Caso Clínico
104 Rev Dental Press Estét. 2010 jul-set;7(3):104-16
Chrys Morett Carvalho de Freitas*
Wilker Morett Carvalho de Freitas**
Rivanda Martins Costa de Freitas***
	 *	 Especialista em Prótese Dentária pela ABO/MA. Mestrando em Prótese Dentária na Faculdade São Leopoldo Mandic – Campinas/SP. Professor do curso de especialização em Dentística do
Uniceuma (São Luís/MA).
	 **	 Pós-graduado em Ortodontia pela ABO/MA.
	 ***	 Aluna do Curso de Graduação do Uniceuma (São Luís/MA).
Freitas CMC, Freitas WMC, Freitas RMC
105Rev Dental Press Estét. 2010 jul-set;7(3):104-16
Desafio estético em dentes anteriores:
aplicando a biomimética – relato de um caso clínico
Aesthetic challenge in upper teeth: applying biomimetics - clinical case report
Resumo
Os conceitos restauradores mudaram drasticamente, influen-
ciados principalmente pelos conhecimentos sobre a adesão.
Com isso, a filosofia restauradora se modificou, estamos em
busca de materiais restauradores que se comportem de for-
ma semelhante à estrutura dentária, objeto de estudo da Bio-
mimética. Historicamente, a filosofia de seleção de materiais
restauradores foi sempre baseada naquele de maior resis-
tência, ou dureza. Entender que os materiais restauradores
não devem ser selecionados somente pela sua rigidez, e sim
com base em seu comportamento biomecânico, é o objetivo
desse artigo através de um relato de um caso clínico.
Abstract
Restorative concepts have changed dramatically, influ-
enced by the knowledge of the adhesion. Thus the re-
storative philosophy has changed, we are in search of
restorative materials that behave similarly to the tooth
structure, subject studied by the biomimetics. Historical-
ly, the philosophy of restorative materials selection has
always been based on the highest solidness or hardness.
The understanding that the restorative materials should
be selected not only because of their rigidity, but based
on biomechanical behavior, is the goal of this article by
means of a case report.
Keywords: Restorative materials. Dental ceramics. BiomimeticsPalavras-chave: Materiais restauradores. Cerâmicas dentárias.
Biomimética.
Desafio estético em dentes anteriores: aplicando a biomimética – relato de um caso clínico
106 Rev Dental Press Estét. 2010 jul-set;7(3):104-16
INTRODUÇÃO
Muito tem sido escrito e discutido sobre estética,
principalmente a estética da face e do sorriso3
. As leis
douradas, através de suas proporções matemáticas,
ganharam uma valorização frente aos profissionais
que trabalham com Odontologia Restauradora, e são
definidas como ponto a ser atingido: a proporção di-
vina4,5
. Porém, quando analisamos aqueles que são
considerados belos, há uma predominância da harmo-
nia. Proporções dentárias equilibradas parecem ser a
composição mais segura na obtenção de resultados
estéticos, ou resultados belos7
. O que se tem visto é
que não há um padrão rígido, inflexível.
O padrão talvez seja aquilo que nós, como socie-
dade, definimos de tempos em tempos, em épocas
recentes: ter ouro nos dentes era o que definia a be-
leza dentária, o status. Hoje, vivemos na era da abo-
lição das ligas metálicas, nossas restaurações devem
ser imperceptíveis. Por isso as resinas compostas e as
cerâmicas dentárias são tão bem aceitas, pois mime-
tizam bem a estrutura dentária e substituem as res-
taurações metálicas — preferidas, em outro momento,
pelos dentistas e pacientes, por serem materiais de
alta performance e rigidez. Porém, com a evolução da
ciência, percebemos que não precisamos de materiais
restauradores tão rígidos, pois os mesmos, em desa-
fios de exacerbação das tensões diárias, quase sem-
pre resistem melhor do que a estrutura dentária que,
na maioria das vezes, fratura sobre essas mesmas
tensões9
. O objetivo desse artigo é apresentar, através
do relato de um caso clínico, uma forma clara de apli-
car novos conceitos de materiais biomiméticos.
Relato do caso clínico
Paciente do sexo feminino, com 39 anos de idade,
dirigiu-se a uma clínica privada com intenção de melho-
rar a aparência dos seus dois incisivos centrais superio-
res (Fig. 1). No exame clínico e radiográfico, observou-se
que as restaurações nos elementos 11 e 21 apresenta-
vam-se rugosas e que os dentes haviam sido tratados
endodonticamente (Fig. 2, 3). Com a finalidade de obter
uma aparência mais natural, foi proposta a confecção
de pinos intrarradiculares de fibra de vidro e cerâmicas
adesivas IPS e.max nos elementos dentários 11 e 21.
Inicialmente, foi realizado o isolamento absoluto dos
dentes superiores e deu-se início à desobstrução das
entradas dos canais (Fig. 4 – 7). O preparo dos condu-
tos foi realizado com brocas Gates-Glidden e brocas
Largo do sistema de pino de fibra de vidro (White Post
– FGM) (Fig. 8). O preparo dos pinos seguiu o protocolo
padrão, ou seja, após limpeza dos pinos, foi realizada
aplicação do silano (Monobond S - Ivoclar), secagem e,
posteriormente, aplicação do bond (Adper Scotchbond
Multi - Purpose, 3M) e fotopolimerização. O procedi-
mento de cimentação adesiva do pino foi realizado com
sistema autocondicionante (Adper SE Plus, 3M) (Fig. 9).
Os sistemas adesivos autocondicionantes apresentam
uma vantagem, pois os mesmos não utilizam a técnica
Figura 1 - Sorriso inicial. Figura 2 - Incisivos centrais com restaura-
ções insatisfatórias em resinas compostas.
Figura 3 - Close up dos elementos 11 e 21.
Freitas CMC, Freitas WMC, Freitas RMC
107Rev Dental Press Estét. 2010 jul-set;7(3):104-16
Figura 4 - Dentes com isolamento absoluto. Figura 5 - Vista oclusal: aspecto rugoso das restaurações por palatino.
Figura 6 - Abertura das entradas dos canais. Figura 7 - Canais desobstruídos: preparo dos condutos radiculares
concluído.
Figura 8 - Pinos de fibra de vidro e brocas do kit White Post – FGM. Figura 9 - Sistema autocondicionante (Adper SE Plus -3M) utilizado
na cimentação dos pinos.
Desafio estético em dentes anteriores: aplicando a biomimética – relato de um caso clínico
108 Rev Dental Press Estét. 2010 jul-set;7(3):104-16
úmida — o que, na cimentação adesiva de pinos intrar-
radiculares, é um grande benefício, já que o controle da
umidade no ambiente interno do canal radicular é algo
difícil de se avaliar. A secagem da dentina radicular foi
realizada com cones de papel absorvente até a mesma
ficar completamente desidratada. Procedeu-se à apli-
cação do primer ácido (líquido A – cor rosa) em todo o
conduto radicular e coroa remanescente (Fig. 10), se-
guida da aplicação do adesivo (líquido B) por vinte se-
gundos, até que todo líquido deixasse de ser rosa (Fig.
11, 12). Em seguida, a secagem com ar, para evapo-
ração do solvente (água); e a remoção do excesso do
adesivo intrarradicular com cones de papel absorven-
te e posterior fotopolimerização. Os pinos de fibra de
vidro foram cimentados (Fig. 13) com cimento resinoso
(Allcem - FGM) e preenchimento do remanescente den-
tário com resina composta (Opallis - FGM) na cor B1.
Em seguida, foi inserido no sulco gengival um fio de
afastamento, tamanho 000 (Retraflex – Biodinâmica),
para proteção dos tecidos gengivais durante as etapas de
confecção dos preparos dentários para coroa total (Fig.
14). Os preparos dentários foram realizados com brocas
diamantadas e o acabamento dos ângulos dos preparos
com discos de lixa em baixa rotação. O refinamento do
término cervical foi realizado com brocas de acabamen-
to acopladas em contra-ângulo multiplicador (Koncept –
Kavo) (Fig. 15) e o acabamento do término cervical com
instrumento manual MA -2 (Safident) (Fig. 16).
Figura 10 - Aplicação do primer/ácido na estrutura dentária rema-
nescente e canal radicular.
Figura 11 - Início da aplicação do bond (líquido B) na estrutura dentária
remanescente e canal radicular.
Figura 12 - A aplicação do bond deve ser realizada até o total desa-
parecimento do líquido rosa, indicando que a reação entre o primer
ácido (líquido A, rosa) e o bond (líquido B, amarelo) ocorreu.
Figura 13 - Pinos de fibra de vidro cimentados (cimento resinoso
Allcem – FGM).
Freitas CMC, Freitas WMC, Freitas RMC
109Rev Dental Press Estét. 2010 jul-set;7(3):104-16
Figura 14 - Fio inserido no elemento 11 para proteção da gengiva na
execução do preparo dentário.
Figura 15 - Contra-ângulo multiplicador utilizado no refinamento dos
preparos dentários.
Figura 16 - Preparos executados e polidos (o acabamento cervical
foi realizado com instrumento manual MA 2 – Safident).
Imediatamente após a conclusão dos preparos den-
tários (Fig. 17), procedeu-se à inserção de um segundo
fio de calibre maior (Fig. 18), tamanho 1 (Kinitrax - Pas-
cal). Esse segundo fio deve ser inserido somente até a
entrada do sulco gengival, para promover um desloca-
mento horizontal da margem gengival (Fig. 19). A mol-
dagem dos preparos dentários foi realizada pela técnica
de mistura dupla em passo único (Virtual – Ivoclar) (Fig.
20, 21). Os provisórios foram realizados através do uso
de matrizes dentárias transparentes pré-fabricadas, uti-
lizando técnica de caracterização com resinas acrílicas
incisais e na cor dos dentes remanescentes (Fig. 22).
O protocolo de fotografia foi enviado ao laboratório
para auxiliar o técnico responsável pela confecção das
peças protéticas. Os copings das cerâmicas adesivas
do sistema IPS e.max (Ivoclar Vivadent) foram obtidos
através do processamento CAD/CAM (Cerec, Sirona) —
blocos de cerâmica à base de dissilicato de lítio, poste-
riormente estratificada com cerâmica de cobertura IPS
e.max Ceram (Fig. 23, 24, 25). Essa cerâmica de cober-
tura é à base de nanofluoropatita, com excelentes resul-
tados estéticos e desenvolvida para estratificar todos os
tipos de cerâmicas do sistema IPS e.max7
.
As cerâmicas adesivas à base de dissilicato de lí-
tio devem ser cimentadas seguindo um protocolo pa-
drão de tratamento da superfície da parte interna do
coping, com condicionamento ácido fluorídrico a 10%
por vinte segundos (Fig. 26). Após o condicionamento,
as cerâmicas foram submetidas à lavagem em água
corrente e, posteriormente, ao banho ultrassônico por
4 minutos, em cubeta plástica com álcool 90%. Se-
guiu-se a aplicação do silano (Monobond S, Ivoclar),
secagem e aplicação do adesivo e fotoativação (Adper
Scotchbond Multi-Purpose/3M) (Fig. 27, 28).
A cimentação adesiva segue sempre um pro-
tocolo passo a passo meticuloso. Inicialmente, os
provisórios foram removidos e os preparos limpos,
e foi realizada a prova inicial das coroas com pastas
Try-in (Ivoclar). Essas pastas auxiliam a manipulação
das coroas durante a prova e como a cor do ci-
mento poderá influenciar no resultado final (Fig. 29).
Desafio estético em dentes anteriores: aplicando a biomimética – relato de um caso clínico
110 Rev Dental Press Estét. 2010 jul-set;7(3):104-16
Figura 17 - Vista oclusal dos preparos reali-
zados com o fio 000 (Retraflex – Biodinâmi-
ca) inserido no sulco gengival.
Figura 18 - Segundo fio (Kinitrax – Pascal)
inserido na entrada do sulco. Esse fio tem
como função promover um afastamento la-
teral do tecido gengival.
Figura 19 - Close-up do elemento 21 com
o segundo fio inserido na entrada do sulco.
Figura 20 - Molde obtido (Virtual – Ivoclar). Técnica de moldagem de
mistura dupla em passo único.
Figura 22 - Provisórios imediatos cimentados.
Figura 21 - Close-up do molde no elemento 21. Faça a leitura do
molde e do preparo e compare com o elemento dentário na figura 19.
Freitas CMC, Freitas WMC, Freitas RMC
111Rev Dental Press Estét. 2010 jul-set;7(3):104-16
Figura 23 - Coroas e.max obtidas em siste-
ma CAD/CAM.
Figura 24 - As coroas e.max foram estratifi-
cadas com cerâmica de cobertura com IPS
e.max Ceram à base de nanofluoropatita.
(técnica responsável: Selha de Aguiar Olivei-
ra – Equipe Laboratório Aliança).
Figura 25 - Cerâmicas prontas para receber
protocolo de cimentação adesiva.
Figura 26 - Cerâmicas receberam aplica-
ção, na parte interna do coping, de ácido
fluorídrico a 10% (Condac Porcelana - FGM)
durante vinte segundos.
Figura 27 - Aplicação do silano (Monobond
S, Ivoclar).
Figura 28 - Após aplicação do silano e
evaporação, foi aplicado adesivo (Adper
Scotchbond MP – 3M) e fotoativado por 40
segundos.
Figura 29 - Coroas sendo provadas com auxílio de pastas Try-in (Ivoclar).
Desafio estético em dentes anteriores: aplicando a biomimética – relato de um caso clínico
112 Rev Dental Press Estét. 2010 jul-set;7(3):104-16
Fita veda-rosca foi colocada nos elementos dentários
adjacentes aos dentes preparados, para proteção
durante as etapas de cimentação (observar os fios
de proteção dos tecidos gengivais nas Figuras 30,
31 e 32). Procedeu-se à aplicação de ácido fosfóri-
co a 37% durante 15 segundos, seguida de lavagem
abundante e secagem sem desidratar totalmente. O
sistema adesivo utilizado foi o adesivo dual Excite
DSC (Ivoclar), que foi fotoativado por 30 segundos
(Fig. 33). O agente cimentante utilizado foi o Variolink
II (Ivoclar). Após a manipulação do cimento resinoso,
o mesmo foi inserido no interior da coroa e levado
Figura 33 - Após aplicação do adesivo dual DSC (Excite, Ivoclar), foi realizada a fotoativação por trinta segundos.
Figura 30 - Preparos limpos com fio de afasta-
mento no sulco gengival e os elementos den-
tários vizinhos protegidos com fita veda-rosca
durante as etapas da cimentação adesiva.
Figura 31 - Início da aplicação do ácido fos-
fórico a 37% (Condac – FGM).
Figura 32 - Ácido fosfórico a 37% sendo
aplicado por 15 segundos em toda a estru-
tura dentária preparada, sendo enxaguado
abundantemente em seguida.
Freitas CMC, Freitas WMC, Freitas RMC
113Rev Dental Press Estét. 2010 jul-set;7(3):104-16
Figura 34 - Observa-se o extravasamento
em todas as faces da coroa, assegurando um
perfeito preenchimento.
Figura 35 - Após a fotoativação inicial por
dez segundos, foi removido o excesso do
cimento resinoso (Variolink II, Ivoclar).
Figura 36 - Aplicação do gel de glicerina
(Liquid Strip, Ivoclar) para proteção das mar-
gens contra a ação do oxigênio, que pode
inibir a polimerização do cimento. A fotoati-
vação foi complementada por 90 segundos
em cada face da coroa.
ao dente preparado (Fig. 34). Uma fotopolimerização
inicial, por dez segundos, foi realizada, com a inten-
ção de facilitar a remoção dos excessos (Fig. 35). Foi
aplicado gel de glicerina em toda a interface da res-
tauração (Liquid Strip, Ivoclar) (Fig. 36) e seguiu-se a
fotopolimerização por 90 segundos em cada face da
coroa. O mesmo protocolo de cimentação foi realiza-
do na outra restauração. Realizou-se a remoção do
excesso do cimento com lâmina de bisturi e, poste-
riormente, foi retirado o fio de afastamento do interior
do sulco gengival (Fig. 37). Nas figuras 38 a 42 ob-
serva-se a naturalidade imediata após a cimentação.
Figura 37 - Início da remoção do fio de afastamento do interior do
sulco. Todo o protocolo de cimentação foi realizado no elemento 11.
Figura 38 - Vista frontal imediatamente após a conclusão da ci-
mentação.
Desafio estético em dentes anteriores: aplicando a biomimética – relato de um caso clínico
114 Rev Dental Press Estét. 2010 jul-set;7(3):104-16
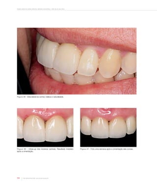
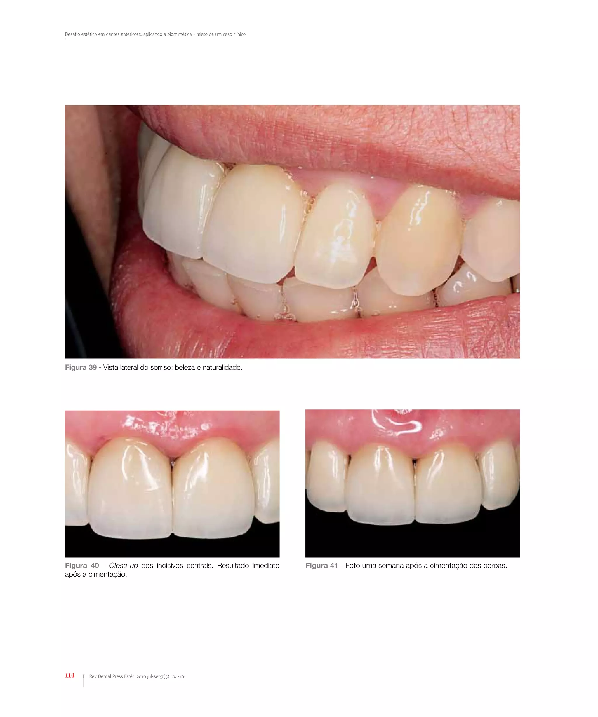
Figura 39 - Vista lateral do sorriso: beleza e naturalidade.
Figura 40 - Close-up dos incisivos centrais. Resultado imediato
após a cimentação.
Figura 41 - Foto uma semana após a cimentação das coroas.
Freitas CMC, Freitas WMC, Freitas RMC
115Rev Dental Press Estét. 2010 jul-set;7(3):104-16
Figura 42 - Sorriso da paciente.
DISCUSSÃO
O padrão dos materiais restauradores tem mu-
dado no decorrer da evolução da ciência, principal-
mente das cerâmicas dentárias6
. Em Odontologia
Restauradora, o resultado final está diretamente li-
gado, sobretudo, às características do material res-
taurador que será utilizado, pois ele dita a forma de
execução dos preparos dentários e todos os pas-
sos seguintes8
. A era das restaurações sem metal
chegou, apesar desses ainda serem muito valiosos
na clínica diária. Propostas novas de execução de
preparos dentários minimizando o custo biológico
são uma promissora tendência! É a vez dos mate-
riais restauradores que se comportam de forma mais
parecida com a estrutura dentária: filosofia biomimé-
tica ou “tooth-like”10,11
. A meta do biomimetismo em
Odontologia Restauradora é o retorno ao pleno fun-
cionamento dos tecidos dentários preparados, que
possibilita que a adesão aos tecidos duros forme um
vínculo funcional que permite que o estresse se dis-
tribua por todo o dente, tirando da coroa toda sua
finalidade estética e funcional. Restaurar ou imitar a
biomecânica da estrutura dentária constitui a força
motriz desse processo, e aplicar esses conceitos
elevando-os a um nível macroestrutural pode inovar
os conceitos em Odontologia Restauradora9
. Nos
últimos anos, entendemos que talvez nossos mate-
riais não precisassem ser tão rígidos, começamos a
olhar para a estrutura dentária e observar que a ade-
são entre o esmalte e a dentina se relaciona de uma
forma complexa e bela; por isso o esmalte, estrutura
friável, resiste bem aos desafios mastigatórios9,10
.
Desafio estético em dentes anteriores: aplicando a biomimética – relato de um caso clínico
116 Rev Dental Press Estét. 2010 jul-set;7(3):104-16
1.	 Assif D, Gorfil C. Biomechanical considerations in restoring
endondontically treated teeth. J Prosthet Dent. 1994 Jun;71(6):565-7.
2.	 Bowen RL. Adhesive bonding of various materials to hard tooth tissues.
J Dent Res. 1965 Jul-Aug;44:690-5.
3.	 Camara CALP. Estética em Ortodontia: parte II. Diagrama de referências
estéticas faciais. Rev Dental Press Estét. 2005 jan-mar;2(1):82-104.
4.	 Caumo DC, Costa CG, Tortamano IP, Rocha RG, Silva JCB Jr. Aplicação
da proporção áurea em Odontologia. Rev Dental Press Estét. 2006 out-
dez;3(4):125-31.
5.	 Francischone AC, Mondelli J. A ciência da beleza do sorriso. Rev Dental
Press Estét. 2007 abr-jun;4(2):97-106.
6.	 Kina S. Cerâmicas dentárias. Rev Dental Press Estét. 2005 abr-
jun;2(2):112-28.
7.	 Kina S. Equilibrium: cerâmicas adesivas - case book. São Paulo: Artes
Médicas; 2009.
8.	 Kina S, Bruguera A. Invisível: restaurações estéticas cerâmicas. 2ª ed.
Maringá: Dental Press; 2007.
Referências
9.	 Magne P. Composite resins and bonded porcelain: the postamalgam era?
J Calif Dent Assoc. 2006 Feb;34(2):135-47.
10.	Magne P, Belser U. Restaurações adesivas de porcelana na dentição
anterior: uma abordagem biomimética. São Paulo: Quintessence; 2003.
11.	Magne P, Douglas WH. Cumulative effects of successive restorative
procedures on anterior crow flexure: intact versus veneered incisors.
Quintessence Int. 2000 Jan;31(1):5-18.
Chrys Morett Carvalho de Freitas
Rua Florêncio Monteiro 280 – Centro Cidade
CEP: 65.700-000 – Bacabal / MA
E-mail: chrys_morett@hotmail.com
Endereço para correspondência
Cerâmicas adesivas são os materiais que melhor
se aplicam a essa tendência de imitar a vida, não so-
mente na aparência (mimetizar) mas também de forma
biomecânica semelhante à estrutura dentária — apesar
da Odontologia estar apenas no começo de tudo. Por
isso, também, núcleos de fibra de vidro, que apresentam
módulo de elasticidade próximo ao da estrutura dentária
são preferíveis, em elementos unitários, aos núcleos me-
tálicos fundidos, que são materiais de alta resistência1
.
Os pinos de fibra de vidro se comportam de modo se-
melhante ao elemento dentário, protegendo-o frente aos
desafios diários. Em verdade, foi através da adesão de
materiais restauradores à estrutura dentária que a ver-
dadeira Odontologia com custo biológico mínimo come-
çou2
. A transformação feita na Odontologia por causa
da adesão, atualmente, levou ao desenvolvimento da
ciência das restaurações dentárias sob três princípios:
estética, preservação máxima dos tecidos dentários e
desempenho biomecânico semelhante ao do dente7
.
No caso clínico apresentado, foram propostos pi-
nos de fibra de vidro, resinas compostas para confec-
ção dos núcleos e coroas adesivas, não somente pela
aparência estética desses materiais, mas principalmente
pela forma biomecânica que os mesmos se comportam
em relação aos elementos dentários. Através de uma
adesão entre esses materiais e o dente, há formação de
uma unidade suficientemente resistente para promover
um resultado excelente em longevidade.
CONCLUSÃO
Os materiais livres de metal são uma tendência.
A cada dia, uma diversidade de sistemas cerâmicos
surge, muitas vezes baseados somente na resistência
como parâmetro avaliador. Porém, entender e indicar
de forma correta é uma necessidade. Materiais res-
tauradores que podem ser aderidos aos dentes se
comportam de forma semelhante à estrutura natu-
ral, sendo então mais indicados para restauração de
elementos unitários (tooth-like, biomimética). Os ma-
teriais de alto desempenho, como a zircônia, seriam
reservados para pontes fixas e restaurações sobre
implante, já que, segundo a biomimética, que tende
a imitar a vida, esses elementos (próteses fixas e im-
plantes) não são encontrados na natureza.

Aplicando a Biomimética

  • 1.
    Caso Clínico 104 RevDental Press Estét. 2010 jul-set;7(3):104-16 Chrys Morett Carvalho de Freitas* Wilker Morett Carvalho de Freitas** Rivanda Martins Costa de Freitas*** * Especialista em Prótese Dentária pela ABO/MA. Mestrando em Prótese Dentária na Faculdade São Leopoldo Mandic – Campinas/SP. Professor do curso de especialização em Dentística do Uniceuma (São Luís/MA). ** Pós-graduado em Ortodontia pela ABO/MA. *** Aluna do Curso de Graduação do Uniceuma (São Luís/MA).
  • 2.
    Freitas CMC, FreitasWMC, Freitas RMC 105Rev Dental Press Estét. 2010 jul-set;7(3):104-16 Desafio estético em dentes anteriores: aplicando a biomimética – relato de um caso clínico Aesthetic challenge in upper teeth: applying biomimetics - clinical case report Resumo Os conceitos restauradores mudaram drasticamente, influen- ciados principalmente pelos conhecimentos sobre a adesão. Com isso, a filosofia restauradora se modificou, estamos em busca de materiais restauradores que se comportem de for- ma semelhante à estrutura dentária, objeto de estudo da Bio- mimética. Historicamente, a filosofia de seleção de materiais restauradores foi sempre baseada naquele de maior resis- tência, ou dureza. Entender que os materiais restauradores não devem ser selecionados somente pela sua rigidez, e sim com base em seu comportamento biomecânico, é o objetivo desse artigo através de um relato de um caso clínico. Abstract Restorative concepts have changed dramatically, influ- enced by the knowledge of the adhesion. Thus the re- storative philosophy has changed, we are in search of restorative materials that behave similarly to the tooth structure, subject studied by the biomimetics. Historical- ly, the philosophy of restorative materials selection has always been based on the highest solidness or hardness. The understanding that the restorative materials should be selected not only because of their rigidity, but based on biomechanical behavior, is the goal of this article by means of a case report. Keywords: Restorative materials. Dental ceramics. BiomimeticsPalavras-chave: Materiais restauradores. Cerâmicas dentárias. Biomimética.
  • 3.
    Desafio estético emdentes anteriores: aplicando a biomimética – relato de um caso clínico 106 Rev Dental Press Estét. 2010 jul-set;7(3):104-16 INTRODUÇÃO Muito tem sido escrito e discutido sobre estética, principalmente a estética da face e do sorriso3 . As leis douradas, através de suas proporções matemáticas, ganharam uma valorização frente aos profissionais que trabalham com Odontologia Restauradora, e são definidas como ponto a ser atingido: a proporção di- vina4,5 . Porém, quando analisamos aqueles que são considerados belos, há uma predominância da harmo- nia. Proporções dentárias equilibradas parecem ser a composição mais segura na obtenção de resultados estéticos, ou resultados belos7 . O que se tem visto é que não há um padrão rígido, inflexível. O padrão talvez seja aquilo que nós, como socie- dade, definimos de tempos em tempos, em épocas recentes: ter ouro nos dentes era o que definia a be- leza dentária, o status. Hoje, vivemos na era da abo- lição das ligas metálicas, nossas restaurações devem ser imperceptíveis. Por isso as resinas compostas e as cerâmicas dentárias são tão bem aceitas, pois mime- tizam bem a estrutura dentária e substituem as res- taurações metálicas — preferidas, em outro momento, pelos dentistas e pacientes, por serem materiais de alta performance e rigidez. Porém, com a evolução da ciência, percebemos que não precisamos de materiais restauradores tão rígidos, pois os mesmos, em desa- fios de exacerbação das tensões diárias, quase sem- pre resistem melhor do que a estrutura dentária que, na maioria das vezes, fratura sobre essas mesmas tensões9 . O objetivo desse artigo é apresentar, através do relato de um caso clínico, uma forma clara de apli- car novos conceitos de materiais biomiméticos. Relato do caso clínico Paciente do sexo feminino, com 39 anos de idade, dirigiu-se a uma clínica privada com intenção de melho- rar a aparência dos seus dois incisivos centrais superio- res (Fig. 1). No exame clínico e radiográfico, observou-se que as restaurações nos elementos 11 e 21 apresenta- vam-se rugosas e que os dentes haviam sido tratados endodonticamente (Fig. 2, 3). Com a finalidade de obter uma aparência mais natural, foi proposta a confecção de pinos intrarradiculares de fibra de vidro e cerâmicas adesivas IPS e.max nos elementos dentários 11 e 21. Inicialmente, foi realizado o isolamento absoluto dos dentes superiores e deu-se início à desobstrução das entradas dos canais (Fig. 4 – 7). O preparo dos condu- tos foi realizado com brocas Gates-Glidden e brocas Largo do sistema de pino de fibra de vidro (White Post – FGM) (Fig. 8). O preparo dos pinos seguiu o protocolo padrão, ou seja, após limpeza dos pinos, foi realizada aplicação do silano (Monobond S - Ivoclar), secagem e, posteriormente, aplicação do bond (Adper Scotchbond Multi - Purpose, 3M) e fotopolimerização. O procedi- mento de cimentação adesiva do pino foi realizado com sistema autocondicionante (Adper SE Plus, 3M) (Fig. 9). Os sistemas adesivos autocondicionantes apresentam uma vantagem, pois os mesmos não utilizam a técnica Figura 1 - Sorriso inicial. Figura 2 - Incisivos centrais com restaura- ções insatisfatórias em resinas compostas. Figura 3 - Close up dos elementos 11 e 21.
  • 4.
    Freitas CMC, FreitasWMC, Freitas RMC 107Rev Dental Press Estét. 2010 jul-set;7(3):104-16 Figura 4 - Dentes com isolamento absoluto. Figura 5 - Vista oclusal: aspecto rugoso das restaurações por palatino. Figura 6 - Abertura das entradas dos canais. Figura 7 - Canais desobstruídos: preparo dos condutos radiculares concluído. Figura 8 - Pinos de fibra de vidro e brocas do kit White Post – FGM. Figura 9 - Sistema autocondicionante (Adper SE Plus -3M) utilizado na cimentação dos pinos.
  • 5.
    Desafio estético emdentes anteriores: aplicando a biomimética – relato de um caso clínico 108 Rev Dental Press Estét. 2010 jul-set;7(3):104-16 úmida — o que, na cimentação adesiva de pinos intrar- radiculares, é um grande benefício, já que o controle da umidade no ambiente interno do canal radicular é algo difícil de se avaliar. A secagem da dentina radicular foi realizada com cones de papel absorvente até a mesma ficar completamente desidratada. Procedeu-se à apli- cação do primer ácido (líquido A – cor rosa) em todo o conduto radicular e coroa remanescente (Fig. 10), se- guida da aplicação do adesivo (líquido B) por vinte se- gundos, até que todo líquido deixasse de ser rosa (Fig. 11, 12). Em seguida, a secagem com ar, para evapo- ração do solvente (água); e a remoção do excesso do adesivo intrarradicular com cones de papel absorven- te e posterior fotopolimerização. Os pinos de fibra de vidro foram cimentados (Fig. 13) com cimento resinoso (Allcem - FGM) e preenchimento do remanescente den- tário com resina composta (Opallis - FGM) na cor B1. Em seguida, foi inserido no sulco gengival um fio de afastamento, tamanho 000 (Retraflex – Biodinâmica), para proteção dos tecidos gengivais durante as etapas de confecção dos preparos dentários para coroa total (Fig. 14). Os preparos dentários foram realizados com brocas diamantadas e o acabamento dos ângulos dos preparos com discos de lixa em baixa rotação. O refinamento do término cervical foi realizado com brocas de acabamen- to acopladas em contra-ângulo multiplicador (Koncept – Kavo) (Fig. 15) e o acabamento do término cervical com instrumento manual MA -2 (Safident) (Fig. 16). Figura 10 - Aplicação do primer/ácido na estrutura dentária rema- nescente e canal radicular. Figura 11 - Início da aplicação do bond (líquido B) na estrutura dentária remanescente e canal radicular. Figura 12 - A aplicação do bond deve ser realizada até o total desa- parecimento do líquido rosa, indicando que a reação entre o primer ácido (líquido A, rosa) e o bond (líquido B, amarelo) ocorreu. Figura 13 - Pinos de fibra de vidro cimentados (cimento resinoso Allcem – FGM).
  • 6.
    Freitas CMC, FreitasWMC, Freitas RMC 109Rev Dental Press Estét. 2010 jul-set;7(3):104-16 Figura 14 - Fio inserido no elemento 11 para proteção da gengiva na execução do preparo dentário. Figura 15 - Contra-ângulo multiplicador utilizado no refinamento dos preparos dentários. Figura 16 - Preparos executados e polidos (o acabamento cervical foi realizado com instrumento manual MA 2 – Safident). Imediatamente após a conclusão dos preparos den- tários (Fig. 17), procedeu-se à inserção de um segundo fio de calibre maior (Fig. 18), tamanho 1 (Kinitrax - Pas- cal). Esse segundo fio deve ser inserido somente até a entrada do sulco gengival, para promover um desloca- mento horizontal da margem gengival (Fig. 19). A mol- dagem dos preparos dentários foi realizada pela técnica de mistura dupla em passo único (Virtual – Ivoclar) (Fig. 20, 21). Os provisórios foram realizados através do uso de matrizes dentárias transparentes pré-fabricadas, uti- lizando técnica de caracterização com resinas acrílicas incisais e na cor dos dentes remanescentes (Fig. 22). O protocolo de fotografia foi enviado ao laboratório para auxiliar o técnico responsável pela confecção das peças protéticas. Os copings das cerâmicas adesivas do sistema IPS e.max (Ivoclar Vivadent) foram obtidos através do processamento CAD/CAM (Cerec, Sirona) — blocos de cerâmica à base de dissilicato de lítio, poste- riormente estratificada com cerâmica de cobertura IPS e.max Ceram (Fig. 23, 24, 25). Essa cerâmica de cober- tura é à base de nanofluoropatita, com excelentes resul- tados estéticos e desenvolvida para estratificar todos os tipos de cerâmicas do sistema IPS e.max7 . As cerâmicas adesivas à base de dissilicato de lí- tio devem ser cimentadas seguindo um protocolo pa- drão de tratamento da superfície da parte interna do coping, com condicionamento ácido fluorídrico a 10% por vinte segundos (Fig. 26). Após o condicionamento, as cerâmicas foram submetidas à lavagem em água corrente e, posteriormente, ao banho ultrassônico por 4 minutos, em cubeta plástica com álcool 90%. Se- guiu-se a aplicação do silano (Monobond S, Ivoclar), secagem e aplicação do adesivo e fotoativação (Adper Scotchbond Multi-Purpose/3M) (Fig. 27, 28). A cimentação adesiva segue sempre um pro- tocolo passo a passo meticuloso. Inicialmente, os provisórios foram removidos e os preparos limpos, e foi realizada a prova inicial das coroas com pastas Try-in (Ivoclar). Essas pastas auxiliam a manipulação das coroas durante a prova e como a cor do ci- mento poderá influenciar no resultado final (Fig. 29).
  • 7.
    Desafio estético emdentes anteriores: aplicando a biomimética – relato de um caso clínico 110 Rev Dental Press Estét. 2010 jul-set;7(3):104-16 Figura 17 - Vista oclusal dos preparos reali- zados com o fio 000 (Retraflex – Biodinâmi- ca) inserido no sulco gengival. Figura 18 - Segundo fio (Kinitrax – Pascal) inserido na entrada do sulco. Esse fio tem como função promover um afastamento la- teral do tecido gengival. Figura 19 - Close-up do elemento 21 com o segundo fio inserido na entrada do sulco. Figura 20 - Molde obtido (Virtual – Ivoclar). Técnica de moldagem de mistura dupla em passo único. Figura 22 - Provisórios imediatos cimentados. Figura 21 - Close-up do molde no elemento 21. Faça a leitura do molde e do preparo e compare com o elemento dentário na figura 19.
  • 8.
    Freitas CMC, FreitasWMC, Freitas RMC 111Rev Dental Press Estét. 2010 jul-set;7(3):104-16 Figura 23 - Coroas e.max obtidas em siste- ma CAD/CAM. Figura 24 - As coroas e.max foram estratifi- cadas com cerâmica de cobertura com IPS e.max Ceram à base de nanofluoropatita. (técnica responsável: Selha de Aguiar Olivei- ra – Equipe Laboratório Aliança). Figura 25 - Cerâmicas prontas para receber protocolo de cimentação adesiva. Figura 26 - Cerâmicas receberam aplica- ção, na parte interna do coping, de ácido fluorídrico a 10% (Condac Porcelana - FGM) durante vinte segundos. Figura 27 - Aplicação do silano (Monobond S, Ivoclar). Figura 28 - Após aplicação do silano e evaporação, foi aplicado adesivo (Adper Scotchbond MP – 3M) e fotoativado por 40 segundos. Figura 29 - Coroas sendo provadas com auxílio de pastas Try-in (Ivoclar).
  • 9.
    Desafio estético emdentes anteriores: aplicando a biomimética – relato de um caso clínico 112 Rev Dental Press Estét. 2010 jul-set;7(3):104-16 Fita veda-rosca foi colocada nos elementos dentários adjacentes aos dentes preparados, para proteção durante as etapas de cimentação (observar os fios de proteção dos tecidos gengivais nas Figuras 30, 31 e 32). Procedeu-se à aplicação de ácido fosfóri- co a 37% durante 15 segundos, seguida de lavagem abundante e secagem sem desidratar totalmente. O sistema adesivo utilizado foi o adesivo dual Excite DSC (Ivoclar), que foi fotoativado por 30 segundos (Fig. 33). O agente cimentante utilizado foi o Variolink II (Ivoclar). Após a manipulação do cimento resinoso, o mesmo foi inserido no interior da coroa e levado Figura 33 - Após aplicação do adesivo dual DSC (Excite, Ivoclar), foi realizada a fotoativação por trinta segundos. Figura 30 - Preparos limpos com fio de afasta- mento no sulco gengival e os elementos den- tários vizinhos protegidos com fita veda-rosca durante as etapas da cimentação adesiva. Figura 31 - Início da aplicação do ácido fos- fórico a 37% (Condac – FGM). Figura 32 - Ácido fosfórico a 37% sendo aplicado por 15 segundos em toda a estru- tura dentária preparada, sendo enxaguado abundantemente em seguida.
  • 10.
    Freitas CMC, FreitasWMC, Freitas RMC 113Rev Dental Press Estét. 2010 jul-set;7(3):104-16 Figura 34 - Observa-se o extravasamento em todas as faces da coroa, assegurando um perfeito preenchimento. Figura 35 - Após a fotoativação inicial por dez segundos, foi removido o excesso do cimento resinoso (Variolink II, Ivoclar). Figura 36 - Aplicação do gel de glicerina (Liquid Strip, Ivoclar) para proteção das mar- gens contra a ação do oxigênio, que pode inibir a polimerização do cimento. A fotoati- vação foi complementada por 90 segundos em cada face da coroa. ao dente preparado (Fig. 34). Uma fotopolimerização inicial, por dez segundos, foi realizada, com a inten- ção de facilitar a remoção dos excessos (Fig. 35). Foi aplicado gel de glicerina em toda a interface da res- tauração (Liquid Strip, Ivoclar) (Fig. 36) e seguiu-se a fotopolimerização por 90 segundos em cada face da coroa. O mesmo protocolo de cimentação foi realiza- do na outra restauração. Realizou-se a remoção do excesso do cimento com lâmina de bisturi e, poste- riormente, foi retirado o fio de afastamento do interior do sulco gengival (Fig. 37). Nas figuras 38 a 42 ob- serva-se a naturalidade imediata após a cimentação. Figura 37 - Início da remoção do fio de afastamento do interior do sulco. Todo o protocolo de cimentação foi realizado no elemento 11. Figura 38 - Vista frontal imediatamente após a conclusão da ci- mentação.
  • 11.
    Desafio estético emdentes anteriores: aplicando a biomimética – relato de um caso clínico 114 Rev Dental Press Estét. 2010 jul-set;7(3):104-16 Figura 39 - Vista lateral do sorriso: beleza e naturalidade. Figura 40 - Close-up dos incisivos centrais. Resultado imediato após a cimentação. Figura 41 - Foto uma semana após a cimentação das coroas.
  • 12.
    Freitas CMC, FreitasWMC, Freitas RMC 115Rev Dental Press Estét. 2010 jul-set;7(3):104-16 Figura 42 - Sorriso da paciente. DISCUSSÃO O padrão dos materiais restauradores tem mu- dado no decorrer da evolução da ciência, principal- mente das cerâmicas dentárias6 . Em Odontologia Restauradora, o resultado final está diretamente li- gado, sobretudo, às características do material res- taurador que será utilizado, pois ele dita a forma de execução dos preparos dentários e todos os pas- sos seguintes8 . A era das restaurações sem metal chegou, apesar desses ainda serem muito valiosos na clínica diária. Propostas novas de execução de preparos dentários minimizando o custo biológico são uma promissora tendência! É a vez dos mate- riais restauradores que se comportam de forma mais parecida com a estrutura dentária: filosofia biomimé- tica ou “tooth-like”10,11 . A meta do biomimetismo em Odontologia Restauradora é o retorno ao pleno fun- cionamento dos tecidos dentários preparados, que possibilita que a adesão aos tecidos duros forme um vínculo funcional que permite que o estresse se dis- tribua por todo o dente, tirando da coroa toda sua finalidade estética e funcional. Restaurar ou imitar a biomecânica da estrutura dentária constitui a força motriz desse processo, e aplicar esses conceitos elevando-os a um nível macroestrutural pode inovar os conceitos em Odontologia Restauradora9 . Nos últimos anos, entendemos que talvez nossos mate- riais não precisassem ser tão rígidos, começamos a olhar para a estrutura dentária e observar que a ade- são entre o esmalte e a dentina se relaciona de uma forma complexa e bela; por isso o esmalte, estrutura friável, resiste bem aos desafios mastigatórios9,10 .
  • 13.
    Desafio estético emdentes anteriores: aplicando a biomimética – relato de um caso clínico 116 Rev Dental Press Estét. 2010 jul-set;7(3):104-16 1. Assif D, Gorfil C. Biomechanical considerations in restoring endondontically treated teeth. J Prosthet Dent. 1994 Jun;71(6):565-7. 2. Bowen RL. Adhesive bonding of various materials to hard tooth tissues. J Dent Res. 1965 Jul-Aug;44:690-5. 3. Camara CALP. Estética em Ortodontia: parte II. Diagrama de referências estéticas faciais. Rev Dental Press Estét. 2005 jan-mar;2(1):82-104. 4. Caumo DC, Costa CG, Tortamano IP, Rocha RG, Silva JCB Jr. Aplicação da proporção áurea em Odontologia. Rev Dental Press Estét. 2006 out- dez;3(4):125-31. 5. Francischone AC, Mondelli J. A ciência da beleza do sorriso. Rev Dental Press Estét. 2007 abr-jun;4(2):97-106. 6. Kina S. Cerâmicas dentárias. Rev Dental Press Estét. 2005 abr- jun;2(2):112-28. 7. Kina S. Equilibrium: cerâmicas adesivas - case book. São Paulo: Artes Médicas; 2009. 8. Kina S, Bruguera A. Invisível: restaurações estéticas cerâmicas. 2ª ed. Maringá: Dental Press; 2007. Referências 9. Magne P. Composite resins and bonded porcelain: the postamalgam era? J Calif Dent Assoc. 2006 Feb;34(2):135-47. 10. Magne P, Belser U. Restaurações adesivas de porcelana na dentição anterior: uma abordagem biomimética. São Paulo: Quintessence; 2003. 11. Magne P, Douglas WH. Cumulative effects of successive restorative procedures on anterior crow flexure: intact versus veneered incisors. Quintessence Int. 2000 Jan;31(1):5-18. Chrys Morett Carvalho de Freitas Rua Florêncio Monteiro 280 – Centro Cidade CEP: 65.700-000 – Bacabal / MA E-mail: chrys_morett@hotmail.com Endereço para correspondência Cerâmicas adesivas são os materiais que melhor se aplicam a essa tendência de imitar a vida, não so- mente na aparência (mimetizar) mas também de forma biomecânica semelhante à estrutura dentária — apesar da Odontologia estar apenas no começo de tudo. Por isso, também, núcleos de fibra de vidro, que apresentam módulo de elasticidade próximo ao da estrutura dentária são preferíveis, em elementos unitários, aos núcleos me- tálicos fundidos, que são materiais de alta resistência1 . Os pinos de fibra de vidro se comportam de modo se- melhante ao elemento dentário, protegendo-o frente aos desafios diários. Em verdade, foi através da adesão de materiais restauradores à estrutura dentária que a ver- dadeira Odontologia com custo biológico mínimo come- çou2 . A transformação feita na Odontologia por causa da adesão, atualmente, levou ao desenvolvimento da ciência das restaurações dentárias sob três princípios: estética, preservação máxima dos tecidos dentários e desempenho biomecânico semelhante ao do dente7 . No caso clínico apresentado, foram propostos pi- nos de fibra de vidro, resinas compostas para confec- ção dos núcleos e coroas adesivas, não somente pela aparência estética desses materiais, mas principalmente pela forma biomecânica que os mesmos se comportam em relação aos elementos dentários. Através de uma adesão entre esses materiais e o dente, há formação de uma unidade suficientemente resistente para promover um resultado excelente em longevidade. CONCLUSÃO Os materiais livres de metal são uma tendência. A cada dia, uma diversidade de sistemas cerâmicos surge, muitas vezes baseados somente na resistência como parâmetro avaliador. Porém, entender e indicar de forma correta é uma necessidade. Materiais res- tauradores que podem ser aderidos aos dentes se comportam de forma semelhante à estrutura natu- ral, sendo então mais indicados para restauração de elementos unitários (tooth-like, biomimética). Os ma- teriais de alto desempenho, como a zircônia, seriam reservados para pontes fixas e restaurações sobre implante, já que, segundo a biomimética, que tende a imitar a vida, esses elementos (próteses fixas e im- plantes) não são encontrados na natureza.