fernando didier
médico-residente, pneumologia
incor-hcfmusp
16/01/2015
Introdução
• Importância
• Convenção em Helsinki 1997
• 19 participantes de 8 países
• “critérios de Helsinki”
• Atualização radiológica em 2000
• Nova atualização em fev/2014 em Espoo organizado pelo FIOH
Recomendações 1997/2000
Considerações Gerais
• Boa história ocupacional
• Fibras/ano/cm³ (fibras-ano)
• Achados para ter relação com doença (carga de fibras):
• > 0.1 milhão de fibras anfibólicas (>5 μm) por grama de tecido seco
• > 1 milhão de fibras anfibólicas (>1 μm) por grama em microsc. elet.
• > 1000 corpos de asbestos/g
• > 1 corpo de asbestos por mL de LBA
• Cada laboratório deve ter sua referência
Recomendações 1997/2000
Asbestose
• Fibrose intersticial difusa por poeira de asbestos
• Geralmente relacionada a exposições mais intensas
• Não se diferencia das outras fibroses
• História de exposição e >2 corpos/cm²
• Padronização de graus histológicos pelo CAP-NIOSH (mod. Roggli)
Recomendações 1997/2000
Doenças Pleurais
• Em regiões não endêmicas para placas, 80-90% são relacionadas a
asbesto
• Pleurite com espessamento mais difuso, derrame e atelectasia
redonda: maior exposição
Recomendações 1997/2000
Mesotelioma
• 80% dos portadores foram expostos
• Latência de 30-40 anos, mínimo de 10
• Asbesto pode induzir qualquer tipo de mesotelioma maligno
• Anfibólico tem maior potencial que crisotilo
• Relação com exposição:
• Basta história
• MM peritoneais relacionados a maior exposição
• Tabagismo não influencia
Recomendações 1997/2000
Câncer de Pulmão
• Latência mínima de 10 anos
• Qualquer tipo histológico pode estar relacionado a asbesto
• Localização não é pertinente
• +4% de risco por cada fibra-ano (fibra/cm³/ano)
• 25 fibras-ano dobra o risco
• Quando predominar crisotila, considerar fibras-ano sobre
quantificação histológica (maior clearance)
• Asbestose pode aumentar ainda mais o risco
• Placas pleurais não podem ser consideradas
• Não há sinergismo asbesto+tabaco para aumento do risco
Recomendações 1997/2000
Radiologia
• Profusão 1/0 (ILO) – estágio inicial de asbestose
• Padronização dos achados àTC pendente
• Rastreio de câncer pendente
Atualização 2014
Rastreio de Câncer de Pulmão
• NLST
• Rastreio radiográfico em expostos: pouca evidência
• Estudos de LDCT em expostos ainda pendentes
• Indicada LDCT anual:
• Baixa exposição + tabagismo
• Exposição significativa que aumenta o risco de câncer
Atualização 2014
Rastreio de Doenças não-malignas
• Seguimento de saúde ocupacional padrão (incluindo fibras-ano)
• Até 30 anos da cessação (compensação)
• Radiografia 3-5 anos (ILO) em países desenvolvidos
• pouca evidência
• Por que rastrear doença benigna?
• Redução da exposição
• Cessação do tabagismo
• Atenção a infecções
• Vacinação
• Upgrade para rastreio de câncer
• Espirometria 3-5 anos
• DLCO na suspeita
Atualização 2014
Diagnóstico de Doenças não-malignas
• Indicação deTC
• ILO 0/1 ou 1/0
• PFP alterada apesar da radiografia normal
• Alterações pleurais prejudicam visualização do parênquima
• Critérios para fibrose pelo ICOERD (2005) – ILO dasTCs
• Opacidades irregulares bilaterais: soma ≥ 2-3 nos campos inferiores;
• Faveolamento bilateral: soma ≥ 2
• Qualquer espessamento pleural deve ser mencionado pelo ICOERD
Atualização 2014
Novas Doenças Atribuíveis
• RR ≥ 2 para risco significativo
• Câncer de laringe: RR=2 quando pulmão RR=2,8
• Para Pulmão RR=2, laringe 1,6 com RA 37%
• Causado por asbestos
• Câncer de ovário: RR=2 quando pulmão RR=1,7
• Para pulmão RR=2, ovário 2,2 com RA 54%
• Causado por asbestos
• Câncer de cólon: RR=2 quando pulmão RR=5,2
• Para pulmão RR=2, cólon 1,1 com RA 9%
• Não causado por asbestos
Atualização 2014
Novas Doenças Atribuíveis
• Câncer de estômago
• Não causado por asbestos por qualidade de evidência
• Há indícios que sim
• Dispneia e PFP alterada
• Predomina restrição
• Pode acometer pequenas vvaa mesmo sem tabaco
• Mais vistas quando já há alteração radiológica (pleurite e asbestose)
• Fibrose retroperitoneal
• Rara, literatura pobre
• Se houver acometimento respiratório, está relacionada
Atualização 2014
Patologia e Biomarcadores
• Associados carcinomas sarcomatóide e adeno-escamoso
• Doença de via aérea por asbestos (fibrose brônquica)
• Asbestose
• UIP àTC + placas
• UIP + poucos corpos na lâmina (<2)
• UIP+ uma carga de fibras equivalente à da asbestose
• Mesotelioma
• Marcadores carcinomatosos como negativos, mesoteliais positivos
• No peritônio de mulheres acrescentar marcação para estrógeno e
progesterona
Mensagens
• Fibras-ano e carga de fibras
• Utilidade da detecção precoce
• TC de baixa dose para rastreio de câncer
• Alta exposição:
• Asbestose (UIP + placa, corpos ou fibras-ano)
• Pleurite difusa com derrame
• Mesotelioma peritoneal
• Risco de câncer: pulmão, laringe, ovário (estômago?)
Obrigado!

Asbestos - critérios de helsinki

  • 1.
  • 4.
    Introdução • Importância • Convençãoem Helsinki 1997 • 19 participantes de 8 países • “critérios de Helsinki” • Atualização radiológica em 2000 • Nova atualização em fev/2014 em Espoo organizado pelo FIOH
  • 5.
    Recomendações 1997/2000 Considerações Gerais •Boa história ocupacional • Fibras/ano/cm³ (fibras-ano) • Achados para ter relação com doença (carga de fibras): • > 0.1 milhão de fibras anfibólicas (>5 μm) por grama de tecido seco • > 1 milhão de fibras anfibólicas (>1 μm) por grama em microsc. elet. • > 1000 corpos de asbestos/g • > 1 corpo de asbestos por mL de LBA • Cada laboratório deve ter sua referência
  • 6.
    Recomendações 1997/2000 Asbestose • Fibroseintersticial difusa por poeira de asbestos • Geralmente relacionada a exposições mais intensas • Não se diferencia das outras fibroses • História de exposição e >2 corpos/cm² • Padronização de graus histológicos pelo CAP-NIOSH (mod. Roggli)
  • 8.
    Recomendações 1997/2000 Doenças Pleurais •Em regiões não endêmicas para placas, 80-90% são relacionadas a asbesto • Pleurite com espessamento mais difuso, derrame e atelectasia redonda: maior exposição
  • 9.
    Recomendações 1997/2000 Mesotelioma • 80%dos portadores foram expostos • Latência de 30-40 anos, mínimo de 10 • Asbesto pode induzir qualquer tipo de mesotelioma maligno • Anfibólico tem maior potencial que crisotilo • Relação com exposição: • Basta história • MM peritoneais relacionados a maior exposição • Tabagismo não influencia
  • 10.
    Recomendações 1997/2000 Câncer dePulmão • Latência mínima de 10 anos • Qualquer tipo histológico pode estar relacionado a asbesto • Localização não é pertinente • +4% de risco por cada fibra-ano (fibra/cm³/ano) • 25 fibras-ano dobra o risco • Quando predominar crisotila, considerar fibras-ano sobre quantificação histológica (maior clearance) • Asbestose pode aumentar ainda mais o risco • Placas pleurais não podem ser consideradas • Não há sinergismo asbesto+tabaco para aumento do risco
  • 11.
    Recomendações 1997/2000 Radiologia • Profusão1/0 (ILO) – estágio inicial de asbestose • Padronização dos achados àTC pendente • Rastreio de câncer pendente
  • 12.
    Atualização 2014 Rastreio deCâncer de Pulmão • NLST • Rastreio radiográfico em expostos: pouca evidência • Estudos de LDCT em expostos ainda pendentes • Indicada LDCT anual: • Baixa exposição + tabagismo • Exposição significativa que aumenta o risco de câncer
  • 13.
    Atualização 2014 Rastreio deDoenças não-malignas • Seguimento de saúde ocupacional padrão (incluindo fibras-ano) • Até 30 anos da cessação (compensação) • Radiografia 3-5 anos (ILO) em países desenvolvidos • pouca evidência • Por que rastrear doença benigna? • Redução da exposição • Cessação do tabagismo • Atenção a infecções • Vacinação • Upgrade para rastreio de câncer • Espirometria 3-5 anos • DLCO na suspeita
  • 14.
    Atualização 2014 Diagnóstico deDoenças não-malignas • Indicação deTC • ILO 0/1 ou 1/0 • PFP alterada apesar da radiografia normal • Alterações pleurais prejudicam visualização do parênquima • Critérios para fibrose pelo ICOERD (2005) – ILO dasTCs • Opacidades irregulares bilaterais: soma ≥ 2-3 nos campos inferiores; • Faveolamento bilateral: soma ≥ 2 • Qualquer espessamento pleural deve ser mencionado pelo ICOERD
  • 15.
    Atualização 2014 Novas DoençasAtribuíveis • RR ≥ 2 para risco significativo • Câncer de laringe: RR=2 quando pulmão RR=2,8 • Para Pulmão RR=2, laringe 1,6 com RA 37% • Causado por asbestos • Câncer de ovário: RR=2 quando pulmão RR=1,7 • Para pulmão RR=2, ovário 2,2 com RA 54% • Causado por asbestos • Câncer de cólon: RR=2 quando pulmão RR=5,2 • Para pulmão RR=2, cólon 1,1 com RA 9% • Não causado por asbestos
  • 16.
    Atualização 2014 Novas DoençasAtribuíveis • Câncer de estômago • Não causado por asbestos por qualidade de evidência • Há indícios que sim • Dispneia e PFP alterada • Predomina restrição • Pode acometer pequenas vvaa mesmo sem tabaco • Mais vistas quando já há alteração radiológica (pleurite e asbestose) • Fibrose retroperitoneal • Rara, literatura pobre • Se houver acometimento respiratório, está relacionada
  • 17.
    Atualização 2014 Patologia eBiomarcadores • Associados carcinomas sarcomatóide e adeno-escamoso • Doença de via aérea por asbestos (fibrose brônquica) • Asbestose • UIP àTC + placas • UIP + poucos corpos na lâmina (<2) • UIP+ uma carga de fibras equivalente à da asbestose • Mesotelioma • Marcadores carcinomatosos como negativos, mesoteliais positivos • No peritônio de mulheres acrescentar marcação para estrógeno e progesterona
  • 18.
    Mensagens • Fibras-ano ecarga de fibras • Utilidade da detecção precoce • TC de baixa dose para rastreio de câncer • Alta exposição: • Asbestose (UIP + placa, corpos ou fibras-ano) • Pleurite difusa com derrame • Mesotelioma peritoneal • Risco de câncer: pulmão, laringe, ovário (estômago?)
  • 19.

Notas do Editor

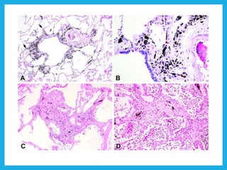
  • #8 A, Grade 1 asbestosis consists of fibrosis involving the bronchiolar wall and extending to the first layer of alveoli (arrows). B, Higher magnification shows asbestos bodies embedded within the fibrous tissue. C, Grade 2 asbestosis consists of fibrosis involving more distant alveolar walls but which spares at least some alveoli between adjacent bronchioles. D, Grade 3 asbestosis consists of fibrosis involving all alveoli between 2 adjacent bronchioles (hematoxylin-eosin, original magnifications ×60 [A and C], ×300 [B], ×125 [D]).
  • #13 Neste momento o artigo convoca os pesquisadores para comparar LDCT com radiografia e orienta centralizar a coordenação do estudo multicêntrico no ministério da saúde dos países