XXXIII Encontro  Sul Mineiro de Cardiologia
Varginha , 27/03/2010 Realidade Atual do Sul de Minas Abordagem Intervencionista da Síndrome Coronária Aguda João Carlos Belo Lisboa Dias Varginha - Poços de Caldas – Itajubá - Belo Horizonte.
REGIÃO – SUL DE MINAS 10 micro-regiões 146 municípios 2.500.000 hab.   (IBGE 2009) Itajubá Varginha Andrelância Pouso Alegre Passos Alfenas Sta Rita  do Sapucaí S.S. do Paraíso São lourenço Poços de Caldas Minas Gerais 20.033.665 hab – 2º População
ESTRUTURA DA CARDIOLOGIA VARGINHA: 1 Sala GE-Cardiocine - Humânitas/Unimed 1 Sala XPRO – Minascor - Regional POÇOS DE CALDAS: 1 Sala Shimadzu 1 Sala XPRO - H. Sta. Lúcia ITAJUBÁ: 1 Sala em fase de estruturação
Métodos gráficos /Ecocardiografia TAC,Angiotomo RNM MEDICINA NUCLEAR IVUS VOLCANO (Ultrasom Intravascular) ESTRUTURA DA CARDIOLOGIA
CULTURA PROFISSIONAL CARDIOLOGIA CLÍNICA:   Graças a um grupo filosoficamente afinado,de experiência profissional comprovada, sintonizado com os mais altos padrões científicos da atualidade, tem sido possível a implantação de diretrizes avançadas em cardiologia. CARDIOLOGIA INTERVENCIONISTA/ CIRURGIA CARDIOVASCULAR:   Trabalho em sinergia, com elevado índice de procedimentos combinados (coronária,válvula,endovascular). EMFERMAGEM:   Aprimoramento constante e envolvimento nos grandes estudos científicos.
CARDIOLOGIA CLÍNICA Fonte: Cardiovascular News Internetional
CARDIOLOGIA INTERVENCIONISTA  E CIRURGIA CARDIOVASCULAR
EMFERMAGEM
CIRURGIA CARDÍACA
CARDIOLOGIA INTERVENCIONISTA
SÍNDROMES CORONÁRIAS AGUDAS Sem Supra de ST Com Supra de ST Apresentação Tardia
Ruptura de Placa / Erosão Formação de  Trombo  e Embolização Angina Instável IAM sem supra ST IAM com supra ST FISIOPATOLOGIA  DAS SÍNDROMES  CORONARIANAS AGUDAS
FATORES DE RISCO  TROMBOGÊNICOS EM SCA Fatores Locais - Grau de ruptura da placa (Erosão, úlcera, etc); - Grau de estenose; - Substrato tecidual (Placa rica em lipídeos); - Superfície de trombo residual (Recorrência); - Vasoconstricção; Fatores  Sistêmicos -  Colesterol, Lp(a); -  Catecolaminas (Tabaco, estresse, cocaína); -  Fibrinogênio, fibrinólise prejudicada (PAI-1), Plaquetas ativadas e coagulação, (fator VII, atividade/ produção de trombina);
Mais de 1,1 milhão de casos anualmente de angina instável; Mais de 2,6 milhões de casos anualmente de infarto agudo do miocárdio, com 1/3 de morte imediata; Mais de 15 milhões de sobreviventes ao IAM; indivíduos com alto risco de recorrência e morte; Mais de 3 milhões de casos anualmente. TROMBOSE:  um problema de proporções epidêmicas FATORES DE RISCO  TROMBOGÊNICOS EM SCA
HOSPITALIZAÇÕES NOS EUA DEVIDO A DOENÇA ATEROSCLERÓTICA From Popovic JR, Hall MJ. Advance Data. 2001;319:1-20. Slide reproduced with permission from Cannon CP.  Atherothrombosis slide compendium. Available at: www.theheart.org. 3,2 Milhões de Admissões Hospitalares Aterosclerose  Coronariana  IAM 1.153.000  Admissões 829.000  Admissões Doença Cerebrovascular 961.000 Admissões Doença   Vascular Outras Isquemias Cardíacas 280.000 Admissões
TROMBO PÓS PLACA ROTA
INFARTO AGUDO DO MIOCÁRDIO Lesão Coronária Obstrução Micro Vascular 5x 1000x
DIAGRAMA DA COAGULAÇÃO
O PAPEL DAS PLAQUETAS NA ATEROTROMBOSE ADESÃO AGREGAÇÃO 3 1 ATIVAÇÃO 2
Ruptura ou Fissura na Placa O PAPEL DA ATIVAÇÃO PLAQUETÁRIA Agregação  Plaquetária Ativação  Plaquetária Adesão  Plaquetária Oclusão Trombótica
Ticlopidina Clopidogrel Heparina Heparina BPM Inibidores Diretos da Trombina Aspirina receptores IIb/IIIa fibrina PLAQUETA inibidores GP  IIb/IIIa ADP Adrenalina Colágeno Ácido  Aracdônico Trombina
SCA  SEM  SUPRA DE SEGMENTO ST Depressão de ST ≥ 0,5 mm em 2 derivações contíguas Inversão simétrica de onda T. Alterações de enzimas cardíacas. SCA  COM  SUPRA DE SEGMENTO ST Supra de segmento ST > 1 mm em duas ou mais derivações contíguas. Bloqueio de ramo esquerdo NOVO. DECISÃO EM SCA
Cateterismo Cardíaco Invasivo Precoce Conservador Cateterismo em todos os pacientes admitidos com angina instável. Cateterismo somente para isquemia recorrente ou intratável ou isquemia em teste provocativo após tratamento medicamentoso otimizado. DECISÃO EM SCA SEM SUPRA DE ST
TIMI RISK SCORE HISTÓRICO Idade maior que 65 anos Mais de 3 fatores de risco para DAC DAC conhecida (≥ 50%) Uso de AAS nos últimos 7 dias APRESENTAÇÃO CLÍNICA Angina grave recente Elevação de marcadores cardíacos Infra de ST> 0,5 mm Antecedentes familiares Diabetes mellitus Dislipidemia Hipertensão Fumante ativo 0 a 2 -  BAIXO  3 a 4 - INTERMEDIÁRIO 5 a 7 - ALTO Antman, EM  &  col. JAMA 2000; 284: 835-842  Síndromes Instáveis sem Supra-ST 7 TOTAL DE PONTOS:
4.7 8.3 13.2 19.9 26.2 40.9 0 10 20 30 40 50 0/1 2 3 4 5 6/7 Número de Pontos Morte, IAM ou Revascularização Urgente (%) Síndromes Instáveis sem Supra-ST TIMI RISK SCORE
ESTRATIFICAÇÃO A presença de Troponina T prediz eventos cardíacos (IAM , óbito); Altos níveis de Troponina prediz eventos cardíacos melhor que baixos níveis; A presença de Troponina T se correlaciona com  lesão complexa ou inversão persistente de onda T; Dosagens de Troponina T podem não acrescentar informação prognóstica em pacientes com alterações de ST-T em ECGs seriados.
EP 1° EM 6 MESES
RAZÕES PARA ESTRATÉGIA INVASIVA PRECOCE Estratificação de risco; Identificar 15% sem doença arterial coronária; Identificar 20% dos tri-arteriais com má função ventricular esquerda ou TCE;  Redução de hospitalizações subseqüentes; Redução da carga terapêutica medicamentosa; Stents modernos, regimes antiplaquetários IIb & IIIa têm reduzido o risco desta estratégia.
TIMI MYOCARDIAL PERFUSION (TMP) GRADES
RISK STRATIFICATION WITH TIMI FLOW GRADES USING THE TIMI MYOCARDIAL PERFUSION GRADES
CONSERVADOR TIMI III B    (Circ.  1994) VANQWISH (NEJM 1998) OASIS registry (Lancet 1998) ICTUS (NEJM 2005) INVASIVO FRISC II (Lancet 1999) TACTICS, TIMI 18 (NEJM 2001) RITA 3 (Lancet 2002) ISAR COOL (JAMA 2003) ESTRATÉGIA  CONSERVADORA  X  INVASIVA
N. Engl. J. Med.,1996;334:884-890  NOVAS TECNOLOGIAS X MORTALIDADE HOSPITALAR
CASO CLÍNICO
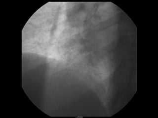
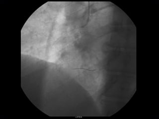
POSICIONAMENTO FILTRO DE PROTEÇÃO DISTAL
 
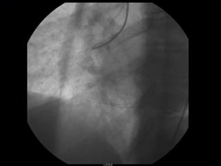
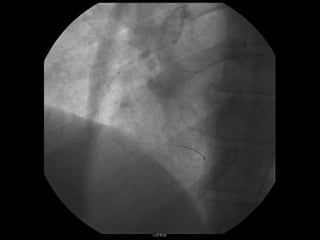
IMPLANTE  STENT
 
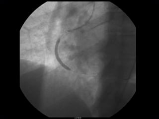
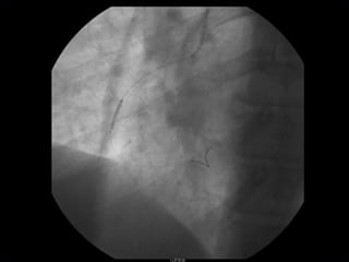
RETIRADA DO FILTRO DE PROTEÇÃO
 
MATERIAL RETIRADO DO FILTRO
 
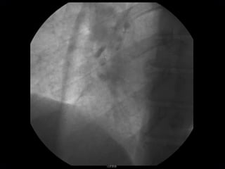
RESULTADO FINAL
 
 
ANGIOPLASTIA PRIMÁRIA CRVM TROMBÓLISE DECISÃO EM SCA  COM  SUPRA DE ST
MOMENTO DO ÓBITO IAM DATASUS-1999
EVOLUÇÃO DA REPERFUSÃO FARMACOLÓGICA 1 TPA SK TIMI 1 1 AAS + clopidogrel AAS APRICOT 2 Placebo AAS 1985; 90 minutos 1993; 3 meses 11.7 32 18.4 25 30 57 0 10 20 30 40 50 60 Artéria oclusa relacionada ao infarto (%) 47% p <0.001 22% p=0.26 36% p <0.001 APRICOT=Antitrombóticos na Prevenção de Reoclusão na Trombólise Coronariana. 1. TIMI Study Group.   New Engl J Med  1985; 312: 932–936.   2. Meijer A et al.  Circulation  1993 87: 1524–1530.   3. Sabatine M et al.  New Eng J Med  2005; 352: 1179 – 1189.   3 AAS + clopidogrel Artéria oclusa relacionada ao infarto (%) 2005; 3.5 dias
Clopidogrel reduziu o Composto de Óbito, IM ou AVC em 9% 1 0 7 14 21 28 0 1 2 3 4 5 6 7 8 9 10 Dias (até 28 dias) Clopidogrel (9,3%) Placebo  (10,1%) Eventos (%) RRR=9% p=0,002 RRR=redução do risco relativo 1. CCS-2 Col Group. Lancet: 366: 1607-21 RAR=0,8% NNT=125 REDUÇÃO DE RISCO
*Relação de chances no óbito por causa CV, IM ou isquemia recorrente levando à revascularização urgente. Tempo (dias) Pacientes com desfecho (%) 0 5 10 15 0 5 10 15 20 25 30 20%* p=0,03 Clopidogrel (11,6%) Placebo   (14,1%) 1.  Sabatine M et al. New Eng J Med 2005; 352: 1179 – 1189.  Clopidogrel reduziu os Eventos Clínicos em 20% em 30 Dias 1 REDUÇÃO DE RISCO
 
 
NTERVALOS MENSURÁVEIS
 
DIRETRIZES SCA Maior utlização de ECG pré-hospitalar pelas unidades urbanas e suburbanas de SME; Suporte moderado para fibrinólise pré-hospitalar (com médico presente ou tempo de transporte maior que 60 minutos); IAM com choque    ACT e/ou balão intra-aórtico; ACT com stent para pacientes com choque (menor de 75 anos e menos de 18h de choque e dentro das 36h de IAM); Menor dose de heparina; Enoxiparina X heparina não fracionada; Farmacoterapia quádrupla aos pacientes de alto risco e SCA sem supra. (AAS, Clopidogrel, Inibidores IIb/IIIa (se intervenção programada) ,  HBPM  ou HNF
IAM : PACIENTES COM APRESENTAÇÃO TARDIA.
CASO CLÍNICO
VIDEO DIAGNÓSTICO
 
IMPLANTE  STENT
 
RESULTADO FINAL
 
DATA SUS
DATA SUS
EPIDEMIOLOGY – HF in USA Population aging  Improvement in HF treatment Patients with myocardial infarction “saved”  22% of men and  46% of women  who suffer an acute myocardial infarction  will be disabled with HF within 6 years. Direct + indirect cost in 2006 ** :   $ 29.6 billion *  National Hospital Discharge Survey, Centers for Disease Control and Prevention, National Lung and Blood Institute.  ** Heart Disease and Stroke Statistics-2006 Update. Hospital discharges for HF *
HEART FAILURE AND CORONARY HEART DISEASE 0 2000 4000 6000 8000 VHEFT-1 Consensus Milrinone PROMISE SOLVD-T V-HEFT 2 SOLVD-P Radiance CHF-STAT Carvedilol PRAISE DIG With CHD Without CHD With Coronary heart disease (68%) Without CHD (32%) Gheorhiade and Bonow.  Circulation 1998; 97: 282-9 n=13789 n=6401
ICP – ICC DIRETRIZES SBC
p <0.001 p <0.0001 p <0.001 p <0.001 p <0.001 p <0.04 1. Linderer T et al. Am J Cardiol 1992; 69: 997-1002 2. Meijer A et al. Circulation 1994; 90: 1706-14 3. Miketic S et al. J Am Coll Cardiol 1995; 25:843-7 4. Danchin N et al. Am J Cardiol 1996; 78: 729-35 5. Fath-Ordoubadi F et al. Am J Cardiol 1998; 82: 26-31 Evidence of LVEF improvement after PCI PCI AND LV DYSFUNTION
0 10 20 30 40 50 60 1 2 3 4 <25% 25-35% 35-45% >45% In-hospital outcomes p=NS Circulation 1993; 87: 21-9 244 p (13.5%) LVEF  45% 1558 p (86.5%) LVEF > a 45% 1802 Consecutive PTCA ≤ 55 2 35 34 28 29 1 18 32 49 1 ≥total occlusions LM disease 3 vessels 2 vessels 1 vessel 4 years Mortality by LVEF p=NS p=NS p<0.001 p<0.001 p<0.001 EF    45% EF > 45% NHLBI PTCA Registry   PCI AND LV DYSFUNTION 0.8 0.7 4.9 4.5 4.5 3.2 0 1 2 3 4 5 Death Non fatal MI Urgent CABG EF    45% EF > 45% p=NS p=NS
Sedlis S. Am J Cardiol 2004;94:118-120 36 months survival (%) 36 m survival free from angina or repeat revascularization (%) p=NS p=NS AWESOME Substudy   PCI vs CABG IN LV DYSFUNCTION Randomized n=94 Registry n=352 LVEF < 35% n=446 AWESOME Population n=2431 Physician directed (n=300) Patient choice  (n=52)
Buszman P . Am J Cardiol 2007;99:36-41 REHEAT Case Controlled Study PCI vs CABG in LV dysfunction LVEF < 40% + CAD PCI (n=55) vs. CABG (n=54) PCI Baseline  LVEF: 31.5 ± 6.2% CABG Baseline  LVEF: 33.1 ± 5.1% PCI 12 months  LVEF: 37.5 ± 8.6% CABG 12 months  LVEF: 37.5 ± 9.5%
Gioia G. Catheter Cardiovasc Interv 2006;68:392-398. DES n=128 BMS n=63 LVEF < 35% (2002-2005) n=191 p=0.05  (log rank test) Atlantic City Medical Center   Patients with STEMI were excluded. Diabetes was more common in DES group.  LVEF was similar in both groups (27%).  p=0.003 % Events (Mean FU: 420 ± 271 d)  2.5 ± 0.8 1.7 ± 0.8 2.0 ± 0.8 1.4 ± 0.7 p=ns NYHA class improvement PCI vs BMS IN LV DYSFUNCTION
SPECT Dobutamine Echo  PET MYOCARDIAL VIABILITY ASSESSMENT  AVAILABLE TESTS Studies (no.)  32  22  11  20  20  Patients (no.) 1090  557  301  488  598  Sensibility Specificity Bax JJ. Curr Probl Cardiol 2001;26:141-186. DE:  Dobutamine Echo TI-RR:  Thallium 201 rest-redistribution TI-RI:  Thallium 201 reinjection MIBI:  Technetium-99m sestamibi FDG:  f-18 fluorodeoxyglucose
Wagner A. Lancet 2003;361:374-379 1-25 26-50 51-75 76-100 % Infarct per segment by histology Number of segments SPECT  CMR  Histology SPECT  CMR  Histology Subendocardial infarction Transmural myocardial infarction SPECT and CMR detect transmural myocardial infarcts. CMR detects subendocardial infarcts that are missed by SPECT. MYOCARDIAL VIABILITY ASSESSMENT  AVAILABLE TESTS
WHISDOM “  Where does the eccluded artery trial leave the lete open artery nypotesis? ’’ Lamas Heoy 2007 Isquemia IAM + Óbito 20 % 7 % ano 5 % 1 % ano 0 0
No intervention (n=535, 70%) Early Intervention** CABG (n=188, 25%) ATC (n=42, 5%) Tarakji KG. Circulation 2006;113:230-237. n=765, LVEF    35% PET/FDG* * PET/FDG: PET with fluorodeoxyglucose,  ** Early Intervention: within the first 6 months of the PET/FDG % 3 years mortality Matched Propensity Analysis † †  153 pts without intervention were matched with 153 pts with early intervention according to demographic features, clinical characteristics and findings on PET.  Only 34 pts without viability were submitted for intervention.  PET   and revascularization Cleveland Clinic 1997-2002 MYOCARDIAL VIABILITY ASSESSMENT 0.5 0.4 0.3 0.2 0.1 0 Years after PET/FDG 0  1  2   3   4   5 Cumulative mortality No intervention (n=153) Early Intervention (n=153) HR 0.52 (0.33-0.81), p=0.0004
Allman. J Am Coll Cardiol 2002;39:1151-1158 LVEF: 32 ± 8%, Follow up:25±10 months Medical treatment (65%) vs. Revascularization (35%) Viable Viable Non-viable Non-viable Revascularized Medical treatment Revasc Revasc Medical Medical Viable Non-Viable Death rate (%/yr) Meta-analysis (24 Trials, n=3088) Death rate (%/yr) MYOCARDIAL VIABILITY AND REVASCULARIZATION 3,2 7,7 16 6,2 0 5 10 15 20 25 -58.4% p<0.0001 158% p=0.001 -79.6% p<0.0001 23% p=0.23
No DBT  DBT Baseline risk Benefit of treatment LVEF<30% LVEF>50% <65 years >65 years More risk… more benefit
% Intervention or treatment Baseline risk No DBT  DBT LVEF <30% LVEF >50% <65 years >65 years More risk… more intervention?
% Intervention or treatment  Baseline risk Patients´ risk Risk of intervention CABG PCI Benefits for more patients More risk… more intervention?
OAT - Trial 2.166 pctes estáveis (FE < 50 %); 3 – 28 dias pós IAM; INV x Clínico; ICP ofereceu benefícios clínicos até 4 meses, que não se sustentarem até 4 anos; 83 % pacientes sem Angina; 91 % ausência ou mínima isquemia; 82 % uniarteriais com FE, próximo do normal (Baixo Risco); Reduzida utilização DES. Nejm , 2006 Óbito Re-IAM ICC Clínico Invasivo 16 % 17 %
6 á 20 % IAM ->  Choque Cardiogênico  302 pctes -> PTCA / CRVM Estabilização Clínica Óbito em 30 dias Timi lll ->  34 % Timi <lll ->  65 %   Circulation 2003 AHA, 2003 Redução de  50 %  de óbito SHOCK - Trial
 
CMMO: células mononucleares de médula ósea, CMM: células madre mesenquima, CMSP: células mononucleares de sangre periférica, CPC: células progenitoras circulantes (1). Assmus B y col. Circulation 2002;106:3009-3017.  (2). Wollert KC y col. Lancet 2004;364:141-148. (3). Meyer GP y col. Circulation 2006;113:1287-1294.( 4). Chen S y col. Am J Cardiol 2004;94:92-95.  (5). Kang HJ y col. Lancet 2004;363:751-756. (6). Janssens S y col. Lancet 2006; 367:113-121. (7). Erb S y col. Circ Res 2005;97:756-762.  (8). Assmus B y col. N Engl J Med 2006;355:1222-1232. 9. Lunde K y col. N Engl J Med 2006;355:1199-1202. 10. Schachinger V y col. N Engl J Med 2006;355:1210-1221  Estudos clínicos realizados com Células-Tronco TERAPIA CELULAR Estudio n Tipo celular Administración Punto final Valor de p TOPCARE-AMI  1 59 CMMO –CMSP Intracoronaria Seguridad y factibilidad NA BOOST (6 meses) 2 BOOST (18 meses) 3 60 CMMO Intracoronaria FEVI (evaluada por RMC) (   6%) 0.0026 0.27 Chen y col  4 34 CMM Intracoronaria FEVI 0.01 MAGIC Cell  5 20 CMSP Intracoronaria Seguridad y factibilidad NA Janssens y col 6 67 CMMO Intracoronaria FEVI por RMC a 4 meses No significativo Erb y col  7 13 CPC Intracoronaria Reserva flujo coronario <0.05 TOPCARE-CHD 8   75 CMMO- CMSP  Intracoronaria FEVI <0.01 para CMMO ASTAMI 9 100 CMMO Intracoronaria FEVI No significativo REPAIR-AMI  10  199 CMMO Intracoronaria FEVI (4 meses) Punto final clínico: Muerte, reIAM, revascularización 4 meses:    FEVI 1 año:    PF clinico (p<0.01)
Prováveis mecanismos   Diferenciação das células administradas; Estimulo a proliferação de precursores cardíacos;  Estimulo a neovascularização; Fusão de células doadas com cardiomiócitos do receptor; Melhoria das propriedades mecánicas (fortalecimento da cicatriz do infarto). TERAPIA CELULAR
A incidência e prevalência de ICC vem crescendo no mundo.  A Doença Arterial Coronária é atualmente a principal causa de ICC. Fração de ejeção do V.E e % área isquemia são fortes preditores de desfechos tardios e óbito. Há controvérsias na acurácia de testes de viabilidade. Os Procedimentos de revascularização (CRVM e PTCA)  recuperam fração de ejeção em portadores de  disfunção de VE. A reperfusão mecânica tardia de artérias coronárias ocluidas, com resultado de fluxo TIMI - lll / TMP - lll podem reduzir óbito em 50 %. CONCLUSÕES
As novas tecnologias disponíveis oferecem melhores resultados imediatos que se sustentam a longo prazo. A reperfusão mecânica tardia sem melhoria de fração de ejeção do VE, pode preservar a geometria ventricular esquerda, por reduzir o remodelamento. Entretanto, muitos pacientes ainda são tratados clinicamente. Os Potenciais Benefícios da revascularização necessitam ser ponderados diante dos riscos.  Nos trabalhos recentes a PTCA parece ser de perfil mais seguro especialmente a curto prazo.  CONCLUSÕES
ACUITY PCI (Bivalirudina) TCT 2006. BASKET LATE TRIAL (Resistência AAP)  ACC 2006. ESTATINAS pré PCI , JACC 2007. ICTUS, 3 anos evolução, LANCET 2007. EVEREST (Tirofiban) JACC 2006. Revisã0 do Guideline UA/NSTEMI 2007 (Circulation 2007) Plasugrel X Clopidogrel (NEJM 2007) LITERATURA RECENTE
CASO CLÍNICO
RECANALIZAÇÃO MECÂNICA COM GUIA 0,014mm
 
PRE-DILATAÇÃO COM CATÉTER BALÃO
 
CATÉTER DE ASPIRAÇÃO PRONTO – V3
 
 
IMPLANTE  STENT
 
RESULTADO FINAL
 
 

Nova - Padrao 2009

  • 1.
    XXXIII Encontro Sul Mineiro de Cardiologia
  • 2.
    Varginha , 27/03/2010Realidade Atual do Sul de Minas Abordagem Intervencionista da Síndrome Coronária Aguda João Carlos Belo Lisboa Dias Varginha - Poços de Caldas – Itajubá - Belo Horizonte.
  • 3.
    REGIÃO – SULDE MINAS 10 micro-regiões 146 municípios 2.500.000 hab. (IBGE 2009) Itajubá Varginha Andrelância Pouso Alegre Passos Alfenas Sta Rita do Sapucaí S.S. do Paraíso São lourenço Poços de Caldas Minas Gerais 20.033.665 hab – 2º População
  • 4.
    ESTRUTURA DA CARDIOLOGIAVARGINHA: 1 Sala GE-Cardiocine - Humânitas/Unimed 1 Sala XPRO – Minascor - Regional POÇOS DE CALDAS: 1 Sala Shimadzu 1 Sala XPRO - H. Sta. Lúcia ITAJUBÁ: 1 Sala em fase de estruturação
  • 5.
    Métodos gráficos /EcocardiografiaTAC,Angiotomo RNM MEDICINA NUCLEAR IVUS VOLCANO (Ultrasom Intravascular) ESTRUTURA DA CARDIOLOGIA
  • 6.
    CULTURA PROFISSIONAL CARDIOLOGIACLÍNICA: Graças a um grupo filosoficamente afinado,de experiência profissional comprovada, sintonizado com os mais altos padrões científicos da atualidade, tem sido possível a implantação de diretrizes avançadas em cardiologia. CARDIOLOGIA INTERVENCIONISTA/ CIRURGIA CARDIOVASCULAR: Trabalho em sinergia, com elevado índice de procedimentos combinados (coronária,válvula,endovascular). EMFERMAGEM: Aprimoramento constante e envolvimento nos grandes estudos científicos.
  • 7.
    CARDIOLOGIA CLÍNICA Fonte:Cardiovascular News Internetional
  • 8.
    CARDIOLOGIA INTERVENCIONISTA E CIRURGIA CARDIOVASCULAR
  • 9.
  • 10.
  • 11.
  • 12.
    SÍNDROMES CORONÁRIAS AGUDASSem Supra de ST Com Supra de ST Apresentação Tardia
  • 13.
    Ruptura de Placa/ Erosão Formação de Trombo e Embolização Angina Instável IAM sem supra ST IAM com supra ST FISIOPATOLOGIA DAS SÍNDROMES CORONARIANAS AGUDAS
  • 14.
    FATORES DE RISCO TROMBOGÊNICOS EM SCA Fatores Locais - Grau de ruptura da placa (Erosão, úlcera, etc); - Grau de estenose; - Substrato tecidual (Placa rica em lipídeos); - Superfície de trombo residual (Recorrência); - Vasoconstricção; Fatores Sistêmicos - Colesterol, Lp(a); - Catecolaminas (Tabaco, estresse, cocaína); - Fibrinogênio, fibrinólise prejudicada (PAI-1), Plaquetas ativadas e coagulação, (fator VII, atividade/ produção de trombina);
  • 15.
    Mais de 1,1milhão de casos anualmente de angina instável; Mais de 2,6 milhões de casos anualmente de infarto agudo do miocárdio, com 1/3 de morte imediata; Mais de 15 milhões de sobreviventes ao IAM; indivíduos com alto risco de recorrência e morte; Mais de 3 milhões de casos anualmente. TROMBOSE: um problema de proporções epidêmicas FATORES DE RISCO TROMBOGÊNICOS EM SCA
  • 16.
    HOSPITALIZAÇÕES NOS EUADEVIDO A DOENÇA ATEROSCLERÓTICA From Popovic JR, Hall MJ. Advance Data. 2001;319:1-20. Slide reproduced with permission from Cannon CP. Atherothrombosis slide compendium. Available at: www.theheart.org. 3,2 Milhões de Admissões Hospitalares Aterosclerose Coronariana IAM 1.153.000 Admissões 829.000 Admissões Doença Cerebrovascular 961.000 Admissões Doença Vascular Outras Isquemias Cardíacas 280.000 Admissões
  • 17.
  • 18.
    INFARTO AGUDO DOMIOCÁRDIO Lesão Coronária Obstrução Micro Vascular 5x 1000x
  • 19.
  • 20.
    O PAPEL DASPLAQUETAS NA ATEROTROMBOSE ADESÃO AGREGAÇÃO 3 1 ATIVAÇÃO 2
  • 21.
    Ruptura ou Fissurana Placa O PAPEL DA ATIVAÇÃO PLAQUETÁRIA Agregação Plaquetária Ativação Plaquetária Adesão Plaquetária Oclusão Trombótica
  • 22.
    Ticlopidina Clopidogrel HeparinaHeparina BPM Inibidores Diretos da Trombina Aspirina receptores IIb/IIIa fibrina PLAQUETA inibidores GP IIb/IIIa ADP Adrenalina Colágeno Ácido Aracdônico Trombina
  • 23.
    SCA SEM SUPRA DE SEGMENTO ST Depressão de ST ≥ 0,5 mm em 2 derivações contíguas Inversão simétrica de onda T. Alterações de enzimas cardíacas. SCA COM SUPRA DE SEGMENTO ST Supra de segmento ST > 1 mm em duas ou mais derivações contíguas. Bloqueio de ramo esquerdo NOVO. DECISÃO EM SCA
  • 24.
    Cateterismo Cardíaco InvasivoPrecoce Conservador Cateterismo em todos os pacientes admitidos com angina instável. Cateterismo somente para isquemia recorrente ou intratável ou isquemia em teste provocativo após tratamento medicamentoso otimizado. DECISÃO EM SCA SEM SUPRA DE ST
  • 25.
    TIMI RISK SCOREHISTÓRICO Idade maior que 65 anos Mais de 3 fatores de risco para DAC DAC conhecida (≥ 50%) Uso de AAS nos últimos 7 dias APRESENTAÇÃO CLÍNICA Angina grave recente Elevação de marcadores cardíacos Infra de ST> 0,5 mm Antecedentes familiares Diabetes mellitus Dislipidemia Hipertensão Fumante ativo 0 a 2 - BAIXO 3 a 4 - INTERMEDIÁRIO 5 a 7 - ALTO Antman, EM & col. JAMA 2000; 284: 835-842 Síndromes Instáveis sem Supra-ST 7 TOTAL DE PONTOS:
  • 26.
    4.7 8.3 13.219.9 26.2 40.9 0 10 20 30 40 50 0/1 2 3 4 5 6/7 Número de Pontos Morte, IAM ou Revascularização Urgente (%) Síndromes Instáveis sem Supra-ST TIMI RISK SCORE
  • 27.
    ESTRATIFICAÇÃO A presençade Troponina T prediz eventos cardíacos (IAM , óbito); Altos níveis de Troponina prediz eventos cardíacos melhor que baixos níveis; A presença de Troponina T se correlaciona com lesão complexa ou inversão persistente de onda T; Dosagens de Troponina T podem não acrescentar informação prognóstica em pacientes com alterações de ST-T em ECGs seriados.
  • 28.
    EP 1° EM6 MESES
  • 29.
    RAZÕES PARA ESTRATÉGIAINVASIVA PRECOCE Estratificação de risco; Identificar 15% sem doença arterial coronária; Identificar 20% dos tri-arteriais com má função ventricular esquerda ou TCE; Redução de hospitalizações subseqüentes; Redução da carga terapêutica medicamentosa; Stents modernos, regimes antiplaquetários IIb & IIIa têm reduzido o risco desta estratégia.
  • 30.
  • 31.
    RISK STRATIFICATION WITHTIMI FLOW GRADES USING THE TIMI MYOCARDIAL PERFUSION GRADES
  • 32.
    CONSERVADOR TIMI IIIB (Circ. 1994) VANQWISH (NEJM 1998) OASIS registry (Lancet 1998) ICTUS (NEJM 2005) INVASIVO FRISC II (Lancet 1999) TACTICS, TIMI 18 (NEJM 2001) RITA 3 (Lancet 2002) ISAR COOL (JAMA 2003) ESTRATÉGIA CONSERVADORA X INVASIVA
  • 33.
    N. Engl. J.Med.,1996;334:884-890 NOVAS TECNOLOGIAS X MORTALIDADE HOSPITALAR
  • 34.
  • 35.
    POSICIONAMENTO FILTRO DEPROTEÇÃO DISTAL
  • 36.
  • 37.
  • 38.
  • 39.
    RETIRADA DO FILTRODE PROTEÇÃO
  • 40.
  • 41.
  • 42.
  • 43.
  • 44.
  • 45.
  • 46.
    ANGIOPLASTIA PRIMÁRIA CRVMTROMBÓLISE DECISÃO EM SCA COM SUPRA DE ST
  • 47.
    MOMENTO DO ÓBITOIAM DATASUS-1999
  • 48.
    EVOLUÇÃO DA REPERFUSÃOFARMACOLÓGICA 1 TPA SK TIMI 1 1 AAS + clopidogrel AAS APRICOT 2 Placebo AAS 1985; 90 minutos 1993; 3 meses 11.7 32 18.4 25 30 57 0 10 20 30 40 50 60 Artéria oclusa relacionada ao infarto (%) 47% p <0.001 22% p=0.26 36% p <0.001 APRICOT=Antitrombóticos na Prevenção de Reoclusão na Trombólise Coronariana. 1. TIMI Study Group. New Engl J Med 1985; 312: 932–936. 2. Meijer A et al. Circulation 1993 87: 1524–1530. 3. Sabatine M et al. New Eng J Med 2005; 352: 1179 – 1189. 3 AAS + clopidogrel Artéria oclusa relacionada ao infarto (%) 2005; 3.5 dias
  • 49.
    Clopidogrel reduziu oComposto de Óbito, IM ou AVC em 9% 1 0 7 14 21 28 0 1 2 3 4 5 6 7 8 9 10 Dias (até 28 dias) Clopidogrel (9,3%) Placebo (10,1%) Eventos (%) RRR=9% p=0,002 RRR=redução do risco relativo 1. CCS-2 Col Group. Lancet: 366: 1607-21 RAR=0,8% NNT=125 REDUÇÃO DE RISCO
  • 50.
    *Relação de chancesno óbito por causa CV, IM ou isquemia recorrente levando à revascularização urgente. Tempo (dias) Pacientes com desfecho (%) 0 5 10 15 0 5 10 15 20 25 30 20%* p=0,03 Clopidogrel (11,6%) Placebo (14,1%) 1. Sabatine M et al. New Eng J Med 2005; 352: 1179 – 1189. Clopidogrel reduziu os Eventos Clínicos em 20% em 30 Dias 1 REDUÇÃO DE RISCO
  • 51.
  • 52.
  • 53.
  • 54.
  • 55.
    DIRETRIZES SCA Maiorutlização de ECG pré-hospitalar pelas unidades urbanas e suburbanas de SME; Suporte moderado para fibrinólise pré-hospitalar (com médico presente ou tempo de transporte maior que 60 minutos); IAM com choque  ACT e/ou balão intra-aórtico; ACT com stent para pacientes com choque (menor de 75 anos e menos de 18h de choque e dentro das 36h de IAM); Menor dose de heparina; Enoxiparina X heparina não fracionada; Farmacoterapia quádrupla aos pacientes de alto risco e SCA sem supra. (AAS, Clopidogrel, Inibidores IIb/IIIa (se intervenção programada) , HBPM ou HNF
  • 56.
    IAM : PACIENTESCOM APRESENTAÇÃO TARDIA.
  • 57.
  • 58.
  • 59.
  • 60.
  • 61.
  • 62.
  • 63.
  • 64.
  • 65.
  • 66.
    EPIDEMIOLOGY – HFin USA Population aging Improvement in HF treatment Patients with myocardial infarction “saved” 22% of men and 46% of women who suffer an acute myocardial infarction will be disabled with HF within 6 years. Direct + indirect cost in 2006 ** : $ 29.6 billion * National Hospital Discharge Survey, Centers for Disease Control and Prevention, National Lung and Blood Institute. ** Heart Disease and Stroke Statistics-2006 Update. Hospital discharges for HF *
  • 67.
    HEART FAILURE ANDCORONARY HEART DISEASE 0 2000 4000 6000 8000 VHEFT-1 Consensus Milrinone PROMISE SOLVD-T V-HEFT 2 SOLVD-P Radiance CHF-STAT Carvedilol PRAISE DIG With CHD Without CHD With Coronary heart disease (68%) Without CHD (32%) Gheorhiade and Bonow. Circulation 1998; 97: 282-9 n=13789 n=6401
  • 68.
    ICP – ICCDIRETRIZES SBC
  • 69.
    p <0.001 p<0.0001 p <0.001 p <0.001 p <0.001 p <0.04 1. Linderer T et al. Am J Cardiol 1992; 69: 997-1002 2. Meijer A et al. Circulation 1994; 90: 1706-14 3. Miketic S et al. J Am Coll Cardiol 1995; 25:843-7 4. Danchin N et al. Am J Cardiol 1996; 78: 729-35 5. Fath-Ordoubadi F et al. Am J Cardiol 1998; 82: 26-31 Evidence of LVEF improvement after PCI PCI AND LV DYSFUNTION
  • 70.
    0 10 2030 40 50 60 1 2 3 4 <25% 25-35% 35-45% >45% In-hospital outcomes p=NS Circulation 1993; 87: 21-9 244 p (13.5%) LVEF 45% 1558 p (86.5%) LVEF > a 45% 1802 Consecutive PTCA ≤ 55 2 35 34 28 29 1 18 32 49 1 ≥total occlusions LM disease 3 vessels 2 vessels 1 vessel 4 years Mortality by LVEF p=NS p=NS p<0.001 p<0.001 p<0.001 EF  45% EF > 45% NHLBI PTCA Registry PCI AND LV DYSFUNTION 0.8 0.7 4.9 4.5 4.5 3.2 0 1 2 3 4 5 Death Non fatal MI Urgent CABG EF  45% EF > 45% p=NS p=NS
  • 71.
    Sedlis S. AmJ Cardiol 2004;94:118-120 36 months survival (%) 36 m survival free from angina or repeat revascularization (%) p=NS p=NS AWESOME Substudy PCI vs CABG IN LV DYSFUNCTION Randomized n=94 Registry n=352 LVEF < 35% n=446 AWESOME Population n=2431 Physician directed (n=300) Patient choice (n=52)
  • 72.
    Buszman P .Am J Cardiol 2007;99:36-41 REHEAT Case Controlled Study PCI vs CABG in LV dysfunction LVEF < 40% + CAD PCI (n=55) vs. CABG (n=54) PCI Baseline LVEF: 31.5 ± 6.2% CABG Baseline LVEF: 33.1 ± 5.1% PCI 12 months LVEF: 37.5 ± 8.6% CABG 12 months LVEF: 37.5 ± 9.5%
  • 73.
    Gioia G. CatheterCardiovasc Interv 2006;68:392-398. DES n=128 BMS n=63 LVEF < 35% (2002-2005) n=191 p=0.05 (log rank test) Atlantic City Medical Center Patients with STEMI were excluded. Diabetes was more common in DES group. LVEF was similar in both groups (27%). p=0.003 % Events (Mean FU: 420 ± 271 d) 2.5 ± 0.8 1.7 ± 0.8 2.0 ± 0.8 1.4 ± 0.7 p=ns NYHA class improvement PCI vs BMS IN LV DYSFUNCTION
  • 74.
    SPECT Dobutamine Echo PET MYOCARDIAL VIABILITY ASSESSMENT AVAILABLE TESTS Studies (no.) 32 22 11 20 20 Patients (no.) 1090 557 301 488 598 Sensibility Specificity Bax JJ. Curr Probl Cardiol 2001;26:141-186. DE: Dobutamine Echo TI-RR: Thallium 201 rest-redistribution TI-RI: Thallium 201 reinjection MIBI: Technetium-99m sestamibi FDG: f-18 fluorodeoxyglucose
  • 75.
    Wagner A. Lancet2003;361:374-379 1-25 26-50 51-75 76-100 % Infarct per segment by histology Number of segments SPECT CMR Histology SPECT CMR Histology Subendocardial infarction Transmural myocardial infarction SPECT and CMR detect transmural myocardial infarcts. CMR detects subendocardial infarcts that are missed by SPECT. MYOCARDIAL VIABILITY ASSESSMENT AVAILABLE TESTS
  • 76.
    WHISDOM “ Where does the eccluded artery trial leave the lete open artery nypotesis? ’’ Lamas Heoy 2007 Isquemia IAM + Óbito 20 % 7 % ano 5 % 1 % ano 0 0
  • 77.
    No intervention (n=535,70%) Early Intervention** CABG (n=188, 25%) ATC (n=42, 5%) Tarakji KG. Circulation 2006;113:230-237. n=765, LVEF  35% PET/FDG* * PET/FDG: PET with fluorodeoxyglucose, ** Early Intervention: within the first 6 months of the PET/FDG % 3 years mortality Matched Propensity Analysis † † 153 pts without intervention were matched with 153 pts with early intervention according to demographic features, clinical characteristics and findings on PET. Only 34 pts without viability were submitted for intervention. PET and revascularization Cleveland Clinic 1997-2002 MYOCARDIAL VIABILITY ASSESSMENT 0.5 0.4 0.3 0.2 0.1 0 Years after PET/FDG 0 1 2 3 4 5 Cumulative mortality No intervention (n=153) Early Intervention (n=153) HR 0.52 (0.33-0.81), p=0.0004
  • 78.
    Allman. J AmColl Cardiol 2002;39:1151-1158 LVEF: 32 ± 8%, Follow up:25±10 months Medical treatment (65%) vs. Revascularization (35%) Viable Viable Non-viable Non-viable Revascularized Medical treatment Revasc Revasc Medical Medical Viable Non-Viable Death rate (%/yr) Meta-analysis (24 Trials, n=3088) Death rate (%/yr) MYOCARDIAL VIABILITY AND REVASCULARIZATION 3,2 7,7 16 6,2 0 5 10 15 20 25 -58.4% p<0.0001 158% p=0.001 -79.6% p<0.0001 23% p=0.23
  • 79.
    No DBT DBT Baseline risk Benefit of treatment LVEF<30% LVEF>50% <65 years >65 years More risk… more benefit
  • 80.
    % Intervention ortreatment Baseline risk No DBT DBT LVEF <30% LVEF >50% <65 years >65 years More risk… more intervention?
  • 81.
    % Intervention ortreatment Baseline risk Patients´ risk Risk of intervention CABG PCI Benefits for more patients More risk… more intervention?
  • 82.
    OAT - Trial2.166 pctes estáveis (FE < 50 %); 3 – 28 dias pós IAM; INV x Clínico; ICP ofereceu benefícios clínicos até 4 meses, que não se sustentarem até 4 anos; 83 % pacientes sem Angina; 91 % ausência ou mínima isquemia; 82 % uniarteriais com FE, próximo do normal (Baixo Risco); Reduzida utilização DES. Nejm , 2006 Óbito Re-IAM ICC Clínico Invasivo 16 % 17 %
  • 83.
    6 á 20% IAM -> Choque Cardiogênico 302 pctes -> PTCA / CRVM Estabilização Clínica Óbito em 30 dias Timi lll -> 34 % Timi <lll -> 65 % Circulation 2003 AHA, 2003 Redução de 50 % de óbito SHOCK - Trial
  • 84.
  • 85.
    CMMO: células mononuclearesde médula ósea, CMM: células madre mesenquima, CMSP: células mononucleares de sangre periférica, CPC: células progenitoras circulantes (1). Assmus B y col. Circulation 2002;106:3009-3017. (2). Wollert KC y col. Lancet 2004;364:141-148. (3). Meyer GP y col. Circulation 2006;113:1287-1294.( 4). Chen S y col. Am J Cardiol 2004;94:92-95. (5). Kang HJ y col. Lancet 2004;363:751-756. (6). Janssens S y col. Lancet 2006; 367:113-121. (7). Erb S y col. Circ Res 2005;97:756-762. (8). Assmus B y col. N Engl J Med 2006;355:1222-1232. 9. Lunde K y col. N Engl J Med 2006;355:1199-1202. 10. Schachinger V y col. N Engl J Med 2006;355:1210-1221 Estudos clínicos realizados com Células-Tronco TERAPIA CELULAR Estudio n Tipo celular Administración Punto final Valor de p TOPCARE-AMI 1 59 CMMO –CMSP Intracoronaria Seguridad y factibilidad NA BOOST (6 meses) 2 BOOST (18 meses) 3 60 CMMO Intracoronaria FEVI (evaluada por RMC) (  6%) 0.0026 0.27 Chen y col 4 34 CMM Intracoronaria FEVI 0.01 MAGIC Cell 5 20 CMSP Intracoronaria Seguridad y factibilidad NA Janssens y col 6 67 CMMO Intracoronaria FEVI por RMC a 4 meses No significativo Erb y col 7 13 CPC Intracoronaria Reserva flujo coronario <0.05 TOPCARE-CHD 8 75 CMMO- CMSP Intracoronaria FEVI <0.01 para CMMO ASTAMI 9 100 CMMO Intracoronaria FEVI No significativo REPAIR-AMI 10 199 CMMO Intracoronaria FEVI (4 meses) Punto final clínico: Muerte, reIAM, revascularización 4 meses:  FEVI 1 año:  PF clinico (p<0.01)
  • 86.
    Prováveis mecanismos Diferenciação das células administradas; Estimulo a proliferação de precursores cardíacos; Estimulo a neovascularização; Fusão de células doadas com cardiomiócitos do receptor; Melhoria das propriedades mecánicas (fortalecimento da cicatriz do infarto). TERAPIA CELULAR
  • 87.
    A incidência eprevalência de ICC vem crescendo no mundo. A Doença Arterial Coronária é atualmente a principal causa de ICC. Fração de ejeção do V.E e % área isquemia são fortes preditores de desfechos tardios e óbito. Há controvérsias na acurácia de testes de viabilidade. Os Procedimentos de revascularização (CRVM e PTCA) recuperam fração de ejeção em portadores de disfunção de VE. A reperfusão mecânica tardia de artérias coronárias ocluidas, com resultado de fluxo TIMI - lll / TMP - lll podem reduzir óbito em 50 %. CONCLUSÕES
  • 88.
    As novas tecnologiasdisponíveis oferecem melhores resultados imediatos que se sustentam a longo prazo. A reperfusão mecânica tardia sem melhoria de fração de ejeção do VE, pode preservar a geometria ventricular esquerda, por reduzir o remodelamento. Entretanto, muitos pacientes ainda são tratados clinicamente. Os Potenciais Benefícios da revascularização necessitam ser ponderados diante dos riscos. Nos trabalhos recentes a PTCA parece ser de perfil mais seguro especialmente a curto prazo. CONCLUSÕES
  • 89.
    ACUITY PCI (Bivalirudina)TCT 2006. BASKET LATE TRIAL (Resistência AAP) ACC 2006. ESTATINAS pré PCI , JACC 2007. ICTUS, 3 anos evolução, LANCET 2007. EVEREST (Tirofiban) JACC 2006. Revisã0 do Guideline UA/NSTEMI 2007 (Circulation 2007) Plasugrel X Clopidogrel (NEJM 2007) LITERATURA RECENTE
  • 90.
  • 91.
  • 92.
  • 93.
  • 94.
  • 95.
  • 96.
  • 97.
  • 98.
  • 99.
  • 100.
  • 101.
  • 102.

Notas do Editor

  • #17 Hospitalization due to atherosclerotic disease, particularly acute coronary syndromes, accounts for well over one million admissions to U.S. hospitals each year.
  • #21 Scanning electron microscope photographs showing platelet adhesion and activation (left photo) and early platelet aggregation (right photo)
  • #22 Platelets are recognized to play an integral role in acute coronary syndromes and arterial thrombosis. After plaque fissure or rupture, there is platelet adhesion and activation. This leads to platelet aggregation within the coronary artery, and ultimately partial or complete occlusion of the coronary artery.
  • #23 There are multiple mediators which can result in platelet activation, including ADP, epinephrine, collagen, arachidonic acid, and thrombin. Aspirin blocks activation of platelets by arachidonic acid. The thienopyridines (ticlopidine and clopidogrel) block ADP-mediated platelet activation. Antithrombin therapy (heparin, low-molecular-weight heparin, or direct thrombin inhibitors) block thrombin-mediated platelet activation. The glycoprotein IIb/IIIa inhibitors block platelet aggregation by inhibiting fibrin from binding to the GP IIb/IIIa receptor
  • #26 The greater the number of TIMI Risk Score criteria, the greater the risk of adverse cardiac event.
  • #27 The greater the number of TIMI Risk Score criteria, the greater the risk of adverse cardiac event.
  • #28 João, modifiquei algumas incorreções. Já sairam as diretrizes 2007(revisão da de 2004). Está incorreto dizer AAS OU clopidogrel, pois desde 2004 é AAS E clopi… portanto terapia 4pla. Acho interessante falar sobre HPBM X, também sobre as novas HBPM HNF (bivalirudina, foundaparinux) e sobre o plasugrel, que já estão na revisão das diretrizes 2004.
  • #49 Nas últimas décadas, as melhoras nas terapias farmacológicas levaram ao aumento de reperfusão em pacientes com IM 1  3 Em 1985, o estudo TIMI 1 demonstrou que TPA aumentou significativamente a perfusão coronariana em 47% (p &lt;0,001) em comparação com SK em 90 minutos 1 Em 1993, o estudo Antitrombótico na Prevenção de Reoclusão no Trombólise Coronariana (APRICOT) demonstrou que o ASA tendeu para a melhora da perfusão coronariana em 22% (p=0,26) em comparação com ASA em 3 meses, apesar de não ser estatisticamente significativo 2 Os resultados do estudo CLARITY mostra que o clopidogrel melhorou significativamente as chances de artéria oclusa relacionada ao infarto (TIMI 0/1) no angiograma prá-alta hospitalar, ou óbito ou IM antes da angiografia em 36% (p &lt;0,001) em um antecedente de terapia padrão (incluindo fibrinolíticos e ASA) em comparação com placebo 3 Referência 1. TIMI Study Group. New Engl J Med 1985; 312: 932–936. 2. Meijer A et al. Circulation 1993 87: 1524–1530. 3. Sabatine M et al. New Eng J Med 2005; 352: 1179 – 1189.
  • #50 28 dias após a randomização (acompanhamento médio de 16,5 dias), a porcentagem de pacientes no grupo clopidogrel com o resultado composto de óbito, IM ou AVC foi de 9,3% em comparação com 10,1% no grupo placebo Assim, o estudo COMMIT demonstrou que o clopidogrel reduziu o risco relativo do resultado composto primário de óbito, IM recorrente ou AVC em 9% (p=0,002) Referência 1. Chen ZM et al. Oral presentation, ACC 2005. Available at: URL: http://www.commit-ccs2.org. Accessed April 2005.
  • #51 Em 30 dias, o clopidogrel tem um efeito significativo na redução de desfechos clínicos 1 Clopidogrel reduziu as chances de óbito cardiovascular, IM recorrente ou isquemia recorrente levando à revascularização urgente em 20% (relação de chances 0,80; IC 95% [0,65–0,97]; p=0,03) 1 Referência 1. Sabatine M et al. New Eng J Med 2005; 352: 1179 – 1189.
  • #56 João, modifiquei algumas incorreções. Já sairam as diretrizes 2007(revisão da de 2004). Está incorreto dizer AAS OU clopidogrel, pois desde 2004 é AAS E clopi… portanto terapia 4pla. Acho interessante falar sobre HPBM X, também sobre as novas HBPM HNF (bivalirudina, foundaparinux) e sobre o plasugrel, que já estão na revisão das diretrizes 2004.