CONTROLE DE QUALIDADE DE SISTEMAS DIGITAIS
Físico da STAFF - Soluções em Física Médica e Radioproteção
Especialista em Física do Radiodiagnóstico – ABFM
Supervisor de Radioproteção – CNEN
Mestre em Nanociências – UNIFRA
Marcel Zago Botelho
 Breve Revisão de Literatura;
 Identificação Prática dos Conceitos da Imagem Digital;
 Testes Recomendados na Literatura de Referência;
 Artefatos e Resolução de Problemas
 Considerações Finais.
CONTROLE DE QUALIDADE DE SISTEMAS DIGITAIS
OBJETIVOS
 Avaliação de Qualidade: “Avaliação isolada das instalações e
equipamentos de geração e processamento de imagens”;
 Controle de Qualidade (CQ): “Assegurar, a partir de avaliações
rotineiras, que o Radiologista tenha disponível uma melhor
imagem produzida por meio do bom desempenho dos
equipamentos, resultando em exposição mínima do paciente”;
 Garantia de Qualidade (GQ): “São as atividades planejadas e
sistemáticas implementadas de um sistema de qualidade para que
os requisitos de um produto ou serviço sejam realizados. "
• Análise de Imagens Rejeitadas;
• Análise de Exposição;
• Identificação de Artefatos;
• Ferramentas de Testes e Controles;
• Administração e Operação de um
Programa de Controle de Qualidade;
QUALIDADE RADIOLOGIA DIAGNÓSTICA
CQ Lida com Instrumentação e Equipamentos
Garantia da Qualidade Lida com Pessoas
CONTÍNUO
ACEITAÇÃO, MONITORAMENTO E MANUTENÇÃO
 Sistema;
 Gerador de Raios-X;
 Sistema de Limitação do Feixe (Colimação)
 Suporte de Paciente;
 Grade Antidifusora;
 Controle Automático de Exposição (AEC);
 Receptor de Imagem;
 Processamento de Imagens
 Conectividade;
 Exibição.
RADIOLOGIA DIGITAL
COMPONENTES DE UM SISTEMA DE RADIOLOGIA DIGITAL
 Comercializado: a partir de 1980 – Fuji (Sistema CR), 2000 (Sistemas DR)
RADIOLOGIA DIGITAL
RADIOGRAFIA DE PROJEÇÃO POR VARREDURA (TC)
 Baseada no princípio de luminescência fotoestimulada;
 Simula a operação da tela intensificadora-filme;
 Placa de Imagem foto-estimulável = PSP (photostimulable
storage phosphor) ou IP (imaging plate);
 Fósforo mais comum: flúor-brometo de bário com ativadores de
európio bivalente;
RADIOLOGIA COMPUTADORIZADA (CR)
 É feita a leitura por um feixe de laser (infravermelho) muito fino;
 Estimula os elétrons capturados em armadilhas a emitirem a
energia armazenada como luz;
 A luz emitida por cada ponto da placa é detectada e convertida
em sinal elétrico e amplificado;
 Após a placa passa por um processo de “apagamento”, onde
uma forte luz força os elétrons da a regressarem ao seu estado
inicial – o IP pode ser reutilizado;
Princípio de Operação (Exposição)
Princípio de Operação (Leitura e Apagamento)
RADIOLOGIA COMPUTADORIZADA (CR)
 Vantagens: Manter qualquer luminescência gerada dentro do fósforo percorrendo ao longo das “agulhas”, o
qual ajuda a manter a definição das imagens.
 A camada ativa pode também ser mais espessa , permitindo aumento na absorção de raios X, com menor
perda na definição da imagem.
Placa de Imagem Padrão
Placa de Imagem
Baseada em Agulhas
 Aprovação do órgão controlador norte-americano FDA (Food and
Drug Administration) Jan/2000;
 Sistema de detecção é um conjunto de semicondutores que
recebem a radiação e a transformam em sinal elétrico;
 Sem intervenção do operador;
 Características físicas do detector digital de campo total têm
demonstrado maior eficiência quanto à :
Resolução Espacial;
Eficiência Quântica do Detector;
Resolução de Contraste.
Indireta: Iodeto de Césio Direta: Selênio Amorfo
RADIOLOGIA DIGITAL (DR)
RADIOLOGIA DIGITAL (DR)
EFICIÊNCIA QUÂNTICA DE DETECÇÃO COMO UMA FUNÇÃO DA ENERGIA DOS RAIOS-X
(DR)
(CR)
 A Dose no Paciente em Radiologia Digital DR deve ser Baixa Devido ao Alto DQE
 DQE: Está Relacionado ao Coeficiente de Absorção e à Frequência Espacial do Sinal
PRINCÍPIOS BÁSICOS DA RADIOLOGIA DIGITAL
(TF)
MAMOGRAFIA DIGITAL x MAMOGRAFIA ANALÓGICA
 Em maio de 2008, o Programa de Rastreamento do Câncer de Mama (NHSBSP) publicou
um Estudo Comparativo da Dose Glandular Média (DGM) para diferentes tipos de sistemas de mamografia:
Segundo Coutinho et al. (UFRJ COPPE) as doses glandulares médias (DGMs), para pacientes que fazem o
exame de mamografia digital (DR) são, em média, 33% mais baixas do que as que fazem em equipamentos
convencionais (tela-filme). As DGMs para as pacientes que fazem o exame em equipamentos de radiografia
computadorizada (CR) são, em média, 25% mais altas do que as que fazem em equipamentos convencionais.
DETERMINAÇÃO DA GAMA DE SINAIS ÚTEIS
 Se dá através da construção de um histograma em tons de
cinza da imagem;
 Um gráfico do valor de um pixel no eixo x e a frequência de
ocorrência no eixo-y (ou seja, um espectro de valores de pixel);
 Muitos leitores PSP empregam um ALGORITMO DE ANÁLISE
DE HISTOGRAMA para identificar e classificar os valores
que correspondem aos ossos, tecidos moles, pele, meios
de contraste, colimação, raios-x não atenuadas, e outros
sinais;
 Isto permite a discriminação das áreas úteis e não
importantes da imagem, de modo que o alcance da imagem em
tons de cinza pode ser aplicado para a informação anatomica
necessária.
HISTOGRAMA DE IMAGEM
 Caracteriza-se pela Latitude Ampla.
 Resultam nos 10.000 níveis de cinza.
 A imagem com filme convencional pode
apresentar apenas 30 tons de cinza.
Função Resposta do Receptor
de Imagem em Tons de Cinza
PRINCÍPIOS BÁSICOS DA RADIOLOGIA DIGITAL
Curva Característica da Imagem
 O sistema tela-filme tradicional usa a densidade geral do filme como indicador de exposição;
 Resposta direta da exposição para o técnico em radiologia;
DETERMINAÇÃO DA GAMA DE SINAIS ÚTEIS
INDICADORES DO SISTEMA TELA-FILME
 Sistemas CR & DR usam processamento de imagem para alinhar a escala de cinza com sinais recebidos;
 Apresentação da imagem (claro/escuro) são perdidos em relação a exposição
DETERMINAÇÃO DA GAMA DE SINAIS ÚTEIS
INDICADORES DO SISTEMAS CR & DR
Técnicas impróprias com receptor de imagem convencional resultam em péssimas imagens
 Imagens da Radiologia Computadorizada obtidas através com as MESMAS TÉCNICAS
 O contraste não muda com a variação da exposição a radiação
PRINCÍPIOS BÁSICOS DA RADIOLOGIA DIGITAL
Radiografia Convencional Imagem de CR
RADIOLOGIA DIGITAL
IMAGENS COMPARATIVAS: EXAME DE JOELHO
RADIOLOGIA DIGITAL
IMAGENS COMPARATIVAS: EXAME DE MAMOGRAFIA
Mamografia Convencional Imagem de CR
Ressalta-se que a abordagem convencional de
que “o kVp controla o contraste” e o “mAs
controla a DO” não se aplica a Radiologia
Computadorizada
Como o contraste da imagem da RC é constante, indiferentemente da exposição à
radiação, as imagens podem ser feitas com elevado kVp e o mAs baixo, causando
uma redução complementar da dose de radiação no paciente.
I M P O R T A N T E !
PRINCÍPIOS BÁSICOS DA RADIOLOGIA DIGITAL
 Reduzir o ruído; Ajustar e otimizar as características de contraste;
 Extrair características de regiões de interesse;
 Aumentar a visibilidade de detalhes;
PROCESSAMENTO DA IMAGEM DIGITAL
PRINCÍPIOS BÁSICOS DA RADIOLOGIA DIGITAL
 É a Capacidade de um sistema de imagem em determinar e mostrar um pequeno objeto de alto contraste;
 PL/mm : Pares de Linhas por Milímetro (Frequência Espacial);
 A Resolução Espacial na Radiologia Digital é Limitada pelo Pixel;
PRINCÍPIOS BÁSICOS DA RADIOLOGIA DIGITAL
RESOLUÇÃO ESPACIAL
 Quanto Maior a Resolução Espacial Menor será o Contraste Devido ao Borramento;
Quem Tem Melhor Resolução Espacial ?
PRINCÍPIOS BÁSICOS DA RADIOLOGIA DIGITAL
 Número de pixels por unidade de comprimento
PRINCÍPIOS BÁSICOS DA RADIOLOGIA DIGITAL
 Capacidade de um Sistema de Imagem em Reproduzir Objetos
de Tamanhos Diferentes sobre a Imagem;
 Objetos de Alta Frequência Espacial são mais difíceis de
Visualizar do que os que possuem baixa frequência Espacial;
 Medir a Quantidade de Borramento (Ruído) como função da
Frequência Espacial;
 O uso de padrões de fendas, em substituição aos dispositivos
similares ao padrão de barras, tem como finalidade diminuir a
subjetividade da interpretação dos resultados obtidos, mas
não impede a observação direta da imagem para a determinação
da (resolução espacial de alto contraste).
FUNÇÃO DE TRANSFERÊNCIA DE MODULAÇÃO (MTF)
 Sinal: Informação Requerida pelo Sistema de Imagem
 Ruído: A Incerteza Aleatória no Sinal
Solução: Aumentar Fatores de Exposição!
PRINCÍPIOS BÁSICOS DA RADIOLOGIA DIGITAL
RELAÇÃO SINAL X RUIDO
Representação Gráfica do Ruído
 É a Capacidade para Distinguir Muitos Tons de Cinza do Preto para o Branco;
 Ruído: a incerteza aleatória no sinal;
PRINCÍPIOS BÁSICOS DA RADIOLOGIA DIGITAL
RESOLUÇÃO DE CONTRASTE X RUÍDO (CNR)
 O Ruído da Imagem Limita a Resolução de Contraste;
 A Resolução de Contraste é mais importante do que a Resolução Espacial para Radiografia de Tecido Mole.
PRINCÍPIOS BÁSICOS DA RADIOLOGIA DIGITAL
“EQUILÍBRIO”
RESOLUÇÃO
DE CONTRASTE
RESOLUÇÃO
ESPACIAL
SELEÇÃO DE “JANELAS” DE IMAGEM
PRINCÍPIOS BÁSICOS DA RADIOLOGIA DIGITAL
 As funções de processamento de imagem para apresentação da imagem em escala de cinza são:
 No entanto, o contraste é limitada pela Razão Sinal-Ruído (SNR), quanto maior a seleção de
contraste, mais visivel será o ruído na imagem.
• Ajuste o nível de (análogo ao brilho) e
• A largura da janela (análogo ao contraste);
AUSENCIA DE MASCARAMENTO DA IMAGEM
PRINCÍPIOS BÁSICOS DA RADIOLOGIA DIGITAL
AUSENCIA DE MASCARAMENTO DA IMAGEM
PRINCÍPIOS BÁSICOS DA RADIOLOGIA DIGITAL
 Sistemas CR e DR utilizam Indicadores de Exposição (valor de
sinal recebido pelo detector) junto as estações de trabalho, para
avaliar e indicar se a técnica radiográfica utilizada está adequada;
 Faixas de limite dos indicadores de exposição foram
recomendadas para serem utilizadas pelos técnicos em radiologia
para verificar se a exposição radiográfica estava adequada;
INDICADORES DE EXPOSIÇÃO (EXPOSITION INDEX)
Índice de Exposição?
PRINCÍPIOS BÁSICOS DA RADIOLOGIA DIGITAL
 Os sistemas variam na região utilizada para avaliar o sinal para uma imagem.
 Imagem Completa;
 Regiões Regulares;
 Regiões Anatômicas.
 A relação entre dose e o nível de exposição é geralmente
logarítmica: dobrando a dose no detector, vai aumentar o “nível
de exposição” para um fator de 0,3 = log (2).
PRINCÍPIOS BÁSICOS DA RADIOLOGIA DIGITAL
INDICADORES DE EXPOSIÇÃO (EXPOSITION INDEX)
 Condições definidas de feixes são usadas para calibrar os valores dos indicadores de exposição;
PRINCÍPIOS BÁSICOS DA RADIOLOGIA DIGITAL
RESUMO DO FABRICANTE: INDICES DE EXPOSIÇÃO
PADRONIZAÇÃO DOS INDICADORES DE EXPOSIÇÃO (EXPOSITION INDEX)
 TG 116: Indicadores de Exposição para Radiologia Digital;
 Uniformizar "Índices de Exposição" e "Índices de Desvio" Padrão
para TODOS os fabricantes de equipamentos de radiologia digital;
 Fornecer meios para colocar estes dados no cabeçalho DICOM;
 Considera que Sistemas de CR e DR tem velocidades variáveis;
PRINCÍPIOS BÁSICOS DA RADIOLOGIA DIGITAL
RADIOLOGIA DIGITAL
PADRONIZAÇÃO DOS INDICADORES DE EXPOSIÇÃO (EXPOSITION INDEX)
PADRONIZAÇÃO DOS INDICADORES DE EXPOSIÇÃO: QUESTÕES TÉCNICAS
PRINCÍPIOS BÁSICOS DA RADIOLOGIA DIGITAL
CONTROLE DE QUALIDADE DE SISTEMAS DIGITAIS
AVALIAÇÕES DO GERADOR DE RAIOS-X E ACESSÓSRIOS
 Exatidão e Reprodutibilidade do kVp;
 Precisão do Temporizador Exposição;
 Reprodutibilidade e Linearidade da Exposição (mA / mAs);
 Requisitos Mínimos de Camada Semi-redutora (HVL);
 Rendimento do Tubo de Raios-X (mGy/mAs);
 Tamanho do Ponto Focal;
 Alinhamento de Grades;
 Exatidão do Sistema de Colimação;
 Alinhamento do Eixo central do Feixe de Raios-X;
 Precisão do Indicador da Distância Foco-Receptor;
 Reprodutibilidade e Desempenho do AEC;
Não há sensores no feixe ...
Os testes que envolvem a produção de grandes quantidades
de radiação requerem a proteção do receptor de imagem.
Sensores presentes no feixe ...
Remova receptor de feixe de raios-x direto e dispersão ou aponte o tubo de raios-x para
longe do detector ou cubra o detector com um avental ou lâmina de chumbo ≥ 0,5 mmPb
CONTROLE DE QUALIDADE DE SISTEMAS DIGITAIS
AVALIAÇÕES DO GERADOR DE RAIOS-X
 "Medir Primeiro!" A Avaliação da dimensão do ponto focal pode ser diferente;
 As imagens podem ser obtidas com uma maior gama de níveis de exposição de entrada no detector;
 As análises das imagens devem realizadas em Raw Data (imagem linearizada);
FOCO FINO FOCO GROSSO
CONTROLE DE QUALIDADE DE SISTEMAS DIGITAIS
AVALIAÇÕES DO TAMANHO DO PONTO FOCAL (RESOLUÇÃO)
Perda da Definição X Tamanho do Ponto Focal
CONTROLE DE QUALIDADE DE SISTEMAS DIGITAIS
SISTEMA DE COLIMAÇÃO (LIMITAÇÃO E ALINHAMENTO DO FEIXE)
 Remoção da Radiação Espalhada;
 Deve estar alinhada com o receptor de imagem;
 Centralizada com o foco anódico;
 Uniformidade e razão de grade adequada ao receptor de imagem;
 Em radiologia digital pode envolver valores de pixel e ROIs.
CONTROLE DE QUALIDADE DE SISTEMAS DIGITAIS
ALINHAMENTO DAS GRADES ANTIDIFUSORAS
Exame de Tórax com Grade
Exame de Leito (Sem Grade)
CONTROLE DE QUALIDADE DE SISTEMAS DIGITAIS
TESTE DE ALINHAMENTO DE GRADES
0,8 à 1,2 m 1,4 à 2,0 m
Foco de Grade = 1,0 m
DFD = 1,8 m
Você acredita que a grade esta centrada e perpendicular ao feixe de raio-x ?
 O técnico utilizou a grade anti-espalhamento errada para uma imagem PA de Tórax .
 A grade não está perpendicular o centro do feixe de raios-X.
CONTROLE DE QUALIDADE DE SISTEMAS DIGITAIS
Foco de Grade = 1,8 m
DFD = 1,0 m
CONTROLE DE QUALIDADE DE SISTEMAS DIGITAIS
ALIASING: EFEITO MOIRÉ
 Localização do Sensor;
 Correção de Densidade;
 Reprodutibilidade e Sensibilidade do AEC;
 Compensação de Espessura Paciente.
± 5% em todas as combinações
1985
CONTROLE DE QUALIDADE DE SISTEMAS DIGITAIS
CONTROLE AUTOMÁTICO DE EXPOSIÇÃO (AEC)
CONTROLE DE QUALIDADE DE SISTEMAS DIGITAIS
CONTROLE AUTOMÁTICO DE EXPOSIÇÃO (AEC)
 Localização Correta do Sensor pelo Operador;
37 mAs 25 mAs
Qual destes exames foi realizados usando o correto posicionamento do AEC?
CONTROLE DE QUALIDADE DE SISTEMAS DIGITAIS
 Valores Baseados em Kerma no Ar;
 Valores em Indicadores de Exposição;
 Valores do Número Médio de Pixel;
 Relação Sinal-Ruído (SNR);
 60 à 120 kVp.
CONTROLE DE QUALIDADE DE SISTEMAS DIGITAIS
PRINCIPAIS MÉTODOS DE CALIBRAÇÃO DO AEC
DOSE DE ENTRADA NA PELE
EXAME POSICIONAMENTO DEP (mGy)*
Coluna lombar
AP 10
LAT 30
JLS 40
Abdômen, Urografia AP 10
Pelve AP 10
Bacia AP 10
Tórax
AP 0,4
LAT 1,5
Coluna Torácica
AP 7
LAT 20
Crânio
AP 5
LAT 3
Níveis de Referência – Portaria N 453 / MS
(*) Adulto Típico: considera-se que um adulto típico tem massa de 60 à 75 kg e altura de 1,60 à 1,75 m.
CONTROLE DE QUALIDADE DE SISTEMAS DIGITAIS
DOSE DE ENTRADA NA PELE (DEP)
Tórax LAT
1. Posicionamento
a. Rotação
b. Corte da Anatomia de Interesse
c. Projeção Incorreta
d. Marcador Incorreto
2. Erro de Exposição
a. Superexposição
b. Exposição Insuficiente
3. Erro de Grade
a. Cortar
b .Descentramento
c. Nenhuma Grade
d. As Linhas de Grade
4. Erro do Sistema
5. Artefato
a. Detector
b. Objeto Estranho (jóias, roupas, etc.)
c. Os Meios de Contraste
d. Mesa / Suporte / Tubo de Raio-x
6. Movimento do Paciente
7. Imagens de teste
8. Estudo cancelado
9. Outros
CONTROLE DE QUALIDADE DE SISTEMAS DIGITAIS
ANÁLISE DA IMAGEM REJEITADA / REPETIDA
E as aprovadas?
 Linearidade da Resposta do Detector;
 Uniformidade da Resposta do Detector ;
 Resolução Espacial da Imagem (MTF);
 Razão Sinal-Ruído (SNR);
 Razão Sinal Ruído Diferencial (SDNR)
 Razão Contraste-Ruído (CNR);
 Análise da Precisão e Linearidade do Indicador de Exposição;
 Desempenho do Sistema de Apagamento e Gosting (CR);
 Degradação da Imagem Latente nas Placas de Fósforo (CR);
 Variação da Sensibilidade entre as Placas de Imagem (CR);
 Análise dos Artefatos Aspectos sem a Exposição das placas;
 Inspeção Visual, Identificação e Limpeza dos Fósforos e Chassis;
 Calibração da Workstation;
 Exatidão e Reprodutibilidade da Densidade da Impressora Laser;
D E T E R M I N A Ç Ã O D A D O S E E F E T I V A
CONTROLE DE QUALIDADE DE SISTEMAS DIGITAIS
AVALIAÇÃO DOS RECEPTORES DE IMAGEM: TESTES RECOMENDADOS
AAPM Report 93 (CR)
D E T E R M I N A Ç Ã O D A D O S E E F E T I V A
CONTROLE DE QUALIDADE DE SISTEMAS DIGITAIS
UNIFORMIDADE E LINEARIDADE DA RESPOSTA DO DETECTOR
 Anualmente;
 45 mm PMMA;
 Posicionado sobre a totalidade da área do IP;
 Varrer toda a imagem com uma ROI retangular;
 Calcular a média dos valores de pixel e desvio padrão
para toda a imagem.
ROI central
linha central
ROI
ROI
ROI
ROI
Variação  15%
CONTROLE DE QUALIDADE DE SISTEMAS DIGITAIS
LINEARIDADE DA RESPOSTA DO DETETOR (PLACA DE IMAGEM)
mAs
Kerma de entrada no ar na
superfície do cassette (Gy)
Valor médio
do pixel
Desvio padrão do
valor do pixel
R2
4 9,6 922,8 28,9
0,9997
8 19,3 1307,5 19,3
16 40,6 1698,0 13,9
25 62,2 1944,9 10,9
32 81,0 2076,5 9,9
45 111,0 2263,3 8,4
63 159,7 2466,4 7,2
100 250,4 2696,2 6,1
140 360,7 2873,1 5,2
Equação: Valor médio do pixel = 1247,55 log(kerma) - 298,78
LINEARIDADE DA RESPOSTA DO DETECTOR
Após quantos anos de uso, as perdas de qualidade são significativas?
 Fabricantes: A vida útil das placas é centenas ou milhares de exposição, sendo
determinada principalmente pela os cuidados no manuseio e condições ambientais.
 OAKLEY (2003): A maioria das placas têm uma vida estimada de 10.000
exposições.
D E T E R M I N A Ç Ã O D A D O S E E F E T I V ACONTROLE DE QUALIDADE DE SISTEMAS DIGITAIS
CRITÉRIOS DE SUBSTITUIÇÃO DAS PLACAS DE IMADEM
 SHETTY et. Al. (2011): Se controlada, a placa de
imagem pode durar por 5 anos, após precisa ser
substituída.
 É a Retenção do Histórico de Exposições Anteriores;
 O Apagamento do IP não é adequado;
 Excesso de Dose no Exame Anterior.
D E T E R M I N A Ç Ã O D A D O S E E F E T I V ACONTROLE DE QUALIDADE DE SISTEMAS DIGITAIS
DESEMPENHO DO SISTEMA DE APAGAMENTO E GOSTING (CR)
Setup for Image 1
Tabletop
PMMA Slab
Setup for Image 2
Delay 60 seconds
Former location of edge
of Uniform Phantom
Tabletop
ROI 1, A
ROI 2,
B, C
 Anualmente ; 45 mm PMMA;
C
BA
SDNRGhostFator

:A B,C
D E T E R M I N A Ç Ã O D A D O S E E F E T I V ACONTROLE DE QUALIDADE DE SISTEMAS DIGITAIS
DESEMPENHO DO SISTEMA DE APAGAMENTO E GOSTING
A - Mean ROI 1 415,66
B - Mean ROI 2 403,64
C - Std. ROI 2 5,9
Ghost Image SDNR 2,037
A - Mean ROI 1 403,59
B - Mean ROI 2 392,6
C - Std. ROI 2 6,3
Ghost Image SDNR 1,744
IP com 3 anos de uso
IP novo
Fator Ghost aceitável mamografia ≤ 2.0
 Diariamente;
 Limpeza (Conforme recomendações do fabricante);
 Imagens Clínicas (Variação Janela, Zoom)
D E T E R M I N A Ç Ã O D A D O S E E F E T I V A
CONTROLE DE QUALIDADE DE SISTEMAS DIGITAIS
TESTE DE CQ: ARTEFATOS NÃO CLÍNICOS PERMANENTES
 Anualmente;
 Mesma imagem adquirida para
avaliar uniformidade;
 É o parâmetro indicado para avaliar a qualidade da imagem em Radiologia Digital;
 A determinação da CNR é feita com placa de 2,0 mmAl e placas de PMMA para simular as diferentes
espessuras de paciente (variando de 20 a 70mm aos passos de 10mm) usando ou não AEC.
RAZÃO CONTRASTE RUÍDO
2,0 mmAl
CONTROLE DE QUALIDADE DE SISTEMAS DIGITAIS
 A avaliação da Razão Sinal-Ruído foi feita a partir das imagens obtidas, nas diferentes
espessuras do bloco de PMMA, no teste da Razão Contraste-Ruído.
CONTROLE DE QUALIDADE DE SISTEMAS DIGITAIS
RAZÃO SINAL RUÍDO (SNR)
CONTROLE DE QUALIDADE DE SISTEMAS DIGITAIS
Degradação da MTF para Detector Indireto CsI
O que você faz com os resultados dos testes de CQ?
Radiography: Acceptance Testing and QC Programs
Charles E. Willis, Ph.D. DABR FAAPM
 Limite mínimo para o teste é MTF @ 2,5 Pl / mm = 17%
 Ambos os sistemas representado necessária
substituição do detector
D E T E R M I N A Ç Ã O D A D O S E E F E T I V A
CONTROLE DE QUALIDADE DE SISTEMAS DIGITAIS
MONITORES DE VÍDEO (ESTAÇÃO DE TRABALHO)
 AAPM TG 18;
 Calibração da Luminância (Fotômetro);
 Testes e frequências recomendadas;
 Padrões de Testes e Imagens Clínicas Úteis.
Avaliação visual de reflexão difusa em resposta a luz ambiente.
CONTROLE DE QUALIDADE DE SISTEMAS DIGITAIS
MONITORES DE VÍDEO (ESTAÇÃO DE TRABALHO)
 Padrões de Imagens Clínicas Úteis.
CONTROLE DE QUALIDADE DE SISTEMAS DIGITAIS
IMPRESSORA A LASER
 Os Valores Podem ser Especificados por Modalidade do Fabricante
 O Resultado Final Deve ser Semelhante a Estação de Trabalho
 Valores Típicos e Faixas de Radiologia:
• Dmin: 0,05 ± 0,03
• Baixa densidade: 0,45 ± 0,07
• Densidade média: 1,20 ± 0,15
• Alta densidade: 2,20 ± 0,15
Quando uma imagem pobre é descoberta, várias questões vêm à mente:
CONTROLE DE QUALIDADE DE SISTEMAS DIGITAIS
ARTEFATOS E RESOLUÇÃO DE PROBLEMAS EM RADIOLOGIA DIGITAL
Talvez a última coisa considerada é: “POR QUE ISSO ACONTECEU?”
• “É muito ruim pra passar adiante?”
• “Será que o radiologista vai perceber?”
• “Pode ser melhorada no processamento?”
• “Deve ser repetido?”
Fissuras devido ao encurvamento dos IPs ao passar pelo Leitor
Fita Adesiva entrou em contato com o IP
Fio de Cabelo
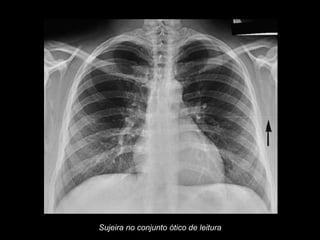
Sujeira no conjunto ótico de leitura
 Linha de pixel morto em um detector de tela plana.
 Adquirir um novo mapa correção de pixel morto resolve este artefato.
Leitora carregou 2 IPs no mesmo Cassete
Erro no Apagamento
Imagem obtida utilizando a parte de trás do cassete
Imagem obtida utilizando a placa de imagem invertida dentro do cassete
Foi aplicado o processamento de imagem apropriado?
Padrão Reprocessado
Havia algo na imagem que interferiu no processamento digital?
Padrão Reprocessado
A Imagem foi exibida corretamente para interpretação?
Estação de Aquisição x Estação de Visualização
Estação de Aquisição Estação de Visualização
 Marcador de chumbo permaneceu colado ao detector quando o “engenheiro” de serviço realizou as
calibrações de ganho da fotomultiplicadora do CR.
 Resultado na imagem do paciente mostra verdadeiro marcador (branco) e imagem negativa do marcador
calibrado para o detector (preto).
 Aplicação de quantidades excessivas de realce de borda em pós-processamento pode
resultar na criação de faixas brancas em áreas de alto contraste, aqui na linha de pele.
 Manutenções preventivas e controles de qualidade adequados e periódicos garantem a otimização
da dose e dos custos.
 Devem ser mantidos os melhores valores de EI a partir dos critérios de qualidade de imagens
clínicas bem como devem ser acompanhados os valores de desvio DI das técnicas empregadas;
CONTROLE DE QUALIDADE DE SISTEMAS DIGITAIS
CONCLUSÕES E DISCUSSÕES
Obrigado!
D Ú V I D A S ?
marcel@staffsul.com.br
marcelzb@gmail.com
 Artefatos não clínicos (permanentes), imagens Ghost, Uniformidade, Linearidade, SNR, CNR são
excelentes parâmetros de acompanhamento do desempenho e desvanecimento do sistema;
 É fundamental a formação de linha de base, nos testes de aceitação dos equipamentos
digitais, para o acompanhamento correto do sistema;

15 c 084

  • 1.
    CONTROLE DE QUALIDADEDE SISTEMAS DIGITAIS Físico da STAFF - Soluções em Física Médica e Radioproteção Especialista em Física do Radiodiagnóstico – ABFM Supervisor de Radioproteção – CNEN Mestre em Nanociências – UNIFRA Marcel Zago Botelho
  • 2.
     Breve Revisãode Literatura;  Identificação Prática dos Conceitos da Imagem Digital;  Testes Recomendados na Literatura de Referência;  Artefatos e Resolução de Problemas  Considerações Finais. CONTROLE DE QUALIDADE DE SISTEMAS DIGITAIS OBJETIVOS
  • 3.
     Avaliação deQualidade: “Avaliação isolada das instalações e equipamentos de geração e processamento de imagens”;  Controle de Qualidade (CQ): “Assegurar, a partir de avaliações rotineiras, que o Radiologista tenha disponível uma melhor imagem produzida por meio do bom desempenho dos equipamentos, resultando em exposição mínima do paciente”;  Garantia de Qualidade (GQ): “São as atividades planejadas e sistemáticas implementadas de um sistema de qualidade para que os requisitos de um produto ou serviço sejam realizados. " • Análise de Imagens Rejeitadas; • Análise de Exposição; • Identificação de Artefatos; • Ferramentas de Testes e Controles; • Administração e Operação de um Programa de Controle de Qualidade; QUALIDADE RADIOLOGIA DIAGNÓSTICA CQ Lida com Instrumentação e Equipamentos Garantia da Qualidade Lida com Pessoas CONTÍNUO ACEITAÇÃO, MONITORAMENTO E MANUTENÇÃO
  • 4.
     Sistema;  Geradorde Raios-X;  Sistema de Limitação do Feixe (Colimação)  Suporte de Paciente;  Grade Antidifusora;  Controle Automático de Exposição (AEC);  Receptor de Imagem;  Processamento de Imagens  Conectividade;  Exibição. RADIOLOGIA DIGITAL COMPONENTES DE UM SISTEMA DE RADIOLOGIA DIGITAL  Comercializado: a partir de 1980 – Fuji (Sistema CR), 2000 (Sistemas DR)
  • 5.
    RADIOLOGIA DIGITAL RADIOGRAFIA DEPROJEÇÃO POR VARREDURA (TC)
  • 6.
     Baseada noprincípio de luminescência fotoestimulada;  Simula a operação da tela intensificadora-filme;  Placa de Imagem foto-estimulável = PSP (photostimulable storage phosphor) ou IP (imaging plate);  Fósforo mais comum: flúor-brometo de bário com ativadores de európio bivalente; RADIOLOGIA COMPUTADORIZADA (CR)  É feita a leitura por um feixe de laser (infravermelho) muito fino;  Estimula os elétrons capturados em armadilhas a emitirem a energia armazenada como luz;  A luz emitida por cada ponto da placa é detectada e convertida em sinal elétrico e amplificado;  Após a placa passa por um processo de “apagamento”, onde uma forte luz força os elétrons da a regressarem ao seu estado inicial – o IP pode ser reutilizado; Princípio de Operação (Exposição) Princípio de Operação (Leitura e Apagamento)
  • 7.
    RADIOLOGIA COMPUTADORIZADA (CR) Vantagens: Manter qualquer luminescência gerada dentro do fósforo percorrendo ao longo das “agulhas”, o qual ajuda a manter a definição das imagens.  A camada ativa pode também ser mais espessa , permitindo aumento na absorção de raios X, com menor perda na definição da imagem. Placa de Imagem Padrão Placa de Imagem Baseada em Agulhas
  • 9.
     Aprovação doórgão controlador norte-americano FDA (Food and Drug Administration) Jan/2000;  Sistema de detecção é um conjunto de semicondutores que recebem a radiação e a transformam em sinal elétrico;  Sem intervenção do operador;  Características físicas do detector digital de campo total têm demonstrado maior eficiência quanto à : Resolução Espacial; Eficiência Quântica do Detector; Resolução de Contraste. Indireta: Iodeto de Césio Direta: Selênio Amorfo RADIOLOGIA DIGITAL (DR)
  • 10.
  • 11.
    EFICIÊNCIA QUÂNTICA DEDETECÇÃO COMO UMA FUNÇÃO DA ENERGIA DOS RAIOS-X (DR) (CR)  A Dose no Paciente em Radiologia Digital DR deve ser Baixa Devido ao Alto DQE  DQE: Está Relacionado ao Coeficiente de Absorção e à Frequência Espacial do Sinal PRINCÍPIOS BÁSICOS DA RADIOLOGIA DIGITAL (TF)
  • 12.
    MAMOGRAFIA DIGITAL xMAMOGRAFIA ANALÓGICA  Em maio de 2008, o Programa de Rastreamento do Câncer de Mama (NHSBSP) publicou um Estudo Comparativo da Dose Glandular Média (DGM) para diferentes tipos de sistemas de mamografia: Segundo Coutinho et al. (UFRJ COPPE) as doses glandulares médias (DGMs), para pacientes que fazem o exame de mamografia digital (DR) são, em média, 33% mais baixas do que as que fazem em equipamentos convencionais (tela-filme). As DGMs para as pacientes que fazem o exame em equipamentos de radiografia computadorizada (CR) são, em média, 25% mais altas do que as que fazem em equipamentos convencionais.
  • 13.
    DETERMINAÇÃO DA GAMADE SINAIS ÚTEIS  Se dá através da construção de um histograma em tons de cinza da imagem;  Um gráfico do valor de um pixel no eixo x e a frequência de ocorrência no eixo-y (ou seja, um espectro de valores de pixel);  Muitos leitores PSP empregam um ALGORITMO DE ANÁLISE DE HISTOGRAMA para identificar e classificar os valores que correspondem aos ossos, tecidos moles, pele, meios de contraste, colimação, raios-x não atenuadas, e outros sinais;  Isto permite a discriminação das áreas úteis e não importantes da imagem, de modo que o alcance da imagem em tons de cinza pode ser aplicado para a informação anatomica necessária. HISTOGRAMA DE IMAGEM
  • 14.
     Caracteriza-se pelaLatitude Ampla.  Resultam nos 10.000 níveis de cinza.  A imagem com filme convencional pode apresentar apenas 30 tons de cinza. Função Resposta do Receptor de Imagem em Tons de Cinza PRINCÍPIOS BÁSICOS DA RADIOLOGIA DIGITAL Curva Característica da Imagem
  • 15.
     O sistematela-filme tradicional usa a densidade geral do filme como indicador de exposição;  Resposta direta da exposição para o técnico em radiologia; DETERMINAÇÃO DA GAMA DE SINAIS ÚTEIS INDICADORES DO SISTEMA TELA-FILME
  • 16.
     Sistemas CR& DR usam processamento de imagem para alinhar a escala de cinza com sinais recebidos;  Apresentação da imagem (claro/escuro) são perdidos em relação a exposição DETERMINAÇÃO DA GAMA DE SINAIS ÚTEIS INDICADORES DO SISTEMAS CR & DR
  • 17.
    Técnicas impróprias comreceptor de imagem convencional resultam em péssimas imagens  Imagens da Radiologia Computadorizada obtidas através com as MESMAS TÉCNICAS  O contraste não muda com a variação da exposição a radiação PRINCÍPIOS BÁSICOS DA RADIOLOGIA DIGITAL
  • 18.
    Radiografia Convencional Imagemde CR RADIOLOGIA DIGITAL IMAGENS COMPARATIVAS: EXAME DE JOELHO
  • 19.
    RADIOLOGIA DIGITAL IMAGENS COMPARATIVAS:EXAME DE MAMOGRAFIA Mamografia Convencional Imagem de CR
  • 21.
    Ressalta-se que aabordagem convencional de que “o kVp controla o contraste” e o “mAs controla a DO” não se aplica a Radiologia Computadorizada Como o contraste da imagem da RC é constante, indiferentemente da exposição à radiação, as imagens podem ser feitas com elevado kVp e o mAs baixo, causando uma redução complementar da dose de radiação no paciente. I M P O R T A N T E ! PRINCÍPIOS BÁSICOS DA RADIOLOGIA DIGITAL
  • 22.
     Reduzir oruído; Ajustar e otimizar as características de contraste;  Extrair características de regiões de interesse;  Aumentar a visibilidade de detalhes; PROCESSAMENTO DA IMAGEM DIGITAL PRINCÍPIOS BÁSICOS DA RADIOLOGIA DIGITAL
  • 23.
     É aCapacidade de um sistema de imagem em determinar e mostrar um pequeno objeto de alto contraste;  PL/mm : Pares de Linhas por Milímetro (Frequência Espacial);  A Resolução Espacial na Radiologia Digital é Limitada pelo Pixel; PRINCÍPIOS BÁSICOS DA RADIOLOGIA DIGITAL RESOLUÇÃO ESPACIAL  Quanto Maior a Resolução Espacial Menor será o Contraste Devido ao Borramento;
  • 24.
    Quem Tem MelhorResolução Espacial ? PRINCÍPIOS BÁSICOS DA RADIOLOGIA DIGITAL  Número de pixels por unidade de comprimento
  • 25.
    PRINCÍPIOS BÁSICOS DARADIOLOGIA DIGITAL  Capacidade de um Sistema de Imagem em Reproduzir Objetos de Tamanhos Diferentes sobre a Imagem;  Objetos de Alta Frequência Espacial são mais difíceis de Visualizar do que os que possuem baixa frequência Espacial;  Medir a Quantidade de Borramento (Ruído) como função da Frequência Espacial;  O uso de padrões de fendas, em substituição aos dispositivos similares ao padrão de barras, tem como finalidade diminuir a subjetividade da interpretação dos resultados obtidos, mas não impede a observação direta da imagem para a determinação da (resolução espacial de alto contraste). FUNÇÃO DE TRANSFERÊNCIA DE MODULAÇÃO (MTF)
  • 26.
     Sinal: InformaçãoRequerida pelo Sistema de Imagem  Ruído: A Incerteza Aleatória no Sinal Solução: Aumentar Fatores de Exposição! PRINCÍPIOS BÁSICOS DA RADIOLOGIA DIGITAL RELAÇÃO SINAL X RUIDO Representação Gráfica do Ruído
  • 27.
     É aCapacidade para Distinguir Muitos Tons de Cinza do Preto para o Branco;  Ruído: a incerteza aleatória no sinal; PRINCÍPIOS BÁSICOS DA RADIOLOGIA DIGITAL RESOLUÇÃO DE CONTRASTE X RUÍDO (CNR)  O Ruído da Imagem Limita a Resolução de Contraste;  A Resolução de Contraste é mais importante do que a Resolução Espacial para Radiografia de Tecido Mole.
  • 28.
    PRINCÍPIOS BÁSICOS DARADIOLOGIA DIGITAL “EQUILÍBRIO” RESOLUÇÃO DE CONTRASTE RESOLUÇÃO ESPACIAL
  • 29.
    SELEÇÃO DE “JANELAS”DE IMAGEM PRINCÍPIOS BÁSICOS DA RADIOLOGIA DIGITAL  As funções de processamento de imagem para apresentação da imagem em escala de cinza são:  No entanto, o contraste é limitada pela Razão Sinal-Ruído (SNR), quanto maior a seleção de contraste, mais visivel será o ruído na imagem. • Ajuste o nível de (análogo ao brilho) e • A largura da janela (análogo ao contraste);
  • 30.
    AUSENCIA DE MASCARAMENTODA IMAGEM PRINCÍPIOS BÁSICOS DA RADIOLOGIA DIGITAL
  • 31.
    AUSENCIA DE MASCARAMENTODA IMAGEM PRINCÍPIOS BÁSICOS DA RADIOLOGIA DIGITAL
  • 32.
     Sistemas CRe DR utilizam Indicadores de Exposição (valor de sinal recebido pelo detector) junto as estações de trabalho, para avaliar e indicar se a técnica radiográfica utilizada está adequada;  Faixas de limite dos indicadores de exposição foram recomendadas para serem utilizadas pelos técnicos em radiologia para verificar se a exposição radiográfica estava adequada; INDICADORES DE EXPOSIÇÃO (EXPOSITION INDEX) Índice de Exposição? PRINCÍPIOS BÁSICOS DA RADIOLOGIA DIGITAL
  • 33.
     Os sistemasvariam na região utilizada para avaliar o sinal para uma imagem.  Imagem Completa;  Regiões Regulares;  Regiões Anatômicas.  A relação entre dose e o nível de exposição é geralmente logarítmica: dobrando a dose no detector, vai aumentar o “nível de exposição” para um fator de 0,3 = log (2). PRINCÍPIOS BÁSICOS DA RADIOLOGIA DIGITAL INDICADORES DE EXPOSIÇÃO (EXPOSITION INDEX)
  • 34.
     Condições definidasde feixes são usadas para calibrar os valores dos indicadores de exposição; PRINCÍPIOS BÁSICOS DA RADIOLOGIA DIGITAL RESUMO DO FABRICANTE: INDICES DE EXPOSIÇÃO
  • 35.
    PADRONIZAÇÃO DOS INDICADORESDE EXPOSIÇÃO (EXPOSITION INDEX)  TG 116: Indicadores de Exposição para Radiologia Digital;  Uniformizar "Índices de Exposição" e "Índices de Desvio" Padrão para TODOS os fabricantes de equipamentos de radiologia digital;  Fornecer meios para colocar estes dados no cabeçalho DICOM;  Considera que Sistemas de CR e DR tem velocidades variáveis; PRINCÍPIOS BÁSICOS DA RADIOLOGIA DIGITAL
  • 36.
    RADIOLOGIA DIGITAL PADRONIZAÇÃO DOSINDICADORES DE EXPOSIÇÃO (EXPOSITION INDEX)
  • 37.
    PADRONIZAÇÃO DOS INDICADORESDE EXPOSIÇÃO: QUESTÕES TÉCNICAS PRINCÍPIOS BÁSICOS DA RADIOLOGIA DIGITAL
  • 38.
    CONTROLE DE QUALIDADEDE SISTEMAS DIGITAIS AVALIAÇÕES DO GERADOR DE RAIOS-X E ACESSÓSRIOS  Exatidão e Reprodutibilidade do kVp;  Precisão do Temporizador Exposição;  Reprodutibilidade e Linearidade da Exposição (mA / mAs);  Requisitos Mínimos de Camada Semi-redutora (HVL);  Rendimento do Tubo de Raios-X (mGy/mAs);  Tamanho do Ponto Focal;  Alinhamento de Grades;  Exatidão do Sistema de Colimação;  Alinhamento do Eixo central do Feixe de Raios-X;  Precisão do Indicador da Distância Foco-Receptor;  Reprodutibilidade e Desempenho do AEC;
  • 39.
    Não há sensoresno feixe ... Os testes que envolvem a produção de grandes quantidades de radiação requerem a proteção do receptor de imagem. Sensores presentes no feixe ... Remova receptor de feixe de raios-x direto e dispersão ou aponte o tubo de raios-x para longe do detector ou cubra o detector com um avental ou lâmina de chumbo ≥ 0,5 mmPb CONTROLE DE QUALIDADE DE SISTEMAS DIGITAIS AVALIAÇÕES DO GERADOR DE RAIOS-X
  • 40.
     "Medir Primeiro!"A Avaliação da dimensão do ponto focal pode ser diferente;  As imagens podem ser obtidas com uma maior gama de níveis de exposição de entrada no detector;  As análises das imagens devem realizadas em Raw Data (imagem linearizada); FOCO FINO FOCO GROSSO CONTROLE DE QUALIDADE DE SISTEMAS DIGITAIS AVALIAÇÕES DO TAMANHO DO PONTO FOCAL (RESOLUÇÃO) Perda da Definição X Tamanho do Ponto Focal
  • 41.
    CONTROLE DE QUALIDADEDE SISTEMAS DIGITAIS SISTEMA DE COLIMAÇÃO (LIMITAÇÃO E ALINHAMENTO DO FEIXE)
  • 42.
     Remoção daRadiação Espalhada;  Deve estar alinhada com o receptor de imagem;  Centralizada com o foco anódico;  Uniformidade e razão de grade adequada ao receptor de imagem;  Em radiologia digital pode envolver valores de pixel e ROIs. CONTROLE DE QUALIDADE DE SISTEMAS DIGITAIS ALINHAMENTO DAS GRADES ANTIDIFUSORAS Exame de Tórax com Grade Exame de Leito (Sem Grade)
  • 43.
    CONTROLE DE QUALIDADEDE SISTEMAS DIGITAIS TESTE DE ALINHAMENTO DE GRADES 0,8 à 1,2 m 1,4 à 2,0 m
  • 44.
    Foco de Grade= 1,0 m DFD = 1,8 m Você acredita que a grade esta centrada e perpendicular ao feixe de raio-x ?  O técnico utilizou a grade anti-espalhamento errada para uma imagem PA de Tórax .  A grade não está perpendicular o centro do feixe de raios-X. CONTROLE DE QUALIDADE DE SISTEMAS DIGITAIS Foco de Grade = 1,8 m DFD = 1,0 m
  • 45.
    CONTROLE DE QUALIDADEDE SISTEMAS DIGITAIS ALIASING: EFEITO MOIRÉ
  • 46.
     Localização doSensor;  Correção de Densidade;  Reprodutibilidade e Sensibilidade do AEC;  Compensação de Espessura Paciente. ± 5% em todas as combinações 1985 CONTROLE DE QUALIDADE DE SISTEMAS DIGITAIS CONTROLE AUTOMÁTICO DE EXPOSIÇÃO (AEC)
  • 47.
    CONTROLE DE QUALIDADEDE SISTEMAS DIGITAIS CONTROLE AUTOMÁTICO DE EXPOSIÇÃO (AEC)  Localização Correta do Sensor pelo Operador;
  • 48.
    37 mAs 25mAs Qual destes exames foi realizados usando o correto posicionamento do AEC? CONTROLE DE QUALIDADE DE SISTEMAS DIGITAIS
  • 49.
     Valores Baseadosem Kerma no Ar;  Valores em Indicadores de Exposição;  Valores do Número Médio de Pixel;  Relação Sinal-Ruído (SNR);  60 à 120 kVp. CONTROLE DE QUALIDADE DE SISTEMAS DIGITAIS PRINCIPAIS MÉTODOS DE CALIBRAÇÃO DO AEC
  • 50.
    DOSE DE ENTRADANA PELE EXAME POSICIONAMENTO DEP (mGy)* Coluna lombar AP 10 LAT 30 JLS 40 Abdômen, Urografia AP 10 Pelve AP 10 Bacia AP 10 Tórax AP 0,4 LAT 1,5 Coluna Torácica AP 7 LAT 20 Crânio AP 5 LAT 3 Níveis de Referência – Portaria N 453 / MS (*) Adulto Típico: considera-se que um adulto típico tem massa de 60 à 75 kg e altura de 1,60 à 1,75 m. CONTROLE DE QUALIDADE DE SISTEMAS DIGITAIS DOSE DE ENTRADA NA PELE (DEP)
  • 52.
  • 53.
    1. Posicionamento a. Rotação b.Corte da Anatomia de Interesse c. Projeção Incorreta d. Marcador Incorreto 2. Erro de Exposição a. Superexposição b. Exposição Insuficiente 3. Erro de Grade a. Cortar b .Descentramento c. Nenhuma Grade d. As Linhas de Grade 4. Erro do Sistema 5. Artefato a. Detector b. Objeto Estranho (jóias, roupas, etc.) c. Os Meios de Contraste d. Mesa / Suporte / Tubo de Raio-x 6. Movimento do Paciente 7. Imagens de teste 8. Estudo cancelado 9. Outros CONTROLE DE QUALIDADE DE SISTEMAS DIGITAIS ANÁLISE DA IMAGEM REJEITADA / REPETIDA E as aprovadas?
  • 54.
     Linearidade daResposta do Detector;  Uniformidade da Resposta do Detector ;  Resolução Espacial da Imagem (MTF);  Razão Sinal-Ruído (SNR);  Razão Sinal Ruído Diferencial (SDNR)  Razão Contraste-Ruído (CNR);  Análise da Precisão e Linearidade do Indicador de Exposição;  Desempenho do Sistema de Apagamento e Gosting (CR);  Degradação da Imagem Latente nas Placas de Fósforo (CR);  Variação da Sensibilidade entre as Placas de Imagem (CR);  Análise dos Artefatos Aspectos sem a Exposição das placas;  Inspeção Visual, Identificação e Limpeza dos Fósforos e Chassis;  Calibração da Workstation;  Exatidão e Reprodutibilidade da Densidade da Impressora Laser; D E T E R M I N A Ç Ã O D A D O S E E F E T I V A CONTROLE DE QUALIDADE DE SISTEMAS DIGITAIS AVALIAÇÃO DOS RECEPTORES DE IMAGEM: TESTES RECOMENDADOS AAPM Report 93 (CR)
  • 55.
    D E TE R M I N A Ç Ã O D A D O S E E F E T I V A CONTROLE DE QUALIDADE DE SISTEMAS DIGITAIS UNIFORMIDADE E LINEARIDADE DA RESPOSTA DO DETECTOR  Anualmente;  45 mm PMMA;  Posicionado sobre a totalidade da área do IP;  Varrer toda a imagem com uma ROI retangular;  Calcular a média dos valores de pixel e desvio padrão para toda a imagem. ROI central linha central ROI ROI ROI ROI Variação  15%
  • 56.
    CONTROLE DE QUALIDADEDE SISTEMAS DIGITAIS LINEARIDADE DA RESPOSTA DO DETETOR (PLACA DE IMAGEM) mAs Kerma de entrada no ar na superfície do cassette (Gy) Valor médio do pixel Desvio padrão do valor do pixel R2 4 9,6 922,8 28,9 0,9997 8 19,3 1307,5 19,3 16 40,6 1698,0 13,9 25 62,2 1944,9 10,9 32 81,0 2076,5 9,9 45 111,0 2263,3 8,4 63 159,7 2466,4 7,2 100 250,4 2696,2 6,1 140 360,7 2873,1 5,2 Equação: Valor médio do pixel = 1247,55 log(kerma) - 298,78 LINEARIDADE DA RESPOSTA DO DETECTOR
  • 57.
    Após quantos anosde uso, as perdas de qualidade são significativas?  Fabricantes: A vida útil das placas é centenas ou milhares de exposição, sendo determinada principalmente pela os cuidados no manuseio e condições ambientais.  OAKLEY (2003): A maioria das placas têm uma vida estimada de 10.000 exposições. D E T E R M I N A Ç Ã O D A D O S E E F E T I V ACONTROLE DE QUALIDADE DE SISTEMAS DIGITAIS CRITÉRIOS DE SUBSTITUIÇÃO DAS PLACAS DE IMADEM  SHETTY et. Al. (2011): Se controlada, a placa de imagem pode durar por 5 anos, após precisa ser substituída.
  • 58.
     É aRetenção do Histórico de Exposições Anteriores;  O Apagamento do IP não é adequado;  Excesso de Dose no Exame Anterior. D E T E R M I N A Ç Ã O D A D O S E E F E T I V ACONTROLE DE QUALIDADE DE SISTEMAS DIGITAIS DESEMPENHO DO SISTEMA DE APAGAMENTO E GOSTING (CR)
  • 59.
    Setup for Image1 Tabletop PMMA Slab Setup for Image 2 Delay 60 seconds Former location of edge of Uniform Phantom Tabletop ROI 1, A ROI 2, B, C  Anualmente ; 45 mm PMMA; C BA SDNRGhostFator  :A B,C D E T E R M I N A Ç Ã O D A D O S E E F E T I V ACONTROLE DE QUALIDADE DE SISTEMAS DIGITAIS DESEMPENHO DO SISTEMA DE APAGAMENTO E GOSTING A - Mean ROI 1 415,66 B - Mean ROI 2 403,64 C - Std. ROI 2 5,9 Ghost Image SDNR 2,037 A - Mean ROI 1 403,59 B - Mean ROI 2 392,6 C - Std. ROI 2 6,3 Ghost Image SDNR 1,744 IP com 3 anos de uso IP novo Fator Ghost aceitável mamografia ≤ 2.0
  • 60.
     Diariamente;  Limpeza(Conforme recomendações do fabricante);  Imagens Clínicas (Variação Janela, Zoom) D E T E R M I N A Ç Ã O D A D O S E E F E T I V A CONTROLE DE QUALIDADE DE SISTEMAS DIGITAIS TESTE DE CQ: ARTEFATOS NÃO CLÍNICOS PERMANENTES  Anualmente;  Mesma imagem adquirida para avaliar uniformidade;
  • 62.
     É oparâmetro indicado para avaliar a qualidade da imagem em Radiologia Digital;  A determinação da CNR é feita com placa de 2,0 mmAl e placas de PMMA para simular as diferentes espessuras de paciente (variando de 20 a 70mm aos passos de 10mm) usando ou não AEC. RAZÃO CONTRASTE RUÍDO 2,0 mmAl CONTROLE DE QUALIDADE DE SISTEMAS DIGITAIS
  • 63.
     A avaliaçãoda Razão Sinal-Ruído foi feita a partir das imagens obtidas, nas diferentes espessuras do bloco de PMMA, no teste da Razão Contraste-Ruído. CONTROLE DE QUALIDADE DE SISTEMAS DIGITAIS RAZÃO SINAL RUÍDO (SNR)
  • 64.
    CONTROLE DE QUALIDADEDE SISTEMAS DIGITAIS Degradação da MTF para Detector Indireto CsI O que você faz com os resultados dos testes de CQ? Radiography: Acceptance Testing and QC Programs Charles E. Willis, Ph.D. DABR FAAPM  Limite mínimo para o teste é MTF @ 2,5 Pl / mm = 17%  Ambos os sistemas representado necessária substituição do detector
  • 65.
    D E TE R M I N A Ç Ã O D A D O S E E F E T I V A CONTROLE DE QUALIDADE DE SISTEMAS DIGITAIS MONITORES DE VÍDEO (ESTAÇÃO DE TRABALHO)  AAPM TG 18;  Calibração da Luminância (Fotômetro);  Testes e frequências recomendadas;  Padrões de Testes e Imagens Clínicas Úteis.
  • 66.
    Avaliação visual dereflexão difusa em resposta a luz ambiente.
  • 67.
    CONTROLE DE QUALIDADEDE SISTEMAS DIGITAIS MONITORES DE VÍDEO (ESTAÇÃO DE TRABALHO)  Padrões de Imagens Clínicas Úteis.
  • 68.
    CONTROLE DE QUALIDADEDE SISTEMAS DIGITAIS IMPRESSORA A LASER  Os Valores Podem ser Especificados por Modalidade do Fabricante  O Resultado Final Deve ser Semelhante a Estação de Trabalho  Valores Típicos e Faixas de Radiologia: • Dmin: 0,05 ± 0,03 • Baixa densidade: 0,45 ± 0,07 • Densidade média: 1,20 ± 0,15 • Alta densidade: 2,20 ± 0,15
  • 69.
    Quando uma imagempobre é descoberta, várias questões vêm à mente: CONTROLE DE QUALIDADE DE SISTEMAS DIGITAIS ARTEFATOS E RESOLUÇÃO DE PROBLEMAS EM RADIOLOGIA DIGITAL Talvez a última coisa considerada é: “POR QUE ISSO ACONTECEU?” • “É muito ruim pra passar adiante?” • “Será que o radiologista vai perceber?” • “Pode ser melhorada no processamento?” • “Deve ser repetido?”
  • 70.
    Fissuras devido aoencurvamento dos IPs ao passar pelo Leitor
  • 71.
    Fita Adesiva entrouem contato com o IP
  • 72.
  • 73.
    Sujeira no conjuntoótico de leitura
  • 74.
     Linha depixel morto em um detector de tela plana.  Adquirir um novo mapa correção de pixel morto resolve este artefato.
  • 75.
    Leitora carregou 2IPs no mesmo Cassete
  • 76.
  • 77.
    Imagem obtida utilizandoa parte de trás do cassete
  • 78.
    Imagem obtida utilizandoa placa de imagem invertida dentro do cassete
  • 79.
    Foi aplicado oprocessamento de imagem apropriado? Padrão Reprocessado
  • 80.
    Havia algo naimagem que interferiu no processamento digital? Padrão Reprocessado
  • 81.
    A Imagem foiexibida corretamente para interpretação? Estação de Aquisição x Estação de Visualização Estação de Aquisição Estação de Visualização
  • 82.
     Marcador dechumbo permaneceu colado ao detector quando o “engenheiro” de serviço realizou as calibrações de ganho da fotomultiplicadora do CR.  Resultado na imagem do paciente mostra verdadeiro marcador (branco) e imagem negativa do marcador calibrado para o detector (preto).
  • 83.
     Aplicação dequantidades excessivas de realce de borda em pós-processamento pode resultar na criação de faixas brancas em áreas de alto contraste, aqui na linha de pele.
  • 84.
     Manutenções preventivase controles de qualidade adequados e periódicos garantem a otimização da dose e dos custos.  Devem ser mantidos os melhores valores de EI a partir dos critérios de qualidade de imagens clínicas bem como devem ser acompanhados os valores de desvio DI das técnicas empregadas; CONTROLE DE QUALIDADE DE SISTEMAS DIGITAIS CONCLUSÕES E DISCUSSÕES Obrigado! D Ú V I D A S ? marcel@staffsul.com.br marcelzb@gmail.com  Artefatos não clínicos (permanentes), imagens Ghost, Uniformidade, Linearidade, SNR, CNR são excelentes parâmetros de acompanhamento do desempenho e desvanecimento do sistema;  É fundamental a formação de linha de base, nos testes de aceitação dos equipamentos digitais, para o acompanhamento correto do sistema;