Hospital de Olhos Leiria de Andrade
Fundação Leiria de Andrade
Oclusão Venosa Retina
Dr. Alexis Galeno Matos
Orientador: Dr. Leiria de Andrade Neto
• Revisão Literária
– Introdução
– Fatores que aumentam e diminuem o risco
– Sintomas
– Sinais
– Classificação e formas
– Diagnóstico
– Tratamento
• Caso Clínico
Trombose Venosa da Retina
Introdução
•Sem predileção por sexo e raça
•60 anos
•10% bilateral
Fatores que aumentam o risco
•Hipertensão arterial – 70 %
•Doenças cardíacas
•Alterações trombóticas ( ↓Proteina C, Antitrombina III, LUPUS, SAF)
•Glaucoma – 10 a 12% ???
•Diabete mellitus ???
•Causa inflamatórias: Sarcoidose, Dça Lyme, Coroidite
Fatores que diminuem o risco
•Consumo de álcool
•HDL alto
•Exercício físico
Trombose Venosa da Retina
Sintomas
• Baixa da acuidade visual dependendo do local da oclusão
• 63% Quadrante temporal superior - nos cruzamentos artério-venoso
Sinais
• Edema retiniano,
• Tortuosidade e dilatação venosa
• Hemorragias localizadas
Trombose Venosa da Retina
Classificação
• AGUDA – até 6 meses – Fundo de olho clássico
• CRÔNICA- mais de 6 meses - exsudatos duros, microaneurismas,
embainhamento, vascular, estreitamento arteriolar e edema macular.
Formas
• ISQUÊMICA
• NÃO ISQUÊMICA
Trombose Venosa da Retina
Diagnóstico
• CLÍNICO: Fundo de olho, Proteína C, Coagulograma, homocisteína,
anticoagulante lúpico, eletroforese de proteína, anticardiolipina.
• ANGIOGRAFICO
– Define edema macular, a perfusão da rede capilar para-foveal e a presença de
neovasos.
– Mostra o retardo artério-venoso na arcada comprometida e a presença de
áreas isquêmicas e de vazamento tardio.
• OCT
• RETINOGRAFIA
Trombose Venosa da Retina
Tratamento
• Triancinolona
• Avastin
• Fotocoagulação
• Anastomose cório-retiniana induzida por laser
• Cirúrgico
- Vitrectomia
- Vitrectomia com Sheathotomia
Trombose Venosa da Retina
Caso Clínico
Caso Clínico
Identificação
• V.P., 60 anos, masculino, empresário
Queixa Principal
• Diminuição da visão em olho esquerdo há +/- 10 dias
Pré-exame (10/02/2009)
• Auto Refrator:
• OD: Esf: -0,25 Cil: -0,50 Eixo: 106
• OE: Esf: +0,25 Cil: -0,25 Eixo: 180
• Tonometria de Sopro:
• OD: 16/17/16
• OE: 17/18/16
Caso Clínico
Exame Oftalmológico:
Acuidade Visual c/c:
• OD = 20/20
• OE = 20/100 (metamorfopsias)
• Add: +3,00
Biomicroscopia: Normal
FO: OD: Normal.
OE: Hemorragias retinianas temporal superior.
Edema Macular
Solicitado: Angiografia e OCT
Caso Clínico
Retinografia 10/02/2009
Caso Clínico
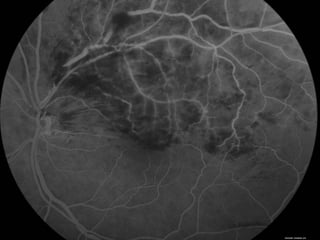
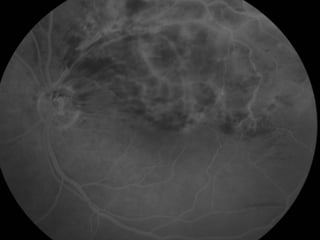
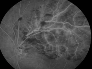
Angiografia 10/02/2009
Caso Clínico
OCT 10/02/2009
Caso Clinico
Hipóteses diagnóstica:
• Trombose Venosa da Retina (ramo)
Conduta:
• Acompanhamento mensal
• Triacinolona
• Avastin
• Fotocoagulação
• Cirurgia
Caso Clínico
11/02/2009
• Orientado: Avastin e Triancinolona
• Realizado sem incidentes
• Prescrito Biamotil D 8/8 horas
13/02/2009
• Exame Ocular
• Ac. Visual
• OD = 20/20
• OE = 20/70
Caso Clínico
18/02/2009
Acuidade visual
• OD = 20/20
• OE = 20/70
Em uso:
• DIAMOX 250 mg VO a noite por 30 dias
• Slow k 12/12 horas

Oclusão Venosa Retina

  • 1.
    Hospital de OlhosLeiria de Andrade Fundação Leiria de Andrade Oclusão Venosa Retina Dr. Alexis Galeno Matos Orientador: Dr. Leiria de Andrade Neto
  • 2.
    • Revisão Literária –Introdução – Fatores que aumentam e diminuem o risco – Sintomas – Sinais – Classificação e formas – Diagnóstico – Tratamento • Caso Clínico
  • 3.
    Trombose Venosa daRetina Introdução •Sem predileção por sexo e raça •60 anos •10% bilateral Fatores que aumentam o risco •Hipertensão arterial – 70 % •Doenças cardíacas •Alterações trombóticas ( ↓Proteina C, Antitrombina III, LUPUS, SAF) •Glaucoma – 10 a 12% ??? •Diabete mellitus ??? •Causa inflamatórias: Sarcoidose, Dça Lyme, Coroidite Fatores que diminuem o risco •Consumo de álcool •HDL alto •Exercício físico
  • 4.
    Trombose Venosa daRetina Sintomas • Baixa da acuidade visual dependendo do local da oclusão • 63% Quadrante temporal superior - nos cruzamentos artério-venoso Sinais • Edema retiniano, • Tortuosidade e dilatação venosa • Hemorragias localizadas
  • 5.
    Trombose Venosa daRetina Classificação • AGUDA – até 6 meses – Fundo de olho clássico • CRÔNICA- mais de 6 meses - exsudatos duros, microaneurismas, embainhamento, vascular, estreitamento arteriolar e edema macular. Formas • ISQUÊMICA • NÃO ISQUÊMICA
  • 6.
    Trombose Venosa daRetina Diagnóstico • CLÍNICO: Fundo de olho, Proteína C, Coagulograma, homocisteína, anticoagulante lúpico, eletroforese de proteína, anticardiolipina. • ANGIOGRAFICO – Define edema macular, a perfusão da rede capilar para-foveal e a presença de neovasos. – Mostra o retardo artério-venoso na arcada comprometida e a presença de áreas isquêmicas e de vazamento tardio. • OCT • RETINOGRAFIA
  • 10.
    Trombose Venosa daRetina Tratamento • Triancinolona • Avastin • Fotocoagulação • Anastomose cório-retiniana induzida por laser • Cirúrgico - Vitrectomia - Vitrectomia com Sheathotomia
  • 11.
    Trombose Venosa daRetina Caso Clínico
  • 12.
    Caso Clínico Identificação • V.P.,60 anos, masculino, empresário Queixa Principal • Diminuição da visão em olho esquerdo há +/- 10 dias Pré-exame (10/02/2009) • Auto Refrator: • OD: Esf: -0,25 Cil: -0,50 Eixo: 106 • OE: Esf: +0,25 Cil: -0,25 Eixo: 180 • Tonometria de Sopro: • OD: 16/17/16 • OE: 17/18/16
  • 13.
    Caso Clínico Exame Oftalmológico: AcuidadeVisual c/c: • OD = 20/20 • OE = 20/100 (metamorfopsias) • Add: +3,00 Biomicroscopia: Normal FO: OD: Normal. OE: Hemorragias retinianas temporal superior. Edema Macular Solicitado: Angiografia e OCT
  • 14.
  • 18.
  • 27.
  • 31.
    Caso Clinico Hipóteses diagnóstica: •Trombose Venosa da Retina (ramo) Conduta: • Acompanhamento mensal • Triacinolona • Avastin • Fotocoagulação • Cirurgia
  • 32.
    Caso Clínico 11/02/2009 • Orientado:Avastin e Triancinolona • Realizado sem incidentes • Prescrito Biamotil D 8/8 horas 13/02/2009 • Exame Ocular • Ac. Visual • OD = 20/20 • OE = 20/70
  • 33.
    Caso Clínico 18/02/2009 Acuidade visual •OD = 20/20 • OE = 20/70 Em uso: • DIAMOX 250 mg VO a noite por 30 dias • Slow k 12/12 horas