Genética
Conceitos
Básicos
PROFESSORA GRACIELA TONIN
Já sabia?
• https://www.youtube.com/watch?v=yUPy5
yh-2jI&t=15s
O que é genética?
• É o estudo dos genes e de sua
transmissão para as gerações futuras.
• É dividida em:
- Genética Clássica  Mendel (1856 –
1865)
- Genética Moderna  Watson e Crick
(1953).
Gene
- Genética Clássica  unidade
fundamental da hereditariedade.
- Entendendo melhor sobre ...Genes...
- https://www.youtube.com/watch?v=W4kiJ3
V2Z04&t=2s
- https://www.youtube.com/watch?v=E6DPIg
LqdCo
A Genética de Mendel
• https://youtu.be/tRFN7lSmhFg
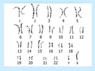
Cariótipo
• Conjunto de cromossomos de cada célula de
um organismo
Espécie humana:
44 + XX (feminino) ou
44 + XY ( masculino)
Genótipo
• Constituição gênica do indivíduo, isto é, são
os genes que ele possui em suas células e
que foram herdados dos seus pais.
• Representado por letras.
• Ex.: A, a, B, b ...
Fenótipo
• São as características manifestadas por um
indivíduo. São as características visíveis.
• Ex. As cores
Fenótipo
F = G + A
(Fenótipo é igual ao genótipo do indivíduo mais a
ação do ambiente).
• Ex.: cor de pele, textura do cabelo, tipo
sangüíneo, etc.
Cromossomos Homólogos
• São cromossomos que apresentam
genes para as mesmas
características para as
mesmas posições.
• Um homólogo veio do
pai e outro da mãe.
Óvulo  n
Espermatozoide  n
Zigoto  2n
Tamanho
do Pé
Cor de
Cabelo
Tipo
Sanguíneo
Temperamento
Tamanho
do Pé
Cor de
Cabelo
Tipo
Sanguíneo
Temperamento
Genes Alelos
• Genes presentes nos mesmos locais nos
cromossomos homólogos.
• Se, por exemplo, houver um gene A num
cromossomo, o gene a , localizado no homólogo
correspondente, será alelo de A.
• Da mesma forma, B será alelo de b, mas A não
será alelo de b. Cada par de genes mandará um
caráter, podendo ser homozigoto (letras iguais
AA ou aa) ou heterozigoto (letras diferentes Aa).
P
c
IA
a
P
C
IB
a
Genes alelos
Homozigoto
• Seres diplóides apresentam duas cópias de
cada gene  cada um em um cromossomo
homólogo.
• O indivíduo homozigoto apresenta dois
alelos de um gene iguais, sejam eles genes
dominantes ou recessivos.
• Ex: AA, bb
Heterozigoto
• Indivíduos que apresentam dois alelos
DIFERENTES de um gene são chamados
heterozigotos.
• Ex.: Aa, Bb
Dominância
• Alelos que se expressam da mesma forma
nas condições homozigótica e
heterozigótica são chamados dominantes.
• Ex: Indivíduos RR e Rr para o fator Rh são
Rh+.
Recessividade
• Alelos que não se expressam na condição
heterozigótica são denominados recessivos.
• Ex.: o alelo r, uma vez que um indivíduo rr
é Rh-.
Entendendo melhor...
• https://www.youtube.com/watch?v=PxSRJz
rkigc
E aí, entendeu?
Produção de Gametas
Que tipo de gametas um indivíduo Aa pode
produzir? Veja...
A a A a
Que tipo de gametas os indivíduos abaixo
podem produzir?
• AA
• Bb
• bb
• AABB
• aabb
• AAbb
• AaBb
Qual é a probabilidade de:
• Um indivíduo homozigoto dominante
formar um gameta A?
• Um indivíduo heterozigoto formar um
gameta A?
Cruzamentos
• A partir dos cruzamentos os geneticistas
podem prever a transmissão dos genes em
uma família.
• É utilizado o “quadro de Punnett”-
• 1ª Lei de Mendel- segregação de fatores
Gametas
produzidos
pelo pai
Gametas
produzidos
pela mãe
Cruzamento
Cruzamento de AA com aa: cor de cabelos
A A
a
a
A a A a
A a A a
Resposta:
100% Aa
Ou seja:
100%
heterozigotos
Genótipos: AA – mãe; aa – Pai e Aa – filhos
Fenótipo: castanha – mãe; loiro – pai e castanhos os filhos
Como fazer um cruzamento?
1. Leia com cuidado o enunciado e faça uma
legenda respondendo a pergunta: qual é a
característica em questão?
2. Destaque qual característica é condicionada pelo
gene dominante e qual é pelo gene recessivo.
3. Descubra qual é o genótipo dos pais (caso não
tenha sido dito no problema).
4. Descubra quais tipos de gametas os pais podem
produzir.
Como fazer um cruzamento?
5. Coloque os gametas produzidos pelos pais
no quadro de Punnett.
6. Faça o cruzamento.
7. Monte o genótipo.
8. Monte o fenótipo (a legenda te ajuda nesse
passo)
9. Responda a questão.
• O gene A determina cor de olho castanho e
o gene a determina cor de olho azul. Um
homem de olho azul se casa com uma
mulher heterozigota de olhos castanhos.
Qual é a probabilidade deste casal ter filhos
de olhos azuis?
• Diga genótipo e fenótipo dos envolvidos.
• Um homem normal, filho de pai normal e
mãe albina, casou-se com uma mulher
normal heterozigota. Qual a probabilidade
de nascerem filhos albinos nesse
casamento?
• Dê fenótipo e genótipo dos envolvidos.
Heredogramas
O que é um heredograma?
• Também chamado do pedigree ou
genealogia.
• Representa as relações de parentesco entre
indivíduos.
• Representa o padrão de certa herança em
uma família.
Símbolos
Homem normal
Mulher normal
Homem afetado
Mulher afetada
Casamento
Filhos
Sexo
indeterminado
Gêmeos
verdadeiros
Gêmeos falsos
ou dizigóticos
Como montar um heredograma?
Veja este exemplo:
Afetados
Normais
• Um homem normal, cujo pai era afetado e a mãe era
normal, casa-se com uma mulher normal cujos pais
também eram normais. Esse casal tem seis filhos:
duas mulheres e um homem afetados, uma mulher
normal, um homem e uma mulher afetados nessa
ordem.
Um homem normal, cujo pai era afetado e
a mãe era normal, casa-se com uma
mulher normal cujos pais também eram
normais. Esse casal tem seis filhos: duas
mulheres e um homem afetados, uma
mulher normal, um homem e uma mulher
afetados nessa ordem.
GOSTOU?
QUER TREINAR MAIS?
Então se liga nestas dicas...
Software para baixar no computador
gnt-cyst 2.0
Aplicativos para celular
GenEvol
DaGenetica
GeneticCode

genetica.ppt

  • 1.
  • 3.
  • 4.
    O que égenética? • É o estudo dos genes e de sua transmissão para as gerações futuras. • É dividida em: - Genética Clássica  Mendel (1856 – 1865) - Genética Moderna  Watson e Crick (1953).
  • 5.
    Gene - Genética Clássica unidade fundamental da hereditariedade.
  • 8.
    - Entendendo melhorsobre ...Genes... - https://www.youtube.com/watch?v=W4kiJ3 V2Z04&t=2s - https://www.youtube.com/watch?v=E6DPIg LqdCo
  • 9.
    A Genética deMendel • https://youtu.be/tRFN7lSmhFg
  • 10.
    Cariótipo • Conjunto decromossomos de cada célula de um organismo Espécie humana: 44 + XX (feminino) ou 44 + XY ( masculino)
  • 12.
    Genótipo • Constituição gênicado indivíduo, isto é, são os genes que ele possui em suas células e que foram herdados dos seus pais. • Representado por letras. • Ex.: A, a, B, b ...
  • 13.
    Fenótipo • São ascaracterísticas manifestadas por um indivíduo. São as características visíveis. • Ex. As cores
  • 14.
    Fenótipo F = G+ A (Fenótipo é igual ao genótipo do indivíduo mais a ação do ambiente). • Ex.: cor de pele, textura do cabelo, tipo sangüíneo, etc.
  • 16.
    Cromossomos Homólogos • Sãocromossomos que apresentam genes para as mesmas características para as mesmas posições. • Um homólogo veio do pai e outro da mãe.
  • 17.
    Óvulo  n Espermatozoide n Zigoto  2n
  • 18.
    Tamanho do Pé Cor de Cabelo Tipo Sanguíneo Temperamento Tamanho doPé Cor de Cabelo Tipo Sanguíneo Temperamento
  • 19.
    Genes Alelos • Genespresentes nos mesmos locais nos cromossomos homólogos. • Se, por exemplo, houver um gene A num cromossomo, o gene a , localizado no homólogo correspondente, será alelo de A. • Da mesma forma, B será alelo de b, mas A não será alelo de b. Cada par de genes mandará um caráter, podendo ser homozigoto (letras iguais AA ou aa) ou heterozigoto (letras diferentes Aa).
  • 20.
  • 21.
    Homozigoto • Seres diplóidesapresentam duas cópias de cada gene  cada um em um cromossomo homólogo. • O indivíduo homozigoto apresenta dois alelos de um gene iguais, sejam eles genes dominantes ou recessivos. • Ex: AA, bb
  • 22.
    Heterozigoto • Indivíduos queapresentam dois alelos DIFERENTES de um gene são chamados heterozigotos. • Ex.: Aa, Bb
  • 23.
    Dominância • Alelos quese expressam da mesma forma nas condições homozigótica e heterozigótica são chamados dominantes. • Ex: Indivíduos RR e Rr para o fator Rh são Rh+.
  • 24.
    Recessividade • Alelos quenão se expressam na condição heterozigótica são denominados recessivos. • Ex.: o alelo r, uma vez que um indivíduo rr é Rh-.
  • 25.
  • 26.
  • 27.
    Produção de Gametas Quetipo de gametas um indivíduo Aa pode produzir? Veja... A a A a
  • 28.
    Que tipo degametas os indivíduos abaixo podem produzir? • AA • Bb • bb • AABB • aabb • AAbb • AaBb
  • 29.
    Qual é aprobabilidade de: • Um indivíduo homozigoto dominante formar um gameta A? • Um indivíduo heterozigoto formar um gameta A?
  • 30.
    Cruzamentos • A partirdos cruzamentos os geneticistas podem prever a transmissão dos genes em uma família. • É utilizado o “quadro de Punnett”- • 1ª Lei de Mendel- segregação de fatores
  • 31.
  • 32.
    Cruzamento de AAcom aa: cor de cabelos A A a a A a A a A a A a Resposta: 100% Aa Ou seja: 100% heterozigotos Genótipos: AA – mãe; aa – Pai e Aa – filhos Fenótipo: castanha – mãe; loiro – pai e castanhos os filhos
  • 33.
    Como fazer umcruzamento? 1. Leia com cuidado o enunciado e faça uma legenda respondendo a pergunta: qual é a característica em questão? 2. Destaque qual característica é condicionada pelo gene dominante e qual é pelo gene recessivo. 3. Descubra qual é o genótipo dos pais (caso não tenha sido dito no problema). 4. Descubra quais tipos de gametas os pais podem produzir.
  • 34.
    Como fazer umcruzamento? 5. Coloque os gametas produzidos pelos pais no quadro de Punnett. 6. Faça o cruzamento. 7. Monte o genótipo. 8. Monte o fenótipo (a legenda te ajuda nesse passo) 9. Responda a questão.
  • 35.
    • O geneA determina cor de olho castanho e o gene a determina cor de olho azul. Um homem de olho azul se casa com uma mulher heterozigota de olhos castanhos. Qual é a probabilidade deste casal ter filhos de olhos azuis? • Diga genótipo e fenótipo dos envolvidos.
  • 37.
    • Um homemnormal, filho de pai normal e mãe albina, casou-se com uma mulher normal heterozigota. Qual a probabilidade de nascerem filhos albinos nesse casamento? • Dê fenótipo e genótipo dos envolvidos.
  • 39.
  • 40.
    O que éum heredograma? • Também chamado do pedigree ou genealogia. • Representa as relações de parentesco entre indivíduos. • Representa o padrão de certa herança em uma família.
  • 41.
    Símbolos Homem normal Mulher normal Homemafetado Mulher afetada Casamento Filhos Sexo indeterminado Gêmeos verdadeiros Gêmeos falsos ou dizigóticos
  • 42.
    Como montar umheredograma? Veja este exemplo:
  • 43.
  • 44.
    • Um homemnormal, cujo pai era afetado e a mãe era normal, casa-se com uma mulher normal cujos pais também eram normais. Esse casal tem seis filhos: duas mulheres e um homem afetados, uma mulher normal, um homem e uma mulher afetados nessa ordem.
  • 45.
    Um homem normal,cujo pai era afetado e a mãe era normal, casa-se com uma mulher normal cujos pais também eram normais. Esse casal tem seis filhos: duas mulheres e um homem afetados, uma mulher normal, um homem e uma mulher afetados nessa ordem.
  • 47.
    GOSTOU? QUER TREINAR MAIS? Entãose liga nestas dicas... Software para baixar no computador gnt-cyst 2.0 Aplicativos para celular GenEvol DaGenetica GeneticCode