CERATOCISTO
ODONTOGÊNICO
Afinal, ceratocisto é uma neoplasia maligna?
INTRODUÇÃO
O ceratocisto odontogênico (CO) é um cisto benigno que pode se tornar
cancerígeno.
Ele se origina dos restos da lâmina dentária e afeta principalmente a
mandíbula.
 O ceratocisto odontogênico é um tumor originado de células da lâmina dentária.
Representa 3 a 11 % das lesões odontogênicas de aspecto cístico. Diferente dos
demais cistos que crescem devido ao aumento da pressão osmótica, além disto,
parece ter um mecanismo próprio de crescimento relacionado a fatores
inerentes do próprio epitélio ou com a atividade enzimática na cápsula fibrosa.
Patologia Oral e Maxilofacial Neville 2009
Apesar de haver grandes variações na frequência descrita para os
ceratocistos odontogênicos, quando comparada a outros tipos de cistos
odontogênicos, diversos estudos que incluem grandes séries de cistos
indicam que o ceratocisto odontogênico é responsável por 3% a 11% de
todos os cistos odontogênicos.
Patologia Oral e Maxilofacial Neville 2009
CARACTERÍSTICAS CLÍNICAS
E RADIOGRÁFICAS
Pequenos ceratocistos odontogênicos
geralmente são as sintomáticos e descobertos
somente durante o curso de um exame
radiográfico. Ceratocistos odontogênicos de
grandes dimensões podem estar associados a
dor, edema ou drenagem. Alguns cistos
extremamente grandes, contudo, podem ser
assintomáticos.
Os ceratocistos odontogênicos podem ser encontrados em
pacientes com idade variável, desde a infância até a velhice,
mas cerca de 60% de todos os casos são diagnosticados em
pessoas entre 10 e 40 anos. Há uma leve preferência por
homens. A mandíbula é acometida em 60% a 80% dos casos,
com uma marcante tendência para o envolvimento do corpo
posterior e do ramo da mandíbula.
Os ceratocistos odontogênicos tendem a crescer em uma direção ântero-posterior, dentro da
cavidade medular do osso, sem causar expansão óssea óbvia. Essa característica pode ser útil
para o diagnóstico diferencial clínico e radio gráfico, pois os cistos dentígeros e radiculares de
tamanho comparável geralmente estão associados à expansão óssea. Múltiplos ceratocistos
odontogênicos podem estar presentes e tais pacientes devem ser avaliados em busca de
outras manifestações da síndrome do carcinoma nevoide baso celular (Gorlin).
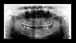
Os ceratocistos odontogênicos exibem uma área radio lúcida, com margens escleróticas
frequentemente bem definidas. Lesões grandes, particularmente no corpo posterior e no
ramo da mandíbula, podem se apresentar multiloculadas.
CASO CLÍNICO
CASO CLÍNICO
Acervo pessoal
TRATAMENTO E PROGNÓSTICO
Apesar de poder haver suspeita da presença de um ceratocisto odontogênico a partir dos exames
clínicos e radiográficos, a confirmação histopatológica é requerida para o diagnóstico definitivo.
Consequentemente, a maioria dos ceratocistos odontogênicos é tratada de forma similar a outros
cistos odontogênicos, ou seja, através de enucleação e curetagem. A remoção completa de um
cisto em uma única peça frequentemente é difícil devido à natureza delgada e friável de sua
parede cística. Em contraste com outros cistos odontogênicos, os ceratocistos odontogênicos com
frequência tendem a recorrer após o tratamento. Ainda não se pode determinar com certeza se
isso se deve a fragmentos do cisto original que não foram removidos no momento da cirurgia, ou
a “novos” cistos que se desenvolveram a partir de restos da lâmina dental na área geral do cisto
original.
REFERÊNCIAS
Capitulo 15

CERATOCISTO ODONTOGÊNICO.pptx303033000000

  • 1.
  • 2.
    Afinal, ceratocisto éuma neoplasia maligna?
  • 3.
    INTRODUÇÃO O ceratocisto odontogênico(CO) é um cisto benigno que pode se tornar cancerígeno. Ele se origina dos restos da lâmina dentária e afeta principalmente a mandíbula.  O ceratocisto odontogênico é um tumor originado de células da lâmina dentária. Representa 3 a 11 % das lesões odontogênicas de aspecto cístico. Diferente dos demais cistos que crescem devido ao aumento da pressão osmótica, além disto, parece ter um mecanismo próprio de crescimento relacionado a fatores inerentes do próprio epitélio ou com a atividade enzimática na cápsula fibrosa. Patologia Oral e Maxilofacial Neville 2009
  • 4.
    Apesar de havergrandes variações na frequência descrita para os ceratocistos odontogênicos, quando comparada a outros tipos de cistos odontogênicos, diversos estudos que incluem grandes séries de cistos indicam que o ceratocisto odontogênico é responsável por 3% a 11% de todos os cistos odontogênicos. Patologia Oral e Maxilofacial Neville 2009
  • 6.
    CARACTERÍSTICAS CLÍNICAS E RADIOGRÁFICAS Pequenosceratocistos odontogênicos geralmente são as sintomáticos e descobertos somente durante o curso de um exame radiográfico. Ceratocistos odontogênicos de grandes dimensões podem estar associados a dor, edema ou drenagem. Alguns cistos extremamente grandes, contudo, podem ser assintomáticos. Os ceratocistos odontogênicos podem ser encontrados em pacientes com idade variável, desde a infância até a velhice, mas cerca de 60% de todos os casos são diagnosticados em pessoas entre 10 e 40 anos. Há uma leve preferência por homens. A mandíbula é acometida em 60% a 80% dos casos, com uma marcante tendência para o envolvimento do corpo posterior e do ramo da mandíbula.
  • 7.
    Os ceratocistos odontogênicostendem a crescer em uma direção ântero-posterior, dentro da cavidade medular do osso, sem causar expansão óssea óbvia. Essa característica pode ser útil para o diagnóstico diferencial clínico e radio gráfico, pois os cistos dentígeros e radiculares de tamanho comparável geralmente estão associados à expansão óssea. Múltiplos ceratocistos odontogênicos podem estar presentes e tais pacientes devem ser avaliados em busca de outras manifestações da síndrome do carcinoma nevoide baso celular (Gorlin).
  • 8.
    Os ceratocistos odontogênicosexibem uma área radio lúcida, com margens escleróticas frequentemente bem definidas. Lesões grandes, particularmente no corpo posterior e no ramo da mandíbula, podem se apresentar multiloculadas.
  • 9.
  • 11.
  • 16.
    TRATAMENTO E PROGNÓSTICO Apesarde poder haver suspeita da presença de um ceratocisto odontogênico a partir dos exames clínicos e radiográficos, a confirmação histopatológica é requerida para o diagnóstico definitivo. Consequentemente, a maioria dos ceratocistos odontogênicos é tratada de forma similar a outros cistos odontogênicos, ou seja, através de enucleação e curetagem. A remoção completa de um cisto em uma única peça frequentemente é difícil devido à natureza delgada e friável de sua parede cística. Em contraste com outros cistos odontogênicos, os ceratocistos odontogênicos com frequência tendem a recorrer após o tratamento. Ainda não se pode determinar com certeza se isso se deve a fragmentos do cisto original que não foram removidos no momento da cirurgia, ou a “novos” cistos que se desenvolveram a partir de restos da lâmina dental na área geral do cisto original.
  • 17.

Notas do Editor

  • #2 Um cisto é uma bolsa cheia de líquido, ar ou outro material, geralmente benigna, enquanto um tumor é uma massa de células, que pode ser benigna (não cancerosa) ou maligna (cancerosa).