+
Análise do primeiro ano
Matriciamento
em
Dermatologia
+ 1) Para você, o matriciamento:
a) te deu mais autonomia na condução de
suas consultas (frente a uma demanda de
lesão de pele)?
 sim (S)
 não (N)
b) foi falho em que sentidos?
2) Que sugestões você daria para melhorar a
qualidade e o andamento?
+
LIVROS SUGERIDOS
 SAMPAIO E RIVITTI
 AZULAY
 MÁRCIA RAMOS-E-SILVA
 BOLOGNIA
 FITZPATRICK
ATLAS:
 DUVIVIER
 LUNA AZULAY
+
LESOES ELEMENTARES
JULIA OCAMPO
+ Lesões cutâneas
secundárias
• Descamações
• Crostas
• Erosões
• Fissuras
• Atrofia
• Úlceras
• Cicatrizes
Lesões cutâneas
primárias
• Máculas
• Pápulas
• Placas
• Nódulos
• Pústulas
• Vesículas
• Bolhas
+
Lesões cutâneas especiais
• Escoriação
• Comedão
• Milia
• Cisto
• Petéquias
+
ALTERAÇAO DE COR
ELEVAÇOES EDEMATOSAS
FORMAÇOES SÓLIDAS
COLEÇOES LÍQUIDAS
ALTERAÇOES DE ESPESSURA
PERDAS E REPARAÇOES TECIDUAIS
+
ALTERAÇAO DE COR
MÁCULA
+
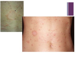
MÁCULA
+ MÁCULA: alteração de cor sem
relevo ou depresão
Vásculo-sanguíneas:
Eritema: por vasodilatação
Exantema: eritema disseminado, agudo e
efêmero
Púrpura: extravasamento de hemácias
 petéquias (até 1 cm)
 equimose
 víbice (linear)
+ MÁCULA: alteração de cor sem
relevo ou depresão
 Pigmentares
Hipocromia ou acromia
Hipercromia
+
+
+
+
+
+
Obs: hematoma ≠ equimose
+
Obs: hematoma≠ equimose
+
+
+
+
ELEVAÇOES EDEMATOSAS
Urtica: efêmera , irregular na forma e
extensão, eritematosa e pruriginosa (edema
dérmico circunscrito)
+
+
FORMAÇOES SÓLIDAS
 Pápula (até 1 cm)
 Nódulo (1-3 cm)
 Tubérculo: pápula ou nódulo que evolui com cicatriz
 Tumor (acima de 3 cm)
 Goma: nódulo ou tumor que se liquefaz na porção central
eliminando material necrótico
 Vegetação: pedunculada ou com aspécto de couve-flor que
sangra facilmente
 Verrucosidade: elevada, de superfície dura e inelástica
+
PÁPULA: até 1 cm
+
+
+
+
+
+
+
PLACAS
+
+
+
+
+
+
+
NÓDULOS: de 1-3 cm
+
+
+
+
GOMA
+
+
VEGETAÇAO
+
+
+
VERRUCOSIDADE
+
COLEÇOES LÍQUIDAS
Vesícula (até 1 cm)
Bolha (acima de 1 cm)
Pústula (até 1 cm)
Abscesso: formação circunscrita de líquido
purulento de tamanho variável e com flogose
Hematoma: coleção de sangue
+
VESÍCULAS
+
+
+
+
+
+
BOLHAS
+
+
+
+
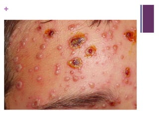
PÚSTULAS
+
+
+
+
+
ABSCESSO
+
HEMATOMA
+
ALTERAÇOES DE ESPESSURA
 Queratose: duro, inelástico, superfície áspera
(aumento camada córnea)
 Liquenificação: acentuação de sulcos e da cor da
pele
 Edema: depressível (aumento de volume)
 Infiltração: aumento da espessura e consistência da
pele com menor evidência de sulcos e limites
imprecisos
 Esclerose: aumento da espessura e consistência da
pele , não depressível e com pregueamento difícil
 Atrofia
+
QUERATOSE
+
LIQUENIFICAÇAO
+
LIQUENIFICAÇãO
+
EDEMA
+
INFILTRAÇAO
+
ESCLEROSE
+
ATROFIA
+
+
+
+ PERDAS E REPARAÇOES
TECIDUAIS
 Escama: massa furfurácea, micácea ou foliácea que se
desprende por alteração da queratinização
 Erosão ou exulceração: perda superficial (epiderme)
 Ulceração: derme e epiderme
 Úlcera: ulceração crônica
 Fissura: perda linear de derme e epiderme
 Crosta: concreção formada em área de perda tecidual
(serosidade, pus ou sangue misturado a restos
epiteliais)
 Cicatriz
+
DESCAMAÇOES
+
+
+
+
+
EROSAO: perda superficial
(epiderme)
+
+
+
ULCERAÇAO: derme e epiderme
+
+
+
+
+
FISSURAS
+
+
+
+
+
CROSTA
+
+
+
+
CICATRIZ
+
+
+
+
ALTERAÇOES ESPECÍFICAS
ALGUNS
EXEMPLOS…
+
ESCORIAÇAO
+
+
COMEDAO
+
+
MILIA
+
+
+
CISTO
+
+
+
+
+
OBRIGADA!
JULIAOCAMPO@CREMERJ.ORG.BR

Lesoes elementares