Sistemas de classificação e
terminologia
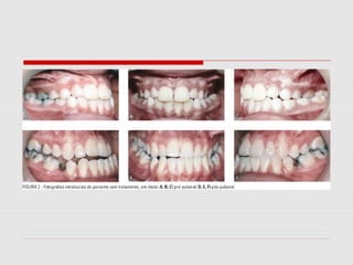
A classificação é um conjunto de casos
clínicos, de aparência semelhante, para
facilitar a comparação, tratamento e
discussão.
Angle
 Baseado nas relações ântero-
posteriores dos maxilares.
 Classe l
 Classe ll
 Classe lll
 Sistema mais comumente usado.
 Posição do 1º molar
Classe l
 NEUTROCLUSÃO:
 Relação ântero-posterior normal dos
maxilares.
Classe ll
 DISTOCLUSÃO:
 A maxila e/ou sua dentição estão
prognáticas e/ou a mandíbula e sua
dentição estão retrognática
Classe lll
 MESIOCLUSÃO:
 A mandíbula é prognática e/ou a
maxila é retrognática
Classe l
 Neutro com apinhamento superior e
inferior
Classe l
 Neutro com biprotusão
Simon
 Baseado nos três planos da cabeça
 Orbital
 Sagital médio
 Frankfurt
 Pouco usado na sua totalidade, mas
sua terminologia útil permanece.
Simon
 Os arcos dentais no Sistema de Simon
Estão relacionados a três planos
antropológicos baseados em pontos
craniométricos.
 Relação ântero-posteriores ( plano orbital)
 Relações médio-laterais(plano sagital
médio)
 Relações verticais (plano de Frankfurt)
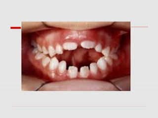
Más colocações de grupos de
dentes
 VERTICAL:
 Mordida profunda
 Sobreposição vertical excessiva
Vertical
 MORDIDA ABERTA:
 Falta localizada de contato oclusal
 Anterior
 Posterior
 Verdadeira (óssea)
 Viciosa
Vício de chupeta
Chupar dedo
Malposição que acarreta
Mordida profunda
 Sobreposição vertical excessiva
Transversal
Mordida cruzada
( relação bucolingual anormal)
Anterior
Mordida cruzada anterior total
Mordida cruzada posterior
 Bilateral
Mordida cruzada
 Tipo tampa de caixa
Mordida cruzada
 Com colapso do arco
Corelação entre postura e
maloclusão
Sídrome do respirador bucal
Classificação de maloclusão
Síndromes de maloclusão

Classificação de maloclusão