Associação Brasileira de Odontologia seção SP regional Osasco




                 Procedimentos de moldagem de
                         transferência



     Especialização em Implantodontia, 2012

                                             Mathias MA
MOLDAGEM
• MOMENTO DE TRANSFERIR O RESULTADO
DO PLANEJAMENTO CIRÚRGICO PARA A REALIDADE

•TRANSFERE A POSIÇÃO DO(S) IMPLANTE(S) E
OU SEU(S) COMPONENTE(S) PARA O MODELO
DE ESTUDO OU DE TRABALHO
Moldagem ou Transferência
•Transferência das características e posicionamento dos
implantes
•Dispositivos pré-fabricados:
- Análogos ou réplicas
-“transfers” ou transferentes
•Preparos protéticos e demais contornos de interesse
protético
MODELO DE ESTUDO Articulado
•OCLUSÃO DO PACIENTE
•DIMENÇÃO VERTICAL
•ESPAÇO INTER ARTICULAR
•PRESENÇA OU NÃO DE BRIDAS E FREIOS
•HÁBITOS PARAFUNCIONAIS
•GIROVERÇÕES DENTAIS
•INCLINAÇÃO M / D - V / L
•MUCOSA EM RELAÇÃO AO DENTE ADJACENTE
•NECESSIDADE DE APOIO LABIAL
•PRESENÇA OU NÃO DE GENGIVA INSERIDA
•FORMATO DO ARCO DENTAL
•AVALIAÇÃO DA “ SAÚDE” DENTAL REMANESCENTE
Modelos articulados com gengiva artificial
Análise do modelo de estudo para seleção de pilares
Enceramento Diagnóstico
Rebordos com características diversas
REQUISITOS BÁSICOS

•USO DE MOLDEIRAS ADEQUADAS RÍGIDAS OU SEMI RÍGIDAS
COM RETENÇÃO ADEQUADA
•ENVOLVIMENTO TOTAL DO ARCO DENTAL
•COPIAR BRIDAS E FREIOS
•AUSÊNCIA DE BOLHAS E FALTA DE MATERIAL
•COPIAR COM FIDELIDADE ÁREA DE INTERESSE E ADJACÊNCIAS
•NÃO APRESENTAR DISTORÇÕES
•Moldeiras metálicas e plásticas
•Materiais para impressão:
Siliconas de adição e condensação, mercapitanas
e poliéters, pasta zinco-eugenólica, godivas,
alginato...
Materiais para retirada de registro articular
moldeiras
Selamento periférico




Preparo corretivo
MATERIAIS PARA IMPRESSÃO

•POLIVINIL SILOXANO (PVS) OU SILICONA DE REAÇÃO POR
ADIÇÃO.
        Express (3M); Extrude (Kerr); Aquasil (L.D. Caulk),
Stern Vantage (Sterngold Implamed).

•POLIÉTER.
        Impregum e Permadyne (ESPE), Polygel (L.D.
Caulk)

•HIDROCOLÓIDE IRREVERSÍVEL.
            Jeltrate (Dentsply), Hidrogum (Zermack)
MATERIAIS PARA IMPRESSÃO


SEGUNDO CHRISTENSEN (1992), EXISTEM ALGUMAS
COMPARAÇÕES ENTRE AS CARACTERÍSTICAS DOS MATERIAIS:

• FIDELIDADE
               OS TRÊS MATERIAIS SÃO EXCELENTES

• ESTABILIDADE DIMENSIONAL

               PVS PERÍODO INDEFINIDO;
                POLIÉTER DIMINUI EM 2 SEMANAS;
                HIDROCOLÓIDE POBRE
•CARACTERÍSTICAS DE USO

       EXCELENTE ( SEM ODOR NEM GOSTO) PARA O PVS,
        SATISFATÓRIO A BOM PARA O POLIÉTER
        RAZOÁVEL PARA HIDROCOLÓIDE

• ELASTICIDADE

       EXCELENTE PARA PVS,
        BOA PARA O POLIÉTER,
        BOA PARA HIDROCOLÓIDE

• RESISTÊNCIA AO RASGAMENTO

       BOA PARA EXCELENTE PARA PVS E PARA POLIÉTER
        BOA PARA HIDROCOLÓIDE
•HIDROFILIBILIDADE
              EXCELENTE PARA PVS,
               BOA / EXCELETE PARA POLIÉTER,
               EXCELENTE PARA HIDROCOLÓIDE

• UNIÃO À MOLDEIRA
            SATISFATÓRIA PARA PVS,
              EXCELENTE E RÁPIDA PARA POLIÉTER
              NENHUMA PARA HIDROCOLÓIDE

• CUSTO
            SATISFATÓRIO PARA PVS,
             ALTO PARA POLIÉTER,
             BAIXO PARA HIDROCOLÓIDE.
DONOVAN (2004) DESCREVE AS PRINCIPAIS
CARACTERÍSTICAS QUE UM MATERIAL DE MOLDAGEM DEVE
APRESENTAR:

           FIDELIDADE
           MEMÓRIA ELÁSTICA
           ESTABILIDADE DIMENSIONAL
           ESCOAMENTO E FLEXIBILIDADE
           FACILIDADE DE MANIPULAÇÃO
           HIDROFILIBILIDADE
           TEMPO DE VIDA
           CONFORTO AO PACIENTE
           FATORES ECONÔMICOS
DONOVAN (2004) E OS PRINCÍPIOS PARA CORRETA
MANIPULAÇÃO DOS MATERIAIS


•VOLUME UNIFORME
•ADESÃO À MOLDEIRA
•TEMPO PARA MODELAGEM HIDROCOLÓIDE 10 MIN,
                             POLIÉTER DE 1 HORA,
                              PVS INDETERMINADO

•CONTROLE DA VISCOSIDADE
•MISTURA ADEQUADA
•DESINFECÇÃO ( HIPOCLORITO DE SÓDIO)
DONOVAN (2004) classifica o Polivinil siloxano (PVS) como melhor
material de impressão devido às características apresentadas:

•Melhor detalhe final e memória elástica
•Não há subproduto de reação de polimerização
•Sem odor nem sabor
•Estabilidade dimensional
•Viscosidade, rigidez e tempo de trabalho satisfatórios
•Sistema Automix

       DESVANTAGEM: não pode ser manipulado com luvas de látex
Não fique enrolado, há muito mais ainda...
COMO LEVAR O IMPLANTE DA BOCA PARA O MODELO MANTENDO COM
PRECISÃO O ANTI ROTACIONAL E AS ESPIRAS INTERNAS ?
Análogos ou réplicas
•Pré-fabricados e possuem as características dos
implantes quanto tipo de encaixe e plataforma de
emergência para os implantes e componentes
protéticos selecionados
Mathias MA
Mathias MA
GENGIVA ARTIFICIAL
Seqüência de Transferência
•Identificação do implante
•Seleção do tipo de moldagem
•Instalar os componentes de transferência, através de
parafusamento do “transfer” ao implante
•Conferência da adaptação com RX
Seleção de moldeira
•Moldagem pesada ou anatômica
•Alívio de contornos
•Moldagem leve ou funcional
•Remoção
•Adaptação do “transfer” ao análogo
•Isolamento para gengiva artificial
•Vazamento do gesso
•Modelo para seleção de componente
Transferente aberto ou quadrado
•Maior precisão,
•Moldagem de arrasto
•Moldagem de múltiplos implantes
•Remoção da moldagem por desparafusamento
•Ferolização dos transfers entre si e na moldeira
TRANSFERENTES QUADRADOS

                 PARAFUSO DE FIXAÇÃO




                 CORPO DO TRANSFER



                 ANÁLOGO
Mathias MA
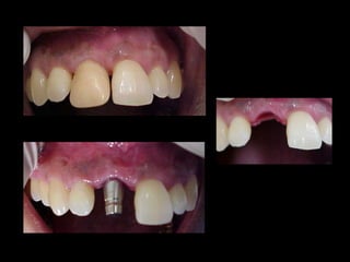
Caso clínico




APÓS A INSTALAÇÃO DO
TRANSFER FAZER RX DE
AVALIAÇÃO DA ADAPTAÇÃO
PROMOVER ALÍVIO DO
                                  TRANSFER




PREPARO DA MOLDEIRA PARA
PASSAGEM DO PARAFUSO DE FIXAÇÃO
DO TRANSFER
VERIFICAR ACESSO AO
PARAFUSO DO TRANSFER
PROMOVER AlíVIO INTERNO NA
                                PRIMEIRA MOLDAGEM

                                VEDAR COM CERA O ACESSO AO PARAFUSO
                                DO TRANSFER




INICIAR COM SERINGA A SEGUNDA
FASE DA MOLDAGEM
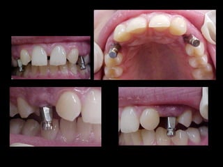
TRANSFERÊNCIA DE VÁRIOS
IMPLANTES SIMULTANEAMENTE
Transferente fechado ou redondo


•Moldagem unitária
•Menor precisão no reposicionamento do análogo
Mathias MA
TRANSFER INSTALADO
         RADIOGRAFIA DE PROVA




PRIMEIRA MOLDAGEM - DENSO
INICIAR A SEGUNDA MOLDAGEM COM SERINGA
REMOÇÃO DO TRANSFER




REPOSIÇÃO DO CICATRIZADOR
REPOSIÇÃO DO TRANSFER E ANÁLOGO NA MOLDAGEM
VAMOS PARA O CAFÉ ?
Transferência de componente
Emergência protética
locking-taper, Select Nobel
Morse, Ankylos Degussa
Pick-up, twist lock, 3i
Transferência de Pilares
POR TÉCNICA OU POR SOFISTICAÇÃO DE TÉCNICA
A TRANSFERÊNCIA DE PILARES PROTÉTICOS FAZ-SE NECESSÁRIA

É REALIZADA DA MESMA MANEIRA DOS IMPLANTES,
MAS COM USO DE TRANSFERENTES ESPECÍFICOS
PARA O PILAR PROTÉTICO UTILIZADO
1. Casquete de moldagem
2. Réplica
3. Abutment cicatrização
4. Parafuso de ouro
5. Abutment
6. Implante
7. Coifa Cerâmica
8. Padrão de plástico calcinável
MOLDAGEM DE TRANSFERÊNCIA DE
CONDICIONAMENTO GENGIVALar
Caso Clínico
MOLDAGEM DE ESTUDO
CICATRIZADORES RETIRADOS
TRANSFERENTES CÔNICOS
      INSTALADOS
CONFECÇÃO DA MOLDEIRA PARA TRANSFER QUADRADO
MOLDAGEM DE TRABALHO
UNIÃO DOS TRANSFERENTES
PROVA DA MOLDEIRA E MOLDAGEM
INSTALAÇÃO DOS ANÁLOGOS
CONFECÇÃO DA GENGIVA ARTIFICIAL
MODELO PRONTO PARA SER TRABALHADO
MODELO PRONTO PARA SER TRABALHADO
NOVO CASO DE MOLDAGEM COM TRANSFER QUADRADO
Risco de movimentação do transfer




MOLDAGEM COM DEFEITOS
Moldagem
•Posicionamento tridimensional do implante
•Relação com tecidos circundantes
•Relação com antagonista
•Modelo de estudo e trabalho
•Essencial para desenvolvimento protético




                     Mathias MA
O que começa errado...




                         Mathias MA

Moldagem 2012