ABRIR             LIMPAR                FECHAR



ACESSO                                  OBTURAÇÃO
           INSTRUMENTAÇÃO E IRRIGAÇÃO




PATÊNCIA    LIMPEZA        MODELAGEM     SELAMENTO
SUBMARINO – AMERICANAS
 EXTRA – PONTOFRIO – CASAS BAHIA
SICILIANO – SARAIVA - CIA DOS LIVROS
       (LOJAS VIRTUAIS - SITES)
1
EVOLUÇÃO DA INFLAMAÇÃO PULPAR


            Normal
 Polpa
            Reversível
            Irreversível
            Necrose


Periápice   Normal
            Periodontite
            Lesão Periapical
            Abscesso           cárie



                               FREGNANI & HIZATUGU. 2009.
POLPA VIVA



          INJÚRIA




        INFLAMAÇÃO
          (PULPITE)



          INFECÇÃO
         (NECROSE)



       EXTRUSÃO Ag




R. INFLAMATÓRIA INESPECÍFICA
R. IMUNOLÓGICA ESPECÍFICA




       REABSORÇÃO



           LESÃO
2
TRATAMENTO



      ACESSO




LIMPEZA / MODELAGEM 3D




   OBTURAÇÃO 3D




      BLINDAGEM
3
CÉLULAS
   MOLÉCULAS
   FAGÓCITOS
TEC. de GRANULAÇÃO
  FIBROBLASTOS
  ANGIOBLASTOS
MATRIZ - COLÁGENO
  OSSO PRIMÁRIO
  OSSO CORTICAL
  OSSO MEDULAR




REPARAÇÃO
P.130




        TREFINAÇÃO
P.165
P.165
RUY HIZATUGU

DICAS E ESTRATÉGIAS



  •   ACESSO      •   SECAGEM
  •   LIMPEZA     •   OBTURAÇÃO
  •   MODELAGEM   •   BLINDAGEM
                                  PROSERVAÇÃO – 5 ANOS
4
Siqueira e Rôças. 2008.




                             4
Threshold   Cultura (<10³-10 = 1000 – 10000 células)   Editado com objetivo pedagógico em Set/2009
5
O QUE É PRÁTICA BASEADA EM EVIDÊNCIA ?

“Prática baseada em evidência é a integração da pesquisa
    científica, com a experiência clínica e a opinião do
                         paciente.”
                    (Sacket et.al., 2000)
                     Evidência Científica




    Experiência      Biologia Celular        Opinião do
                                              paciente
                       e Molecular




                             Clínica
Hierarquia de evidência
Revisão sistemática / Metanálise
Estudo clínico controlado randomizado
Estudo clínico controlado não-randomizado
Relato de casos clínicos                     Evidence
Editoriais / Livro-texto                      Power
Relatório de experts
Opiniões de autoridades
Estudos In Vitro
Estudos em animais
Brant, Chiappelli, Fregnani, de-Deus, Caldeira Brant e Hizatugu. 2010.
Odontologia Baseada
  em Evidências


             MBE/OBE/EBE

   ENDODONTIA BASEADA EM EVIDÊNCIAS


           Fernanda B. Martins
              Ruy Hizatugu
                 Equipe
EVIDÊNCIA

CONCEITO
A
    EVIDÊNCIA CIENTÍFICA

             B
ODONTOLOGIA BASEADA EM
        EVIDÊNCIAS
Evidência Científica


   1) Experiência clínica

   2) Pesquisa científica
Odontologia Baseada em
      Evidências


     1) Experiência clínica
     2) Pesquisa científica
     3) Opinião do paciente
Odontologia Baseada em
      Evidências

            1) Experiência clínica
            2) Pesquisa científica
            3) Opinião do paciente
Na ausência da pesquisa científica, deve-se levar
em conta a Plausibilidade Biológica (experiência
clínica + biologia celular e molecular)
Odontologia Baseada em
      Evidências


     1) Experiência clínica
     2) Plausibilidade Biológica
     3) Opinião do paciente
6
LIMA GUIA   LIMA PATÊNCIA
ODONTOMETRIA




                                Reciproc – R25




1                       2   3

Ruy Hizatugu 26/07/12
10/.02   Reciproc 25/.08




Sistema Reciproc
1   2   3   4
ENDODONTIA
 DE RESULTADO
ACESSO
         OPTO
OPTO
TRATAMENTO         NECROSE COM LESÃO CRÔNICA



      ACESSO




LIMPEZA / MODELAGEM
                  3D



   OBTURAÇÃO 3D



 BLINDAGEM DENTAL
7
ABRIR             LIMPAR                FECHAR



ACESSO                                  OBTURAÇÃO
           INSTRUMENTAÇÃO E IRRIGAÇÃO




PATÊNCIA    LIMPEZA        MODELAGEM     SELAMENTO
Endodontia em Sessão Única




     RUY HIZATUGU
                     GRUPO DE APOIO:
       ALEX OTANI
    EDUARDO KADO     Carla Yamamoto        Lilian Karasawa
     KAZUZO OKINO    Cássio Dicolla        Marco Montezuma
GUSTAVO MENEGHINE    Celso Taro Hirano     Marcia Sasaki
                     Eduardo Fujitani      Nelson Mohara
   EDSON MIYASAKI
                     Fabiana M. Barros     Sabrina Hitomi
 EDUARDO FREGNANI
                     Fernanda Martins      Thiago Perrelli
   SHINICHI KIMURA
                     Gabriel Cadastro      Vera Lucia Neiva
   MARKO NISHIOKA    Guilherme Rodrigues
   SIDNEY KOMATSU    Juliana Eto
OFICINA – GARAGEM - ARQUIVO




BLOG        www.ruyhizatugu.blogspot.com

Endodontia 2013

  • 1.
    ABRIR LIMPAR FECHAR ACESSO OBTURAÇÃO INSTRUMENTAÇÃO E IRRIGAÇÃO PATÊNCIA LIMPEZA MODELAGEM SELAMENTO
  • 4.
    SUBMARINO – AMERICANAS EXTRA – PONTOFRIO – CASAS BAHIA SICILIANO – SARAIVA - CIA DOS LIVROS (LOJAS VIRTUAIS - SITES)
  • 5.
  • 6.
    EVOLUÇÃO DA INFLAMAÇÃOPULPAR Normal Polpa Reversível Irreversível Necrose Periápice Normal Periodontite Lesão Periapical Abscesso cárie FREGNANI & HIZATUGU. 2009.
  • 7.
    POLPA VIVA INJÚRIA INFLAMAÇÃO (PULPITE) INFECÇÃO (NECROSE) EXTRUSÃO Ag R. INFLAMATÓRIA INESPECÍFICA R. IMUNOLÓGICA ESPECÍFICA REABSORÇÃO LESÃO
  • 8.
  • 9.
    TRATAMENTO ACESSO LIMPEZA / MODELAGEM 3D OBTURAÇÃO 3D BLINDAGEM
  • 10.
  • 11.
    CÉLULAS MOLÉCULAS FAGÓCITOS TEC. de GRANULAÇÃO FIBROBLASTOS ANGIOBLASTOS MATRIZ - COLÁGENO OSSO PRIMÁRIO OSSO CORTICAL OSSO MEDULAR REPARAÇÃO
  • 12.
    P.130 TREFINAÇÃO
  • 13.
  • 14.
  • 15.
    RUY HIZATUGU DICAS EESTRATÉGIAS • ACESSO • SECAGEM • LIMPEZA • OBTURAÇÃO • MODELAGEM • BLINDAGEM PROSERVAÇÃO – 5 ANOS
  • 16.
  • 17.
    Siqueira e Rôças.2008. 4 Threshold Cultura (<10³-10 = 1000 – 10000 células) Editado com objetivo pedagógico em Set/2009
  • 18.
  • 19.
    O QUE ÉPRÁTICA BASEADA EM EVIDÊNCIA ? “Prática baseada em evidência é a integração da pesquisa científica, com a experiência clínica e a opinião do paciente.” (Sacket et.al., 2000) Evidência Científica Experiência Biologia Celular Opinião do paciente e Molecular Clínica
  • 20.
    Hierarquia de evidência Revisãosistemática / Metanálise Estudo clínico controlado randomizado Estudo clínico controlado não-randomizado Relato de casos clínicos Evidence Editoriais / Livro-texto Power Relatório de experts Opiniões de autoridades Estudos In Vitro Estudos em animais
  • 21.
    Brant, Chiappelli, Fregnani,de-Deus, Caldeira Brant e Hizatugu. 2010.
  • 22.
    Odontologia Baseada em Evidências MBE/OBE/EBE ENDODONTIA BASEADA EM EVIDÊNCIAS Fernanda B. Martins Ruy Hizatugu Equipe
  • 23.
  • 24.
    A EVIDÊNCIA CIENTÍFICA B ODONTOLOGIA BASEADA EM EVIDÊNCIAS
  • 25.
    Evidência Científica 1) Experiência clínica 2) Pesquisa científica
  • 26.
    Odontologia Baseada em Evidências 1) Experiência clínica 2) Pesquisa científica 3) Opinião do paciente
  • 27.
    Odontologia Baseada em Evidências 1) Experiência clínica 2) Pesquisa científica 3) Opinião do paciente Na ausência da pesquisa científica, deve-se levar em conta a Plausibilidade Biológica (experiência clínica + biologia celular e molecular)
  • 28.
    Odontologia Baseada em Evidências 1) Experiência clínica 2) Plausibilidade Biológica 3) Opinião do paciente
  • 29.
  • 30.
    LIMA GUIA LIMA PATÊNCIA
  • 31.
    ODONTOMETRIA Reciproc – R25 1 2 3 Ruy Hizatugu 26/07/12
  • 32.
    10/.02 Reciproc 25/.08 Sistema Reciproc
  • 33.
    1 2 3 4
  • 35.
  • 36.
    ACESSO OPTO
  • 37.
  • 38.
    TRATAMENTO NECROSE COM LESÃO CRÔNICA ACESSO LIMPEZA / MODELAGEM 3D OBTURAÇÃO 3D BLINDAGEM DENTAL
  • 39.
  • 40.
    ABRIR LIMPAR FECHAR ACESSO OBTURAÇÃO INSTRUMENTAÇÃO E IRRIGAÇÃO PATÊNCIA LIMPEZA MODELAGEM SELAMENTO
  • 41.
    Endodontia em SessãoÚnica RUY HIZATUGU GRUPO DE APOIO: ALEX OTANI EDUARDO KADO Carla Yamamoto Lilian Karasawa KAZUZO OKINO Cássio Dicolla Marco Montezuma GUSTAVO MENEGHINE Celso Taro Hirano Marcia Sasaki Eduardo Fujitani Nelson Mohara EDSON MIYASAKI Fabiana M. Barros Sabrina Hitomi EDUARDO FREGNANI Fernanda Martins Thiago Perrelli SHINICHI KIMURA Gabriel Cadastro Vera Lucia Neiva MARKO NISHIOKA Guilherme Rodrigues SIDNEY KOMATSU Juliana Eto
  • 42.
    OFICINA – GARAGEM- ARQUIVO BLOG www.ruyhizatugu.blogspot.com

Notas do Editor

  • #13 Este paciente apareceu no consultório com muita dor. A radiografia revelou área de radioluscência – uma área radiolúcida na região periapical – diagnóstico de abscesso agudo secundário: DISCUTIR – abscesso agudo primário e secundário – apenas para recordar. Abscesso secundário é de longa duração. Abscesso primário é de curta duração. Na teoria fala-se que o secundário é mais difícil quanto à cura. Na prática isto não importa. O tratamento é o mesmo o a biologia molecular da reparação é absolutamente a mesma. Eu acredito muito na EXPERIÊNCIA PROFISSIONAL...Esta não deve ser confundida com PRINCÍPIO DE AUTORIDADE. Experiência Profissional e Princípio de Autoridade são duas coisas diferentes. Por favor, peço para não confundir... Abscesso é uma coleção e pus. Pus é formado por água – exsudato inflamatório de origem do plasma sanguíneo – origem plasmática – com células mortas e restos teciduais – restos de tecido. Este corte histológico do Prof. Alberto Consolaro (130) uma coleção de pus – ver RX – no centro do abscesso, circundado, envolvido por uma grande concentração de neutrófilos – infiltação neutrofílica dentro do círculo. Na periferia temos o tecido de granulação rico em vasos e células jovens – neutrófilos que substituem àqueles perdido, destruidos, macrófagos, plasmócitos e fibroblastos jovens com grande potencial – poder de síntese – com a finalidade de cura – reparação da lesão após a eliminação da injúria microbiana. As figuras BCDE são neutrófilos. Observações: Núcleo com várias formas – polimorfonucleares – o citoplasma é claro nos cortes corados em HE. A figura E mostra numerosos lisossomos no citoplasma. Lisossomos são organelas carregadas de enzima proteolíticas – destruidoras do osso alveolar. No corte histológico do Prof. Alberto Consolaro (164) vemos uma concentração de bactérias organizadas em biofilmes. A extrusão de produtos tóxicos – toxinas (exotoxinas) enzimas e produtos do metabolismo celular – induzem a inflamação – setas – Na região do terço apical do canal as bactérias sobrevivem por dois fatores: 1. São alimentadas pelo tecido necrosado – banquete para os microorganismos e 2. Não sofrem ataque do sistema inflamatório – imunológico por conta da ausência de circulação que impede a chegada de leucócitos e mediadores químicos que as eliminariam. No corte vemos Biofilme microbiano. Pelo forame saem produtos tóxicos e lesivos aos tecidos periapaicais – cemento, ligamento periodontal e osso alveolar e eventuais bactérias. Neutrófilos fixam-se na região periapical, no canal cementário. A linha pontilhada marca a região ocupada pela inflamação crônica caracterizada pelo granuloma periapical com macrófagos, linfócitos, plasmócitos e o tecido de granulação (fibroblastos e vasos sanguíneos neoformados). Envolvendo tudo o corte revela uma cápsula fibrosa – cápsula de tecido conjuntivo fibroso de proteção. Fiz o tratamento endodôntico – descrever – discutir – Trefinação – Reparação – Resposta inflamatória crônca (222) comentar: Macrófagos, Linfócitos e Plasmócitos TREFINAÇÃO : DRENAGEM VIA MUCOSA: 1. Penetração com instrumento fino esterilizado 2. Penetração com curetas finas 3. Desorganização do tecido necrótico purulento 4. Remoção mecânica (como se fosse espremer uma espinha). Pela fístula artificial sai tecido de granulação, sangue e pus.
  • #14 Este dente foi tratado....j
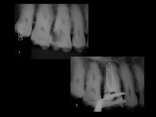
  • #16 A RX revela um 1º molar inferior direito com lesão periapical e lesão de furca. Protocolo de tratamento: Ler o slide. Comentário: Limiar de infecção é o número de micro-organismos necessários para causar uma lesão periapical ou 1. Para surgir uma lesão periapical num dente com necrose e infecção há necessidade de de um número de bctérias acima do limiar de infecção.
  • #23 VOCATIVOS MBE – OBE – EBE
  • #24 Evidência é PROVA. Evidência de um crime é a prova do crime. Na área criminal, ramo do Direito, evidência de um crime, é a prova do crime – num assassinato – as provas do crime – evidências do crime - são três: 1. A arma do Crime 2. As Testemunhas do crime 3: A confissão do criminoso. Na MBE – OBE – as evidências científicas /provas são representadas por estudos publicados e indexados em revistas e em Bases de Dados.
  • #25 Evidência é PROVA. Evidência de um crime é a prova do crime. Na área criminal, ramo do Direito, evidência de um crime, é a prova do crime – num assassinato – as provas do crime – evidências do crime - são três: 1. A arma do Crime 2. As Testemunhas do crime 3: A confissão do criminoso. Na MBE – OBE – as evidências científicas /provas são representadas por estudos publicados e indexados em revistas e em Bases de Dados.
  • #26 OBE – Conceito: é a maneira do dentista tomar uma decisão clínica baseada em pesquisa científica, isto é, literatura. MBE – OBE – EBE baseia-se em três pilares - TRILOGIA: 1. EXPERIÊNCIA CLÍNICA 2. PESQUISA CIENTÍFICA 3. OPINIÃO DO PACIENTE. Envolve a tomada de uma decisão clínica : Diagnóstico – Plano de tratamento – Prognóstico, baseada nos três pilares – CITAR - Em outras palavras, a OBE é um elo entre Ciência e Prática. Os experts em Evidências lembram sempre que Pesquisa Científica sem Aplicação Clínica não tem valor.
  • #27 OBE – Conceito: é a maneira do dentista tomar uma decisão clínica baseada em pesquisa científica, isto é, literatura. MBE – OBE – EBE baseia-se em três pilares - TRILOGIA: 1. EXPERIÊNCIA CLÍNICA 2. PESQUISA CIENTÍFICA 3. OPINIÃO DO PACIENTE. Envolve a tomada de uma decisão clínica : Diagnóstico – Plano de tratamento – Prognóstico, baseada nos três pilares – CITAR - Em outras palavras, a OBE é um elo entre Ciência e Prática. Os experts em Evidências lembram sempre que Pesquisa Científica sem Aplicação Clínica não tem valor.
  • #28 Na ausência da pesquisa científica deve-se considerar a PLAUSIBILIDADE BIOLÓGICA. Os experts em Evidências lembram sempre que Pesquisa Científica sem Aplicação Clínica não tem valor na OBE. Na plausibilidade biológica, o profissional recorre aos seus conhecimentos sobre as disciplinas básicas, como anatomia, fisiologia, patologia, materiais dentários e oclusão. Assim, ele acredita que o conhecimento sobre os mecanismos da doença e de funcionamento do organismo, bem como o comportamento dos materiais são suficientes para concluir qual é o melhor tratamento em uma situação clínica. Na plausibilidade biológica, o profissional recorre aos seus conhecimentos sobre as disciplinas básicas, como anatomia, fisiologia, patologia, materiais dentários e oclusão. Assim, ele acredita que o conhecimento sobre os mecanismos da doença e de funcionamento do organismo, bem como o comportamento dos materiais são suficientes para concluir qual é o melhor tratamento em uma situação clínica.
  • #29 Na plausibilidade biológica, o profissional recorre aos seus conhecimentos sobre as disciplinas básicas: Biologia Celular e Molecular, Anatomia, Patologia, Fisiologia, Materiais Dentários e Conceitos de Oclusão. Assim, na ausência da pesquisa (estudos publicados) acredita-se que o conhecimento sobre os mecanismos da doença e funcionamento do organismo, associado ao comportamento dos materiais, sejam alternativas para uma tomada de decisão clínica visando a saúde de nossos pacientes.
  • #36 ENDODONTIA DE RESULTADO É O MANTRA – ENDODONTIA DE RESULTADO É A PALAVRA CHAVE. DISCUSSÃO