PRÓTESE PARCIAL FIXA II 6º PERÍODO 2009
Passei a vida tentando consertar os erros, na ânsia de acertar. Clarisse Lispector
INTER RELAÇÃO  ENTRE A PRÓTESE E A PERIODONTIA
Prótese “ Se não houver ciência antes da arte estamos fazendo iatrogenia”.   Zanetti,A.L (1989)
INTRODUÇÃO O sucesso de uma  prótese  não é medido apenas no ato de  cimentação , e sim  ao longo do tempo, por estar integrada e em harmonia  com a estética, os tecidos pulpares, os tecidos periodontais, os músculos e ATM.
 
O  término cervical  do preparo deve ser bem definido, coerente ao tipo do material empregado e com bom acabamento.  Coroa provisória  bem adaptada e com contornos corretos. Presença de  saúde periodontal PEGORARO, L. F. 1999
INTRODUÇÃO
INTRODUÇÃO O  C.D   tem o compromisso  restabelecer a  saúde   no seu sentido mais amplo de estética e função. O paciente é  co- responsável  pela manutenção de sua saúde bucal
INTRODUÇÃO Chiapinotto  et al   1989  afirmam que é inquestionável  que a  saúde periodontal  deva ser restabelecida  antes  de qualquer  procedimento restaurador Restabelecer  a saúde periodontal , prévia, não é suficiente  para manter o paciente  livre da doença, por isso deve-se manter  um  controle  profissional continuado.
INTRODUÇÃO
INTRODUÇÃO
 
INTRODUÇÃO A  qualidade  da restauração protética se avalia pela : -  Grau de justeza -  Contornos e   textura Quesitos oclusais Independente do material utilizado.
LIMITE CERVICAL Evidencias  científicas  mostram as  limitações na promoção da saúde periodontal , quando o  limite cervical  das restaurações protéticas estão em  contato com os tecidos gengivais.
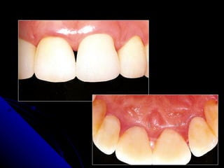
Margem Cervical O  ideal periodontal  é que as margens protéticas  não sejam  colocadas em contato gengival. Quando  necessário  seja num limite apical que o paciente possa facilmente controlar  a placa bacteriana – até  0,5mm subgengival.
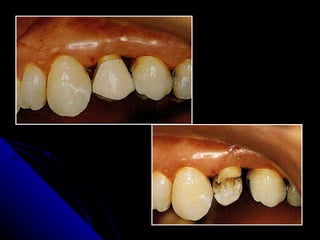
LIMITE CERVICAL  Nas   restaurações subgengivais  com muita freqüências observa-se inflamação gengival, placa bacteriana e formação de bolsas periodontais .
LIMITE CERVICAL DAS RESTAURAÇÕES PROTÉTICAS Limite cervical das restaurações protéticas relaciona com: Fatores estéticos:  afim de esconder a linha de junção.  Fatores mecanicos  :1   - aumento de retenção de dentes curtos ou parcialmente destruídos  2- presença de cárie,  3 - erosões,  4- fraturas,  5- sensibilidade dentinária .
1-Esmalte 2 - Epitélio   sulcular 3 - Epitélio juncional (aderido a superfície do dente)  4 -  Sulco Gengival histológico   Sulco Gengival histológico LINHA DE JUNÇÃO PREPARO-PRÓTESE
LINHA DE JUNÇÃO PREPARO-PRÓTESE Quando a parede do dente dá lugar a materiais restauradores, facilita a formação de placa.
A  formação de placa ocorre devido a:   falta de  um bom vedamento marginal  na junção terminal Aspereza  da superfície dos materiais restauradores
Adaptação A solução de continuidade  é preenchida inicialmente por  cimento , este cimento é solúvel ao meio bucal, com sua dissolução, aumenta o espaço livre, facilitando a  colonização de bactérias. Uma superfície com  alto polimento  com  bom vedamento cervical , o epitélio juncional poderia se  aderir a superfície .
-  Dos aspectos clínicos  e laboratoriais   - O emprego de técnica e materiais corretos. - Qualidade do preparo,  Nitidez nas moldagens  - Troqueis com precisão. De maneira geral  resinas, metais e porcelanas  são  biocompatíveis , sem risco de serem  predisponente  de doenças periodontais “quando” altamente  polida . Adaptação vai depender :
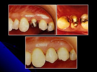
Preparos sub-gengivais:   -Existem  maiores riscos de  distorções no ajuste da restauração. -Torna-se  difícil  obter uma linha de terminação definida e polida. - Dificuldade na adaptação da prótese provisória .  - A moldagem vai necessitar  de manobras específicas de afastamento gengival
Margem Cervical
DIMENSÕES FISIÓLÓGICAS DO PERIODONTO DE PROTEÇÃO Para que promova um periodonto saudável,  -   a margem cervical deve estar  localizada nos limites compatíveis do controle de placa, - respeite  as dimensões fisiológicas do periodonto de proteção .
Espaço biológico:  é a distância  compreendida entre a base  do sulco histológico e a crista alveolar, constituído  pelo epitélio juncional e inserção conjuntiva.
A -  Para se  preservar a saúde periodontal   deve se  respeitar  o espaço biológico. B -  Para isso, o ideal é  que haja em torno de  3mm de estrutura dental sadia coronalmente  a crista alveolar  nos  preparos protéticos. A B
A  agressão  ao  epitélio juncional, e as fibras supracrestais , que constitui  barreira à infecção , provoca  inflamação gengival , que vai permanecer pós confecção da prótese, causando  danos irreversíveis  ao periodonto, com  formação de bolsa periodontal  e  migração do epitélio juncional
 
Os métodos para restabelecer as dimensões fisiológicas do periodonto, usualmente empregados são: -Tração ortodôntica; -  Cirurgias, através do aumento da  coroa clínica;
TRAÇÃO ORTODÔNTICA INDICAÇÃO: Nos casos em o procedimento cirúrgico de aumento de coroa clinica resulte em  deformidade estética ,  particularmente em  dentes anteriores ;  Nos casos onde poderá causar  sacrifício de osso suporte em  dentes adjacentes não envolvidos.
Tração ortodôntica
Tração ortodôntica
Tração ortodôntica
Cirurgias, para aumento da coroa clínica 1 -  Técnica de retalho total com osteotomia. 2 - Cunha distal = aumento de coroa clinica que não requer acesso ao osso alveolar.  As técnicas mais utilizadas  : gengivectomia, retalho total,  retalho dividido, retalho reposicionado apicalmente.
Aumento de coroa clínica com osteotomia
 
 
 
 
 
Aumento de coroa clínica sem osteotomia
 
OBRIGADA Não te detenha no mal que por ventura fizeste; caminhe no bem que possa fazer.

Prótese fixa inter relação com periodontia 2011

  • 1.
    PRÓTESE PARCIAL FIXAII 6º PERÍODO 2009
  • 2.
    Passei a vidatentando consertar os erros, na ânsia de acertar. Clarisse Lispector
  • 3.
    INTER RELAÇÃO ENTRE A PRÓTESE E A PERIODONTIA
  • 4.
    Prótese “ Senão houver ciência antes da arte estamos fazendo iatrogenia”. Zanetti,A.L (1989)
  • 5.
    INTRODUÇÃO O sucessode uma prótese não é medido apenas no ato de cimentação , e sim ao longo do tempo, por estar integrada e em harmonia com a estética, os tecidos pulpares, os tecidos periodontais, os músculos e ATM.
  • 6.
  • 7.
    O términocervical do preparo deve ser bem definido, coerente ao tipo do material empregado e com bom acabamento. Coroa provisória bem adaptada e com contornos corretos. Presença de saúde periodontal PEGORARO, L. F. 1999
  • 8.
  • 9.
    INTRODUÇÃO O C.D tem o compromisso restabelecer a saúde no seu sentido mais amplo de estética e função. O paciente é co- responsável pela manutenção de sua saúde bucal
  • 10.
    INTRODUÇÃO Chiapinotto et al 1989 afirmam que é inquestionável que a saúde periodontal deva ser restabelecida antes de qualquer procedimento restaurador Restabelecer a saúde periodontal , prévia, não é suficiente para manter o paciente livre da doença, por isso deve-se manter um controle profissional continuado.
  • 11.
  • 12.
  • 13.
  • 14.
    INTRODUÇÃO A qualidade da restauração protética se avalia pela : - Grau de justeza - Contornos e textura Quesitos oclusais Independente do material utilizado.
  • 15.
    LIMITE CERVICAL Evidencias científicas mostram as limitações na promoção da saúde periodontal , quando o limite cervical das restaurações protéticas estão em contato com os tecidos gengivais.
  • 16.
    Margem Cervical O ideal periodontal é que as margens protéticas não sejam colocadas em contato gengival. Quando necessário seja num limite apical que o paciente possa facilmente controlar a placa bacteriana – até 0,5mm subgengival.
  • 17.
    LIMITE CERVICAL Nas restaurações subgengivais com muita freqüências observa-se inflamação gengival, placa bacteriana e formação de bolsas periodontais .
  • 18.
    LIMITE CERVICAL DASRESTAURAÇÕES PROTÉTICAS Limite cervical das restaurações protéticas relaciona com: Fatores estéticos: afim de esconder a linha de junção. Fatores mecanicos :1 - aumento de retenção de dentes curtos ou parcialmente destruídos 2- presença de cárie, 3 - erosões, 4- fraturas, 5- sensibilidade dentinária .
  • 19.
    1-Esmalte 2 -Epitélio sulcular 3 - Epitélio juncional (aderido a superfície do dente) 4 - Sulco Gengival histológico Sulco Gengival histológico LINHA DE JUNÇÃO PREPARO-PRÓTESE
  • 20.
    LINHA DE JUNÇÃOPREPARO-PRÓTESE Quando a parede do dente dá lugar a materiais restauradores, facilita a formação de placa.
  • 21.
    A formaçãode placa ocorre devido a: falta de um bom vedamento marginal na junção terminal Aspereza da superfície dos materiais restauradores
  • 22.
    Adaptação A soluçãode continuidade é preenchida inicialmente por cimento , este cimento é solúvel ao meio bucal, com sua dissolução, aumenta o espaço livre, facilitando a colonização de bactérias. Uma superfície com alto polimento com bom vedamento cervical , o epitélio juncional poderia se aderir a superfície .
  • 23.
    - Dosaspectos clínicos e laboratoriais - O emprego de técnica e materiais corretos. - Qualidade do preparo, Nitidez nas moldagens - Troqueis com precisão. De maneira geral resinas, metais e porcelanas são biocompatíveis , sem risco de serem predisponente de doenças periodontais “quando” altamente polida . Adaptação vai depender :
  • 24.
    Preparos sub-gengivais: -Existem maiores riscos de distorções no ajuste da restauração. -Torna-se difícil obter uma linha de terminação definida e polida. - Dificuldade na adaptação da prótese provisória . - A moldagem vai necessitar de manobras específicas de afastamento gengival
  • 25.
  • 26.
    DIMENSÕES FISIÓLÓGICAS DOPERIODONTO DE PROTEÇÃO Para que promova um periodonto saudável, - a margem cervical deve estar localizada nos limites compatíveis do controle de placa, - respeite as dimensões fisiológicas do periodonto de proteção .
  • 27.
    Espaço biológico: é a distância compreendida entre a base do sulco histológico e a crista alveolar, constituído pelo epitélio juncional e inserção conjuntiva.
  • 28.
    A - Para se preservar a saúde periodontal deve se respeitar o espaço biológico. B - Para isso, o ideal é que haja em torno de 3mm de estrutura dental sadia coronalmente a crista alveolar nos preparos protéticos. A B
  • 29.
    A agressão ao epitélio juncional, e as fibras supracrestais , que constitui barreira à infecção , provoca inflamação gengival , que vai permanecer pós confecção da prótese, causando danos irreversíveis ao periodonto, com formação de bolsa periodontal e migração do epitélio juncional
  • 30.
  • 31.
    Os métodos pararestabelecer as dimensões fisiológicas do periodonto, usualmente empregados são: -Tração ortodôntica; - Cirurgias, através do aumento da coroa clínica;
  • 32.
    TRAÇÃO ORTODÔNTICA INDICAÇÃO:Nos casos em o procedimento cirúrgico de aumento de coroa clinica resulte em deformidade estética , particularmente em dentes anteriores ; Nos casos onde poderá causar sacrifício de osso suporte em dentes adjacentes não envolvidos.
  • 33.
  • 34.
  • 35.
  • 36.
    Cirurgias, para aumentoda coroa clínica 1 - Técnica de retalho total com osteotomia. 2 - Cunha distal = aumento de coroa clinica que não requer acesso ao osso alveolar. As técnicas mais utilizadas : gengivectomia, retalho total, retalho dividido, retalho reposicionado apicalmente.
  • 37.
    Aumento de coroaclínica com osteotomia
  • 38.
  • 39.
  • 40.
  • 41.
  • 42.
  • 43.
    Aumento de coroaclínica sem osteotomia
  • 44.
  • 45.
    OBRIGADA Não tedetenha no mal que por ventura fizeste; caminhe no bem que possa fazer.