Incorporar apresentação
Baixado 31 vezes






















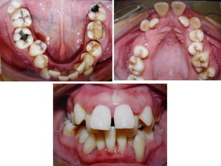
O documento descreve o tratamento de um paciente com incompetência labial, interferência lingual e deglutição atípica ao longo de vários anos, incluindo o uso de placas, remodelação transversal e guias de oclusão para corrigir problemas de alinhamento e contato dental. O paciente continuou com hábitos bucais indesejados apesar dos tratamentos realizados.





















