Histologia Básica Tecido Epitelial Ana Paula Ribeiro
O organismo é constituído por apenas quatro tipos básicos de tecidos: o epitelial, o conjuntivo, o muscular e o nervoso.
Os tecidos são formados por células e moléculas da matriz extracelular (MEC), não existem unidades isoladas, mas associados uns aos outros, formando os diferentes órgãos e sistemas do corpo.
Características principais dos quatro tipo básicos de tecidos Tecido Células Matriz Extracelular Funções básicas Nervoso Longos prolongamentos Nenhuma Transmissão de impulsos nervosos Epitelial Células poliédricas justapostas Pequena quantidade Revestimento da superfície ou de cavidades do corpo, secreção Muscular Células alongadas contráteis Quantidade moderada Movimento Conjuntivo Vários tipos de células fixas e migratórias Abundante Apoio e proteção
Formas – colunares altas e pavimentosas Núcleo – alongados a achatados Lâmina própria Porção apical Porção basal Superfície livre Paredes Laterais
Funções: Revestimento de superfícies Absorção de moléculas Secreção Percepção de estímulos Revestimento interno e externo – tudo que entra ou deixa o corpo deve atravessar um folheto epitelial.
Lâmina Basal e Membranas Basais
Forma uma barreira que limita ou controla a troca de macromoléculas entre as células e o tecido conjuntivo.
 
Funções:  Papel estrutural e na filtração de moléculas; Influenciar na polaridade das células; Regular a proliferação e a diferenciação das células; Influenciar no metabolismo celular; Organizar as proteínas citoplasmáticas adjascente; Servir como caminho e suporte para a migração das células.
 
Junções celulares Contribuem para a coesão e comunicação celular Presentes na maioria dos tecidos, abundante nas células epiteliais; Caderinas Junções de adesão: Zonas de adesão, desmossomos e hemidesmossomos. Junções impermeáveis: zonas de oclusão. Junções de comunicação: Gap
 
Zônulas de oclusão faixa ou cinturão/adesão, vedação. Função: promover uma vedação que impede o movimento de materiais entre células epiteliais.
 
 
Zona de adesão Cinturão, inserção de filamentos de actina Complexo unitivo
 
Junções comunicantes/Gap Conexon
Desmossomos ou mácula de adesão Placa de ancoragem / queratina
 
Hemidesmossomos
Especializações das células epiteliais Microvilos
 
 
Tipos de Epitélios Epitélios de revestimento Epitélios Glandulares
Epitélios de revestimento
Epitélios de revestimento
 
 
 
 
 
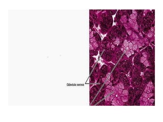
Tipos de epitélios glandulares Merócrinas (Pâncreas) Holócrinas (Glândula Sebácea) Apócrinas (Glândulas mamárias)
 
 
 
 
Na +
 
 
 
 
 
 
 
Epitelio de transição da bexiga

1 Tecido Epitelial

  • 1.
    Histologia Básica TecidoEpitelial Ana Paula Ribeiro
  • 2.
    O organismo éconstituído por apenas quatro tipos básicos de tecidos: o epitelial, o conjuntivo, o muscular e o nervoso.
  • 3.
    Os tecidos sãoformados por células e moléculas da matriz extracelular (MEC), não existem unidades isoladas, mas associados uns aos outros, formando os diferentes órgãos e sistemas do corpo.
  • 4.
    Características principais dosquatro tipo básicos de tecidos Tecido Células Matriz Extracelular Funções básicas Nervoso Longos prolongamentos Nenhuma Transmissão de impulsos nervosos Epitelial Células poliédricas justapostas Pequena quantidade Revestimento da superfície ou de cavidades do corpo, secreção Muscular Células alongadas contráteis Quantidade moderada Movimento Conjuntivo Vários tipos de células fixas e migratórias Abundante Apoio e proteção
  • 5.
    Formas – colunaresaltas e pavimentosas Núcleo – alongados a achatados Lâmina própria Porção apical Porção basal Superfície livre Paredes Laterais
  • 6.
    Funções: Revestimento desuperfícies Absorção de moléculas Secreção Percepção de estímulos Revestimento interno e externo – tudo que entra ou deixa o corpo deve atravessar um folheto epitelial.
  • 7.
    Lâmina Basal eMembranas Basais
  • 8.
    Forma uma barreiraque limita ou controla a troca de macromoléculas entre as células e o tecido conjuntivo.
  • 9.
  • 10.
    Funções: Papelestrutural e na filtração de moléculas; Influenciar na polaridade das células; Regular a proliferação e a diferenciação das células; Influenciar no metabolismo celular; Organizar as proteínas citoplasmáticas adjascente; Servir como caminho e suporte para a migração das células.
  • 11.
  • 12.
    Junções celulares Contribuempara a coesão e comunicação celular Presentes na maioria dos tecidos, abundante nas células epiteliais; Caderinas Junções de adesão: Zonas de adesão, desmossomos e hemidesmossomos. Junções impermeáveis: zonas de oclusão. Junções de comunicação: Gap
  • 13.
  • 14.
    Zônulas de oclusãofaixa ou cinturão/adesão, vedação. Função: promover uma vedação que impede o movimento de materiais entre células epiteliais.
  • 15.
  • 16.
  • 17.
    Zona de adesãoCinturão, inserção de filamentos de actina Complexo unitivo
  • 18.
  • 19.
  • 20.
    Desmossomos ou máculade adesão Placa de ancoragem / queratina
  • 21.
  • 22.
  • 23.
    Especializações das célulasepiteliais Microvilos
  • 24.
  • 25.
  • 26.
    Tipos de EpitéliosEpitélios de revestimento Epitélios Glandulares
  • 27.
  • 28.
  • 29.
  • 30.
  • 31.
  • 32.
  • 33.
  • 34.
    Tipos de epitéliosglandulares Merócrinas (Pâncreas) Holócrinas (Glândula Sebácea) Apócrinas (Glândulas mamárias)
  • 35.
  • 36.
  • 37.
  • 38.
  • 39.
  • 40.
  • 41.
  • 42.
  • 43.
  • 44.
  • 45.
  • 46.
  • 47.