Materiais
Dentários
Propriedades Ópticas
Dano estético e
funcional
Reabilitação
estética / mimética
e
funcional
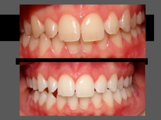
O que é estético?
x
O que é mimético?
Luz , conceitos de Cor e a
Evolução da Odontologia Estética
A cor não é uma propriedade ou característica
estática e nem sequer é uma realidade física, mas
sim a resposta do cérebro a um estímulo luminoso.
Fundo
Objeto
Observador
Fonte de Luz
A cor de um objeto depende da fonte de luz, das propriedades
ópticas do objeto e da capacidade do olho em discriminar o
espectro de luz visível que atinge a retina
Luz
As características ( qualitativas) da luz são atribuídas pelo seu
comprimento de onda e pela sua frequência.
O CARÁTER SUBJETIVO DA LUZ
Observem a seguinte descrição: “ A
cor definida como pulse é um
vermelho-escuro, que é mais amarelo
e menos intenso que a fruta-do-
monte, mais pálida e ligeiramente
amarelada que o vinho mediano, mas
azulada, menos intensa e
ligeiramente mais clara que a romã, e
mais azulada e pálida que o vinho
típico”.
VOCÊ CONSEGUIRIA
DISTINGUIR ESTA COR?
•
Irises in Monet's Garden
•
(The Artist's Garden at Giverny) 1900
AS TRÊS DIMENSÕES DA COR
Munsel , (1905)
PARÂMETROS PARA DESCRIÇÃO OBJETIVA
DAS CORES
l
MATIZ
l
CROMA
l
VALOR
Cor - MATIZ
MATIZ
l
Descreve a cor predominante
de um objeto (ondas de
comprimento dominantes).
Cor - MATIZ
MATIZ
l
A: marrom-avermelhado
l
B: amarelo-alaranjado
l
C: cinza-esverdeado
l
D: cinza-rosado
Cor - CROMA
CROMA
l
Representa o grau de saturação ou
a intensidade do matiz.
l
Matiz A
lA1
lA2
lA3
lA4
Quanto maior o número
Maior a saturação
Exemplo
- CROMA +
Cor - VALOR
VALOR
(Luminosidade ou Brilho)
l
Identifica a claridade ou a escuridão da cor;
Cor - VALOR
VALOR
(Luminosidade ou Brilho)
Alto valor (BRANCO)
Tons de cinza
Baixo valor (PRETO)
Cor - VALOR
VALOR
(Luminosidade ou Brilho)
Alto valor (BRANCO)
Tons de cinza
Baixo valor (PRETO)
O valor é a dimensão mais importante, uma vez que as discrepâncias são mais
facilmente identificadas que as alterações de matiz e croma.
V
A
L
O
R
CROMA
MATIZ
Metamerismo
Característica que um objeto apresenta de
mudar a luminosidade quando exposto a
diferentes fontes de luz.
Lâmpada Fluorescente Lâmpada Incandescente
Metamerismo
Como a distribuição espectral da
luz refletida ou transmitida por
um objeto é dependente do
conteúdo espectral da luz
incidente, a aparência de um
objeto é altamente dependente
da natureza da luz pela qual um
objeto é visto;
Transparência
Um material transparente permite a passagem de luz,
havendo pouca distorção.
Ex: vidro.
LUZ
Translucidez
Um material translúcido permite alguma luz ultrapassá-
lo, absorve certa quantidade e dispersa e reflete o resto
de sua superfície.
Ex: vidro jateado com areia.
Absorção de luz
Passagem de
parte da luz
Disperção de luz
LUZ
Opacidade
Um material opaco não é capaz de transmitir a luz, mas a absorve e reflete ou
dispersa da superfície.
Absorção de luz
Disperção de luz
LUZ
Afinal, definir que a cor de um objeto
parece mais subjetivo do que
poderíamos supor...
Com uso de óptica e eletrônica, equipamentos como
um Espectrodensitômetro fazem a função de um olho
humano, porém, com a vantagem de "enxergar"
exatamente a cor. No instrumento eletrônico, a cor não
é uma sensação, como para os humanos e sim, uma
leitura exata do comprimento de onda emitido pela luz
refletida do objeto.
Mas ao dentista...
Seleção de cor por processo natural ou
eletrônico resulta em aproximação máxima
da cor natural que se deseja reproduzir.
Materiais
Dentários
Propriedades Térmicas
Polpa dental x Calor
Alterações severas ou bruscas deAlterações severas ou bruscas de
temperatura podem causar desdetemperatura podem causar desde
um simples desconforto à perdaum simples desconforto à perda
irrevesível de vitalidadeirrevesível de vitalidade..
Polpa dental x Calor
A presença de restaurações de qualquer
tipo tende a reduzir a proteção térmica
proporcionada pela dentina e esmalte.
Muitos materiais restauradores são
metálicos, que são ótimos condutores
térmicos, o que pode constituir uma
agressão à polpa, em decorrência das
mudanças térmicas a que será submetida.
Condução TérmicaCondução Térmica
É o calor (energia térmica em
movimento) transferido através de
substâncias sólidas.
CondutibilidadeCondutibilidade
TérmicaTérmica
- conceito -- conceito -
É a medida termofísica de
quanto calor é transferido
através de um material
através da condução.
CondutibilidadeCondutibilidade
TérmicaTérmica
- relação -- relação -
Quanto maior for o
valor obtido, maior
será a capacidade da
substância de
transmitir energia.
CondutibilidadeCondutibilidade
TérmicaTérmica
- Coeficiente -- Coeficiente -
O coeficiente de condutibilidade térmica é
medido pela quantidade de calor ( cal/s) que
passa através de um corpo de prova com 1 cm
de espessura e que apresente uma área de
seção transversal de 1 cm², por segundo.
CondutibilidadeCondutibilidade
TérmicaTérmica
- estrutura dentária-- estrutura dentária-
A baixa condutibilidade térmica do
esmalte e da dentina diminui a ação dos
choques térmicos provocados pela
ingestão de alimentos frios e quentes, e
que resultaria em sensibilidade dolorosa.
Calor EspecíficoCalor Específico
Representa a quantidade de calor necessária para
aumentar em 1ºC um grama de uma substância
Difusividade TérmicaDifusividade Térmica
Medida da velocidade pela qual um corpo de
temperatura não uniforme atinge o estado de
equilíbrio térmico
Difusividade = condutividade .
Calor específico x Densidade
Coeficiente deCoeficiente de
expansão térmicaexpansão térmica
linearlinear
Alteração de comprimento de um material quando sua
temperatura é aumentada ou reduzida em 1ºC, devido
ao aumento de energia cinética de suas moléculas.
BIBLIOGRAFIA DE REFERENCIA PARA
ESTUDO
REIS A., LOGUERCIO A.D. Materiais dentários diretos.
Capítulo 1 – páginas 7 a 12

Propriedades opticas e termicas 2015 2

Notas do Editor

  • #2 A propagação da luz e os efeitos a ela associados têm efeitos de suma importância na Odontologia, uma vez que ao se restaurar um dente, não podemos abrir mão de três premissas básicas – forma, função e estética. Daí a importância de se compreender alguns conceitos físicos e fisiológicos a respeitos dos fenômenos ópticos, de cor e da propagação da luz.
  • #7 A propagação da luz e os efeitos a ela associados têm efeitos de suma importância na Odontologia, uma vez que ao se restaurar um dente, não podemos abrir mão de três premissas básicas – forma, função e estética. Daí a importância de se compreender alguns conceitos físicos e fisiológicos a respeitos dos fenômenos ópticos, de cor e da propagação da luz.
  • #16 Copos transparentes com água e gotejando tinta líquida PRÁTICA EM GRUPO MATERIAIS: 4 copos de vidro Tinta líquida Conta gotas
  • #17 Copos transparentes com água e gotejando tinta líquida PRÁTICA EM GRUPO MATERIAIS: 4 copos de vidro Tinta líquida Conta gotas
  • #18 Copos transparentes com água e gotejando tinta líquida PRÁTICA EM GRUPO MATERIAIS: 4 copos de vidro Tinta líquida Conta gotas
  • #22 Um mesmo objeto sob 2 fontes de luz PRÁTICA EM GRUPO MATERIAIS: 2 lâmpadas diferentes 2 fontes de lua diferentes
  • #25 Um mesmo objeto sob 2 fontes de luz PRÁTICA EM GRUPO MATERIAIS: 2 lâmpadas diferentes 2 fontes de lua diferentes
  • #27 Um mesmo objeto sob 2 fontes de luz PRÁTICA EM GRUPO MATERIAIS: 2 lâmpadas diferentes 2 fontes de lua diferentes
  • #29 Copos transparentes com água e gotejando tinta líquida PRÁTICA EM GRUPO MATERIAIS: 4 copos de vidro Tinta líquida Conta gotas
  • #31 Copos transparentes com água e gotejando tinta líquida PRÁTICA EM GRUPO MATERIAIS: 4 copos de vidro Tinta líquida Conta gotas
  • #33 Copos transparentes com água e gotejando tinta líquida PRÁTICA EM GRUPO MATERIAIS: 4 copos de vidro Tinta líquida Conta gotas
  • #38 A propagação da luz e os efeitos a ela associados têm efeitos de suma importância na Odontologia, uma vez que ao se restaurar um dente, não podemos abrir mão de três premissas básicas – forma, função e estética. Daí a importância de se compreender alguns conceitos físicos e fisiológicos a respeitos dos fenômenos ópticos, de cor e da propagação da luz.