Incorporar apresentação
Baixado 283 vezes


































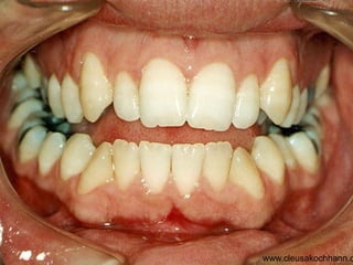
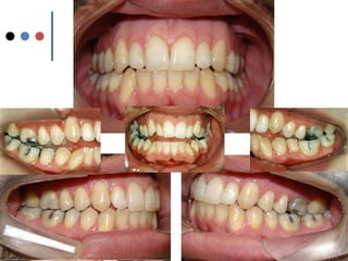
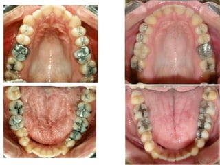
O documento apresenta registros odontológicos de um paciente ao longo de vários anos, incluindo panorâmicas iniciais e subsequentes, remodelações de arcadas dentárias superiores e inferiores ao longo de 7 meses, vedamentos labiais e registros de máxima intercuspidação e guias caninas nas datas listadas.

































