implante
O atrito entre duas superfícies
levemente divergentes, combinado
com uma pressão criada pela força de
inserção, fixa o cone macho
ao cone fêmea.
Efeito Cone Morse
Esta união permanece e
se mantém de forma
eficiente mesmo quando
a força aplicada para
inserção cessa.
Bozkaya, Müfü, Journal of Biomechanics, 2005.
O Efeito Morse
• A força de união, que é proporcional à força de inserção,
evita que o cone macho seja removido do cone fêmea,
mesmo ao tentar girá-lo ou aplicar uma força axial.
• Um apertamento adequado dos cones garante que tal
“travamento” seja um sistema seguro e natural para o
parafuso que une o abutment ao implante.
• O ÂNGULO PARA EXISTIR O EFEITO “MORSE” VARIA DE 3 a 8°.
Benefícios do Sistema Cone Morse
Fixação Anti-Rotacional;
Alta estabilidade Mecânica;
Menor movimentação rotacional que implantes de
Hexágono Externo (Kitagawa, T. et al; 2005)
 Maior Resistência (Corpo Único)
 Encaixe Cônico na interface Implante-Abutment
 Dificuldade para o afrouxamento dos parafusos
(Bozkaya, D.; Müftü, S. J Biomechanics, 2005)
Benefícios do Sistema Cone Morse
Redução do GAP;
Selamento Bacteriano (Dibart, S. IJOMI; 2005).
Benefícios do Sistema Cone Morse
Baixo potencial para perda óssea marginal
(Tenenbaum et al. Impl Dent, 2003);
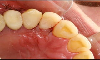
Resultados estéticos periimplantares otimizados
(Abboud, M. IJOMI, 2005).
Benefícios do Sistema Cone Morse
Degrau de
plataforma
CORTE LONGITUDINAL CONEXÃO CONE MORSE
Taper Connection vs. External Hex
Boggan, et al. JPD, 1999.
Ø 2,50 mm
TitamaxMorse4.3TitamaxMorse4.3
Altura 3,50 mm
Ângulo 11,5°
Inserção comInserção com
MontadorMontador
Implantes
Opções:
 Titamax CM;
 Alvim CM;
 Plataforma do implante: 3.5; 4.3; 5.0.
Implantes
Titamax CM (somente cortical):
 Comprimento do implante: 7 mm
– 8 mm – 9 mm – 11 mm – 13 mm –
15 mm – 17 mm
Implantes
Alvim:
Comprimento do implante:
10 mm – 13 mm – 16 mm.
Sistem
a
Cone
M
orse
Sistem
a
Cone
M
orse
Torque 20 N.cm
Parafuso deParafuso de
CoberturaCobertura
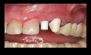
Opções de Componentes Protéticos
Os componentes protéticos são sugeridos em 3 opções de altura:
1.5, 2.5 e 3.5mm.
Munhão CM
3.3 para
prótese
cimentada
Munhão CM
4.5 para
prótese
cimentada
Minipilar CM
para prótese
parafusada
Pilar CM
para prótese
parafusada
Munhão CM
angulado
para prótese
cimentada
Cicatrizador
CM
Medidor de
altura CM
Para seleção
dos
componentes
protéticos
MedidorMedidor
de alturade altura
Análogo de implante
CM
Ø 3.5, 4.3, 5.0
Transferente para implante
CM
Componentes para confecção de modelo de
estudo
Opções (Diâmetro x Altura)Opções (Diâmetro x Altura)
3.3x15, 3.3x2.5, 3.3x3.53.3x15, 3.3x2.5, 3.3x3.5
4.5x1.5, 4.5x2.5, 4.5x3.54.5x1.5, 4.5x2.5, 4.5x3.5
Diâm e tro
CicatrizadoresCicatrizadores
Mini PilarMini Pilar
CônicoCônico
Cinta 1.5, 2.5 e 3.5Cinta 1.5, 2.5 e 3.5
Mini- PilarMini- Pilar
CônicoCônico
1.5mm 2.5mm
Mini Pilar Cônico CMMini Pilar Cônico CM
Opções de Cinta 1.5, 2.5 e 3.5Opções de Cinta 1.5, 2.5 e 3.5
Pilar CM paraPilar CM para
próteseprótese
Parafusada –Parafusada –
Tipo GTTipo GT
Cinta 1.5, 2.5 e 3.5Cinta 1.5, 2.5 e 3.5
Pilar CM paraPilar CM para
próteseprótese
Parafusada –Parafusada –
Tipo GTTipo GT
Cinta 1.5, 2.5 e 3.5Cinta 1.5, 2.5 e 3.5
Munhão CMMunhão CM
Opções:Opções:
Diâmetro do munhão 3.3 e 4.5Diâmetro do munhão 3.3 e 4.5
Altura do Munhão 4.0 e 6.0Altura do Munhão 4.0 e 6.0
Cinta 1.5, 2.5 e 3.5Cinta 1.5, 2.5 e 3.5
Diâmetro 4.5Diâmetro 3.3
4.0 e 6.0mm
1.5, 2.5 e 3.5mm
4.0 e 6.0mm
1.5, 2.5 e 3.5mm
M
U
N
H
Ã
O
Munhão CMMunhão CM
AnguladoAngulado
1717oo
e 30e 30ºº
Opções:Opções:
Diâmetro 3.3 e 4.5mmDiâmetro 3.3 e 4.5mm
Altura do Munhão 4.0 e 6.0mmAltura do Munhão 4.0 e 6.0mm
Cinta 1.5, 2.5 e 3.5Cinta 1.5, 2.5 e 3.5
Torque de inserção:
10Ncm
TransferTransfer
MunhãoMunhão 3.3 x 6 3.3 x 4
4.5 x 64.5 x 4
AnálogoMAnálogoM
unhãounhão
Opções:Opções:
Diâmetro x AlturaDiâmetro x Altura
3.3x4, 3.3x6, 4.5x4, 4.5x63.3x4, 3.3x6, 4.5x4, 4.5x6
CilindroCilindro
CalcinávelCalcinável
Munhão CMMunhão CM
Opções:Opções:
Diâmetro x alturaDiâmetro x altura
3.3x4, 3.3x6, 4.5x4, 4.5x63.3x4, 3.3x6, 4.5x4, 4.5x6
AtachmannAtachmann
BolaBola
Opções:Opções:
Atachmann Bola AtachmannAtachmann Bola Atachmann
Bola MiniBola Mini
Cinta 1.5, 2.5, 3.5Cinta 1.5, 2.5, 3.5
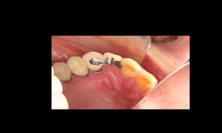
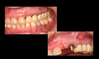
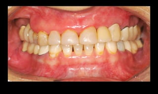
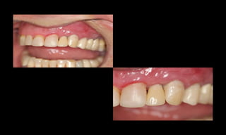
10-10-2005
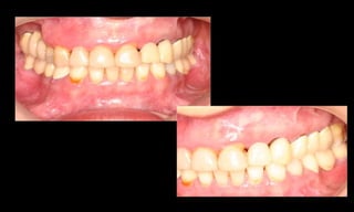
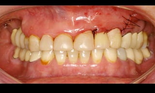
Novembro de 2005
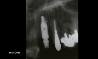
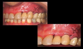
24-01-2006
Cone Morse
Cone Morse
Cone Morse
Cone Morse
Cone Morse
Cone Morse
Cone Morse
Cone Morse
Cone Morse
Cone Morse
Cone Morse

Cone Morse