DOENÇA CELÍACA
João Batista (R1)
Hospital Regional da Asa Sul/SES/DF
Orientadora: Dra. Yanna
www.paulomargotto.com.br
Brasília, 13/7/2010
DOENÇA CELÍACA
 Enteropatia crônica do intestino delgado, desencadeada
pelo glúten (trigo, centeio, cevada),
 Resposta auto-imune em indivíduos geneticamente
susceptíveis, levando à má-absorção.
 Anemia, deficiência de vitaminas, osteoporose e
alterações neurológicas.
APRESENTAÇÃO CLÍNICA
 Sinais e Sintomas Típicos
 Distensão abdominal
 Dor abdominal
 Anorexia
 Fezes claras, volumosas e viscosas
 Diarréia crônica
 Flatulência
 Retardo do crescimento
 Perda muscular
 Esteatorreia
 Vômitos
 Perda de peso
APRESENTAÇÃO CLÍNICA
 Alopécia areata
 Anemia por deficiência de
ferro
 Estomatite
 Artrite
 Mudanças comportamentais
 Ataxia cerebelar
 Fadiga crônica
 Constipação
 Hipoplasia do esmalte
dentário
 Dermatite herpetiforme
 Epilepsia
 DRGE
 Esteatose hepática
 Infertilidade, abortos de
repetição
 Hipertransaminasemia
isolada
 Puberdade tardia
 Mielopatia
 Obesidade
 Osteoporose/Osteopenia
 Neuropatia periférica
 Dor abdominal recorrente
 B aixa estatura
oSinais e sintomas atípicos:
INTRODUÇÃO
 Doença Celíaca (DC) é a intolerância alimentar mais
comum na população ocidental.
 Descrições mais antigas no Século 1 e 2.
 Em 1887 crianças com sintomas característicos foram
tratadas com restrição dietética.
PROTEÍNAS PATOGÊNICAS
 Gluten (gliadina e glutenina): trigo;
 Hordeinas: cevada;
 Secalinas: centeio;
 Proteínas ricas em prolina que dificultam a ação de
petidases e geram fragmentos de aproximadamente 50
aminoácidos.
FATORES GENÉTICOS
 HLA-DQ2: alelos HLA-DQB1*0201 ou *0202, que
codifica a cadeia β, e HLA-DQA1*05, que codifica a
cadeia α;
 HLA-DQ8: cadeia β e cadeia α codificadas por HLA-
DQB1*0302 e HLA-DQA1*03, respectivamente;
 Estão presentes em 90
à 95% dos celíacos;
 Não atuam como fatores
isolados;
 Risco proporcional à
expressividade dos genes;
 Alta afinidade a antígenos
ricos em prolina.
HLA-DQ2
TRANSGLUTAMINASE
 Elevadas concentrações em indivíduos com doença celíaca;
 Enzima cálcio dependente liberada durante agressão da
mucosa intestinal;
 Função de reparar e juntar proteínas através da ligação
entre resíduos de glutamina e lisina;
 Na ausência de lisina pode deaminar a glutamina,
formando ácido glutâmico;
 Torna os peptídeos mais compatíveis com o sítio de ligação
dos receptores das células apresentadoras de antígenos
(CPH de classe II);
 Tal processo não é essencial na patogenese em crianças;
IMUNOPATOGÊNESE
 Não se sabe ainda se os ainticorpos específicos
para transglutaminase, encontrados em altos
níveis em indivíduos com doença ativa, estão
envolvidos na patogênese das lesões.
 Linfócitos T CD4+
com diversas linhagens, cada
uma específica para determinado peptídeo;
 O IFN-γ é um dos principais responsável pelo
dano tecidual da resposta, produzido na reação
tipo Th1;
IMUNOPATOGÊNESE
A sensibilização necessita de certos
fatores desencadeantes:
Aumento a permeabilidade da mucosa;
Pré-ativação de células apresentadoras
de antígenos;
Produção de transglutaminase
IMUNOPATOGÊNESE
 Fase 1:
 Degradação do “gluten” em peptídeos menores;
 Passagem através da mucosa alterada (lesão por
processo infeccioso/inflamatório, aumento da
permeabilidade);
 Atuação da transglutaminase;
 Captação pela célula apresentadora de antígeno,
 Fase 2:
 Reconhecimento pelo receptor da célula T CD4+
específica;
 Proliferação clonal e ativação de macrófagos;
 Fase 3:
 Liberação de IFN-γ e outras citocinas responsáveis pelo
processo de lesão tecidual.
IMUNOPATOGÊNESE
IMUNOPATOGENIA
 A liberação de IL-15 leva a ativação de células CD8+
com atividade citotóxica;
 Após a ativação, linfócitos intra-epiteliais podem
adquirir características típicas de células NK,
independentes da regulação de células T CD4+
, e
atuar ativamente na destruição do epitélio reagindo
contra moléculas liberadas no estresse tecidual;
 Peptídeos aminoterminais de gliadinas-α vem sendo
apontados como responsáveis por ativar linfócitos
intra-epiteliais e células dendríticas a produzir IL-
15.
 Tais condições estão associadas ao desenvolvimento
de doença celíaca refratária e linfoma de células T
EPIDEMIOLOGIA
 Antes de 1970 prevalência estimada de 0,03%
 Atualmente: 1% (0,5 – 1,26%);
 Novos métodos diagnósticos;
 Influência de fatores ambientais.
EPIDEMIOLOGIA
 Desenvolvimento dos métodos diagnósticos e
programas de triagem:
Em 1970: EDA e biópsia
Em 1980:
HLA DQ2;
Programas de triagem.
 Critérios clínicos: manifestações típicas, atípicas, mínimas ou extra-
intestinais
Em 1990:
HLA DQ8
 Desenvolvimento de testes sorológicos
específicos
Subdiagnóstico: Paciente diagnosticado 1:5,5 a
1:10 pacientes não diagnosticados
EPIDEMIOLOGIA
Fatores de risco ambientais:
Alimentação infantil:
Introdução abrupta do glúten após suspenso o
aleitamento materno aos 6 meses triplicou
prevalência de DC, quando comparado às crianças
em que foi introduzido gradualmente, na vigência de
aleitamento materno;
Crianças cuja introdução de glúten ocorre:
Durante AM: manifestações típicas (49%) e
atípicas (51%);
 Após AM: sintomas típicos (90%).
EPIDEMIOLOGIA
Fatores de risco ambientais:
Infecções
Adenovírus tipo 12: controverso;
Influência do HCV: bem documentado;
Rotavírus: fator de risco para DC;
Campylobacter jejuni, Giardia lamblia,
Enterovírus.
Condições sócio-econômicas
Piores condições: efeito protetor contra contra
o desencadeamento da DC;
Variações na flora do TGI, infecções e dieta.
EPIDEMIOLOGIA
 Fatores de risco genéticos:
 Genes HLA (moléculas de HLA classe II)
 HLA-DQ2 (90%)
 Homozigose p/ os genes que codificam HLA-DQ2 α complicações
da DC (DCR e EALCT); risco de 40% p/ desenvolver DC
 HLA-DQ8
• Peptídeos de gliadina deaminados têm afinidade por moléculas de
HLA-DQ2 e DQ8.
• Genes não HLA
EPIDEMIOLOGIA
 Distribuição por população:
 HLA-DQ2: Europa Ocidental (20-30% da população branca), Norte e
Oeste da África, Oriente Médio e Ásia central;
 HLA-DQ8: América Latina e Norte da Europa;
 Prevalência mais alta de DC: Saharawi de origem árabe que vivem na
Argélia (5,6%);
 Rara em japoneses e chineses.
 No Brasil: 0,15% em adultos.
EPIDEMIOLOGIA
 Grupos de risco
 Pacientes com manifestações clínicas ou com doenças extra-
intestinais associadas a DC - 1:56
 Parentes de 1º. Grau - 1:22
 Parentes de 2º. Grau - 1:39
 Crianças com sintomas de DC - 1:25
 Adultos com sintomas de DC – 1:68
EPIDEMIOLOGIA
 Sexo:
 Feminino 2 a 3:1 Masculino
 Acima dos 60 anos: prodomina sexo masculino
 Idade:
 Infância (Prevalência: 0,31 a 0,9%)
 Adultos (Prevalência: 1 a 2% Europa; 0,4 a 0,95% EUA)
 Diagnóstico tardio:
 4ª. Década de vida (sexo feminino)
 5ª. Década de vida (sexo masculino)
APRESENTAÇÃO CLÍNICA
 Sinais e Sintomas Típicos
 Distensão abdominal
 Dor abdominal
 Anorexia
 Fezes claras, volumosas e viscosas
 Diarréia crônica
 Flatulência
 Retardo do crescimento
 Perda muscular
 Esteatorreia
 Vômitos
 Perda de peso
APRESENTAÇÃO CLÍNICA
 Alopécia areata
 Anemia por deficiência de
ferro
 Estomatite
 Artrite
 Mudanças comportamentais
 Ataxia cerebelar
 Fadiga crônica
 Constipação
 Hipoplasia do esmalte
dentário
 Dermatite herpetiforme
 Epilepsia
 DRGE
 Esteatose hepática
 Infertilidade, abortos de
repetição
 Hipertransaminasemia
isolada
 Puberdade tardia
 Mielopatia
 Obesidade
 Osteoporose/Osteopenia
 Neuropatia periférica
 Dor abdominal recorrente
 B aixa estatura
oSinais e sintomas atípicos:
APRESENTAÇÃO CLÍNICA
 Doença de Addison
 Gastrite atrófica
 Hepatite auto-imune
 Pituitarismo auto-
imune
 Tireoidite auto-imune
 Doença de Behcet
 Dermatomiosite
 Artrite inflamatória
 Miastenia gravis
 Cirrose biliar primária
 Colangite esclerosante
primária
 Psoríase
 Síndrome de Sjogren
 Diabetes melitus tipo 1
 Vitiligo
 Síndrome de Down
 Síndrome de Turner
Doenças Associadas
APRESENTAÇÃO CLÍNICA
 Forma Clássica:
 reconhecida como doença da infância:
 Diarréia, esteatorréia e perda de peso;
 6 a 18 meses de vida;
 Atrofia vilositária;
 Sintomas típicos de má-absorção.
 Forma Atípica
 Alterações arquiteturais do intestino delgado e sintomas intestinais menores;
 Sinais e sintomas extra-intestinais (Osteoporose, neuropatia periférica, anemia
e infertilidade).
 Forma latente
 HLA DQ2 e/ou DQ8;
 Arquitetura normal da mucosa intestinal;
 Sorologia positiva;
 Manifestações mais tardias.
 Forma silenciosa
 Alterações da mucosa intestinal
 Sorologia positiva
 Aparentemente assintomático.
DIAGNÓSTICO
Doença Celíaca?
Forte suspeita clínica
Suspeita clínica moderada ou
baixa
IgA TTG/EMA
Se IgA↓
IgG TTG/EMA
NegativoPositivo
Biópsia
TTG/EMA
Atrofia
vilositária
DC provável
Dieta isenta
de glúten
Normal
DC improvável
Outros exames
Marsh I/II
DC não
excluída
Repetir biópsia
periodicamente
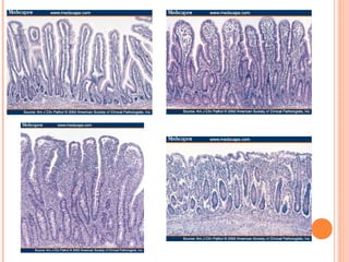
ANÁLISE HISTOPATOLÓGICA
 Classificação de Marsh
 Marsh 0: mucosa normal
 Marsh I: linfocitose intraepitelial
 Marsh II: linfocitose intraepitelial + hiperplasia de criptas
 Marsh III: linfocitose intraepitelial + hiperplasia de criptas
+ atrofia vilositária
ANÁLISE SOROLÓGICA E GENÉTICA
 EMA e TTG : mais sensíveis e específicos;
 AGA: só é mais sensível em crianças menores de 2 anos;
 Testes contra peptídeos de gliadina deaminados em estudo;
 Se deficiência de IgA→ colher TTG/EMA IgG;
 Sorologia negativa não afasta possível desenvolvimento de
DC posteriormente;
 HLA:
 HLA DQ2/DQ8
 40% são saudáveis;
 diagnóstico improvável se ausentes;
 Sociedade alemã de DC recomenda TTG-IgA de 2/2 anos em adultos e
de 5/5 anos em crianças geneticamente susceptíveis.
TRATAMENTO
Exclusão do glúten da dieta!
 Reposição de ferro, cálcio e vitaminas.
TRATAMENTOS ALTERNATIVOS
 Redução da exposição ao glúten
 Manipulação ou seleção de componentes da dieta
 Modificação de cereais
 Neutralizadores de gliadina polimérica
 Degradação enzimática do glúten
 Inibição da permeabilidade intestinal
 Inibicão à Zonulina
 Modulação da resposta imune
 Reduz atividade imune adaptativa
 Reduz a inflamação- Il 10
COMPLICAÇÕES
 DC REFRATÁRIA:
 Permanência do quadro após 12 meses de dieta sem glutem;
 Mais comum em pessoas acima de 50 anos e com
diagnóstico tardio.
 Maior incidência de malinidades nesse grupo.
 EALT (enteropatia associada a linfoma de células T):
 Comum na doença refratária (50%).
 Prognóstico ruim.
BIBLIOGRAFIA
 Tack, G J et al. The spectrum of celiac disease:
epidemiology, clinical aspects e treatment. Nat Rev,
Gastroenterol. Hepatol. 2010;7(4):204-213.
 Kagnoff, M F.Celiac disease: pathogenesis of a model
immunogenetic disease. J Clin Investig, Rev Series. 2003.

Doenca celiaca

  • 1.
    DOENÇA CELÍACA João Batista(R1) Hospital Regional da Asa Sul/SES/DF Orientadora: Dra. Yanna www.paulomargotto.com.br Brasília, 13/7/2010
  • 2.
    DOENÇA CELÍACA  Enteropatiacrônica do intestino delgado, desencadeada pelo glúten (trigo, centeio, cevada),  Resposta auto-imune em indivíduos geneticamente susceptíveis, levando à má-absorção.  Anemia, deficiência de vitaminas, osteoporose e alterações neurológicas.
  • 3.
    APRESENTAÇÃO CLÍNICA  Sinaise Sintomas Típicos  Distensão abdominal  Dor abdominal  Anorexia  Fezes claras, volumosas e viscosas  Diarréia crônica  Flatulência  Retardo do crescimento  Perda muscular  Esteatorreia  Vômitos  Perda de peso
  • 4.
    APRESENTAÇÃO CLÍNICA  Alopéciaareata  Anemia por deficiência de ferro  Estomatite  Artrite  Mudanças comportamentais  Ataxia cerebelar  Fadiga crônica  Constipação  Hipoplasia do esmalte dentário  Dermatite herpetiforme  Epilepsia  DRGE  Esteatose hepática  Infertilidade, abortos de repetição  Hipertransaminasemia isolada  Puberdade tardia  Mielopatia  Obesidade  Osteoporose/Osteopenia  Neuropatia periférica  Dor abdominal recorrente  B aixa estatura oSinais e sintomas atípicos:
  • 5.
    INTRODUÇÃO  Doença Celíaca(DC) é a intolerância alimentar mais comum na população ocidental.  Descrições mais antigas no Século 1 e 2.  Em 1887 crianças com sintomas característicos foram tratadas com restrição dietética.
  • 6.
    PROTEÍNAS PATOGÊNICAS  Gluten(gliadina e glutenina): trigo;  Hordeinas: cevada;  Secalinas: centeio;  Proteínas ricas em prolina que dificultam a ação de petidases e geram fragmentos de aproximadamente 50 aminoácidos.
  • 7.
    FATORES GENÉTICOS  HLA-DQ2:alelos HLA-DQB1*0201 ou *0202, que codifica a cadeia β, e HLA-DQA1*05, que codifica a cadeia α;  HLA-DQ8: cadeia β e cadeia α codificadas por HLA- DQB1*0302 e HLA-DQA1*03, respectivamente;  Estão presentes em 90 à 95% dos celíacos;  Não atuam como fatores isolados;  Risco proporcional à expressividade dos genes;  Alta afinidade a antígenos ricos em prolina.
  • 8.
  • 9.
    TRANSGLUTAMINASE  Elevadas concentraçõesem indivíduos com doença celíaca;  Enzima cálcio dependente liberada durante agressão da mucosa intestinal;  Função de reparar e juntar proteínas através da ligação entre resíduos de glutamina e lisina;  Na ausência de lisina pode deaminar a glutamina, formando ácido glutâmico;  Torna os peptídeos mais compatíveis com o sítio de ligação dos receptores das células apresentadoras de antígenos (CPH de classe II);  Tal processo não é essencial na patogenese em crianças;
  • 10.
    IMUNOPATOGÊNESE  Não sesabe ainda se os ainticorpos específicos para transglutaminase, encontrados em altos níveis em indivíduos com doença ativa, estão envolvidos na patogênese das lesões.  Linfócitos T CD4+ com diversas linhagens, cada uma específica para determinado peptídeo;  O IFN-γ é um dos principais responsável pelo dano tecidual da resposta, produzido na reação tipo Th1;
  • 11.
    IMUNOPATOGÊNESE A sensibilização necessitade certos fatores desencadeantes: Aumento a permeabilidade da mucosa; Pré-ativação de células apresentadoras de antígenos; Produção de transglutaminase
  • 12.
    IMUNOPATOGÊNESE  Fase 1: Degradação do “gluten” em peptídeos menores;  Passagem através da mucosa alterada (lesão por processo infeccioso/inflamatório, aumento da permeabilidade);  Atuação da transglutaminase;  Captação pela célula apresentadora de antígeno,  Fase 2:  Reconhecimento pelo receptor da célula T CD4+ específica;  Proliferação clonal e ativação de macrófagos;  Fase 3:  Liberação de IFN-γ e outras citocinas responsáveis pelo processo de lesão tecidual.
  • 13.
  • 14.
    IMUNOPATOGENIA  A liberaçãode IL-15 leva a ativação de células CD8+ com atividade citotóxica;  Após a ativação, linfócitos intra-epiteliais podem adquirir características típicas de células NK, independentes da regulação de células T CD4+ , e atuar ativamente na destruição do epitélio reagindo contra moléculas liberadas no estresse tecidual;  Peptídeos aminoterminais de gliadinas-α vem sendo apontados como responsáveis por ativar linfócitos intra-epiteliais e células dendríticas a produzir IL- 15.  Tais condições estão associadas ao desenvolvimento de doença celíaca refratária e linfoma de células T
  • 17.
    EPIDEMIOLOGIA  Antes de1970 prevalência estimada de 0,03%  Atualmente: 1% (0,5 – 1,26%);  Novos métodos diagnósticos;  Influência de fatores ambientais.
  • 18.
    EPIDEMIOLOGIA  Desenvolvimento dosmétodos diagnósticos e programas de triagem: Em 1970: EDA e biópsia Em 1980: HLA DQ2; Programas de triagem.  Critérios clínicos: manifestações típicas, atípicas, mínimas ou extra- intestinais Em 1990: HLA DQ8  Desenvolvimento de testes sorológicos específicos Subdiagnóstico: Paciente diagnosticado 1:5,5 a 1:10 pacientes não diagnosticados
  • 19.
    EPIDEMIOLOGIA Fatores de riscoambientais: Alimentação infantil: Introdução abrupta do glúten após suspenso o aleitamento materno aos 6 meses triplicou prevalência de DC, quando comparado às crianças em que foi introduzido gradualmente, na vigência de aleitamento materno; Crianças cuja introdução de glúten ocorre: Durante AM: manifestações típicas (49%) e atípicas (51%);  Após AM: sintomas típicos (90%).
  • 20.
    EPIDEMIOLOGIA Fatores de riscoambientais: Infecções Adenovírus tipo 12: controverso; Influência do HCV: bem documentado; Rotavírus: fator de risco para DC; Campylobacter jejuni, Giardia lamblia, Enterovírus. Condições sócio-econômicas Piores condições: efeito protetor contra contra o desencadeamento da DC; Variações na flora do TGI, infecções e dieta.
  • 21.
    EPIDEMIOLOGIA  Fatores derisco genéticos:  Genes HLA (moléculas de HLA classe II)  HLA-DQ2 (90%)  Homozigose p/ os genes que codificam HLA-DQ2 α complicações da DC (DCR e EALCT); risco de 40% p/ desenvolver DC  HLA-DQ8 • Peptídeos de gliadina deaminados têm afinidade por moléculas de HLA-DQ2 e DQ8. • Genes não HLA
  • 22.
    EPIDEMIOLOGIA  Distribuição porpopulação:  HLA-DQ2: Europa Ocidental (20-30% da população branca), Norte e Oeste da África, Oriente Médio e Ásia central;  HLA-DQ8: América Latina e Norte da Europa;  Prevalência mais alta de DC: Saharawi de origem árabe que vivem na Argélia (5,6%);  Rara em japoneses e chineses.  No Brasil: 0,15% em adultos.
  • 23.
    EPIDEMIOLOGIA  Grupos derisco  Pacientes com manifestações clínicas ou com doenças extra- intestinais associadas a DC - 1:56  Parentes de 1º. Grau - 1:22  Parentes de 2º. Grau - 1:39  Crianças com sintomas de DC - 1:25  Adultos com sintomas de DC – 1:68
  • 24.
    EPIDEMIOLOGIA  Sexo:  Feminino2 a 3:1 Masculino  Acima dos 60 anos: prodomina sexo masculino  Idade:  Infância (Prevalência: 0,31 a 0,9%)  Adultos (Prevalência: 1 a 2% Europa; 0,4 a 0,95% EUA)  Diagnóstico tardio:  4ª. Década de vida (sexo feminino)  5ª. Década de vida (sexo masculino)
  • 25.
    APRESENTAÇÃO CLÍNICA  Sinaise Sintomas Típicos  Distensão abdominal  Dor abdominal  Anorexia  Fezes claras, volumosas e viscosas  Diarréia crônica  Flatulência  Retardo do crescimento  Perda muscular  Esteatorreia  Vômitos  Perda de peso
  • 26.
    APRESENTAÇÃO CLÍNICA  Alopéciaareata  Anemia por deficiência de ferro  Estomatite  Artrite  Mudanças comportamentais  Ataxia cerebelar  Fadiga crônica  Constipação  Hipoplasia do esmalte dentário  Dermatite herpetiforme  Epilepsia  DRGE  Esteatose hepática  Infertilidade, abortos de repetição  Hipertransaminasemia isolada  Puberdade tardia  Mielopatia  Obesidade  Osteoporose/Osteopenia  Neuropatia periférica  Dor abdominal recorrente  B aixa estatura oSinais e sintomas atípicos:
  • 27.
    APRESENTAÇÃO CLÍNICA  Doençade Addison  Gastrite atrófica  Hepatite auto-imune  Pituitarismo auto- imune  Tireoidite auto-imune  Doença de Behcet  Dermatomiosite  Artrite inflamatória  Miastenia gravis  Cirrose biliar primária  Colangite esclerosante primária  Psoríase  Síndrome de Sjogren  Diabetes melitus tipo 1  Vitiligo  Síndrome de Down  Síndrome de Turner Doenças Associadas
  • 28.
    APRESENTAÇÃO CLÍNICA  FormaClássica:  reconhecida como doença da infância:  Diarréia, esteatorréia e perda de peso;  6 a 18 meses de vida;  Atrofia vilositária;  Sintomas típicos de má-absorção.  Forma Atípica  Alterações arquiteturais do intestino delgado e sintomas intestinais menores;  Sinais e sintomas extra-intestinais (Osteoporose, neuropatia periférica, anemia e infertilidade).  Forma latente  HLA DQ2 e/ou DQ8;  Arquitetura normal da mucosa intestinal;  Sorologia positiva;  Manifestações mais tardias.  Forma silenciosa  Alterações da mucosa intestinal  Sorologia positiva  Aparentemente assintomático.
  • 29.
    DIAGNÓSTICO Doença Celíaca? Forte suspeitaclínica Suspeita clínica moderada ou baixa IgA TTG/EMA Se IgA↓ IgG TTG/EMA NegativoPositivo Biópsia TTG/EMA Atrofia vilositária DC provável Dieta isenta de glúten Normal DC improvável Outros exames Marsh I/II DC não excluída Repetir biópsia periodicamente
  • 30.
    ANÁLISE HISTOPATOLÓGICA  Classificaçãode Marsh  Marsh 0: mucosa normal  Marsh I: linfocitose intraepitelial  Marsh II: linfocitose intraepitelial + hiperplasia de criptas  Marsh III: linfocitose intraepitelial + hiperplasia de criptas + atrofia vilositária
  • 32.
    ANÁLISE SOROLÓGICA EGENÉTICA  EMA e TTG : mais sensíveis e específicos;  AGA: só é mais sensível em crianças menores de 2 anos;  Testes contra peptídeos de gliadina deaminados em estudo;  Se deficiência de IgA→ colher TTG/EMA IgG;  Sorologia negativa não afasta possível desenvolvimento de DC posteriormente;  HLA:  HLA DQ2/DQ8  40% são saudáveis;  diagnóstico improvável se ausentes;  Sociedade alemã de DC recomenda TTG-IgA de 2/2 anos em adultos e de 5/5 anos em crianças geneticamente susceptíveis.
  • 33.
    TRATAMENTO Exclusão do glútenda dieta!  Reposição de ferro, cálcio e vitaminas.
  • 34.
    TRATAMENTOS ALTERNATIVOS  Reduçãoda exposição ao glúten  Manipulação ou seleção de componentes da dieta  Modificação de cereais  Neutralizadores de gliadina polimérica  Degradação enzimática do glúten  Inibição da permeabilidade intestinal  Inibicão à Zonulina  Modulação da resposta imune  Reduz atividade imune adaptativa  Reduz a inflamação- Il 10
  • 35.
    COMPLICAÇÕES  DC REFRATÁRIA: Permanência do quadro após 12 meses de dieta sem glutem;  Mais comum em pessoas acima de 50 anos e com diagnóstico tardio.  Maior incidência de malinidades nesse grupo.  EALT (enteropatia associada a linfoma de células T):  Comum na doença refratária (50%).  Prognóstico ruim.
  • 36.
    BIBLIOGRAFIA  Tack, GJ et al. The spectrum of celiac disease: epidemiology, clinical aspects e treatment. Nat Rev, Gastroenterol. Hepatol. 2010;7(4):204-213.  Kagnoff, M F.Celiac disease: pathogenesis of a model immunogenetic disease. J Clin Investig, Rev Series. 2003.