E Q U I P E :
A L I N E V I T O R I A N O , D A I A N Y VA S C O N C E L O S , E C I A N E L O P E S ,
D E B O R A H C O S TA .
D I S C I P L I N A : B I O L O G I A M O L E C U L A R
P R O F. : VA L E S K A P O R T E L A
Escherichia Coli
E. Coli - Características
 Foi descrito pela primeira vez em 1885, pelo pediatra
alemão Theodore Escherich.
 Gram negativa.
 Enterobacteriaceae.
 Forma de bastonetes (bacilos).
COSTA, Cristiane Mara Silva da. Caracterização molecular de amostras de Escherichia carreadoras dos genes stx isolados de bovinos nos estados de Rondônia e
do Rio de Janeiro, 82f, Rio de Janeiro, v3. , n35.,p1, mar, 2013.
The Canadian Press, Published Wesnesday, February 3, 2016 3:53PM EST
E. Coli - Características
 Pode ser móvel ou imóvel.
 Apresenta metabolismo tanto fermentativo quanto
oxidativo.
 Faz parte da microbiota intestinal.
 Antígenos somáticos (O), flagelados (H) e capsulares
(K).
COSTA, Cristiane Mara Silva da. Caracterização molecular de amostras de Escherichia carreadoras dos genes stx isolados de bovinos nos estados de Rondônia e
do Rio de Janeiro, 82f, Rio de Janeiro, v3. , n35.,p1, mar, 2013.
Linhagens particulares
 E. coli comensal (colonizadores intestinais não-
patogênicos).
 E. coli patogênica intestinal ou enteropatogênica
(categorias diarreiogênicas).
 E. coli patogênica extraintestinal (ExPEC)
COSTA, Cristiane Mara Silva da. Caracterização molecular de amostras de Escherichia carreadoras dos genes stx isolados de bovinos nos estados de Rondônia e
do Rio de Janeiro, 82f, Rio de Janeiro, v3. , n35.,p1, mar, 2013.
Infecções ou síndromes especificas (ExPEC)
 E. coli uropatogênica (UPEC).
 E. coli associada ao quadro de sepse (SEPEC).
 E. coli associada ao quadro de meningite neonatal
(NEMEC)
COSTA, Cristiane Mara Silva da. Caracterização molecular de amostras de Escherichia carreadoras dos genes stx isolados de bovinos nos estados de Rondônia e
do Rio de Janeiro, 82f, Rio de Janeiro, v3. , n35.,p1, mar, 2013.
Infecções intestinais ou entéricas
 E. coli enteropatogênica (EPEC).
 E. coli enterotoxigênica (ETEC).
 E. coli enteroinvasora (EIEC).
 E. coli enteroagregativa (EAEC).
 E. coli produtora de toxina Shiga (STEC).
COSTA, Cristiane Mara Silva da. Caracterização molecular de amostras de Escherichia carreadoras dos genes stx isolados de bovinos nos estados de Rondônia e
do Rio de Janeiro, 82f, Rio de Janeiro, v3. , n35.,p1, mar, 2013.
E. Coli Enteropatogênica (EPEC)
 Importante nos primeiros anos de vida.
 Transmissão – Contato direto.
 Mecanismo – Eliminação de microvilosidades.
 Diarréia Aquosa.
COSTA ARF, et al. Desenvolvimento de PCR multiplex, Ver Pan-Amaz Saude , Belém, Pará, Brasil, v. P77-84, 2010.
E. Coli Enteroxigénica (ETEC)
 Diarréia do viajante.
 Mecanismo – Semelhante a cólera.
 Desequilibrio hidro-salino
 Diarréia aquosa profunda.
COSTA ARF, et al. Desenvolvimento de PCR multiplex, Ver Pan-Amaz Saude , Belém, Pará, Brasil, v. P77-84, 2010.
E. Coli Enteroinvasora (EIEC)
 Invasivo
 Mecanismo – Semelhante ao da Shiguela
 Disenteria – Diarréia com sangue e muco.
COSTA ARF, et al. Desenvolvimento de PCR multiplex, Ver Pan-Amaz Saude , Belém, Pará, Brasil, v. P77-84, 2010.
E. Coli Enteroagregativo (EAEC)
 Formam biofilmes.
 Adere o epitélio do intestino e causa desequilíbrio
hidro-salino.
 Diarréia aquosa persistente ( >7 dias).
COSTA ARF, et al. Desenvolvimento de PCR multiplex, Ver Pan-Amaz Saude , Belém, Pará, Brasil, v. P77-84, 2010.
E. Coli Produtora de toxina Shiga (STEC)
 Subgrupo ( EHEC).
 Transmissão – Água, alimentação ; Direto ou indireto.
 Mecanismo – libera toxina de Shiga no intestino grosso.
 Surtos de diarréia sanguinolenta.
 Pode causar SHU.
COSTA ARF, et al. Desenvolvimento de PCR multiplex, Ver Pan-Amaz Saude , Belém, Pará, Brasil, v. P77-84, 2010.
Diagnóstico
 Exame de fezes.
 Isolamento do microorganismos.
 Caracterização fenotípica:
• Tipagem sorológica;
• Ensaios enzimáticos e de citotoxidade em cultura celular;
• Testes de sensibilidade.
COSTA, Cristiane Mara Silva da. Caracterização molecular de amostras de Escherichia carreadoras dos genes stx isolados de bovinos nos estados de Rondônia e
do Rio de Janeiro, 82f, Rio de Janeiro, v3. , n35.,p11, mar, 2013.
Técnicas Moleculares
 Reação em Cadeia da Polimerase (PCR).¹
 Eletroforese em campo pulsado (PFGE).¹
 PCR Multiplex.²
 RT-PCR.
1- COSTA, Cristiane Mara Silva da. Caracterização molecular de amostras de Escherichia carreadoras dos genes stx isolados de bovinos nos estados
de Rondônia e do Rio de Janeiro, 82f, Rio de Janeiro, v3. , n35.,p12-13, mar, 2013.
2- COSTA ARF, et al. Desenvolvimento de PCR multiplex, Ver Pan-Amaz Saude , Belém, Pará, Brasil, v. P77-84, 2010.
Isolamento e Identificação
 Meios de cultura de baixa seletividade:
• Ágar MacConkey;
• EMB/Teague.
 Utilizadas para a diferenciação de colônias da E. coli
fermentadoras ou não de lactose.
 Teste de Elisa
COSTA, Cristiane Mara Silva da. Caracterização molecular de amostras de Escherichia carreadoras dos genes stx isolados de bovinos nos estados de Rondônia e
do Rio de Janeiro, 82f, Rio de Janeiro,, v3. , n35., p11, mar, 2013.
Ágar MacConkey
 Leitura:
• Cor Original: Rosa avermelhado.
• Colônias cor de rosa: fermenta-
doras de lactose.
• Colônias incolores: não fermen-
tadoras de lactose.
• Não há crescimento de cocos Gram-positivos.
Povilas Kavaliauskas, Vinius Universaty, March 31, 2015
Teste de Elisa
Povilas Kavaliauskas, Vinius Universaty, March 31, 2015
PCR
 Amplifica uma sequência de DNA;
 Obejetivo : tornar a sequência de DNA abundante e
disponível para diversas técnicas de biologia molecular.
COSTA, Cristiane Mara Silva da. Caracterização molecular de amostras de Escherichia carreadoras dos genes stx isolados de bovinos nos estados de Rondônia e do Rio de Janeiro,
82f, Rio de Janeiro,, v3. , n35., p11, mar, 2013.
PCR – Etapas do Procedimento
 Desnaturação Inicial
 Desnaturação
 Anelamento
 Extensão
 Extensão Final
 Número de ciclos
94 – 96°C (3 – 5’);
94 – 94°C (30’’ – 2’);
55 – 64°C (30’’ – 2’);
72°C (30’’ – 2’);
(3 – 5’);
25-40.
COSTA, Cristiane Mara Silva da. Caracterização molecular de amostras de Escherichia carreadoras dos genes stx isolados de bovinos nos estados de Rondônia e do
Rio de Janeiro, 82f, Rio de Janeiro,, v3. , n35., p11, mar, 2013.
PCR – Reagentes
 Primer;
 DNA molde;
 Taq polimerase;
 Solução tampão;
 MgCl2;
 dNTP;
 H20.
Herman Sabala da Fonseca, 2010
PCR – Etapas do Procedimento
 Desnaturação
• Primeira etapa do processo;
• As cadeias de DNA são separadas pelo aquecimento a 95°C;
• As ligações de hidrogênio se rompem;
• Duração de 3 - 5 minuto.
COSTA, Cristiane Mara Silva da. Caracterização molecular de amostras de Escherichia carreadoras dos genes stx isolados de bovinos nos estados de Rondônia e do
Rio de Janeiro, 82f, Rio de Janeiro, v3. , n35.,p11, mar, 2013
PCR – Etapas do Procedimento
 Anelamento
• Segunda etapa do processo;
• Ocorre a formação de pontes de hidrogênio;
• O anelamento da sequência alvo e o primer ocorre após o
resfriamento a 55 °C;
• Duração de 45 segundos.
COSTA, Cristiane Mara Silva da. Caracterização molecular de amostras de Escherichia carreadoras dos genes stx isolados de bovinos nos estados de Rondônia e do
Rio de Janeiro, 82f, Rio de Janeiro, v3. , n35.,p11, mar, 2013
PCR – Etapas do Procedimento
 Extensão
• Taq Polimerase se liga ao DNA template e começa a adicionar
nucleotídeos;
• Reação ocorre a 72°C;
• Duração de 1 a 2 minutos.
COSTA, Cristiane Mara Silva da. Caracterização molecular de amostras de Escherichia carreadoras dos genes stx isolados de bovinos nos estados de Rondônia e do
Rio de Janeiro, 82f, Rio de Janeiro, v3. , n35.,p11, mar, 2013
PCR
HermanSabaladaFonseca,2010
PCR – E. Coli
 Não detecta a presença de E. coli, quando aplicada
diretamente nas amostras fecais.
 Isolamento e identificação das amostras.
 O produto amplificação é adicionada a PCR para
análise.
COSTA, Cristiane Mara Silva da. Caracterização molecular de amostras de Escherichia carreadoras dos genes stx isolados de bovinos nos estados de Rondônia e do
Rio de Janeiro, 82f, Rio de Janeiro, v3. , n35.,p11, mar, 2013
PCR – E. Coli
 Esta técnica apresenta dentre as suas vantagens facilidade e
rapidez de execução, baixo custo, especificidade e
sensibilidade.
 Necessita de um pré-enriquecimento para aumentar a
sensibilidade da técnica.
 Os resultados sugerem que a técnica reduz o tempo de
detecção do microorganismo
COSTA, Cristiane Mara Silva da. Caracterização molecular de amostras de Escherichia carreadoras dos genes stx isolados de bovinos nos estados de Rondônia e do
Rio de Janeiro, 82f, Rio de Janeiro, v3. , n35.,p11, mar, 2013
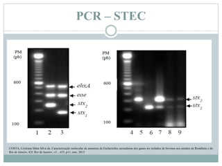
PCR – STEC
COSTA, Cristiane Mara Silva da. Caracterização molecular de amostras de Escherichia carreadoras dos genes stx isolados de bovinos nos estados de Rondônia e do
Rio de Janeiro, 82f, Rio de Janeiro, v3. , n35.,p11, mar, 2013
PFGE
 Eletroforese em Gel de campo pulsado.
 Tecnica mais utilizada para análise epidemiologica para
a maioria das bactérias patogênicas.
 Deriva da eletroforese convencional do DNA, mas a
principal diferença é a repetida orientação do campo
eletrico.
COSTA, Cristiane Mara Silva da. Caracterização molecular de amostras de Escherichia carreadoras dos genes stx isolados de bovinos nos estados de Rondônia e do
Rio de Janeiro, 82f, Rio de Janeiro, v3. , n35.,p11, mar, 2013
PFGE
 Essa mudança provoca um re-arranjo da estrutura
conformacional da molécula, permitindo a sua migração
no gel.
 Capaz de diferenciar cepas da bactéria obtidas a partir
de diferentes municípios.
COSTA, Cristiane Mara Silva da. Caracterização molecular de amostras de Escherichia carreadoras dos genes stx isolados de bovinos nos estados de Rondônia e do
Rio de Janeiro, 82f, Rio de Janeiro, v3. , n35.,p11, mar, 2013
PFGE
Food safty news, august 31, 2009
PFGE – E. Coli
 Sistemas empregados para a tipagem destes
microrganismos.
 Este método molecular tem como base o estudo da
diversidade genética.
 Permite investigar as relações de clonalidade entre
diferentes amostras.
COSTA, Cristiane Mara Silva da. Caracterização molecular de amostras de Escherichia carreadoras dos genes stx isolados de bovinos nos estados de Rondônia e do
Rio de Janeiro, 82f, Rio de Janeiro, v3. , n35.,p11, mar, 2013
PFGE – E. Coli
 Contribui para a elucidação dos aspectos biológicos e
epidemiológicos desses agentes infecciosos.
COSTA, Cristiane Mara Silva da. Caracterização molecular de amostras de Escherichia carreadoras dos genes stx isolados de bovinos nos estados de Rondônia e do
Rio de Janeiro, 82f, Rio de Janeiro, v3. , n35.,p11, mar, 2013
PCR Multiplex
 É uma reação de amplificação;
 Detecta múltiplas sequências-alvos numa mesma
amostra;
 Vários pares de primers;
 Desenvolvimento para detecção simultânea de vários
genes.
COSTA, Cristiane Mara Silva da. Caracterização molecular de amostras de Escherichia carreadoras dos genes stx isolados de bovinos nos estados de Rondônia e do
Rio de Janeiro, 82f, Rio de Janeiro, v3. , n35.,p11, mar, 2013
PCR Multiplex
 Vantagens:
• Diminuição da intensidade
e do período de trabalho
laboratorial.
• Redução do número de
reagentes.
• Redução dos custos.
 Desvantagens:
• Redução da sensibilidade
de detecção.
COSTA, Cristiane Mara Silva da. Caracterização molecular de amostras de Escherichia carreadoras dos genes stx isolados de bovinos nos estados de Rondônia e do
Rio de Janeiro, 82f, Rio de Janeiro, v3. , n35.,p11, mar, 2013
PCR Multiplex
 Identificação e diferenciação de ETEC, EPEC e STEC via
amplificação simultânea de genes.
 Associados à virulência comumente encontrados em
amostras de E.coli causadoras de diarréia.
 Tipagem de Escherichia coli patogênicas causadoras de
diarréia.
ANDRADE, G. I,; SANTOS, E. L. D. S.; COURA, F. M.. PCR multiplex para determinação de marcadores de virulência em escherichia coli isoladas de bovinos
com diarréia em Minas Gerais. In: CONGRESSO BRASILEIRO DE BUIATRIA, VIII, 2009, Minas Gerais, Minas Gerais: Ciência Animal Brasileira, 2009, p.
436-441.
PCR Multiplex
Primier Biosoft, August 31, 2007
PCR Multiplex
COSTA ARF, et al. Desenvolvimento de PCR multiplex, Ver Pan-Amaz Saude , Belém, Pará, Brasil, v. P77-84, 2010.
Classificação molecular das categorias
diarreiogênicas de E. coli
COSTA ARF, et al. Desenvolvimento de PCR multiplex, Ver Pan-Amaz Saude , Belém, Pará, Brasil, v. P77-84, 2010.

Diagnóstico Molecular Escherichia Coli.

  • 1.
    E Q UI P E : A L I N E V I T O R I A N O , D A I A N Y VA S C O N C E L O S , E C I A N E L O P E S , D E B O R A H C O S TA . D I S C I P L I N A : B I O L O G I A M O L E C U L A R P R O F. : VA L E S K A P O R T E L A Escherichia Coli
  • 2.
    E. Coli -Características  Foi descrito pela primeira vez em 1885, pelo pediatra alemão Theodore Escherich.  Gram negativa.  Enterobacteriaceae.  Forma de bastonetes (bacilos). COSTA, Cristiane Mara Silva da. Caracterização molecular de amostras de Escherichia carreadoras dos genes stx isolados de bovinos nos estados de Rondônia e do Rio de Janeiro, 82f, Rio de Janeiro, v3. , n35.,p1, mar, 2013. The Canadian Press, Published Wesnesday, February 3, 2016 3:53PM EST
  • 3.
    E. Coli -Características  Pode ser móvel ou imóvel.  Apresenta metabolismo tanto fermentativo quanto oxidativo.  Faz parte da microbiota intestinal.  Antígenos somáticos (O), flagelados (H) e capsulares (K). COSTA, Cristiane Mara Silva da. Caracterização molecular de amostras de Escherichia carreadoras dos genes stx isolados de bovinos nos estados de Rondônia e do Rio de Janeiro, 82f, Rio de Janeiro, v3. , n35.,p1, mar, 2013.
  • 4.
    Linhagens particulares  E.coli comensal (colonizadores intestinais não- patogênicos).  E. coli patogênica intestinal ou enteropatogênica (categorias diarreiogênicas).  E. coli patogênica extraintestinal (ExPEC) COSTA, Cristiane Mara Silva da. Caracterização molecular de amostras de Escherichia carreadoras dos genes stx isolados de bovinos nos estados de Rondônia e do Rio de Janeiro, 82f, Rio de Janeiro, v3. , n35.,p1, mar, 2013.
  • 5.
    Infecções ou síndromesespecificas (ExPEC)  E. coli uropatogênica (UPEC).  E. coli associada ao quadro de sepse (SEPEC).  E. coli associada ao quadro de meningite neonatal (NEMEC) COSTA, Cristiane Mara Silva da. Caracterização molecular de amostras de Escherichia carreadoras dos genes stx isolados de bovinos nos estados de Rondônia e do Rio de Janeiro, 82f, Rio de Janeiro, v3. , n35.,p1, mar, 2013.
  • 6.
    Infecções intestinais ouentéricas  E. coli enteropatogênica (EPEC).  E. coli enterotoxigênica (ETEC).  E. coli enteroinvasora (EIEC).  E. coli enteroagregativa (EAEC).  E. coli produtora de toxina Shiga (STEC). COSTA, Cristiane Mara Silva da. Caracterização molecular de amostras de Escherichia carreadoras dos genes stx isolados de bovinos nos estados de Rondônia e do Rio de Janeiro, 82f, Rio de Janeiro, v3. , n35.,p1, mar, 2013.
  • 7.
    E. Coli Enteropatogênica(EPEC)  Importante nos primeiros anos de vida.  Transmissão – Contato direto.  Mecanismo – Eliminação de microvilosidades.  Diarréia Aquosa. COSTA ARF, et al. Desenvolvimento de PCR multiplex, Ver Pan-Amaz Saude , Belém, Pará, Brasil, v. P77-84, 2010.
  • 8.
    E. Coli Enteroxigénica(ETEC)  Diarréia do viajante.  Mecanismo – Semelhante a cólera.  Desequilibrio hidro-salino  Diarréia aquosa profunda. COSTA ARF, et al. Desenvolvimento de PCR multiplex, Ver Pan-Amaz Saude , Belém, Pará, Brasil, v. P77-84, 2010.
  • 9.
    E. Coli Enteroinvasora(EIEC)  Invasivo  Mecanismo – Semelhante ao da Shiguela  Disenteria – Diarréia com sangue e muco. COSTA ARF, et al. Desenvolvimento de PCR multiplex, Ver Pan-Amaz Saude , Belém, Pará, Brasil, v. P77-84, 2010.
  • 10.
    E. Coli Enteroagregativo(EAEC)  Formam biofilmes.  Adere o epitélio do intestino e causa desequilíbrio hidro-salino.  Diarréia aquosa persistente ( >7 dias). COSTA ARF, et al. Desenvolvimento de PCR multiplex, Ver Pan-Amaz Saude , Belém, Pará, Brasil, v. P77-84, 2010.
  • 11.
    E. Coli Produtorade toxina Shiga (STEC)  Subgrupo ( EHEC).  Transmissão – Água, alimentação ; Direto ou indireto.  Mecanismo – libera toxina de Shiga no intestino grosso.  Surtos de diarréia sanguinolenta.  Pode causar SHU. COSTA ARF, et al. Desenvolvimento de PCR multiplex, Ver Pan-Amaz Saude , Belém, Pará, Brasil, v. P77-84, 2010.
  • 12.
    Diagnóstico  Exame defezes.  Isolamento do microorganismos.  Caracterização fenotípica: • Tipagem sorológica; • Ensaios enzimáticos e de citotoxidade em cultura celular; • Testes de sensibilidade. COSTA, Cristiane Mara Silva da. Caracterização molecular de amostras de Escherichia carreadoras dos genes stx isolados de bovinos nos estados de Rondônia e do Rio de Janeiro, 82f, Rio de Janeiro, v3. , n35.,p11, mar, 2013.
  • 13.
    Técnicas Moleculares  Reaçãoem Cadeia da Polimerase (PCR).¹  Eletroforese em campo pulsado (PFGE).¹  PCR Multiplex.²  RT-PCR. 1- COSTA, Cristiane Mara Silva da. Caracterização molecular de amostras de Escherichia carreadoras dos genes stx isolados de bovinos nos estados de Rondônia e do Rio de Janeiro, 82f, Rio de Janeiro, v3. , n35.,p12-13, mar, 2013. 2- COSTA ARF, et al. Desenvolvimento de PCR multiplex, Ver Pan-Amaz Saude , Belém, Pará, Brasil, v. P77-84, 2010.
  • 14.
    Isolamento e Identificação Meios de cultura de baixa seletividade: • Ágar MacConkey; • EMB/Teague.  Utilizadas para a diferenciação de colônias da E. coli fermentadoras ou não de lactose.  Teste de Elisa COSTA, Cristiane Mara Silva da. Caracterização molecular de amostras de Escherichia carreadoras dos genes stx isolados de bovinos nos estados de Rondônia e do Rio de Janeiro, 82f, Rio de Janeiro,, v3. , n35., p11, mar, 2013.
  • 15.
    Ágar MacConkey  Leitura: •Cor Original: Rosa avermelhado. • Colônias cor de rosa: fermenta- doras de lactose. • Colônias incolores: não fermen- tadoras de lactose. • Não há crescimento de cocos Gram-positivos. Povilas Kavaliauskas, Vinius Universaty, March 31, 2015
  • 16.
    Teste de Elisa PovilasKavaliauskas, Vinius Universaty, March 31, 2015
  • 17.
    PCR  Amplifica umasequência de DNA;  Obejetivo : tornar a sequência de DNA abundante e disponível para diversas técnicas de biologia molecular. COSTA, Cristiane Mara Silva da. Caracterização molecular de amostras de Escherichia carreadoras dos genes stx isolados de bovinos nos estados de Rondônia e do Rio de Janeiro, 82f, Rio de Janeiro,, v3. , n35., p11, mar, 2013.
  • 18.
    PCR – Etapasdo Procedimento  Desnaturação Inicial  Desnaturação  Anelamento  Extensão  Extensão Final  Número de ciclos 94 – 96°C (3 – 5’); 94 – 94°C (30’’ – 2’); 55 – 64°C (30’’ – 2’); 72°C (30’’ – 2’); (3 – 5’); 25-40. COSTA, Cristiane Mara Silva da. Caracterização molecular de amostras de Escherichia carreadoras dos genes stx isolados de bovinos nos estados de Rondônia e do Rio de Janeiro, 82f, Rio de Janeiro,, v3. , n35., p11, mar, 2013.
  • 19.
    PCR – Reagentes Primer;  DNA molde;  Taq polimerase;  Solução tampão;  MgCl2;  dNTP;  H20. Herman Sabala da Fonseca, 2010
  • 20.
    PCR – Etapasdo Procedimento  Desnaturação • Primeira etapa do processo; • As cadeias de DNA são separadas pelo aquecimento a 95°C; • As ligações de hidrogênio se rompem; • Duração de 3 - 5 minuto. COSTA, Cristiane Mara Silva da. Caracterização molecular de amostras de Escherichia carreadoras dos genes stx isolados de bovinos nos estados de Rondônia e do Rio de Janeiro, 82f, Rio de Janeiro, v3. , n35.,p11, mar, 2013
  • 21.
    PCR – Etapasdo Procedimento  Anelamento • Segunda etapa do processo; • Ocorre a formação de pontes de hidrogênio; • O anelamento da sequência alvo e o primer ocorre após o resfriamento a 55 °C; • Duração de 45 segundos. COSTA, Cristiane Mara Silva da. Caracterização molecular de amostras de Escherichia carreadoras dos genes stx isolados de bovinos nos estados de Rondônia e do Rio de Janeiro, 82f, Rio de Janeiro, v3. , n35.,p11, mar, 2013
  • 22.
    PCR – Etapasdo Procedimento  Extensão • Taq Polimerase se liga ao DNA template e começa a adicionar nucleotídeos; • Reação ocorre a 72°C; • Duração de 1 a 2 minutos. COSTA, Cristiane Mara Silva da. Caracterização molecular de amostras de Escherichia carreadoras dos genes stx isolados de bovinos nos estados de Rondônia e do Rio de Janeiro, 82f, Rio de Janeiro, v3. , n35.,p11, mar, 2013
  • 23.
  • 24.
    PCR – E.Coli  Não detecta a presença de E. coli, quando aplicada diretamente nas amostras fecais.  Isolamento e identificação das amostras.  O produto amplificação é adicionada a PCR para análise. COSTA, Cristiane Mara Silva da. Caracterização molecular de amostras de Escherichia carreadoras dos genes stx isolados de bovinos nos estados de Rondônia e do Rio de Janeiro, 82f, Rio de Janeiro, v3. , n35.,p11, mar, 2013
  • 25.
    PCR – E.Coli  Esta técnica apresenta dentre as suas vantagens facilidade e rapidez de execução, baixo custo, especificidade e sensibilidade.  Necessita de um pré-enriquecimento para aumentar a sensibilidade da técnica.  Os resultados sugerem que a técnica reduz o tempo de detecção do microorganismo COSTA, Cristiane Mara Silva da. Caracterização molecular de amostras de Escherichia carreadoras dos genes stx isolados de bovinos nos estados de Rondônia e do Rio de Janeiro, 82f, Rio de Janeiro, v3. , n35.,p11, mar, 2013
  • 26.
    PCR – STEC COSTA,Cristiane Mara Silva da. Caracterização molecular de amostras de Escherichia carreadoras dos genes stx isolados de bovinos nos estados de Rondônia e do Rio de Janeiro, 82f, Rio de Janeiro, v3. , n35.,p11, mar, 2013
  • 27.
    PFGE  Eletroforese emGel de campo pulsado.  Tecnica mais utilizada para análise epidemiologica para a maioria das bactérias patogênicas.  Deriva da eletroforese convencional do DNA, mas a principal diferença é a repetida orientação do campo eletrico. COSTA, Cristiane Mara Silva da. Caracterização molecular de amostras de Escherichia carreadoras dos genes stx isolados de bovinos nos estados de Rondônia e do Rio de Janeiro, 82f, Rio de Janeiro, v3. , n35.,p11, mar, 2013
  • 28.
    PFGE  Essa mudançaprovoca um re-arranjo da estrutura conformacional da molécula, permitindo a sua migração no gel.  Capaz de diferenciar cepas da bactéria obtidas a partir de diferentes municípios. COSTA, Cristiane Mara Silva da. Caracterização molecular de amostras de Escherichia carreadoras dos genes stx isolados de bovinos nos estados de Rondônia e do Rio de Janeiro, 82f, Rio de Janeiro, v3. , n35.,p11, mar, 2013
  • 29.
    PFGE Food safty news,august 31, 2009
  • 30.
    PFGE – E.Coli  Sistemas empregados para a tipagem destes microrganismos.  Este método molecular tem como base o estudo da diversidade genética.  Permite investigar as relações de clonalidade entre diferentes amostras. COSTA, Cristiane Mara Silva da. Caracterização molecular de amostras de Escherichia carreadoras dos genes stx isolados de bovinos nos estados de Rondônia e do Rio de Janeiro, 82f, Rio de Janeiro, v3. , n35.,p11, mar, 2013
  • 31.
    PFGE – E.Coli  Contribui para a elucidação dos aspectos biológicos e epidemiológicos desses agentes infecciosos. COSTA, Cristiane Mara Silva da. Caracterização molecular de amostras de Escherichia carreadoras dos genes stx isolados de bovinos nos estados de Rondônia e do Rio de Janeiro, 82f, Rio de Janeiro, v3. , n35.,p11, mar, 2013
  • 32.
    PCR Multiplex  Éuma reação de amplificação;  Detecta múltiplas sequências-alvos numa mesma amostra;  Vários pares de primers;  Desenvolvimento para detecção simultânea de vários genes. COSTA, Cristiane Mara Silva da. Caracterização molecular de amostras de Escherichia carreadoras dos genes stx isolados de bovinos nos estados de Rondônia e do Rio de Janeiro, 82f, Rio de Janeiro, v3. , n35.,p11, mar, 2013
  • 33.
    PCR Multiplex  Vantagens: •Diminuição da intensidade e do período de trabalho laboratorial. • Redução do número de reagentes. • Redução dos custos.  Desvantagens: • Redução da sensibilidade de detecção. COSTA, Cristiane Mara Silva da. Caracterização molecular de amostras de Escherichia carreadoras dos genes stx isolados de bovinos nos estados de Rondônia e do Rio de Janeiro, 82f, Rio de Janeiro, v3. , n35.,p11, mar, 2013
  • 34.
    PCR Multiplex  Identificaçãoe diferenciação de ETEC, EPEC e STEC via amplificação simultânea de genes.  Associados à virulência comumente encontrados em amostras de E.coli causadoras de diarréia.  Tipagem de Escherichia coli patogênicas causadoras de diarréia. ANDRADE, G. I,; SANTOS, E. L. D. S.; COURA, F. M.. PCR multiplex para determinação de marcadores de virulência em escherichia coli isoladas de bovinos com diarréia em Minas Gerais. In: CONGRESSO BRASILEIRO DE BUIATRIA, VIII, 2009, Minas Gerais, Minas Gerais: Ciência Animal Brasileira, 2009, p. 436-441.
  • 35.
  • 36.
    PCR Multiplex COSTA ARF,et al. Desenvolvimento de PCR multiplex, Ver Pan-Amaz Saude , Belém, Pará, Brasil, v. P77-84, 2010.
  • 37.
    Classificação molecular dascategorias diarreiogênicas de E. coli COSTA ARF, et al. Desenvolvimento de PCR multiplex, Ver Pan-Amaz Saude , Belém, Pará, Brasil, v. P77-84, 2010.