Nielsen Vilela Massahud
Ortodontista pela UNIFAL
Radiologista pela UFMG
Ortodontia Autoligante:
Universidade de Nova York– NYU/USA
Gestos/Unesp - Araraquara
Instituto Vellini - SP
www.nielsen.odo.br
ORTODONTIA
SISTEMAS DE BRACKETS
AUTOLIGADOS PASSIVOS
NO TRATAMENTO ORTODÔNTICO DA
MORDIDA PROFUNDA
Perfil
Nielsen Vilela Massahud
Formado em Odontologia pela Universidade Federal de Alfenas –
Unifal
Ortodontista pela Universidade Federal de Alfenas – Unifal
Radiologista pela Universidade Federal de Minas Gerais – UFMG
Professor convidado de cursos de Especialização em Ortodontia
em BH
Clínica particular de ortodontia e ortopedia facial há 13 anos em
Lavras/MG, trabalhando com biomecânica pesada, arcos
segmentados, edgewise, Ricketts, alças, minimplantes...
SISTEMAS DE BRACKETS
AUTOLIGADOS PASSIVOS
NO TRATAMENTO ORTODÔNTICO DA
MORDIDA PROFUNDA
Irei apresentar um caso que considero bom pra ser
tratado com aparelhos autoligado passivo.
Mordida profunda com moderado apinhamento.
Onde há real redução no tempo de tratamento,
evitam-se arcos secundários como arco base de
Ricketts pra correção do overbite exagerado, haverá
expansão lateral com o próprio arco evitando uso de
expansores, como quadrihelice ou barra tranpalatina.
Também não serão necessárias exodontias, pois é
permitido um pouco de projeções de dentes
anteriores.
SISTEMAS DE BRACKETS
AUTOLIGADOS PASSIVOS
NO TRATAMENTO ORTODÔNTICO DA
MORDIDA PROFUNDA
Detalhes do Aparelho Ortodôntico usado:
1)Aparelho Fixo Autoligado de clip Passivo, Easyclip da
Aditek®
2)Slot .022”x.027”
3)Prescrição “Damon Super torque”
O sistema autoligado Easyclip possui as seguintes prescrições:
Roth, MBT, Damon baixo torque (Low torque), Damon
standard, Damon super torque (High torque). Este último é
recomendado pra Classe II 2ª divisão, casos com
retroinclinações de incisivos superiores, mordida profunda e
apinhamento ântero-superior.
SISTEMAS DE BRACKETS
AUTOLIGADOS PASSIVOS
NO TRATAMENTO ORTODÔNTICO DA
MORDIDA PROFUNDA
• Permite adaptação fisiológica do osso alveolar
através do movimento ortodôntico com forças
suaves, leves.
• Autoligação Passiva, clip passivo, ao reduzir a
fricção na interface Bkt x Fio permite que o
ortodontista também reduza a força aplicada
no tratamento.
• “Abaixando as forças” mudamos a dinâmica
do movimento dentário.
Sistema Passivo
Controverso !!!
Existem artigos a favor e contrários.
Mais estudos deveram elucidar
melhor essas caracteristicas.
• Forças Leves
Sistema Passivo
Controverso !!!
Existem artigos a favor e contrários.
Mais estudos deveram elucidar
melhor essas caracteristicas.
• Forças Leves
Sistema Passivo
Sistema Damon
• Forças Leves
• Forças Leves
“Os níveis de força ótima para o movimento
ortodôntico devem ser suficientemente altos
para estimular a atividade celular (resposta)
sem obstruir por completo os vasos
sanguíneos no espaço periodontal.”
Proffit, R.
Sistema Passivo
Easy Clip
Sistema Passivo
Damon Low – baixo torque
Damon Standard – padrão
Damon High – super torque
Roth
MBT
Easy ClipSistema Passivo
Damon High – super torque
Damon 3
Is que necessitam de inclinação
vestibular de coroa
Cl. II 2ª divisão
Apinhamento c/ ou s/ XP
Fechamento de espaços
www.nielsen.odo.br
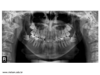
Elementos de Diagnóstico
Perfil Mole Facial Convexo | Padrão Vertical | Nariz Proeminente
Assimetria Discreta | Linha do Sorriso Adequada
18a 3m
Elementos de Diagnóstico
Perfil Mole Facial Convexo | Padrão Vertical | Nariz Proeminente
Assimetria Discreta | Linha do Sorriso Adequada
Classe I | Overbite | Mordida Cruzada Post-direita | Mordida Aberta 12/43
DM = - 10,2 mm Spee = -3 mm DC = - 1,6 mm IMPA 88°
18a 3m
42,6mm
27,9mm
Elementos de Diagnóstico
Perfil Mole Facial Convexo | Padrão Vertical | Nariz Proeminente
Assimetria Discreta | Linha do Sorriso Adequada
Classe I | Overbite | Mordida Cruzada Post-direita | Mordida Aberta 12/43
DM = - 10,2 mm Spee = -3 mm DC = - 1,6 mm IMPA 88°
18a 3m
ANB 4°
Wits 2mm
FMA 29°
GoGn.SN 36°
Is-NA 9°
Is.NA 1mm
Ii-NB 23°
Ii.NB 4mm
IMPA 88°
Elementos de Diagnóstico
Perfil Mole Facial Convexo | Padrão Vertical | Nariz Proeminente
Assimetria Discreta | Linha do Sorriso Adequada
Classe I | Overbite | Mordida Cruzada Post-direita | Mordida Aberta 12/43
DM = - 10,2 mm Spee = -3 mm DC = - 1,6 mm IMPA 88°
18a 3m
www.nielsen.odo.br
Elementos de Diagnóstico
Perfil Mole Facial Convexo | Padrão Vertical | Nariz Proeminente
Assimetria Discreta | Linha do Sorriso Adequada
Classe I | Overbite | Mordida Cruzada Post-direita | Mordida Aberta 12/43
DM = - 10,2 mm Spee = -3 mm DC = - 1,6 mm IMPA 88°
18a 3m
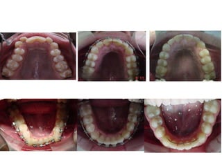
Planejamento
XP 18, 28, 38 e 48
Aparelhos Fixos Autoligantes
Passivos “Damon High”
slot .022”
1)N/A (arcos red. NiTi TA)
2)2 mm de Desgastes
interproximais 33 a 43
3)Arcos ret. Niti
4)Intercuspidação
5)Finalização (arcos ret. Aço
inox.)
6)Remoção e Contenções
Autoligado
Passivo
Damon
Easyclip
Autoligado
Passivo
Damon
EasyClip
ANB 4°
Wits 2mm
FMA 29°
GoGn.SN 36°
Is-NA 9°
Is.NA 1mm
Ii-NB 23°
Ii.NB 4mm
IMPA 88°
18a 3m
Superposição da Mx sobre PP c/ registro em ENA
Finalidade: avaliar as
movimentações dentárias
Ocorreu movimento distal de
molares e projeção de dentes
anteriores.
Superposição da Md sobre Borda inf. Md c/
registro na Cortical interna da Sínfise
Finalidade: avaliar as
movimentações dentárias Ocorreu movimento distal de
molares e projeção de dentes
anteriores.
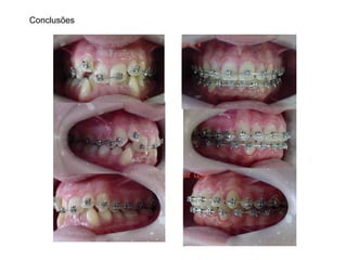
Conclusões
Nielsen Vilela Massahud
Ortodontista pela UNIFAL
Radiologista pela UFMG
nielsen.ortodontista@bol.com.br
facebook.com/Nielsen.vilelamassahud
www.nielsen.odo.br
ORTODONTIAORTODONTIA
Participe do nosso Grupo de Estudo em Ortodontia

Mordida profunda caso clinico

  • 1.
    Nielsen Vilela Massahud Ortodontistapela UNIFAL Radiologista pela UFMG Ortodontia Autoligante: Universidade de Nova York– NYU/USA Gestos/Unesp - Araraquara Instituto Vellini - SP www.nielsen.odo.br ORTODONTIA SISTEMAS DE BRACKETS AUTOLIGADOS PASSIVOS NO TRATAMENTO ORTODÔNTICO DA MORDIDA PROFUNDA
  • 2.
    Perfil Nielsen Vilela Massahud Formadoem Odontologia pela Universidade Federal de Alfenas – Unifal Ortodontista pela Universidade Federal de Alfenas – Unifal Radiologista pela Universidade Federal de Minas Gerais – UFMG Professor convidado de cursos de Especialização em Ortodontia em BH Clínica particular de ortodontia e ortopedia facial há 13 anos em Lavras/MG, trabalhando com biomecânica pesada, arcos segmentados, edgewise, Ricketts, alças, minimplantes... SISTEMAS DE BRACKETS AUTOLIGADOS PASSIVOS NO TRATAMENTO ORTODÔNTICO DA MORDIDA PROFUNDA
  • 3.
    Irei apresentar umcaso que considero bom pra ser tratado com aparelhos autoligado passivo. Mordida profunda com moderado apinhamento. Onde há real redução no tempo de tratamento, evitam-se arcos secundários como arco base de Ricketts pra correção do overbite exagerado, haverá expansão lateral com o próprio arco evitando uso de expansores, como quadrihelice ou barra tranpalatina. Também não serão necessárias exodontias, pois é permitido um pouco de projeções de dentes anteriores. SISTEMAS DE BRACKETS AUTOLIGADOS PASSIVOS NO TRATAMENTO ORTODÔNTICO DA MORDIDA PROFUNDA
  • 4.
    Detalhes do AparelhoOrtodôntico usado: 1)Aparelho Fixo Autoligado de clip Passivo, Easyclip da Aditek® 2)Slot .022”x.027” 3)Prescrição “Damon Super torque” O sistema autoligado Easyclip possui as seguintes prescrições: Roth, MBT, Damon baixo torque (Low torque), Damon standard, Damon super torque (High torque). Este último é recomendado pra Classe II 2ª divisão, casos com retroinclinações de incisivos superiores, mordida profunda e apinhamento ântero-superior. SISTEMAS DE BRACKETS AUTOLIGADOS PASSIVOS NO TRATAMENTO ORTODÔNTICO DA MORDIDA PROFUNDA
  • 5.
    • Permite adaptaçãofisiológica do osso alveolar através do movimento ortodôntico com forças suaves, leves. • Autoligação Passiva, clip passivo, ao reduzir a fricção na interface Bkt x Fio permite que o ortodontista também reduza a força aplicada no tratamento. • “Abaixando as forças” mudamos a dinâmica do movimento dentário. Sistema Passivo Controverso !!! Existem artigos a favor e contrários. Mais estudos deveram elucidar melhor essas caracteristicas.
  • 6.
    • Forças Leves SistemaPassivo Controverso !!! Existem artigos a favor e contrários. Mais estudos deveram elucidar melhor essas caracteristicas.
  • 7.
  • 8.
  • 9.
    • Forças Leves “Osníveis de força ótima para o movimento ortodôntico devem ser suficientemente altos para estimular a atividade celular (resposta) sem obstruir por completo os vasos sanguíneos no espaço periodontal.” Proffit, R. Sistema Passivo
  • 10.
    Easy Clip Sistema Passivo DamonLow – baixo torque Damon Standard – padrão Damon High – super torque Roth MBT
  • 11.
    Easy ClipSistema Passivo DamonHigh – super torque Damon 3 Is que necessitam de inclinação vestibular de coroa Cl. II 2ª divisão Apinhamento c/ ou s/ XP Fechamento de espaços
  • 12.
    www.nielsen.odo.br Elementos de Diagnóstico PerfilMole Facial Convexo | Padrão Vertical | Nariz Proeminente Assimetria Discreta | Linha do Sorriso Adequada 18a 3m
  • 13.
    Elementos de Diagnóstico PerfilMole Facial Convexo | Padrão Vertical | Nariz Proeminente Assimetria Discreta | Linha do Sorriso Adequada Classe I | Overbite | Mordida Cruzada Post-direita | Mordida Aberta 12/43 DM = - 10,2 mm Spee = -3 mm DC = - 1,6 mm IMPA 88° 18a 3m
  • 14.
    42,6mm 27,9mm Elementos de Diagnóstico PerfilMole Facial Convexo | Padrão Vertical | Nariz Proeminente Assimetria Discreta | Linha do Sorriso Adequada Classe I | Overbite | Mordida Cruzada Post-direita | Mordida Aberta 12/43 DM = - 10,2 mm Spee = -3 mm DC = - 1,6 mm IMPA 88° 18a 3m
  • 15.
    ANB 4° Wits 2mm FMA29° GoGn.SN 36° Is-NA 9° Is.NA 1mm Ii-NB 23° Ii.NB 4mm IMPA 88° Elementos de Diagnóstico Perfil Mole Facial Convexo | Padrão Vertical | Nariz Proeminente Assimetria Discreta | Linha do Sorriso Adequada Classe I | Overbite | Mordida Cruzada Post-direita | Mordida Aberta 12/43 DM = - 10,2 mm Spee = -3 mm DC = - 1,6 mm IMPA 88° 18a 3m
  • 16.
  • 17.
    Elementos de Diagnóstico PerfilMole Facial Convexo | Padrão Vertical | Nariz Proeminente Assimetria Discreta | Linha do Sorriso Adequada Classe I | Overbite | Mordida Cruzada Post-direita | Mordida Aberta 12/43 DM = - 10,2 mm Spee = -3 mm DC = - 1,6 mm IMPA 88° 18a 3m Planejamento XP 18, 28, 38 e 48 Aparelhos Fixos Autoligantes Passivos “Damon High” slot .022” 1)N/A (arcos red. NiTi TA) 2)2 mm de Desgastes interproximais 33 a 43 3)Arcos ret. Niti 4)Intercuspidação 5)Finalização (arcos ret. Aço inox.) 6)Remoção e Contenções
  • 18.
  • 19.
  • 26.
    ANB 4° Wits 2mm FMA29° GoGn.SN 36° Is-NA 9° Is.NA 1mm Ii-NB 23° Ii.NB 4mm IMPA 88° 18a 3m
  • 27.
    Superposição da Mxsobre PP c/ registro em ENA Finalidade: avaliar as movimentações dentárias Ocorreu movimento distal de molares e projeção de dentes anteriores.
  • 28.
    Superposição da Mdsobre Borda inf. Md c/ registro na Cortical interna da Sínfise Finalidade: avaliar as movimentações dentárias Ocorreu movimento distal de molares e projeção de dentes anteriores.
  • 29.
  • 30.
    Nielsen Vilela Massahud Ortodontistapela UNIFAL Radiologista pela UFMG nielsen.ortodontista@bol.com.br facebook.com/Nielsen.vilelamassahud www.nielsen.odo.br ORTODONTIAORTODONTIA Participe do nosso Grupo de Estudo em Ortodontia