QUESTIONAMENTOS?

• QUAIS AS FUNÇÕES DAS CÉLULAS ÓSSEAS?
• QUAIS OS CONSTITUINTES DA MATRIZ ÓSSEAS?
• QUAL A DIFERENÇA ENTRE OSSIFICAÇÃO E
  CALCIFICAÇÃO?
• QUAIS OS FATORES QUE INFLUNCIAM O
  METABOLISMO ÓSSEO?
• QUAIS OS TIPOS DE ÓSSOS QUANTO A
  HISTOLOGIA?
• QUAIS AS TÉCNICAS HISTOLÓGICAS UTILIZADAS
  PARA VIZUALIZAÇÃO DO TECIDO ÓSSEO?
• QUAL O MECANISMO DE AÇÃO DOS
  OSTEOCLASTOS?
-QUAL O PAPEL DO PARATORMÔNIO NA
REABSORÇÃO ÓSSEA?
-QUAL A DIFERENÇA DA MATRIZ ÓSSEA DE OSSOS
SAUDÁVEIS E DE OSSOS COM OSTEOPOROSE?
-QUAL A DIFERENÇA DE ORGANIZAÇÃO ENTRE UM
OSSO ESPONJOSO E UM OSSO LAMELAR?
-QUAL A DIFERENÇA ENTRE OSSIFICAÇÃO
INTRAMEMBRANOSA E OSSIFICAÇÃO
ENDOCONDRAL?
-O QUE É REMODELAÇÃO ÓSSEA?
-QUAIS OS PROCESSOS ENVOLVIDOS NA
RESTAURAÇÃO DOS OSSOS?
-QUAL A RELAÇÃO DE DISTÚRBIOS ÓSSEOS COM
O FUNCIONAMENTO DAS CÉLULAS ÓSSEAS?
TECIDO ÓSSEO

• TECIDO DINÂMICO QUE CRESCE ATÉ
  A IDADE ADULTA

• APÓS A IDADE ADULTA ESTÁ EM
  CONSTANTE REMODELAÇÃO
  SEGUNDO ESTÍMULOS ADEQUADOS
TECIDO ÓSSEO

• CÉLULAS               • MATRIZ
-Células osteogênicas   -Matriz orgânica
-Osteoblastos           Fibras Colágenas tipo I
-Osteócitos
-Osteoclastos           -Matriz inorgânica
                         Minerais
FUNÇÕES
• PROTEÇÃO DE ÓRGAOS VITAIS
• SUPORTE PARA PARTES MOLES
• INSERÇÃO PARA MÚSCULOS E
  TENDÕES (sistema de alavancas)
• RESERVA DE CÁLCIO
• DEPÓSITO DE FOSFATO
• EQUILÍBRIO IÔNICO, homeostase
OSSIFICAÇÃO
• FORMAÇÃO DO TECIDO ÓSSEO




         CALCIFICAÇÃO:
     DEPÓSITO DE CRISTAIS DE
         HIDROXIAPATITA
METABOLISMO DO TECIDO
           ÓSSEO

• VITAMINA A: atividade das células
• VITAMINA C: síntese de colágeno
• VITAMINA D: absorção de Ca++
• PTH E CALCITONINA: níveis de Cálcio e
  fosfato no sangue
• HORMÔNIO DO CRESCIMENTO
• HORMÔNIOS SEXUAIS
TÉCNICAS HISTOLÓGICAS
• DESGASTE
 ESTUDO DA ESTRUTURA DO OSSO PELA
 PRESERVAÇÃO DA MATRIZ ÓSSEA



• DESCALCIFICAÇÃO
REMOÇÃO DE MINERAIS E PRESERVAÇÃO
DAS CÉLULAS

ÁCIDO FÓRMICO, ÁCIDO CÍTRICO, E OUTROS
ESTUDO DA ESTRUTURA ORGÂNICA
MATRIZ ÓSSEA

• ORGÂNICA
  Colágeno I (95%) + S.F.A. (5%)


• INORGÂNICA
  Minerais: íons de CÁLCIO, FOSFATO,
 BICARBONATO, MAGNÉSIO, POTÁSSIO, SÓDIO, ...
OSTEÓIDE
CÉLULAS ÓSSEAS
CÉLULAS DO TECIDO ÓSSEO




Célula              Osteoblasto             Osteócito
osteoprogenitora    (forma o tecido
(desenvolve-se em   ósseo)
osteoblasto)
                                      Osteoclasto
OSTEÓCITO

• R.E.R. e C.GOLGI SUFICIENTES PARA
  MANTER A MATRIZ
• PROLONGAMENTOS CONTENDO
  JUNÇÕES COMUNIANTES PARA
  TROCAS
• CROMATINA CONDENSSADA
OSTEÓCITO
MANUTENÇÃO DA MATRIZ
OSTEOBLASTO
 RESPONSÁVEL PELA SÍNTESE DA
 MATRIZ ORGÂNICA

• RICO EM R.E.R. e C. GOLGI, ALTA
  SÍNTESE PROTÉICA
• ARRANJO EPITELIÓIDE NA
  SUPERFÍCIE DO OSSO
• PARTICIPA DA MINERALIZAÇÃO
• FORMA CÚBICA E ACHATADA
OSTEOBLASTO
ALTA SÍNTESE DE MATRIZ
OSTEOCLASTOS

• DERIVADOS DE CÉLULAS
  MONONUCLEADAS DA MEDULA ÓSSEA
• SECRETAM COLAGENASES E
  HIDROLASES PARA DIGERIR A MATRIZ
• ATIVIDADE CONTROLADA POR CITOCINAS
  LOCAIS, CALCITONINA E PARATORMÔNIO
OSTEOCLASTOS ATIVOS
VIA DE INTERCÂMBIO
• SISTEMA DE CANALÍCULOS GARANTE:
  Trocas de nutrientes e outras moléculas
  entre o sangue e as células

 NÃO EXISTE DIFUSÃO PELA MATRIZ
 SOMENTE VIA CANALÍCULOS
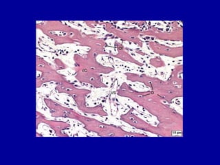
CANALÍCULOS
Sistema de Havers e osteócito
                    canalículos
                                                         Osso
Osteócito          Lamelas concênctricas Lacuna          Compacto
                                                                    Vaso
                                                                    linfático
   Lacuna


                                                                      Canal medular


Periósteo
                                                                       Canais
                                                                       Haversianos

                                                                         Trabéculas do
                                                                         osso
                                                                         esponjoso



Vasos                                        Canais de
sangüíneos                                   Volkmann
Periósteo
                          Canais de Havers
MEMBRANAS CONJUNTVAS
        DE REVESTIMENTO DO OSSO

CONTÉM VASOS, NERVOS E
CÉLULAS OSTEOGÊNICAS

 -ENDÓSTEO: reveste internamente os ossos
 -PERIÓSTEO: reveste externamente os ossos
 -CANAIS DE HARVERS: Revestidos por Endósteo
 -CANAIS DE VOLKMANN: Re vestidos por Endósteo


FIBRAS DE SHARPEY
Fibras colágenas do tecido ósseo contínuas com o periósteo
TIPOS DE ÓSSOS
          HISTOLÓGICAMENTE:

• OSSO IMATURO OU PRIMÁRIO,
  (ESPONJOSO OU TRABECULAR)
 Fibras colágenas irregularmente dispostas

• OSSO MADURO OU SECUNDÁRIO,
  (ESPONJOSO OU COMPACTO OU
  LAMELAR)
 Fibras colágenas orientadas em lamelas
OSSO PRIMÁRIO

• MENOR QUANTIDADE DE
  MINERAIS E MAIOR QUANTIDADE
  DE OSTEÓCITOS


• POUCO PRESENTE NO ADULTO:

-PRÓXIMO AS SUTURAS DOS OSSOS DO CRÂNEO
-ALVÉOLOS DENTÁRIOS
-PONTOS DE INSERÇÃO DOS TENDÕES
OSSO SECUNDÁRIO
                (LAMELAR)

LAMELAS ALTAMENTE ORGANIZADAS

• SISTEMAS CIRCUFERENCIAIS:   INTERNO,
 INTERMEDIÁRIO E EXTERNO


• SISTEMA DE HARVERS

• SISTEMAS DE VOLKMANN
OSSO SECUNDÁRIO
CALO ÓSSEO
REPARAÇÃO DA FRATURA
REMODELAÇÃO ÓSSEA
REGENERAÇÃO
-DEPENDENTE DE CÉLULAS
 OSTEOGÊNICAS E FARTO SUPRIMENTO
 DE NUTRIENTES E OXIGÊNIO

-SOMENTE POR APOSIÇÃO

-DEPENDETE DOS NÍVEIS DE CÁLCIO E
 FOSFATO
OSSIFICAÇÃO
FORMAÇÃO DE UM OSSO LONGO
ESTRUTURA TRIDIMENDIONAL DAS ESPÍCULAS
                       ÓSSEAS




DEFICIÊNCIA DE CÁLCIO:

-RAQUITISMO:
ESPÍCULAS ÓSSEAS DEFORMADAS




   CARTILAGEM CALCIFICADA
OSSIFICAÇÃO INTRAMEMBRANOSA
OSSIFICAÇÃO ENDOCONDRAL
          (FISE)
MATRIZ CARTILAGINOSA E MATRIZ ÓSSEA
MATRIZ ÓSSEA   MATRIZ CARTILAGINOSA
PICROSÍRIUS            HEMATOXILINA
CARACTERÍSTICAS
     PARALELO ENTRE OSSO E CARTILAGEM

• O crescimento do tecido ósseo só se dá
  de forma aposicional, já a cartilagem
  (para as cartilagens hialinas e elásticas)
  pode crescer de forma aposicional e
  intersticial;
• O tecido ósseo possui um sistema
  canalicular específico para nutrição, já o
  cartilaginoso não o apresenta;
• O tecido ósseo possui um suprimento
  vascular direto e o tecido cartilaginoso é
  avascular.
CORRELAÇÕES
MENOS TECIDO ÓSSEO COM AMPLOS ACANAIS DE ABSORÇÃO

Tecido ósseo pdf

  • 1.
    QUESTIONAMENTOS? • QUAIS ASFUNÇÕES DAS CÉLULAS ÓSSEAS? • QUAIS OS CONSTITUINTES DA MATRIZ ÓSSEAS? • QUAL A DIFERENÇA ENTRE OSSIFICAÇÃO E CALCIFICAÇÃO? • QUAIS OS FATORES QUE INFLUNCIAM O METABOLISMO ÓSSEO? • QUAIS OS TIPOS DE ÓSSOS QUANTO A HISTOLOGIA? • QUAIS AS TÉCNICAS HISTOLÓGICAS UTILIZADAS PARA VIZUALIZAÇÃO DO TECIDO ÓSSEO? • QUAL O MECANISMO DE AÇÃO DOS OSTEOCLASTOS?
  • 2.
    -QUAL O PAPELDO PARATORMÔNIO NA REABSORÇÃO ÓSSEA? -QUAL A DIFERENÇA DA MATRIZ ÓSSEA DE OSSOS SAUDÁVEIS E DE OSSOS COM OSTEOPOROSE? -QUAL A DIFERENÇA DE ORGANIZAÇÃO ENTRE UM OSSO ESPONJOSO E UM OSSO LAMELAR? -QUAL A DIFERENÇA ENTRE OSSIFICAÇÃO INTRAMEMBRANOSA E OSSIFICAÇÃO ENDOCONDRAL? -O QUE É REMODELAÇÃO ÓSSEA? -QUAIS OS PROCESSOS ENVOLVIDOS NA RESTAURAÇÃO DOS OSSOS? -QUAL A RELAÇÃO DE DISTÚRBIOS ÓSSEOS COM O FUNCIONAMENTO DAS CÉLULAS ÓSSEAS?
  • 3.
    TECIDO ÓSSEO • TECIDODINÂMICO QUE CRESCE ATÉ A IDADE ADULTA • APÓS A IDADE ADULTA ESTÁ EM CONSTANTE REMODELAÇÃO SEGUNDO ESTÍMULOS ADEQUADOS
  • 4.
    TECIDO ÓSSEO • CÉLULAS • MATRIZ -Células osteogênicas -Matriz orgânica -Osteoblastos Fibras Colágenas tipo I -Osteócitos -Osteoclastos -Matriz inorgânica Minerais
  • 5.
    FUNÇÕES • PROTEÇÃO DEÓRGAOS VITAIS • SUPORTE PARA PARTES MOLES • INSERÇÃO PARA MÚSCULOS E TENDÕES (sistema de alavancas) • RESERVA DE CÁLCIO • DEPÓSITO DE FOSFATO • EQUILÍBRIO IÔNICO, homeostase
  • 6.
    OSSIFICAÇÃO • FORMAÇÃO DOTECIDO ÓSSEO CALCIFICAÇÃO: DEPÓSITO DE CRISTAIS DE HIDROXIAPATITA
  • 7.
    METABOLISMO DO TECIDO ÓSSEO • VITAMINA A: atividade das células • VITAMINA C: síntese de colágeno • VITAMINA D: absorção de Ca++ • PTH E CALCITONINA: níveis de Cálcio e fosfato no sangue • HORMÔNIO DO CRESCIMENTO • HORMÔNIOS SEXUAIS
  • 8.
    TÉCNICAS HISTOLÓGICAS • DESGASTE ESTUDO DA ESTRUTURA DO OSSO PELA PRESERVAÇÃO DA MATRIZ ÓSSEA • DESCALCIFICAÇÃO REMOÇÃO DE MINERAIS E PRESERVAÇÃO DAS CÉLULAS ÁCIDO FÓRMICO, ÁCIDO CÍTRICO, E OUTROS ESTUDO DA ESTRUTURA ORGÂNICA
  • 9.
    MATRIZ ÓSSEA • ORGÂNICA Colágeno I (95%) + S.F.A. (5%) • INORGÂNICA Minerais: íons de CÁLCIO, FOSFATO, BICARBONATO, MAGNÉSIO, POTÁSSIO, SÓDIO, ...
  • 10.
  • 11.
  • 12.
    CÉLULAS DO TECIDOÓSSEO Célula Osteoblasto Osteócito osteoprogenitora (forma o tecido (desenvolve-se em ósseo) osteoblasto) Osteoclasto
  • 13.
    OSTEÓCITO • R.E.R. eC.GOLGI SUFICIENTES PARA MANTER A MATRIZ • PROLONGAMENTOS CONTENDO JUNÇÕES COMUNIANTES PARA TROCAS • CROMATINA CONDENSSADA
  • 14.
  • 15.
    OSTEOBLASTO RESPONSÁVEL PELASÍNTESE DA MATRIZ ORGÂNICA • RICO EM R.E.R. e C. GOLGI, ALTA SÍNTESE PROTÉICA • ARRANJO EPITELIÓIDE NA SUPERFÍCIE DO OSSO • PARTICIPA DA MINERALIZAÇÃO • FORMA CÚBICA E ACHATADA
  • 16.
  • 17.
    OSTEOCLASTOS • DERIVADOS DECÉLULAS MONONUCLEADAS DA MEDULA ÓSSEA • SECRETAM COLAGENASES E HIDROLASES PARA DIGERIR A MATRIZ • ATIVIDADE CONTROLADA POR CITOCINAS LOCAIS, CALCITONINA E PARATORMÔNIO
  • 19.
  • 20.
    VIA DE INTERCÂMBIO •SISTEMA DE CANALÍCULOS GARANTE: Trocas de nutrientes e outras moléculas entre o sangue e as células NÃO EXISTE DIFUSÃO PELA MATRIZ SOMENTE VIA CANALÍCULOS
  • 21.
  • 22.
    Sistema de Haverse osteócito canalículos Osso Osteócito Lamelas concênctricas Lacuna Compacto Vaso linfático Lacuna Canal medular Periósteo Canais Haversianos Trabéculas do osso esponjoso Vasos Canais de sangüíneos Volkmann Periósteo Canais de Havers
  • 23.
    MEMBRANAS CONJUNTVAS DE REVESTIMENTO DO OSSO CONTÉM VASOS, NERVOS E CÉLULAS OSTEOGÊNICAS -ENDÓSTEO: reveste internamente os ossos -PERIÓSTEO: reveste externamente os ossos -CANAIS DE HARVERS: Revestidos por Endósteo -CANAIS DE VOLKMANN: Re vestidos por Endósteo FIBRAS DE SHARPEY Fibras colágenas do tecido ósseo contínuas com o periósteo
  • 24.
    TIPOS DE ÓSSOS HISTOLÓGICAMENTE: • OSSO IMATURO OU PRIMÁRIO, (ESPONJOSO OU TRABECULAR) Fibras colágenas irregularmente dispostas • OSSO MADURO OU SECUNDÁRIO, (ESPONJOSO OU COMPACTO OU LAMELAR) Fibras colágenas orientadas em lamelas
  • 26.
    OSSO PRIMÁRIO • MENORQUANTIDADE DE MINERAIS E MAIOR QUANTIDADE DE OSTEÓCITOS • POUCO PRESENTE NO ADULTO: -PRÓXIMO AS SUTURAS DOS OSSOS DO CRÂNEO -ALVÉOLOS DENTÁRIOS -PONTOS DE INSERÇÃO DOS TENDÕES
  • 28.
    OSSO SECUNDÁRIO (LAMELAR) LAMELAS ALTAMENTE ORGANIZADAS • SISTEMAS CIRCUFERENCIAIS: INTERNO, INTERMEDIÁRIO E EXTERNO • SISTEMA DE HARVERS • SISTEMAS DE VOLKMANN
  • 29.
  • 31.
  • 32.
  • 33.
    REGENERAÇÃO -DEPENDENTE DE CÉLULAS OSTEOGÊNICAS E FARTO SUPRIMENTO DE NUTRIENTES E OXIGÊNIO -SOMENTE POR APOSIÇÃO -DEPENDETE DOS NÍVEIS DE CÁLCIO E FOSFATO
  • 35.
  • 36.
    ESTRUTURA TRIDIMENDIONAL DASESPÍCULAS ÓSSEAS DEFICIÊNCIA DE CÁLCIO: -RAQUITISMO: ESPÍCULAS ÓSSEAS DEFORMADAS CARTILAGEM CALCIFICADA
  • 37.
  • 38.
  • 39.
  • 40.
    MATRIZ ÓSSEA MATRIZ CARTILAGINOSA PICROSÍRIUS HEMATOXILINA
  • 41.
    CARACTERÍSTICAS PARALELO ENTRE OSSO E CARTILAGEM • O crescimento do tecido ósseo só se dá de forma aposicional, já a cartilagem (para as cartilagens hialinas e elásticas) pode crescer de forma aposicional e intersticial; • O tecido ósseo possui um sistema canalicular específico para nutrição, já o cartilaginoso não o apresenta; • O tecido ósseo possui um suprimento vascular direto e o tecido cartilaginoso é avascular.
  • 42.
    CORRELAÇÕES MENOS TECIDO ÓSSEOCOM AMPLOS ACANAIS DE ABSORÇÃO