Nágila Fernandes
Especialidade em Dentistica ABO- Florianópolis
B4
RESINAS COMPOSTAS
Adesão ,estética,
cavidades mas
conservadoras
VANTAGENS
DESVANTAGENS
Contração da
polimerização,
desgastes,
senssibilidade
pós operatoria
CARACTERÍSTICAS
AMALGÁMA
Condutividades
térmica
Cavidades extensas
Falta de adesão
 ABSTRACT
 Semi-direct posterior composite resin
restorations for the treatment of
 teeth with extensive loss of tissue fi rst
appeared a number of years ago as an
alternative to direct resin or amalgam
restorations and indirect porcelain
restorations. By using an extraoral
technique to create the restoration, it is
possible to optimize clinical work conditions
and en- hance the ultimate properties of
the dental material used. The aim of this
work is to present a case report of a
technique in which a silicone model was
used both to create a composite resin
restoration and to af fi x it, all in a single
appointment. A description of the entire
clinical procedure will be provided, along
with a discussion of the advantages and
disadvantages of the clinical technique
used.
 ABSTRACT
 The demand for the use of aesthetic
restorations increases every day what
stimulate the development of new
techniques and materials in dentistry,
searching clinic longevity and acceptable
aesthetic restorations. In case of extensive
restorations on posterior teeth, a viable
alternative is use indirect restorations of
composite resin, it presents many
advantages over direct restorations and
have a simplified technique of making.
This study aimed to describe the
technique for construction of indirect
restoration in composite resin – onlay
type, and elucidate the benefits of this
procedure: quick implementation, low
cost and aesthetic excellence in posterior
tooth with the coronary portion partially
destroyed.

R.C é material de eleição sim, em cavidades
posteriores pequenas, já que as resinas
diretas que são trabalhadas em boca possuem
um tempo de trabalho menor, originando
propriedades físicas e mecânicas que podem
ser alteradas negativamente na longevidade.
Caixas proximais
grandes
Dentes que estão mal
posicionados
Dentes muitos
debilitados
Cavidades pequenas
Cavidades muito grande
Má oclusão em cêntrica
CONTRAINDICÃO VANTAGENS
Custo benefício
Tempo
Dispensa provisórios
Maior conversão
Menor contração
Longevidade
Escultura e
interproximal
INDICAÇÕES
Menor desgaste do
antagonista
Reparação em boca
TUATI
1996
Pré aquecedor de resinas, existe discussão sobre o tema devido e possiveis
sensibilidades pós operatória e alterações reais do fator de constrição..
No final do preparo é percebível a
existência de esmalte cervical.
 Acompanamhentos de R.INDIRETAS comprovam sua eficiência , demostrando excelente longevidade,
boa adaptação marginal e baixa incidência de lesões e cáries secundárias.
 Os valores de resistência são semelhentes aos dentes hígidos.
 As vantagens das restaurações de porcelanas são a alta estética e grande resistência ao degaste,
sendo essa resistência maior que em resinas e o esmalte.
 Consideram esta ultima características das porcelanas como desvantagem já que o esmalte se degasta
de forma fisiológica , e as porcelanas não, originando problemas de infiltrações , caries e fraturas.
 Outra vantagem de escolher a mesma resina da restauração é que essa resina terá as mesmas
propriedades das resinas de restauração, uma outra opção em este caso seria a restauração com
porcelana.
Galati et 2000 , Shanon 200
 R.I constitui atualmente uma excelente alternativa restauradora
estética, porém, seu protocolo clínico de utilização deve ser seguido
rigorosamente.
 Excelente opção para devolver a morfologia , estética, também è
capaz de beneficiar os tempos de trabalhos para os dentistas. Essas
restaurações são funcionais , com alta estética , baixo custo, quando
são comparadas com Cad Cam.
 O avanzo científico das resinas estar proporcionando a odontología
moderna o beneficio de técnicas, sendo uma delas a semidiretas e
indiretas
 Não existe uma técnica perfeita, o dentista deve selecionar a que
melhor se adapte.
(Dietschi. D., Moor. L)Nischioka
Peixoto AKM, Pinto MCGL, Pedrosa RF,
Menezes Filho PF, Silva, CHV. Restauração
indireta em cerômero
– cristobal: relato de caso clínico. Odontol
Clín-Cient 2007;6:267-274.
Conceição EN. Dentística Saúde e
Estética. Porto Alegre: Artmed, 2007.
Garcia RFL, Consani S, Churata RLM,
Souza FCPP. Resinas indiretas – evolução
histórica. Clin Pesq Odontol 2006;2:407-
411.
Nunes SR. Avaliação da infiltração
marginal em restaurações diretas e
indiretas em compósitos “condensável” e
convencional [Tese]. Piracicaba:
Faculdade de Odontologia de Piracicaba
da Universidade Estadual de Campinas;
2003.

Restaurações semidiretas em nonoceramicas

  • 1.
    Nágila Fernandes Especialidade emDentistica ABO- Florianópolis
  • 2.
  • 3.
    RESINAS COMPOSTAS Adesão ,estética, cavidadesmas conservadoras VANTAGENS DESVANTAGENS Contração da polimerização, desgastes, senssibilidade pós operatoria CARACTERÍSTICAS AMALGÁMA Condutividades térmica Cavidades extensas Falta de adesão
  • 4.
     ABSTRACT  Semi-directposterior composite resin restorations for the treatment of  teeth with extensive loss of tissue fi rst appeared a number of years ago as an alternative to direct resin or amalgam restorations and indirect porcelain restorations. By using an extraoral technique to create the restoration, it is possible to optimize clinical work conditions and en- hance the ultimate properties of the dental material used. The aim of this work is to present a case report of a technique in which a silicone model was used both to create a composite resin restoration and to af fi x it, all in a single appointment. A description of the entire clinical procedure will be provided, along with a discussion of the advantages and disadvantages of the clinical technique used.  ABSTRACT  The demand for the use of aesthetic restorations increases every day what stimulate the development of new techniques and materials in dentistry, searching clinic longevity and acceptable aesthetic restorations. In case of extensive restorations on posterior teeth, a viable alternative is use indirect restorations of composite resin, it presents many advantages over direct restorations and have a simplified technique of making. This study aimed to describe the technique for construction of indirect restoration in composite resin – onlay type, and elucidate the benefits of this procedure: quick implementation, low cost and aesthetic excellence in posterior tooth with the coronary portion partially destroyed. 
  • 5.
    R.C é materialde eleição sim, em cavidades posteriores pequenas, já que as resinas diretas que são trabalhadas em boca possuem um tempo de trabalho menor, originando propriedades físicas e mecânicas que podem ser alteradas negativamente na longevidade.
  • 6.
    Caixas proximais grandes Dentes queestão mal posicionados Dentes muitos debilitados Cavidades pequenas Cavidades muito grande Má oclusão em cêntrica CONTRAINDICÃO VANTAGENS Custo benefício Tempo Dispensa provisórios Maior conversão Menor contração Longevidade Escultura e interproximal INDICAÇÕES Menor desgaste do antagonista Reparação em boca TUATI 1996
  • 9.
    Pré aquecedor deresinas, existe discussão sobre o tema devido e possiveis sensibilidades pós operatória e alterações reais do fator de constrição..
  • 10.
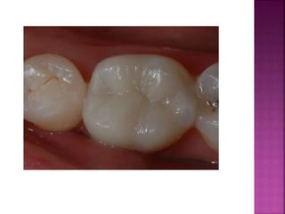
    No final dopreparo é percebível a existência de esmalte cervical.
  • 14.
     Acompanamhentos deR.INDIRETAS comprovam sua eficiência , demostrando excelente longevidade, boa adaptação marginal e baixa incidência de lesões e cáries secundárias.  Os valores de resistência são semelhentes aos dentes hígidos.  As vantagens das restaurações de porcelanas são a alta estética e grande resistência ao degaste, sendo essa resistência maior que em resinas e o esmalte.  Consideram esta ultima características das porcelanas como desvantagem já que o esmalte se degasta de forma fisiológica , e as porcelanas não, originando problemas de infiltrações , caries e fraturas.  Outra vantagem de escolher a mesma resina da restauração é que essa resina terá as mesmas propriedades das resinas de restauração, uma outra opção em este caso seria a restauração com porcelana. Galati et 2000 , Shanon 200
  • 15.
     R.I constituiatualmente uma excelente alternativa restauradora estética, porém, seu protocolo clínico de utilização deve ser seguido rigorosamente.  Excelente opção para devolver a morfologia , estética, também è capaz de beneficiar os tempos de trabalhos para os dentistas. Essas restaurações são funcionais , com alta estética , baixo custo, quando são comparadas com Cad Cam.  O avanzo científico das resinas estar proporcionando a odontología moderna o beneficio de técnicas, sendo uma delas a semidiretas e indiretas  Não existe uma técnica perfeita, o dentista deve selecionar a que melhor se adapte. (Dietschi. D., Moor. L)Nischioka
  • 16.
    Peixoto AKM, PintoMCGL, Pedrosa RF, Menezes Filho PF, Silva, CHV. Restauração indireta em cerômero – cristobal: relato de caso clínico. Odontol Clín-Cient 2007;6:267-274. Conceição EN. Dentística Saúde e Estética. Porto Alegre: Artmed, 2007. Garcia RFL, Consani S, Churata RLM, Souza FCPP. Resinas indiretas – evolução histórica. Clin Pesq Odontol 2006;2:407- 411. Nunes SR. Avaliação da infiltração marginal em restaurações diretas e indiretas em compósitos “condensável” e convencional [Tese]. Piracicaba: Faculdade de Odontologia de Piracicaba da Universidade Estadual de Campinas; 2003.