Promoção e
prevenção em
Saúde Bucal
Anatomia e fisiologia bucal
 A boca é formada pelos dentes, língua, gengiva, palato – céu da
boca –, bochecha e lábios.
 Um adulto tem 32 dentes, mas nem todas bocas comportam esse
número de dentes e funções. Muitas vezes é preciso extrair um ou
mais dentes para garantir que a arcada fique alinhada e nenhuma
função seja prejudicada.
 É importante que a pessoa consiga fazer a higienização adequada
dos dentes. Se eles não forem bem escovados, podem apresentar
processos de cárie e infecção do canal, o que leva com frequência
à extração.
Imagem e divisões da boca
Anatomia e fisiologia humana
 A Anatomia Humana é um campo da Biologia responsável por estudar e
classificar os diferentes sistemas que o corpo humano possui. Podemos
observar as seguintes divisões:
 Sistema esquelético: O sistema esquelético é constituído de ossos e
cartilagens, além dos ligamentos e tendões. O esqueleto sustenta e dá
forma ao corpo, além de proteger os órgãos internos e atua em conjunto
com os sistemas muscular e articular para permitir o movimento.
 Sistema Muscular: O corpo humano é composto por cerca de 600
músculos, que juntos representam cerca da metade do peso humano.
Existem diferentes tipos e formatos de músculos, os quais são apresentados
em nossa seção sobre o sistema.
 Sistema Tegumentar: A pele humana é o maior órgão de nosso corpo. Na
anatomia humana, este órgão é descrito e estudado no sistema
tegumentar, que também inclui o cabelo e as unhas.
 Sistema Urinário: Sistema responsável pela eliminação da ureia, criada a
partir de alimentos consumidos. O sistema é composto por 2 rins, 2
ureteres, a bexiga, os músculos do esfíncter e a uretra.
 Sistema Respiratório: Sistema responsável pela respiração humana e as
trocas gasosas com meio ambiente.
 Sistema Endócrino: Sistema o qual se encontram diferentes glândulas
importantíssimas para o corpo humano. Tais glândulas possuem funções
tais como o metabolismo, crescimento e função sexual.
 Sistema Nervoso: O Sistema Nervoso controla as ações voluntárias e
involuntárias do corpo humano. O sistema é divido em Sistema Nervoso
Central e Periférico. O primeiro consiste no Cérebro e na Medula Espinhal,
o segundo consiste-se nos Nervos.
 Sistema Circulatório: Importante sistema da anatomia humana
responsável sangue, nutrientes, oxigênio, dióxido de carbono e
hormônios, em torno do corpo.
 Sistema Digestório: Importante sistema da anatomia humana
responsável sangue, nutrientes, oxigênio, dióxido de carbono e
hormônios, em torno do corpo.
 Para facilitar o estudo, dividimos o corpo humano em: Cabeça,
Pescoço, Tronco, Membros Superiores e Membros Inferiores.
Processo de trabalho e humanização em
saúde
 O presente artigo trata da temática ¨processos de trabalho no
campo da saúde publica¨, tendo a politica nacional de
humanização(PNH) e, mais especificamente, um curso de
formação de apoiadores institucionais como referências.
 A politica nacional de humanização preconiza a transversalidade
na construção de redes cooperativas, solidarias e comprometidas
com a produção de saúde, estimulando o protagonismo e a co-
responsabilidade de sujeitos e coletivos.
Ergonomia
A ergonomia no campo da odontologia destina –se a
melhorar as condições de trabalho dos cirurgiões-dentistas
criando e aperfeiçoando as ferramentas , instrumentos e
mobiliário utilizado pelos profissionais de saúde bucal.
O objetivo e a diminuição do estresse físico e mental
prevenindo assim as doenças relacionadas a pratica
odontológica e consequentemente buscando uma
produtividade mais expressiva.
Benefícios da ergonomia
 Redução do número de afastamentos e ausências: uma vez que
ela é responsável pelo bem estar do funcionário, estes números
tendem a cair.
 Valorização do profissional: é proporcionado a valorização do
profissional. Quando o suporte para exercer suas funções é
existente, o sentimento de reconhecimento é mais forte na
empresa.
 Produtividade: Com a redução das ausências, a produtividade é
aumentada, gerando mais produção para a empresa.
 Melhoria na qualidade de vida: ergonomia significa qualidade de
vida. Através de métodos ergonômicos, acidentes de trabalho e
afastamentos por motivos de saúdes são reduzidos.
Placa Bacteriana
 A placa é uma camada grudenta e incolor de bactérias que
constantemente são formadas em nossos dentes e na margem
gengival. A placa contém bactérias que causam cárie e gengivite.
 Todos podem desenvolver placa como conseqüência das
bactérias constantes em nossas bocas; por isso, ela é difícil de se
ver. A placa que não é removida da margem gengival pode
causar inflamações e irritações na gengiva próxima aos dentes.
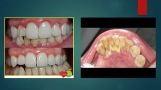
Tártaro
 O tártaro é um acúmulo mineral facilmente identificável, se estiver acima da
margem gengival. O sinal mais comum de tártaro é um deposito amarelo ou
marrom entre os dentes inferiores frontais ou na margem gengival.
 Condições relacionadas
 Cárie
 Gengivite
 Mau Hálito
Principais causas do Tártaro
 O tártaro acontece com ou sem alimentação e com ou sem
açúcar industrializado.
 Diferente da cárie dentária, independente de ter ingerido certos
tipos de alimento, a simples presença de placa bacteriana,
permite a calcificação e o que seria simples de remover com a
escova de dentes, torna-se um tipo de “pedra” que só o dentista
pode limpar.
Gengivite
 A gengivite é a inflamação da margem gengival que pode progredir e afetar os
ossos que permeiam e suportam os dentes. As três etapas de gengivite – da
menos severa até a mais severa – são: A gengivite pode não apresentar dor,
então é importante ficar atento a qualquer um dos sintomas a seguir:
 Sinais e sintomas: gengiva inchada, vermelha, sensível ou com sangramento
 Gengiva que recua ou se afasta do dente
 Mau hálito persistente ou gosto ruim na boca
 Dentes soltos
 Pus visível em torno dos dentes e gengiva
 Periodontite e periodontite avançada.
Medicamentos para tratamento de
Gengivite
 Amoxilina
 Cefalexina
 Clindamicina
 Clordox
 Flanax
Tratamento da Gengivite
 A gengivite não tem cura. Contudo, se houver um tratamento
adequado o paciente pode ter uma boa qualidade de vida.
 É possível realizar um tratamento que consiste apenas de uma
escovação adequada, uso de fio dental e de enxaguante bucais
de acordo com as indicações do dentista para as fases iniciais da
gengivite. Isso impedirá a progressão das placas bacterianas.
Técnicas de instrumentação
 Os instrumentais em odontologia tem como função
possibilitar ao odontólogo realizar os procedimentos de
atendimento ao paciente.
 o auxiliar do cirurgião dentista tem como dever conhecer
os instrumentais e suas funções para organiza-los e
prover o odontólogo dos mesmo.
Instrumentos
Biossegurança
 A biossegurança são procedimentos e estudos nos serviços de
saúde, que visam abordar medidas de controle de infecções para
proteger os funcionários que prestam assistência, usuários em
saúde e também desempenha um papel fundamental na
comunidade onde atua da promoção da consciência sanitária, da
importância da preservação ambiental com relação à manipulação
e descarte de resíduos químicos, tóxicos e potencialmente
infectantes, e também, da diminuição, de um modo geral, de
riscos à saúde e acidentes ocupacionais.
Grupo de riscos
 Grupo A: Biológico
 Grupo B: Químico
 Grupo C: Refeitos Radioativos
 Grupo D: Resíduos Comuns
 Grupo E: Perfuro cortantes
Equipamentos odontológicos
Jato de bicarbonato
Material de limpeza
Medicamentos odontológicos
 Medicamentos que previnem e controlam a dor: (dipirona,
paracetamol)
 Anestésico e anti-inflamatório.
 Anestésicos locais Medicamentos que combatem processos
infecciosos (Nimesulida e amoxilina)
 Antibiótico
Modos de uso/consumo:
Nos casos de anti-inflamatórios e antibióticos é recomendado que o
comprimido seja ingerido bebendo leite. Por se tratar de um
medicamento com forte reação, o leite ajuda a evitar reações
adversas como dores no estômago, náuseas e refluxos gástricos.
Nos casos de medicamentos líquidos, aconselha-se o paciente a
beber água para “tirar” o gosto do medicamento e ajudar na
absorção.
Conceitos básicos sobre procedimentos
restauradores.
 A restauração e uma forma de fazer com que o dente afetado pela carie volte a
sua forma e a sua função normal.
 O dentista remove a parte do dente que esta deteriorada limpa a área atingida e
então preenche a cavidade limpa com material de restauração.
 Restauração de ouro: São feitas sobre encomenda em um laboratório de prótese
e cimentada no dente em questão. As incrustações de ouro são bem aceitas
pelos tecidos gengivais e podem durar mais de vinte anos.
 Restaurações de amálgama (prata): São resistentes e relativamente baratas
entretanto devido a sua cor escura, são mais aparentes que a porcelana ou
composta de resina e não são utilizadas em áreas visíveis. Como os dentes
anteriores.
 Resinas compostas: Combinam com a cor dos dentes e, portanto são
utilizadas quando se deseja uma aparência mais natural. Os
ingredientes são misturados e colocados diretamente na cavidade
aonde endurecem. As resinas compostas não são o material ideal para
grandes restaurações, pois podem lascar ou se desgastar com o
tempo. Podendo manchar com pigmentos como café, chá ou tabaco, e
não duram tanto quanto outros tipos de restauração em geral de três a
dez anos.
 Restaurações de porcelana: São chamadas de incrustações ou
facetas. Podem combinar com a cor do dente e resistir a manchas. A
restauração de porcelana geralmente cobre a maior parte do dente,
seu custo e similar ao do ouro.
Restauração de ouro
Restauração de amálgama
Resina composta
Restauração de porcelana
Proteção radiológica ocupacional
 A importância do cuidado que o funcionário que trabalha
na área da radiologia precisa ter com seu próprio
organismo, utilizando os EPI’s adequados e tomando as
devidas providencias estabelecidas à esses
profissionais. A necessidade de alertar e prevenir
possíveis doenças vindas dessa radiação frequente. A
sobre carga de trabalho diária e suas complicações.
Proteção radiológica
Ética profissional
 Todo profissional que atua como Auxiliar de Saúde Bucal deve agir de forma
respeitosa e ética para com seus companheiros de trabalho, seus
superiores e, principalmente, com seus pacientes. O ASB deve seguir
rigorosamente o Código de Ética Odontológica, documento elaborado pelo
CFO.
 O profissional ASB que infringir o que diz o código pode sofrer penalidades.
Há a necessidade da atuação com base em princípios como honestidade,
lealdade e respeito à dignidade humana, além de ser discreto e manter
sigilo profissional.
Marketing pessoal
 É uma ferramenta usada para promoção pessoal de modo
a alcançar o sucesso. É uma estratégia para “vender” a
imagem, e influenciar a forma como outras pessoas olham
para quem a utiliza.
 O marketing pessoal capacita a pessoa a alterar a sua
postura, imagem e conduta.
Vestimenta do Auxiliar de Saúde Bucal
 É necessário para o trabalho do Auxiliar de Saúde bucal, as seguintes
vestimentas:
 Jaleco branco de manga longa.
Sapatos fechados.
Calças (não é permitido uso de bermudas/shorts ou saias e vestidos).
Touca/rede de cabelo.
Luvas de látex descartáveis
Máscaras descartáveis
 Não é aconselhado o uso de maquiagens e/ou pinturas faciais de coloração
forte ou chamativa.
 Deve-se ter moderação no uso de brincos, anéis, pulseiras e adornos em geral.
Cuidados com a Aparência
 Além da higiene pessoal em dia, vale ressaltar a
necessidade de:
 Cabelos bem aparados e limpos e devidamente colocados
na touca/rede
 Unhas aparadas e não pontiagudas
 Pelos faciais aparados
 Evitar o uso de perfumes e/ou colônias de fragrâncias
fortes.

Saude bucal (1)

  • 1.
  • 2.
    Anatomia e fisiologiabucal  A boca é formada pelos dentes, língua, gengiva, palato – céu da boca –, bochecha e lábios.  Um adulto tem 32 dentes, mas nem todas bocas comportam esse número de dentes e funções. Muitas vezes é preciso extrair um ou mais dentes para garantir que a arcada fique alinhada e nenhuma função seja prejudicada.  É importante que a pessoa consiga fazer a higienização adequada dos dentes. Se eles não forem bem escovados, podem apresentar processos de cárie e infecção do canal, o que leva com frequência à extração.
  • 3.
  • 4.
    Anatomia e fisiologiahumana  A Anatomia Humana é um campo da Biologia responsável por estudar e classificar os diferentes sistemas que o corpo humano possui. Podemos observar as seguintes divisões:  Sistema esquelético: O sistema esquelético é constituído de ossos e cartilagens, além dos ligamentos e tendões. O esqueleto sustenta e dá forma ao corpo, além de proteger os órgãos internos e atua em conjunto com os sistemas muscular e articular para permitir o movimento.  Sistema Muscular: O corpo humano é composto por cerca de 600 músculos, que juntos representam cerca da metade do peso humano. Existem diferentes tipos e formatos de músculos, os quais são apresentados em nossa seção sobre o sistema.
  • 5.
     Sistema Tegumentar:A pele humana é o maior órgão de nosso corpo. Na anatomia humana, este órgão é descrito e estudado no sistema tegumentar, que também inclui o cabelo e as unhas.  Sistema Urinário: Sistema responsável pela eliminação da ureia, criada a partir de alimentos consumidos. O sistema é composto por 2 rins, 2 ureteres, a bexiga, os músculos do esfíncter e a uretra.  Sistema Respiratório: Sistema responsável pela respiração humana e as trocas gasosas com meio ambiente.  Sistema Endócrino: Sistema o qual se encontram diferentes glândulas importantíssimas para o corpo humano. Tais glândulas possuem funções tais como o metabolismo, crescimento e função sexual.  Sistema Nervoso: O Sistema Nervoso controla as ações voluntárias e involuntárias do corpo humano. O sistema é divido em Sistema Nervoso Central e Periférico. O primeiro consiste no Cérebro e na Medula Espinhal, o segundo consiste-se nos Nervos.
  • 6.
     Sistema Circulatório:Importante sistema da anatomia humana responsável sangue, nutrientes, oxigênio, dióxido de carbono e hormônios, em torno do corpo.  Sistema Digestório: Importante sistema da anatomia humana responsável sangue, nutrientes, oxigênio, dióxido de carbono e hormônios, em torno do corpo.  Para facilitar o estudo, dividimos o corpo humano em: Cabeça, Pescoço, Tronco, Membros Superiores e Membros Inferiores.
  • 10.
    Processo de trabalhoe humanização em saúde  O presente artigo trata da temática ¨processos de trabalho no campo da saúde publica¨, tendo a politica nacional de humanização(PNH) e, mais especificamente, um curso de formação de apoiadores institucionais como referências.  A politica nacional de humanização preconiza a transversalidade na construção de redes cooperativas, solidarias e comprometidas com a produção de saúde, estimulando o protagonismo e a co- responsabilidade de sujeitos e coletivos.
  • 11.
    Ergonomia A ergonomia nocampo da odontologia destina –se a melhorar as condições de trabalho dos cirurgiões-dentistas criando e aperfeiçoando as ferramentas , instrumentos e mobiliário utilizado pelos profissionais de saúde bucal. O objetivo e a diminuição do estresse físico e mental prevenindo assim as doenças relacionadas a pratica odontológica e consequentemente buscando uma produtividade mais expressiva.
  • 12.
    Benefícios da ergonomia Redução do número de afastamentos e ausências: uma vez que ela é responsável pelo bem estar do funcionário, estes números tendem a cair.  Valorização do profissional: é proporcionado a valorização do profissional. Quando o suporte para exercer suas funções é existente, o sentimento de reconhecimento é mais forte na empresa.  Produtividade: Com a redução das ausências, a produtividade é aumentada, gerando mais produção para a empresa.
  • 13.
     Melhoria naqualidade de vida: ergonomia significa qualidade de vida. Através de métodos ergonômicos, acidentes de trabalho e afastamentos por motivos de saúdes são reduzidos.
  • 16.
    Placa Bacteriana  Aplaca é uma camada grudenta e incolor de bactérias que constantemente são formadas em nossos dentes e na margem gengival. A placa contém bactérias que causam cárie e gengivite.  Todos podem desenvolver placa como conseqüência das bactérias constantes em nossas bocas; por isso, ela é difícil de se ver. A placa que não é removida da margem gengival pode causar inflamações e irritações na gengiva próxima aos dentes.
  • 17.
    Tártaro  O tártaroé um acúmulo mineral facilmente identificável, se estiver acima da margem gengival. O sinal mais comum de tártaro é um deposito amarelo ou marrom entre os dentes inferiores frontais ou na margem gengival.  Condições relacionadas  Cárie  Gengivite  Mau Hálito
  • 18.
    Principais causas doTártaro  O tártaro acontece com ou sem alimentação e com ou sem açúcar industrializado.  Diferente da cárie dentária, independente de ter ingerido certos tipos de alimento, a simples presença de placa bacteriana, permite a calcificação e o que seria simples de remover com a escova de dentes, torna-se um tipo de “pedra” que só o dentista pode limpar.
  • 20.
    Gengivite  A gengiviteé a inflamação da margem gengival que pode progredir e afetar os ossos que permeiam e suportam os dentes. As três etapas de gengivite – da menos severa até a mais severa – são: A gengivite pode não apresentar dor, então é importante ficar atento a qualquer um dos sintomas a seguir:  Sinais e sintomas: gengiva inchada, vermelha, sensível ou com sangramento  Gengiva que recua ou se afasta do dente  Mau hálito persistente ou gosto ruim na boca  Dentes soltos  Pus visível em torno dos dentes e gengiva  Periodontite e periodontite avançada.
  • 21.
    Medicamentos para tratamentode Gengivite  Amoxilina  Cefalexina  Clindamicina  Clordox  Flanax
  • 22.
    Tratamento da Gengivite A gengivite não tem cura. Contudo, se houver um tratamento adequado o paciente pode ter uma boa qualidade de vida.  É possível realizar um tratamento que consiste apenas de uma escovação adequada, uso de fio dental e de enxaguante bucais de acordo com as indicações do dentista para as fases iniciais da gengivite. Isso impedirá a progressão das placas bacterianas.
  • 24.
    Técnicas de instrumentação Os instrumentais em odontologia tem como função possibilitar ao odontólogo realizar os procedimentos de atendimento ao paciente.  o auxiliar do cirurgião dentista tem como dever conhecer os instrumentais e suas funções para organiza-los e prover o odontólogo dos mesmo.
  • 25.
  • 26.
    Biossegurança  A biossegurançasão procedimentos e estudos nos serviços de saúde, que visam abordar medidas de controle de infecções para proteger os funcionários que prestam assistência, usuários em saúde e também desempenha um papel fundamental na comunidade onde atua da promoção da consciência sanitária, da importância da preservação ambiental com relação à manipulação e descarte de resíduos químicos, tóxicos e potencialmente infectantes, e também, da diminuição, de um modo geral, de riscos à saúde e acidentes ocupacionais.
  • 27.
    Grupo de riscos Grupo A: Biológico  Grupo B: Químico  Grupo C: Refeitos Radioativos  Grupo D: Resíduos Comuns  Grupo E: Perfuro cortantes
  • 31.
  • 32.
  • 33.
  • 34.
    Medicamentos odontológicos  Medicamentosque previnem e controlam a dor: (dipirona, paracetamol)  Anestésico e anti-inflamatório.  Anestésicos locais Medicamentos que combatem processos infecciosos (Nimesulida e amoxilina)  Antibiótico
  • 35.
    Modos de uso/consumo: Noscasos de anti-inflamatórios e antibióticos é recomendado que o comprimido seja ingerido bebendo leite. Por se tratar de um medicamento com forte reação, o leite ajuda a evitar reações adversas como dores no estômago, náuseas e refluxos gástricos. Nos casos de medicamentos líquidos, aconselha-se o paciente a beber água para “tirar” o gosto do medicamento e ajudar na absorção.
  • 36.
    Conceitos básicos sobreprocedimentos restauradores.  A restauração e uma forma de fazer com que o dente afetado pela carie volte a sua forma e a sua função normal.  O dentista remove a parte do dente que esta deteriorada limpa a área atingida e então preenche a cavidade limpa com material de restauração.  Restauração de ouro: São feitas sobre encomenda em um laboratório de prótese e cimentada no dente em questão. As incrustações de ouro são bem aceitas pelos tecidos gengivais e podem durar mais de vinte anos.  Restaurações de amálgama (prata): São resistentes e relativamente baratas entretanto devido a sua cor escura, são mais aparentes que a porcelana ou composta de resina e não são utilizadas em áreas visíveis. Como os dentes anteriores.
  • 37.
     Resinas compostas:Combinam com a cor dos dentes e, portanto são utilizadas quando se deseja uma aparência mais natural. Os ingredientes são misturados e colocados diretamente na cavidade aonde endurecem. As resinas compostas não são o material ideal para grandes restaurações, pois podem lascar ou se desgastar com o tempo. Podendo manchar com pigmentos como café, chá ou tabaco, e não duram tanto quanto outros tipos de restauração em geral de três a dez anos.  Restaurações de porcelana: São chamadas de incrustações ou facetas. Podem combinar com a cor do dente e resistir a manchas. A restauração de porcelana geralmente cobre a maior parte do dente, seu custo e similar ao do ouro.
  • 38.
  • 39.
  • 40.
  • 41.
  • 42.
    Proteção radiológica ocupacional A importância do cuidado que o funcionário que trabalha na área da radiologia precisa ter com seu próprio organismo, utilizando os EPI’s adequados e tomando as devidas providencias estabelecidas à esses profissionais. A necessidade de alertar e prevenir possíveis doenças vindas dessa radiação frequente. A sobre carga de trabalho diária e suas complicações.
  • 43.
  • 44.
    Ética profissional  Todoprofissional que atua como Auxiliar de Saúde Bucal deve agir de forma respeitosa e ética para com seus companheiros de trabalho, seus superiores e, principalmente, com seus pacientes. O ASB deve seguir rigorosamente o Código de Ética Odontológica, documento elaborado pelo CFO.  O profissional ASB que infringir o que diz o código pode sofrer penalidades. Há a necessidade da atuação com base em princípios como honestidade, lealdade e respeito à dignidade humana, além de ser discreto e manter sigilo profissional.
  • 45.
    Marketing pessoal  Éuma ferramenta usada para promoção pessoal de modo a alcançar o sucesso. É uma estratégia para “vender” a imagem, e influenciar a forma como outras pessoas olham para quem a utiliza.  O marketing pessoal capacita a pessoa a alterar a sua postura, imagem e conduta.
  • 46.
    Vestimenta do Auxiliarde Saúde Bucal  É necessário para o trabalho do Auxiliar de Saúde bucal, as seguintes vestimentas:  Jaleco branco de manga longa. Sapatos fechados. Calças (não é permitido uso de bermudas/shorts ou saias e vestidos). Touca/rede de cabelo. Luvas de látex descartáveis Máscaras descartáveis  Não é aconselhado o uso de maquiagens e/ou pinturas faciais de coloração forte ou chamativa.  Deve-se ter moderação no uso de brincos, anéis, pulseiras e adornos em geral.
  • 47.
    Cuidados com aAparência  Além da higiene pessoal em dia, vale ressaltar a necessidade de:  Cabelos bem aparados e limpos e devidamente colocados na touca/rede  Unhas aparadas e não pontiagudas  Pelos faciais aparados  Evitar o uso de perfumes e/ou colônias de fragrâncias fortes.