Sistema Locomotor Professor Rodrigo Nogueira
Sistema Esquelético FUNÇÕES Suporte do corpo. Proteção – sistema nervoso central e órgãos. Movimento – ancoramento muscular. Armazenamento mineral – Cálcio e Fósforo. Hematopoiese.
Constituintes Músculos Inervação Tendões Ligamentos Ossos Articulações Cápsula articular Líquido sinovial (sinóvia)
CÉLULAS DO TECIDO ÓSSEO Osteócitos:  Células adultas ( funcional )  Osteoblastos:  Células jovens ( formação )  Osteoclastos:  Remoção do tecido ósseo  Os canais encontrados nos ossos tem são :  HORIZONTAL:  CANAIS DE VOLKMANN VERTICAL:  CANAIS DE HAVERS
Tecido ósseo –  tecido vivo e dinâmico Compostos inorgânicos:  carbonato de cálcio, fosfato de cálcio e minerais (60-70%) – rigidez. Composto Orgânico –  Colágeno e água (25-30%) - resistência elástica
# Osso Compacto – camada densa externa. # Osso Esponjoso – trabéculas ósseas e medula óssea.
Tecido não homogêneo:  Osso compacto (5-30% tec.  orgânico ) - diáfises e paredes   externas.  Resistem mais à compressão. Osso esponjoso (30-90% tec.  orgânico ) - epífises e   paredes internas. Resistem mais às deformações, oferecem espaço para armazenamento da medula óssea vermelha e amarela.
Sistema Esquelético Classificação dos ossos: Ossos longos. Ossos curtos. Ossos planos ou chatos. Ossos irregulares.
Tipos de ossos
Sistema Esquelético Ossos curtos: osso esponjoso. Ossos planos (laminares ou chatos): Lâmina de osso compacto. Díploe em meio a 2 lâminas de osso compacto. Ossos irregulares: estrutura interna variada. Ossos sesamóides: estrutura similar a dos ossos curtos.
ESTRUTURAS TÍPICAS DE UM OSSO LONGO # Diáfise – eixo do osso (osso compacto circundando uma  cavidade medular central com medula óssea). # Epífise – superfícies articulares cobertas com cartilagem hialina. Disco epifisário está entre diáfise e epífise.
Estrutura do osso longo
Sistema Esquelético Epífises. Diáfise. Periósteo. Endósteo. Medula óssea amarela. Medula óssea vermelha.
Sistema Esquelético ARTICULAÇÕES: Eixos de comunicação entre duas extremidades ósseas
Sistema Esquelético Funções: Movimento. Permitir o crescimento de estruturas internas.
Articulações ESTRUTURA: Tecido fibroso. Cartilagem. Tecido sinovial. FUNÇÃO: Sinartrose = imóvel. Anfiartrose = semi-móvel. Diartrose = móvel.
Sistema Esquelético Fratura. Consolidação: Hematoma. Tecido de granulação. Calo ósseo temporário. Calo ósseo.
Sistema Esquelético Traumas nas articulações: Luxação. Entorse.
ESQUELETO Esqueleto Axial * Crânio. * Ossículos Auditivos. * Osso Hióide. * Coluna Vertebral. * Caixa Torácica. Esqueleto Apendicular * Cintura Escapular. * Cintura Pélvica. * Membros Superiores.   (anteriores) * Membros Inferiores. (posteriores)
Esqueleto Axial: Crânio Coluna Vertebral Ossos fixados à coluna (Costelas) Esterno
CRÂNIO # Formado por três regiões. crânio -> parte superior. rosto -> parte anterior. mandíbula -> parte móvel.
 
COLUNA VERTEBRAL VÉRTEBRAS Cervicais 7 Torácicas 12 Lombares 5 Sacrais 5 Caudal 1 (Coccígea) FUNÇÕES Proteção da medula espinhal. Suporte axial.
Caixa torácica  É formada pela região torácica de coluna vertebral, osso esterno e costelas, que são em número de 12 de cada lado, sendo as 7 primeiras verdadeiras (se inserem diretamente no esterno), 3 falsas (se reúnem e depois se unem ao esterno), e 2 flutuantes (com extremidades anteriores livres, não se fixando ao esterno).
 
ESQUELETO APENDICULAR Cintura Peitoral. Cintura Pélvica. Membros Superiores/Anteriores. Membros Inferiores/Posteriores.
CINTURA PEITORAL Escápula Clavícula # Escápula – fixa no lugar por musculatura. # Clavícula Esterno – articulação esternoclavicular. Escápula – articulação acromioclavicular. # Membros Superiores – articulação glenohumeral.
MEMBRO SUPERIOR Úmero Rádio Ulna Ossos do Carpo Ossos do Metacarpo Falanges (30 ossos)
# HOMEM Ossos maiores e pesados. Superfícies articulares maiores. Inserção de músculos maiores. 45 º de arco púbico. # MULHER Pelve mais larga e rasa. Espaço pélvico maior. 90 º de arco púbico.
MEMBRO INFERIOR (30 ossos) COXA # Fêmur. # Patela. PERNA # Tíbia. # Fíbula. PÉ # Ossos do Tarso. # Ossos do Metatarso. # Falanges.
Sistema Muscular Tecido muscular: Estriado esquelético (Sistema Muscular) Estriado cardíaco (miocárdio). Liso.
Sistema Muscular Funções: Movimento (trofismo). Postura (tônus)
TIPOS DE MÚSCULOS Tecido Muscular Estriados ou Esquelético - Responsáveis pelos movimentos voluntários; Tecido Muscular Liso ou Visceral - Pertence à vida de nutrição (digestão, excreção, etc); involuntários; Músculo Cardíaco ou Miocárdio - Vermelho e estriado, porém, involuntário.
 
ESTRUTURA  DO SISTEMA MÚSCULO ESQUELÉTICO Movimento e a manutenção da postura; Produção de calor; Alterações na quantidade de sangue fornecido às partes corpóreas; Proteção e a alteração da pressão para auxiliar  a circulação;  Absorventes de choques para proteger o corpo. I - FUNÇÕES DO MÚSCULO ESTRIADO OU ESQUELÉTICO
II - MICROESTRURA DOS MÚSCULOS ESQUELÉTICOS O tecido muscular não é constituído apenas por FIBRAS MUSCULARES. Há também o TECIDO CONJUNTIVO que as envolve e se prolongam,  formando os TENDÕES ou APONEUROSES que fixam o músculo a um osso.
Estrutura do músculo
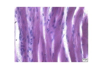
CONSTITUIÇÃO  HISTOLÓGICA DA FIBRA MUSCULAR
Características da fibra muscular
Hipertrofia Muscular Quando uma pessoa ganha massa muscular, ocorre o aumento da quantidade de MIOFIBRILAS que encontram-se dentro das FIBRAS MUSCULARES. As fibras musculares não aumentam em quantidade, apenas se tornam mais espessas e aumentam em força pelo aumento da quantidade de miofibrilas em seu interior.
 
Tecido muscular estriado esquelético Constitui a maior parte da musculatura do corpo, formando o que se chama popularmente de  carne .  Essa musculatura recobre totalmente o esqueleto e está presa aos ossos, sendo responsável pela movimentação corporal.
Como ocorre o movimento? Músculo estriado esquelético :  inervado pelo sistema nervoso periférico somático    constituído por fibras nervosas motoras que conduzem impulsos do sistema nervoso central aos músculos esqueléticos     contração voluntária .
Funcionamento dos Músculos a) Agonistas: São os músculos principais que ativam um movimento específico do corpo, eles se contraem ativamente para produzir um movimento desejado. Ex: Pegar uma chave sobre a mesa, agonistas são os flexores dos dedos.  b) Antagonistas: Músculos que se opõem à ação dos agonistas, quando o agonista se contrai, o antagonista relaxa progressivamente, produzindo um movimento suave. Ex: idem anterior, porém os antagonistas são os extensores dos dedos.  c) Sinergistas: São aqueles que participam estabilizando as articulações para que não ocorram movimentos indesejáveis durante a ação principal. Ex: idem anterior, os sinergistas são estabilizadores do punho, cotovelo e ombro.  d) Fixadores: Estabilizam a origem do agonista de modo que ele possa agir mais eficientemente. Estabilizam a parte proximal do membro quando move-se a parte distal.
Componentes do Músculo a) Ventre Muscular é a porção contrátil do músculo, constituída por fibras musculares que se contraem. Constitui o corpo do músculo (porção carnosa).  b) Tendão é um elemento de tecido conjuntivo, ricos em fibras colágenas e que serve para fixação do ventre, em ossos, no tecido subcutâneo e em cápsulas articulares. Possuem aspecto morfológico de fitas ou de cilindros.  c) Aponeurose é uma estrutura formada por tecido conjuntivo. Membrana que envolve grupos musculares. Geralmente apresenta-se em forma de lâminas ou em leques.
A fadiga muscular Quando uma pessoa realiza um esforço muscular muito intenso, é comum ela ficar cansada e sentir dores na região muscular mais solicitada. É a fadiga muscular, que ocorre por causa do acúmulo de ácido lático no músculo. Em situação de intensa atividade muscular, os músculos estriados esqueléticos necessitam de muita energia. Essa energia é obtida pela  “ queima ”  de alimento com o uso de gás oxigênio. Mas, nesse caso, parte da energia necessária para a atividade muscular é obtida também por um tipo de fermentação, um mecanismo de  “ queima ”  de alimento sem utilização gás oxigênio. A fermentação que ocorre no músculo é chamada fermentação láctica, pois gera ácido láctico como produto final. Após um período de repouso, o ácido láctico presente no músculo da pessoa é  “ queimado ” , e as dores musculares desaparecem.
PESQUISA Pesquise na internet sobre a ação dos anabolizantes no organismo: Como funcionam? Do que são feitos? Quais os efeitos colaterais?
Momento de Descontração Como seriam os esqueletos de alguns personagens de desenhos?
 
 
 
 
 
 
 
 

Sistema Locomotor

  • 1.
  • 2.
    Sistema Esquelético FUNÇÕESSuporte do corpo. Proteção – sistema nervoso central e órgãos. Movimento – ancoramento muscular. Armazenamento mineral – Cálcio e Fósforo. Hematopoiese.
  • 3.
    Constituintes Músculos InervaçãoTendões Ligamentos Ossos Articulações Cápsula articular Líquido sinovial (sinóvia)
  • 4.
    CÉLULAS DO TECIDOÓSSEO Osteócitos: Células adultas ( funcional ) Osteoblastos: Células jovens ( formação ) Osteoclastos: Remoção do tecido ósseo Os canais encontrados nos ossos tem são : HORIZONTAL: CANAIS DE VOLKMANN VERTICAL: CANAIS DE HAVERS
  • 5.
    Tecido ósseo – tecido vivo e dinâmico Compostos inorgânicos: carbonato de cálcio, fosfato de cálcio e minerais (60-70%) – rigidez. Composto Orgânico – Colágeno e água (25-30%) - resistência elástica
  • 6.
    # Osso Compacto– camada densa externa. # Osso Esponjoso – trabéculas ósseas e medula óssea.
  • 7.
    Tecido não homogêneo: Osso compacto (5-30% tec. orgânico ) - diáfises e paredes externas. Resistem mais à compressão. Osso esponjoso (30-90% tec. orgânico ) - epífises e paredes internas. Resistem mais às deformações, oferecem espaço para armazenamento da medula óssea vermelha e amarela.
  • 8.
    Sistema Esquelético Classificaçãodos ossos: Ossos longos. Ossos curtos. Ossos planos ou chatos. Ossos irregulares.
  • 9.
  • 10.
    Sistema Esquelético Ossoscurtos: osso esponjoso. Ossos planos (laminares ou chatos): Lâmina de osso compacto. Díploe em meio a 2 lâminas de osso compacto. Ossos irregulares: estrutura interna variada. Ossos sesamóides: estrutura similar a dos ossos curtos.
  • 11.
    ESTRUTURAS TÍPICAS DEUM OSSO LONGO # Diáfise – eixo do osso (osso compacto circundando uma cavidade medular central com medula óssea). # Epífise – superfícies articulares cobertas com cartilagem hialina. Disco epifisário está entre diáfise e epífise.
  • 12.
  • 13.
    Sistema Esquelético Epífises.Diáfise. Periósteo. Endósteo. Medula óssea amarela. Medula óssea vermelha.
  • 14.
    Sistema Esquelético ARTICULAÇÕES:Eixos de comunicação entre duas extremidades ósseas
  • 15.
    Sistema Esquelético Funções:Movimento. Permitir o crescimento de estruturas internas.
  • 16.
    Articulações ESTRUTURA: Tecidofibroso. Cartilagem. Tecido sinovial. FUNÇÃO: Sinartrose = imóvel. Anfiartrose = semi-móvel. Diartrose = móvel.
  • 17.
    Sistema Esquelético Fratura.Consolidação: Hematoma. Tecido de granulação. Calo ósseo temporário. Calo ósseo.
  • 18.
    Sistema Esquelético Traumasnas articulações: Luxação. Entorse.
  • 19.
    ESQUELETO Esqueleto Axial* Crânio. * Ossículos Auditivos. * Osso Hióide. * Coluna Vertebral. * Caixa Torácica. Esqueleto Apendicular * Cintura Escapular. * Cintura Pélvica. * Membros Superiores. (anteriores) * Membros Inferiores. (posteriores)
  • 20.
    Esqueleto Axial: CrânioColuna Vertebral Ossos fixados à coluna (Costelas) Esterno
  • 21.
    CRÂNIO # Formadopor três regiões. crânio -> parte superior. rosto -> parte anterior. mandíbula -> parte móvel.
  • 22.
  • 23.
    COLUNA VERTEBRAL VÉRTEBRASCervicais 7 Torácicas 12 Lombares 5 Sacrais 5 Caudal 1 (Coccígea) FUNÇÕES Proteção da medula espinhal. Suporte axial.
  • 24.
    Caixa torácica É formada pela região torácica de coluna vertebral, osso esterno e costelas, que são em número de 12 de cada lado, sendo as 7 primeiras verdadeiras (se inserem diretamente no esterno), 3 falsas (se reúnem e depois se unem ao esterno), e 2 flutuantes (com extremidades anteriores livres, não se fixando ao esterno).
  • 25.
  • 26.
    ESQUELETO APENDICULAR CinturaPeitoral. Cintura Pélvica. Membros Superiores/Anteriores. Membros Inferiores/Posteriores.
  • 27.
    CINTURA PEITORAL EscápulaClavícula # Escápula – fixa no lugar por musculatura. # Clavícula Esterno – articulação esternoclavicular. Escápula – articulação acromioclavicular. # Membros Superiores – articulação glenohumeral.
  • 28.
    MEMBRO SUPERIOR ÚmeroRádio Ulna Ossos do Carpo Ossos do Metacarpo Falanges (30 ossos)
  • 29.
    # HOMEM Ossosmaiores e pesados. Superfícies articulares maiores. Inserção de músculos maiores. 45 º de arco púbico. # MULHER Pelve mais larga e rasa. Espaço pélvico maior. 90 º de arco púbico.
  • 30.
    MEMBRO INFERIOR (30ossos) COXA # Fêmur. # Patela. PERNA # Tíbia. # Fíbula. PÉ # Ossos do Tarso. # Ossos do Metatarso. # Falanges.
  • 31.
    Sistema Muscular Tecidomuscular: Estriado esquelético (Sistema Muscular) Estriado cardíaco (miocárdio). Liso.
  • 32.
    Sistema Muscular Funções:Movimento (trofismo). Postura (tônus)
  • 33.
    TIPOS DE MÚSCULOSTecido Muscular Estriados ou Esquelético - Responsáveis pelos movimentos voluntários; Tecido Muscular Liso ou Visceral - Pertence à vida de nutrição (digestão, excreção, etc); involuntários; Músculo Cardíaco ou Miocárdio - Vermelho e estriado, porém, involuntário.
  • 34.
  • 35.
    ESTRUTURA DOSISTEMA MÚSCULO ESQUELÉTICO Movimento e a manutenção da postura; Produção de calor; Alterações na quantidade de sangue fornecido às partes corpóreas; Proteção e a alteração da pressão para auxiliar a circulação; Absorventes de choques para proteger o corpo. I - FUNÇÕES DO MÚSCULO ESTRIADO OU ESQUELÉTICO
  • 36.
    II - MICROESTRURADOS MÚSCULOS ESQUELÉTICOS O tecido muscular não é constituído apenas por FIBRAS MUSCULARES. Há também o TECIDO CONJUNTIVO que as envolve e se prolongam, formando os TENDÕES ou APONEUROSES que fixam o músculo a um osso.
  • 37.
  • 38.
    CONSTITUIÇÃO HISTOLÓGICADA FIBRA MUSCULAR
  • 39.
  • 40.
    Hipertrofia Muscular Quandouma pessoa ganha massa muscular, ocorre o aumento da quantidade de MIOFIBRILAS que encontram-se dentro das FIBRAS MUSCULARES. As fibras musculares não aumentam em quantidade, apenas se tornam mais espessas e aumentam em força pelo aumento da quantidade de miofibrilas em seu interior.
  • 41.
  • 42.
    Tecido muscular estriadoesquelético Constitui a maior parte da musculatura do corpo, formando o que se chama popularmente de carne . Essa musculatura recobre totalmente o esqueleto e está presa aos ossos, sendo responsável pela movimentação corporal.
  • 43.
    Como ocorre omovimento? Músculo estriado esquelético : inervado pelo sistema nervoso periférico somático  constituído por fibras nervosas motoras que conduzem impulsos do sistema nervoso central aos músculos esqueléticos  contração voluntária .
  • 44.
    Funcionamento dos Músculosa) Agonistas: São os músculos principais que ativam um movimento específico do corpo, eles se contraem ativamente para produzir um movimento desejado. Ex: Pegar uma chave sobre a mesa, agonistas são os flexores dos dedos. b) Antagonistas: Músculos que se opõem à ação dos agonistas, quando o agonista se contrai, o antagonista relaxa progressivamente, produzindo um movimento suave. Ex: idem anterior, porém os antagonistas são os extensores dos dedos. c) Sinergistas: São aqueles que participam estabilizando as articulações para que não ocorram movimentos indesejáveis durante a ação principal. Ex: idem anterior, os sinergistas são estabilizadores do punho, cotovelo e ombro. d) Fixadores: Estabilizam a origem do agonista de modo que ele possa agir mais eficientemente. Estabilizam a parte proximal do membro quando move-se a parte distal.
  • 45.
    Componentes do Músculoa) Ventre Muscular é a porção contrátil do músculo, constituída por fibras musculares que se contraem. Constitui o corpo do músculo (porção carnosa). b) Tendão é um elemento de tecido conjuntivo, ricos em fibras colágenas e que serve para fixação do ventre, em ossos, no tecido subcutâneo e em cápsulas articulares. Possuem aspecto morfológico de fitas ou de cilindros. c) Aponeurose é uma estrutura formada por tecido conjuntivo. Membrana que envolve grupos musculares. Geralmente apresenta-se em forma de lâminas ou em leques.
  • 46.
    A fadiga muscularQuando uma pessoa realiza um esforço muscular muito intenso, é comum ela ficar cansada e sentir dores na região muscular mais solicitada. É a fadiga muscular, que ocorre por causa do acúmulo de ácido lático no músculo. Em situação de intensa atividade muscular, os músculos estriados esqueléticos necessitam de muita energia. Essa energia é obtida pela “ queima ” de alimento com o uso de gás oxigênio. Mas, nesse caso, parte da energia necessária para a atividade muscular é obtida também por um tipo de fermentação, um mecanismo de “ queima ” de alimento sem utilização gás oxigênio. A fermentação que ocorre no músculo é chamada fermentação láctica, pois gera ácido láctico como produto final. Após um período de repouso, o ácido láctico presente no músculo da pessoa é “ queimado ” , e as dores musculares desaparecem.
  • 47.
    PESQUISA Pesquise nainternet sobre a ação dos anabolizantes no organismo: Como funcionam? Do que são feitos? Quais os efeitos colaterais?
  • 48.
    Momento de DescontraçãoComo seriam os esqueletos de alguns personagens de desenhos?
  • 49.
  • 50.
  • 51.
  • 52.
  • 53.
  • 54.
  • 55.
  • 56.