UNIVERSIDADE DO ESTADO DO AMAZONAS
                           ESCOLA SUPERIOR DE CIÊNCIAS DA SAÚDE
                              DISCIPLINA DE INGLÊS INSTRUMENTAL




  AMELOBLASTOMA
             Ac. Ana Cláudia da Cunha Ferreira

            Professor Orientador: Nilton Hitotuzi


22/4/2010
INTRODUÇÃO
 DEFINITION (DEFINIÇÃO)

 CLINICAL FEATURES
(CARACTERÍSTICAS CLÍNICAS)
 DIAGNOSIS (DIAGNÓSTICO)
 TREATMENT (TRATAMENTO)
 CLINICAL CASE (CASO CLÍNICO)   Figura. 1


 TERMINOLOGY (TERMINOLOGIA)
13/12/2011                                   2
AMELOBLASTOMA




13/12/2011
                        Figura. 2
AMELOBLASTOMA
• Neoplasia benigna
• Tumor odontogênico raro
• Agressivo localmente

• Incidência:
    – Manifesta-se igualmente em
      ambos os sexos
    – Mais frequente em torno dos 30
      anos
    – É indiferente a um ou outro grupo
      étnico.
                                          Figura. 3

13/12/2011
ESTRUTURAS ACOMETIDAS
• Acomete a                      • É mais freqüente
  mandíbula quatro                 na região de
  vezes mais que a                 molares e de
  maxila.                          ramo
                                   ascendente.



                                 • É encontrado no
                                   seio
                                   maxilar, principal
                                   mente região do
                                   canino, e
                                   cavidade nasal.
 13/12/2011          Figura. 4
ORIGEM DA DOENÇA
• Se originam do epitélio
  odontogênico.

• Teoricamente, podem-se
  originar de:
  Remanescentes celulares
  do órgão do esmalte,
  Do revestimento epitelial de
  cisto odontogênico,
  Ou das células da camada basal
  da mucosa oral.

13/12/2011                         Figura. 5
MANIFESTAÇÕES CLÍNICAS
  •   Deslocamentos Dentais
  •   Reabsorções radiculares
  •   Grandes abaulamentos
  •   Tumefação assintomática ou uma lesão de grandes
      proporções
  •   Perfuração das corticais ósseas
  •   Tem crescimento lento, aparência benigna
  •   Invasividade local
  •   Alto potencial de recidiva

13/12/2011
Pela carência de sintomas, o paciente geralmente consulta
       o profissional quando este apresenta grande extensão.




                                                         Figura. 6

13/12/2011
DIAGNÓSTICO
  • Análise radiológica e pela biópsia.

  • Apresentam-se das seguintes formas:
    Como lesões radiotransparentes uniloculares bem
    definidas, associadas a um dente incluso;

  •   Com aspecto multilocular:
     Com septos internos e padrão em "favos de mel" (honeycombs)
     Ou "bolhas de sabão“ (soap bubbles)
     As loculações podem ser ovais ou arredondadas e variam de
      dimensões.

13/12/2011
Figura. 7


A análise radiológica revela trábeculas, ou seja, estruturas
multiloculares em formato de bolha de sabão ao redor do
terceiro molar com características radiolúcidas.
Figura 8.

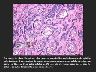
Do ponto de vista histológico, são tumores constituídos exclusivamente de epitélio
odontogênico. O parênquima do tumor se apresenta como massas celulares sólidas ou
como cordões ou ilhas cujas células periféricas, via de regra, assumem o aspecto
colunar ou cuboidal semelhante aos ameloblastos.
As células mais centralmente localizadas algumas vezes mostram morfologia semelhante à do
reticulo estrelado do órgão do esmalte. O estroma é pouco representado, sendo constituído
por tecido conjuntivo pouco irrigado.




                                                                       Figura. 9
DIAGNÓSTICO DIFERENCIAL
Quando a lesão apresenta:
• Aspecto cístico, unilocular e bem definido: o diagnóstico
  diferencial se faz principalmente com ceratocistos
  odontogênicos, cistos dentígeros e cistos ósseos traumáticos;

• Aspecto expansivo multilocular: deve ser diferenciado do
  tumor marrom do hiperparatireoidismo, granuloma de células
  gigantes e hemangiomas ósseos atípicos. A forma localmente
  agressiva e as formas recidivantes podem ter aspectos
  semelhantes aos das neoplasias malignas.
Partes Ósseas envolvidas com
   seus respectivos nomes em inglês




                                      Figura. 11

1- Fossa Pterigopalatina; 2- Lâmina do Processo Pterigóide; 3- Meato Acústico Externo;
4- Arco Zigomático; 5- Limite Lateral da Maxila; 6- Limite Final do Arco; 7- Limite Inferior
da Maxila; 8- Palato Duro; 9- Concha Nasal Inferior                             13/12/2011
Figura. 12
         Orthopantomogram (OPG)




Orthopantomogram (OPG)
Panorâmica de Raio-X Dental
                              AMELOBLASTOMA
        Representa 1% dos tumores de maxilares – Surge dos ameloblastos
                            que provêm do esmalte
                  Aparência Multilocular, Bordas bem definidas
            Acentuada Expansão da Mandíbula, Localmente agressivo
                  Deslocamento Dental e Reabsorção Radicular
13/12/2011
Computed(Axial)Tomography (CT)
       Tomografia Computadorizada (TC)

             Janelas ósseas                Janelas de Tecidos Moles




13/12/2011
                              Figura. 13
OSSOS MAXILARES

                         • MANDÍBULA


                         1- Ângulo da
                         Mandíbula

                         2- Região do Terceiro
                         Molar (
    2
                         3- Lesão com aspecto
                         de Bolhas de Sabão
1
        3

            Figura. 14                     13/12/2011
First of four radiographs illustrating history
                                       of ameloblastoma associated with non-
                                       erupted third molar tooth in a 19-year-old
                                       female       patient.   Subtle,       atypical
                                       radiolucency can be discerned below
                                       tooth. Tooth was surgically removed. No
                                       surgical specimen was obtained. (April,
                                       1971)




                          Figura. 15

Second of four radiographs. Routine dental
roentgenogram revealed        residual   or
recurrent cystic lesion. Surgical curettage
was performed and ‘early’ ameloblastoma
demonstrated. No further treatment was
given. (September, 1974)
                                                                           Figura. 16
13/12/2011
Third of four radiographs.
                                    Multilocular radiolucency of
                                    more typical character. Tumor
                                    was resected. (February, 1978)


                       Figura. 17




 There is no evidence of residual
 tumor. (December, 1978)



13/12/2011
                                                              Figura. 18
TRATAMENTO DA DOENÇA E
       PREVENÇÃO DE RECIDIVAS
 • As técnicas cirúrgicas conservadoras:
 1) Enucleação
 2) Curetagem




                                                                                Figura. 19
 3) Criocirurgia
 4) Radioterapia
 5) Marsupialização - descompressão do
    tumor                                      An ameloblastoma
 • As abordagens cirúrgicas radicais:
 1) Ressecção marginal
 2) Ressecção segmentar da mandíbula ou




                                                                   Figura. 20
    maxila
 3) Hemissecção

                                           Tumor removed and jaw
13/12/2011                                     reconstructed
CASO CLÍNICO
               SEGMENTAL RESECTION




                 Figura. 21                                   Figura. 22

    11-year-old Afghan girl, Latifah, with   Latifah recovering after resection of her
    massive maxillary tumor diagnosed        ameloblastoma
    as an ameloblastoma.
13/12/2011
Segmental Section




13/12/2011
                                 Figura. 23
Figura. 24

             Gross    Appearance    After   Segmental
13/12/2011
             Resection of Mandible.
Referência Bibliográfica
• NEVILLE, B; DAMM, D; ALLEN, C; BOUQUOT, J. Patologia Oral &
  Maxilofacial. 2a. Edição – Guanabara Koogan. Rio de Janeiro, 2004.
• MEDEIROS, M; PORTO, G; LAUREANO, J; PORTELA, L; VASCONCELLOS, R.
  Ameloblastoma em Mandíbula. Rev. Brasileira de Otorrinolaringologia, vol
  74, n. 3, Maio/Junho 2008 - São Paulo.
• SADDY, M; CHILVARQUER, I; DIB, L; SANDOVAL, R. Aspectos
  clínicos, radiográficos e terapêuticos do ameloblastoma. RPG Rev. Pós
  Grad. Vol12( ano 4): págs460-465, out.-dez.2005.
• GRANATO, L; BORGES, R; SOFIA, O; MIRACCA, R. Ameloblastomas de
  maxilar: apresentação de caso e revisão de literatura. Rev. Soc. Bras. Cir.
  Craniomaxilofac;11(2):75-79, 2008. ilus.
Referência Bibliográfica
•   Sites:
•   http://www.abstractsonline.com/OASISMedia/Default.aspx?CKey={126B55E6-
    0AEE-48C3-B751-F1B1ADD15740}&Mkey={22FDF1E0-BB98-47D9-B084-
    94213A1B7D4D}
•   http://inforum.insite.com.br/73352/9041634.html
•   http://www.odontologiadiferenciada.com.br/?cont=unilocularameloblastoma
•   http://www.asahq.org/Newsletters/2007/01-07/javernick01_07.html
•   http://jeb.biologists.org/cgi/content/figsonly/208/23/4509
•   http://www.worldlingo.com/ma/enwiki/pt/OPG
•   http://www.pathconsultddx.com/pathCon/diagnosis?pii=S1559-8675(06)70616-
    7#fig1
•   http://www.odontologiadiferenciada.com.br/?cont=unilocularameloblastoma
•   http://www.library.vcu.edu/tml/oralpathology/radio.html
•   http://www.pathconsultddx.com/pathCon/diagnosis?
•    http://www.scielo.br/scielo.php?pid=S0034-92008000300029&script=sci_arttext
Referência das Figuras
•   Figura 1: Imagens Google
•   Figura 2: http://rad.usuhs.edu/medpix/kiosk_image.html?imageid=38325&pt_id=11236&recid=5982#pic
•   Figura 3: http://www.library.vcu.edu/pdfgif/tml/oralpathology/46-ameloblastoma.jpg
•   Figura 4: http://www.anatomiaonline.com/osteologia/cranio.htm
•   Figura 5: http://inforum.insite.com.br/73352/9041634.html
•   Figura 6: http://screening.iarc.fr/atlasoral_detail.php?flag=0&lang=1&Id=E0100011&cat=E1
•   Figura 7: http://www.library.vcu.edu/tml/oralpathology/radio.html
•   Figura 8 e 9: http://www.estomatologia.com.br/diagnosticos_det2.asp?cod_diag=12
•   Figura 10: http://www.abstractsonline.com/OASISMedia/DisplayImage.aspx?Mkey={22FDF1E0-BB98-
    47D9-B084-94213A1B7D4D}&cKey={126B55E6-0AEE-48C3-B751-F1B1ADD15740}&refID=2863
•   Figura 11: http://www.abstractsonline.com/OASISMedia/DisplayImage.aspx?Mkey={22FDF1E0-BB98-
    47D9-B084-94213A1B7D4D}&cKey={126B55E6-0AEE-48C3-B751-F1B1ADD15740}&refID=2868
•   Figura 12: http://www.abstractsonline.com/OASISMedia/DisplayImage.aspx?Mkey={22FDF1E0-BB98-
    47D9-B084-94213A1B7D4D}&cKey={126B55E6-0AEE-48C3-B751-F1B1ADD15740}&refID=2864
•   Figura 13: http://www.abstractsonline.com/OASISMedia/DisplayImage.aspx?Mkey={22FDF1E0-BB98-
    47D9-B084-94213A1B7D4D}&cKey={126B55E6-0AEE-48C3-B751-F1B1ADD15740}&refID=2899
•   Figura 14: http://www.radpod.org/2007/08/01/ameloblastoma/
Referência das Figuras
•   Figura 15, 16, 17, 18: http://www.pathconsultddx.com/pathCon/diagnosis?pii=S1559-
    8675(06)70616-7
•   Figura 19: http://scw.asahi-u.ac.jp/~kawamata/jpg/amelo2.jpg
•   Figura 20: http://www.odontologiadiferenciada.com.br/?cont=unilocularameloblastoma
•   Figura 21: http://www.asahq.org/Newsletters/2007/01-07/javernick01_07.html
•   Figura 22: http://www.asahq.org/images/jave7.jpg
•   Figura 23: http://upload.wikimedia.org/wikipedia/commons/c/c3/Ameloblastoma.jpg
•   Figura 24: http://www.pathconsultddx.com/pathCon/diagnosis?pii=S1559-8675(06)70616-
    7#fig1
OBRIGADA(O) PELA
   ATENÇÃO!

Ameloblastoma

  • 1.
    UNIVERSIDADE DO ESTADODO AMAZONAS ESCOLA SUPERIOR DE CIÊNCIAS DA SAÚDE DISCIPLINA DE INGLÊS INSTRUMENTAL AMELOBLASTOMA Ac. Ana Cláudia da Cunha Ferreira Professor Orientador: Nilton Hitotuzi 22/4/2010
  • 2.
    INTRODUÇÃO  DEFINITION (DEFINIÇÃO) CLINICAL FEATURES (CARACTERÍSTICAS CLÍNICAS)  DIAGNOSIS (DIAGNÓSTICO)  TREATMENT (TRATAMENTO)  CLINICAL CASE (CASO CLÍNICO) Figura. 1  TERMINOLOGY (TERMINOLOGIA) 13/12/2011 2
  • 3.
  • 4.
    AMELOBLASTOMA • Neoplasia benigna •Tumor odontogênico raro • Agressivo localmente • Incidência: – Manifesta-se igualmente em ambos os sexos – Mais frequente em torno dos 30 anos – É indiferente a um ou outro grupo étnico. Figura. 3 13/12/2011
  • 5.
    ESTRUTURAS ACOMETIDAS • Acometea • É mais freqüente mandíbula quatro na região de vezes mais que a molares e de maxila. ramo ascendente. • É encontrado no seio maxilar, principal mente região do canino, e cavidade nasal. 13/12/2011 Figura. 4
  • 6.
    ORIGEM DA DOENÇA •Se originam do epitélio odontogênico. • Teoricamente, podem-se originar de: Remanescentes celulares do órgão do esmalte, Do revestimento epitelial de cisto odontogênico, Ou das células da camada basal da mucosa oral. 13/12/2011 Figura. 5
  • 7.
    MANIFESTAÇÕES CLÍNICAS • Deslocamentos Dentais • Reabsorções radiculares • Grandes abaulamentos • Tumefação assintomática ou uma lesão de grandes proporções • Perfuração das corticais ósseas • Tem crescimento lento, aparência benigna • Invasividade local • Alto potencial de recidiva 13/12/2011
  • 8.
    Pela carência desintomas, o paciente geralmente consulta o profissional quando este apresenta grande extensão. Figura. 6 13/12/2011
  • 9.
    DIAGNÓSTICO •Análise radiológica e pela biópsia. • Apresentam-se das seguintes formas: Como lesões radiotransparentes uniloculares bem definidas, associadas a um dente incluso; • Com aspecto multilocular:  Com septos internos e padrão em "favos de mel" (honeycombs)  Ou "bolhas de sabão“ (soap bubbles)  As loculações podem ser ovais ou arredondadas e variam de dimensões. 13/12/2011
  • 10.
    Figura. 7 A análiseradiológica revela trábeculas, ou seja, estruturas multiloculares em formato de bolha de sabão ao redor do terceiro molar com características radiolúcidas.
  • 11.
    Figura 8. Do pontode vista histológico, são tumores constituídos exclusivamente de epitélio odontogênico. O parênquima do tumor se apresenta como massas celulares sólidas ou como cordões ou ilhas cujas células periféricas, via de regra, assumem o aspecto colunar ou cuboidal semelhante aos ameloblastos.
  • 12.
    As células maiscentralmente localizadas algumas vezes mostram morfologia semelhante à do reticulo estrelado do órgão do esmalte. O estroma é pouco representado, sendo constituído por tecido conjuntivo pouco irrigado. Figura. 9
  • 13.
    DIAGNÓSTICO DIFERENCIAL Quando alesão apresenta: • Aspecto cístico, unilocular e bem definido: o diagnóstico diferencial se faz principalmente com ceratocistos odontogênicos, cistos dentígeros e cistos ósseos traumáticos; • Aspecto expansivo multilocular: deve ser diferenciado do tumor marrom do hiperparatireoidismo, granuloma de células gigantes e hemangiomas ósseos atípicos. A forma localmente agressiva e as formas recidivantes podem ter aspectos semelhantes aos das neoplasias malignas.
  • 14.
    Partes Ósseas envolvidascom seus respectivos nomes em inglês Figura. 11 1- Fossa Pterigopalatina; 2- Lâmina do Processo Pterigóide; 3- Meato Acústico Externo; 4- Arco Zigomático; 5- Limite Lateral da Maxila; 6- Limite Final do Arco; 7- Limite Inferior da Maxila; 8- Palato Duro; 9- Concha Nasal Inferior 13/12/2011
  • 15.
    Figura. 12 Orthopantomogram (OPG) Orthopantomogram (OPG) Panorâmica de Raio-X Dental AMELOBLASTOMA Representa 1% dos tumores de maxilares – Surge dos ameloblastos que provêm do esmalte Aparência Multilocular, Bordas bem definidas Acentuada Expansão da Mandíbula, Localmente agressivo Deslocamento Dental e Reabsorção Radicular 13/12/2011
  • 16.
    Computed(Axial)Tomography (CT) Tomografia Computadorizada (TC) Janelas ósseas Janelas de Tecidos Moles 13/12/2011 Figura. 13
  • 17.
    OSSOS MAXILARES • MANDÍBULA 1- Ângulo da Mandíbula 2- Região do Terceiro Molar ( 2 3- Lesão com aspecto de Bolhas de Sabão 1 3 Figura. 14 13/12/2011
  • 18.
    First of fourradiographs illustrating history of ameloblastoma associated with non- erupted third molar tooth in a 19-year-old female patient. Subtle, atypical radiolucency can be discerned below tooth. Tooth was surgically removed. No surgical specimen was obtained. (April, 1971) Figura. 15 Second of four radiographs. Routine dental roentgenogram revealed residual or recurrent cystic lesion. Surgical curettage was performed and ‘early’ ameloblastoma demonstrated. No further treatment was given. (September, 1974) Figura. 16 13/12/2011
  • 19.
    Third of fourradiographs. Multilocular radiolucency of more typical character. Tumor was resected. (February, 1978) Figura. 17 There is no evidence of residual tumor. (December, 1978) 13/12/2011 Figura. 18
  • 20.
    TRATAMENTO DA DOENÇAE PREVENÇÃO DE RECIDIVAS • As técnicas cirúrgicas conservadoras: 1) Enucleação 2) Curetagem Figura. 19 3) Criocirurgia 4) Radioterapia 5) Marsupialização - descompressão do tumor An ameloblastoma • As abordagens cirúrgicas radicais: 1) Ressecção marginal 2) Ressecção segmentar da mandíbula ou Figura. 20 maxila 3) Hemissecção Tumor removed and jaw 13/12/2011 reconstructed
  • 21.
    CASO CLÍNICO SEGMENTAL RESECTION Figura. 21 Figura. 22 11-year-old Afghan girl, Latifah, with Latifah recovering after resection of her massive maxillary tumor diagnosed ameloblastoma as an ameloblastoma. 13/12/2011
  • 22.
  • 23.
    Figura. 24 Gross Appearance After Segmental 13/12/2011 Resection of Mandible.
  • 24.
    Referência Bibliográfica • NEVILLE,B; DAMM, D; ALLEN, C; BOUQUOT, J. Patologia Oral & Maxilofacial. 2a. Edição – Guanabara Koogan. Rio de Janeiro, 2004. • MEDEIROS, M; PORTO, G; LAUREANO, J; PORTELA, L; VASCONCELLOS, R. Ameloblastoma em Mandíbula. Rev. Brasileira de Otorrinolaringologia, vol 74, n. 3, Maio/Junho 2008 - São Paulo. • SADDY, M; CHILVARQUER, I; DIB, L; SANDOVAL, R. Aspectos clínicos, radiográficos e terapêuticos do ameloblastoma. RPG Rev. Pós Grad. Vol12( ano 4): págs460-465, out.-dez.2005. • GRANATO, L; BORGES, R; SOFIA, O; MIRACCA, R. Ameloblastomas de maxilar: apresentação de caso e revisão de literatura. Rev. Soc. Bras. Cir. Craniomaxilofac;11(2):75-79, 2008. ilus.
  • 25.
    Referência Bibliográfica • Sites: • http://www.abstractsonline.com/OASISMedia/Default.aspx?CKey={126B55E6- 0AEE-48C3-B751-F1B1ADD15740}&Mkey={22FDF1E0-BB98-47D9-B084- 94213A1B7D4D} • http://inforum.insite.com.br/73352/9041634.html • http://www.odontologiadiferenciada.com.br/?cont=unilocularameloblastoma • http://www.asahq.org/Newsletters/2007/01-07/javernick01_07.html • http://jeb.biologists.org/cgi/content/figsonly/208/23/4509 • http://www.worldlingo.com/ma/enwiki/pt/OPG • http://www.pathconsultddx.com/pathCon/diagnosis?pii=S1559-8675(06)70616- 7#fig1 • http://www.odontologiadiferenciada.com.br/?cont=unilocularameloblastoma • http://www.library.vcu.edu/tml/oralpathology/radio.html • http://www.pathconsultddx.com/pathCon/diagnosis? • http://www.scielo.br/scielo.php?pid=S0034-92008000300029&script=sci_arttext
  • 26.
    Referência das Figuras • Figura 1: Imagens Google • Figura 2: http://rad.usuhs.edu/medpix/kiosk_image.html?imageid=38325&pt_id=11236&recid=5982#pic • Figura 3: http://www.library.vcu.edu/pdfgif/tml/oralpathology/46-ameloblastoma.jpg • Figura 4: http://www.anatomiaonline.com/osteologia/cranio.htm • Figura 5: http://inforum.insite.com.br/73352/9041634.html • Figura 6: http://screening.iarc.fr/atlasoral_detail.php?flag=0&lang=1&Id=E0100011&cat=E1 • Figura 7: http://www.library.vcu.edu/tml/oralpathology/radio.html • Figura 8 e 9: http://www.estomatologia.com.br/diagnosticos_det2.asp?cod_diag=12 • Figura 10: http://www.abstractsonline.com/OASISMedia/DisplayImage.aspx?Mkey={22FDF1E0-BB98- 47D9-B084-94213A1B7D4D}&cKey={126B55E6-0AEE-48C3-B751-F1B1ADD15740}&refID=2863 • Figura 11: http://www.abstractsonline.com/OASISMedia/DisplayImage.aspx?Mkey={22FDF1E0-BB98- 47D9-B084-94213A1B7D4D}&cKey={126B55E6-0AEE-48C3-B751-F1B1ADD15740}&refID=2868 • Figura 12: http://www.abstractsonline.com/OASISMedia/DisplayImage.aspx?Mkey={22FDF1E0-BB98- 47D9-B084-94213A1B7D4D}&cKey={126B55E6-0AEE-48C3-B751-F1B1ADD15740}&refID=2864 • Figura 13: http://www.abstractsonline.com/OASISMedia/DisplayImage.aspx?Mkey={22FDF1E0-BB98- 47D9-B084-94213A1B7D4D}&cKey={126B55E6-0AEE-48C3-B751-F1B1ADD15740}&refID=2899 • Figura 14: http://www.radpod.org/2007/08/01/ameloblastoma/
  • 27.
    Referência das Figuras • Figura 15, 16, 17, 18: http://www.pathconsultddx.com/pathCon/diagnosis?pii=S1559- 8675(06)70616-7 • Figura 19: http://scw.asahi-u.ac.jp/~kawamata/jpg/amelo2.jpg • Figura 20: http://www.odontologiadiferenciada.com.br/?cont=unilocularameloblastoma • Figura 21: http://www.asahq.org/Newsletters/2007/01-07/javernick01_07.html • Figura 22: http://www.asahq.org/images/jave7.jpg • Figura 23: http://upload.wikimedia.org/wikipedia/commons/c/c3/Ameloblastoma.jpg • Figura 24: http://www.pathconsultddx.com/pathCon/diagnosis?pii=S1559-8675(06)70616- 7#fig1
  • 28.