08-09-2009GPC
GRIPE08-09-2009COORDENAÇÃO NACIONAL EMERGÊNCIAGABINETE de PLANEAMENTO e COORDENAÇÃOGPC
08-09-2009GPCA Cruz Vermelha Portuguesa (CVP) é uma organização esclarecida e auxiliar dos poderes públicos que coopera e colabora com os demais agentes de protecção civil e Instituições / Organizações  de apoio social.
08-09-2009GPCA CVP faz acções de formação no âmbito da prevenção, preparação e protecção, para a gripe A,  quando solicitado por empresas, organizações e ou instituições, no sentido de sensibilizar e esclarecer as pessoas para efeitos desta Pandemia - Fase 6, declarada pela OMS, com as medidas inerentes, em que toda a informação é útil e necessária.
Com esta apresentação pretendemos sensibilizar e informar as pessoas sobre os efeitos da Gripe  em particular da Gripe A - H1N1 e as precauções a ter em conta a prevenção, protecção e preparação no sentido de minimizar a sua disseminação.08-09-2009GPC
08-09-2009GPCConstipação V/s Gripe Comum
08-09-2009GPCO que é a gripe?A gripe resulta da infecção pelo vírus influenza.É uma doença muito contagiosa e pode ser transmitida de pessoa a pessoa. O vírus da gripe sofre mutações constantes, sendo que  algumas estirpes são mais contagiosas que outras, podendo agravar algumas doenças.
08-09-2009GPCTipos de Vírus da GripeOs principais grupos de vírus da gripe são:
 Gripe Humana Sazonal
 Gripe Aviária ou Gripe das Aves (H5N1)
 Gripe Suína - A08-09-2009GPC
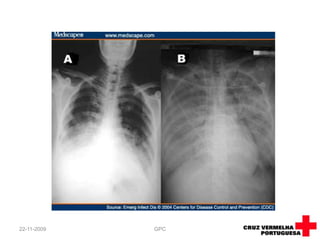
É causada por estirpes de vírus Influenza capazes de se ligarem às mucosas do aparelho respiratório humano.A maior parte das pessoas recupera em uma a duas semanas. A gripe é mais perigosa nas crianças pequenas, nos idosos (com mais de 65 anos de idade), nos doentes com problemas do sistema imunitário (infectados pelo VIH ou transplantados), ou com doenças crónicas (pulmonares, renais ou cardíacas). 08-09-2009GPC
Gripe Aviária ou gripe das aves é uma doença causada por uma variedade do vírus Influenza (H5N1). O vírus é hospedado por aves, mas pode infectar outros mamíferos, incluindo o Homem.Esta Gripe propagou-se por uma grande parte do mundo, mas actualmente concentra-se no Sudoeste Asiático.No total foram atingidos 15 paísese infectadas 436 pessoas com 262 mortes.O Vírus da Gripe das aves mantem-seactual.08-09-2009GPC
A "gripe suína" é uma infecção respiratória que atinge os suínos. Nos humanos não existe "gripe suína" mas sim "gripe humana de origem suína”. Esta pode ser provocada por algum vírus do tipo Influenza A, que pode ter infectado algum suíno e ser transportado para humanos, ou transportado de humano para humano posteriormente.08-09-2009GPC
08-09-2009GPCCausas das epidemias e pandemias de gripeOs vírus influenza circulam continuamente no seio das populações humanas e sofrem alterações frequentes nas suas características, que lhes confere a capacidade de originarem epidemias anuais e, por vezes, pandemias.
20-60% da população impossibilitada de trabalhar durante 2-4 semanas no pico da pandemia, devido à doença, assistência a familiares e crianças (se as escolas fecharem), quarentena voluntária ou obrigatória, serviço voluntário, pânico; etc.
Falta de suporte dos serviços essenciais;
Quebra nos serviços: saúde, polícia, bombeiros, tráfego aéreo, transportes, etc.
Falta de abastecimentos;
Solicitação de serviços aumenta (telefones, internet, etc.) outras diminuem (viagens, desporto, lazer, etc.);08-09-2009GPC
08-09-2009GPC
08-09-2009GPCGripe APANDEMIA - FASE 6
1918 - A " gripe espanhola " ou " gripe suína " foi uma pandemia causada por vírus da gripe tipo A. Estima-se que aprox. 20 a 40% da população mundial tenha adoecido e supõe-se que tenham morrido de 30 a 40 milhões de pessoas. 1957-58 - "Gripe asiática", uma pandemia provocada por vírus da gripe do tipo A (H2N2) e fez as suas primeiras vítimas na China. Esta pandemia originou mais de 1 milhão de mortos no mundo inteiro.08-09-2009GPC
1968 - "Gripe de Hong-Kong", uma pandemia provocada por vírus da gripe do tipo A (H3N2), que surgiu na China. Estima-se que com esta pandemia 1 milhão de pessoas morreram.2005 - Surto de Gripe Aviária (H5N1). Embora tivesse sido identificada em 1900 em Itália, propagou-se por grande parte do mundo e actualmente está mais focalizada nos países da Ásia. 08-09-2009GPC
A 27 Abril 2009, a Organização Mundial de Saúde (OMS) decretou a Pandemia Fase 4 da Gripe Suína (originada no México). Posteriormente designada Gripe A (H1N1).A OMS decretou no dia 11 de Junho 2009 o nível máximo de alerta contra a Gripe A, elevando-o a Pandemia Fase 6, o que a transforma na primeira pandemia do séc. XXI.08-09-2009GPC
Gripe A (H1N1)A Organização Mundial de Saúde, identificou em Abril de 2009 no México uma nova estirpe do vírus da gripe A, com o subtipo H1N1, em que dos oito genes dois são de origem suína, outros de aves e humanos.08-09-2009GPC
CASOS CONFIRMADOSPAISES INFECTADOS -  137NA EUROPA – 16.969FORA DA EUROPA – 122.597TOTAL DE CASOS –  139.566OBITOS - 781Fonte: OMS, ECDC, fontes oficiais dos países 21-07.0908-09-2009GPCVerificou-se, em Portugal, desde o início de Maio até 21 Julho 2009, um total cumulativo de 161 casos.
Febre ≥ 38º C (inicio súbito)Cefaleias (dores de cabeça)FraquezaAstenia (cansaço)Obstrução nasal (nariz entupido)Rinorreia (corrimento nasal)Faringite (dores de garganta)TosseDores Musculares e ArticularesNáuseas e vómitosDiarreia08-09-2009GPC
Por via aérea, pessoa a pessoa através de gotículas quando tosse ou espirra.Pelas mãos, que contactaram com objectos ou superfícies contaminadas com gotículas de uma pessoa infectada, através do contacto com os olhos, nariz ou boca, mãosAtenção:O vírus permanece activo nas superfícies 2 a 8 horas. Cuidado com as maçanetas das portas, telefones, teclados de computador, ratos, etc.O vírus não se transmite através da água para consumo humano, águas de piscinas ou parques aquáticos.O vírus não se transmite através de alimentos.08-09-2009GPC
1 dia antes de iniciar os sintomas, até 7 dias depois do inicio dos sintomas.Nos Adultos a capacidade de afectar  outras pessoas vai de algumas horas antes do aparecimentos dos primeiros sintomas até 4-5 dias depois.Nas Crianças a capacidade de infectar outras pessoas pode durar até 7 dias.08-09-2009GPC
Deficiente higiene das mãos
Contacto com objectos ou materiais contaminados(O vírus permanece activo 2 a 8 horas nas superfícies)Permanência em ambientes fechados ou pouco arejadosProximidade entre pessoas (distancia inferior a um metro)Cumprimentos pessoais08-09-2009GPC
Infecção pelo Vírus H1N1TratamentoPreventivo
Vacinação – (em desenvolvimento e teste)
Anti - virais – Tamiflu®                       	       Relenza®
Medidas de protecção
Medidas de quarentena
Curativo
Anti - virais
Medicação sintomáticaEm caso de pandemia gripal, ou até só numa ameaça, devem ser encarados outros meios (quarentenas/ isolamento obrigatórias – Ex. Academia Militar Madrid)08-09-2009GPC
PREVENÇÃO  PROTECÇÃO
08-09-2009GPC
                         correcta e frequentemente durante pelo menos 15 segundos, esfregando bem, todas as zonas das mãos.Lavar as mãos Molhe as mãosAplique sabonete e esfregue por 15 segundos.Aplique sabonete e esfregue por 15 segundos.Seque com toalhetes de papel.Especialmente depois de tossir, espirrar, utilizar um lenço ou contactar com zonas possivelmente infectadas.Esfregue as costas das mão, pulsos, entre os dedos debaixo das unhas.Feche a torneira usando um toalhete.Passe as mãos por água.08-09-2009
08-09-2009Utilize o toalhete para fechar a torneira e mexer nas maçanetas das portas GPC
08-09-2009GPC
08-09-2009GPCDEVE TER ESPECIAL ATENÇÃO À DESINFECÇÃO DOS WC, ESPECIALMENTE TORNEIRAS, MAÇANETAS DE PORTAS, ETC.UTILIZAR NOS CAIXOTES DO LIXO SACOS DE PLASTICO, QUE DEVEM SER, MANUSEADOS COM LUVAS E FECHADOS ANTES DE COLOCAR NO CONTENTOR DO LIXO.
Se tiver sintomas de gripeNão facilitarInforme o operador da linha SAUDE 24 os sintomas que possui;
Se realizou alguma viagem recentemente para regiões de risco (deve prestar muita atenção à sua saúde durante sete dias depois do regresso a casa);
Informe o tempo de isolamento;
 Com quem contactou;08-09-2009GPC
Se tiver sintomas de gripe :Permanecer em casa;
Isolar-se e manter uma distância mínima de 1 metro dos membros da família;
 Manter-se no quarto e fechar a porta;
Ventilar o quarto com frequência;
Utilizar máscaras no doente e nos que lhe prestam assistência;
Separar todos os objectos, roupa e loiça usada pelo doente, das restantes pessoas;
Todas as superfícies e objectos tocados pelo doente, devem ser bem desinfectadas;08-09-2009GPC
Se tiver sintomas de gripe :Contactar na CVP – Sede Nacional O Gabinete de Planeamento e Coordenação  (Paulo Santos) Os Serviços Gerais (António Conceição)Informando qual a sua situação, e se esteve presente no seu local de trabalho com quem contactou.08-09-2009GPC
O que deve ter em casa em caso de quarentena ou emergência:Alimentos (suficientes para 7 dias);
Água para beber e higiene;
Livro e estojo de Primeiros Socorros (que inclua  alguns medicamentos, luvas látex, máscaras e termómetro) ;
Medicamentos receitados;
Rádio, pilhas e lanterna;
Artigos sanitários e de limpeza;
Dinheiro (em notas) para pagamentos;
Doc. Pessoais de todos os membros da família;
Artigos para bebés;
Ter um par de óculos extra.GPC08-09-2009

VersãO Final FormaçãO Gripe

  • 1.
  • 2.
  • 3.
    08-09-2009GPCA Cruz VermelhaPortuguesa (CVP) é uma organização esclarecida e auxiliar dos poderes públicos que coopera e colabora com os demais agentes de protecção civil e Instituições / Organizações de apoio social.
  • 4.
    08-09-2009GPCA CVP fazacções de formação no âmbito da prevenção, preparação e protecção, para a gripe A,  quando solicitado por empresas, organizações e ou instituições, no sentido de sensibilizar e esclarecer as pessoas para efeitos desta Pandemia - Fase 6, declarada pela OMS, com as medidas inerentes, em que toda a informação é útil e necessária.
  • 5.
    Com esta apresentaçãopretendemos sensibilizar e informar as pessoas sobre os efeitos da Gripe em particular da Gripe A - H1N1 e as precauções a ter em conta a prevenção, protecção e preparação no sentido de minimizar a sua disseminação.08-09-2009GPC
  • 6.
  • 7.
    08-09-2009GPCO que éa gripe?A gripe resulta da infecção pelo vírus influenza.É uma doença muito contagiosa e pode ser transmitida de pessoa a pessoa. O vírus da gripe sofre mutações constantes, sendo que algumas estirpes são mais contagiosas que outras, podendo agravar algumas doenças.
  • 8.
    08-09-2009GPCTipos de Vírusda GripeOs principais grupos de vírus da gripe são:
  • 9.
  • 10.
    Gripe Aviáriaou Gripe das Aves (H5N1)
  • 11.
    Gripe Suína- A08-09-2009GPC
  • 12.
    É causada porestirpes de vírus Influenza capazes de se ligarem às mucosas do aparelho respiratório humano.A maior parte das pessoas recupera em uma a duas semanas. A gripe é mais perigosa nas crianças pequenas, nos idosos (com mais de 65 anos de idade), nos doentes com problemas do sistema imunitário (infectados pelo VIH ou transplantados), ou com doenças crónicas (pulmonares, renais ou cardíacas). 08-09-2009GPC
  • 13.
    Gripe Aviária ougripe das aves é uma doença causada por uma variedade do vírus Influenza (H5N1). O vírus é hospedado por aves, mas pode infectar outros mamíferos, incluindo o Homem.Esta Gripe propagou-se por uma grande parte do mundo, mas actualmente concentra-se no Sudoeste Asiático.No total foram atingidos 15 paísese infectadas 436 pessoas com 262 mortes.O Vírus da Gripe das aves mantem-seactual.08-09-2009GPC
  • 14.
    A "gripe suína"é uma infecção respiratória que atinge os suínos. Nos humanos não existe "gripe suína" mas sim "gripe humana de origem suína”. Esta pode ser provocada por algum vírus do tipo Influenza A, que pode ter infectado algum suíno e ser transportado para humanos, ou transportado de humano para humano posteriormente.08-09-2009GPC
  • 15.
    08-09-2009GPCCausas das epidemiase pandemias de gripeOs vírus influenza circulam continuamente no seio das populações humanas e sofrem alterações frequentes nas suas características, que lhes confere a capacidade de originarem epidemias anuais e, por vezes, pandemias.
  • 16.
    20-60% da populaçãoimpossibilitada de trabalhar durante 2-4 semanas no pico da pandemia, devido à doença, assistência a familiares e crianças (se as escolas fecharem), quarentena voluntária ou obrigatória, serviço voluntário, pânico; etc.
  • 17.
    Falta de suportedos serviços essenciais;
  • 18.
    Quebra nos serviços:saúde, polícia, bombeiros, tráfego aéreo, transportes, etc.
  • 19.
  • 20.
    Solicitação de serviçosaumenta (telefones, internet, etc.) outras diminuem (viagens, desporto, lazer, etc.);08-09-2009GPC
  • 21.
  • 22.
  • 23.
    1918 - A" gripe espanhola " ou " gripe suína " foi uma pandemia causada por vírus da gripe tipo A. Estima-se que aprox. 20 a 40% da população mundial tenha adoecido e supõe-se que tenham morrido de 30 a 40 milhões de pessoas. 1957-58 - "Gripe asiática", uma pandemia provocada por vírus da gripe do tipo A (H2N2) e fez as suas primeiras vítimas na China. Esta pandemia originou mais de 1 milhão de mortos no mundo inteiro.08-09-2009GPC
  • 24.
    1968 - "Gripede Hong-Kong", uma pandemia provocada por vírus da gripe do tipo A (H3N2), que surgiu na China. Estima-se que com esta pandemia 1 milhão de pessoas morreram.2005 - Surto de Gripe Aviária (H5N1). Embora tivesse sido identificada em 1900 em Itália, propagou-se por grande parte do mundo e actualmente está mais focalizada nos países da Ásia. 08-09-2009GPC
  • 25.
    A 27 Abril2009, a Organização Mundial de Saúde (OMS) decretou a Pandemia Fase 4 da Gripe Suína (originada no México). Posteriormente designada Gripe A (H1N1).A OMS decretou no dia 11 de Junho 2009 o nível máximo de alerta contra a Gripe A, elevando-o a Pandemia Fase 6, o que a transforma na primeira pandemia do séc. XXI.08-09-2009GPC
  • 26.
    Gripe A (H1N1)AOrganização Mundial de Saúde, identificou em Abril de 2009 no México uma nova estirpe do vírus da gripe A, com o subtipo H1N1, em que dos oito genes dois são de origem suína, outros de aves e humanos.08-09-2009GPC
  • 27.
    CASOS CONFIRMADOSPAISES INFECTADOS- 137NA EUROPA – 16.969FORA DA EUROPA – 122.597TOTAL DE CASOS – 139.566OBITOS - 781Fonte: OMS, ECDC, fontes oficiais dos países 21-07.0908-09-2009GPCVerificou-se, em Portugal, desde o início de Maio até 21 Julho 2009, um total cumulativo de 161 casos.
  • 28.
    Febre ≥ 38ºC (inicio súbito)Cefaleias (dores de cabeça)FraquezaAstenia (cansaço)Obstrução nasal (nariz entupido)Rinorreia (corrimento nasal)Faringite (dores de garganta)TosseDores Musculares e ArticularesNáuseas e vómitosDiarreia08-09-2009GPC
  • 29.
    Por via aérea,pessoa a pessoa através de gotículas quando tosse ou espirra.Pelas mãos, que contactaram com objectos ou superfícies contaminadas com gotículas de uma pessoa infectada, através do contacto com os olhos, nariz ou boca, mãosAtenção:O vírus permanece activo nas superfícies 2 a 8 horas. Cuidado com as maçanetas das portas, telefones, teclados de computador, ratos, etc.O vírus não se transmite através da água para consumo humano, águas de piscinas ou parques aquáticos.O vírus não se transmite através de alimentos.08-09-2009GPC
  • 30.
    1 dia antesde iniciar os sintomas, até 7 dias depois do inicio dos sintomas.Nos Adultos a capacidade de afectar outras pessoas vai de algumas horas antes do aparecimentos dos primeiros sintomas até 4-5 dias depois.Nas Crianças a capacidade de infectar outras pessoas pode durar até 7 dias.08-09-2009GPC
  • 31.
  • 32.
    Contacto com objectosou materiais contaminados(O vírus permanece activo 2 a 8 horas nas superfícies)Permanência em ambientes fechados ou pouco arejadosProximidade entre pessoas (distancia inferior a um metro)Cumprimentos pessoais08-09-2009GPC
  • 33.
    Infecção pelo VírusH1N1TratamentoPreventivo
  • 34.
    Vacinação – (emdesenvolvimento e teste)
  • 35.
    Anti - virais– Tamiflu® Relenza®
  • 36.
  • 37.
  • 38.
  • 39.
  • 40.
    Medicação sintomáticaEm casode pandemia gripal, ou até só numa ameaça, devem ser encarados outros meios (quarentenas/ isolamento obrigatórias – Ex. Academia Militar Madrid)08-09-2009GPC
  • 41.
  • 42.
  • 43.
    correcta e frequentemente durante pelo menos 15 segundos, esfregando bem, todas as zonas das mãos.Lavar as mãos Molhe as mãosAplique sabonete e esfregue por 15 segundos.Aplique sabonete e esfregue por 15 segundos.Seque com toalhetes de papel.Especialmente depois de tossir, espirrar, utilizar um lenço ou contactar com zonas possivelmente infectadas.Esfregue as costas das mão, pulsos, entre os dedos debaixo das unhas.Feche a torneira usando um toalhete.Passe as mãos por água.08-09-2009
  • 44.
    08-09-2009Utilize o toalhetepara fechar a torneira e mexer nas maçanetas das portas GPC
  • 45.
  • 46.
    08-09-2009GPCDEVE TER ESPECIALATENÇÃO À DESINFECÇÃO DOS WC, ESPECIALMENTE TORNEIRAS, MAÇANETAS DE PORTAS, ETC.UTILIZAR NOS CAIXOTES DO LIXO SACOS DE PLASTICO, QUE DEVEM SER, MANUSEADOS COM LUVAS E FECHADOS ANTES DE COLOCAR NO CONTENTOR DO LIXO.
  • 47.
    Se tiver sintomasde gripeNão facilitarInforme o operador da linha SAUDE 24 os sintomas que possui;
  • 48.
    Se realizou algumaviagem recentemente para regiões de risco (deve prestar muita atenção à sua saúde durante sete dias depois do regresso a casa);
  • 49.
    Informe o tempode isolamento;
  • 50.
    Com quemcontactou;08-09-2009GPC
  • 51.
    Se tiver sintomasde gripe :Permanecer em casa;
  • 52.
    Isolar-se e manteruma distância mínima de 1 metro dos membros da família;
  • 53.
    Manter-se noquarto e fechar a porta;
  • 54.
    Ventilar o quartocom frequência;
  • 55.
    Utilizar máscaras nodoente e nos que lhe prestam assistência;
  • 56.
    Separar todos osobjectos, roupa e loiça usada pelo doente, das restantes pessoas;
  • 57.
    Todas as superfíciese objectos tocados pelo doente, devem ser bem desinfectadas;08-09-2009GPC
  • 58.
    Se tiver sintomasde gripe :Contactar na CVP – Sede Nacional O Gabinete de Planeamento e Coordenação (Paulo Santos) Os Serviços Gerais (António Conceição)Informando qual a sua situação, e se esteve presente no seu local de trabalho com quem contactou.08-09-2009GPC
  • 59.
    O que deveter em casa em caso de quarentena ou emergência:Alimentos (suficientes para 7 dias);
  • 60.
  • 61.
    Livro e estojode Primeiros Socorros (que inclua alguns medicamentos, luvas látex, máscaras e termómetro) ;
  • 62.
  • 63.
  • 64.
  • 65.
    Dinheiro (em notas)para pagamentos;
  • 66.
    Doc. Pessoais detodos os membros da família;
  • 67.
  • 68.
    Ter um parde óculos extra.GPC08-09-2009