PRINCÍPIOS DE
   CIRURGIA
ENDODÔNTICA
Diversos autores propõem outros termos que
      designam este tipo de cirurgia, tais como:

Cirurgia perirradicular (DELRIO,1996)

Apicetomia           (BERNABÉ, 1981 e 1994)



Apicectomia            (AMAGASA et al.,1989;
PAPADOGEORGARKIS;PIGADAS,TRIANTAFILLIDI, 1990; HALL;
HOLMLUND, 1991; PERDIGÃO, 1991; RAPP; BROWN; NEWTON, 1991;
ZETTERQVIST, 1991; CACCIOLI, 1992; CHEUNG; LAM, 1993;
REINHART et al., 1995; TROPE et al., 1996 e SAILER; PAJAROLA, 2000).
Cirurgia apical (FRIEDMAN; ROTSTEIN; MAHAMID, 1991;
LUSTMANN; FRIEDMAN; SHAHARABANY, 1991; WISCOVITCH;
WISCOVITCH, 1995 e MORSE; BHAMBHANI, 1990)



Cirurgia endodôntica              (ALCOUFFE; POKOIK, 1989;
VALAVANIS; SPYROPOULOS; KEREZOUDIS, 1990; ORSTAVIC, 1991;
PECORA; ANDREANA, 1993; BROWN, 1995; KIM, 1997 e ARENS;
TORABINEJAD; CHIVIAN; RUBINSTEIN, 1998)



Cirurgia parendodôntica (VERRI; AGUIAR, 1991;
1991; BERNABÉ; HOLLAND, 1998; BRAMANTE; BERBERT, 2000 e
PAIANO; BRITO, 2000).
Cientificamente, a cirurgia
    parendodôntica é um
     recurso terapêutico
utilizado no tratamento das
 patologias que acometem
   os tecidos periapicais.
fístula
A técnica    cirúrgica utilizada, variável segundo
características anatômicas e os fatores etiológicos locais, é
composta por:


 trepanação cortical
 curetagem periapical
 apicectomia
 preparação de cavidade retrógrada
 obturação retrógrada.
Os materiais e métodos utilizados
para:
técnica anestésica
localização do ápice radicular
traçado incisional
e demais etapas operatórias subseqüentes
devem ser cuidadosamente observados a
fim de garantir o sucesso deste tipo de
intervenção.
Fundamental é a qualidade da incisão utilizada
nesta modalidade de cirurgia.
Muito mais importante do que o tipo ou formato da incisão
é a observância de princípios cirúrgicos básicos
relacionados a ela, como aqueles definidos por Gregori et al:


         irrigação sanguínea do retalho,
         respeito a integridade tecidual,
         adequada visualização do campo operatório,
         versatilidade na amplitude
         apoio em tecido ósseo sadio para garantir
          uma adequada síntese de colágeno,
          formação de matriz óssea e osteogênese.
• A cirurgia é parte
  importante do
  tratamento endodôntico
• Indicações claras e
  precisas
O retratamento
endodôntico deve
  ser instituído
  sempre que
    possível.
A técnica cirúrgica deve ser
precedida sempre de uma
criteriosa avaliação do paciente,
observando-se uma completa
anamnese e exame clínico, assim
como suas indicações e
contra-indicações para o
procedimento cirúrgico

         (PAIANO; BRITO, 2000).
A técnica radiográfica deve ser muito bem
realizada, para a visualização adequada do
   ápice radicular, e a determinação da
    extensão de lesões e relações com
     estruturas anatômicas adjacentes.




  BRAMANTE; BERBERT, 1991 e 2000;
 ORSTAVIC, 1991 e SAILER; PAJAROLA,
                2000.
Consulta : análise dos sinais e
              sintomas

• Desenvolvem-se sem nenhum sinal.
• Manifestam-se apenas por causa de uma
  reagudização do processo ou quando a
  anatomia dos maxilares é afetada.

• Podem acontecer tb em lesões periodontais
  ou fratura vertical do dente (realizar
  diagnóstico diferencial – RX e sondagem).
 Kuga et al. citam a dimensão clínica da lesão
  patológica, bem como a extensão da ostectomia como
  fatores essenciais na escolha do tipo de traçado
  incisional para as apicectomias.



 Incisões situadas sobre a loja cirúrgica podem permitir
  infecção secundária e dificultar o processo de reparo
  local devido à epitelização da loja, obrigando o
  paciente
  a submeter-se a novos procedimentos cirúrgicos, com
  o uso de barreiras por exemplo, a fim de garantir
  adequada formação óssea no local e bons resultados
  clínicos estéticos.
 Segundo Veiga & Guimarães,
  essas barreiras, colocadas sobre
  o defeito ósseo, impedem a
  penetração de células epiteliais
  e do tecido conjuntivo gengival,
  favorecendo a proliferação de
  osso alveolar no interior da lesão.
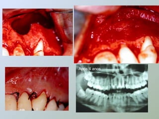
Após 4 anos
Indicações
        Anatômicas:                Erros do tratamento
•   Delta apical                       endodôntico:
•   Curvas radiculares e     •   Instrumentos
                                 fraturados
    calcificações
                             •   Falsos canais
•   Reabsorções e ápices
    abertos                  •   Degraus e
                                 ultrapassagem apical
•   Extrusão
    apical(associar endo e   •   Ultrapassagem do
    cirurgia)                    material obturador
                             •   Fracasso da endodôntia
                             •   Presença de cimentos
                                 insolúveis
Indicações
      Protéticas :              Traumatismo
• Presença de pino                dentário:
  intra canal (fratura)   • Fratura no terço
• Dente pilar de ponte      apical
  fixa



               Cistos radiculares:

      •Tratamento endodôntico e cirurgia
Fragmento de
              instrumento




reabsorção
Extravasamento
                   material




     Cone
ultrapassado
Contra-indicações
          Locais :
•   Endodônticas (trat.               Anatômicas :
    inadequado)                • Processo inflamatório
•   Periodontais                 em fase aguda
    (prognóstico negativo)     • Dificuldade de acesso à
•   Suporte ósseo limitado       área periapical
•   Fraturas longitudinais
•   Relação custo/


                             Sistêmicas:
                     Observar o momento oportuno
                      para realizar o procedimento
CIRURGIA
PERIAPICAL
Cirurgia periapical
  A cirurgia periapical inclui a
 ressecção da porção radicular
 que contém o espaço do canal
não debridado/não obturado e/ou
para obturação apical e vedação
 do canal quando o tratamento
  endodôntico convencional é
          impraticável.
Procedimento
  cirúrgico
Procedimento cirúrgico
•   Desenho do retalho
•   Incisão e descolamento
•   Acesso ao ápice
•   Curetagem
•   Apicectomia e ressecção
•   Preparo apical e obturação
•   Reposição do retalho e sutura
•   Avaliação radiográfica
•   Remoção de sutura e avaliação
Procedimento cirúrgico


  Desenho
     do
O tipo de incisão a ser utilizado,
que promoverá um adequado
retalho, é de importância
fundamental, pois implica
diretamente sobre o ato cirúrgico,
bem como na sua evolução pós-
operatória.
(ALKOUFFE; POKOIK, 1989 e BRAMANTE; BERBERT, 2000; SAILER;
PAJAROLA, 2000 e MARZOLA, 2000 e 2002).
Os retalhos devem obedecer sempre a três requisitos
                      básicos:

1. ser suficientemente amplo para obter ótimo campo
   para se intervir, evitando que as incisões caiam
   sobre o frênulo;
2. sempre possuir uma boa irrigação, não incidindo
   sobre a gengiva inserida;
3. a linha de incisão deve sempre repousar sobre
   tecido ósseo íntegro;
4. ser incisadas sempre a mucosa e o periósteo,
   evitando a dilaceração dos retalhos

                              (MARZOLA, 2000 e 2002).
Tipos de incisões
• Incisão semi-lunar
• Incisão paramarginal
• Incisão mucoperiostal de
  espessura total – retalho
  marginal
Incisão semilunar
• Partsch
• Incisão horizontal levemente
  curvada em meia-lua
• Acesso restrito ao ápice
• Hemorragia trans-cirúrgica
• Deiscências
Incisão paramarginal
• incisão horizontal na gengiva
  inserida
• Uma ou duas incisões verticais
• Ângulos obtusos nas extremidades
• Região anterior de maxila
• 4 mm de gengiva inserida e
  periodonto sadio
Incisão paramarginal
• Vantagem estética
• Maior campo operatório
• Incluir pelo menos um dente
  sadio em cada lado da incisão
• Sangramento ao longo das
  margens cirúrgicas
Incisão
mucoperiostal de
espessura total-
Retalho marginal
• Do sulco até a crista gengival
• Neumann / Nowack
• Descolamento das papilas,
  gengiva marginal, gengiva
  inserida, mucosa alveolar
• Incisões relaxantes ( 1 ou 2)
Retalho marginal
• Acesso e visibilidade máximos
• Nenhuma incisão sobre lesão ou
  defeito ósseo
• Menor tendência a hemorragia
• Melhor visibilidade
• Pouca possibilidade de cicatriz
Retalho marginal
        Desvantagens:

• Alguma dificuldade para
  reposicionar o retalho e suturar
• Retração gengival, exposição
  marginal da coroa e/ou superfícies
  radiculares cervicais
Escolha do retalho
• Dentes com prótese (evitar
  recessão)
• Dentes sem lesão
  periodontal
• Dentes que não apresentam
  risco de serem extraídos
Indicações retalho
           marginal
• Lesões periodontais concomitantes,
  quando é possível realizar de uma só
  vez o tratamento cirúrgico periodontal.
• Lesões periodontais desenvolvidas
  coronalmente – evitar a sutura do
  retalho por cima de defeito ósseo
• Presença de freios
• Escassa dimensão da área gengival
  aderida
Anestesia
Incisão e
descolamento
Incisão e descolamento
• A incisão deve ser de espessura
  total
• Firme, envolver o periósteo
• Descolamento a partir das incisões
  verticais
• Descolar o periósteo
• Manter o retalho com afastadores
  teciduais adequados
Acesso ao
 periápice
Acesso ao periápice
• Freqüentemente o
  osso cortical sobre o
  ápice é reabsorvido
  expondo uma lesão de
  tecido mole
Acesso ao periápice
• Ampliar a abertura óssea
• Cinzel
• Broca esférica cirúrgica
• Expor a raiz e boa parte da
  lesão
Acesso ao periápice
• Irrigação abundante
• Solução fisiológica
• Exposição óssea suficiente
  para permitir boa visualização
CURETAGEM
curetagem
   O tecido inflamatório em torno do
   ápice radicular deve ser removido
                  para:
• Ganhar acesso e melhorar a
  visibilidade
• Obter material para histopatológico
• Reduzir a hemorragia
curetagem
• Evitar danos aos dentes
  adjacentes
• Procurar remover a totalidade da
  lesão
• Porção retro-radicular
• Uso de agentes hemostáticos
Ressecção do
ápice radicular
- apicectomia -
apicectomia
• Acesso ao canal para
  exame e inserção de
  material obturador
• Para remover uma porção
  não debridada/obturada
  da raiz
apicectomia
• Dilacerações radiculares
• Obstruções nos canais
• Acessos às estruturas
  linguais/palatinas
apicectomia
• Antes da apicectomia, devemos
  expor e isolar o ápice
• Apicectomia com angulação
  adequada
• Remover uma quantidade
  suficiente para expor canais
  colaterais
PREPARO E
OBTURAÇÃO
 DO ÁPICE
A amputação do ápice radicular deve ser
 feita com broca montada em baixa rotação,
          com abundante irrigação.

A angulação da broca em relação ao longo eixo
dental deverá ser de 90°, removendo-se desta
maneira o delta apical completamente (BERNARDINELLI
et al. 1994; BRAMANTE; CLÓVIS MARZOLA,BERBERT, 2000 e
MARZOLA, 2000 e 2002),
                 apesar de ainda alguns autores
serem adeptos da inclinação para vestibular

                         (SAILER; PAJAROLA, 2000).
Deve-se observar, também, se não há
anomalias anatômicas como: rebarbas,
intercanais, canais acessórios ou fraturas
radiculares a este nível, podendo-se
utilizar solução esterilizada de azul-de-
metileno a 2%, para identificação destas
situações (DEL RIO, 1996) e, mesmo ainda
se ocorre uma infiltração apical em
cavidade para a obturação retrógrada.

         (BERNARDINELLI et al., 1994)
Preparo e obturação apical

    Indicado em casos de
      selamento apical
         inadequado
• Fresas
• Pontas ultra-sônicas
• Limas endodônticas
Preparo e obturação apical

Fresas:
• Dificuldades técnicas
• Preparo classe I
• 3 a 4 mm de
  profundidade
Preparo e obturação apical

Ponta ultra-sônica:
• Vantagens no controle e
  facilidade de uso
• Menor remoção apical em
  certos casos
Preparo e obturação apical

Limas endodônticas:

• Cortadas ou pré-curvadas
• Permite debridamentos mais
  profundos do canal
• Dificuldades técnicas
Preparo e obturação apical
    Cavidade apical deve estar seca
Materiais empregados devem ser:
• Biocompatíveis
• Não reabsorvíveis
• Fácil inserção
• Não afetados por umidade
• Visíveis radiograficamente
materiais
•   Amálgama sem zinco
•   Cimento Super EBA
•   Guta-percha
•   Compósito resinóide
•   Ionômero de vidro
•   IRM
•   Cavit
•   MTA
REPOSICIONAMENTO E
 SUTURA DO RETALHO
sutura
• Reposicionar o retalho
• Estabilizar com pressão digital
  moderada e gaze úmida
• Prevenir a formação de
  hematoma sob o retalho e
  permitir melhor adaptação e
  sutura mais precisa
sutura
• Suturas a pontos simples
• Seda 4-0 ou fios
  reabsorvíveis
• Após a sutura, comprimir
  novamente o retalho com
  gaze úmida
Instruções
    pós-
operatórias
Instruções pós-operatórias
• Instruções verbais e escritas
  devem ser simples e diretas
• Descrever meios pelos quais
  o paciente pode facilitar a
  cicatrização e obter conforto
Instruções pós-operatórias

        Informar sobre:
• Edema
• Palidez local
• Secreção sanguinolenta
• Meios de evitar ou tratar
  estas alterações
Instruções pós-operatórias
• Não manusear o local da
  cirurgia
• Manter pressão sobre o local
• Bolsa de gelo
• Higiene bucal com escovação
• Alimentação e líquidos sem
  traumatizar área operada
Instruções pós-operatórias
 • Analgésicos
 • Antiinflamatórios
 • Antibióticos
 • O paciente deve avisar em
   caso de edema excessivo ou
   dor
REMOÇÃO DAS
  SUTURAS E
  AVALIAÇÃO
Remoção das suturas e
     avaliação

• Entre 3 e 6 dias
• Avaliar o fechamento
  primário da ferida
• Nova sutura em
  deiscências
• Radiografias
DIFICULDADES
CIRÚRGICAS
Dificuldades cirúrgicas

•Em muitas ocasiões
 o acesso cirúrgico é
 limitado e mesmo
 arriscado
Dificuldades cirúrgicas

• Feixe neurovascular
  em molares inferiores
• Raiz palatina da maxila
• Parestesia/hemorragias
Dificuldades cirúrgicas
• Espessura óssea
  mandibular
• Espessura óssea palatina
• Freios
• Fenestrações no osso
  cortical
• Seio maxilar
Dificuldades cirúrgicas
    Podem ser superadas:
• Instrumentos adequados
• Habilidade cirúrgica
• A graduação não oferece
  treinamento e experiência, o
  que indica o
  encaminhamento ao
casos clínicos
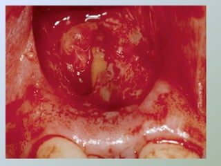
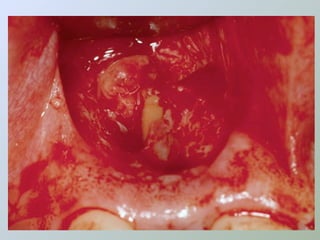
Caso 1
Caso 2
Paraendodôntica uepg
Paraendodôntica uepg
Paraendodôntica uepg
Paraendodôntica uepg
Paraendodôntica uepg
Paraendodôntica uepg
Paraendodôntica uepg
Paraendodôntica uepg
Paraendodôntica uepg
Paraendodôntica uepg

Paraendodôntica uepg

  • 1.
    PRINCÍPIOS DE CIRURGIA ENDODÔNTICA
  • 2.
    Diversos autores propõemoutros termos que designam este tipo de cirurgia, tais como: Cirurgia perirradicular (DELRIO,1996) Apicetomia (BERNABÉ, 1981 e 1994) Apicectomia (AMAGASA et al.,1989; PAPADOGEORGARKIS;PIGADAS,TRIANTAFILLIDI, 1990; HALL; HOLMLUND, 1991; PERDIGÃO, 1991; RAPP; BROWN; NEWTON, 1991; ZETTERQVIST, 1991; CACCIOLI, 1992; CHEUNG; LAM, 1993; REINHART et al., 1995; TROPE et al., 1996 e SAILER; PAJAROLA, 2000).
  • 3.
    Cirurgia apical (FRIEDMAN;ROTSTEIN; MAHAMID, 1991; LUSTMANN; FRIEDMAN; SHAHARABANY, 1991; WISCOVITCH; WISCOVITCH, 1995 e MORSE; BHAMBHANI, 1990) Cirurgia endodôntica (ALCOUFFE; POKOIK, 1989; VALAVANIS; SPYROPOULOS; KEREZOUDIS, 1990; ORSTAVIC, 1991; PECORA; ANDREANA, 1993; BROWN, 1995; KIM, 1997 e ARENS; TORABINEJAD; CHIVIAN; RUBINSTEIN, 1998) Cirurgia parendodôntica (VERRI; AGUIAR, 1991; 1991; BERNABÉ; HOLLAND, 1998; BRAMANTE; BERBERT, 2000 e PAIANO; BRITO, 2000).
  • 4.
    Cientificamente, a cirurgia parendodôntica é um recurso terapêutico utilizado no tratamento das patologias que acometem os tecidos periapicais.
  • 6.
  • 7.
    A técnica cirúrgica utilizada, variável segundo características anatômicas e os fatores etiológicos locais, é composta por:  trepanação cortical  curetagem periapical  apicectomia  preparação de cavidade retrógrada  obturação retrógrada.
  • 8.
    Os materiais emétodos utilizados para: técnica anestésica localização do ápice radicular traçado incisional e demais etapas operatórias subseqüentes devem ser cuidadosamente observados a fim de garantir o sucesso deste tipo de intervenção.
  • 9.
    Fundamental é aqualidade da incisão utilizada nesta modalidade de cirurgia. Muito mais importante do que o tipo ou formato da incisão é a observância de princípios cirúrgicos básicos relacionados a ela, como aqueles definidos por Gregori et al:  irrigação sanguínea do retalho,  respeito a integridade tecidual,  adequada visualização do campo operatório,  versatilidade na amplitude  apoio em tecido ósseo sadio para garantir uma adequada síntese de colágeno, formação de matriz óssea e osteogênese.
  • 10.
    • A cirurgiaé parte importante do tratamento endodôntico • Indicações claras e precisas
  • 11.
    O retratamento endodôntico deve ser instituído sempre que possível.
  • 12.
    A técnica cirúrgicadeve ser precedida sempre de uma criteriosa avaliação do paciente, observando-se uma completa anamnese e exame clínico, assim como suas indicações e contra-indicações para o procedimento cirúrgico (PAIANO; BRITO, 2000).
  • 13.
    A técnica radiográficadeve ser muito bem realizada, para a visualização adequada do ápice radicular, e a determinação da extensão de lesões e relações com estruturas anatômicas adjacentes. BRAMANTE; BERBERT, 1991 e 2000; ORSTAVIC, 1991 e SAILER; PAJAROLA, 2000.
  • 14.
    Consulta : análisedos sinais e sintomas • Desenvolvem-se sem nenhum sinal. • Manifestam-se apenas por causa de uma reagudização do processo ou quando a anatomia dos maxilares é afetada. • Podem acontecer tb em lesões periodontais ou fratura vertical do dente (realizar diagnóstico diferencial – RX e sondagem).
  • 15.
     Kuga etal. citam a dimensão clínica da lesão patológica, bem como a extensão da ostectomia como fatores essenciais na escolha do tipo de traçado incisional para as apicectomias.  Incisões situadas sobre a loja cirúrgica podem permitir infecção secundária e dificultar o processo de reparo local devido à epitelização da loja, obrigando o paciente a submeter-se a novos procedimentos cirúrgicos, com o uso de barreiras por exemplo, a fim de garantir adequada formação óssea no local e bons resultados clínicos estéticos.
  • 16.
     Segundo Veiga& Guimarães, essas barreiras, colocadas sobre o defeito ósseo, impedem a penetração de células epiteliais e do tecido conjuntivo gengival, favorecendo a proliferação de osso alveolar no interior da lesão.
  • 20.
  • 21.
    Indicações Anatômicas: Erros do tratamento • Delta apical endodôntico: • Curvas radiculares e • Instrumentos fraturados calcificações • Falsos canais • Reabsorções e ápices abertos • Degraus e ultrapassagem apical • Extrusão apical(associar endo e • Ultrapassagem do cirurgia) material obturador • Fracasso da endodôntia • Presença de cimentos insolúveis
  • 22.
    Indicações Protéticas : Traumatismo • Presença de pino dentário: intra canal (fratura) • Fratura no terço • Dente pilar de ponte apical fixa Cistos radiculares: •Tratamento endodôntico e cirurgia
  • 23.
    Fragmento de instrumento reabsorção
  • 24.
    Extravasamento material Cone ultrapassado
  • 25.
    Contra-indicações Locais : • Endodônticas (trat. Anatômicas : inadequado) • Processo inflamatório • Periodontais em fase aguda (prognóstico negativo) • Dificuldade de acesso à • Suporte ósseo limitado área periapical • Fraturas longitudinais • Relação custo/ Sistêmicas: Observar o momento oportuno para realizar o procedimento
  • 27.
  • 28.
    Cirurgia periapical A cirurgia periapical inclui a ressecção da porção radicular que contém o espaço do canal não debridado/não obturado e/ou para obturação apical e vedação do canal quando o tratamento endodôntico convencional é impraticável.
  • 29.
  • 30.
    Procedimento cirúrgico • Desenho do retalho • Incisão e descolamento • Acesso ao ápice • Curetagem • Apicectomia e ressecção • Preparo apical e obturação • Reposição do retalho e sutura • Avaliação radiográfica • Remoção de sutura e avaliação
  • 31.
  • 32.
    O tipo deincisão a ser utilizado, que promoverá um adequado retalho, é de importância fundamental, pois implica diretamente sobre o ato cirúrgico, bem como na sua evolução pós- operatória. (ALKOUFFE; POKOIK, 1989 e BRAMANTE; BERBERT, 2000; SAILER; PAJAROLA, 2000 e MARZOLA, 2000 e 2002).
  • 33.
    Os retalhos devemobedecer sempre a três requisitos básicos: 1. ser suficientemente amplo para obter ótimo campo para se intervir, evitando que as incisões caiam sobre o frênulo; 2. sempre possuir uma boa irrigação, não incidindo sobre a gengiva inserida; 3. a linha de incisão deve sempre repousar sobre tecido ósseo íntegro; 4. ser incisadas sempre a mucosa e o periósteo, evitando a dilaceração dos retalhos (MARZOLA, 2000 e 2002).
  • 34.
    Tipos de incisões •Incisão semi-lunar • Incisão paramarginal • Incisão mucoperiostal de espessura total – retalho marginal
  • 35.
    Incisão semilunar • Partsch •Incisão horizontal levemente curvada em meia-lua • Acesso restrito ao ápice • Hemorragia trans-cirúrgica • Deiscências
  • 37.
    Incisão paramarginal • incisãohorizontal na gengiva inserida • Uma ou duas incisões verticais • Ângulos obtusos nas extremidades • Região anterior de maxila • 4 mm de gengiva inserida e periodonto sadio
  • 38.
    Incisão paramarginal • Vantagemestética • Maior campo operatório • Incluir pelo menos um dente sadio em cada lado da incisão • Sangramento ao longo das margens cirúrgicas
  • 40.
  • 41.
    Retalho marginal • Dosulco até a crista gengival • Neumann / Nowack • Descolamento das papilas, gengiva marginal, gengiva inserida, mucosa alveolar • Incisões relaxantes ( 1 ou 2)
  • 42.
    Retalho marginal • Acessoe visibilidade máximos • Nenhuma incisão sobre lesão ou defeito ósseo • Menor tendência a hemorragia • Melhor visibilidade • Pouca possibilidade de cicatriz
  • 43.
    Retalho marginal Desvantagens: • Alguma dificuldade para reposicionar o retalho e suturar • Retração gengival, exposição marginal da coroa e/ou superfícies radiculares cervicais
  • 45.
    Escolha do retalho •Dentes com prótese (evitar recessão) • Dentes sem lesão periodontal • Dentes que não apresentam risco de serem extraídos
  • 46.
    Indicações retalho marginal • Lesões periodontais concomitantes, quando é possível realizar de uma só vez o tratamento cirúrgico periodontal. • Lesões periodontais desenvolvidas coronalmente – evitar a sutura do retalho por cima de defeito ósseo • Presença de freios • Escassa dimensão da área gengival aderida
  • 47.
  • 48.
  • 49.
    Incisão e descolamento •A incisão deve ser de espessura total • Firme, envolver o periósteo • Descolamento a partir das incisões verticais • Descolar o periósteo • Manter o retalho com afastadores teciduais adequados
  • 50.
  • 51.
    Acesso ao periápice •Freqüentemente o osso cortical sobre o ápice é reabsorvido expondo uma lesão de tecido mole
  • 53.
    Acesso ao periápice •Ampliar a abertura óssea • Cinzel • Broca esférica cirúrgica • Expor a raiz e boa parte da lesão
  • 55.
    Acesso ao periápice •Irrigação abundante • Solução fisiológica • Exposição óssea suficiente para permitir boa visualização
  • 56.
  • 57.
    curetagem O tecido inflamatório em torno do ápice radicular deve ser removido para: • Ganhar acesso e melhorar a visibilidade • Obter material para histopatológico • Reduzir a hemorragia
  • 58.
    curetagem • Evitar danosaos dentes adjacentes • Procurar remover a totalidade da lesão • Porção retro-radicular • Uso de agentes hemostáticos
  • 61.
  • 62.
    apicectomia • Acesso aocanal para exame e inserção de material obturador • Para remover uma porção não debridada/obturada da raiz
  • 63.
    apicectomia • Dilacerações radiculares •Obstruções nos canais • Acessos às estruturas linguais/palatinas
  • 64.
    apicectomia • Antes daapicectomia, devemos expor e isolar o ápice • Apicectomia com angulação adequada • Remover uma quantidade suficiente para expor canais colaterais
  • 66.
  • 67.
    A amputação doápice radicular deve ser feita com broca montada em baixa rotação, com abundante irrigação. A angulação da broca em relação ao longo eixo dental deverá ser de 90°, removendo-se desta maneira o delta apical completamente (BERNARDINELLI et al. 1994; BRAMANTE; CLÓVIS MARZOLA,BERBERT, 2000 e MARZOLA, 2000 e 2002), apesar de ainda alguns autores serem adeptos da inclinação para vestibular (SAILER; PAJAROLA, 2000).
  • 68.
    Deve-se observar, também,se não há anomalias anatômicas como: rebarbas, intercanais, canais acessórios ou fraturas radiculares a este nível, podendo-se utilizar solução esterilizada de azul-de- metileno a 2%, para identificação destas situações (DEL RIO, 1996) e, mesmo ainda se ocorre uma infiltração apical em cavidade para a obturação retrógrada. (BERNARDINELLI et al., 1994)
  • 69.
    Preparo e obturaçãoapical Indicado em casos de selamento apical inadequado • Fresas • Pontas ultra-sônicas • Limas endodônticas
  • 70.
    Preparo e obturaçãoapical Fresas: • Dificuldades técnicas • Preparo classe I • 3 a 4 mm de profundidade
  • 71.
    Preparo e obturaçãoapical Ponta ultra-sônica: • Vantagens no controle e facilidade de uso • Menor remoção apical em certos casos
  • 73.
    Preparo e obturaçãoapical Limas endodônticas: • Cortadas ou pré-curvadas • Permite debridamentos mais profundos do canal • Dificuldades técnicas
  • 74.
    Preparo e obturaçãoapical Cavidade apical deve estar seca Materiais empregados devem ser: • Biocompatíveis • Não reabsorvíveis • Fácil inserção • Não afetados por umidade • Visíveis radiograficamente
  • 75.
    materiais • Amálgama sem zinco • Cimento Super EBA • Guta-percha • Compósito resinóide • Ionômero de vidro • IRM • Cavit • MTA
  • 76.
  • 77.
    sutura • Reposicionar oretalho • Estabilizar com pressão digital moderada e gaze úmida • Prevenir a formação de hematoma sob o retalho e permitir melhor adaptação e sutura mais precisa
  • 78.
    sutura • Suturas apontos simples • Seda 4-0 ou fios reabsorvíveis • Após a sutura, comprimir novamente o retalho com gaze úmida
  • 81.
    Instruções pós- operatórias
  • 82.
    Instruções pós-operatórias • Instruçõesverbais e escritas devem ser simples e diretas • Descrever meios pelos quais o paciente pode facilitar a cicatrização e obter conforto
  • 83.
    Instruções pós-operatórias Informar sobre: • Edema • Palidez local • Secreção sanguinolenta • Meios de evitar ou tratar estas alterações
  • 84.
    Instruções pós-operatórias • Nãomanusear o local da cirurgia • Manter pressão sobre o local • Bolsa de gelo • Higiene bucal com escovação • Alimentação e líquidos sem traumatizar área operada
  • 85.
    Instruções pós-operatórias •Analgésicos • Antiinflamatórios • Antibióticos • O paciente deve avisar em caso de edema excessivo ou dor
  • 86.
    REMOÇÃO DAS SUTURAS E AVALIAÇÃO
  • 87.
    Remoção das suturase avaliação • Entre 3 e 6 dias • Avaliar o fechamento primário da ferida • Nova sutura em deiscências • Radiografias
  • 88.
  • 89.
    Dificuldades cirúrgicas •Em muitasocasiões o acesso cirúrgico é limitado e mesmo arriscado
  • 90.
    Dificuldades cirúrgicas • Feixeneurovascular em molares inferiores • Raiz palatina da maxila • Parestesia/hemorragias
  • 91.
    Dificuldades cirúrgicas • Espessuraóssea mandibular • Espessura óssea palatina • Freios • Fenestrações no osso cortical • Seio maxilar
  • 92.
    Dificuldades cirúrgicas Podem ser superadas: • Instrumentos adequados • Habilidade cirúrgica • A graduação não oferece treinamento e experiência, o que indica o encaminhamento ao
  • 93.
  • 94.
  • 114.