Prof. Dra. Denise A.
HOJE IREMOS VER...
• INFLAMAÇÃO
INFLAMAÇÃO
O que é inflamação?
INFLAMAÇÃO - Definição
• Resposta protetora complexa a um estímulo nocivo; mas que causa lesão
tecidual;
• Ocorre em tecidos vascularizados;
• Tem como objetivo diluir, destruir ou neutralizar o agente agressor.
• Envolve o recrutamento de várias proteínas plasmáticas e de células, e os
mesmos se acumulam no local da lesão;
• Depende de mediadores químicos (mediadores inflamatórios).
NOMENCLATURA
Local Termo designativo Denominação
Estômago gastro Gastrite
Língua glosso glossite
Farige faringo faringite
Artéria artero arterite
veia flebo flebite
Rim nefro nefrite
Nariz rino rinite
NOMENCLATURA
Local Termo designativo Denominação
Tuba uterina Salpingo Salpingite
Ovário Ovário Ovarite ou ooforite
Fígado Hepato Hepatite
Apêndice Apêndice Apendicite
Intestino Colon Colite
Sinais cardinais da inflamação
CALOR VERMELHIDÃO
(Eritema/Rubor)
INCHAÇO
(Edema)
DOR PERDA DA
FUNÇÃO
PATOGENIA:
Os fenômenos ou momentos da inflamação podem ser classificados em:
• Fenômeno irritativos,
• Fenômenos vasculares,
• Fenômenos exsudativos,
• Fenômenos celulares,
• Fenômenos degenerativos – necrotizantes,
• Fenômenos produtivos – reparativos.
FENÔMENOS DA INFLAMAÇÃO
• Fenômenos vasculares
• Vasodilatação (prolongada)
• Abertura de nova rede de capilares
• NO (oxido nítrico) – Macrófagos
• Serotonina – Plaquetas
• Aumento do fluxo sanguíneo (Hiperemia)
• Rubor e calor no local
• Aumento da permeabilidade vascular
FENÔMENOS DA INFLAMAÇÃO
• Fenômenos exsudativos
• Aumento da permeabilidade vascular
• Histamina – Mastócitos, Basófilos e plaquetas
• Bradicinina – Hepática
• Redução da pressão osmótica vascular
• Aumento da saída de fluidos rico em proteínas para o tecido.
• Estase, permitindo maior adesão de neutrófilos.
Fenômenos vasculares - HIPEREMIA
Fenômenos exsudativos – EDEMA
FENÔMENOS DA INFLAMAÇÃO
• Fenômenos celulares
• Extravasamento de leucócitos
• Fagocitose
Rolamento Adesão Transmigração
Selectina
Integrina
• Extravasamento de Leucócitos
• Alteração no fluxo sanguíneo: Marginação
• Indução de moléculas de adesão na superfície endotelial
• Ativadas pela ação de citocinas inflamatórias: TNF e Interleucinas
(IL-1) – macrófagos
• Rolamento, aderência e emigração de leucócitos;
• Selectina E – Marginação e rolamento
• Integrina (ICAM-1) – Adesão e transmigração
• Migração no tecido em direção ao estímulo quimiotático.
60X
Marginação
Leucocitária
Quimiotaxia
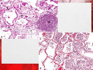
PULMÃO NORMAL PULMÃO COM PNEUMONIA
Quimiotaxia
•Processo no qual os leucócitos após o
extravasamento migram no tecido em direção ao
local da lesão.
Locomoção ao longo de um gradiente químico.
•Agentes quimiotáticos: Produtos bacterianos;
componentes do complemento; produtos da
lipoxigenase; citocinas (quimiocinas).
Sistema do complemento
• 20 proteínas
estimulam a liberação de
histamina -mastócitos
Vasodilatação
Quimiotatico
Fagocitose-opsonina
permeabilidade
vascular
Contração do
musculo liso
vasodilatação
Metabólitos do Acido aracdônico - eicosanóides
Sinais cardinais da inflamação
CALOR VERMELHIDÃO
(Eritema/Rubor)
INCHAÇO
(Edema)
DOR PERDA DA
FUNÇÃO
Causas da inflamação aguda:
• Infecção e toxina bacteriana
• Trauma (contuso ou penetrante)
• Agentes físicos e químicos
• Necrose tecidual
• Corpos estranhos (farpas, poeiras, suturas)
• Reações imunológicas
INFLAMAÇÃO EXSUDATIVA
(mais frequentemente vistas nas inflamações agudas, que são caracterizadas por
fenômenos Vasculares - Exsudativos):
A) Serosa: Quando o exsudato produzido é aquoso, límpido e pobre em células. Pode
apresentar-se fluído como na Rinite Alérgica ou viral (Gripe).
Peritonite e Pleurite serosas – líquido intracavitário, fluido e pouco denso.
B) Purulenta ou Supurativa :Quando o exsudato produzido é cremoso,
amarelo-esverdeado, rico em PMN vivos e mortos ("Piócitos"), células
necróticas e plasma. Pressupõem infecções com bacterias piogênicas,
do tipo Streptococcus ou Staphylococcus.
Abscesso
Abscesso hepático – piócitos e destruição tecidual circunscritos por
cápsula de tecido fibroso (setas). HE - 10x.
C)Fibrinosa: Quando o exsudato produzido é filamentoso, rico em fibrina, com
celularidade variável.
Pericardite fibrinosa – líquido intracavitário, denso e branco.
D)Mucosa/catarral : O exsudato produzido é viscoso com alto teor de
mucina.
Inflamação crônica
• Devido a persistência da agressão o processo se mantém.
• Partículas não digeríveis (sílica, fios de sutura, etc)
• Irritação crônica (Úlcera péptica)
• Doenças auto-imunes (Tireoidite de Hashimoto)
• Infecções persistentes (Tuberculose, fungos, sífilis, etc)
• Os fenômenos vasculares – exsudativos são discretos ao lado
de fenômenos reparativos.
• Os macrófagos e linfócitos (plasmócitos) passam a ser as
células predominantes.
Macrófagos ativados
• São ativados por linfócitos T.
• Maior capacidade de fagocitose e morte de microorganismos
• Expressam mais moléculas de MHC
• Secretam fatores de crescimento (Reparo/Fibrose)
• Liberam radicais livres de oxigênio (Lesão tecidual)
VERMELHO / SÓLIDO /
CONSISTÊNCIA LEMBRA
FÍGADO FRESCO
INFLAMAÇÃO CRÔNICA
GRANULOMATOSA - ESPECÍFICA
• DEFINIÇÃO: PROCESSO INFLAMATÓRIO CRÔNICO CARACTERIZADO PELA PRESENÇA DO
GRANULOMA OU REAÇÃO GRANULOMATOSA.
• Padrão distinto de reação inflamatória crônica, caracterizada pelo acúmulo focal de
macrófagos ativados, que geralmente desenvolvem uma aparência epitelióide (semelhante
ao epitélio). Ocorre em algumas condições imunomediadas, em doenças infecciosas e em
doenças não-infecciosas.
• Um granuloma consiste em um agrupado de macrófagos epitelióides cercados por um colar
de leucócitos mononucleares, especialmente linfócitos, e ocasionalmente plasmócitos. Os
granulomas podem ser de dois tipos: granuloma de corpo estranho (apresentado células
gigantes de corpo estranho) ou granuloma imune.
INFLAMAÇÃO CRÔNICA GRANULOMATOSA
• Granulomas de corpo estranho
• Granulomas imune
• Componentes do Granuloma:
• Células Gigantes (Langhans)
• Macrófagos (Células epitelióides)
• Linfócitos
• Fibroblastos
• Elementos alternativos:
• Necrose, Neutrófilos, Plasmócitos e Eosinófilos
Formação do
granuloma
Necrose
Linfócito T
Linfócito B
Antígeno
persistente
Células gigantes
multinucleadas
(Fusão de
macrófagos)
INFLAMAÇÃO CRÔNICA GRANULOMATOSA
• Exemplos:
• Pulmão – Esquistossomose pulmonar
• Pulmão – Paracoccidioidomicose
• Pulmão – Tuberculose
• Sífilis
• Hanseníase
Aumento de 4X
GRANULOMA PULMÃO - ESQUISTOSSOMOSE
Aumento de 20X
Aumento de 60X
CÉLULAS GIGANTES
Muito Obrigada!!!!

376928.pptx.ppaulasobreinflamacaopfddsss

  • 1.
  • 2.
  • 3.
  • 4.
    O que éinflamação?
  • 5.
    INFLAMAÇÃO - Definição •Resposta protetora complexa a um estímulo nocivo; mas que causa lesão tecidual; • Ocorre em tecidos vascularizados; • Tem como objetivo diluir, destruir ou neutralizar o agente agressor. • Envolve o recrutamento de várias proteínas plasmáticas e de células, e os mesmos se acumulam no local da lesão; • Depende de mediadores químicos (mediadores inflamatórios).
  • 6.
    NOMENCLATURA Local Termo designativoDenominação Estômago gastro Gastrite Língua glosso glossite Farige faringo faringite Artéria artero arterite veia flebo flebite Rim nefro nefrite Nariz rino rinite
  • 7.
    NOMENCLATURA Local Termo designativoDenominação Tuba uterina Salpingo Salpingite Ovário Ovário Ovarite ou ooforite Fígado Hepato Hepatite Apêndice Apêndice Apendicite Intestino Colon Colite
  • 8.
    Sinais cardinais dainflamação CALOR VERMELHIDÃO (Eritema/Rubor) INCHAÇO (Edema) DOR PERDA DA FUNÇÃO
  • 10.
    PATOGENIA: Os fenômenos oumomentos da inflamação podem ser classificados em: • Fenômeno irritativos, • Fenômenos vasculares, • Fenômenos exsudativos, • Fenômenos celulares, • Fenômenos degenerativos – necrotizantes, • Fenômenos produtivos – reparativos.
  • 11.
    FENÔMENOS DA INFLAMAÇÃO •Fenômenos vasculares • Vasodilatação (prolongada) • Abertura de nova rede de capilares • NO (oxido nítrico) – Macrófagos • Serotonina – Plaquetas • Aumento do fluxo sanguíneo (Hiperemia) • Rubor e calor no local • Aumento da permeabilidade vascular
  • 13.
    FENÔMENOS DA INFLAMAÇÃO •Fenômenos exsudativos • Aumento da permeabilidade vascular • Histamina – Mastócitos, Basófilos e plaquetas • Bradicinina – Hepática • Redução da pressão osmótica vascular • Aumento da saída de fluidos rico em proteínas para o tecido. • Estase, permitindo maior adesão de neutrófilos.
  • 15.
    Fenômenos vasculares -HIPEREMIA Fenômenos exsudativos – EDEMA
  • 16.
    FENÔMENOS DA INFLAMAÇÃO •Fenômenos celulares • Extravasamento de leucócitos • Fagocitose Rolamento Adesão Transmigração Selectina Integrina
  • 17.
    • Extravasamento deLeucócitos • Alteração no fluxo sanguíneo: Marginação • Indução de moléculas de adesão na superfície endotelial • Ativadas pela ação de citocinas inflamatórias: TNF e Interleucinas (IL-1) – macrófagos • Rolamento, aderência e emigração de leucócitos; • Selectina E – Marginação e rolamento • Integrina (ICAM-1) – Adesão e transmigração • Migração no tecido em direção ao estímulo quimiotático.
  • 20.
  • 21.
  • 23.
    Quimiotaxia •Processo no qualos leucócitos após o extravasamento migram no tecido em direção ao local da lesão. Locomoção ao longo de um gradiente químico. •Agentes quimiotáticos: Produtos bacterianos; componentes do complemento; produtos da lipoxigenase; citocinas (quimiocinas).
  • 25.
  • 26.
    estimulam a liberaçãode histamina -mastócitos Vasodilatação Quimiotatico Fagocitose-opsonina permeabilidade vascular Contração do musculo liso vasodilatação
  • 27.
    Metabólitos do Acidoaracdônico - eicosanóides
  • 34.
    Sinais cardinais dainflamação CALOR VERMELHIDÃO (Eritema/Rubor) INCHAÇO (Edema) DOR PERDA DA FUNÇÃO
  • 37.
    Causas da inflamaçãoaguda: • Infecção e toxina bacteriana • Trauma (contuso ou penetrante) • Agentes físicos e químicos • Necrose tecidual • Corpos estranhos (farpas, poeiras, suturas) • Reações imunológicas
  • 40.
    INFLAMAÇÃO EXSUDATIVA (mais frequentementevistas nas inflamações agudas, que são caracterizadas por fenômenos Vasculares - Exsudativos): A) Serosa: Quando o exsudato produzido é aquoso, límpido e pobre em células. Pode apresentar-se fluído como na Rinite Alérgica ou viral (Gripe).
  • 44.
    Peritonite e Pleuriteserosas – líquido intracavitário, fluido e pouco denso.
  • 45.
    B) Purulenta ouSupurativa :Quando o exsudato produzido é cremoso, amarelo-esverdeado, rico em PMN vivos e mortos ("Piócitos"), células necróticas e plasma. Pressupõem infecções com bacterias piogênicas, do tipo Streptococcus ou Staphylococcus.
  • 48.
    Abscesso Abscesso hepático –piócitos e destruição tecidual circunscritos por cápsula de tecido fibroso (setas). HE - 10x.
  • 53.
    C)Fibrinosa: Quando oexsudato produzido é filamentoso, rico em fibrina, com celularidade variável. Pericardite fibrinosa – líquido intracavitário, denso e branco.
  • 57.
    D)Mucosa/catarral : Oexsudato produzido é viscoso com alto teor de mucina.
  • 60.
    Inflamação crônica • Devidoa persistência da agressão o processo se mantém. • Partículas não digeríveis (sílica, fios de sutura, etc) • Irritação crônica (Úlcera péptica) • Doenças auto-imunes (Tireoidite de Hashimoto) • Infecções persistentes (Tuberculose, fungos, sífilis, etc) • Os fenômenos vasculares – exsudativos são discretos ao lado de fenômenos reparativos. • Os macrófagos e linfócitos (plasmócitos) passam a ser as células predominantes.
  • 63.
    Macrófagos ativados • Sãoativados por linfócitos T. • Maior capacidade de fagocitose e morte de microorganismos • Expressam mais moléculas de MHC • Secretam fatores de crescimento (Reparo/Fibrose) • Liberam radicais livres de oxigênio (Lesão tecidual)
  • 67.
    VERMELHO / SÓLIDO/ CONSISTÊNCIA LEMBRA FÍGADO FRESCO
  • 71.
    INFLAMAÇÃO CRÔNICA GRANULOMATOSA -ESPECÍFICA • DEFINIÇÃO: PROCESSO INFLAMATÓRIO CRÔNICO CARACTERIZADO PELA PRESENÇA DO GRANULOMA OU REAÇÃO GRANULOMATOSA. • Padrão distinto de reação inflamatória crônica, caracterizada pelo acúmulo focal de macrófagos ativados, que geralmente desenvolvem uma aparência epitelióide (semelhante ao epitélio). Ocorre em algumas condições imunomediadas, em doenças infecciosas e em doenças não-infecciosas. • Um granuloma consiste em um agrupado de macrófagos epitelióides cercados por um colar de leucócitos mononucleares, especialmente linfócitos, e ocasionalmente plasmócitos. Os granulomas podem ser de dois tipos: granuloma de corpo estranho (apresentado células gigantes de corpo estranho) ou granuloma imune.
  • 72.
    INFLAMAÇÃO CRÔNICA GRANULOMATOSA •Granulomas de corpo estranho • Granulomas imune • Componentes do Granuloma: • Células Gigantes (Langhans) • Macrófagos (Células epitelióides) • Linfócitos • Fibroblastos • Elementos alternativos: • Necrose, Neutrófilos, Plasmócitos e Eosinófilos
  • 73.
    Formação do granuloma Necrose Linfócito T LinfócitoB Antígeno persistente Células gigantes multinucleadas (Fusão de macrófagos)
  • 74.
    INFLAMAÇÃO CRÔNICA GRANULOMATOSA •Exemplos: • Pulmão – Esquistossomose pulmonar • Pulmão – Paracoccidioidomicose • Pulmão – Tuberculose • Sífilis • Hanseníase
  • 76.
    Aumento de 4X GRANULOMAPULMÃO - ESQUISTOSSOMOSE
  • 77.
  • 78.
  • 79.