Curso de Medicina
Rx do trauma
2014
Prof Leão HZ
(Professor de Morfologia – ULBRA)
Juan Zambon
(Acadêmico de Medicina – ULBRA)
Patrícia Comberlato
(Acadêmica de Odontologia – PUCRS)
Quino
Osso de criança
Placas de crescimento (physis) podem
sofrer uma fusão prematura quando
lesadas, determinando deformidades
de crescimento.
Skaggs, 2006
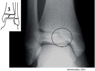
A cabeça do bebê Na idade escolar, há uma Nos adolescentes, melhor
chega primeiro ao solo. combinação de lesões dos sustentados, predomina lesão
membros. do pé, tornozelo, tíbia e fêmur.
Demetriades, 2011
Demetriades, 2011
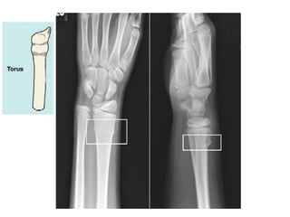
Osso de criança
Mais plásticos.
Periósteo espesso e firme, podendo não
mais se ajustar ao osso fraturado.
Pode resultar em um torus ou em
fratura do tipo "galho verde“.
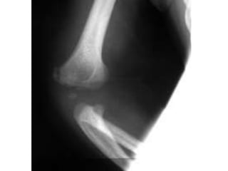
Fratura em
alça de balde
é típica de TNA
Uma fratura
subaguda da
metáfise forma
um arco na
margem proximal.
A neoformação
Óssea causa
espessamento que
simula uma alça.
Fratura em osso de criança
A classificação Salter-Harris envolve,
por definição, a placa de crescimento
(physis).
Síndrome da “criança espancada”
- achados radiológicos de alerta:
1. múltiplas fraturas com vários
estágios de recuperação
2. Fraturas em sítios pouco comuns
(costelas, lesões nas pernas de
crianças que ainda não caminham)
3. Fraturas helicoidais
4. Fraturas metafisárias
5. Hematomas subperiósticos
6. Hematoma subdural
Fratura de crânio
(vítima de abuso)
Fratura horizontal
no frontal esquerdo,
acima da margem
orbital
TNA
Fratura metafisária
proximal com elevação
perióstica, secundária
ao hematoma
perióstico.
Murray, 2008
Hematoma
Subdural
A TC mostra
um HSD
agudo na
região parietal
direita e na
fissura
interemisférica
Posterior
?
HematomaSubdural.
RMT1
HSD bilateral
crônico em
vítima de abuso
TCE em TNA
(vítima de abuso)
TC não constrastado
Lesão parietoccipital
Higroma subdural
Fratura de crânio
Edema do escalpo
Fraturas de
costelas
Fraturas bilaterais
múltiplas.
Note os calos
posteriores e laterais
nas costelas e na
clavícula esquerda.
1. Alta especificidade (alerta vermelho):
• Fratura de ângulo metafisário
• Fratura de costela posterior
• Fratura do esterno
• Fratura de processo espinhoso
• Fratura de escápula
Calos com diferentes graus, sugerindo
fraturas de idades diferentes.
Murray, 2008
2. Média especificidade
• Fratura complexa do crânio
• Fratura de corpo vertebral
• Múltiplas fraturas de tempos diferentes
3. Baixa especificidade
• Fratura linear do crânio
• Fratura de osso longo em criança obesa
TNA
Fratura recente sobre
calo antigo.
Ulna esquerda.
Murray, 2008
Fratura complexa do crânio Murray, 2008

2.fraturas pediatricas rx do trauma

  • 1.
    Curso de Medicina Rxdo trauma 2014 Prof Leão HZ (Professor de Morfologia – ULBRA) Juan Zambon (Acadêmico de Medicina – ULBRA) Patrícia Comberlato (Acadêmica de Odontologia – PUCRS) Quino
  • 2.
    Osso de criança Placasde crescimento (physis) podem sofrer uma fusão prematura quando lesadas, determinando deformidades de crescimento.
  • 3.
    Skaggs, 2006 A cabeçado bebê Na idade escolar, há uma Nos adolescentes, melhor chega primeiro ao solo. combinação de lesões dos sustentados, predomina lesão membros. do pé, tornozelo, tíbia e fêmur.
  • 6.
  • 7.
  • 9.
    Osso de criança Maisplásticos. Periósteo espesso e firme, podendo não mais se ajustar ao osso fraturado. Pode resultar em um torus ou em fratura do tipo "galho verde“.
  • 12.
    Fratura em alça debalde é típica de TNA Uma fratura subaguda da metáfise forma um arco na margem proximal. A neoformação Óssea causa espessamento que simula uma alça.
  • 14.
    Fratura em ossode criança A classificação Salter-Harris envolve, por definição, a placa de crescimento (physis).
  • 15.
    Síndrome da “criançaespancada” - achados radiológicos de alerta: 1. múltiplas fraturas com vários estágios de recuperação 2. Fraturas em sítios pouco comuns (costelas, lesões nas pernas de crianças que ainda não caminham) 3. Fraturas helicoidais 4. Fraturas metafisárias 5. Hematomas subperiósticos 6. Hematoma subdural
  • 16.
    Fratura de crânio (vítimade abuso) Fratura horizontal no frontal esquerdo, acima da margem orbital
  • 17.
    TNA Fratura metafisária proximal comelevação perióstica, secundária ao hematoma perióstico. Murray, 2008
  • 18.
    Hematoma Subdural A TC mostra umHSD agudo na região parietal direita e na fissura interemisférica Posterior ?
  • 19.
  • 20.
    TCE em TNA (vítimade abuso) TC não constrastado Lesão parietoccipital Higroma subdural Fratura de crânio Edema do escalpo
  • 21.
    Fraturas de costelas Fraturas bilaterais múltiplas. Noteos calos posteriores e laterais nas costelas e na clavícula esquerda.
  • 22.
    1. Alta especificidade(alerta vermelho): • Fratura de ângulo metafisário • Fratura de costela posterior • Fratura do esterno • Fratura de processo espinhoso • Fratura de escápula
  • 23.
    Calos com diferentesgraus, sugerindo fraturas de idades diferentes. Murray, 2008
  • 24.
    2. Média especificidade •Fratura complexa do crânio • Fratura de corpo vertebral • Múltiplas fraturas de tempos diferentes 3. Baixa especificidade • Fratura linear do crânio • Fratura de osso longo em criança obesa
  • 25.
    TNA Fratura recente sobre caloantigo. Ulna esquerda. Murray, 2008
  • 26.
    Fratura complexa docrânio Murray, 2008