Fratura de antebraço




Grupo: Suzana, Fabiana, Joseli, Márcia e
Juliana.
INTRODUÇÃO
   O membro superior tem como
    função proporcionar à mão
    mobilidade suficiente para
    que ela possa realizar suas
    funçoes principais.
   As fraturas dos ossos do
    antebraço apresentam
    peculiaridades, pois as forças
    musculares atuantes fazem
    com que dificilmente se
    consiga uma redução
    incruenta satisfatória.
Introdução – parte 2
   O antebraço é uma estrutura única que possui dois
    ossos com dupla articulação que proveem ao
    membro superior movimentos rotacionais de
    pronação e supinação, aumentando a variedade
    de maneiras como os objetos podem ser
    manipulados pelas mãos. As fraturas dos ossos do
    antebraço comportam-se como fraturas articulares,
    onde a consolidação viciosa restringirá esses
    movimentos rotacionais, por alterarem a função
    das articulações radioulnar proximal e distal. É
    importante ressaltar, que a associação com lesões
    de partes moles e fraturas ipsilaterais também
    podem comprometer tais movimentos.
MECANISMOS DAS
FRATURAS
 Compressão axial
 Flexão
 Rotação
 Traumatismo direto
QUADRO CLÍNICO
INVESTIGAÇÃO
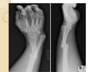
 RAIO-X : deve incluir sempre a articulação do
  cotovelo e do punho
 TC: raramente indicada
 RNM: útil para avaliação da cartilagem articular
 ANGIOGRAFIA: essencial nos casos de lesão
  vascular
CLASSIFICAÇÃO
     O tipo I apresenta luxação anterior da cabeça
      do rádio e fratura da ulna em qualquer nível,
      com angulação anterior. Éo tipo mais comum,
      embora todas as lesões de Monteggia somem
      apenas 5% das fraturas do antebraço
      (ANDRADE et al.,1985).




PRONAÇÃO FORÇADA DO ANTEBRAÇO
MECANISMO DE LESÃO
 Extensão:hiperextensão durante a queda sobre
 a mão estendida
    Mão pronada: póstero-medial
    Mão supinada: póstero-lateral
MECANISMO DE LESÃO
   Flexão: queda sobre o cotovelo
    flexionado ou trauma direto

Fraturas

  • 1.
    Fratura de antebraço Grupo:Suzana, Fabiana, Joseli, Márcia e Juliana.
  • 3.
    INTRODUÇÃO  O membro superior tem como função proporcionar à mão mobilidade suficiente para que ela possa realizar suas funçoes principais.  As fraturas dos ossos do antebraço apresentam peculiaridades, pois as forças musculares atuantes fazem com que dificilmente se consiga uma redução incruenta satisfatória.
  • 4.
    Introdução – parte2  O antebraço é uma estrutura única que possui dois ossos com dupla articulação que proveem ao membro superior movimentos rotacionais de pronação e supinação, aumentando a variedade de maneiras como os objetos podem ser manipulados pelas mãos. As fraturas dos ossos do antebraço comportam-se como fraturas articulares, onde a consolidação viciosa restringirá esses movimentos rotacionais, por alterarem a função das articulações radioulnar proximal e distal. É importante ressaltar, que a associação com lesões de partes moles e fraturas ipsilaterais também podem comprometer tais movimentos.
  • 5.
    MECANISMOS DAS FRATURAS  Compressãoaxial  Flexão  Rotação  Traumatismo direto
  • 6.
  • 7.
    INVESTIGAÇÃO  RAIO-X :deve incluir sempre a articulação do cotovelo e do punho  TC: raramente indicada  RNM: útil para avaliação da cartilagem articular  ANGIOGRAFIA: essencial nos casos de lesão vascular
  • 9.
    CLASSIFICAÇÃO  O tipo I apresenta luxação anterior da cabeça do rádio e fratura da ulna em qualquer nível, com angulação anterior. Éo tipo mais comum, embora todas as lesões de Monteggia somem apenas 5% das fraturas do antebraço (ANDRADE et al.,1985). PRONAÇÃO FORÇADA DO ANTEBRAÇO
  • 12.
    MECANISMO DE LESÃO Extensão:hiperextensão durante a queda sobre a mão estendida Mão pronada: póstero-medial Mão supinada: póstero-lateral
  • 13.
    MECANISMO DE LESÃO  Flexão: queda sobre o cotovelo flexionado ou trauma direto