AULA 07  -  AULA 08  -  AULA 09 Profa. Cristina Gevehr Fernandes 2009/2 [email_address] www.josie-gepac.blogspot.com
Introdução Terminologia Básica Revisão Biologia Celular   – Alterações cadavéricas Mecanismos de agressão celular – Técnica Necropsia Adaptação Acúmulos intra e extra-celulares Necrose Calcificações Distúrbios Circulatórios Inflamação Distúrbios do Crescimento Celular Neoplasias
Introdução Alterações cadavéricas Mecanismo de agressão celular  Adaptação Celular Lesões celulares Reversíveis Degeneração Hidrópica Lesões Irreversíveis Necrose Acúmulos intra e extracelulares de Substâncias Distúrbios Circulatórios Inflamação Distúrbios do Crescimento Celular Neoplasias
Pato Geral - CGF - 2009/2 Lesão Reversível Aumento da Demanda Funcional Adaptação Lesão Irreversível Acúmulos de substâncias 13-15/10/2009 Agressão Célula Normal
Degeneração Hidrópica
Conceito Sinônimos Tumefação celular (cell swelling) Degeneração vacuolar Degeneração balonosa 13-15/10/2009 Pato Geral - CGF - 2009/2
Pato Geral - CGF - 2009/2 13-15/10/2009
Falha na regulação do volume celular Falha na bomba de Na ++ /K 13-15/10/2009 Pato Geral - CGF - 2009/2
Falha na regulação do volume celular Falha na bomba de Na ++ /K Baixa disponibilidade de ATP Hipóxia/anóxia Hipoglicemia 13-15/10/2009 Pato Geral - CGF - 2009/2
Falha na regulação do volume celular Lesão na membrana celular Ataque do complemento Toxinas bacterianas Agressão viral Radicais livres 13-15/10/2009 Pato Geral - CGF - 2009/2
C5 C5a 13-15/10/2009 Pato Geral - CGF - 2009/2 Ba Properidin D C3 P C3a B The Alternative Pathway C3b C3bB C3bBb C3bBbP C3bBb3b C5b C4 C4a C2 C2b C3 C3a The Classical Pathway Antibody +  C1qrs C4b C4b2a C4b2a3b
C6 C7 C8 C9 C9 C9 C9 C9 C9 C9 C9 C9 C9 C9 C5 13-15/10/2009 Pato Geral - CGF - 2009/2 C5b C5a 70-100  Å
Macroscopia Microscopia 13-15/10/2009 Pato Geral - CGF - 2009/2
Pato Geral - CGF - 2009/2 13-15/10/2009
Pato Geral - CGF - 2009/2 13-15/10/2009
13-15/10/2009 Pato Geral - CGF - 2009/2
Aspecto macroscópico Pato Geral - CGF - 2009/2 Aspecto microscópico 13-15/10/2009
Características ultra-estruturais Pato Geral - CGF - 2009/2 Célula normal 13-15/10/2009 Degeneração
Características ultra-estruturais Pato Geral - CGF - 2009/2 Normal Degeneração 13-15/10/2009
Características ultra-estruturais Pato Geral - CGF - 2009/2 13-15/10/2009
13-15/10/2009 Pato Geral - CGF - 2009/2
Necrose Oncótica Apoptose
Conceito Mecanismos Lise enzimática Coagulação protéica 13-15/10/2009 Pato Geral - CGF - 2009/2 Proteína normal Proteína desnaturada Proteínas coaguladas
Macroscópico Pato Geral - CGF - 2009/2 13-15/10/2009
Pato Geral - CGF - 2009/2 13-15/10/2009
Pato Geral - CGF - 2009/2 13-15/10/2009
Microscópico Alterações no citoplasma 13-15/10/2009 Pato Geral - CGF - 2009/2 normal eosinofilia
Microscópico Alterações no núcleo Pato Geral - CGF - 2009/2 13-15/10/2009 Picnose Cariorréxis Cariólise
Pato Geral - CGF - 2009/2 13-15/10/2009 Picnose Cariólise Normal
Necrose de coagulação Necrose de liquefação Necrose caseosa Necrose da gordura Pato Geral - CGF - 2009/2 13-15/10/2009
Conceito Aspecto 13-15/10/2009 Pato Geral - CGF - 2009/2
Pato Geral - CGF - 2009/2 Forma: depende do padrão vascular local 13-15/10/2009
Pato Geral - CGF - 2009/2 13-15/10/2009
13-15/10/2009 Pato Geral - CGF - 2009/2
13-15/10/2009 Pato Geral - CGF - 2009/2
13-15/10/2009 Pato Geral - CGF - 2009/2
13-15/10/2009 Pato Geral - CGF - 2009/2
Pato Geral - CGF - 2009/2 13-15/10/2009
Pato Geral - CGF - 2009/2 13-15/10/2009
Pato Geral - CGF - 2009/2 13-15/10/2009
Pato Geral - CGF - 2009/2 13-15/10/2009
Pato Geral - CGF - 2009/2 13-15/10/2009
Pato Geral - CGF - 2009/2 13-15/10/2009
Conceito Sinônimos/exemplos Aspecto Pato Geral - CGF - 2009/2 13-15/10/2009
Pato Geral - CGF - 2009/2 13-15/10/2009
Pato Geral - CGF - 2009/2 13-15/10/2009
Pato Geral - CGF - 2009/2 Polioencefalomalacia dos Ruminantes 13-15/10/2009
Pato Geral - CGF - 2009/2 13-15/10/2009
Pato Geral - CGF - 2009/2 13-15/10/2009
Pato Geral - CGF - 2009/2 13-15/10/2009
Pato Geral - CGF - 2009/2 13-15/10/2009
Pato Geral - CGF - 2009/2 Ex.:Infarto miocárdio humano necrose de coagulação 13-15/10/2009 necrose de liquefação
Pato Geral - CGF - 2009/2 13-15/10/2009
Conceito Aspecto 13-15/10/2009 Pato Geral - CGF - 2009/2
13-15/10/2009 Pato Geral - CGF - 2009/2
Pato Geral - CGF - 2009/2 13-15/10/2009
Pato Geral - CGF - 2009/2 13-15/10/2009
13-15/10/2009 Pato Geral - CGF - 2009/2
Pato Geral - CGF - 2009/2 13-15/10/2009
Pato Geral - CGF - 2009/2 13-15/10/2009
Pato Geral - CGF - 2009/2 13-15/10/2009
13-15/10/2009 Pato Geral - CGF - 2009/2
13-15/10/2009 Pato Geral - CGF - 2009/2
Pato Geral - CGF - 2009/2 13-15/10/2009
Pato Geral - CGF - 2009/2 13-15/10/2009
Pato Geral - CGF - 2009/2 13-15/10/2009
Quanto ao mecanismo, qual a diferença entre a necrose caseosa e de liquefação? 13-15/10/2009 Pato Geral - CGF - 2009/2
Conceito Aspecto 13-15/10/2009 Pato Geral - CGF - 2009/2
Pato Geral - CGF - 2009/2 13-15/10/2009
Conceito Tipos
Tipos Gangrena seca 13-15/10/2009 Pato Geral - CGF - 2009/2 Ergotismo: toxina do fungo  Claviceps purpurea
13-15/10/2009 Pato Geral - CGF - 2009/2
13-15/10/2009 Pato Geral - CGF - 2009/2
Tipos Gangrena úmida 13-15/10/2009 Pato Geral - CGF - 2009/2
Gangrena gasosa 13-15/10/2009 Pato Geral - CGF - 2009/2
13-15/10/2009 Pato Geral - CGF - 2009/2
13-15/10/2009 Pato Geral - CGF - 2009/2
Conceito
Eliminação de células durante o desenvolvimento como mecanismo homeostático de manutenção da população celular como mecanismo de defesa em respostas imunes eliminação de células com lesões letais na senilidade 13-15/10/2009 Pato Geral - CGF - 2009/2
Pato Geral - CGF - 2009/2 13-15/10/2009 Normal Necrose fagócito corpo apoptótico Apoptose
13-15/10/2009 Pato Geral - CGF - 2009/2
13-15/10/2009 Pato Geral - CGF - 2009/2
Pato Geral - CGF - 2009/2 http://www.icb.ufmg.br/~pat/Apoptose.htm 13-15/10/2009
13-15/10/2009 Pato Geral - CGF - 2009/2
Pato Geral - CGF - 2009/2 13-15/10/2009

Aula 07 08 09 2009 2

Notas do Editor

  • #7 É um tipo de degeneração que cursa com o acúmulo intracelular de água. Causas: Uma das causa mais frequêntes é por doenças virais. Os vírus causam dano a membrana celular, que perde a seletividade entrando eletrólitos e água, ocorre um consequênte acúmulo desses elementos. Ex.: febre aftosa. Também é causada pela falta de ATP. Ex: Xanthium sp. (quase sempre por obstrução vascular): chega no espaço porta e entra para a veia centro lobular. O Shantium bloqueia a cadeia de fosforilação oxidativa. Encontra-se desde de células normais à células mortas, mais próximas a veia centro lobular. Encontrada principalmente nas células epiteliais (revestimento) e hepatócitos.
  • #15 Fígado de Canino. Etiologia desconhecida. Hepatócitos volumosos, com citoplasma aquoso. Núcleos e contornos celulres bem preservados.
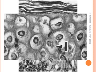
  • #16 Tecido renal apresentando túbulos contorcidos proximais que se acham revestidos por células volumosas, que reduzem o lúmen tubular e têm citoplasma claro, contendo vacúolos múltiplos e mal delimitados. Algumas células acham-se necróticas estando desprovidas de núcleos ou com estes apresentando sinais de cariopicnose, cariorexe ou cariólise. (Obj. 40x). Conclusão: Tumefação celular das células dos túbulos renais.
  • #18 Aspecto Macroscópico Na macroscopia a degeneração hidrópica é muito pouco visualizada, é observada no máximo um aumento de volume dos órgãos. Os órgãos parenquimatosos de borda fina ficam com as bordos arredondados. Esse aumento é muito sutil. Também pode ser visto por aumento do peso dos órgãos. OBS.: Em veterinárias ainda não existem parâmetros fixos para determinar o tamanho e peso dos órgãos, é mais utilizado em pesquisa. Aspecto Microscópico vacuolização - formação de vacúolos (pequenos orifícios ou organelas dilatadas). Quando a água entra em excesso dentro da célula há formação de vacúolos.
  • #25 Aspecto Macroscópico O tamanho e forma da área necrótica são variáveis. O tecido fica friável (frágil) e amolecido, em tecidos bem irrigados ou com comprometimento vascular a cor é escura. Por vezes, a lesão pode ser clara. Após alguns dias observa-se também o halo de demarcação, que consiste de uma área escurecida delimitando a necrose. É constituído de células inflamatórias e vasos sangüíneos dilatados. Tem por finalidade permitir a chegada de células inflamatórias que removerão o tecido necrótico - fagocitose (retirada do tecido morto).
  • #28 Aspecto Macroscópico O tecido fica friável, em tecidos bem irrigados ou com comprometimento vascular a cor é escura. halo de demarcação - melhor visto em necroses claras, pois aparece como uma área escurecida delimitando a necrose. É constituido de células inflamatórias e vazos dilatados. As células inflamatórias servem para fazer a limpeza do tecido necrótico - fagocitose (retirada do tecido morto).
  • #29 Aspecto Macroscópico O tecido fica friável, em tecidos bem irrigados ou com comprometimento vascular a cor é escura. halo de demarcação - melhor visto em necroses claras, pois aparece como uma área escurecida delimitando a necrose. É constituido de células inflamatórias e vazos dilatados. As células inflamatórias servem para fazer a limpeza do tecido necrótico - fagocitose (retirada do tecido morto).
  • #33 A forma da área lesada depende do padrão de ramificação dos vasos sanguíneos no órgão afetado. Por exemplo: nom rim os vasos tem padrão arboriforme e a necrose assume forma de cunha.
  • #39 Tecido renal apresentando zona de tecido necrótico com preservação do arcabouço estrutural dos glomérulos e dos túbulos contorcidos ( Obj. 20x). Conclusão: Necrose por coagulação.
  • #42 Tecido renal apresentando células dos túbulos contorcidos e glomérulo em necrose. Estas células apresentam-se eosinofílicas, desprovidas de núcleos (cariólise).
  • #44 Tecido renal apresentando zona de tecido necrótico com preservação do arcabouço estrutural dos glomérulos e dos túbulos contorcidos ( Obj. 20x). Conclusão: Necrose por coagulação.
  • #52 Tecido hepático apresentando extensa necrose de seu parênquima com perda maciça das células hepáticas que ao desaparecerem levam à confluência dos capilares sinusóides que aparecem justapostos (Obj. 20x). Conclusão: Necrose submaciça dos hepatócitos.
  • #54 Hepatite Necrose confluente centrolobular, caracterizada pela lise de hepatócitos. colapso e celularidade aumentada. Cão.
  • #65 Linfonodo apresentando pequeno nódulo constituído pela fusão de granulomas tuberculóides. O nódulo apresenta-se constituído perifericamente por macrófagos, células epitelióides e célula gigante tipo Langhans e acha-se centrado por volumosa área de necrose caracterizada pela sua eosinofilia, desaparecimento dos contornos celulares e de seus núcleos e perda da arquitetura original dessa região do linfonodo (Obj. 40x). Conclusão: Necrose caseosa.
  • #66 Linfonodo apresentando pequeno nódulo constituído pela fusão de granulomas tuberculóides. O nódulo apresenta-se constituído perifericamente por macrófagos, células epitelióides e célula gigante tipo Langhans e acha-se centrado por volumosa área de necrose caracterizada pela sua eosinofilia, desaparecimento dos contornos celulares e de seus núcleos e perda da arquitetura original dessa região do linfonodo (Obj. 40x). Conclusão: Necrose caseosa.
  • #67 Tecido pulmonar apresentando extensa área de necrose tissular com desaparecimento do arbabouço estrutural do órgão. O tecido necrótico apresenta, ainda, restos nucleares representados por núcleos em cariorexe (poeira nuclear). Nas margens desta lesão observa-se reação celular com a presença de uma célula gigante multinucleada (Célula de Langhans) (Obj. 20x). Conclusão: Necrose por caseificação.
  • #70 Tecido pancreático apresentando área de necrose de seu parênquima com perda de substância. O tecido adiposo peri-pancreático exibe necrose extensa com saponificação da gordura, formando as lesões conhecidas como pingos de vela