HANSENÍASE
Profa Carla Pires – UFPA e UEPA
Dermatologista e Hansenóloga
Mestre em doenças Infecciosas
Carla Pires
Belém-PA
Aspectos epidemiológicos
• Doença infecto-contagiosa;
• Evolução lenta;
• Acomete pp pele e nervos periféricos;;
• Sinais e sintomas dermato-neurológicos
epiderme
derme
subcutâneo
nervo
HANSENÍASE
Agente Etiológico
• Causada pelo
Mycobacterium leprae
HANSENÍASE
Vias de Transmissão
(de homem a homem)
-Vias aéreas superiores
PATOGÊNIA
Exposição
Não Infecção
Infecção Com doença
Sem doença
Boa resistência
Pauci
Pouca resistência
Multi
Classificação
• Madri, 1953:
Tuberculóide
Lepromatosa
Indeterminada
Boderline ou dimorfos
Ridley & Jopling, 1996. Espectral
Operacional (OMS)
• Visa o tratamento multidrogas utilizando
como critério o número de lesões.
• Paucibalares  Até cinco lesões cutâneas.
• Multibacilares  Mais de cinco lesões
cutâneas.
Aspectos clínicos
Aspectos clínicos
• Sinais e sintomas dermatológicos:
– Máculas (manchas);
– Placas (lesão com relevo).
– Nódulos.
– Tubérculos.
As lesões de hanseníase
apresentam alteração da
sensibilidade:
Hipoestesia (diminuida).
Anestesia (ausente).
Hiperestesia (aumentada).
MHI
MHI
MHI
Não há comprometimento de tronco nervoso.
Alteração da sensibilidade térmica.
MHT
MHT
• Alteração de sensibilidade térmica e
dolorosa.
• Troncos nervosos podem ser
envolvidos, em geral, intensamente.
MHD
• Bordos irregulares.
• Contorno interno mal
definido.
• Geralmente vários
troncos nervosos.
• Lesões satélites.
MHD
MHD
MHD
• Numerosas lesões
• Aspectos variados
• Placas mal definidas,
foveolares, nódulos.
• Acomete muitos troncos
nervosos.
• Baciloscopia positiva com
muitos bacilos.
MHD
MHV
• Facies leonina
• Destruição nasal
• Madarose
• Lesões orais
• Alterações oculares
MHV
Hansenomas
HANSENÍASE
Facial
Auricular
Radial
Ulnar
Mediano
Radial
cutâneo
Fibula
r
Tibial posterior
. O comprometimento dos troncos
nervosos é observado quando
houver:
 Alteração da função
sensitivo-motora da área
de inervação.
Dano do nervo mediano
Sensitivo
Dano do nervo radial
Dano do nervo ulnar
Dano do nervo tibial posterior
HANSENÍASE
Lesões Neurológicas
.
Lagoftalmo unilateral 
Paralisia do músculo orbicular
das pálpebras, inervado por um
ramo do nervo facial.
Lagoftalmo
DIAGNÓSTICO
CLÍNICO
DIAGNÓSTICO
• Um caso de hanseníase é uma pessoa que apresenta
uma ou mais das seguintes características:
– Lesão (ões) de pele com alteração da sensibilidade;
– Acometimento de nervo(s) com alteração
sensitivo/motora;
– Baciloscopia positiva.
Brasil, 2009.
DIAGNÓSTICO CLÍNICO
• Anamnese – história clínica e epidemiológica;
• Avaliação Neurológica.
• Avaliação dermatológica: pesquisa da
sensibilidade  Térmica, dolorosa e táctil.
XX
XX
XX
BUSCAR
COMUNICANTES
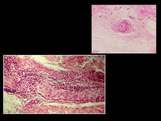
DIAGNÓSTICO LABORATORIAL
• Baciloscopia: lóbulos auriculares, cotovelos e lesão;
– Utilidade para classificar PB/MB ou de recidiva;
– Casos negativos não afastam o diagnóstico –
paucibacilares;
• Histopatologia
DIAGNÓSTICO LABORATORIAL
• Baciloscopia da linfa
DIAGNÓSTICO LABORATORIAL
• Baciloscopia da linfa
IB = É a média dos quatros locais
IM = Quantidade de bacilos integros isolados
Demora de 0.6 a 1/ ano (média de 0,8)
DIAGNÓSTICO COMPLETAR
• Histamina
Histamina a 1:1000
Pele sadia  Triplice Reação de Lewis
Ponto eritematoso no local – 20 a 40 s – Vasod
 Eritema de 3-5 cm de diâmetro – 60 a 120 seg -
vasod por reflexo nervoso de um axônio local
 Urtica – 2 a 3 min – Transudato pelo ↑ da
permeabilidade vascular.
DIAGNÓSTICO LABORATORIAL
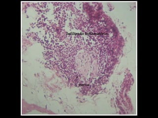
• Histopatologia
epiderme
derme papilar
derme reticular
Glândula sudorípara écrina
nervo
ductos écrinos
nervo
Infiltrado inflamatório
Dermatite granulomatosa
TRATAMENTO
• HANSENÍASE TEM CURA E DEVE SER TRATADA NAS
UNIDADES BÁSICAS DE SAÚDE.
Etapas do tratamento:
– Tratamento quimioterápico específico (PQT);
– Acompanhamento: tratamento das intercorrências
e complicações;
– Prevenção e tratamento das incapacidades.
ESTADOS REACIONAIS
• São reações do sistema imunológico frente ao M.
leprae;
• Ocorrem nos casos tanto paucibacilares quanto nos
multibacilares;
• Causam danos teciduais e incapacidades;
• Não contra-indicam o tratamento específico.
ESTADOS REACIONAIS
• Fatores preciptantes:
Infecções intercorrentes
Gravidez e puerpério
Vacinação
Stress físico e psicológico.
ESTADOS REACIONAIS
 Reação tipo 1 ou reversa: imunidade celular
Surgimento de novas lesões, infiltrações e edema das
lesões antigas, neurite;
 Reação tipo 2: imunidade humoral
Eritema nodoso hansênico (ENH): nódulos vermelhos
dolorosos, febre, dores articulares, mal estar geral.
Eritema multiforme, orquite, etc…
MB
MHT – REACIONAL (Tipo 1)
MH – REACIONAL (Tipo 1)
Reação tipo 2 - Eritema nodoso
Simpósio Hanseníase - Hanseníase - dermatologista Carla
Simpósio Hanseníase - Hanseníase - dermatologista Carla
Simpósio Hanseníase - Hanseníase - dermatologista Carla
Simpósio Hanseníase - Hanseníase - dermatologista Carla
Simpósio Hanseníase - Hanseníase - dermatologista Carla
Simpósio Hanseníase - Hanseníase - dermatologista Carla
Simpósio Hanseníase - Hanseníase - dermatologista Carla
Simpósio Hanseníase - Hanseníase - dermatologista Carla
Simpósio Hanseníase - Hanseníase - dermatologista Carla
Simpósio Hanseníase - Hanseníase - dermatologista Carla
Simpósio Hanseníase - Hanseníase - dermatologista Carla
Simpósio Hanseníase - Hanseníase - dermatologista Carla
Simpósio Hanseníase - Hanseníase - dermatologista Carla
Simpósio Hanseníase - Hanseníase - dermatologista Carla
Simpósio Hanseníase - Hanseníase - dermatologista Carla

Simpósio Hanseníase - Hanseníase - dermatologista Carla