Insuficiência Cardíaca
Maternidade Carmela Dutra
Dra. Cristina Silveira
Maio - 2016
Insuficiência Cardíaca
• Síndrome HETEROGÊNEA em que há
incapacidade do coração de manter adequada
perfusão tecidual ou isto ocorre somente às
custas de altas pressões de enchimento
ventricular
Classificação funcional
• NYHA I – presença de disfunção sem restrição
aos esforços
• NYHA II – disfunção + sintomas aos grandes
esforços
• NYHA III – disfuncão + sintomas aos médios
esforços
• NYHA IV – disfunção + sintomas aos pequenos
esforços ou em repouso
ETIOLOGIA
Insuficiência Cardíaca na
Gestação
Alterações fisiológicas da gestação
• Aumento 50% do volume circulante
• Leve aumento da frequencia cardiaca
• Aumento de 30 a 50% do débito cardíaco
• Ápice entre metade do 2o trimestre e 3o
trimestre
• Redução da resistência vascular periférica
– Queda da PA
Preditores de complicações
maternas
• Classe funcional NYHA III/IV
• Cianose
• Disfunção VE mod-grave (FE<40%)
• HAS mod-grave
• HAP grave (PSAP > 30mmHg)
• Obstrução do coração esquerdo
• Regurgitação Pulmonar grave
• Disfunção VD
• Eventos cardiovasculares prévios
Cardiopatia Reumática
• Causa mais frequente de cardiopatia na
gestante (50% dos casos)
Estenose Mitral
• Causa mais frequente é reumática
• Sintomatologia progressiva, piora acentuada quando área
<1.5cm2
• Dispneia, ortopneia, hemoptise, cansaço, palpitação, dor
torácica
• Taquiarritmias são frequentes
• Formação de trombo no AE
• Tratamento: Valvuloplastia percutânea com balão se IB
menor ou igual a 8.
Profilaxia na Cardiopatia
Reumática
Miocardiopatia Periparto
• Entidade clínica rara porém relacionada a alta
mortalidade materna (10 a 32%)
– Incidência variável (Nos EUA 1:3.000 partos)
– Causas de mortalidade:
• IC
• Arritmias
• Eventos embólicos
Definição
• Insuficiência cardíaca que inicia no periodo
entre o último mês de gestação até o quinto
dia pós-parto
• Ausência de cardiopatia pré-existente ou IC de
outra causa
• Disfunção ventricular esquerda comprovada
Fatores de Risco
• Idade materna > 35 anos
• Multiparidade >3 partos
• Gestação multifetal
• Eclâmpsia/ Pré-eclâmpsia
• Hipertensão gestacional
• Raça Negra
• Uso de tocolíticos
Tratamento
• Tratamento clássico da IC
• Anticoagulação
• Imunoglobulina, Bromocriptina ainda em fase
experimental (IIIC)
Prognóstico
• 30% tem recuperação completa em 6 meses
• As demais podem ter melhora mais lenta ou
piora progressiva da função ventricular
evoluindo com IC crônica
• Prognóstico é melhor com FE > 30%
• Formação de trombo no VE é comum
especialmente com FE < 35%
Aconselhamento
• Risco de desenvolvimento de nova mioc.
Periparto em gestaçoes subsequentes
• Agravamento da função ventricular naquelas
pacientes com disfunção
• Aumento da mortalidade
Insuficiência Cardíaca

Insuficiência Cardíaca

  • 1.
    Insuficiência Cardíaca Maternidade CarmelaDutra Dra. Cristina Silveira Maio - 2016
  • 4.
    Insuficiência Cardíaca • SíndromeHETEROGÊNEA em que há incapacidade do coração de manter adequada perfusão tecidual ou isto ocorre somente às custas de altas pressões de enchimento ventricular
  • 6.
    Classificação funcional • NYHAI – presença de disfunção sem restrição aos esforços • NYHA II – disfunção + sintomas aos grandes esforços • NYHA III – disfuncão + sintomas aos médios esforços • NYHA IV – disfunção + sintomas aos pequenos esforços ou em repouso
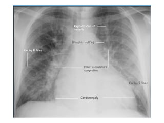
  • 7.
  • 26.
  • 27.
    Alterações fisiológicas dagestação • Aumento 50% do volume circulante • Leve aumento da frequencia cardiaca • Aumento de 30 a 50% do débito cardíaco • Ápice entre metade do 2o trimestre e 3o trimestre • Redução da resistência vascular periférica – Queda da PA
  • 28.
    Preditores de complicações maternas •Classe funcional NYHA III/IV • Cianose • Disfunção VE mod-grave (FE<40%) • HAS mod-grave • HAP grave (PSAP > 30mmHg) • Obstrução do coração esquerdo • Regurgitação Pulmonar grave • Disfunção VD • Eventos cardiovasculares prévios
  • 29.
    Cardiopatia Reumática • Causamais frequente de cardiopatia na gestante (50% dos casos)
  • 30.
    Estenose Mitral • Causamais frequente é reumática • Sintomatologia progressiva, piora acentuada quando área <1.5cm2 • Dispneia, ortopneia, hemoptise, cansaço, palpitação, dor torácica • Taquiarritmias são frequentes • Formação de trombo no AE • Tratamento: Valvuloplastia percutânea com balão se IB menor ou igual a 8.
  • 31.
  • 32.
    Miocardiopatia Periparto • Entidadeclínica rara porém relacionada a alta mortalidade materna (10 a 32%) – Incidência variável (Nos EUA 1:3.000 partos) – Causas de mortalidade: • IC • Arritmias • Eventos embólicos
  • 33.
    Definição • Insuficiência cardíacaque inicia no periodo entre o último mês de gestação até o quinto dia pós-parto • Ausência de cardiopatia pré-existente ou IC de outra causa • Disfunção ventricular esquerda comprovada
  • 34.
    Fatores de Risco •Idade materna > 35 anos • Multiparidade >3 partos • Gestação multifetal • Eclâmpsia/ Pré-eclâmpsia • Hipertensão gestacional • Raça Negra • Uso de tocolíticos
  • 35.
    Tratamento • Tratamento clássicoda IC • Anticoagulação • Imunoglobulina, Bromocriptina ainda em fase experimental (IIIC)
  • 36.
    Prognóstico • 30% temrecuperação completa em 6 meses • As demais podem ter melhora mais lenta ou piora progressiva da função ventricular evoluindo com IC crônica • Prognóstico é melhor com FE > 30% • Formação de trombo no VE é comum especialmente com FE < 35%
  • 37.
    Aconselhamento • Risco dedesenvolvimento de nova mioc. Periparto em gestaçoes subsequentes • Agravamento da função ventricular naquelas pacientes com disfunção • Aumento da mortalidade