REAÇÕES DE
HIPERSENSIBILIDADE

Ana Cláudia Carvalho Gouveia
Definição de alergia
(Hipersensibilidade)
- Resposta imunológica excessiva e inapropriada
organismo a uma substância inócua (alérgeno).

do
Reações de hipersensibilidade
- Requer um contato prévio do indivíduo com o alérgeno
(sensibilização)

- Resposta imunológica: humoral ou celular
- Causam inflamação sistêmica ou local;
Classificação
(Gel e Coombs)

I (Imediata)

IgE – basófilos e/ou
mastócitos

II (Citotóxico)

IgG – Ags na membrana
de células

III (Imunecomplexos)

IgG - Ags solúveis

IV (Tardia)

Células T
- Decorrente da atividade da histamina e prostaglandinas
Secreção de muco
Permeabilidade vascular
Edema
Contração de musculatura lisa /
Broncoconstrição
Prurido e Rash (Exantema)
- Decorrente da liberação de leucotrienos, quimiocinas,
citocinas e enzimas pelos mastócitos
-

Produção de muco, remodelagem tecidual

- Responsável pela cronicidade de doenças respiratórias
alérgicas (asma)
Hipersensibilidade Tipo I
Etapas

1 - Primeiro contato com o alérgeno
2 - Apresentação do alérgeno aos linfócitos T naïve, via APCs
3 - Ativação dos linfócitos T naïve a linfócitos Th2
(produção de IL-4, IL-13, IL-9, IL-5)

4 - Ativação de linfócitos B, que passam a produzir IgE
5 - Ligação da IgE produzida à superfície de mastócitos e basófilos
(via receptores de alta especificidade para a porção Fc)
Hipersensibilidade Tipo I – Sensibilização ao alérgeno
1- Segundo contato com o alérgeno
2 - Ligação do alérgeno às moléculas de IgE presentes na superfície
de mastócitos e basófilos
3 - Degranulação de mastócitos e basófilos: liberação de mediadores
químicos (histamina, leucotrienos e prostaglandinas)
responsáveis pelos sintomas alérgicos.
Hipersensibilidade Tipo I – Reação alérgica
Limitada a um tecido ou órgão específico

Dermatite atópica
Urticária
A
S
M
A
B
R
Ô
N
Q
U
I
C
A
Degranulação sistêmica de mastócitos
- Urticária
- Angioedema
(Edema profundo)

-

PA

Anafilaxia induzida por alergia alimentar
Classificação
(Gel e Coombs)

I (Imediata)

IgE – basófilos e/ou
mastócitos

II (Citotóxico)

IgG – Ags na membrana de
células

III (Imunecomplexos)

IgG - Ags solúveis

IV (Tardia)

Células T
Hipersensibilidade Tipo II
Decorrente do efeito citopático de Acs, dirigidos contra
Ags presentes na superfície ou matriz celular.

Lise Celular

Fagocitose

Citotoxicidade celular
dependente de Ac (ADCC)

Lesão Tecidual
Hipersensibilidade Tipo II
Anemia hemolítica por transfusão de sangue incompatível
Classificação
(Gel e Coombs)

I (Imediata)

IgE – basófilos e/ou
mastócitos

II (Citotóxico)

IgG – Ags na membrana de
células

III (Imunecomplexos)

IgG -Ags solúveis

IV (Tardia)

Células T
Hipersensibilidade Tipo III
- Ags solúveis
- Causada pelo depósito de complexos Ag-Ac em
determinados tecidos
Reação de Arthus
Injeção do Ag em indivíduos sensibilizados
Formação de complexos imunes

Inflamação local
Aumento da permeabilidade vascular
Reação de Arthus
Formação de complexos Ag-Ac

V
A
S
C
U
L
I
T
E

Fixação dos complexos imunes que não foram
fagocitados à parede dos vasos

Ativação de complemento

Atração de neutrófilos ao local , iniciando um
processo inflamatório

Lesão vascular
Classificação
(Gel e Coombs)

I (Imediata)

IgE – basófilos e/ou
mastócitos

II (Citotóxico)

IgG – Ags na membrana de
células

III (Imunecomplexos)

IgG -Ags solúveis

IV (Tardia)

Células T
Hipersensibilidade Tipo IV
- Resposta imune mediada por células T efetoras específicas
a Ags exógenos inócuos (linfócitos T CD4+ ou T CD8+)

-A
resposta
celular
onde o Ag penetra

induz

lesões

nos

locais
Hipersensibilidade Tipo IV

Hipersensibilidade
Tipo Tardia (DTH)

Proteína
Veneno de inseto
Tuberculina (PPD)
Injetado na pele

Hipersensibilidade
de contato

Haptenos
(Dermatite de contato)
Absorvido pela pele

Enteropatia sensível
ao glúten
(Doença Celíaca)

Gliadina
Absorvido pelo intestino
Hipersensibilidade Tipo IV

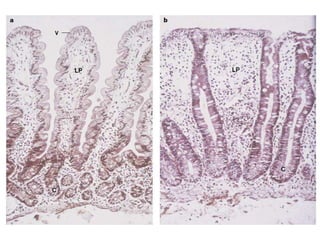
Doença celíaca

Dermatite de
contato

Picada de inseto
Doença Celíaca
Reações de-hipersensibilidade
Reações de-hipersensibilidade
Reações de-hipersensibilidade

Reações de-hipersensibilidade

  • 1.
  • 2.
    Definição de alergia (Hipersensibilidade) -Resposta imunológica excessiva e inapropriada organismo a uma substância inócua (alérgeno). do
  • 3.
    Reações de hipersensibilidade -Requer um contato prévio do indivíduo com o alérgeno (sensibilização) - Resposta imunológica: humoral ou celular - Causam inflamação sistêmica ou local;
  • 4.
    Classificação (Gel e Coombs) I(Imediata) IgE – basófilos e/ou mastócitos II (Citotóxico) IgG – Ags na membrana de células III (Imunecomplexos) IgG - Ags solúveis IV (Tardia) Células T
  • 5.
    - Decorrente daatividade da histamina e prostaglandinas Secreção de muco Permeabilidade vascular Edema Contração de musculatura lisa / Broncoconstrição Prurido e Rash (Exantema)
  • 6.
    - Decorrente daliberação de leucotrienos, quimiocinas, citocinas e enzimas pelos mastócitos - Produção de muco, remodelagem tecidual - Responsável pela cronicidade de doenças respiratórias alérgicas (asma)
  • 7.
    Hipersensibilidade Tipo I Etapas 1- Primeiro contato com o alérgeno 2 - Apresentação do alérgeno aos linfócitos T naïve, via APCs 3 - Ativação dos linfócitos T naïve a linfócitos Th2 (produção de IL-4, IL-13, IL-9, IL-5) 4 - Ativação de linfócitos B, que passam a produzir IgE 5 - Ligação da IgE produzida à superfície de mastócitos e basófilos (via receptores de alta especificidade para a porção Fc)
  • 8.
    Hipersensibilidade Tipo I– Sensibilização ao alérgeno
  • 9.
    1- Segundo contatocom o alérgeno 2 - Ligação do alérgeno às moléculas de IgE presentes na superfície de mastócitos e basófilos 3 - Degranulação de mastócitos e basófilos: liberação de mediadores químicos (histamina, leucotrienos e prostaglandinas) responsáveis pelos sintomas alérgicos.
  • 11.
    Hipersensibilidade Tipo I– Reação alérgica
  • 12.
    Limitada a umtecido ou órgão específico Dermatite atópica Urticária
  • 13.
  • 14.
    Degranulação sistêmica demastócitos - Urticária - Angioedema (Edema profundo) - PA Anafilaxia induzida por alergia alimentar
  • 15.
    Classificação (Gel e Coombs) I(Imediata) IgE – basófilos e/ou mastócitos II (Citotóxico) IgG – Ags na membrana de células III (Imunecomplexos) IgG - Ags solúveis IV (Tardia) Células T
  • 16.
    Hipersensibilidade Tipo II Decorrentedo efeito citopático de Acs, dirigidos contra Ags presentes na superfície ou matriz celular. Lise Celular Fagocitose Citotoxicidade celular dependente de Ac (ADCC) Lesão Tecidual
  • 17.
    Hipersensibilidade Tipo II Anemiahemolítica por transfusão de sangue incompatível
  • 18.
    Classificação (Gel e Coombs) I(Imediata) IgE – basófilos e/ou mastócitos II (Citotóxico) IgG – Ags na membrana de células III (Imunecomplexos) IgG -Ags solúveis IV (Tardia) Células T
  • 19.
    Hipersensibilidade Tipo III -Ags solúveis - Causada pelo depósito de complexos Ag-Ac em determinados tecidos Reação de Arthus Injeção do Ag em indivíduos sensibilizados Formação de complexos imunes Inflamação local Aumento da permeabilidade vascular
  • 20.
  • 21.
    Formação de complexosAg-Ac V A S C U L I T E Fixação dos complexos imunes que não foram fagocitados à parede dos vasos Ativação de complemento Atração de neutrófilos ao local , iniciando um processo inflamatório Lesão vascular
  • 22.
    Classificação (Gel e Coombs) I(Imediata) IgE – basófilos e/ou mastócitos II (Citotóxico) IgG – Ags na membrana de células III (Imunecomplexos) IgG -Ags solúveis IV (Tardia) Células T
  • 23.
    Hipersensibilidade Tipo IV -Resposta imune mediada por células T efetoras específicas a Ags exógenos inócuos (linfócitos T CD4+ ou T CD8+) -A resposta celular onde o Ag penetra induz lesões nos locais
  • 24.
    Hipersensibilidade Tipo IV Hipersensibilidade TipoTardia (DTH) Proteína Veneno de inseto Tuberculina (PPD) Injetado na pele Hipersensibilidade de contato Haptenos (Dermatite de contato) Absorvido pela pele Enteropatia sensível ao glúten (Doença Celíaca) Gliadina Absorvido pelo intestino
  • 25.
    Hipersensibilidade Tipo IV Doençacelíaca Dermatite de contato Picada de inseto
  • 26.