Incorporar apresentação
Transferir como PPSX, PPTX













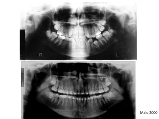
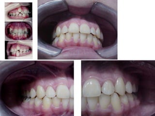
O documento descreve um caso de apinhamento dentário tratado sem extrações. O paciente apresentava asma, respiração bucal e língua hipotônica devido ao apinhamento. O tratamento envolveu remodelação dos dentes sem extrair nenhum, corrigindo o desvio de linha média.












