica • Existem casos em que há um curso agudo da inflamação, mas morfologicamente não se observam os elementos clássicos de uma inflamação aguda (intensa exsudação plasmática e presença de neutrófilos); • Em outras situações, ainda, pode-se observar que um quadro inflamatório crônico, que dura semanas, passa a exibir grande quantidade de neutrófilos e os sinais cardinais típicos da inflamação aguda; nesse caso, diz-se que a inflamação crônica se agudizou. Portanto, a relação cronológica e morfológica nem sempre é constante.
  • 65.
  • 66.
    REPARAÇÃO • Eliminação doagente inflamatório. • O tecido inflamado e que foi destruído será reposto (fase produtivo-reparativa). • Reparação completa: restituição da morfostase e homeostase "Processo de reposição do tecido destruído observado após a extinção dos agentes flogísticos".
  • 67.
    A reparação podeacontecer sob dois tipos, dependendo do estado de destruição do tecido e dos graus de transformação sofridos por este durante a inflamação. São eles: • 1. Regeneração: reposição de tecido idêntico ao perdido. • 2. Cicatrização: Reposição de tecido destruído por tecido neoformado não especializado (tecido conjuntivo fibroso) Cicatriz originada após um abscesso em região de mandíbula. A destruição tecidual foi tão intensa que houve a substituição do tecido original por tecido fibroso.
  • 68.
    REGENERAÇÃO • Restituição daintegridade anatômica e funcional do tecido. • células lábeis ou estáveis (capacidade de se regenerar): por exemplo, células epiteliais, do tecido hematopoiético etc.); • Origina-se um tecido idêntico ao original • Suporte, um tecido de sustentação (como parênquima, derma da pele etc.) subjacente ao local comprometido (manutenção da irrigação e nutrição do local)
  • 69.
    REGENERAÇÃO • Diferentes tiposcelulares quanto ao poder de proliferação: – célula epitelial de mucosa bucal (células lábeis); – glândula salivar (células estáveis); – tecido nervoso periférico (células permanentes); – tecido muscular (células permanentes).
  • 70.
    REGENERAÇÃO FISIOLÓGICA COMPENSADORA Proliferação celularcontínua para manter a estrutura e o funcionamento dos órgão Ex.: mucosa bucal órgãos pares (por exemplo, pulmão, rins etc.); quando um dos órgãos é destruído, o outro assume processos regenerativos mais intensos para compensar a destruição do seu par destruição tecidual e perda da homeostase e da morfostase PATOLÓGICA
  • 71.
  • 72.
    Diferenciação celular TIPO CELULAR/ÓRGÃO CAPACIDADE DE REGENERAÇÃO/DIFERENCIAÇÃO FÍGADO REGENERA-SE COMPLETAMENTE RIM GLOMÉRULO NÃO SE REFAZ; EPITÉLIO DO DUCTO SIM CARTILAGEM NÃO REGENERA ÁCINOS DAS GLÂNDULAS SALIVAES NÃO REGENERA TECIDO ÓSSEO REGENERAÇÃO COMPLEXA CÉLULAS NERVOSAS NÃO REGENERA CÉLULAS MUSCULARES NÃO REGENERA
  • 73.
    CICATRIZAÇÃO • Mais comum •Reposição tecidual, porém a anatomia e a função do local comprometido não são restituídas, uma vez que se forma a cicatriz, tecido conjuntivo fibroso mais primitivo que substitui o parênquima destruído. • Eliminação do agente agressor, irrigação, nutrição e oxigenação. "Reposição de tecido destruído por conjuntivo neoformado não especializado".
  • 74.
    CICATRIZAÇÃO 1. Fase dedemolição: Após 24h da ocorrência da lesão há predomínio de macrófagos, no local. Estes promovem a digestão do tecido morto, do agente agressor e do coágulo Macrófagos em um granuloma
  • 75.
    CICATRIZAÇÃO 2. Fase decrescimento do tecido de granulação: Proliferação de fibroblastos e de células endoteliais dos capilares vizinhos à zona agredida. Fibroblastos acompanham o tecido endotelial, migrando para essa nova matriz tecidual e secretando fibras colágenas. Lembre-se que o tecido de granulação é diferente do granuloma; o mesmo deve ser dito do tecido fibrinoso (que contém muita fibrina) e do tecido fibroso (que contêm grande quantidade de fibras colágenas).
  • 76.
    Tecido de granulaçãoem cicatrização de abscesso, uma inflamação supurativa. A seta aponta os pequenos grânulos observados nesse tecido.
  • 77.
    CICATRIZAÇÃO 3. Fase dematuração ou fibroplasia: Proliferação de fibroblastos e deposição de colágeno, que comprime os capilares neoformados (desvascularização). A pressão contínua do colágeno e sua retração conduzem à contração da cicatriz fibrosa. Fibroplasia em baço com inflamação crônica.
  • 78.
    CICATRIZAÇÃO • Contração dotecido adjacente: fibras colágenas, ao amadurecerem, diminuem de tamanho e perdem a elasticidade. • Cicatriz seja pouco resistente ao estiramento. Em alguns, casos, por exemplo, a reparação pode se complicar: • Novas inflamações, alterações pigmentares, dor e queloides