Objetivo
critérios de biocompatibilidade,
técnicas de uso embasado numa
revisão bibliográfica de diferentes
trabalhos e autores sobre a matéria.
Emprego dos magnetos na ortodontia –ortopedia dos maxilares
Behrman e EganEmprego: Prótese Dentária
Retenção de prótese dentária
1953
Magnetos(Imãs)Forças convencionais
em Ortodontia -Ortopedia dos Maxilares
Uma nova fonte de energia para geração de forças em ortodontia-ortopedia dos maxilares
O magneto tem a
habilidade de atrair o
ferro ou ligas de ferro .
Os campos magnéticos
induzem mudanças no
meio que o circunda e
isto se chama –densidade
do fluxo
O fluxo magnético, , é uma
grandeza física que está
relacionada com o número de
linhas de campo que
atravessam uma determinada
área
O magneto tem a
habilidade de atrair o
ferro ou ligas de ferro .
Os campos magnéticos
induzem mudanças no
meio que o circunda e
isto se chama –densidade
do fluxo
O fluxo magnético, , é uma
grandeza física que está
relacionada com o número de
linhas de campo que
atravessam uma determinada
área
As forças ,seja de atração ou repulsão são inversamente proporcionais ao quadrado da distancia
promover movimentações dentarias e esqueléticas
A ortodontia utiliza esta capacidade de atração e repulsão incorporando magnetos nos aparelhos fixos e removíveis
As forças ,seja de atração ou repulsão são inversamente proporcionais ao quadrado da distancia
Os testes biológicos são realizados em três níveis
Nível 1 (in vitro) meios de cultura
Estimulação de certos parâmetros biológicos,proliferação celular e
osteogênese
Nível 2- estudo em animais
Implantes de platina –cobalto ,samário-cobalto mostraram uma seqüência de reparo nas estruturas ósseas e
ausência de efeitos adversos a nível de células sanguíneas,polpa dentária ,periodonto ,gengivas,mucosa ou
,osso alveolar .
Nível 3-Nenhuma mudança de polpa humana ou tecido gengival adjacente
aos magnetos nem a mucosa oral.
Estudos realizados por vários autores com testes sobre a segurança biológica
sugerem que o risco de lesionar ou danos são insignificantes ou remotos.
L Bondemark,
Magnetos de neodímio –ferro-boro não revestidos,assim como
Sm2Co17
revestidos de parylene e magnetos de neodímio –ferro-boro
revestidos
apresentaram uma toxicidade insignificante.
Observou também que a exposição ao campo magnético
estático não causa nenhum efeito tóxico sobre as células.
British Journal of. Orthodontics, Vol. 21, 335-341,
Blechman- Smiley
AlNiCo
Resultados: nenhum indicio de efeitos sobre as vísceras, nem ao redor do aparelho magnético.
5
As forças geradas neste experimento com magnetos em atração com uma indução magnética de 1200gauss foi
aproximadamente 30 grs com 3 a 4 mm de separação.
Justificativa(Blechman): vivemos num ambiente de
campos magnéticos.A evolução e os processos
biológicos normais podem bem ser campo
magnéticos dependentes (0.3 a 0.6 Gauss ao nível do
mar).Desde que campos elétricos e magnéticos são
interdependentes existem campos magnéticos
fisiológicos constantemente.Considerando nossa
constante exposição em casa no carro e ao atravessar
a rua sob os fios de alta tensão.
Reproduzido de BLECHMAN,A.M.(AMJO1987)
Magnetos –uma alternativa molas
Samário -cobalto
BLECHMAN,A.M.(1987)
Vardimom.AD Stutzman,Graber Petrovic
Material:Magnetos de terras raras:
Samário cobalto
neodímio ferro Boro
Ajodo1999
Finalidade: corrigiras maloclusoes dento esqueléticas
Magnetos de neodímio ferro boro
Incremento do crescimento mandibular em animais :
animais tratados(x =2.83) controle(X= 0.43) forças em atração
O crescimento se deve ao incremento da proliferação celular
Predizer os níveis de forças
Melhor direcionamento de forças
Exercer a força através da mucosa e dos ossos
Sem fricção
Sem desconforto (menos volumoso)e colaboração
O emprego dos magnetos modificou a nomenclatura da ortopedia facial:
1-Aparelhos ortopédicos ativos-magnetos
2-Aparelhos ortopédicos passivos-Força muscular
EAD (Botler)
Jornal da Associação brasileira de ortopedia dos maxilares-
ABOM 1994
Novembro/dezembro
Fixos
removíveis
Componentes:
Moldura e magnetos
Componentes:
Moldura -fios 0.7 de aço Inox para confecção de arcos
palatinos ou linguais onde acoplamos os magnetos.
Forças:Utilizamos magnetos de terras raras de neodímio –
ferro-boro na dimensão de 3x3x1(Sandler) ou cilíndricos .
A localização dos magnetos varia de acordo com as
necessidades mecânicas das anomalias a serem tratadas.
Mordidas cruzadas
Mordidas abertas
Perfil côncavo
Perfil convexo Sobre mordida acentuada
Fissurados
Paciente HL 5anos
antes depois
Arco palatino com magnetos
Fio 0.7 aço inox
magneto de neodímio ferro boro cilíndrico
Forças em atração
Placa flexível inferior commagnetos
A densidade do fluxo em pontos predeterminados nos modelos é dada em gauss
Densidade do Fluxo BondemarK Am .J. orthod -Maio 1995
7.5
2816
3
3
33
35
22
35
40
35
8
2
7
1.5
0.5
0.5
18
6
1.5
Aciente HL
Paciente :AS 5anos
Antes depos
1 Placas flexiveis de termoplastico (
*scheu _dentalGerrmany)
Espessura 2x1.5 mm
Magnetos Neodimio ferro boro) 3x3x1’
(magnet developmenets ltd UK)Sandler
Peça hibrida com escudos laterais
para musculatura e magnetos neodimio ferro boro
Classe III- perfil côncavo
Classe II Ia
45g
219g 570
atração
g Aparatologia : Fomma II –Vardimom ,Stutzman ,Petrovic Laverne
A performance funcional do aparelho e incrementada quando
a interface do magneto atua como um plano inclinado
Assim a correção ocorre pela reconstrução da mordida e
conseqüente crescimento facial.
Impactados
Palatina inicial
Obs.raiz lateral rebsorção
Tracionamentos
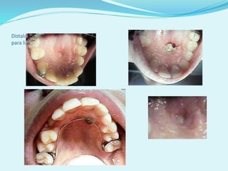
Distalamento do canino
para liberar lateral
Distalamento do canino
para liberar lateral
Tracionamentos -Impactados
Paciente I 10 anos Ausência de feixe muscular
Antes Depois
O ronco não pode mais ser avaliado pelo seu aspecto social e deve ser
considerado um problema médico pois pode preceder a OSA em mais de
90% dos casos
Evidence-Based Dentistry (2002)
Evidência científica sugere que os aparelhos dentários constituem
uma ferramenta coadjuvante no tratamento da apnea obstrutiva do sono
Evidence-Based Dentistry (2002) 3, 51-51
Aparelho com magneto Aparelho com parfuso
Parada respiratória durante sono,produzindo vários despertares ,presença de ronco e sonolência diurna
Darendeliler Scheu-Dental
Conclusão
Utilização das forças magnéticas como alternativa viável
as forças utilizadas em ortodontia -ortopedia dos maxilares
1-Forças totalmente sob controle do profissional
A.elimina o fator cooperação
B.controle do vetor de força
2-Tamanho do magneto(miniaturizado)
4- Controle de forças nos três planos de espaço
pelo profissional
3-Forças geradas com suficiente intensidade
e duração
5-Sem desconforto,inócua
Una serie de investigaciones recientes muy atractivas están orientadas
al desarrollo de aleaciones ordenadas de hierro y platino conocidas
como L 10.
Física dos magnetos
Produção de Energia (Considerações técnicas)
A produção de energia é calculada multiplicando a densidade do fluxo
do campo (B) pela força magneto motiva(H)
BxH
Quanto maior o BH mais forte o magneto ,mais força produzida
BH max é o ponto Maximo de energia gerado por um magneto
BH max se refere ao menor tamanho de magneto operando no
ponto máximo de energia
A densidade do fluxo do campo se mede em Gauss
a força magneto motiva em oersteds

Aula magnetos em ortodontia

  • 2.
    Objetivo critérios de biocompatibilidade, técnicasde uso embasado numa revisão bibliográfica de diferentes trabalhos e autores sobre a matéria. Emprego dos magnetos na ortodontia –ortopedia dos maxilares
  • 3.
    Behrman e EganEmprego:Prótese Dentária Retenção de prótese dentária 1953
  • 4.
    Magnetos(Imãs)Forças convencionais em Ortodontia-Ortopedia dos Maxilares Uma nova fonte de energia para geração de forças em ortodontia-ortopedia dos maxilares
  • 5.
    O magneto tema habilidade de atrair o ferro ou ligas de ferro . Os campos magnéticos induzem mudanças no meio que o circunda e isto se chama –densidade do fluxo O fluxo magnético, , é uma grandeza física que está relacionada com o número de linhas de campo que atravessam uma determinada área
  • 6.
    O magneto tema habilidade de atrair o ferro ou ligas de ferro . Os campos magnéticos induzem mudanças no meio que o circunda e isto se chama –densidade do fluxo O fluxo magnético, , é uma grandeza física que está relacionada com o número de linhas de campo que atravessam uma determinada área
  • 7.
    As forças ,sejade atração ou repulsão são inversamente proporcionais ao quadrado da distancia promover movimentações dentarias e esqueléticas A ortodontia utiliza esta capacidade de atração e repulsão incorporando magnetos nos aparelhos fixos e removíveis As forças ,seja de atração ou repulsão são inversamente proporcionais ao quadrado da distancia
  • 8.
    Os testes biológicossão realizados em três níveis Nível 1 (in vitro) meios de cultura Estimulação de certos parâmetros biológicos,proliferação celular e osteogênese Nível 2- estudo em animais Implantes de platina –cobalto ,samário-cobalto mostraram uma seqüência de reparo nas estruturas ósseas e ausência de efeitos adversos a nível de células sanguíneas,polpa dentária ,periodonto ,gengivas,mucosa ou ,osso alveolar . Nível 3-Nenhuma mudança de polpa humana ou tecido gengival adjacente aos magnetos nem a mucosa oral.
  • 9.
    Estudos realizados porvários autores com testes sobre a segurança biológica sugerem que o risco de lesionar ou danos são insignificantes ou remotos. L Bondemark, Magnetos de neodímio –ferro-boro não revestidos,assim como Sm2Co17 revestidos de parylene e magnetos de neodímio –ferro-boro revestidos apresentaram uma toxicidade insignificante. Observou também que a exposição ao campo magnético estático não causa nenhum efeito tóxico sobre as células. British Journal of. Orthodontics, Vol. 21, 335-341,
  • 10.
    Blechman- Smiley AlNiCo Resultados: nenhumindicio de efeitos sobre as vísceras, nem ao redor do aparelho magnético. 5 As forças geradas neste experimento com magnetos em atração com uma indução magnética de 1200gauss foi aproximadamente 30 grs com 3 a 4 mm de separação. Justificativa(Blechman): vivemos num ambiente de campos magnéticos.A evolução e os processos biológicos normais podem bem ser campo magnéticos dependentes (0.3 a 0.6 Gauss ao nível do mar).Desde que campos elétricos e magnéticos são interdependentes existem campos magnéticos fisiológicos constantemente.Considerando nossa constante exposição em casa no carro e ao atravessar a rua sob os fios de alta tensão.
  • 11.
    Reproduzido de BLECHMAN,A.M.(AMJO1987) Magnetos–uma alternativa molas Samário -cobalto
  • 12.
  • 13.
    Vardimom.AD Stutzman,Graber Petrovic Material:Magnetosde terras raras: Samário cobalto neodímio ferro Boro Ajodo1999 Finalidade: corrigiras maloclusoes dento esqueléticas Magnetos de neodímio ferro boro Incremento do crescimento mandibular em animais : animais tratados(x =2.83) controle(X= 0.43) forças em atração O crescimento se deve ao incremento da proliferação celular
  • 14.
    Predizer os níveisde forças Melhor direcionamento de forças Exercer a força através da mucosa e dos ossos Sem fricção Sem desconforto (menos volumoso)e colaboração
  • 15.
    O emprego dosmagnetos modificou a nomenclatura da ortopedia facial: 1-Aparelhos ortopédicos ativos-magnetos 2-Aparelhos ortopédicos passivos-Força muscular EAD (Botler) Jornal da Associação brasileira de ortopedia dos maxilares- ABOM 1994 Novembro/dezembro
  • 16.
  • 17.
    Componentes: Moldura -fios 0.7de aço Inox para confecção de arcos palatinos ou linguais onde acoplamos os magnetos. Forças:Utilizamos magnetos de terras raras de neodímio – ferro-boro na dimensão de 3x3x1(Sandler) ou cilíndricos . A localização dos magnetos varia de acordo com as necessidades mecânicas das anomalias a serem tratadas.
  • 19.
    Mordidas cruzadas Mordidas abertas Perfilcôncavo Perfil convexo Sobre mordida acentuada
  • 20.
  • 21.
    Paciente HL 5anos antesdepois Arco palatino com magnetos Fio 0.7 aço inox magneto de neodímio ferro boro cilíndrico Forças em atração Placa flexível inferior commagnetos
  • 22.
    A densidade dofluxo em pontos predeterminados nos modelos é dada em gauss Densidade do Fluxo BondemarK Am .J. orthod -Maio 1995 7.5 2816 3 3 33 35 22 35 40 35 8 2 7 1.5 0.5 0.5 18 6 1.5
  • 23.
  • 24.
    Paciente :AS 5anos Antesdepos 1 Placas flexiveis de termoplastico ( *scheu _dentalGerrmany) Espessura 2x1.5 mm Magnetos Neodimio ferro boro) 3x3x1’ (magnet developmenets ltd UK)Sandler Peça hibrida com escudos laterais para musculatura e magnetos neodimio ferro boro
  • 25.
  • 27.
    Classe II Ia 45g 219g570 atração g Aparatologia : Fomma II –Vardimom ,Stutzman ,Petrovic Laverne A performance funcional do aparelho e incrementada quando a interface do magneto atua como um plano inclinado Assim a correção ocorre pela reconstrução da mordida e conseqüente crescimento facial.
  • 29.
  • 30.
    Palatina inicial Obs.raiz lateralrebsorção Tracionamentos
  • 31.
  • 32.
  • 34.
  • 35.
    Paciente I 10anos Ausência de feixe muscular Antes Depois
  • 36.
    O ronco nãopode mais ser avaliado pelo seu aspecto social e deve ser considerado um problema médico pois pode preceder a OSA em mais de 90% dos casos Evidence-Based Dentistry (2002) Evidência científica sugere que os aparelhos dentários constituem uma ferramenta coadjuvante no tratamento da apnea obstrutiva do sono Evidence-Based Dentistry (2002) 3, 51-51 Aparelho com magneto Aparelho com parfuso
  • 37.
    Parada respiratória durantesono,produzindo vários despertares ,presença de ronco e sonolência diurna Darendeliler Scheu-Dental
  • 38.
    Conclusão Utilização das forçasmagnéticas como alternativa viável as forças utilizadas em ortodontia -ortopedia dos maxilares 1-Forças totalmente sob controle do profissional A.elimina o fator cooperação B.controle do vetor de força 2-Tamanho do magneto(miniaturizado) 4- Controle de forças nos três planos de espaço pelo profissional 3-Forças geradas com suficiente intensidade e duração 5-Sem desconforto,inócua
  • 39.
    Una serie deinvestigaciones recientes muy atractivas están orientadas al desarrollo de aleaciones ordenadas de hierro y platino conocidas como L 10.
  • 40.
    Física dos magnetos Produçãode Energia (Considerações técnicas) A produção de energia é calculada multiplicando a densidade do fluxo do campo (B) pela força magneto motiva(H) BxH Quanto maior o BH mais forte o magneto ,mais força produzida BH max é o ponto Maximo de energia gerado por um magneto BH max se refere ao menor tamanho de magneto operando no ponto máximo de energia A densidade do fluxo do campo se mede em Gauss a força magneto motiva em oersteds