Sistema Cardiovascular
Aparelho circulatório
• Sistema fechado, circula o
sangue, uma só direção, dentro
de vasos sanguíneos,
bombeado por bomba muscular
 coração
• Funções de transporte de
gases, nutrientes, resíduos
metabólicos, calor, hormônios,
intercâmbio de materiais,
distribuição de mecanismos de
defesa
• Sistemas
– Arterial
– Venoso
– Linfático
• Órgãos
– Coração
– Vasos
• Artérias
• Capilares
• Veias
Desenvolvimento do Sistema
Cardiovascular
• Surge na metade da 3ª
semana, primeiro sistema a
funcionar, derivado do
mesoderma
• Par de cordões endoteliais –
cordões angiogênicos – no
mesoderma cardiogênico
(sinal precoce)
• Cordões endoteliais
canalizam-se para formar
tubos cardiogênicos delgados
Sistema Cardiovascular
• Conforme ocorre o
dobramento do embrião, os
tubos endocárdicos cardíacos
se aproximam e se fundem
para formarem um tubo único
• A fusão dos tubos inicia-se na
extremidade cranial e se
estende caudalmente
• O coração começa a bater
entre os dias 22 e 23
• O fluxo sanguíneo começa
durante a 4ª semana
O coração
• É um órgão oco,
localizado na
cavidade torácica, no
centro do peito, entre
os pulmões, sobre o
diafragma
• Órgão que se contrai
de modo ritmico
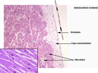
Coração
Três camadas
• O pericárdio envolve todo o
coração externamente é
constituído de tecido
pavimentoso simples
• O miocárdio é a camada mais
espessa, constituída de tecido
muscular estriado cardíaco
• O endocárdio está formado de
tecido epitelial pavimentoso
simples, o endotélio
Coração
• Paredes cardíacas  constituída por três
túnicas
Coração
• Túnica externa: Pericárdio
• Dupla membrana que envolve o coração: parietal e
visceral
• Tecido: epitélio pavimentoso simples (membrana
serosa), tecido conjuntivo frouxo, vasos e nervos
• Função principal: proteção
Coração
• Túnica média: Miocárdio
• Tecido muscular cardíaco
• Responsável pelas contrações involuntárias do
coração
• Arranjo de células variadas
Discos intercalares
Válvulas atrioventriculares
• O coração possui válvulas
cardíacas que funcionam
ritmicamente e que permitem
que o sangue se mova pelas
câmaras do coração em uma
única direção, impedindo seu
movimento em sentido
contrário. Constituída por
uma membrana de
endocárdio e tecido
conjuntivo denso
Nutrição do coração
• O coração possui a sua
própria rede de
abastecimento, chamada
de sistema coronário
que provem de sangue o
coração mediante as
artérias coronárias
direita e esquerda,
provenientes da aorta
Sistemas de condução de impulsos
Potencial de
ação é gerado
no nódulo
sinoatrial e se
propaga por
todo o coração
Despolarização das
células musculares
cardíacas especializadas:
70X/min Simpático ↑ Parassimpático↓
Sistemas de condução de impulsos
• Nó sinoatrial  marca-passo do coração
• Determina a geração do batimento cardíaco
• Aglomerado de células musculares cardíacas modificadas com
aspecto histológico fusiforme
• Fibras menores das encontradas no coração
• Menor quantidade de miofibrilas
• Localizado na união da veia cava superior e o átrio
Sistemas de condução de impulsos
• Nó atrioventricular e rede de Purkinje
• Células similares ao nó atrioventricular
• Células se ramificam
• Projeções citoplasmáticas em várias direções
• Forma uma rede (Feixe Atrioventricular)
• Localização: na inserção da válvula Tricúspide
Estruturas Sensoriais Especializadas das Artérias
• Corpos carotídeos e corpos aórticos
– Quimiorreceptores
• O2 – baixa tensão
• CO2 – alta tensão
• pH – baixo do sangue arterial
• Seios carotídeos
– São barorreceptores
• Detectam modificações na pressão sangüínea e
enviam para o SNC
Veias Artérias
Veias de
grande calibre
Veias de
médio calibre
Vênulas
Artérias de grande
calibre ou elásticas
Artérias de médio
calibre ou
musculares
Arteríolas
Vasos Sanguíneos
Artérias Artérias de grande
calibre ou elásticas
Artérias de médio
calibre ou
musculares
Arteríolas
Sistema Arterial: constituído pelas artérias, distribui o sangue oxigenado, responsável
por nutrir e manter boas condições para o organismo.
Veias
Veias de
grande
calibre
Veias de
médio
calibre
Vênulas
Sistema Venoso: constituído pelas veias, transportam o sangue desoxigenado, as
impurezas até os pulmões para ser novamente oxigenado.
Capilares sanguíneos
• Vasos sangüíneos se ramificam e formam vasos de paredes mais
finas:
– Capilares
– Vênulas pós-capilares
artérias  capilares  veias
Artérias  Capilares  Veias
Sistema porta venoso
• Sistema porta hepático
• veia  capilares  veia
• S. porta hipotalâmico-
hipofisiário
• veia  capilares  veia
Sistema porta arterial
• Sistema porta arterial
dos rins
– arteríola  capilares 
arteríola
Sistema Cardiovascular
• 1. Arteríola Capilar Vênula
• 2. Anastomose Artériovenosa
• 3. Sistema Porta Arterial dos Rins
• 4. Sistema Porta Arterial Venoso (fígado).
Sistema Cardiovascular
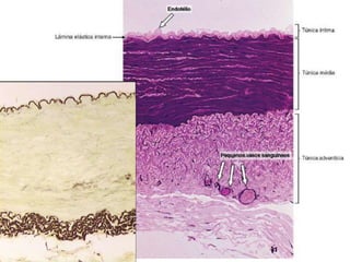
Vasos sanguíneos
Túnica intima de células endoteliais
Lâmina basal
Tecido conjuntivo frouxo sub-endotelial, e
pode ter células musculares lisas
Túnica média de
células
musculares lisas
+ fibras elásticas
+ proteoglicanas
Túnica adventícia:
Tecido conjuntivo
com macrófagos,
fibroblastos,
músculo liso, vasos
sangüíneos e
terminações
nervosas.
Parede da Artéria Elástica
• Túnica íntima
– Endotélio: epitélio pavimentoso simples
– Camada subendotelial, conjuntivo com fibras colágenas e elásticas,
células musculares lisas e macrófagos
– Membrana elástica interna
• Túnica média
– Possui material elástico circular, entre as quais estão as células
musculares lisas em circular
• Túnica adventícia
– Conjuntivo com fibras elásticas, colágenas, fibroblastos e macrófagos
– Vasa vasorum – vasos que nutrem a parede do vaso sangüíneo
– Nervi vascularis – nervos
Endotélio, epitélio pavimentoso
simples - reveste os vasos
Parede da Artéria Elástica
Artéria grande calibre
Parede da Artéria Muscular
• Túnica íntima
– Endotélio: epitélio pavimentoso simples e lâmina basal, tecido
conjuntivo subendotelial escasso
– Limitante elástica interna
• Túnica média
– Células musculares lisas, unidas com junções comunicantes
em espiral, fibras colágenas e elásticas.
– Limitante elástica externa
• Túnica adventícia
– Tecido conjuntivo mais espesso que na artéria elástica, fibras de
colágeno e elástica, fibroblastos, nervos e vasa vasorum
Artéria pequeno calibre ou arteríola
• Túnica íntima de células endoteliais
(epitélio pavimentoso simples),
camada subendotelial, membrana
limitante interna nem sempre
visível
• Túnica média com 1 a 2 camadas
de células musculares lisas
• A membrana limitante externa nem
sempre visível
• Túnica adventícia pouco
desenvolvida
Capilares
• Contínuos ou somáticos
• Fenestrados ou viscerais
• Sinusóides
Capilares contínuos ou somáticos
• Células endoteliais
contínuas, ligadas por
junções oclusivas
• As substâncias
atravessam a parede
por vesículas de
pinocitose
– Timo e SNC
CAPILARES FENESTRADOS OU VISCERAIS
• Apresentam orifícios
na parede das
células, lâmina basal
contínua
– Glândulas endócrinas,
rins
CAPILARES SINUSÓIDES
• Trajeto sinuoso,
diâmetro amplo e
irregular, lâmina basal
descontínua
– Fígado, baço e
medula óssea
Veia de Grande Calibre
• Túnica íntima
– Endotélio, epitélio
pavimentoso simples e
lâmina basal, subendotelial
delgado
• Túnica média
– Músculo liso, fibras
colágenas e elásticas
• Túnica adventícia
– É a túnica mais
desenvolvida, tecido
conjuntivo mais espesso,
músculo liso longitudinal,
fibras de colágeno e elástica,
fibroblastos, nervos e vasa
vasorum.
Veia grande calibre
Veia de Grande Calibre
• Veia de Médio Calibre
• Túnica íntima
– Células endoteliais, epitélio
pavimentoso simples e
lâmina basal, subendotelial
delgado
• Túnica média
– Células musculares lisas,
unidas com junções, fibras
colágenas e elásticas, pouco
desenvolvida
• Túnica adventícia
– Tecido conjuntivo mais
espesso, fibras de colágeno e
elástica, fibroblastos, nervos e
vasa vasorum.
• Veia de Pequeno
Calibre (Vênulas)
• Túnica íntima
– Células endoteliais, epitélio
pavimentoso simples e
lâmina basal, tecido conjuntivo
subendotelial delgado
• Túnica média
– Delgada
• Túnica adventícia
– Tecido conjuntivo.
Artéria grande calibre Veia grande calibre
Vasos Linfático
• São revestidos por um endotélio
• As camadas são mal definidas e finas
• Não têm uma membrana basal bem definidas e
não têm pericitos
• Circula linfa ao invés de sangue
• Pode conter linfócitos e macrófagos
• Válvulas que regulam a direção do fluxo da linfa
• Escoa para o sistema venoso de sangue, na
junção da veia jugular interna esquerda, com a
veia subclávia esquerda.
histologia cardiovascular.pptx

histologia cardiovascular.pptx

  • 2.
    Sistema Cardiovascular Aparelho circulatório •Sistema fechado, circula o sangue, uma só direção, dentro de vasos sanguíneos, bombeado por bomba muscular  coração • Funções de transporte de gases, nutrientes, resíduos metabólicos, calor, hormônios, intercâmbio de materiais, distribuição de mecanismos de defesa • Sistemas – Arterial – Venoso – Linfático • Órgãos – Coração – Vasos • Artérias • Capilares • Veias
  • 3.
    Desenvolvimento do Sistema Cardiovascular •Surge na metade da 3ª semana, primeiro sistema a funcionar, derivado do mesoderma • Par de cordões endoteliais – cordões angiogênicos – no mesoderma cardiogênico (sinal precoce) • Cordões endoteliais canalizam-se para formar tubos cardiogênicos delgados
  • 4.
    Sistema Cardiovascular • Conformeocorre o dobramento do embrião, os tubos endocárdicos cardíacos se aproximam e se fundem para formarem um tubo único • A fusão dos tubos inicia-se na extremidade cranial e se estende caudalmente • O coração começa a bater entre os dias 22 e 23 • O fluxo sanguíneo começa durante a 4ª semana
  • 5.
    O coração • Éum órgão oco, localizado na cavidade torácica, no centro do peito, entre os pulmões, sobre o diafragma • Órgão que se contrai de modo ritmico
  • 6.
    Coração Três camadas • Opericárdio envolve todo o coração externamente é constituído de tecido pavimentoso simples • O miocárdio é a camada mais espessa, constituída de tecido muscular estriado cardíaco • O endocárdio está formado de tecido epitelial pavimentoso simples, o endotélio
  • 7.
    Coração • Paredes cardíacas constituída por três túnicas
  • 8.
    Coração • Túnica externa:Pericárdio • Dupla membrana que envolve o coração: parietal e visceral • Tecido: epitélio pavimentoso simples (membrana serosa), tecido conjuntivo frouxo, vasos e nervos • Função principal: proteção
  • 9.
    Coração • Túnica média:Miocárdio • Tecido muscular cardíaco • Responsável pelas contrações involuntárias do coração • Arranjo de células variadas Discos intercalares
  • 11.
    Válvulas atrioventriculares • Ocoração possui válvulas cardíacas que funcionam ritmicamente e que permitem que o sangue se mova pelas câmaras do coração em uma única direção, impedindo seu movimento em sentido contrário. Constituída por uma membrana de endocárdio e tecido conjuntivo denso
  • 13.
    Nutrição do coração •O coração possui a sua própria rede de abastecimento, chamada de sistema coronário que provem de sangue o coração mediante as artérias coronárias direita e esquerda, provenientes da aorta
  • 14.
    Sistemas de conduçãode impulsos Potencial de ação é gerado no nódulo sinoatrial e se propaga por todo o coração Despolarização das células musculares cardíacas especializadas: 70X/min Simpático ↑ Parassimpático↓
  • 15.
    Sistemas de conduçãode impulsos • Nó sinoatrial  marca-passo do coração • Determina a geração do batimento cardíaco • Aglomerado de células musculares cardíacas modificadas com aspecto histológico fusiforme • Fibras menores das encontradas no coração • Menor quantidade de miofibrilas • Localizado na união da veia cava superior e o átrio
  • 16.
    Sistemas de conduçãode impulsos • Nó atrioventricular e rede de Purkinje • Células similares ao nó atrioventricular • Células se ramificam • Projeções citoplasmáticas em várias direções • Forma uma rede (Feixe Atrioventricular) • Localização: na inserção da válvula Tricúspide
  • 17.
    Estruturas Sensoriais Especializadasdas Artérias • Corpos carotídeos e corpos aórticos – Quimiorreceptores • O2 – baixa tensão • CO2 – alta tensão • pH – baixo do sangue arterial • Seios carotídeos – São barorreceptores • Detectam modificações na pressão sangüínea e enviam para o SNC
  • 18.
    Veias Artérias Veias de grandecalibre Veias de médio calibre Vênulas Artérias de grande calibre ou elásticas Artérias de médio calibre ou musculares Arteríolas Vasos Sanguíneos
  • 19.
    Artérias Artérias degrande calibre ou elásticas Artérias de médio calibre ou musculares Arteríolas Sistema Arterial: constituído pelas artérias, distribui o sangue oxigenado, responsável por nutrir e manter boas condições para o organismo.
  • 20.
    Veias Veias de grande calibre Veias de médio calibre Vênulas SistemaVenoso: constituído pelas veias, transportam o sangue desoxigenado, as impurezas até os pulmões para ser novamente oxigenado.
  • 21.
    Capilares sanguíneos • Vasossangüíneos se ramificam e formam vasos de paredes mais finas: – Capilares – Vênulas pós-capilares artérias  capilares  veias
  • 22.
    Artérias  Capilares Veias Sistema porta venoso • Sistema porta hepático • veia  capilares  veia • S. porta hipotalâmico- hipofisiário • veia  capilares  veia Sistema porta arterial • Sistema porta arterial dos rins – arteríola  capilares  arteríola Sistema Cardiovascular
  • 23.
    • 1. ArteríolaCapilar Vênula • 2. Anastomose Artériovenosa • 3. Sistema Porta Arterial dos Rins • 4. Sistema Porta Arterial Venoso (fígado). Sistema Cardiovascular
  • 24.
  • 25.
    Túnica intima decélulas endoteliais Lâmina basal Tecido conjuntivo frouxo sub-endotelial, e pode ter células musculares lisas
  • 26.
    Túnica média de células musculareslisas + fibras elásticas + proteoglicanas
  • 27.
    Túnica adventícia: Tecido conjuntivo commacrófagos, fibroblastos, músculo liso, vasos sangüíneos e terminações nervosas.
  • 28.
    Parede da ArtériaElástica • Túnica íntima – Endotélio: epitélio pavimentoso simples – Camada subendotelial, conjuntivo com fibras colágenas e elásticas, células musculares lisas e macrófagos – Membrana elástica interna • Túnica média – Possui material elástico circular, entre as quais estão as células musculares lisas em circular • Túnica adventícia – Conjuntivo com fibras elásticas, colágenas, fibroblastos e macrófagos – Vasa vasorum – vasos que nutrem a parede do vaso sangüíneo – Nervi vascularis – nervos
  • 30.
  • 31.
    Parede da ArtériaElástica Artéria grande calibre
  • 32.
    Parede da ArtériaMuscular • Túnica íntima – Endotélio: epitélio pavimentoso simples e lâmina basal, tecido conjuntivo subendotelial escasso – Limitante elástica interna • Túnica média – Células musculares lisas, unidas com junções comunicantes em espiral, fibras colágenas e elásticas. – Limitante elástica externa • Túnica adventícia – Tecido conjuntivo mais espesso que na artéria elástica, fibras de colágeno e elástica, fibroblastos, nervos e vasa vasorum
  • 34.
    Artéria pequeno calibreou arteríola • Túnica íntima de células endoteliais (epitélio pavimentoso simples), camada subendotelial, membrana limitante interna nem sempre visível • Túnica média com 1 a 2 camadas de células musculares lisas • A membrana limitante externa nem sempre visível • Túnica adventícia pouco desenvolvida
  • 36.
    Capilares • Contínuos ousomáticos • Fenestrados ou viscerais • Sinusóides
  • 37.
    Capilares contínuos ousomáticos • Células endoteliais contínuas, ligadas por junções oclusivas • As substâncias atravessam a parede por vesículas de pinocitose – Timo e SNC
  • 38.
    CAPILARES FENESTRADOS OUVISCERAIS • Apresentam orifícios na parede das células, lâmina basal contínua – Glândulas endócrinas, rins
  • 39.
    CAPILARES SINUSÓIDES • Trajetosinuoso, diâmetro amplo e irregular, lâmina basal descontínua – Fígado, baço e medula óssea
  • 40.
    Veia de GrandeCalibre • Túnica íntima – Endotélio, epitélio pavimentoso simples e lâmina basal, subendotelial delgado • Túnica média – Músculo liso, fibras colágenas e elásticas • Túnica adventícia – É a túnica mais desenvolvida, tecido conjuntivo mais espesso, músculo liso longitudinal, fibras de colágeno e elástica, fibroblastos, nervos e vasa vasorum.
  • 41.
    Veia grande calibre Veiade Grande Calibre
  • 42.
    • Veia deMédio Calibre • Túnica íntima – Células endoteliais, epitélio pavimentoso simples e lâmina basal, subendotelial delgado • Túnica média – Células musculares lisas, unidas com junções, fibras colágenas e elásticas, pouco desenvolvida • Túnica adventícia – Tecido conjuntivo mais espesso, fibras de colágeno e elástica, fibroblastos, nervos e vasa vasorum. • Veia de Pequeno Calibre (Vênulas) • Túnica íntima – Células endoteliais, epitélio pavimentoso simples e lâmina basal, tecido conjuntivo subendotelial delgado • Túnica média – Delgada • Túnica adventícia – Tecido conjuntivo.
  • 44.
    Artéria grande calibreVeia grande calibre
  • 45.
    Vasos Linfático • Sãorevestidos por um endotélio • As camadas são mal definidas e finas • Não têm uma membrana basal bem definidas e não têm pericitos • Circula linfa ao invés de sangue • Pode conter linfócitos e macrófagos • Válvulas que regulam a direção do fluxo da linfa • Escoa para o sistema venoso de sangue, na junção da veia jugular interna esquerda, com a veia subclávia esquerda.