Transfira gratuitamente durante 30 dias
Fazer login
Carregar
Idioma (PT)
Suporte
Negócios
Celular
Mídias sociais
Marketing
Tecnologia
Arte e fotografia
Carreiras
Design
Educação
Apresentações e oratória
Governo e ONGs
Saúde
Internet
Direito
Liderança e gerenciamento
Indústria automotiva
Engenharia
Software
Recrutamento e RH
Varejo
Vendas
Serviços
Ciências
Pequenos negócios e empreendedorismo
Alimentos
Meio ambiente
Economia e finanças
Dados e análise
Relação com investidores
Esportes
Espiritual
Notícias e política
Turismo
Aperfeiçoamento pessoal
Imóveis
Diversão e humor
Saúde e medicina
Dispositivos e hardware
Estilo de vida
Mudar o idioma
Idioma
English
Español
Português
Français
Deutsche
Cancelar
Salvar
PT
CK
Carregado por
Cleusa Kochhann
PPSX, PPTX
2,711 visualizações
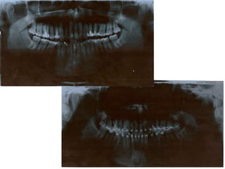
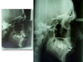
Atresia Maxilar Com Mordida Aberta
Incompetência labial com interposição de língua.
Saúde e medicina
◦
Leia mais
1
Salvar
Compartilhar
Incorporar
Incorporar apresentação
Baixar
Transferir como PPSX, PPTX
1
/ 8
2
/ 8
3
/ 8
4
/ 8
5
/ 8
6
/ 8
7
/ 8
8
/ 8
Mais conteúdo relacionado
PPSX
Mordida Aberta Mordida Cruzada
por
Cleusa Kochhann
PPSX
Apinhamento Com Vedamento Labial
por
Cleusa Kochhann
PPSX
Apinhamento Anterior
por
Cleusa Kochhann
PPSX
Incompetencia Labial
por
Cleusa Kochhann
PPSX
Apinhamento RespiraçãO Bucal
por
Cleusa Kochhann
PDF
Mantenedor de Espaço Estético-Funcional em Odontopediatria - Prótese Fixa ...
por
Fundecto
PPT
Manutenção Espaço
por
kcaurj
PDF
Anestesia em odontopediatria
por
GracieleSonobe1
Mordida Aberta Mordida Cruzada
por
Cleusa Kochhann
Apinhamento Com Vedamento Labial
por
Cleusa Kochhann
Apinhamento Anterior
por
Cleusa Kochhann
Incompetencia Labial
por
Cleusa Kochhann
Apinhamento RespiraçãO Bucal
por
Cleusa Kochhann
Mantenedor de Espaço Estético-Funcional em Odontopediatria - Prótese Fixa ...
por
Fundecto
Manutenção Espaço
por
kcaurj
Anestesia em odontopediatria
por
GracieleSonobe1
Destaque
PPTX
Mordida Abierta
por
Dámaris Betsúa
PPT
Resumo de caso clínico
por
Professor Robson
PDF
Oclusão normal na dentição mista
por
Luana Chagas Miguel
KEY
Traumatismo dental em Odontopediatria
por
Flavio Salomao-Miranda
PPTX
Habitos Orais
por
Janaina Lara
PPTX
Endodontia Em Dentes Deciduos
por
Flavio Salomao-Miranda
PPT
Expansion hyrax
por
Eron
DOCX
Maxilar superior cuerpo
por
DIABLITA_2406
PDF
ORTODONTIA INTERCEPTATIVA: CORREÇAO DA MORDIDA CRUZADA ANTERIOR DENTÁRIA
por
Fundecto
Mordida Abierta
por
Dámaris Betsúa
Resumo de caso clínico
por
Professor Robson
Oclusão normal na dentição mista
por
Luana Chagas Miguel
Traumatismo dental em Odontopediatria
por
Flavio Salomao-Miranda
Habitos Orais
por
Janaina Lara
Endodontia Em Dentes Deciduos
por
Flavio Salomao-Miranda
Expansion hyrax
por
Eron
Maxilar superior cuerpo
por
DIABLITA_2406
ORTODONTIA INTERCEPTATIVA: CORREÇAO DA MORDIDA CRUZADA ANTERIOR DENTÁRIA
por
Fundecto
Mais de Cleusa Kochhann
PDF
Classe III aula
por
Cleusa Kochhann
PPSX
Respiração bucal intrusão dentes anteriores.
por
Cleusa Kochhann
PDF
Ponto gatilho e dor referida.
por
Cleusa Kochhann
PPSX
Apinhamento lateral.
por
Cleusa Kochhann
PPSX
Apinhamento ortopedia + ortodontia..
por
Cleusa Kochhann
PPSX
Crescimento visão funcional.
por
Cleusa Kochhann
PPTX
Articulação temporomandibular
por
Cleusa Kochhann
PPSX
Noções sobre DTM.
por
Cleusa Kochhann
PPSX
Overjet sem cirurgia.
por
Cleusa Kochhann
PPSX
Classe II adulto sem cirurgia.
por
Cleusa Kochhann
PPT
Sindrome Respiração bucal
por
Cleusa Kochhann
Classe III aula
por
Cleusa Kochhann
Respiração bucal intrusão dentes anteriores.
por
Cleusa Kochhann
Ponto gatilho e dor referida.
por
Cleusa Kochhann
Apinhamento lateral.
por
Cleusa Kochhann
Apinhamento ortopedia + ortodontia..
por
Cleusa Kochhann
Crescimento visão funcional.
por
Cleusa Kochhann
Articulação temporomandibular
por
Cleusa Kochhann
Noções sobre DTM.
por
Cleusa Kochhann
Overjet sem cirurgia.
por
Cleusa Kochhann
Classe II adulto sem cirurgia.
por
Cleusa Kochhann
Sindrome Respiração bucal
por
Cleusa Kochhann
Último
PPTX
aulasemiologiageralaaaaaaaaaaaaaaaaaaaaaaa
por
BrunoMathias13
PPTX
Integração Saúde Ocupacional e Ergonomia -.pptx
por
RodrigoCastro132716
PPTX
TREINAMENTO NR 35.pptx SEGURANCA 123LIFEMED
por
seguranca316
DOC
acupuntura para el abdomendown.631197484934.doc
por
joseantonio972377
PPTX
845979690-Propedeutica-Dermatologica-Lesoes-Elementares.pptx
por
bruno22mosk9
PPTX
CAPACITAÇÃO CURATIVOS E SUTURAS ********
por
canalpaideia
PPTX
Aula_Hipospádia_Epispádia_Criptorquia.pptx
por
geissykellycon
aulasemiologiageralaaaaaaaaaaaaaaaaaaaaaaa
por
BrunoMathias13
Integração Saúde Ocupacional e Ergonomia -.pptx
por
RodrigoCastro132716
TREINAMENTO NR 35.pptx SEGURANCA 123LIFEMED
por
seguranca316
acupuntura para el abdomendown.631197484934.doc
por
joseantonio972377
845979690-Propedeutica-Dermatologica-Lesoes-Elementares.pptx
por
bruno22mosk9
CAPACITAÇÃO CURATIVOS E SUTURAS ********
por
canalpaideia
Aula_Hipospádia_Epispádia_Criptorquia.pptx
por
geissykellycon
Atresia Maxilar Com Mordida Aberta
1.
Atresia maxilarMordida aberta
anterior
Baixar