Histologia e
Embriologia
Dental
ODONTOGÊNESEODONTOGÊNESE
• Desenvolvimento dos dentes e seus tecidos deDesenvolvimento dos dentes e seus tecidos de
suporte;suporte;
• O processo de desenvolvimento é similar paraO processo de desenvolvimento é similar para
todos os dentes;todos os dentes;
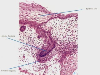
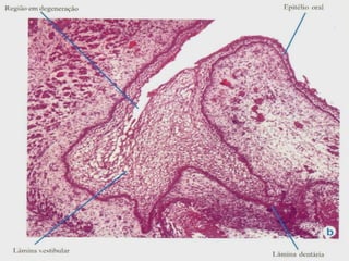
• O epitélio de revestimento da cavidade bucalO epitélio de revestimento da cavidade bucal
primitiva é do tipo estratificado,primitiva é do tipo estratificado,
pavimentoso, de origem ectodérmica;pavimentoso, de origem ectodérmica;
• Abaixo deste epitélio encontra- se um tecidoAbaixo deste epitélio encontra- se um tecido
conjuntivo primitivo (ectomesênquima).conjuntivo primitivo (ectomesênquima).
ODONTOGÊNESEODONTOGÊNESE
• Iniciação;Iniciação;
• Proliferação;Proliferação;
• Morfo e Histodiferenciação;Morfo e Histodiferenciação;
• Aposição.Aposição.
ODONTOGÊNESEODONTOGÊNESE
IniciaçãoIniciação
Interações indutivas entre EPITÉLIO eInterações indutivas entre EPITÉLIO e
ECTOMESÊNQUIMAECTOMESÊNQUIMA
Banda Epitelial primária (5Banda Epitelial primária (5aa
Semana)Semana)
LÂMINA DENTÁRIALÂMINA DENTÁRIA LÂMINA VESTIBULARLÂMINA VESTIBULAR
ODONTOGÊNESEODONTOGÊNESE
Fase de botãoFase de botão
• Após a sua proliferação inicial ao longo dosApós a sua proliferação inicial ao longo dos
futuros arcos a lâmina dental apresentafuturos arcos a lâmina dental apresenta
atividades mitóticas diferenciais em algunsatividades mitóticas diferenciais em alguns
locais;locais;
• 8a semana viu:8a semana viu:
- Início da formação dos botões (em épocas- Início da formação dos botões (em épocas
diferentes);diferentes);
- Início de uma condensação ectomesenquimal- Início de uma condensação ectomesenquimal
em torno do botão (Tenascina e Sindecana-1).em torno do botão (Tenascina e Sindecana-1).
ODONTOGÊNESEODONTOGÊNESE
ProliferaçãoProliferação
• Fase de Capuz;Fase de Capuz;
• Intensa proliferação das células epiteliais doIntensa proliferação das células epiteliais do
botão;botão;
• Crescimento desigual assumindo uma forma deCrescimento desigual assumindo uma forma de
boné, com aprofundamento de sua parteboné, com aprofundamento de sua parte
central;central;
ODONTOGÊNESEODONTOGÊNESE
ProliferaçãoProliferação
• Diferenciação de algumas camadas epiteliais (ÓRGÃO DO ESMALTE) :Diferenciação de algumas camadas epiteliais (ÓRGÃO DO ESMALTE) :
 Epitélio internoEpitélio interno
 Epitélio externoEpitélio externo
 Retículo EstreladoRetículo Estrelado
• Aumento da condensação ectomesenquimal:Aumento da condensação ectomesenquimal:
 PAPILA DENTALPAPILA DENTAL ( dentina e polpa)( dentina e polpa)
• Órgão do esmalte + papila dentalÓrgão do esmalte + papila dental = germe dentário= germe dentário
• Condensação do ectomesênquima em torno do Órgão e Papila dental: FOLÍCULOCondensação do ectomesênquima em torno do Órgão e Papila dental: FOLÍCULO
DENTAL.DENTAL.
 periodonto de inserção do dente ( cemento, ligamento periodontal e ossoperiodonto de inserção do dente ( cemento, ligamento periodontal e osso
alveolar)alveolar)
ODONTOGÊNESEODONTOGÊNESE
Morfogênese e HistodiferenciaçãoMorfogênese e Histodiferenciação
• Fase de Campânula;Fase de Campânula;
• Diminuição da proliferação das célulasDiminuição da proliferação das células
epiteliais;epiteliais;
• Diferenciação de diversas células do germeDiferenciação de diversas células do germe
dental;dental;
• Retículo estrelado cresce em volume;Retículo estrelado cresce em volume;
• Epitélio Externo mantém suas célulasEpitélio Externo mantém suas células
achatadas;achatadas;
• Epitélio Interno tem suas células alongadas;Epitélio Interno tem suas células alongadas;
ODONTOGÊNESEODONTOGÊNESE
Morfo e HistodiferenciaçãoMorfo e Histodiferenciação
• Aparecimento do EI;Aparecimento do EI;
• Formação da alça cervical;Formação da alça cervical;
• Órgão dental se encontra separado da papilaÓrgão dental se encontra separado da papila
dental e folículo dental pela lâmina basal;dental e folículo dental pela lâmina basal;
• Vasos sangüíneos do folículo invadem a papila;Vasos sangüíneos do folículo invadem a papila;
• Formação da lâmina dental sucessora;Formação da lâmina dental sucessora;
• Separação do germe do epitélio oral pelaSeparação do germe do epitélio oral pela
desintegração da lâmina dental;desintegração da lâmina dental;
ODONTOGÊNESEODONTOGÊNESE
Morfo e HistodiferenciaçãoMorfo e Histodiferenciação
• Formação do processo alveolar rodeando oFormação do processo alveolar rodeando o
germe e constituindo a cripta óssea;germe e constituindo a cripta óssea;
• Células epiteliais da lâminaCélulas epiteliais da lâmina  Formação doFormação do
canal gubernacular;canal gubernacular;
• Formação de dobras do epitélio dental internoFormação de dobras do epitélio dental interno
determinando a forma da coroa do dente;determinando a forma da coroa do dente;
• Acúmulo de células epiteliais na região do EIAcúmulo de células epiteliais na região do EI
formando o nó do esmalte: Fenômeno queformando o nó do esmalte: Fenômeno que
determina a forma da coroa dos dentes.determina a forma da coroa dos dentes.
ODONTOGÊNESEODONTOGÊNESE
Morfo e HistodiferenciaçãoMorfo e Histodiferenciação
• Logo após, cels do EDI nos vértices da cúspidesLogo após, cels do EDI nos vértices da cúspides
ou faces incisais que eram baixas, cilíndricasou faces incisais que eram baixas, cilíndricas
tornam- se altas, invertem sua polaridade,tornam- se altas, invertem sua polaridade,
recebendo agora o nome de PRÉ-recebendo agora o nome de PRÉ-
AMELOBLASTOS.AMELOBLASTOS.
• Sob influência dos pré- ameloblastos, cels daSob influência dos pré- ameloblastos, cels da
papila dental param de se dividir, aumentam depapila dental param de se dividir, aumentam de
tamanho e passam a se chamar PRÉ-tamanho e passam a se chamar PRÉ-
ODONTOBLASTOS depositando a DENTINA DOODONTOBLASTOS depositando a DENTINA DO
MANTO.MANTO.
ODONTOGÊNESEODONTOGÊNESE
Morfo e HistodiferenciaçãoMorfo e Histodiferenciação
• Matriz dentinária + Odontoblastos induz osMatriz dentinária + Odontoblastos induz os
Pré- ameloblastos a terminarem suaPré- ameloblastos a terminarem sua
diferenciação em AMELOBLASTOS ediferenciação em AMELOBLASTOS e
depositarem ESMALTE.depositarem ESMALTE.
*** Diferenciação de ODONTOBLASTOS e*** Diferenciação de ODONTOBLASTOS e
AMELOBLASTOS se dá por uma induçãoAMELOBLASTOS se dá por uma indução
recíproca com forte participação da lâminarecíproca com forte participação da lâmina
basal.basal.
ODONTOGÊNESEODONTOGÊNESE
Fase de coroa -AposiçãoFase de coroa -Aposição
• Fase de campânula avançada;Fase de campânula avançada;
• Deposição de dentina eDeposição de dentina e
esmalte;esmalte;
• Formação da coroa;Formação da coroa;
• Eventos de diferenciação são observados aoEventos de diferenciação são observados ao
longo das vertentes;longo das vertentes;
• A formação da dentina é centrípeta, a doA formação da dentina é centrípeta, a do
esmalte é centrífuga.esmalte é centrífuga.
ODONTOGÊNESEODONTOGÊNESE
RisogêneseRisogênese
• Proliferação da alça cervical: Bainha EpitelialProliferação da alça cervical: Bainha Epitelial
de Hertwig + Diafragma epitelial;de Hertwig + Diafragma epitelial;
• Células epiteliais da Bainha induzem células daCélulas epiteliais da Bainha induzem células da
papila a se diferenciarem em odontoblastospapila a se diferenciarem em odontoblastos
para a deposição da dentina radicular;para a deposição da dentina radicular;
• O diafragma epitelial é resultante da dobraO diafragma epitelial é resultante da dobra
da BEH devido à presença do folículo dental.da BEH devido à presença do folículo dental.
É ele quem determina o número de raízes doÉ ele quem determina o número de raízes do
dente;dente;
ODONTOGÊNESEODONTOGÊNESE
RisogêneseRisogênese
• A formação da raiz ocorre enquanto o denteA formação da raiz ocorre enquanto o dente
erupciona;erupciona;
• Após a formação da dentina radicular, célulasApós a formação da dentina radicular, células
da bainha secretam uma matriz cujada bainha secretam uma matriz cuja
composição é similar à do esmalte (esmaltecomposição é similar à do esmalte (esmalte
like);like);
• Fragmentação da Bainha radicular ( RestosFragmentação da Bainha radicular ( Restos
epiteliais de Malassez);epiteliais de Malassez);
ODONTOGÊNESEODONTOGÊNESE
PeriodontogênesePeriodontogênese
• A formação do periodonto de inserção (cemento,A formação do periodonto de inserção (cemento,
ligamento periodontal e osso alveolar) se dáligamento periodontal e osso alveolar) se dá
simultaneamente a formação da raiz;simultaneamente a formação da raiz;
• A fragmentação da bainha radicular coloca oA fragmentação da bainha radicular coloca o
folículo dental em contato com a dentinafolículo dental em contato com a dentina
radicular, ocorrendo indução de diferenciação deradicular, ocorrendo indução de diferenciação de
células do folículo dental em cementoblastos ecélulas do folículo dental em cementoblastos e
secreção de matriz orgânica do cemento.secreção de matriz orgânica do cemento.
ODONTOGÊNESEODONTOGÊNESE
PeriodontogênesePeriodontogênese
• Células centrais do folículo dental se diferenciamCélulas centrais do folículo dental se diferenciam
em fibroblastos e formam o ligamentoem fibroblastos e formam o ligamento
periodontal;periodontal;
• Células da periferia se diferenciam emCélulas da periferia se diferenciam em
osteoblastos e formam o osso alveolarosteoblastos e formam o osso alveolar
propriamente dito;propriamente dito;
• As fibras do ligamento são formadas ao mesmoAs fibras do ligamento são formadas ao mesmo
tempo que a matriz do cemento e osso,tempo que a matriz do cemento e osso,
possibilitando sua inserção nestes tecidos, sendopossibilitando sua inserção nestes tecidos, sendo
chamadas FIBRAS DE SHARPEY.chamadas FIBRAS DE SHARPEY.
ODONTOGÊNESEODONTOGÊNESE
Risogênese X ErupçãoRisogênese X Erupção
• Antes da erupção, durante a risogênese, oAntes da erupção, durante a risogênese, o
esmalte está sofrendo maturação pré- eruptiva;esmalte está sofrendo maturação pré- eruptiva;
• O colapso das células do órgão dental origina umaO colapso das células do órgão dental origina uma
estrutura chamada de Epitélio Reduzido doestrutura chamada de Epitélio Reduzido do
Esmalte que recobre a coroa até a erupção.Esmalte que recobre a coroa até a erupção.
• Após a erupção o ERE fará parte do epitélioApós a erupção o ERE fará parte do epitélio
juncional da gengiva.juncional da gengiva.
ODONTOGÊNESEODONTOGÊNESE
Desenvolvimento dos dentes permanentesDesenvolvimento dos dentes permanentes
• Ocorre a partir da lâmina dental sucessora, queOcorre a partir da lâmina dental sucessora, que
se forma na fase de campânula;se forma na fase de campânula;
• Dentes anteriores: Face lingual ou palatina;Dentes anteriores: Face lingual ou palatina;
• Pré- molares: Entre as raízes dos molaresPré- molares: Entre as raízes dos molares
decíduos;decíduos;
• Molares permanentes: Extensão distal da lâminaMolares permanentes: Extensão distal da lâmina
original.original.

Odontogênese

  • 1.
  • 3.
    ODONTOGÊNESEODONTOGÊNESE • Desenvolvimento dosdentes e seus tecidos deDesenvolvimento dos dentes e seus tecidos de suporte;suporte; • O processo de desenvolvimento é similar paraO processo de desenvolvimento é similar para todos os dentes;todos os dentes; • O epitélio de revestimento da cavidade bucalO epitélio de revestimento da cavidade bucal primitiva é do tipo estratificado,primitiva é do tipo estratificado, pavimentoso, de origem ectodérmica;pavimentoso, de origem ectodérmica; • Abaixo deste epitélio encontra- se um tecidoAbaixo deste epitélio encontra- se um tecido conjuntivo primitivo (ectomesênquima).conjuntivo primitivo (ectomesênquima).
  • 5.
    ODONTOGÊNESEODONTOGÊNESE • Iniciação;Iniciação; • Proliferação;Proliferação; •Morfo e Histodiferenciação;Morfo e Histodiferenciação; • Aposição.Aposição.
  • 6.
    ODONTOGÊNESEODONTOGÊNESE IniciaçãoIniciação Interações indutivas entreEPITÉLIO eInterações indutivas entre EPITÉLIO e ECTOMESÊNQUIMAECTOMESÊNQUIMA Banda Epitelial primária (5Banda Epitelial primária (5aa Semana)Semana) LÂMINA DENTÁRIALÂMINA DENTÁRIA LÂMINA VESTIBULARLÂMINA VESTIBULAR
  • 11.
    ODONTOGÊNESEODONTOGÊNESE Fase de botãoFasede botão • Após a sua proliferação inicial ao longo dosApós a sua proliferação inicial ao longo dos futuros arcos a lâmina dental apresentafuturos arcos a lâmina dental apresenta atividades mitóticas diferenciais em algunsatividades mitóticas diferenciais em alguns locais;locais; • 8a semana viu:8a semana viu: - Início da formação dos botões (em épocas- Início da formação dos botões (em épocas diferentes);diferentes); - Início de uma condensação ectomesenquimal- Início de uma condensação ectomesenquimal em torno do botão (Tenascina e Sindecana-1).em torno do botão (Tenascina e Sindecana-1).
  • 13.
    ODONTOGÊNESEODONTOGÊNESE ProliferaçãoProliferação • Fase deCapuz;Fase de Capuz; • Intensa proliferação das células epiteliais doIntensa proliferação das células epiteliais do botão;botão; • Crescimento desigual assumindo uma forma deCrescimento desigual assumindo uma forma de boné, com aprofundamento de sua parteboné, com aprofundamento de sua parte central;central;
  • 15.
    ODONTOGÊNESEODONTOGÊNESE ProliferaçãoProliferação • Diferenciação dealgumas camadas epiteliais (ÓRGÃO DO ESMALTE) :Diferenciação de algumas camadas epiteliais (ÓRGÃO DO ESMALTE) :  Epitélio internoEpitélio interno  Epitélio externoEpitélio externo  Retículo EstreladoRetículo Estrelado • Aumento da condensação ectomesenquimal:Aumento da condensação ectomesenquimal:  PAPILA DENTALPAPILA DENTAL ( dentina e polpa)( dentina e polpa) • Órgão do esmalte + papila dentalÓrgão do esmalte + papila dental = germe dentário= germe dentário • Condensação do ectomesênquima em torno do Órgão e Papila dental: FOLÍCULOCondensação do ectomesênquima em torno do Órgão e Papila dental: FOLÍCULO DENTAL.DENTAL.  periodonto de inserção do dente ( cemento, ligamento periodontal e ossoperiodonto de inserção do dente ( cemento, ligamento periodontal e osso alveolar)alveolar)
  • 17.
    ODONTOGÊNESEODONTOGÊNESE Morfogênese e HistodiferenciaçãoMorfogênesee Histodiferenciação • Fase de Campânula;Fase de Campânula; • Diminuição da proliferação das célulasDiminuição da proliferação das células epiteliais;epiteliais; • Diferenciação de diversas células do germeDiferenciação de diversas células do germe dental;dental; • Retículo estrelado cresce em volume;Retículo estrelado cresce em volume; • Epitélio Externo mantém suas célulasEpitélio Externo mantém suas células achatadas;achatadas; • Epitélio Interno tem suas células alongadas;Epitélio Interno tem suas células alongadas;
  • 19.
    ODONTOGÊNESEODONTOGÊNESE Morfo e HistodiferenciaçãoMorfoe Histodiferenciação • Aparecimento do EI;Aparecimento do EI; • Formação da alça cervical;Formação da alça cervical; • Órgão dental se encontra separado da papilaÓrgão dental se encontra separado da papila dental e folículo dental pela lâmina basal;dental e folículo dental pela lâmina basal; • Vasos sangüíneos do folículo invadem a papila;Vasos sangüíneos do folículo invadem a papila; • Formação da lâmina dental sucessora;Formação da lâmina dental sucessora; • Separação do germe do epitélio oral pelaSeparação do germe do epitélio oral pela desintegração da lâmina dental;desintegração da lâmina dental;
  • 21.
    ODONTOGÊNESEODONTOGÊNESE Morfo e HistodiferenciaçãoMorfoe Histodiferenciação • Formação do processo alveolar rodeando oFormação do processo alveolar rodeando o germe e constituindo a cripta óssea;germe e constituindo a cripta óssea; • Células epiteliais da lâminaCélulas epiteliais da lâmina  Formação doFormação do canal gubernacular;canal gubernacular; • Formação de dobras do epitélio dental internoFormação de dobras do epitélio dental interno determinando a forma da coroa do dente;determinando a forma da coroa do dente; • Acúmulo de células epiteliais na região do EIAcúmulo de células epiteliais na região do EI formando o nó do esmalte: Fenômeno queformando o nó do esmalte: Fenômeno que determina a forma da coroa dos dentes.determina a forma da coroa dos dentes.
  • 24.
    ODONTOGÊNESEODONTOGÊNESE Morfo e HistodiferenciaçãoMorfoe Histodiferenciação • Logo após, cels do EDI nos vértices da cúspidesLogo após, cels do EDI nos vértices da cúspides ou faces incisais que eram baixas, cilíndricasou faces incisais que eram baixas, cilíndricas tornam- se altas, invertem sua polaridade,tornam- se altas, invertem sua polaridade, recebendo agora o nome de PRÉ-recebendo agora o nome de PRÉ- AMELOBLASTOS.AMELOBLASTOS. • Sob influência dos pré- ameloblastos, cels daSob influência dos pré- ameloblastos, cels da papila dental param de se dividir, aumentam depapila dental param de se dividir, aumentam de tamanho e passam a se chamar PRÉ-tamanho e passam a se chamar PRÉ- ODONTOBLASTOS depositando a DENTINA DOODONTOBLASTOS depositando a DENTINA DO MANTO.MANTO.
  • 26.
    ODONTOGÊNESEODONTOGÊNESE Morfo e HistodiferenciaçãoMorfoe Histodiferenciação • Matriz dentinária + Odontoblastos induz osMatriz dentinária + Odontoblastos induz os Pré- ameloblastos a terminarem suaPré- ameloblastos a terminarem sua diferenciação em AMELOBLASTOS ediferenciação em AMELOBLASTOS e depositarem ESMALTE.depositarem ESMALTE. *** Diferenciação de ODONTOBLASTOS e*** Diferenciação de ODONTOBLASTOS e AMELOBLASTOS se dá por uma induçãoAMELOBLASTOS se dá por uma indução recíproca com forte participação da lâminarecíproca com forte participação da lâmina basal.basal.
  • 27.
    ODONTOGÊNESEODONTOGÊNESE Fase de coroa-AposiçãoFase de coroa -Aposição • Fase de campânula avançada;Fase de campânula avançada; • Deposição de dentina eDeposição de dentina e esmalte;esmalte; • Formação da coroa;Formação da coroa; • Eventos de diferenciação são observados aoEventos de diferenciação são observados ao longo das vertentes;longo das vertentes; • A formação da dentina é centrípeta, a doA formação da dentina é centrípeta, a do esmalte é centrífuga.esmalte é centrífuga.
  • 29.
    ODONTOGÊNESEODONTOGÊNESE RisogêneseRisogênese • Proliferação daalça cervical: Bainha EpitelialProliferação da alça cervical: Bainha Epitelial de Hertwig + Diafragma epitelial;de Hertwig + Diafragma epitelial; • Células epiteliais da Bainha induzem células daCélulas epiteliais da Bainha induzem células da papila a se diferenciarem em odontoblastospapila a se diferenciarem em odontoblastos para a deposição da dentina radicular;para a deposição da dentina radicular; • O diafragma epitelial é resultante da dobraO diafragma epitelial é resultante da dobra da BEH devido à presença do folículo dental.da BEH devido à presença do folículo dental. É ele quem determina o número de raízes doÉ ele quem determina o número de raízes do dente;dente;
  • 30.
    ODONTOGÊNESEODONTOGÊNESE RisogêneseRisogênese • A formaçãoda raiz ocorre enquanto o denteA formação da raiz ocorre enquanto o dente erupciona;erupciona; • Após a formação da dentina radicular, célulasApós a formação da dentina radicular, células da bainha secretam uma matriz cujada bainha secretam uma matriz cuja composição é similar à do esmalte (esmaltecomposição é similar à do esmalte (esmalte like);like); • Fragmentação da Bainha radicular ( RestosFragmentação da Bainha radicular ( Restos epiteliais de Malassez);epiteliais de Malassez);
  • 32.
    ODONTOGÊNESEODONTOGÊNESE PeriodontogênesePeriodontogênese • A formaçãodo periodonto de inserção (cemento,A formação do periodonto de inserção (cemento, ligamento periodontal e osso alveolar) se dáligamento periodontal e osso alveolar) se dá simultaneamente a formação da raiz;simultaneamente a formação da raiz; • A fragmentação da bainha radicular coloca oA fragmentação da bainha radicular coloca o folículo dental em contato com a dentinafolículo dental em contato com a dentina radicular, ocorrendo indução de diferenciação deradicular, ocorrendo indução de diferenciação de células do folículo dental em cementoblastos ecélulas do folículo dental em cementoblastos e secreção de matriz orgânica do cemento.secreção de matriz orgânica do cemento.
  • 33.
    ODONTOGÊNESEODONTOGÊNESE PeriodontogênesePeriodontogênese • Células centraisdo folículo dental se diferenciamCélulas centrais do folículo dental se diferenciam em fibroblastos e formam o ligamentoem fibroblastos e formam o ligamento periodontal;periodontal; • Células da periferia se diferenciam emCélulas da periferia se diferenciam em osteoblastos e formam o osso alveolarosteoblastos e formam o osso alveolar propriamente dito;propriamente dito; • As fibras do ligamento são formadas ao mesmoAs fibras do ligamento são formadas ao mesmo tempo que a matriz do cemento e osso,tempo que a matriz do cemento e osso, possibilitando sua inserção nestes tecidos, sendopossibilitando sua inserção nestes tecidos, sendo chamadas FIBRAS DE SHARPEY.chamadas FIBRAS DE SHARPEY.
  • 35.
    ODONTOGÊNESEODONTOGÊNESE Risogênese X ErupçãoRisogêneseX Erupção • Antes da erupção, durante a risogênese, oAntes da erupção, durante a risogênese, o esmalte está sofrendo maturação pré- eruptiva;esmalte está sofrendo maturação pré- eruptiva; • O colapso das células do órgão dental origina umaO colapso das células do órgão dental origina uma estrutura chamada de Epitélio Reduzido doestrutura chamada de Epitélio Reduzido do Esmalte que recobre a coroa até a erupção.Esmalte que recobre a coroa até a erupção. • Após a erupção o ERE fará parte do epitélioApós a erupção o ERE fará parte do epitélio juncional da gengiva.juncional da gengiva.
  • 37.
    ODONTOGÊNESEODONTOGÊNESE Desenvolvimento dos dentespermanentesDesenvolvimento dos dentes permanentes • Ocorre a partir da lâmina dental sucessora, queOcorre a partir da lâmina dental sucessora, que se forma na fase de campânula;se forma na fase de campânula; • Dentes anteriores: Face lingual ou palatina;Dentes anteriores: Face lingual ou palatina; • Pré- molares: Entre as raízes dos molaresPré- molares: Entre as raízes dos molares decíduos;decíduos; • Molares permanentes: Extensão distal da lâminaMolares permanentes: Extensão distal da lâmina original.original.