CAM Dra. Cássia Aldrin de Mello
IHST IV DE BOVINOS :
Inspeção post-mortem: esquema de trabalho nas
Linhas de Inspeção e Inspeção Final
Inspeção post-mortem:
 Exame rotineiro e obrigatório feito em carcaça e vísceras para
detectar macroscopicamente alterações que denunciem
patologias/alterações
 Característica especial: inspeção individual – feita em um a
um dos bovinos
 IMPORTANTE: é feito pelos auxiliares do veterinário (Inspeção
de Linha) e pelo AFFA ou veterinário (Inspeção Final)
Objetivos da Inspeção post-
mortem:
 Proteger a Saúde Pública
 Formar quadro nosológico de determinada região;
 Divide-se em:
- Inspeção de Linha = obrigatória e em 100% das
carcaças/vísceras
- Inspeção Final = só se necessário, feita no DIF
- Caso o boi não apresente qualquer alteração durante
sua inspeção nas linhas, não será desviado para o DIF,
logo, esta inspeção nem sempre ocorre.
O que é feito na Inspeção post-
mortem:
 Exame de sangue e órgãos (exame visual, não laboratorial!)
 Exame da cabeça, língua, músculos mastigadores, gânglios
linfáticos correspondentes e glândulas salivares,
 Exame das cavidades torácica e abdominal e gânglios/órgãos
correspondentes,
 Exame geral da carcaça, serosas, gânglios, músculos superficiais e
profundos, estado nutricional
Linhas de Inspeção post-mortem
de bovinos:
■ São pontos eleitos dentro do fluxograma de abate, aonde atuam
os agentes da inspeção. Em patologias com implicação para a
carcaça, enviar toda a carcaça para o DIF.
● Linha A: pés;
● Linha B: conjunto cabeça-língua;
● Linha C: cronologia dentária (facultativa);
● Linha D: vísceras do TGI, baço, pâncreas, bexiga e útero;
● Linha E: fígado;
● Linha F: pulmões e coração;
● Linha G: rins;
● Linha H: faces externa e interna da parte caudal das meias-
carcaças;
● Linha I: faces externa e interna da parte cranial das meias-
carcaças;
● Linha J:carimbagem.
♣ em pequenos matadouros (até 50 bois/h), as linhas E e F
podem se agrupar bem como G,H e I, ou seja, um mesmo
funcionário pode executar estas linhas.
Examinar sempre, após a incisão:
 Gânglios inguinais (macho) ou retromamários (fêmeas),
 Gânglios ilíacos,
 Gânglios pré-crurais,
 Gânglios pré-peitorais,
 Gânglios pré-escapulares,
 Isquiáticos
 Feito nos 4 pés, assegurar a relação de origem
entre carcaça e pés (marcação sistemática);
 Preparação: desarticular e esfolar os mocotós,
numerá-los e levá-los à mesa;
 Exame: lavá-los e examinar visualmente. Lesões
de Aftosa (marcar o animal com a chapinha Tipo 3
(vide aula passada) e condenar os pés e outras
regiões com lesão).
Linha A: exame dos pés:
Linha A: exame dos pés:
Preparação da cabeça e língua:
♦ serrar os chifres, esfolar a cabeça, oclusão do esôfago,
desarticulação da cabeça;
♦ numerar a cabeça e atlas;
♦ lavar o conjunto com água sob pressão (6 atm);
♦ liberar a língua das articulações e deixá-la presa pelo frênulo
lingual;
♦ levar o conjunto para a nórea e pendurá-lo pelo mento
(queixo).
Linha B: exame do conjunto
cabeça-língua:
Linha B: exame do conjunto
cabeça-língua:
 Exame da cabeça:
♦ incidir sagitalmente nos músculos massetéricos e pterigóides
profundamente e com cortes duplos (expor bem a musculatura para
procurar cisticercos),
♦ incidir longitudinalmente nos nodos linfáticos parotidianos e
glândulas parótidas,
♦ observar a cor das mucosas e forame magnum,
♦ em lesão com implicação para a carcaça – marcar o local a
chapinha tipo 2 e comunicar as outras linhas para separarem
vísceras/carcaça para o DIF (vide aula passada).
Exame da língua:
♦ Examinar as musculaturas intrínseca e extrínseca da
língua por palpação e incidir longitudinalmente os nodos
regionais (retrofaríngeos, sublinguais e atloidianos),
♦ Extirpar as tonsilas,
♦ Se o animal estiver com a chapinha Tipo 3 – mandar a
língua para AC (calor) se o estabelecimento puder
aproveitá-la, caso contrário CT.
Linha B: exame do conjunto
cabeça-língua:
Músculo
Masséter
Linfonodo
Parotídeo
Linfonodo
Sublingual
Linfonodos
Retrofaríngeos
Músculo
Pterigóideo
PAPELETA DE LINHA B
(esta não tem número)
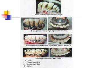
Linha C : Cronologia Dentária
Esse exame tem como objetivo determinar a
idade aproximada dos animais abatidos,
levando-se em conta a queda dos dentes de
leite, o aparecimento, crescimento e
desgaste dos dentes permanentes. É uma
linha facultativa, geralmente utilizada em
estabelecimentos habilitados à exportação ou
para estudos zootécnicos – econômicos ou
sanitários.
Anotar dados na Papeleta modelo 3
Pinças
1º Médios
2º Médios
Cantos ou
Extremos
3-4 anos
4-5 anos
≥ 5 anos
 Preparação:
♦ Retirar as vísceras abdominais de uma só vez (exceto
fígado e rins), e bexiga e útero (fêmeas) sem perfurá-las
Linha D: exame do TGI, baço, pâncreas,
bexiga e útero:
 Exame:
♦ Palpar as vísceras e incidir nos nodos linfáticos
mesentéricos (mínimo 10), examinar esôfago (cisticercos)
e demais vísceras. Cortes somente se necessário (senão
pode contaminar com conteúdo gastrintestinal).
♦ Reter na área de espera da mesa as peças liberadas até que
as linhas E, F, G, H e I do animal sejam liberadas
♦ Peças condenadas vão por chutes à graxaria,
♦ Condenar vísceras com lesões localizadas sem implicação
com a carcaça (ex. oesofagóstomos) – condenar e anotar na
papeleta modelo 4,
Linha D: exame do TGI, baço, pâncreas,
bexiga e útero:
♦ Em lesões com implicação com a carcaça – marcar o local da
lesão com a chapinha Tipo 2 e o intestino (na altura do
pâncreas) com a chapinha Tipo 1, avisar as outras Linhas
para marcar e levar tudo ao DIF (vide aula 5 de marcação)
♦ As peças liberadas vão à bucharia e triparia, após separação
de intestinos, estômagos e esôfago (pré-amarrados),
♦ Carcaças contaminadas por conteúdo do TGI – marcar no
peito com a chapinha Tipo 2 e levar ao DIF, se preciso.(vide
aula 5)
Linha D: exame do TGI, baço, pâncreas,
bexiga e útero:
Anotar dados na Papeleta modelo 4
 Preparação:
♦ Retirar o fígado com nodos regionais e lavá-lo com água morna (38-40°C)
Exame:
♦ Palpar, cortar e comprimir os ductos biliares, incidir
longitudinalmente nos nodos regionais e examinar a vesícula biliar,
♦ Em lesões localizadas sem implicação com a carcaça – condenar o
fígado e anotar na papeleta,
♦ Em lesões com implicação da carcaça – marcar o local da lesão
(chapinha Tipo 2) e veia porta com a chapinha Tipo 1 e avisar outras
Linhas para marcação e separação do resto para envio ao DIF.
Linha E: exame do fígado:
Anotar dados na Papeleta modelo 4
 Preparação:
♦ Retirar os pulmões com traquéia e o coração, depositando-os na mesa.
Exame dos pulmões:
♦ Visual, palpar e cortar longitudinalmente os nodos linfáticos regionais
(APICAL, ESOFAGIANO, TRAQUEOBRÔNQUICOS E MEDIASTINAIS),
♦ Incidir na base dos brônquios e visualizar a luz e mucosa brônquica
(vômito, sangue, etc.),
♦ Em lesões com implicação da carcaça – marcar o local da lesão com a
chapinha Tipo 2 e pulmão esquerdo com a Tipo 1, avisar as outras
Linhas e enviar tudo ao DIF.
* É comum pedir em concursos nomes dos nodos linfáticos de cada linha.
Linha F: exame dos pulmões e coração:
Linha F: exame dos pulmões e
coração:
Exame do coração:
♦ Visualizar o coração e saco pericárdico, separando-os dos pulmões,
♦ Incidir no saco pericárdico e examinar o miocárdio (sob água quente a 38-
40°C - pesquisar cisticercose),
♦ seccionar os grandes vasos da base
♦ Incidir no coração (lados direito e esquerdo) da base ao ápice e expor as
cavidades átrio-ventriculares,
♦ Em lesões com implicação da carcaça – marcar o local da lesão com a
chapinha Tipo 2 e pulmão esquerdo com a Tipo 1 (em cisticercose marcar o
coração com a chapinha Tipo 1), avisar as outras Linhas e enviar tudo ao
DIF.
Anotar dados na Papeleta modelo 4
Papeleta modelo 4: Linhas D, E e F
Linha G: exame dos rins:
Preparação:
♦ Após a separação da carcaça em meias-carcaças, liberar os rins da
cápsula e gordura peri-renal e examiná-los por palpação sem tirá-
los da carcaça.
Exame dos rins:
♦ Visualizar os rins e supra renais, cortar só se preciso,
♦ Condenar os rins com lesão localizada (congestão, cisto, isquemia..)
sem implicação para a carcaça e anotar na papeleta mod. 5 (sem
desviar a carcaça),
♦ Em lesão com implicação com a carcaça(vide aula 5) – colocar a
chapinha Tipo 2 no local da lesão (sem tirá-lo da carcaça) e desviar
a carcaça e avisar às outras Linhas para irem ao DIF.
;[
Papeleta modelo 5
Linha H: exame das faces interna e
externa da parte caudal das meias-
carcaças:
PREPARAÇÃO:
♦ Serrar a carcaça no sentido longitudinal mediano da região do
atlas até a sacrococcígea, abrangendo o esterno e originando 2
meias-carcaças.
EXAME:
♦ Visualizar musculatura interna e externa,
♦ Observar o aspecto, coloração, peritônio, cavidades, superfície
óssea e articulações,
♦ Incidir nos linfonodos inguinal (nos machos) ou retromamário
(nas fêmeas), pré-crural, ilíaco e isquiático,
Linha H: exame das faces interna e
externa da parte caudal das meias-
carcaças:
♦ Em lesão localizada (contaminação, edema, hematoma, etc.) –
ablação da lesão e liberação da meia-carcaça na nória,
♦ Em lesões/contaminações mais pronunciadas que devam ir ao DIF –
marcar o local da lesão com a chapinha Tipo 2 (ou o peito se as lesões
forem extensas) (vide aula passada) e desviar as meias-carcaças para
o DIF.
♦ Examinar úberes, vergalho, testículos e cavidades em geral.
DIANTEIRO
TRASEIRO
TRASEIRO
DIANTEIRO
Linha I: exame das faces interna e
externa da parte cranial das meias-
carcaças:
PREPARAÇÃO:
♦ Já está preparada quando no preparo da Linha H.
EXAME:
♦ Visualizar musculatura interna e externa,
♦ Observar o aspecto, coloração, pleura, cavidades, superfície óssea e
articulações,diafragma
♦ Incidir nos linfonodos pré-peitorais e pré-escapulares,
♦ Examinar o ligamento cervical – (ver suspeita de brucelose, onde
apresentaria rigidez neste ligamento),
♦ Em lesões/contaminações mais pronunciadas que devam ir ao DIF –
marcar o local da lesão com a chapinha Tipo 2 (ou o peito se as lesões
forem extensas) (vide aula passada) e desviar as meias-carcaças para
o DIF.
♦ Consumo in natura: carimbar com carimbo
modelo 1 coxão, lombo, paleta e ponta de agulha
(PA) (vide aula passada como é carimbada)
♦ Aftosa – retirar chapinha Tipo 3 e carimbar com o
carimbo modelo 1 e NE ao lado da cada um.
Devem ficar em câmaras frias próprias
Linha J: carimbagem das meias-
carcaças
 CARIMBO MOD. 1
INSPEÇÃO FINAL
 Para o DIF são enviadas:
1) carcaças, vísceras e cabeça de animais que foram
marcados nas Linhas e desviados por alguma
alteração;
2) Carcaças, vísceras e cabeças de animais de
Matança de Emergência (envio obrigatório)
3) Eventualmente são enviadas as carcaças com
lersões/contaminações extensas (com a chapinha
Tipo 2 no peito) (em lesões extensas que
impossibilitaram sua excisão nas Linhas H e I, para
não atrapalhar o trânsito).
INSPEÇÃO FINAL
 O exame no DIF é feito somente pelo AFFA ou veterinário e
consiste de uma completa e atenta revisão das Linhas,
complementadas por incisões - se necessárias;
- Anotação na papeleta modelo 7 e para abate de emergência usar
a papeleta mod. 8 além do verso da papeleta mod. 2 que contém
o registro das peças liberadas no DIF;
 Após o julgamento, as carcaças são marcadas e carimbadas de
acordo com o destino e preenchida a papeleta modelo 6
(papeleta de Controle de Carcaças destinadas ao AC).
papeleta mod. 7
Verso da papeleta
mod. 7
Papeleta
mod. 8
Papeleta modelo 6:
Controle de
carcaças para AC
(controlada pelo
plantão)
COMO É FEITA A INSPEÇÃO FINAL
 A Inspeção Final sumariamente consiste de:
- Exame da cabeça: verificação das superfícies expostas e novos cortes
+ revisão dos linfonodos e gl. parótida;
- Exame da língua (separada da cabeça): palpação, exame visual,
revisão dos linfonodos Retrofaríngeos, Sublinguais e Atloidiano, cortes
longitudinais ventrais para pesquisa de cisticercos e corte profundo
ventral para língua destinada ao tto pelo calor;
- Exame dos pulmões e coração: revisão dos linfonodos, palpação e
corte do parênquima pulmonar, exame dos brônquios, desfolhar o
coração (cisticercos);
- Exame do fígado: reexaminar, palpar, revisão dos nodos, cortes
profundos nó órgão se a causa de apreensão foi nele;
- Exame do baço: visual, palpação e cortes no parênquima;
- Exame dos estômagos, intestinos, pâncreas, bexiga e útero: palpação e
reexaminar os órgãos, incisão em mais linfonodos mesentéricos se foi a
causa da apreensão;
- Exame das meias-carcaças: estado geral, cor, serosas, articulações, cor
de medula, gordura, cartilagem xifóide e interior de vasos (icterícia),
cortar longitudinalmente diafragma e lombinho (cisticercos), revisão dos
nodos linfáticos das linhas H e I e incidir nos nodos POPLÍTEOS, SUPRA-
ESTERNAL, COSTO-CERVICAL E SUB-ESCAPULARES.
- Exame dos rins: exame dos nodos renais, verificar cor, volume e incidir
longitudinalmente no parênquima do órgão (cortical e medular);
- Se necessário, coletar material para exame laboratorial e sequestro de
carcaças até conhecimento do laudo.
- ART 109 ATUAL: DÚVIDA NO DIAGNÓSTICO DE PROCESSO
SEPTICÊMICO , PRINCIPALMENTE EM INFLAMAÇÃO DE INTESTINOS,
ÚBERE, ÚTERO, ARTICULAÇÕES, PULMÕES, PLEURA, PERITÔNIO...OU
LESÕES SUPURADAS E GANGRENOSAS.
CAM Dra. Cássia Aldrin de Mello
Esta é a foto de uma marcação da carcaça feita de
forma manual, onde, de forma simples, anotamos o
destino da carcaça, causa e data. Amarramos na perna
da carcaça antes de coloca-la na câmara de sequestro.
Aula passada mostrei uma foto feita de forma
informatizada, com etiqueta impressa. Mesma coisa!
A inspeção Final é na verdade uma reinspeção, mas agora
feita só por um veterinário. E aqui são feitos mais cortes
nas vísceras, são examinados mais nodos linfáticos, tudo
visando chegar a um diagnóstico (julgamento) que dê
segurança ao produto obtido para consumo. Após o
julgamento dado pelo veterinário, ali mesmo no DIF as
carcaças são marcadas e carimbadas, sendo desviadas para
a câmara de sequestro (se forem para AC), ou saem
normalmente do DIF para a toalete, pesagem e banho,
para seguirem à câmara de resfriamento do
estabelecimento.
FIM
OBRIGADA

LINHAS DE INSPEÇÃO DE BOVINOS.pdf

  • 1.
    CAM Dra. CássiaAldrin de Mello IHST IV DE BOVINOS : Inspeção post-mortem: esquema de trabalho nas Linhas de Inspeção e Inspeção Final
  • 2.
    Inspeção post-mortem:  Examerotineiro e obrigatório feito em carcaça e vísceras para detectar macroscopicamente alterações que denunciem patologias/alterações  Característica especial: inspeção individual – feita em um a um dos bovinos  IMPORTANTE: é feito pelos auxiliares do veterinário (Inspeção de Linha) e pelo AFFA ou veterinário (Inspeção Final)
  • 3.
    Objetivos da Inspeçãopost- mortem:  Proteger a Saúde Pública  Formar quadro nosológico de determinada região;  Divide-se em: - Inspeção de Linha = obrigatória e em 100% das carcaças/vísceras - Inspeção Final = só se necessário, feita no DIF - Caso o boi não apresente qualquer alteração durante sua inspeção nas linhas, não será desviado para o DIF, logo, esta inspeção nem sempre ocorre.
  • 4.
    O que éfeito na Inspeção post- mortem:  Exame de sangue e órgãos (exame visual, não laboratorial!)  Exame da cabeça, língua, músculos mastigadores, gânglios linfáticos correspondentes e glândulas salivares,  Exame das cavidades torácica e abdominal e gânglios/órgãos correspondentes,  Exame geral da carcaça, serosas, gânglios, músculos superficiais e profundos, estado nutricional
  • 5.
    Linhas de Inspeçãopost-mortem de bovinos: ■ São pontos eleitos dentro do fluxograma de abate, aonde atuam os agentes da inspeção. Em patologias com implicação para a carcaça, enviar toda a carcaça para o DIF. ● Linha A: pés; ● Linha B: conjunto cabeça-língua; ● Linha C: cronologia dentária (facultativa); ● Linha D: vísceras do TGI, baço, pâncreas, bexiga e útero; ● Linha E: fígado;
  • 6.
    ● Linha F:pulmões e coração; ● Linha G: rins; ● Linha H: faces externa e interna da parte caudal das meias- carcaças; ● Linha I: faces externa e interna da parte cranial das meias- carcaças; ● Linha J:carimbagem. ♣ em pequenos matadouros (até 50 bois/h), as linhas E e F podem se agrupar bem como G,H e I, ou seja, um mesmo funcionário pode executar estas linhas.
  • 7.
    Examinar sempre, apósa incisão:  Gânglios inguinais (macho) ou retromamários (fêmeas),  Gânglios ilíacos,  Gânglios pré-crurais,  Gânglios pré-peitorais,  Gânglios pré-escapulares,  Isquiáticos
  • 8.
     Feito nos4 pés, assegurar a relação de origem entre carcaça e pés (marcação sistemática);  Preparação: desarticular e esfolar os mocotós, numerá-los e levá-los à mesa;  Exame: lavá-los e examinar visualmente. Lesões de Aftosa (marcar o animal com a chapinha Tipo 3 (vide aula passada) e condenar os pés e outras regiões com lesão). Linha A: exame dos pés:
  • 9.
    Linha A: examedos pés:
  • 11.
    Preparação da cabeçae língua: ♦ serrar os chifres, esfolar a cabeça, oclusão do esôfago, desarticulação da cabeça; ♦ numerar a cabeça e atlas; ♦ lavar o conjunto com água sob pressão (6 atm); ♦ liberar a língua das articulações e deixá-la presa pelo frênulo lingual; ♦ levar o conjunto para a nórea e pendurá-lo pelo mento (queixo). Linha B: exame do conjunto cabeça-língua:
  • 12.
    Linha B: examedo conjunto cabeça-língua:  Exame da cabeça: ♦ incidir sagitalmente nos músculos massetéricos e pterigóides profundamente e com cortes duplos (expor bem a musculatura para procurar cisticercos), ♦ incidir longitudinalmente nos nodos linfáticos parotidianos e glândulas parótidas, ♦ observar a cor das mucosas e forame magnum, ♦ em lesão com implicação para a carcaça – marcar o local a chapinha tipo 2 e comunicar as outras linhas para separarem vísceras/carcaça para o DIF (vide aula passada).
  • 16.
    Exame da língua: ♦Examinar as musculaturas intrínseca e extrínseca da língua por palpação e incidir longitudinalmente os nodos regionais (retrofaríngeos, sublinguais e atloidianos), ♦ Extirpar as tonsilas, ♦ Se o animal estiver com a chapinha Tipo 3 – mandar a língua para AC (calor) se o estabelecimento puder aproveitá-la, caso contrário CT. Linha B: exame do conjunto cabeça-língua:
  • 17.
  • 19.
    PAPELETA DE LINHAB (esta não tem número)
  • 20.
    Linha C :Cronologia Dentária Esse exame tem como objetivo determinar a idade aproximada dos animais abatidos, levando-se em conta a queda dos dentes de leite, o aparecimento, crescimento e desgaste dos dentes permanentes. É uma linha facultativa, geralmente utilizada em estabelecimentos habilitados à exportação ou para estudos zootécnicos – econômicos ou sanitários. Anotar dados na Papeleta modelo 3
  • 21.
  • 23.
  • 24.
  • 25.
  • 26.
     Preparação: ♦ Retiraras vísceras abdominais de uma só vez (exceto fígado e rins), e bexiga e útero (fêmeas) sem perfurá-las Linha D: exame do TGI, baço, pâncreas, bexiga e útero:
  • 27.
     Exame: ♦ Palparas vísceras e incidir nos nodos linfáticos mesentéricos (mínimo 10), examinar esôfago (cisticercos) e demais vísceras. Cortes somente se necessário (senão pode contaminar com conteúdo gastrintestinal). ♦ Reter na área de espera da mesa as peças liberadas até que as linhas E, F, G, H e I do animal sejam liberadas ♦ Peças condenadas vão por chutes à graxaria, ♦ Condenar vísceras com lesões localizadas sem implicação com a carcaça (ex. oesofagóstomos) – condenar e anotar na papeleta modelo 4, Linha D: exame do TGI, baço, pâncreas, bexiga e útero:
  • 28.
    ♦ Em lesõescom implicação com a carcaça – marcar o local da lesão com a chapinha Tipo 2 e o intestino (na altura do pâncreas) com a chapinha Tipo 1, avisar as outras Linhas para marcar e levar tudo ao DIF (vide aula 5 de marcação) ♦ As peças liberadas vão à bucharia e triparia, após separação de intestinos, estômagos e esôfago (pré-amarrados), ♦ Carcaças contaminadas por conteúdo do TGI – marcar no peito com a chapinha Tipo 2 e levar ao DIF, se preciso.(vide aula 5) Linha D: exame do TGI, baço, pâncreas, bexiga e útero: Anotar dados na Papeleta modelo 4
  • 31.
     Preparação: ♦ Retiraro fígado com nodos regionais e lavá-lo com água morna (38-40°C) Exame: ♦ Palpar, cortar e comprimir os ductos biliares, incidir longitudinalmente nos nodos regionais e examinar a vesícula biliar, ♦ Em lesões localizadas sem implicação com a carcaça – condenar o fígado e anotar na papeleta, ♦ Em lesões com implicação da carcaça – marcar o local da lesão (chapinha Tipo 2) e veia porta com a chapinha Tipo 1 e avisar outras Linhas para marcação e separação do resto para envio ao DIF. Linha E: exame do fígado: Anotar dados na Papeleta modelo 4
  • 34.
     Preparação: ♦ Retiraros pulmões com traquéia e o coração, depositando-os na mesa. Exame dos pulmões: ♦ Visual, palpar e cortar longitudinalmente os nodos linfáticos regionais (APICAL, ESOFAGIANO, TRAQUEOBRÔNQUICOS E MEDIASTINAIS), ♦ Incidir na base dos brônquios e visualizar a luz e mucosa brônquica (vômito, sangue, etc.), ♦ Em lesões com implicação da carcaça – marcar o local da lesão com a chapinha Tipo 2 e pulmão esquerdo com a Tipo 1, avisar as outras Linhas e enviar tudo ao DIF. * É comum pedir em concursos nomes dos nodos linfáticos de cada linha. Linha F: exame dos pulmões e coração:
  • 36.
    Linha F: examedos pulmões e coração: Exame do coração: ♦ Visualizar o coração e saco pericárdico, separando-os dos pulmões, ♦ Incidir no saco pericárdico e examinar o miocárdio (sob água quente a 38- 40°C - pesquisar cisticercose), ♦ seccionar os grandes vasos da base ♦ Incidir no coração (lados direito e esquerdo) da base ao ápice e expor as cavidades átrio-ventriculares, ♦ Em lesões com implicação da carcaça – marcar o local da lesão com a chapinha Tipo 2 e pulmão esquerdo com a Tipo 1 (em cisticercose marcar o coração com a chapinha Tipo 1), avisar as outras Linhas e enviar tudo ao DIF. Anotar dados na Papeleta modelo 4
  • 39.
    Papeleta modelo 4:Linhas D, E e F
  • 40.
    Linha G: examedos rins: Preparação: ♦ Após a separação da carcaça em meias-carcaças, liberar os rins da cápsula e gordura peri-renal e examiná-los por palpação sem tirá- los da carcaça. Exame dos rins: ♦ Visualizar os rins e supra renais, cortar só se preciso, ♦ Condenar os rins com lesão localizada (congestão, cisto, isquemia..) sem implicação para a carcaça e anotar na papeleta mod. 5 (sem desviar a carcaça), ♦ Em lesão com implicação com a carcaça(vide aula 5) – colocar a chapinha Tipo 2 no local da lesão (sem tirá-lo da carcaça) e desviar a carcaça e avisar às outras Linhas para irem ao DIF.
  • 42.
  • 43.
    Linha H: examedas faces interna e externa da parte caudal das meias- carcaças: PREPARAÇÃO: ♦ Serrar a carcaça no sentido longitudinal mediano da região do atlas até a sacrococcígea, abrangendo o esterno e originando 2 meias-carcaças. EXAME: ♦ Visualizar musculatura interna e externa, ♦ Observar o aspecto, coloração, peritônio, cavidades, superfície óssea e articulações, ♦ Incidir nos linfonodos inguinal (nos machos) ou retromamário (nas fêmeas), pré-crural, ilíaco e isquiático,
  • 44.
    Linha H: examedas faces interna e externa da parte caudal das meias- carcaças: ♦ Em lesão localizada (contaminação, edema, hematoma, etc.) – ablação da lesão e liberação da meia-carcaça na nória, ♦ Em lesões/contaminações mais pronunciadas que devam ir ao DIF – marcar o local da lesão com a chapinha Tipo 2 (ou o peito se as lesões forem extensas) (vide aula passada) e desviar as meias-carcaças para o DIF. ♦ Examinar úberes, vergalho, testículos e cavidades em geral.
  • 45.
  • 46.
  • 48.
    Linha I: examedas faces interna e externa da parte cranial das meias- carcaças: PREPARAÇÃO: ♦ Já está preparada quando no preparo da Linha H. EXAME: ♦ Visualizar musculatura interna e externa, ♦ Observar o aspecto, coloração, pleura, cavidades, superfície óssea e articulações,diafragma ♦ Incidir nos linfonodos pré-peitorais e pré-escapulares, ♦ Examinar o ligamento cervical – (ver suspeita de brucelose, onde apresentaria rigidez neste ligamento), ♦ Em lesões/contaminações mais pronunciadas que devam ir ao DIF – marcar o local da lesão com a chapinha Tipo 2 (ou o peito se as lesões forem extensas) (vide aula passada) e desviar as meias-carcaças para o DIF.
  • 50.
    ♦ Consumo innatura: carimbar com carimbo modelo 1 coxão, lombo, paleta e ponta de agulha (PA) (vide aula passada como é carimbada) ♦ Aftosa – retirar chapinha Tipo 3 e carimbar com o carimbo modelo 1 e NE ao lado da cada um. Devem ficar em câmaras frias próprias Linha J: carimbagem das meias- carcaças
  • 51.
  • 52.
    INSPEÇÃO FINAL  Parao DIF são enviadas: 1) carcaças, vísceras e cabeça de animais que foram marcados nas Linhas e desviados por alguma alteração; 2) Carcaças, vísceras e cabeças de animais de Matança de Emergência (envio obrigatório) 3) Eventualmente são enviadas as carcaças com lersões/contaminações extensas (com a chapinha Tipo 2 no peito) (em lesões extensas que impossibilitaram sua excisão nas Linhas H e I, para não atrapalhar o trânsito).
  • 53.
    INSPEÇÃO FINAL  Oexame no DIF é feito somente pelo AFFA ou veterinário e consiste de uma completa e atenta revisão das Linhas, complementadas por incisões - se necessárias; - Anotação na papeleta modelo 7 e para abate de emergência usar a papeleta mod. 8 além do verso da papeleta mod. 2 que contém o registro das peças liberadas no DIF;  Após o julgamento, as carcaças são marcadas e carimbadas de acordo com o destino e preenchida a papeleta modelo 6 (papeleta de Controle de Carcaças destinadas ao AC).
  • 54.
  • 55.
  • 56.
  • 57.
    Papeleta modelo 6: Controlede carcaças para AC (controlada pelo plantão)
  • 58.
    COMO É FEITAA INSPEÇÃO FINAL  A Inspeção Final sumariamente consiste de: - Exame da cabeça: verificação das superfícies expostas e novos cortes + revisão dos linfonodos e gl. parótida; - Exame da língua (separada da cabeça): palpação, exame visual, revisão dos linfonodos Retrofaríngeos, Sublinguais e Atloidiano, cortes longitudinais ventrais para pesquisa de cisticercos e corte profundo ventral para língua destinada ao tto pelo calor; - Exame dos pulmões e coração: revisão dos linfonodos, palpação e corte do parênquima pulmonar, exame dos brônquios, desfolhar o coração (cisticercos);
  • 59.
    - Exame dofígado: reexaminar, palpar, revisão dos nodos, cortes profundos nó órgão se a causa de apreensão foi nele; - Exame do baço: visual, palpação e cortes no parênquima; - Exame dos estômagos, intestinos, pâncreas, bexiga e útero: palpação e reexaminar os órgãos, incisão em mais linfonodos mesentéricos se foi a causa da apreensão; - Exame das meias-carcaças: estado geral, cor, serosas, articulações, cor de medula, gordura, cartilagem xifóide e interior de vasos (icterícia), cortar longitudinalmente diafragma e lombinho (cisticercos), revisão dos nodos linfáticos das linhas H e I e incidir nos nodos POPLÍTEOS, SUPRA- ESTERNAL, COSTO-CERVICAL E SUB-ESCAPULARES.
  • 60.
    - Exame dosrins: exame dos nodos renais, verificar cor, volume e incidir longitudinalmente no parênquima do órgão (cortical e medular); - Se necessário, coletar material para exame laboratorial e sequestro de carcaças até conhecimento do laudo. - ART 109 ATUAL: DÚVIDA NO DIAGNÓSTICO DE PROCESSO SEPTICÊMICO , PRINCIPALMENTE EM INFLAMAÇÃO DE INTESTINOS, ÚBERE, ÚTERO, ARTICULAÇÕES, PULMÕES, PLEURA, PERITÔNIO...OU LESÕES SUPURADAS E GANGRENOSAS.
  • 61.
    CAM Dra. CássiaAldrin de Mello Esta é a foto de uma marcação da carcaça feita de forma manual, onde, de forma simples, anotamos o destino da carcaça, causa e data. Amarramos na perna da carcaça antes de coloca-la na câmara de sequestro. Aula passada mostrei uma foto feita de forma informatizada, com etiqueta impressa. Mesma coisa!
  • 62.
    A inspeção Finalé na verdade uma reinspeção, mas agora feita só por um veterinário. E aqui são feitos mais cortes nas vísceras, são examinados mais nodos linfáticos, tudo visando chegar a um diagnóstico (julgamento) que dê segurança ao produto obtido para consumo. Após o julgamento dado pelo veterinário, ali mesmo no DIF as carcaças são marcadas e carimbadas, sendo desviadas para a câmara de sequestro (se forem para AC), ou saem normalmente do DIF para a toalete, pesagem e banho, para seguirem à câmara de resfriamento do estabelecimento.
  • 63.