MED B58
Patologia do Corpo
Uterino e Ovários
Útero normal
Útero normal
Endométrio
proliferativo
Endométrio
secretor
Adenomiose
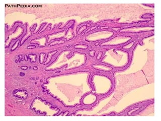
Pólipo endometrial
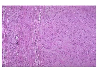
Leiomiomas uterinos
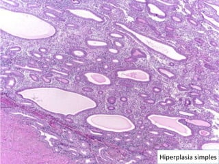
Hiperplasia simples /
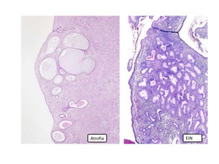
Neoplasia intraepitelial endometrial
Hiperplasia simples
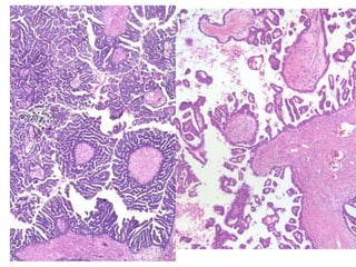
Hiperplasia complexa com atipias / Neoplasia intraepitelial endometrial (EIN)
Hiperplasia complexa com atipias / Neoplasia intraepitelial endometrial (EIN)
Hiperplasia complexa com atipias / Neoplasia intraepitelial endometrial (EIN)
Hiperplasia complexa com atipias / Neoplasia intraepitelial endometrial (EIN)
Hiperplasia complexa com atipias / Neoplasia intraepitelial endometrial (EIN)
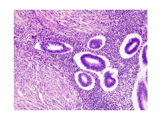
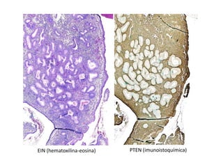
EINAtrofia
EIN (hematoxilina-eosina) PTEN (imunoistoquímica)
Phosphatase and tensin homolog (PTEN)
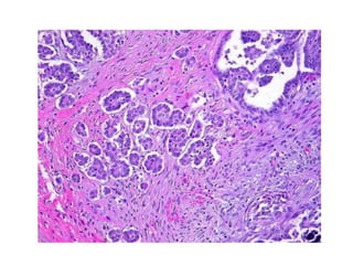
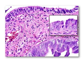
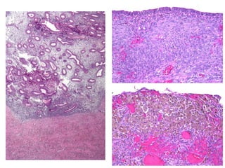
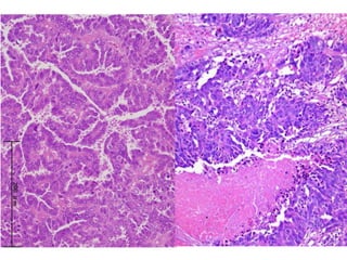
Adenocarcinoma endometrioide
do endométrio
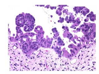
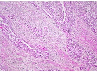
Carcinoma seroso do endométrio
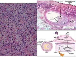
Ovário normal
Corpo lúteo
Cistos paratubários e hidrossalpinge
Síndrome de Ovários Policísticos
Endometriose
Neoplasias do ovário
• Epiteliais
• Germinativas
• Do estroma / Cordão sexual
OMS 2008
Carcinoma seroso do ovário
Tumor seroso atípico / borderline
Tumor seroso benigno (cistoadenoma seroso)
Cistoadenoma mucinoso
Carcinoma mucinoso do ovário
Carcinoma mucinoso do ovário
Tumores germinativos
Teratoma
Teratomas maduros (benignos)
Teratoma imaturo
Teratoma imaturo
BlastemaNeuroectoderma
Tumores germinativos malignos
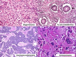
Disgerminoma Tu seio endodérmico
Carcinoma embrionário Coriocarcinoma
Tumor do estroma / cordão sexual
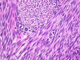
Fibroma / Fibrotecoma
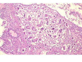
Tumor de células da granulosa
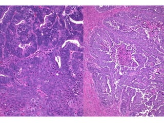
Tumor de células de Sertoli
Fibroma /
Fibrotecoma
Fibroma /
Fibrotecoma
Tumor de células
da granulosa
Tumor de células da granulosa
Tumor de células de Sertoli
No testículo

Patologia do utero_e_ovarios